Abstract
Ceramic-on-ceramic (CoC) bearings are widely used in total hip arthroplasty due to their extremely low wear rate, excellent chemical stability, and good biocompatibility. They are considered one of the most reliable long-term friction bearing systems. Although frictional instability, lubrication regime transitions, and microstructural damage mechanisms have been widely reported at the experimental and retrieval-analysis levels, current clinical evidence, limited by follow-up duration and event incidence, has not demonstrated a definitive negative impact on the clinical performance of fourth-generation ceramic components, including BIOLOX® delta. Data from national arthroplasty registries consistently demonstrate excellent survivorship and low complication rates for 4th-generation ceramics in both hard-on-soft and hard-on-hard configurations. The most reported causes for revision, such as infection, dislocation, aseptic loosening, and periprosthetic fracture, are not primarily associated with ceramic-related complications, such as ceramic fracture, excessive wear, squeaking, and revision, related to bearing failure; however, these mechanisms remain highly relevant for the design and evaluation of emerging ceramic materials and next-generation implant systems, where inadequate control may potentially impact long-term clinical performance. This review summarizes recent advances in the tribological research of CoC artificial joints, focusing on clinical tribological challenges, material composition and surface characteristics, lubrication mechanisms, wear and microdamage evolution, and third-body effects. Recent progress in ceramic toughening strategies, surface engineering, biomimetic lubrication simulation, and structural optimization is also discussed. Finally, future research directions are outlined to support the performance optimization and long-term reliability assessment of CoC artificial joint systems.
1. Introduction
Although the incidence of osteoarthritis (OA) itself is not necessarily increasing, the absolute number of OA-related cases continues to rise due to population growth and aging, thereby contributing to the growing demand for hip arthroplasty. It should also be noted that in Eastern Asian populations, avascular necrosis of the femoral head and developmental dysplasia of the hip remain the predominant indications for elective primary hip arthroplasty [1]. Tribological properties are critical factors affecting the long-term reliability of artificial joints, directly determining clinical issues such as the generation of wear particles, interface temperature rise, and prosthesis loosening [2,3,4]. Among various material systems, ceramics are widely adopted in prosthetic joint friction pairs due to their exceptional hardness, high wear resistance, and chemical inertness. Specifically, ceramic-on-ceramic (CoC) bearings demonstrate excellent long-term stability in hip replacements owing to their extremely low coefficient of friction and wear rate [5,6]. However, clinical practice indicates that while CoC bearings significantly reduce wear volume and biological reaction risks, they still present tribological challenges such as operational noise [7], edge loading [8], fracture risk [9], and unstable lubrication conditions [10]. Currently, there is no clinical evidence indicating that these phenomena observed in contemporary fourth-generation ceramic bearings lead to increased complications or revision surgery. Clinical outcomes are influenced not only by the ceramic material itself, but also by component design, manufacturing quality, and the interaction between the bearing surfaces and the overall hip joint system. To date, no consistent clinical evidence has demonstrated that these phenomena have a measurable impact on patient-reported outcome measures (PROMs). In recent years, advancements in experimental tribology, surface engineering, and numerical simulation techniques have enabled researchers to explore the tribological behavior of ceramic-on-ceramic bearings from multiple perspectives, including material microstructure, lubrication mechanisms, interfacial chemical reactions, and surface morphology evolution [7,8]. These investigations provide new insights and evidence for optimizing their clinical performance.
Internationally, significant progress has been made in tribological research on ceramic–ceramic bearing pairs. For instance, researchers in Europe and America have conducted systematic analyses on the surface wettability of ceramic materials, third-body abrasive behavior, and Newtonian versus non-Newtonian lubrication models [3,4]. Meanwhile, teams from Japan and South Korea have focused on the phase transition mechanisms of zirconia/alumina composite ceramics and their impact on interfacial friction. Domestic researchers have also achieved positive outcomes in recent years regarding ceramic surface modification, artificial body fluid simulation tests, and wear behavior studies under dynamic joint loading conditions [1]. However, clinical feedback indicates several shortcomings in existing research, such as inadequate simulation of real biological lubrication environments, difficulty in reproducing complex edge loading conditions, and limited understanding of the coupling mechanism between material microdamage and lubrication film rupture. From a basic research and engineering perspective, ceramic bearings lacking long-term clinical records should be carefully monitored. The reliability of ceramic components used in hip arthroplasty depends critically on manufacturing quality and process control, as high surface integrity is required to minimize clinical risk. For example, inadequate or rough machining may compromise surface stability and promote the generation of ceramic debris. By integrating the latest research advances [11,12], this study aims to summarize key influencing factors from multiple perspectives—including material design, interface engineering, and multiscale simulation—to provide theoretical foundations and practical references for subsequent prosthesis optimization and reliability assessment [13].
2. Typical Tribological Issues in Ceramic–Ceramic Pairings for Clinical Applications
Ceramic-on-ceramic (CoC) bearings are considered one of the most reliable long-term friction pairs in artificial joints due to their extremely low wear rate and excellent biocompatibility. However, recent clinical follow-ups and prosthesis retrieval analyses indicate that despite their superior overall wear control, CoC bearings still face a series of clinical issues closely related to their tribological behavior. As shown in Figure 1, These problems not only affect patients’ subjective experiences but also limit their application scope to some extent. This chapter systematically summarizes the typical tribological issues of ceramic-on-ceramic bearings and their potential causes, starting from clinical manifestations.
Figure 1.
Underwent THA using the MD® ceramic acetabular component devices (ceramic head with ceramic acetabular insert) associated with the MD6® Phenom® femoral rod type. [14] © MDPI 2023.
2.1. Abnormal Noise Phenomenon
Among implant-related complications, squeaking is considered a typical phenomenon associated with hard-on-hard bearing couples, particularly ceramic-on-ceramic hip bearings. Schroeder et al. [15]. observed a clicking incidence of approximately 1–10% in a follow-up study of over 500 ceramic hip replacements, with significant variation among different implant systems. Taylor et al. [16] indicated through acoustic emission and kinematic analysis that clicking is often associated with dry friction caused by edge contact following lubrication film rupture. Jarrett et al. [17]. demonstrated in a mechanical simulator that increasing the gait abduction angle induced edge loading on the cup, elevating the friction coefficient to 3–5 times its baseline value and generating detectable high-frequency vibrations consistent with clinical clicking spectra. Chevillotte et al. [18]. observed that clicking sounds were more likely to occur when the lubrication environment transitioned from Newtonian to protein-containing non-Newtonian fluids, indicating that lubrication film structure significantly influences ceramic–ceramic vibration behavior. Sanders et al. [19]. used in vitro simulations to confirm that surface micro-wear increases local contact patch roughness, thereby facilitating the occurrence of “friction-induced vibration.” The generation of squeaking is influenced by the coupled effects of materials, lubrication, and kinematics, with lubrication breakdown and edge loading being the most critical triggering mechanisms.
2.2. Localized High Wear Issues Caused by Edge Loading
In addition, experimental work by Macdonald et al. [20]. demonstrated that non-ideal contact conditions, such as edge loading, can significantly influence wear behavior and damage mechanisms in ceramic-on-ceramic hip bearings, highlighting the importance of bearing alignment and contact mechanics [21]. Ceramic materials are theoretically highly wear-resistant, but edge loading can induce localized high stresses, triggering the formation of unexpected wear zones. Molloy et al. [22]. observed that edge contact increased wear rates by approximately 40-fold, with typical flake-shaped ceramic debris. Macdonald et al. [20]. found negligible wear rate under conventional simulator testing, but observed banded wear patterns under increased abduction angles and subluxation conditions, consistent with wear bands seen in clinical retrievals. Gao et al. [23]. reported a significant increase in friction coefficient when the ceramic cup abduction angle was excessive, with wear marks concentrated in the eccentric load zone. Edge loading represents the most common wear pattern in ceramic-on-ceramic bearings, often associated with clinical factors such as suboptimal implant positioning, abnormal gait, and insufficient soft tissue tension.
2.3. Lubricating Film Breakdown and Other Abnormal Behaviors
In addition to the previously cited work, several comprehensive experimental studies from Nečas, Vrbka, Gallo and coworkers have examined the tribological behavior of hard-on-hard bearings. These include systematic investigations of frictional behavior under different lubrication conditions and studies of lubricant film formation in hip simulators, which emphasize the role of synovial fluid composition and contact conformity in determining bearing performance [24]. Ceramic surfaces rely on thin fluid films for lubrication, but localized film rupture frequently occurs in complex bodily fluid environments, leading to increased boundary friction [25]. Ge et al. [26]. pioneered the “micro-EHL” lubrication model for hip joints, indicating that ceramic’s high stiffness relies more on film thickness to maintain low friction. Ammarullah et al. [27]. discovered through simulated bodily fluid tests containing proteins and immunoglobulins that the adsorbed film formed by proteins on ceramic surfaces can stably reduce friction states; once disrupted, friction increases sharply. De et al. [28]. confirmed that even a slight decrease in ceramic surface hydrophilicity reduces film thickness by approximately 20%, significantly impacting tribological performance. Lubricating film splitting is one of the core root causes of ceramic-on-ceramic tribological anomalies (abnormal noise, high friction, localized wear).
Meanwhile, despite the extremely low wear rate of ceramics, wear particles from surrounding tissues or metallic components of implants may still enter the friction interface, leading to third-body wear. Doorn et al. [29]. confirmed that the presence of 0.5–5 μm metal debris in the ceramic–ceramic interface increases the wear rate by 10–30 times. Affatato et al. [7]. simulated bone debris entering the interface, showing a significant increase in the friction coefficient of the ceramic–ceramic pair, accompanied by microcrack propagation. Calcium phosphate particles within the interface can act as “rolling bodies” to reduce instantaneous friction, but long-term exposure leads to short-strip wear. Third-body wear is a key pathway triggering microdamage on ceramic surfaces, particularly prevalent during early postoperative activity or under conditions of prosthesis microlooseness [30]. Research indicates that as a brittle material, ceramic implants undergo microcrack propagation, phase transformations, and surface roughness alterations within the patient body. These factors collectively influence their tribological behavior. Souza et al. [31]. noted that the t → m phase transition in zirconia exacerbates surface roughening under cyclic loading, elevating the coefficient of friction. This further induces microcrack initiation and generates fine grooves, significantly compromising lubrication film stability. Li et al. [32]. observed localized grain pulling out on ceramic surfaces in the body fluid environment, leading to the generation of fine particulate wear debris, as shown in Figure 2.
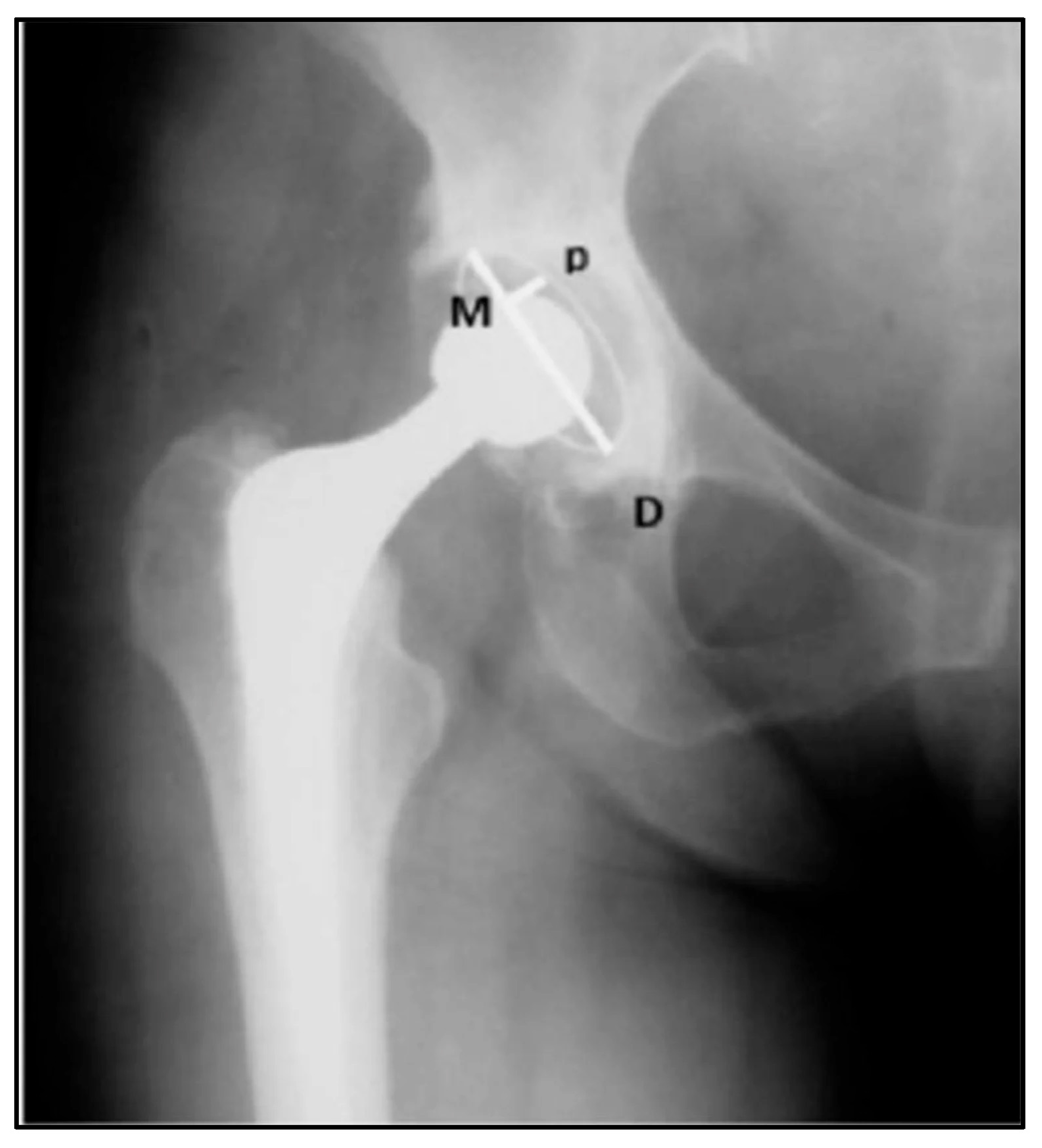
Figure 2.
Acetabular component positioning angle measurement. (a)—line that touches the ischial tuberosities; (b)—line through the axis of the largest diameter formed by the projection of the metallic ring on the radiograph; (c)—acetabular angle. [14] © MDPI 2023.
3. Influence of Material Composition and Surface Properties on the Tribological Behavior of Ceramic–Ceramic Pairings
The tribological performance of ceramic-on-ceramic bearings depends not only on joint kinematics and lubrication conditions, but is fundamentally influenced by the combined effects of the material’s crystalline phase structure, mechanical properties, surface morphology, and chemical stability. This chapter aims to summarize key research advances in the tribology of typical ceramic materials, with particular focus on how material characteristics affect lubricant film formation, friction coefficient, wear mechanisms, and clinical reliability [33].
3.1. Micro-Contact Behavior at Friction Interfaces
Due to their exceptionally high hardness and elastic modulus, ceramic materials exhibit distinct micro-contact characteristics at friction interfaces. Although ceramic bearing surfaces appear to be in full contact at the macroscopic scale, the actual load-bearing area is confined to a limited number of micro-asperities because of minimal elastic deformation. As a result, contact stresses are highly localized, making surface integrity and lubrication film stability particularly critical for tribological performance [34].
Research indicates that surface roughness is one of the dominant factors determining the initial contact behavior of ceramic friction systems. After precision mirror finishing, aluminum oxide ceramics and zirconia-toughened alumina (ZTA) can achieve ultra-smooth surface roughness (Ra) levels of 5–20 nm [35]. Such low roughness not only implies minimal height differences between surface micro-asperities but also enables the shear interface to rapidly establish a continuous model lubricating film. In friction tests simulating artificial joint motion, reducing Ra from approximately 20 nm to 8 nm decreased the steady-state coefficient of friction from 0.08 to 0.03, while further lowering the wear rate by about 40%. This demonstrates that micro-surface engineering directly determines the macroscopic friction performance of ceramic materials, representing a core technological factor influencing their service life and stability [36].
However, friction conditions in actual clinical settings are far more complex than laboratory conditions. Natural joint motion involves speed variations, load fluctuations, and directional changes.
Edge loading occurs when gait shifts or components are mounted at an angle, potentially displacing the contact area toward the edge of the ceramic pad and causing a sharp increase in local pressure. Lubrication breakdown or transient loss of lubrication can result from gait acceleration, impact loads, or the formation of localized dry sliding zones, destabilizing the lubricating film and increasing direct surface contact. In terms of impact-induced localized high-pressure peaks, despite ceramic surfaces’ high hardness, transient impacts may generate microscopic peak stresses exceeding local fracture thresholds, triggering microcracks, grain spalling, or surface roughening [37].
Extensive retrieval studies indicate that surface roughening observed on ceramic bearings is predominantly associated with metal transfer rather than damage to the ceramic substrate itself [38]. Although metal transfer does not compromise the underlying ceramic, it may influence lubrication patterns and, in some cases, contribute to acoustic phenomena such as noise. For example: localized roughening increases the number of micro-asperities, altering the actual contact area distribution, enhancing shear behavior, and further affecting lubrication film formation efficiency; microcrack propagation may also change surface energy and hydrophilicity, thereby altering protein adsorption patterns and interfacial adhesion tendencies [39].
Overall, the ceramic friction interface should be regarded as a dynamically evolving system rather than an idealized static surface, with surface integrity, lubrication stability, and contact mechanics jointly governing long-term tribological behavior [40].
3.2. Effects of Lubrication Status and Body Fluid Environment
The lubrication performance of ceramic–ceramic (CoC) friction pairs is significantly influenced by the coupling effects of the fluid environment, protein adsorption kinetics, and operational conditions. Unlike metallic or polymeric materials, ceramic surfaces exhibit strong chemical inertness and low surface energy, leading to markedly different lubricating film formation mechanisms. Consequently, their lubrication state demonstrates high dynamism during actual service.
3.2.1. Biological Lubrication Mechanisms and Their Dynamic Changes
Lubrication at CoC friction interfaces typically undergoes dynamic switching between boundary lubrication and elastohydrodynamic lubrication (EHL). During initial joint activation, sudden load changes, or reduced synovial fluid viscosity, the system typically operates under boundary lubrication. At medium to high speeds with adequate lubricant supply, it more readily transitions to a partially EHL state [41]. Ceramic bearing surfaces should not be strictly classified as hydrophobic, especially when compared with CoCr alloys and XLPE, as their wettability behavior depends on surface chemistry, roughness, and lubricant composition [42].
A study using bovine serum albumin (BSA, 30 g/L) to simulate synovial fluid found that ceramic surfaces exhibit weak protein adsorption and slow lubricating film formation. This results in a higher coefficient of friction (0.15–0.20) during the initial start-up phase, which gradually decreases to a steady state (0.05–0.08) [43]. This process typically corresponds to patients’ subjective perception of “mild resistance during initial movement.” Simultaneously, protein sources exert differential effects on lubrication performance, with significant variations in adsorption capacity across different protein types on ceramic surfaces. For instance: Fibrinogen (Fg), characterized by long molecular chains and high structural flexibility, forms a sparse yet highly slip-resistant adsorption layer on ceramic surfaces, effectively reducing shear forces. Gamma-globulin (IgG) exhibits weak adsorption, struggles to form continuous films, and results in higher peak friction during startup. Hyaluronic acid (HA) significantly enhances synovial fluid viscoelasticity, facilitating transition to EHL mode [44]. An in vitro evaluation demonstrated that under HA (0.5% w/v) lubrication, the mean steady-state friction coefficient of BIOLOX delta ceramic decreased from 0.06 to 0.03, indicating high sensitivity of CoC interface friction behavior to biolubricant composition. At low velocities (<5 mm/s), fluid film formation at the CoC interface is challenging, with friction primarily governed by the protein adsorption layer. Conversely, at moderate to high speeds (20–40 mm/s), EHL is more readily established, with film thickness increasing by approximately 200–300% and the coefficient of friction decreasing by over 50%. This closely aligns with the evolution of joint velocities during daily walking and running activities [45].
3.2.2. Risk of Loss of Lubrication Under Edge Loading
In actual clinical conditions, factors such as gait deviation, improper prosthesis positioning, or excessive patient weight may cause the joint contact area to shift from its normal position toward the edge of the liner, a phenomenon known as edge loading. Under this condition, pressure becomes concentrated in the ceramic contact zone while local synovial fluid supply decreases, making the lubricating film more susceptible to rupture [46]. Edge loading causes a drastic thinning of the lubricating film. A classic micro-motion–sliding coupling test demonstrated that when a ceramic cup-head assembly exhibits a 30°malposition: the lubricating film thickness decreases by over 60%; the system rapidly degrades from partial EHL to boundary lubrication or even dry friction [46]; and the friction coefficient surges from 0.04 to 0.25. This “de-lubrication state” generates intense friction vibration, widely recognized clinically as a typical trigger for squeaking sounds in ceramic prostheses.
As shown in Figure 3, toughening in advanced alumina-based ceramics is primarily achieved through strontia-containing phases, whereas chromia does not act as a toughening agent [47]. However, studies indicate transient dry friction may still occur under the following conditions: high step frequency (e.g., brisk walking, running); abnormally elevated contact stress in patients with high body weight (BMI > 30); deep flexion postures (e.g., cross-legged sitting, squatting) causing cup-head edge contact; and prosthetic cup inclination angles > 55° increasing edge contact risk. Under these conditions, the coefficient of friction can surge to >0.20 within hundreds of milliseconds, accompanied by measurable acoustic vibration signals. This demonstrates that despite material performance enhancements, lubrication status remains the core factor determining the long-term stability of CoC systems [48].
Figure 3.
Radiographic areas of acetabular displacement, proposed by DeLee and Charnley, represented in the angle of lines M and D (1976) [14] © MDPI 2023.
Clinical cases support the impact of marginal loading. Several clinical reports indicate that ceramic cups with slight positional abnormalities are more prone to squeaking, with an incidence rate as high as 3–8%. Under high dynamic loads such as strenuous physical activity, stair climbing, or running, patients are more likely to perceive a “dry sound” or “friction sensation.” Adjusting cup position or reducing activity intensity can significantly alleviate most squeaking phenomena, further demonstrating its close correlation with fluctuations in lubrication status [49].
3.3. Microstructure and Phase Transformation Behavior of Materials
The microstructure of ceramic materials has long been recognized as a core factor determining their tribological properties and service stability. With advances in materials science and technology, modern joint ceramics have achieved a balance between high hardness, high wear resistance, and fracture toughness through grain refinement, control of grain boundary glass phases, composite toughening structures, and optimization of phase transformation mechanisms. Among various approaches, composite ceramics represented by zirconia-toughened alumina (ZTA) have gained widespread adoption in hip replacements due to their exceptional toughness enhancement [50]. The t → m phase transformation induced by trace tetragonal zirconia at crack tips in ZTA significantly inhibits crack propagation through energy absorption and stress shielding. Numerous simulated gait experiments have validated this intuitive effect. For instance, a study involving 10 million cycles demonstrated that ZTA femoral heads containing approximately 17 wt% ZrO2 exhibited wear rates one-third to one-half that of conventional alumina materials. The performance of ZTA ceramics is governed by a finely tuned balance between alumina and zirconia content, zirconia stabilization mechanisms, and process parameters during sintering and machining, rather than by composition alone [51]. The wear scar surface displayed continuous, uniform, and fine striations, with virtually no brittle spalling or pull-outs [52]. Similar results have been repeatedly validated in European multicenter simulator tests. The introduction of toughening phases enables the material to maintain surface integrity under high loads, which is also one of the key reasons why the fourth-generation BIOLOX delta ceramic demonstrates superior long-term clinical performance compared to earlier alumina ceramics.
However, the toughening mechanism is a double-edged sword. While tetragonal zirconia effectively inhibits crack propagation in toughened ceramics, it may undergo low-temperature degradation (LTD) during prolonged service in bodily fluid environments. Specifically, it gradually undergoes autocatalytic transformation to the monoclinic phase at 37 °C under humid conditions [53]. This phase transformation typically initiates at surface grain boundaries, accompanied by 3–5% localized volume expansion. This leads to increased surface roughness and triggers the continuous generation of microcracks. A representative experiment demonstrated that after 12 months of immersion in simulated body fluid, the surface roughness of a ZTA cup body increased from 10 nm to 38 nm, with the coefficient of friction rising by approximately 70%. Concurrently, the film thickness under mixed lubrication conditions decreased significantly. Currently, no clinical or in vitro evidence indicates surface alteration of delta ceramic components following exposure to simulated body fluids or the in vivo environment. This observation, however, cannot be generalized to all ceramic materials, and non-clinically proven products should undergo extensive testing [54]. While phase transformation toughening offers significant advantages in enhancing toughness and reducing wear, optimizing its aging stability remains a critical challenge in current material development [55].
3.4. Edge Wear and Operational Noise
Beyond wear evolution caused by material microstructure, another tribological issue of significant clinical concern with CoC prostheses is “running noise” (squeaking). This phenomenon, described as “squeaking,” “friction noise,” or “rhythmic whistling,” has been reported in the literature with incidence rates ranging from 0.5% to 10%. Its occurrence is primarily influenced by implant angle, patient gait, biomechanical environment, and prosthesis model variations [56]. Surface observations of clinically recovered prostheses reveal that patients experiencing abnormal noise often exhibit distinct marginal contact wear features: a deep, localized groove-like wear band forming along the upper or posterosuperior rim of the ceramic cup. Such wear typically occurs in cases where the cup inclination exceeds 50–55°, exhibits significant anterior tilt deviation, or features a relatively eccentric femoral stem position. Local contact pressures in these areas can be 5–8 times higher than in normal contact zones. Under high contact pressure, the lubricating film ruptures instantaneously, causing the ceramic interface to enter boundary friction or even dry friction. This generates a sharp friction noise and significantly accelerates local surface roughening [57].
Recent studies on in vitro friction vibration (such as pin-on-disk combined with acoustic analysis) have further revealed the physical mechanisms underlying operational noise [27]. Self-excited vibration is more likely to occur when the friction coefficient of ceramic bearing pairs falls within the transitional range of 0.15–0.25, generating audible acoustic waves at 1–3 kHz whose spectrum highly correlates with patient complaints. The formation of friction-induced vibration typically results from multiple coupled factors rather than a single mechanism [58]: First, periodic rupture of the lubrication film under edge loading or low-speed gait induces “stick-slip” behavior at the interface. Second, increased surface roughness further enhances energy accumulation at the interface. Third, the high elastic modulus of ceramics facilitates vibration transmission to the joint structure. Finally, in some cases, mild impact between the femoral neck and acetabular rim creates resonance, further amplifying acoustic signals. While the noise itself does not cause tissue damage or prosthesis loosening, its impact on patient experience is profound, making it a significant clinical factor affecting satisfaction with ceramic-on-ceramic bearings [59].
3.5. Body Fluid Chemical Corrosion and Interfacial Chemical Reactions
Ceramic materials exhibit strong chemical inertness, yet may still undergo slight dissolution and surface chemical reactions in physiological environments. For instance, immersion tests in simulated body fluid (PBS) revealed that after six months of prolonged exposure at 37 °C, BIOLOX delta ceramic exhibited slight grain boundary erosion marks on its surface. This resulted in an approximate 30% increase in the coefficient of friction compared to its initial state. Although this change is insufficient to cause structural failure, it impacts the stability of the lubricating film and the evolution of wear [57]. Experimental and clinical evidence suggests that delta ceramic may offer advantages over CoCr in hemiarthroplasty by better preserving cartilage integrity. Nevertheless, these outcomes are highly dependent on the specific ZTA formulation, as not all ZTA ceramics exhibit equivalent behavior [59].
Additionally, the selective adsorption behavior of proteins may alter interfacial lubrication properties. Studies employing mass spectrometry analysis have revealed that ceramic surfaces exhibit a greater tendency to adsorb albumin than fibrinogen. Given that albumin possesses superior lubricating properties compared to fibrinogen, protein adsorption forms a “natural protective film.” Once protein adsorption capacity diminishes—such as following surface roughening—the tribological performance consequently deteriorates [59].
3.6. Tribological Analysis of Typical Clinical Failure Cases
In understanding the tribological characteristics of ceramic-on-ceramic (CoC) prosthetic joints, clinical retrieved prosthesis analysis provides the most compelling direct evidence. These retrieved specimens often document the wear trajectories, lubrication breakdown features, and material degradation phenomena experienced by prostheses after long-term in-body service, offering irreplaceable value in revealing the root causes of abnormal wear and operational noise. Numerous current case studies demonstrate that CoC prosthesis failure is rarely caused by a single factor. With currently commercialized ceramic solutions, revision surgery is rarely attributable to material-related failure. Instead, the dominant causes remain infection, dislocation, periprosthetic fracture, and aseptic loosening. Nevertheless, non-clinically proven products may carry an increased risk and should be introduced cautiously following stepwise clinical evaluation [60].
In typical cases, localized surface roughening of ZTA materials is one of the most common signs of failure. For instance, in a case where abnormal sounds developed five years post-surgery, retrieved ZTA femoral heads exhibited distinct roughened patches in the anteromedial region. Under SEM, this area displayed a clear network of microcracks and the detachment of submicron-sized particles, with surface roughness increasing severalfold compared to the initial condition. Combined with tribological simulations, it can be inferred that such damage often originates from localized stress concentration caused by prolonged mild edge loading. This accelerates phase transformation of tetragonal zirconia in bodily fluids, inducing surface micro-expansion and roughening. This roughening not only directly elevates the local friction coefficient but also disrupts the boundary lubrication film originally maintained by the protein layer. This causes periodic collapse of the lubrication film, accelerating adhesive wear. This retrieval study, conducted in regions with a high prevalence of ceramic-on-ceramic bearings, provides insights into surface alterations and acoustic phenomena. However, current clinical evidence does not indicate that noise associated with CoC bearings represents a clinically relevant concern [61].
Another representative failure pattern involves deep, band-like grooves appearing on the inner wall of ceramic cups, often closely associated with abnormal surgical insertion angles. In one clinical case, the patient persistently complained of “creaking sounds.” The recovered ceramic cup exhibited significant grooves up to 0.1–0.2 mm deep in the upper rim region. The wear bands were laterally continuous with well-defined boundaries, typically matching the “stripe wear” characteristics simulated in vitro. Further mechanical analysis revealed this wear predominantly occurs when the cup inclination exceeds 55° or the anterior tilt is insufficient. In this posture, the femoral head undergoes highly eccentric contact during walking, bringing the contact point close to the cup rim. This significantly elevates local contact pressure, momentarily rupturing the lubrication film and causing the head-cup interface to transition to dry friction in that region. Persistent dry friction progressively expands the wear zone and induces audible-frequency interface vibrations due to high friction, explaining patients’ consistent reports of “sharp grinding noises.” Similar band-like wear patterns were extensively documented in a North American multicenter retrospective analysis, where over 80% of band wear specimens correlated with abnormal implant angles or femoral stem geometric mismatch. This further substantiates the causal chain linking “surgical position → marginal loading → dry friction → noise” [62].
It is worth noting that beyond the two aforementioned typical damage categories, some clinical failure cases also reveal the combined effects of the lubrication environment and third-body particles. For instance, certain recovered prostheses exhibited scattered micro-pits and mild abrasion beneath the cup, which was speculated to be related to bone debris entering the interface during the early implantation phase. Other studies have found that minute metal particles shed from the femoral stem surface become embedded in the ceramic surface, intensifying localized grinding effects and subsequently promoting the formation of roughened areas. Available evidence indicates that CoCr alloys, coated surfaces, and XLPE are more prone to third-body wear compared to advanced ceramic bearings. Notably, this conclusion is supported primarily for delta ceramic, whereas other ZTA materials may exhibit different responses [63].
3.7. Summary
The tribological behavior of ceramic-on-ceramic bearings is driven by multiple factors including material microstructure, interfacial lubrication, physiological environment, and surgical variables. Although ceramic materials exhibit excellent wear resistance, clinical issues such as surface roughening, lubrication failure, edge loading, and noise generation remain significant concerns. A deeper understanding of these tribological mechanisms will provide a more reliable theoretical foundation for subsequent material design, surface engineering techniques, and prosthesis structural optimization.
4. Wear Mechanism and Characteristics of Ceramic–Ceramic Pairing in Artificial Joints
Ceramic-on-ceramic (CoC) bearings are regarded as one of the most stable friction pairs in artificial joints due to their extremely low wear rates. However, both clinical and in vitro studies indicate that while CoC prostheses exhibit significantly lower overall wear than metal-on-polyethylene bearings, their wear mechanisms are more complex and their wear behavior demonstrates pronounced operating condition dependency. This chapter explores the wear mechanisms of ceramic-on-ceramic bearings through in vitro experiments, microstructural evolution of materials, and clinical evidence from recovered prostheses. The aim is to establish correlations between material properties, interfacial friction behavior, and clinical failure.
4.1. Low Wear Behavior Under Normal Operating Conditions
Under ideal operating conditions, ceramic-on-ceramic (CoC) bearing pairs consistently exhibit recognized “ultra-low wear” characteristics in standardized gait simulations due to their exceptional hardness, chemical inertness, and surface stability. Extensive simulator testing indicates that the volumetric wear rate of conventional Al2O3/Al2O3 pairs typically remains within 0.06–0.1 mm3 per million cycles, two orders of magnitude lower than metal-polyethylene systems. Advancements in material technology have enabled next-generation zirconia-toughened alumina (ZTA) ceramics to further reduce wear rates to 0.01–0.03 mm3/million cycles. Some studies even report undetectable quantifiable wear after 20 million cycles. This phenomenon has been consistently validated not only in commercial simulator tests across Europe and North America but also in independent studies conducted in Japan and Australia, demonstrating the highly universal and cross-platform consistency of this low-wear characteristic [64].
The microstructure of the worn surface further reveals the physical essence of this low-wear mechanism. Unlike the adhesive wear commonly observed in metallic materials or the fatigue creep wear seen in polyethylene, the ceramic friction interface exhibits typical “light grinding” characteristics under normal lubrication conditions. The wear zone consists of uniform, parallel, and shallow fine striations, with scratch widths ranging from nanometers to submicrometers. SEM and AFM observations consistently show the ceramic surface maintains high integrity, with no signs of flaking between grains and an extremely low probability of crack initiation. This wear behavior reflects the ceramic material’s high hardness (>18 GPa), which confers resistance to plastic cutting. Consequently, even under repeated contact loads, significant removal of surface material is unlikely. Concurrently, the material’s chemical inertness and extremely low oil affinity prevent adsorption of degradative molecules, maintaining stable interfacial energy and facilitating uniform lubrication film distribution [65].
Additionally, the Tao–Tao interface is more prone to forming a stable elastic-hydrodynamic (EHL) lubrication state under normal operating conditions, which is another key factor contributing to its significantly lower wear rate compared to other mating pairs. Research indicates that the higher elastic modulus of ceramic surfaces promotes uniform diffusion of peak contact pressures, thereby forming a thin, continuous fluid film during sliding. Albumin-containing simulated synovial fluid forms a stable protein adsorption layer on ceramic surfaces, maintaining lubrication film thickness at the submicron level and effectively reducing the frequency of solid contact. Some studies indicate that even when experiencing periodic fluctuations in lubrication film thickness during gait cycles, ceramic interfaces can rapidly revert to a fluid-dominated lubrication state, demonstrating exceptional resistance to lubrication film rupture [66].
However, it must be emphasized that this idealized low-wear performance is not an inherent property of ceramic–ceramic bearings, but rather a systemic outcome maintained by a series of boundary conditions. For instance, if the inclination angle and forward tilt angle of the acetabular cup deviate from the recognized “safe zone,” the contact patch will shift from the center of the ball cap to its upper edge. As shown in Figure 4, this causes a sharp increase in contact stress and weakens the lubricating film thickness, transforming the interface from its original EHL state to mixed lubrication or even boundary lubrication. Furthermore, alterations in synovial fluid composition—such as reduced protein concentration or decreased viscosity—can diminish film thickness, thereby increasing friction heat and fatigue stress in microcontact zones. Research also indicates that even trace amounts of third-body particles entering the ceramic interface can elevate wear rates by an order of magnitude, as ceramics exhibit extreme sensitivity to hard particles—a characteristic markedly different from polyethylene. More critically, during transient high-load gait events like rapid pivoting or stair descent, impact force peaks often exceed those in routine simulation conditions. This abruptly subjects the previously stable interface to high stress zones, disrupting the lubricating film and triggering transient dry friction events [67].
Figure 4.
Offset of the femoral component; distance from the center of the femoral head to the axis line of the distal part of the rod. [14] © MDPI 2023.
Therefore, although extensive simulator testing and long-term clinical studies consistently confirm that ceramic-on-ceramic bearings exhibit the industry’s lowest wear rate under normal operating conditions, this “low wear baseline” represents a dynamic equilibrium state highly dependent on boundary conditions—not an inherent property of the material itself. Any deviation from ideal conditions—including surgical placement errors, altered lubrication environments, abnormal gait patterns, transient impacts, or particulate contamination—can trigger a shift from “extremely low wear” to “abnormal wear” or “accelerated wear.” This explains why ceramic prostheses demonstrate stable durability in most patients yet exhibit clinical phenomena such as banding wear, noise, and localized surface roughening in a minority of cases [68].
4.2. Micro-Damage and Fatigue Behavior on Ceramic Surfaces: The Microscopic Origin of Wear
Despite being renowned for their high hardness, compressive strength, and exceptional chemical stability, ceramic materials inevitably accumulate micro-damage at their surfaces during prolonged service. This micro-damage accumulation marks the critical threshold where ceramic–ceramic friction interfaces transition from “ultra-low wear” to “detectable wear” and ultimately to “abnormal wear.” Extensive simulator studies reveal that under millions to tens of millions of cyclic loads, ceramic surfaces are subjected to repeated shear and compressive stress fields. While macroscopic wear remains minimal, micro-level fatigue cracks may silently initiate in localized weak areas. Particularly in traditional alumina materials, SEM observations frequently document submicron-scale intersecting cracks near grain boundaries or defects. While these cracks initially exert minimal influence on tribological performance, their accumulation and propagation constitute a latent hazard for subsequent accelerated wear [69].
In contrast, ZTA exhibits a distinct advantage in resisting early crack initiation due to its toughening mechanism. Multiple studies indicate that the t → m phase transformation induced at the crack tip in tetragonal zirconia absorbs energy and impedes crack propagation, delaying crack initiation by approximately 2–3 times compared to pure alumina. However, even in ZTA, when cyclic loading exceeds a certain magnitude, accumulated stress may still induce localized pulling out of a small number of grains, forming initial spalling pits. As grain detachment continues, surface roughness gradually increases from several nanometers to tens or even hundreds of nanometers. This ultimately leads to insufficient lubricant film thickness, causing localized solid contact at the interface and further accelerating the generation of adhesive or abrasive wear [7].
It is noteworthy that the evolution of surface microdamage typically exhibits a pronounced “threshold effect”: Under low contact pressure conditions, crack initiation proceeds slowly, maintaining extremely low wear levels even after hundreds of thousands or millions of cycles. However, once localized stress increases occur—such as during transient impact gait, rapid patient turns, running/jumping motions, or mild edge loading—stress peaks can drive crack propagation at rates far exceeding normal levels, leading to rapid surface roughening in micro-regions. This micro-damage significantly impacts lubricant film stability, typically unfolding through a chain reaction: microcrack initiation → grain pulling → increased roughness → reduced film thickness → increased solid contact → accelerated microdamage propagation, ultimately evolving into severe forms like banding wear. Therefore, surface microdamage can be regarded as the “invisible starting point” of wear evolution in ceramic–ceramic contact pairs. Although difficult to detect visually in the early stages, its physical consequences have profound implications during medium-to-long-term service [70].
4.3. Abrupt Wear Changes Caused by High Contact Pressure and Edge Loading
The most destructive wear pattern in ceramic-on-ceramic bearings is the wear catastrophe triggered by edge loading, a phenomenon consistently observed in both clinical recovered prostheses and in vitro simulation experiments. Edge loading typically occurs under conditions such as excessive cup inclination, abnormal anterior tilt, femoral head eccentricity, insufficient soft tissue tension, or abnormal patient gait. When the contact patch shifts from the fully covered central zone to the cup margin, local contact stress can instantly increase to 5–8 times that of normal regions, approaching the microcrack threshold of ceramic materials. Multiple biomechanical analyses indicate that contact point displacement during dynamic gait can reach 3–5 mm. This displacement is sufficient to transform areas that should be fluid-lubricated into regions dominated by solid contact, leading to lubrication film collapse and inducing localized high-friction events [71].
Stripe wear represents the most typical wear pattern under edge loading, often manifesting as deep groove-like wear bands on the upper rim of the ceramic cup, with widths of 1–3 mm and depths reaching 0.1–0.3 mm. In vitro simulator studies indicate that after applying abnormal abduction angles or subluxation displacements, the CoC surface—which was previously nearly wear-free—rapidly develops stripe wear. Surface roughness increases from the 10 nm range to 200–500 nm, while the wear mechanism shifts abruptly from mild abrasion to a hybrid mode involving fatigue spalling and brittle fracture. Clinical recovery data corroborates this trend: in large multinational retrospective studies, over 70% of ceramic cups exhibiting noise or accelerated wear showed pronounced banding wear, with the vast majority of cases accompanied by implant angular misalignment or femoral stem geometric mismatch [72].
Notably, as shown in Figure 5, edge loading not only directly causes wear mutations but may also trigger interface temperature rise, lubricating film reconstruction failure, and amplified friction vibration effects. As the contact area shrinks from a continuous curved surface to localized point contact, frictional heat struggles to dissipate effectively through the lubricant, leading to localized temperature increases that further degrade the protein adsorption layer and hinder lubricating film recovery. Simultaneously, roughened patches formed in high-contact-pressure zones persistently disrupt the hydrodynamic behavior of the interface during subsequent gait cycles, trapping the region in a vicious cycle of “easy triggering and difficult recovery.” In this sense, striping wear is not merely a wear outcome but a hallmark phenomenon marking the transition of ceramic–ceramic pairs from stable operation into abnormal tribological phases.
Figure 5.
Adopted gait cycle [27] © MDPI 2022.
4.4. Lubrication Film Breakdown and Instability of Biological Lubrication
Ceramic–ceramic artificial joints rely on protein-rich synovial fluid to establish a thin, continuous boundary-fluid-mixing lubrication film within the body, maintaining low friction and wear. However, compared to the complex synergistic system of natural joint lubricants—hyaluronic acid and phospholipids—the lubrication environment of artificial joints is chemically simpler and lacks sufficient viscoelasticity, making it more sensitive to variations in load, speed, and contact pressure. When lubrication film thickness falls below a critical threshold, the ceramic surface rapidly transitions from hybrid lubrication to boundary lubrication dominated by solid contact or dry friction. This transition serves as the core trigger for various tribological anomalies [73].
Extensive experimental data indicates that lubricating film rupture is most likely to occur during low-speed gait, initial movement phases, stair climbing/descending, or under eccentric loading conditions. For instance, when sliding speeds drop below 5 mm/s, the fluid film derived from simulated synovial fluid struggles to generate effective hydrodynamic pressure. Consequently, the friction coefficient can surge abruptly from 0.05 to 0.4, approaching near-dry friction levels. Some studies also indicate that even a slight decrease in protein concentration can cause discontinuities in the interfacial adsorption layer, reducing film thickness by over 40% and further increasing the probability of solid contact. Periodic load variations during dynamic gait similarly cause the lubricating film to undergo a “formation–extrusion–reconstruction” cycle within a gait cycle. If any stage is disrupted—such as by transient impacts, rotational slippage, or localized surface roughness interference—the film’s reconstruction may fail. This induces a “stick-slip” state at the interface and triggers high-friction fluctuations [74].
Clinical studies also support the pivotal role of lubrication film instability in ceramic-on-ceramic failure. Patient-reported “clicking” often occurs during specific movements (such as squatting, turning, or descending stairs), which share the common characteristics of low sliding speeds and significant contact point displacement—conditions highly consistent with lubrication film rupture. Excisions of some CoC prostheses revealed localized surface roughening and microcrack propagation, often highly correlated with sites of recurrent lubrication film rupture. Furthermore, animal models demonstrate that the adsorption–desorption dynamics of lubrication proteins become disrupted under high shear forces. This exposure of ceramic interfaces to repeated dry friction events accelerates wear progression [75].
In summary, As shown in Figure 6, lubrication film rupture constitutes the core mechanism of ceramic–ceramic tribological anomalies, forming a complex coupling chain among microdamage evolution, edge loading, noise generation, third-body wear, and material degradation. Once the interface enters an unstable lubrication state, the ceramic surface’s advantage of extremely low wear becomes difficult to sustain, and its tribological performance may deteriorate significantly within a short timeframe.
Figure 6.
Mechanism of Hybrid Fluid–Dynamic Lubrication in Artificial Hip Joints [76] © MDPI 2020.
4.5. Third-Body Abrasive Contamination
Although ceramic–ceramic wear rates are low, once abrasive particles enter the interface, the friction coefficient increases exponentially, leading to the propagation of micro-scratches. Currently, the three primary high-risk abrasive particles originate from bone debris, metallic particles (from instruments or residual internal fixation), and ceramic debris (from localized microcracks). Experiments by Ruggiero et al. [76]. confirmed that adding just 1 mg of bone debris can increase ceramic wear by 20–30 times. Tests with metal particles showed the friction coefficient instantly jump from 0.05 to 0.45. These findings demonstrate that despite ceramic’s extremely low wear rate, it remains highly sensitive to third-body particles.
4.6. Surface Microdamage, Phase Transformation, and Material Degradation Mechanisms
Ceramic materials, especially composite ceramics with high zirconia content, undergo a t → m phase transformation, leading to volume expansion and increased surface roughness. No evidence of grain pull-out has been reported for delta ceramic components. However, grain pull-out has been described for other ceramic materials, particularly in association with phase transformation processes [77].
Microcrack and Roughening Mechanisms
Ceramic components are renowned for their exceptional stability and inertness. However, for systems containing zirconia or composite alumina, material degradation triggered by phase transformations remains a potential risk during long-term service. Particularly in ZTA or composite ceramics with high zirconia content, tetragonal zirconia may undergo a t → m phase transformation under external environmental or cyclic stress conditions. This transformation, accompanied by approximately 3–5% volumetric expansion, significantly disturbs the microstructure of the material’s surface layer. The seminal work by Keurentjes et al. [78]. demonstrated that this volumetric change can induce submicron-scale cracks near grain boundaries. These cracks progressively accumulate into detectable surface roughness, compromising the inherent lubricity advantage of the originally highly polished ceramic surface. This degradation becomes a critical foundation for accelerated wear and noise generation.
This phase transition behavior is often closely intertwined with environmental factors, the most typical being the phenomenon known as “low-temperature degradation (LTD).” LTD primarily occurs in humid environments. When water molecules diffuse along grain boundaries into the zirconia structure, they catalyze a self-propagating transformation from the tetragonal phase to the monoclinic phase. As this phase transition spreads, grains within the top few micrometers may undergo layer-by-layer delamination, resulting in surface micro-bulging, a sharp increase in roughness, and grain pulling-out. In vitro accelerated aging tests confirm that after 20–40 h of exposure to 134 °C and 2 bar steam, zirconia ceramics exhibit significant surface roughening, with Ra values increasing from 10 nm to 70–150 nm. This demonstrates the highly cumulative nature of degradation driven by phase transitions. Furthermore, under combined dynamic loading and humid-heat conditions, phase transitions often couple with fatigue crack behavior, accelerating material degradation. This phenomenon has been repeatedly validated in long-term cyclic tests simulating synovial fluid environments [40].
Clinical prosthesis retrievals provide more direct evidence. BIOLOX forte does not contain reinforcing phases such as zirconia; nevertheless, it demonstrates excellent long-term clinical outcomes. Previously reported issues related to specific head designs are not associated with the mechanisms discussed here and have not been shown to lead to revision surgery. This roughening further impeded lubrication film formation, leading to friction noise or increased mild wear in patients. The subsequent BIOLOX delta material enhanced phase transformation toughening and aging resistance by introducing nanoscale zirconia, chromium oxides, and trace carbides to strengthen grain boundaries, significantly reducing macro-cracking and spalling rates. Multiple post-operative retrieval analyses demonstrate that delta material maintains near-original surface integrity after over 10 years of in-body service, substantially reducing the risk of degradation caused by LTD.
Furthermore, in some cases, phase transformation degradation exhibits coupled effects with other tribological mechanisms. For instance, localized high stresses induced by edge loading can accelerate the premature initiation of phase transformation cracks, while the formation of roughened regions further disrupts the lubricating film. This creates a vicious cycle at the interface: stress concentration accelerates phase transformation, which in turn promotes roughening and diffusion. Previous studies have observed significantly higher phase transformation content in the edge wear zones of ZTA cups compared to the central regions, indicating that phase transformation behavior is not only influenced by material composition but also highly dependent on interface tribological conditions and load distribution. Stress-induced transformation of zirconia under mechanical loading is an intended toughening mechanism, as long as surface stability is not adversely affected [79].
4.7. Summary
Importantly, these phenomena have not been shown to affect clinical outcomes when current leading ceramic bearings are used. Clinical performance depends not only on material composition, but also critically on manufacturing processes and quality control [80]. The primary tribological issues in ceramic-on-ceramic artificial joints do not stem from a single mechanism but result from the combined effects of multiple factors, including material properties, assembly orientation, gait patterns, lubrication conditions, third-body particles, and localized microdamage. These issues also exhibit coupling effects: edge loading can induce stripe wear while simultaneously disrupting the lubrication film and promoting third-body particle generation, thereby further increasing the risk of noise. Therefore, thoroughly elucidating these mechanisms is crucial for improving ceramic materials, optimizing prosthesis design, and enhancing long-term clinical performance.
5. Optimization Strategies and Research Advances in the Tribological Properties of Ceramic–Ceramic Artificial Joint Pairs
Ceramic-on-ceramic (CoC) artificial joints possess inherent advantages in tribological performance, yet remain constrained by clinical issues such as squeaking, edge loading, unstable lubrication films, and cumulative microdamage. To improve their friction-wear behavior and clinical outcomes, recent research has proposed a series of optimization strategies across multiple dimensions, including material design, surface engineering, lubrication environment control, and structural optimization. This chapter provides a systematic review of the current state of CoC friction interface optimization, summarizing recent advances and illustrating key developments through representative research examples.
First, from the perspective of material optimization, the microstructural stability of the ceramic matrix is one of the core factors determining the reliability of the friction interface. Fourth-generation bioceramics (such as Biolox® delta) incorporate zirconia toughening particles and whisker reinforcement mechanisms, achieving approximately 30% higher fracture toughness compared to third-generation alumina. This effectively suppresses microcrack propagation in stress concentration zones. Affatato et al. [7]. observed in a 5-million-step simulated gait test that ZTA material exhibited only one-quarter the wear volume of pure alumina, with no noticeable spalling pits detected. This demonstrates that enhanced material toughness significantly delays the accumulation of microdamage at interfaces. Furthermore, De [28]’s team proposed that controlling tetragonal phase content and suppressing hydration phase transformations could reduce ZTA’s risk of surface roughening in bodily fluids, fundamentally improving lubrication film retention capability.
In surface engineering, nanoscale structural regulation has emerged as a new trend for optimizing ceramic friction behavior. Studies indicate that when ceramic surface roughness is reduced to Ra < 20 nm, the interface maintains a more stable mixed lubrication mode. Wang et al. [81]. achieved a 35% reduction in the sliding friction coefficient of alumina surfaces through ultra-precision grinding and nano-finishing, significantly decreasing lubrication film rupture frequency. Concurrently, coating technologies have been explored to enhance the wettability and biolubrication properties of ceramic interfaces. For instance, Walter et al. [82]. introduced a hyaluronic acid hydrogel layer mimicking cartilage onto ZTA surfaces to simulate the viscoelastic lubrication microenvironment found in natural joints. This modification reduced the friction coefficient in bovine serum albumin solution from 0.12 to approximately 0.04, demonstrating exceptional lubrication enhancement. Furthermore, studies have explored utilizing diamond-like carbon (DLC) coatings to improve the initial running-in behavior of ceramics. Although long-term stability requires further validation, this approach offers new insights for the composite design of ceramic friction pairs.
Regulating the lubrication environment is a key approach to optimizing CoC friction performance. Since the stability of lubricating films at ceramic interfaces is highly dependent on sliding speed, load variations, and the protein composition of lubricants, recent studies have extensively investigated the influence of protein adsorption layers in artificial body fluids on friction interfaces. Lewinnek et al. [83] demonstrated that appropriately increasing albumin content enhances the continuity of adsorption layers on ceramic surfaces, making lubricating films more resistant to disruption and thereby reducing noise occurrence rates. Furthermore, Liang et al. tested ceramic friction behavior using a bio-mimetic lubricant (containing hyaluronic acid and chondroitin sulfate). Results revealed that biomacromolecules form a more viscoelastic boundary lubrication layer, achieving over 40% greater friction reduction compared to traditional BSA solutions. Such research not only elucidates the mechanism behind abnormal friction caused by clinical gait variations but also provides theoretical foundations for designing synthetic joint lubricants.
Structural design and control of surgical factors are also considered key strategies for reducing the risk of CoC failure. Edge loading frequently occurs when the cup inclination is excessive. Consequently, several clinical retrospective analyses have emphasized the importance of the “safe zone” (inclination 40° ± 10°, anteversion 15° ± 5°) for preventing abnormal friction. Walter et al. analyzed 32 cases of ceramic squeaking, finding that over 70% were associated with excessive cup inclination. This caused transient high shear forces at the ceramic interface, leading to periodic breakdown of the lubrication film. To address this, the industry developed double-curved or constrained cup rim designs that smooth edge contact and reduce energy peaks during dry friction moments. Additionally, non-spherical ceramic heads combined with adjustable stem-head length designs better match femoral movement trajectories, reducing contact stress concentration. Clinical trials have demonstrated promising trends with these approaches [84].
In recent years, multiscale tribological simulations have provided crucial technical support for the fine-tuning of ceramic–ceramic interfaces. As shown in Figure 7, finite element analysis (FEA) and molecular dynamics (MD) simulations have been employed to predict crack propagation paths, contact area pressure distributions, and the shear behavior of protein adsorption layers. Guru et al. [85]. employed fluid–structure interaction modeling to simulate lubricant film thickness variations in ceramic joints. They observed that film thickness increased nearly threefold during high-speed, low-load phases but rapidly dropped below critical values during low-speed rotational movements—a pattern highly consistent with the timing of clinical crepitus occurrence. Such simulation methods enable researchers to assess joint risk points without relying on extensive animal or simulator testing, providing more precise predictive tools for material and structural optimization.
Figure 7.
Finite element model of ceramic-on-ceramic coupling. [27] © MDPI 2022.
Overall, tribological optimization of ceramic-on-ceramic artificial joints is rapidly advancing toward material toughening, surface nanostructuring, refined lubrication control, and intelligent structural design. Despite ongoing challenges such as complex lubrication environments and the inherent difficulty of completely avoiding edge loading, significant progress has been achieved in both material and interface engineering. This progress lays a solid foundation for the next generation of low-wear, low-noise, and highly reliable ceramic-on-ceramic artificial joints.
6. Future Research Directions
Although ceramic-on-ceramic artificial joints demonstrate significant advantages in tribological performance, chemical stability, and biocompatibility, clinical issues such as unstable lubrication films, localized wear due to edge loading, and cumulative microdamage to materials persist. This indicates that their tribological behavior remains incompletely understood. With advancements in multiscale experimental techniques, interface engineering, computational tribology, and bioscience lubrication, future research can deepen in the following key directions to propel ceramic-on-ceramic artificial joints toward higher levels of safety and long-term durability.
First, at the material body level, the controllable design of ceramic microstructures remains central to enhancing overall tribological performance. The mechanical properties of existing materials like ZTA and alumina have reached near-maturity, yet their phase transformation behavior, grain boundary stability, and submicron-scale defects may still compromise long-term service performance. Therefore, future advancements can leverage advanced ceramic toughening methods—such as nanocrystalline ceramics, two-dimensional ceramic reinforcements (e.g., graphene, MXene), and controlled grain boundary glass phases—to further enhance crack resistance. Moreover, emerging ultra-high-purity ceramic fabrication methods—such as field-assisted sintering (FAST/SPS) and templated grain growth—hold promise for reducing surface and volume defects to the atomic level. This could fundamentally minimize microcrack nucleation, rendering friction behavior at ceramic–ceramic interfaces more controllable and predictable [86]. Notably, current research on the threshold for ceramic interface microcracks causing lubrication film failure remains insufficient. Future work requires more quantitative models to define “safe defect sizes,” aiding the establishment of material design standards.
Secondly, breakthroughs in interfacial lubrication science will be pivotal in reducing CoC noise and wear. Natural joint boundary lubrication relies on multiple macromolecules—such as lubricin, hyaluronic acid, and phospholipids—yet these biological lubrication mechanisms remain incompletely replicated in artificial joints. Future research should focus on elucidating the adsorption–desorption kinetics of proteins on ceramic surfaces and the shear response of protein layers under cyclic loading. Concurrently, enhancing ceramic surface hydrophilicity, protein adsorption selectivity, or bound water layer stability through surface chemical modification may effectively prolong lubrication film persistence. Additionally, developing biomimetic lubricants represents a promising avenue. For instance, recent innovations like superlubricant hydrogels, phospholipid nanocoatings, and polysaccharide-based lubrication systems have demonstrated significant friction-reducing effects in simulated joints. However, their long-term stability under mechanical cycling and in bodily fluid environments requires further validation.
In surface engineering and interfacial structure design, “functionalized ceramic surfaces” featuring micro–nano composite structures represent a promising area for focused development. Nanoscale pits and groove structures hold potential for fluid storage, film stabilization, and shear force reduction under boundary lubrication conditions. Concurrently, imparting controlled wettability to ceramic surfaces through laser micro–nano texturing, ion implantation, or plasma surface chemical modification may effectively minimize lubrication film rupture events. Furthermore, gradient interfaces or flexible interlayers can be employed to optimize local stress distribution in ceramic–ceramic contact zones, thereby mitigating cumulative damage from point loads. Regarding composite structures, the key challenge lies in introducing buffer-like interface layers without compromising the inherent advantages of ceramic materials—namely high hardness and low wear resistance [87].
In the realm of mechanical and biomechanical optimization, future research must more precisely elucidate how activity patterns, gait parameters, body mass index, and muscle strength influence the friction behavior at ceramic interfaces. Current joint simulators often employ a single standardized gait, whereas real human movement exhibits far more complex dynamic characteristics, including rapid turns, squatting, alternating slippage, and asymmetric loading. Future efforts should establish “complex gait tribology models” that more closely approximate clinical scenarios. These models should integrate real-time gait data from wearable devices to develop patient-specific tribological risk prediction systems. Clinically, imaging-based contact trajectory analysis and model reconstruction techniques can more precisely evaluate the effects of cup inclination, anteversion, and femoral stem rotation on contact stress and lubrication film thickness, potentially advancing personalized implant design [88].
Finally, numerical simulation and artificial intelligence technologies will become key drivers for future ceramic-on-ceramic tribology research. Multiscale simulation techniques are rapidly advancing, enabling researchers to construct more comprehensive tribological evolution models spanning atomic scales (protein adsorption, membrane rupture processes), microscopic scales (crack propagation, abrasive particle formation), and macroscopic scales (contact stresses, lubricant film evolution). Furthermore, artificial intelligence and machine learning can integrate clinical imaging, patient behavior data, and tribological simulation results to predict the risk of squeaking, guide material design, and optimize surgical parameters. AI-based “digital twin joint” systems are poised to become a future trend, enabling preoperative patient simulation, intraoperative decision support, and long-term postoperative monitoring. This will ultimately enhance the controllability and personalized precision of CoC artificial joints [89].
In summary, the future development of ceramic-on-ceramic artificial joint tribology will continue to advance in the following directions: enhancing the intrinsic properties of materials, biomimetic lubrication at interfaces, improving surface functionality, intelligent implant structures, and digital simulation techniques [90,91,92]. Achieving breakthroughs in these areas holds the potential to significantly reduce squeaking and wear incidents, elevating CoC artificial joints to new heights in durability, safety, and comfort. This will lay a solid foundation for the development of next-generation high-performance artificial joints [93]. In current clinical practice, implant design and positioning play a more critical role than material composition alone. Even ceramics with similar chemical compositions may exhibit different clinical performance due to manufacturing-related differences, and suboptimal designs may contribute to higher-than-expected revision rates [94,95].
Author Contributions
Conceptualization, L.Z. and Z.Z.; methodology, M.Z.; software, M.Z.; validation, M.Z., L.Z. and Z.Z.; formal analysis, M.Z.; investigation, M.Z., Z.L. and X.J.; resources, L.Z.; data curation, M.Z. and J.J.; writing—original draft preparation, M.Z.; writing—review and editing, L.Z. and Z.Z.; visualization, M.Z. and Q.W.; supervision, L.Z. and Z.Z.; project administration, L.Z.; funding acquisition, Z.Z. All authors have read and agreed to the published version of the manuscript.
Funding
This work was supported by the Zhejiang Institute of Medical Device Testing and Research Institute Independent Research Project (20240004).
Data Availability Statement
No new data were created or analyzed in this study. Data sharing is not applicable to this article.
Conflicts of Interest
The authors declare no conflict of interest.
References
- Zietz, C.; Kluess, D.; Bergschmidt, P.; Haenle, M.; Mittelmeier, W.; Bader, R. Tribological Aspects of Ceramics in Total Hip and Knee Arthroplasty. Semin. Arthroplast. 2011, 22, 258–263. [Google Scholar] [CrossRef]
- Swartbooi, S. Epidemiological Data Review of Primary Reverse Total Shoulder Arthroplasty at a Single Tertiary Academic Hospital in South Africa: A Four-Year Retrospective Review. Orthop. Proc. 2023, 105, 27. [Google Scholar] [CrossRef]
- Feng, B.; Zhu, W.; Bian, Y.-Y.; Chang, X.; Cheng, K.-Y.; Weng, X.-S. China Artificial Joint Annual Data Report. Chin. Med. J. 2021, 134, 752–753. [Google Scholar] [CrossRef]
- Perka, C.; Mohaddes, M.; Zagra, L.; Ekkernkamp, A.; Keller, N.; Stengel, D. May the 4th Be with You: Mixed-Methods Best-Evidence Synthesis on 4th-Generation Alumina–Zirconia Ceramic Bearings in Total Hip Arthroplasty. EFORT Open Rev. 2024, 9, 632–645. [Google Scholar] [CrossRef]
- Jeffers, J.R.T.; Walter, W.L. Ceramic-on-ceramic bearings in hip arthroplasty: State of the art and future directions. Clin. Orthop. Relat. Res. 2011, 469, 2343–2355. [Google Scholar] [CrossRef]
- Al-Hajjar, M.; Gremillard, L.; Begand, S.; Oberbach, T.; Hans, K.; Delfosse, D.; Chevalier, J.; Jennings, L.M. Combined Wear and Ageing of Ceramic-on-Ceramic Bearings in Total Hip Replacement under Edge Loading Conditions. J. Mech. Behav. Biomed. Mater. 2019, 98, 40–47. [Google Scholar] [CrossRef]
- Affatato, S.; Modena, E.; Taddei, P. Worn surface investigation on ceramic hip femoral heads: Biotribological characterization. Appl. Sci. 2020, 10, 8919. [Google Scholar] [CrossRef]
- Walter, W.L.; Insley, G.M.; Walter, W.K. Edge loading in third-generation alumina ceramic-on-ceramic bearings. J. Arthroplast. 2004, 19, 402–413. [Google Scholar] [CrossRef]
- De Aza, A.H.; Chevalier, J.; Fantozzi, G.; Schehl, M.; Torrecillas, R. Crack growth resistance of alumina, zirconia, and zirconia-toughened alumina ceramics for joint prostheses. Biomaterials 2002, 23, 937–945. [Google Scholar] [CrossRef]
- Malchau, H.; Bragdon, C.R.; Muratoglu, O.K. The Stepwise Introduction of Innovation into Orthopedic Surgery: The Next Level of Dilemmas. J. Arthroplast. 2011, 26, 825–831. [Google Scholar] [CrossRef]
- Lee, G.C.; Kim, R.H. Incidence of Modern Alumina Ceramic and Alumina Matrix Composite Femoral Head Failures in Nearly 6 Million Hip Implants. J. Arthroplast. 2017, 32, 546–551. [Google Scholar] [CrossRef]
- Fuis, V.; Janíček, P.; Houfek, L. Stress and Reliability Analyses of the Hip Joint Endoprosthesis Ceramic Head with Macro and Micro Shape Deviations. In Advances in Reliability, Risk and Safety; Springer: Berlin/Heidelberg, Germany, 2009; pp. 1–8. [Google Scholar] [CrossRef]
- Jin, Z.M.; Dowson, D.; Fisher, J. Analysis of fluid film lubrication in artificial hip joint replacements with high elastic modulus surfaces. Proc. Inst. Mech. Eng. Part H J. Eng. Med. 1997, 211, 247–256. [Google Scholar] [CrossRef]
- Torini, A.P.; Barsotti, C.E.; Andrade, R.M.; Nali, L.H.d.S.; Ribeiro, A.P. Effect of Total Hip Arthroplasty with Ceramic Acetabular Component on Clinical, Radiographic and Functional Parameters in Older Patients with Hip Osteoarthritis: Two-Year Follow-Up. J. Clin. Med. 2023, 12, 670. [Google Scholar] [CrossRef]
- Schroeder, S.; Gaedeke, L. Ceramic–ceramic hip implants: Investigation of various factors associated with squeaking. Lubricants 2024, 12, 438. [Google Scholar] [CrossRef]
- Taylor, S.; Manley, M.T.; Sutton, K. The Role of Stripe Wear in Causing Acoustic Emissions from Alumina Ceramic-on-Ceramic Bearings. J. Arthroplast. 2007, 22, 47–51. [Google Scholar] [CrossRef]
- Jarrett, C.A. The Squeaking Hip: A Phenomenon of Ceramic-on-Ceramic Total Hip Arthroplasty. J. Bone Jt. Surg. Am. 2009, 91, 1344–1350. [Google Scholar] [CrossRef]
- Chevillotte, C. Hip Squeaking: A Biomechanical Study of Ceramic-on-Ceramic Bearing Surfaces. Clin. Orthop. Relat. Res. 2010, 468, 345–350. [Google Scholar] [CrossRef]
- Sanders, A.; Tibbitts, I.; Brannon, R. Concomitant Evolution of Wear and Squeaking in Dual-Severity, Lubricated Wear Testing of Ceramic-on-Ceramic Hip Prostheses. J. Orthop. Res. 2012, 30, 1377–1383. [Google Scholar] [CrossRef]
- Macdonald, N.; Bankes, M. Ceramic-on-Ceramic Hip Prostheses: A Review of Past and Modern Materials. Arch. Orthop. Trauma Surg. 2014, 134, 1325–1333. [Google Scholar] [CrossRef]
- Currier, J.H.; Anderson, D.E.; Van Citters, D.W. A Proposed Mechanism for Squeaking of Ceramic-on-Ceramic Hips. Wear 2010, 269, 782–789. [Google Scholar] [CrossRef]
- Molloy, D.O.; Munir, S.; Jack, C.M.; Cross, M.B.; Walter, W.L.; Walter, W.K., Sr. Fretting and Corrosion in Modular-Neck Total Hip Arthroplasty Femoral Stems. J. Bone Jt. Surg. Am. 2014, 96, 488–493. [Google Scholar] [CrossRef]
- Gao, L.; Lu, X.; Zhang, X.; Meng, Q.; Jin, Z. Lubrication modelling of artificial joint replacements: Current status and future challenges. Lubricants 2022, 10, 238. [Google Scholar] [CrossRef]
- Choi, I.Y.; Kim, Y.S.; Hwang, K.T.; Kim, Y.-H. Incidence and Factors Associated with Squeaking in Alumina-on-Alumina Total Hip Arthroplasty. Clin. Orthop. Relat. Res. 2010, 468, 3234–3239. [Google Scholar] [CrossRef]
- Marian, M.; Shah, R.; Gashi, B.; Zhang, S.; Bhavnani, K.; Wartzack, S.; Rosenkranz, A. Exploring the lubrication mechanisms of synovial fluids for joint longevity–a perspective. Colloids Surf. B Biointerfaces 2021, 206, 111926. [Google Scholar] [CrossRef]
- Ge, D.; Deng, J.; Duan, R.; Li, X.; Liu, Y.; Yue, H. Effect of surface wettability on tribological properties of Al2O3/TiC ceramic under wet lubrication. Ceram. Int. 2019, 45, 24554–24563. [Google Scholar] [CrossRef]
- Ammarullah, M.I.; Santoso, G.; Sugiharto, S.; Supriyono, T.; Wibowo, D.B.; Kurdi, O.; Tauviqirrahman, M.; Jamari, J. Minimizing Risk of Failure from Ceramic-on-Ceramic Total Hip Prosthesis by Selecting Ceramic Materials Based on Tresca Stress. Sustainability 2022, 14, 13413. [Google Scholar] [CrossRef]
- De Fine, M.; Terrando, S.; Hintner, M.; Porporati, A.A.; Pignatti, G. Pushing ceramic-on-ceramic in the most extreme wear conditions: A hip simulator study. Orthop. Traumatol. Surg. Res. 2021, 107, 102643. [Google Scholar] [CrossRef]
- Doorn, P.F.; Campbell, P.A.; Worrall, J.; Benya, P.D.; McKellop, H.A.; Amstutz, H.C. Metal wear particle characterization from metal on metal total hip replacements: Transmission electron microscopy study of periprosthetic tissues and isolated particles. J. Biomed. Mater. Res. 1998, 42, 103–111. [Google Scholar] [CrossRef]
- Scholes, S.C.; Green, S.M.; Unsworth, A. The friction and lubrication of alumina-on-alumina total hip prostheses: The effect of radial clearance and wear testing. Key Eng. Mater. 2001, 218–220, 535–540. [Google Scholar] [CrossRef]
- Souza, R.O.; Valandro, L.F.; Melo, R.M.; Machado, J.P.B.; Bottino, M.A.; Özcan, M. Air–particle abrasion on zirconia ceramic using different protocols: Effects on biaxial flexural strength after cyclic loading, phase transformation and surface topography. J. Mech. Behav. Biomed. Mater. 2013, 26, 155–163. [Google Scholar] [CrossRef]
- Li, P.; Ohtsuki, C.; Kokubo, T.; Nakanishi, K.; Soga, N.; Nakamura, T.; Yamamuro, T. Process of formation of bone-like apatite layer on silica gel. J. Mater. Sci. Mater. Med. 1993, 4, 127–131. [Google Scholar] [CrossRef]
- Piconi, C.; Porporati, A.A.; Streicher, R.M. Ceramics in THR Bearings: Behavior under Off-Normal Conditions. Key Eng. Mater. 2015, 631, 3–7. [Google Scholar] [CrossRef]
- Greenwood, J.A.; Williamson, J.P. Contact of nominally flat surfaces. Proc. R. Soc. Lond. Ser. A Math. Phys. Sci. 1966, 295, 300–319. [Google Scholar] [CrossRef]
- Contu, F.; Elsener, B.; Böhni, H. Corrosion behaviour of CoCrMo implant alloy during fretting in bovine serum. Corros. Sci. 2005, 47, 1863–1875. [Google Scholar] [CrossRef]
- Masson, B. Emergence of the Alumina Matrix Composite in Total Hip Arthroplasty. Int. Orthop. 2009, 33, 359–363. [Google Scholar] [CrossRef]
- Fredette, E.K.; MacDonald, D.W.; Underwood, R.J.; Chen, A.F.; Mont, M.A.; Lee, G.-C.; Klein, G.R.; Rimnac, C.M.; Kurtz, S.M. Does Metal Transfer Differ on Retrieved Ceramic and CoCr Femoral Heads? BioMed Res. Int. 2015, 2015, 283038. [Google Scholar] [CrossRef]
- Piconi, C.; Porporati, A.A. Bioinert Ceramics: Zirconia and Alumina. In Handbook of Bioceramics and Biocomposites; Springer: Cham, Switzerland, 2016. [Google Scholar] [CrossRef]
- Msorthopedics, R.U.H.; Park, K.S.; Seon, J.K.; Yoon, T.R. Squeaking after third-generation ceramic-on-ceramic total hip arthroplasty. J. Arthroplast. 2012, 27, 909–915. [Google Scholar] [CrossRef]
- Askari, E.; Flores, P.; Dabirrahmani, D.; Appleyard, R. A Computational Analysis of Squeaking Hip Prostheses. J. Comput. Nonlinear Dyn. 2015, 10, 024502. [Google Scholar] [CrossRef]
- Milošev, I.; Trebše, R.; Kovač, S.; Cör, A.; Pišot, V. Survivorship and Retrieval Analysis of Sikomet Metal-on-Metal Total Hip Replacements at a Mean of Seven Years. J. Bone Jt. Surg. Am. 2006, 88, 1173–1182. [Google Scholar] [CrossRef]
- Jazrawi, L.M.; Bogner, E.; Valle, C.J.D.; Chen, F.S.; Pak, K.I.; Stuchin, S.A.; Frankel, V.H.; Di Cesare, P.E. Wear Rates of Ceramic-on-Ceramic Bearing Surfaces in Total Hip Implants: A 12-Year Follow-Up Study. J. Arthroplast. 1999, 14, 781–787. [Google Scholar] [CrossRef]
- Nečas, D.; Vrbka, M.; Gallo, J.; Křupka, I.; Hartl, M. On the observation of lubrication mechanisms within hip joint replacements. Part II: Hard-on-hard bearing pairs. J. Mech. Behav. Biomed. Mater. 2019, 89, 249–259. [Google Scholar] [CrossRef]
- Anbari, A.B.; Deroche, C.B.; Armer, J.M. Body Mass Index Trends and Quality of Life from Breast Cancer Diagnosis through Seven Years’ Survivorship. World J. Clin. Oncol. 2019, 10, 382–390. [Google Scholar] [CrossRef]
- Nečas, D.; Vrbka, M.; Křupka, I.; Hartl, M.; Galandáková, A. Lubrication within hip replacements–Implication for ceramic-on-hard bearing couples. J. Mech. Behav. Biomed. Mater. 2016, 61, 371–383. [Google Scholar] [CrossRef]
- Singh, N.; Awasthi, A.; Pisulkar, G.; Taywade, S.; Samal, N. Adverse metal reaction in a case of metal-on-polyethylene hip arthroplasty. Cureus 2024, 16, e60810. [Google Scholar] [CrossRef]
- Wu, G.-L.; Zhu, W.; Zhao, Y.; Ma, Q.; Weng, X.-S. Hip squeaking after ceramic-on-ceramic total hip arthroplasty. Chin. Med. J. 2016, 129, 1861–1866. [Google Scholar] [CrossRef]
- Pierrepont, J.W.; Feyen, H.; Miles, B.P.; Young, D.A.; Baré, J.V.; Shimmin, A.J. Functional Orientation of the Acetabular Component in Ceramic-on-Ceramic Total Hip Arthroplasty and Its Relevance to Squeaking. Bone Jt. J. 2016, 98, 910–916. [Google Scholar] [CrossRef]
- Chevalier, J.; Gremillard, L.; Virkar, A.V.; Clarke, D.R. The tetragonal-monoclinic transformation in zirconia: Lessons learned and future trends. J. Am. Ceram. Soc. 2009, 92, 1901–1920. [Google Scholar] [CrossRef]
- Deville, S.; Chevalier, J.M.; Fantozzi, G.; Bartolomé, J.F.; Requena, J.; Moya, J.S.; Torrecillas, R.; Díaz, L.A. Low-temperature ageing of zirconia-toughened alumina ceramics and its implication in biomedical implants. J. Eur. Ceram. Soc. 2003, 23, 2975–2982. [Google Scholar] [CrossRef]
- Wang, J.; Stevens, R. Zirconia-Toughened Alumina (ZTA) Ceramics. J. Mater. Sci. 1989, 24, 3421–3440. [Google Scholar] [CrossRef]
- Piconi, C.; Labanti, M.; Magnani, G.; Caporale, M.; Maccauro, G.; Magliocchetti, G. Analysis of a Failed Alumina THR Ball Head. Biomaterials 1999, 20, 1637–1646. [Google Scholar] [CrossRef]
- Cogan, A.; Nizard, R.; Sedel, L. Occurrence of noise in alumina-on-alumina total hip arthroplasty: A survey on 284 consecutive hips. Orthop. Traumatol. Surg. Res. 2011, 97, 206–210. [Google Scholar] [CrossRef]
- Sariali, E.; Stewart, T.; Jin, Z.; Fisher, J. In vitro investigation of friction under edge-loading conditions for ceramic-on-ceramic total hip prosthesis. J. Orthop. Res. 2010, 28, 979–985. [Google Scholar] [CrossRef]
- De Paola, N.; Hirose, T.; Mitchell, T.; Di Toro, G.; Viti, C.; Shimamoto, T. Fault lubrication and earthquake propagation in thermally unstable rocks. Geology 2011, 39, 35–38. [Google Scholar] [CrossRef]
- Wimmer, M.A.; Pacione, C.; Yuh, C.; Chan, Y.M.; Kunze, J.; Laurent, M.P.; Chubinskaya, S. Articulation of an Alumina–Zirconia Composite Ceramic against Living Cartilage—An In Vitro Wear Test. J. Mech. Behav. Biomed. Mater. 2020, 103, 103531. [Google Scholar] [CrossRef]
- Kulkarni, P.N.; Gaonkar, K.; Gaonkar, N.; Gupta, K.; Chanchpara, G.; Pandey, P.; Ankadavar, S. Bipolar hemiarthroplasty for fracture of femoral neck: Clinical review with special emphasis on prosthetic motion by radiological evaluation. Int. J. Orthop. Sci. 2017, 3, 593–599. [Google Scholar] [CrossRef]
- Willert, H.-G.; Buchhorn, G.H.; Fayyazi, A.; Flury, R.; Windler, M.; Köster, G.; Lohmann, C.H. Metal-on-Metal Bearings and Hypersensitivity in Patients with Artificial Hip Joints. J. Bone Jt. Surg. Am. 2005, 87, 28–36. [Google Scholar] [CrossRef]
- Wu, C.; Chang, J. Degradation, bioactivity, and cytocompatibility of diopside, akermanite, and bredigite ceramics. J. Biomed. Mater. Res. Part B Appl. Biomater. 2007, 83, 153–160. [Google Scholar] [CrossRef]
- Chevillotte, C.; Trousdale, R.T.; An, K.-N.; Padgett, D.; Wright, T. Retrieval analysis of squeaking ceramic implants: Are there related specific features? Orthop. Traumatol. Surg. Res. 2012, 98, 281–287. [Google Scholar] [CrossRef]
- Grupp, T.M.; Holderied, M.; Mulliez, M.A.; Streller, R.; Jäger, M.; Blömer, W.; Utzschneider, S. Biotribology of a Vitamin E-Stabilized Polyethylene for Hip Arthroplasty—Influence of Artificial Ageing and Third-Body Particles on Wear. Acta Biomater. 2014, 10, 3068–3078. [Google Scholar] [CrossRef]
- Cheng, N.Y.; Medley, J.B.; Bobyn, J.D.; Krygier, J.J. Lubrication and Wear of Alumina–Alumina Hip Bearings. Tribol. Int. 2002, 40, 387–397. [Google Scholar] [CrossRef]
- Masonis, J.L.; Bourne, R.B.; Ries, M.D.; McCalden, R.W.; Salehi, A.; Kelman, D.C. Zirconia femoral head fractures: A clinical and retrieval analysis. J. Arthroplast. 2004, 19, 898–905. [Google Scholar] [CrossRef]
- Cooper, J.R.; Dowson, D.; Fisher, J. Macroscopic and microscopic wear mechanisms in ultra-high molecular weight polyethylene. Wear 1993, 162–164, 378–384. [Google Scholar] [CrossRef]
- Scholes, S.C.; Unsworth, A.; Goldsmith, A.A.J. A frictional study of total hip joint replacements. Phys. Med. Biol. 2000, 45, 3721–3735. [Google Scholar] [CrossRef]
- Bergmann, G.; Deuretzbacher, G.; Heller, M.; Graichen, F.; Rohlmann, A.; Strauss, J.; Duda, G. Hip contact forces and gait patterns from routine activities. J. Biomech. 2001, 34, 859–871. [Google Scholar] [CrossRef]
- Engh, G.A.; Dwyer, K.A.; Hanes, C.K. Polyethylene wear of metal-backed tibial components in total and unicompartmental knee prostheses. J. Bone Jt. Surg. 1992, 74, 9–17. [Google Scholar] [CrossRef]
- Korgul, P.; Wilson, D.R.; Lee, W.E. Microstructural analysis of corroded alumina-spinel castable refractories. J. Eur. Ceram. Soc. 1997, 17, 77–84. [Google Scholar] [CrossRef]
- Cattani-Lorente, M.; Scherrer, S.S.; Ammann, P.; Jobin, M.; Wiskott, H.W.A. Low-temperature degradation of a Y-TZP dental ceramic. Acta Biomater. 2011, 7, 858–865. [Google Scholar] [CrossRef]
- Widmer, M.R.; Heuberger, M.; Vörös, J.; Spencer, N.D. Influence of polymer surface chemistry on frictional properties under protein-lubrication conditions: Implications for hip-implant design. Tribol. Lett. 2001, 10, 111–116. [Google Scholar] [CrossRef]
- Wong, T.E.; Palmieri, F.W.; Fenger, H.S. Under-filled BGA solder joint vibration fatigue damage. In Proceedings of the ITherm 2002. Eighth Intersociety Conference on Thermal and Thermomechanical Phenomena in Electronic Systems (Cat. No.02CH37258), San Diego, CA, USA, 30 May–1 June 2002. [Google Scholar] [CrossRef]
- Zhao, X.Z.; Liu, J.J.; Fischer, T.E. Effects of lubricant rheology and additive chemistry in the wear of Si3N4 sliding on steel. Wear 1998, 223, 37–43. [Google Scholar] [CrossRef]
- Gao, L.M.; Meng, Q.E.; Wang, F.C.; Yang, P.; Jin, Z.M. Comparison of numerical methods for elastohydrodynamic lubrication analysis of metal-on-metal hip implants: Multigrid versus Newton–Raphson. Proc. Inst. Mech. Eng. Part J J. Eng. Tribol. 2007, 221, 133–140. [Google Scholar] [CrossRef]
- Narayana, T.; Saleem, S.S. Investigation of the synergetic effect of oleophilic textured surfaces and MoS2 at different loads on the tribological performance of Ti-6Al-4V alloy. Proc. Inst. Mech. Eng. Part J J. Eng. Tribol. 2025, 239, 3–25. [Google Scholar] [CrossRef]
- Al-Hajjar, M.; Fisher, J.; Tipper, J.L.; Williams, S.; Jennings, L.M. Wear of 36-mm BIOLOX® Delta Ceramic-on-Ceramic Bearing in Total Hip Replacements under Edge Loading Conditions. Proc. Inst. Mech. Eng. H 2013, 227, 535–542. [Google Scholar] [CrossRef] [PubMed]
- Ruggiero, A.; Sicilia, A. A mixed elasto-hydrodynamic lubrication model for wear calculation in artificial hip joints. Lubricants 2020, 8, 72. [Google Scholar] [CrossRef]
- Cowie, R.M.; Jennings, L.M. Third body damage and wear in arthroplasty bearing materials: A review of laboratory methods. Biomater. Biosyst. 2021, 4, 100028. [Google Scholar] [CrossRef] [PubMed]
- Keurentjes, J.C.; Kuipers, R.M.; Wever, D.J.; Schreurs, B.W. High Incidence of Squeaking in THAs with Alumina Ceramic-on-Ceramic Bearings. Clin. Orthop. Relat. Res. 2008, 466, 1438–1443. [Google Scholar] [CrossRef]
- Xiong, F.; Manory, R.R.; Ward, L.; Terheci, M.; Lathabai, S. Effect of grain size and test configuration on the wear behavior of alumina. J. Am. Ceram. Soc. 2010, 80, 1310–1312. [Google Scholar] [CrossRef]
- Chen, Q.; Chen, K.; Zhang, X.; Feng, H.; Feng, C.; Li, X.; Zhang, D. Recent progress of hydrogel-based biomimetic articular cartelage in mechanical and lubricated enhancement. Friction 2025, 13, 9440984. [Google Scholar] [CrossRef]
- Wang, A.; Essner, A.; Polineni, V.K.; Stark, C.; Dumbleton, J. Lubrication and wear of ultra-high molecular weight polyethylene in total joint replacements. Tribol. Int. 1998, 31, 17–33. [Google Scholar] [CrossRef]
- Walter, W.L.; O’Toole, G.C.; Walter, W.K.; Ellis, A.; Zicat, B.A. Squeaking in ceramic-on-ceramic hips: The importance of acetabular component orientation. J. Arthroplast. 2007, 22, 496–503. [Google Scholar] [CrossRef]
- Lewinnek, G.E.; Lewis, J.L.; Tarr, R.; Compere, C.L.; Zimmerman, J.R. Dislocations after total hip-replacement arthroplasties. J. Bone Jt. Surg.—Am. Vol. 1978, 60, 217–220. [Google Scholar] [CrossRef]
- Dai, Z.; Akishige, Y. Electrical properties of multiferroic BiFeO3 ceramics synthesized by spark plasma sintering. J. Phys. D Appl. Phys. 2010, 43, 445403. [Google Scholar] [CrossRef]
- Guru, S.R.; Panchal, M.; Singh, K.M. Micromechanical and tribological properties of polymeric coating on metal surface. J. Polym. Res. 2025, 32, 120. [Google Scholar] [CrossRef]
- Dimitriou, D.; Meisterhans, M.; Walter, W.L.; Jessica, W.-W.; Geissmann, M.; Fasser, M.-R.; Widmer, J.; Borbas, P.; Hoch, A.; Zingg, P.O. The effect of experimentally induced gluteal muscle weakness on joint kinematics, reaction forces, and dynamic balance performance during stair climbing. Clin. Biomech. 2025, 124, 106477. [Google Scholar] [CrossRef]
- Roberts, B.J.; Unsworth, A.; Mian, N. Modes of lubrication in human hip joints. Ann. Rheum. Dis. 1982, 41, 217–224. [Google Scholar] [CrossRef]
- Lin, C.; Yuan, H.; Wang, C. The study of quantitative friction-damage models at the interventional catheter–vascular tissues interface. Friction 2025, 13, 9441194. [Google Scholar] [CrossRef]
- Lin, C.; Yuan, H.; Wang, C. Study on lubricating nano-coatings for cardiovascular catheters based on molecular self-assembly and Schiff base reaction. Friction 2025, 13, 9441201. [Google Scholar] [CrossRef]
- Yuan, H.; Lin, C.; Wang, C. Research progress of the interaction between blood vessels and intervention catheters and its surface modification. Friction 2025, 13, 9441003. [Google Scholar] [CrossRef]
- Song, W.; Liu, Z.; Li, Q.; Zhang, Y.; Lyu, Y.; Gao, Z.; Zhuang, J.; Lin, C. Research on the friction-damage mechanism between magnetic guide strip and tracheal tissue for magnetic navigation. Tribol. Int. 2026, 215, 111487. [Google Scholar] [CrossRef]
- Lin, C.; Chu, Y.; Liu, F.; Wang, P. Study on antibacterial lubricating coatings for oral implants based on electrostatic self-assembly and Schiff base reaction. Colloids Surf. B Biointerfaces 2026, 259, 115343. [Google Scholar] [CrossRef]
- Zheng, Z.; Zhou, M.; Jiang, X.; Lin, Z.; Jin, J.; Wan, Q.; Lin, C.; Zhang, L. Current Status and Future Prospects of Small-Diameter Artificial Blood Vessels. Lubricants 2025, 13, 537. [Google Scholar] [CrossRef]
- Vendittoli, P.-A.; Shahin, M.; Rivière, C.; Barry, J.; Lavoie, P.; Duval, N. Ceramic-on-Ceramic Total Hip Arthroplasty Is Superior to Metal-on-Conventional Polyethylene at 20-Year Follow-Up: A Randomised Clinical Trial. Orthop. Traumatol. Surg. Res. 2021, 107, 102744. [Google Scholar] [CrossRef]
- Kirsten, A.; Begand, S.; Oberbach, T.; Telle, R.; Fischer, H. Subcritical Crack Growth Behavior of Dispersion Oxide Ceramics. J. Biomed. Mater. Res. Part B Appl. Biomater. 2010, 95, 202–206. [Google Scholar] [CrossRef] [PubMed]
Disclaimer/Publisher’s Note: The statements, opinions and data contained in all publications are solely those of the individual author(s) and contributor(s) and not of MDPI and/or the editor(s). MDPI and/or the editor(s) disclaim responsibility for any injury to people or property resulting from any ideas, methods, instructions or products referred to in the content. |
© 2026 by the authors. Licensee MDPI, Basel, Switzerland. This article is an open access article distributed under the terms and conditions of the Creative Commons Attribution (CC BY) license.






