Personalized Robotic-Assisted Total Knee Arthroplasty with Anatomo-Functional Implant Positioning for Varus Knees: A Minimum Follow-Up of 5 Years
Abstract
1. Introduction
2. Materials and Methods
2.1. Patients
2.2. Preoperative Knee Analysis
2.3. Surgical Technique of Anatomo-Functional Implant Positioning (AFIP)
2.4. Data Assessment
2.5. Clinical Outcome
2.6. Complications
2.7. Statistical Analysis
2.8. Ethical Approval
3. Results
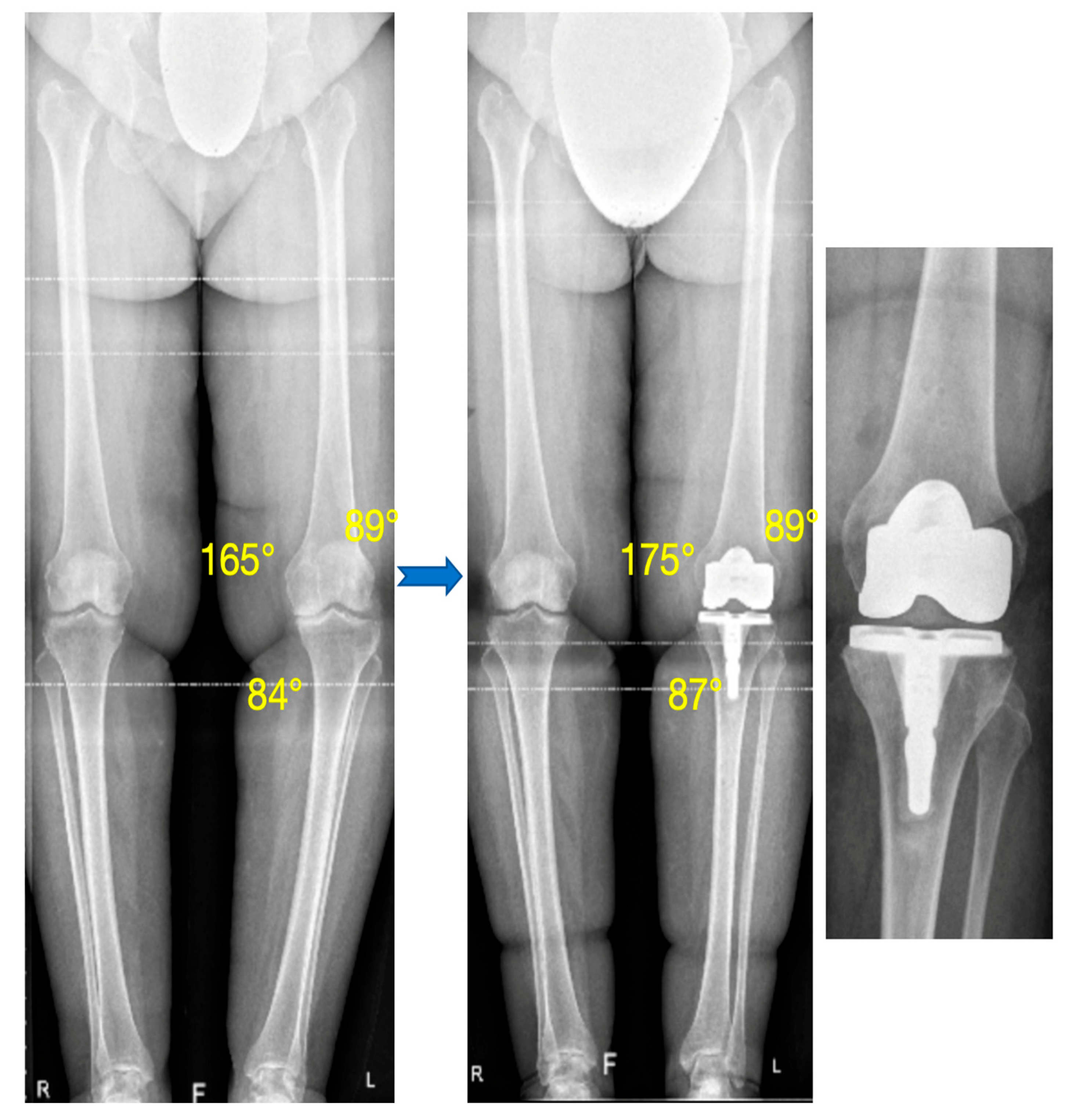
3.1. Alignment
3.2. Patellar Tracking
3.3. Frontal Laxity
3.4. Clinical Improvement
3.5. Complications
4. Discussion
5. Conclusions
Author Contributions
Funding
Institutional Review Board Statement
Informed Consent Statement
Data Availability Statement
Conflicts of Interest
Abbreviations
| TKA | Total knee arthroplasty |
| HKA | Hip knee ankle |
| MPTA | Medial proximal tibia angle |
| mMDFA | Medial distal femoral angle |
| JLCA | Joint line convergence angle |
| JLO | Joint line orientation |
| KA | Kinematic alignment |
| PA | Personalized alignment |
| AFIP | Anatomo-functional implant positioning |
| MCL | Medial collateral ligament |
| PCL | Posterior cruciate ligament |
References
- Rivière, C.; Iranpour, F.; Auvinet, E.; Howell, S.; Vendittoli, P.-A.; Cobb, J.; Parratte, S. Alignment Options for Total Knee Arthroplasty: A Systematic Review. Orthop. Traumatol. Surg. Res. 2017, 103, 1047–1056. [Google Scholar] [CrossRef]
- Ritter, M.A.; Faris, P.M.; Keating, E.M.; Meding, J.B. Postoperative Alignment of Total Knee Replacement Its Effect on Survival. Clin. Orthop. Relat. Res. 1994, 299, 153–156. [Google Scholar] [CrossRef]
- Rivière, C.; Iranpour, F.; Auvinet, E.; Aframian, A.; Asare, K.; Harris, S.; Cobb, J.; Parratte, S. Mechanical Alignment Technique for TKA: Are There Intrinsic Technical Limitations? Orthop. Traumatol. Surg. Res. 2017, 103, 1057–1067. [Google Scholar] [CrossRef]
- Stambough, J.B.; Edwards, P.K.; Mannen, E.M.; Barnes, C.L.; Mears, S.C. Flexion Instability After Total Knee Arthroplasty. J. Am. Acad. Orthop. Surg. 2019, 27, 642–651. [Google Scholar] [CrossRef]
- Moser, L.B.; Hess, S.; Amsler, F.; Behrend, H.; Hirschmann, M.T. Native Non-Osteoarthritic Knees Have A Highly Variable Coronal Alignment: A Systematic Review. Knee Surg. Sports Traumatol. Arthrosc. 2019, 27, 1359–1367. [Google Scholar] [CrossRef]
- Bellemans, J.; Colyn, W.; Vandenneucker, H.; Victor, J. The Chitranjan Ranawat Award: Is Neutral Mechanical Alignment Normal for All Patients?: The Concept of Constitutional Varus. Clin. Orthop. Relat. Res. 2012, 470, 45–53. [Google Scholar] [CrossRef] [PubMed]
- Hirschmann, M.T.; Hess, S.; Behrend, H.; Amsler, F.; Leclercq, V.; Moser, L.B. Phenotyping of Hip–Knee–Ankle Angle in Young Non-Osteoarthritic Knees Provides Better Understanding of Native Alignment Variability. Knee Surg. Sports Traumatol. Arthrosc. 2019, 27, 1378–1384. [Google Scholar] [CrossRef]
- Hirschmann, M.T.; Moser, L.B.; Amsler, F.; Behrend, H.; Leclercq, V.; Hess, S. Phenotyping The Knee in Young Non-Osteoarthritic Knees Shows A Wide Distribution of Femoral and Tibial Coronal Alignment. Knee Surg. Sports Traumatol. Arthrosc. 2019, 27, 1385–1393. [Google Scholar] [CrossRef] [PubMed]
- Hirschmann, M.T.; Moser, L.B.; Amsler, F.; Behrend, H.; Leclerq, V.; Hess, S. Functional Knee Phenotypes: A Novel Classification for Phenotyping The Coronal Lower Limb Alignment Based on The Native Alignment in Young Non-Osteoarthritic Patients. Knee Surg. Sports Traumatol. Arthrosc. 2019, 27, 1394–1402. [Google Scholar] [CrossRef]
- MacDessi, S.J.; Griffiths-Jones, W.; Harris, I.A.; Bellemans, J.; Chen, D.B. Coronal Plane Alignment of the Knee (CPAK) classification. Bone Jt. J. 2021, 103-B, 329–337. [Google Scholar] [CrossRef]
- Hess, S.; Moser, L.B.; Amsler, F.; Behrend, H.; Hirschmann, M.T. Highly Variable Coronal Tibial and Femoral Alignment in Osteoarthritic Knees: A Systematic Review. Knee Surg. Sports Traumatol. Arthrosc. 2019, 27, 1368–1377. [Google Scholar] [CrossRef] [PubMed]
- Nedopil, A.J.; Singh, A.K.; Howell, S.M.; Hull, M.L. Does Calipered Kinematically Aligned TKA Restore Native Left to Right Symmetry of the Lower Limb and Improve Function? J. Arthroplast. 2018, 33, 398–406. [Google Scholar] [CrossRef] [PubMed]
- Howell, S.M.; Papadopoulos, S.; Kuznik, K.T.; Hull, M.L. Accurate Alignment and High Function After Kinematically Aligned TKA Performed with Generic Instruments. Knee Surg. Sports Traumatol. Arthrosc. 2013, 21, 2271–2280. [Google Scholar] [CrossRef]
- de Grave, P.W.; Luyckx, T.; Claeys, K.; Tampere, T.; Kellens, J.; Müller, J.; Gunst, P. Higher Satisfaction After Total Knee Arthroplasty Using Restricted Inverse Kinematic Alignment Compared to Adjusted Mechanical Alignment. Knee Surg. Sports Traumatol. Arthrosc. 2020, 30, 488–499. [Google Scholar] [CrossRef]
- Almaawi, A.M.; Hutt, J.R.; Masse, V.; Lavigne, M.; Vendittoli, P.-A. The Impact of Mechanical and Restricted Kinematic Alignment on Knee Anatomy in Total Knee Arthroplasty. J. Arthroplast. 2017, 32, 2133–2140. [Google Scholar] [CrossRef]
- Kayani, B.; Konan, S.; Tahmassebi, J.; Oussedik, S.; Moriarty, P.D.; Haddad, F.S. A Prospective Double-Blinded Randomised Control Trial Comparing Robotic Arm-Assisted Functionally Aligned Total Knee Arthroplasty Versus Robotic Arm-Assisted Mechanically Aligned Total Knee Arthroplasty. Trials 2020, 21, 194. [Google Scholar] [CrossRef]
- Karachalios, T.; Komnos, G.A. Individualized Surgery In Primary Total Knee Arthroplasty. EFORT Open Rev. 2020, 5, 663–671. [Google Scholar] [CrossRef]
- Walker, P.S. The Design and Pre-Clinical Evaluation of Knee Replacements for Osteoarthritis. J. Biomech. 2015, 48, 742–749. [Google Scholar] [CrossRef] [PubMed]
- Roth, J.D.; Howell, S.M.; Hull, M.L. Native Knee Laxities at 0°, 45°, and 90° of Flexion and Their Relationship to the Goal of the Gap-Balancing Alignment Method of Total Knee Arthroplasty. J. Bone Jt. Surg. 2015, 97, 1678–1684. [Google Scholar] [CrossRef]
- Okazaki, K.; Miura, H.; Matsuda, S.; Takeuchi, N.; Mawatari, T.; Hashizume, M.; Iwamoto, Y. Asymmetry of Mediolateral Laxity of The Normal Knee. J. Orthop. Sci. 2006, 11, 264–266. [Google Scholar] [CrossRef]
- Ferle, M.; Guo, R.; Hurschler, C. The Laxity of the Native Knee. J. Bone Jt. Surg. 2019, 101, 1119–1131. [Google Scholar] [CrossRef]
- McEwen, P.; Balendra, G.; Doma, K. Medial and Lateral Gap Laxity Differential in Computer-Assisted Kinematic Total Knee Arthroplasty. Bone Jt. J. 2019, 101-B, 331–339. [Google Scholar] [CrossRef]
- Hosseini, A.; Qi, W.; Tsai, T.-Y.; Liu, Y.; Rubash, H.; Li, G. In Vivo Length Change Patterns of The Medial and Lateral Collateral Ligaments Along The Flexion Path of The Knee. Knee Surg. Sports Traumatol. Arthrosc. 2014, 23, 3055–3061. [Google Scholar] [CrossRef]
- Smith, L.A.; LaCour, M.T.; Cates, H.E.; Komistek, R.D. Does Cruciate Ligament Substitution and Implant Asymmetry Make a Difference for Total Knee Arthroplasty Kinematics? A Multi-Implant Evaluation. J. Arthroplast. 2024, 40, 1074–1082. [Google Scholar] [CrossRef]
- Druel, J.; Claudel, S.; Fabre-Aubrespy, M.; Ollivier, M.; Parratte, S.; Jacquet, C.; Argenson, J.-N. Learning Curve of Robotic Assisted Total Knee Arthroplasty within A Surgical Team: A Prospective Study of 115 Cases. Orthop. Traumatol. Surg. Res. 2025, 111, 104325. [Google Scholar] [CrossRef] [PubMed]
- Parratte, S.; Van Overschelde, P.; Bandi, M.; Ozturk, B.Y.; Batailler, C. An Anatomo-Functional Implant Positioning Technique with Robotic Assistance for Primary TKA Allows The Restoration of The Native Knee Alignment and A Natural Functional Ligament Pattern, with A Faster Recovery at 6 Months Compared to An Adjusted Mechanical Technique. Knee Surg. Sports Traumatol. Arthrosc. 2022, 31, 1334–1346. [Google Scholar] [CrossRef] [PubMed]
- Tucker, A.; O’bRien, S.; Doran, E.; Gallagher, N.; Beverland, D.E. Total Knee Arthroplasty in Severe Valgus Deformity Using a Modified Technique—A 10-Year Follow-Up Study. J. Arthroplast. 2019, 34, 40–46.e1. [Google Scholar] [CrossRef] [PubMed]
- Victor, J.M.K.; Bassens, D.; Bellemans, J.; Gürsu, S.; Dhollander, A.A.M.; Verdonk, P.C.M. Constitutional Varus Does Not Affect Joint Line Orientation in the Coronal Plane. Clin. Orthop. Relat. Res. 2014, 472, 98–104. [Google Scholar] [CrossRef]
- Batailler, C.; Hannouche, D.; Benazzo, F.; Parratte, S. Concepts and Techniques of A New Robotically Assisted Technique for Total Knee Arthroplasty: The ROSA Knee System. Arch. Orthop. Trauma Surg. 2021, 141, 2049–2058. [Google Scholar] [CrossRef]
- Nedopil, A.J.; Howell, S.M.; Hull, M.L. What Clinical Characteristics and Radiographic Parameters Are Associated with Patellofemoral Instability after Kinematically Aligned Total Knee Arthroplasty? Int. Orthop. 2016, 41, 283–291. [Google Scholar] [CrossRef]
- Lustig, S.; Sappey-Marinier, E.; Fary, C.; Servien, E.; Parratte, S.; Batailler, C. Personalized Alignment in Total Knee Arthroplasty: Current Concepts. SICOT-J 2021, 7, 19. [Google Scholar] [CrossRef]
- Parratte, S.; Azmi, Z.; Daxelet, J.; Argenson, J.-N.; Batailler, C. Specific Tibial Landmarks to Improve to Accuracy of The Tibial Cut During Total Knee Arthroplasty. A Case Control Study. Arch. Orthop. Trauma Surg. 2024, 144, 4101–4108. [Google Scholar] [CrossRef]
- MacDessi, S.J.; Griffiths-Jones, W.; Chen, D.B.; Griffiths-Jones, S.; Wood, J.A.; Diwan, A.D.; Harris, I.A. Restoring The Constitutional Alignment with A Restrictive Kinematic Protocol Improves Quantitative Soft-Tissue Balance in Total Knee Arthroplasty: A Randomized Controlled Trial. Bone Jt. J. 2020, 102-B, 117–124. [Google Scholar] [CrossRef]
- Aljuhani, W.S.; Qasim, S.S.; Alsalman, M. Variability of the Posterior Tibial Slope in Saudis: A Radiographic Study. Cureus 2020, 12, e10699. [Google Scholar] [CrossRef]
- Batailler, C.; Libert, T.; Oussedik, S.; Zaffagnini, S.; Lustig, S. Patello-Femoral Arthroplasty- Indications and Contraindications. J. ISAKOS Jt. Disord. Orthop. Sports Med. 2024, 9, 822–828. [Google Scholar] [CrossRef]
- Deroche, E.; Batailler, C.; Swan, J.; Sappey-Marinier, E.; Neyret, P.; Servien, E.; Lustig, S. No Difference Between Resurfaced and Non-Resurfaced Patellae with A Modern Prosthesis Design: A Prospective Randomized Study of 250 Total Knee Arthroplasties. Knee Surg. Sports Traumatol. Arthrosc. 2021, 30, 1025–1038. [Google Scholar] [CrossRef]
- Merchant, A.C.; Mercer, R.L.; Jacobsen, R.H.; Cool, C.R. Roentgenographic Analysis of Patellofemoral Congruence. J. Bone Jt. Surg. 1974, 56, 1391–1396. [Google Scholar] [CrossRef]
- Chia, S.; Merican, A.M.; Devadasan, B.; Strachan, R.K.; Amis, A.A. Radiographic Features Predictive of Patellar Maltracking During Total Knee Arthroplasty. Knee Surg. Sports Traumatol. Arthrosc. 2009, 17, 1217–1224. [Google Scholar] [CrossRef] [PubMed]
- Gharaibeh, M.A.; Monk, E.; Chen, D.B.; MacDessi, S.J. Evaluation of The Patellofemoral Joint in Total Knee Arthroplasty: Validation of The Weight Bearing Merchant Radiographic View. Knee 2018, 25, 1262–1271. [Google Scholar] [CrossRef] [PubMed]
- Gomes, L.S.; Bechtold, J.E.; Gustilo, R.B. Patellar Prosthesis Positioning in Total Knee Arthroplasty. A Roentgenographic Study. Clin. Orthop. Relat. Res.® 1988, 236, 72–81. [Google Scholar] [CrossRef]
- Dindo, D.; Demartines, N.; Clavien, P.A. Classification of surgical complications: A New Proposal with Evaluation in A Cohort of 6336 Patients and Results of A Survey. Ann Surg. 2004, 24, 205–213. [Google Scholar] [CrossRef] [PubMed] [PubMed Central]
- Koo, T.K.; Li, M.Y. A Guideline of Selecting and Reporting Intraclass Correlation Coefficients for Reliability Research. J. Chiropr. Med. 2016, 15, 155–163, Erratum in J. Chiropr. Med. 2017, 16, 346. [Google Scholar] [CrossRef] [PubMed]
- Kayani, B.; Konan, S.; Pietrzak, J.R.T.; Huq, S.S.; Tahmassebi, J.; Haddad, F.S. The Learning Curve Associated with Robotic-Arm Assisted Unicompartmental Knee Arthroplasty. Bone Jt. J. 2018, 100-B, 1033–1042. [Google Scholar] [CrossRef]
- Parratte, S.; Pagnano, M.W.; Trousdale, R.T.; Berry, D.J. Effect of Postoperative Mechanical Axis Alignment on the Fifteen-Year Survival of Modern, Cemented Total Knee Replacements. J. Bone Jt. Surg. 2010, 92, 2143–2149. [Google Scholar] [CrossRef]
- Nakamura, S.; Tian, Y.; Tanaka, Y.; Kuriyama, S.; Ito, H.; Furu, M.; Matsuda, S. The Effects of Kinematically Aligned Total Knee Arthroplasty on Stress at The Medial Tibia. Bone Jt. Res. 2017, 6, 43–51. [Google Scholar] [CrossRef]
- Parratte, S.; Price, A.J.; Jeys, L.M.; Jackson, W.F.; Clarke, H.D. Accuracy of a New Robotically Assisted Technique for Total Knee Arthroplasty: A Cadaveric Study. J. Arthroplast. 2019, 34, 2799–2803. [Google Scholar] [CrossRef]
- Seidenstein, A.; Birmingham, M.; Foran, J.; Ogden, S. Better Accuracy and Reproducibility of A New Robotically-Assisted System for Total Knee Arthroplasty Compared to Conventional Instrumentation: A Cadaveric Study. Knee Surg. Sports Traumatol. Arthrosc. 2020, 29, 859–866. [Google Scholar] [CrossRef] [PubMed]
- Lozano, R.; Campanelli, V.; Howell, S.; Hull, M. Kinematic Alignment More Closely Restores The Groove Location and The Sulcus Angle of The Native Trochlea Than Mechanical Alignment: Implications for Prosthetic Design. Knee Surg. Sports Traumatol. Arthrosc. 2018, 27, 1504–1513. [Google Scholar] [CrossRef] [PubMed]
- Rivière, C.; Iranpour, F.; Harris, S.; Auvinet, E.; Aframian, A.; Parratte, S.; Cobb, J. Differences in Trochlear Parameters Between Native and Prosthetic Kinematically or Mechanically Aligned Knees. Orthop. Traumatol. Surg. Res. 2018, 104, 165–170. [Google Scholar] [CrossRef] [PubMed]
- Van Essen, J.; Stevens, J.; Dowsey, M.M.; Choong, P.F.; Babazadeh, S. Kinematic Alignment Results in Clinically Similar Outcomes to Mechanical Alignment: Systematic Review and Meta-Analysis. Knee 2022, 40, 24–41. [Google Scholar] [CrossRef]
- Koh, D.T.S.; Woo, Y.L.; Yew, A.K.S.; Yeo, S. Kinematic Aligned Femoral Rotation Leads to Greater Patella Tilt But Similar Clinical Outcomes When Compared to Traditional Femoral Component Rotation in Total Knee Arthroplasty. A Propensity Score Matched Study. Knee Surg. Sports Traumatol. Arthrosc. 2020, 29, 1059–1066. [Google Scholar] [CrossRef]
- Hull, M.L.; Howell, S.M. Differences in Trochlear Morphology from Native Using a Femoral Component Interfaced with an Anatomical Patellar Prosthesis in Kinematic Alignment and Mechanical Alignment. J. Knee Surg. 2020, 35, 625–633. [Google Scholar] [CrossRef]
- Howell, S.M.; Howell, S.J.; Kuznik, K.T.; Cohen, J.; Hull, M.L. Does A Kinematically Aligned Total Knee Arthroplasty Restore Function Without Failure Regardless of Alignment Category? Clin. Orthop. Relat. Res. 2013, 471, 1000–1007. [Google Scholar] [CrossRef]
- Dahlmann, S.; Ziegeler, K.; Mau-Möller, A.; Mittelmeier, W.; Bergschmidt, P. Patellar Tracking in Total Knee Arthroplasty—Influence on Clinical and Functional Outcome. Diagnostics 2022, 12, 1082. [Google Scholar] [CrossRef]
- Kawano, T.; Miura, H.; Nagamine, R.; Urabe, K.; Matsuda, S.; Mawatari, T.; Moro-Oka, T.; Iwamoto, Y. Factors Affecting Patellar Tracking after Total Knee Arthroplasty. J. Arthroplast. 2002, 17, 942–947. [Google Scholar] [CrossRef] [PubMed]
- Kim, J.H.; Yoo, B.-W.; Kim, C.-W. Influence of the Rotational Alignment of the Femoral and Patellar Components on Patellar Tilt in Total Knee Arthroplasty. Knee Surg. Relat. Res. 2015, 27, 163–167. [Google Scholar] [CrossRef]
- Sappey-Marinier, E.; Pauvert, A.; Batailler, C.; Swan, J.; Cheze, L.; Servien, E.; Lustig, S. Kinematic Versus Mechanical Alignment for Primary Total Knee Arthroplasty with Minimum 2 Years Follow-Up: A Systematic Review. SICOT-J 2020, 6, 18. [Google Scholar] [CrossRef]
- Blakeney, W.; Beaulieu, Y.; Kiss, M.-O.; Rivière, C.; Vendittoli, P.-A. Less Gap Imbalance with Restricted Kinematic Alignment than with Mechanically Aligned Total Knee Arthroplasty: Simulations On 3-D Bone Models Created From CT-Scans. Acta Orthop. 2019, 90, 602–609. [Google Scholar] [CrossRef] [PubMed]
- Young, S.W.; Sullivan, N.P.T.; Walker, M.L.; Holland, S.; Bayan, A.; Farrington, B. No Difference in 5-year Clinical or Radiographic Outcomes Between Kinematic and Mechanical Alignment in TKA: A Randomized Controlled Trial. Clin. Orthop. Relat. Res. 2020, 478, 1271–1279. [Google Scholar] [CrossRef] [PubMed]
- Yeo, J.-H.; Seon, J.-K.; Lee, D.-H.; Song, E.-K. No Difference in Outcomes and Gait Analysis Between Mechanical and Kinematic Knee Alignment Methods Using Robotic Total Knee Arthroplasty. Knee Surg. Sports Traumatol. Arthrosc. 2018, 27, 1142–1147. [Google Scholar] [CrossRef]
- Laende, E.K.; Richardson, C.G.; Dunbar, M.J. A Randomized Controlled Trial of Tibial Component Migration with Kinematic Alignment Using Patient-Specific Instrumentation Versus Mechanical Alignment Using Computer-Assisted Surgery in Total Knee Arthroplasty. Bone Jt. J. 2019, 101-B, 929–940. [Google Scholar] [CrossRef] [PubMed]
- McEwen, P.J.; Dlaska, C.E.; Jovanovic, I.A.; Doma, K.; Brandon, B.J. Computer-Assisted Kinematic and Mechanical Axis Total Knee Arthroplasty: A Prospective Randomized Controlled Trial of Bilateral Simultaneous Surgery. J. Arthroplast. 2020, 35, 443–450. [Google Scholar] [CrossRef]
- Jennings, L.M.; Bell, C.J.; Ingham, E.; Komistek, R.D.; Stone, M.H.; Fisher, J. The Influence of Femoral Condylar Lift-Off on The Wear of Artificial Knee Joints. Proc. Inst. Mech. Eng. Part H J. Eng. Med. 2007, 221, 305–314. [Google Scholar] [CrossRef]
- Khasian, M.; Sharma, A.; Fehring, T.K.; Griffin, W.L.; Mason, J.B.; Komistek, R.D. Kinematic Performance of Gradually Variable Radius Posterior-Stabilized Primary TKA During Various Activities: An In Vivo Study Using Fluoroscopy. J. Arthroplast. 2020, 35, 1101–1108. [Google Scholar] [CrossRef]
- Nowakowski, A.M.; Majewski, M.; Müller-Gerbl, M.; Valderrabano, V. Measurement of Knee Joint Gaps without Bone Resection: “Physiologic” Extension and Flexion Gaps in Total Knee Arthroplasty are Asymmetric and Unequal and Anterior and Posterior Cruciate Ligament Resections Produce Different Gap Changes. J. Orthop. Res. 2011, 30, 522–527. [Google Scholar] [CrossRef] [PubMed]
- Kadoya, Y.; Kobayashi, A.; Komatsu, T.; Nakagawa, S.; Yamano, Y. Effects of Posterior Cruciate Ligament Resection on the Tibiofemoral Joint Gap. Clin. Orthop. Relat. Res. 2001, 391, 210–217. [Google Scholar] [CrossRef]
- Oshima, Y.; Majima, T.; Iizawa, N.; Hoshikawa, N.; Takahashi, K.; Takai, S. The Influence of Posterior Cruciate Ligament Resection on Tibiofemoral Joint Gap in Varus Osteoarthritic Knees. J. Knee Surg. 2020, 35, 323–330. [Google Scholar] [CrossRef]
- Inou, Y.; Tomita, T.; Kiyotomo, D.; Yoshikawa, H.; Sugamoto, K. What Kinds of Posterior Cruciate Ligament Bundles Are Preserved in Cruciate-Retaining Total Knee Arthroplasty? A Three-Dimensional Morphology Study. J. Knee Surg. 2018, 32, 989–994. [Google Scholar] [CrossRef]
- Totlis, T.; Iosifidis, M.; Melas, I.; Apostolidis, K.; Agapidis, A.; Eftychiakos, N.; Alvanos, D.; Kyriakidis, A. Cruciate-Retaining Total Knee Arthroplasty: How Much of The PCL is Really Retained? Knee Surg. Sports Traumatol. Arthrosc. 2016, 25, 3556–3560. [Google Scholar] [CrossRef]
- Schelker, B.L.; Nowakowski, A.M.; Hirschmann, M.T. What is The “Safe Zone” for Transition of Coronal Alignment from Systematic to A More Personalised One in Total Knee Arthroplasty? A Systematic Review. Knee Surg. Sports Traumatol. Arthrosc. 2022, 30, 419–427. [Google Scholar] [CrossRef] [PubMed]







| Mean ± SD | [Min; Max] | |
|---|---|---|
| Age (years) | 60.8 ± 7.5 | [41; 80] |
| BMI (kg/m2) | 33.5 ± 5.4 | [23.2; 45.9] |
| Side (right) | 24 (53.3%) | |
| Gender (male) | 16 (35.6%) | |
| Flexion | 115 ± 6.9 | [100; 120] |
| Flexion contracture | 8.5 ± 5.3 | [0; 20] |
| Measurement Name | N (Radiographs/Cases) | ICC3,1 Value | 95% Confidence Interval | Interpretation |
|---|---|---|---|---|
| HKA Angle | 45 | 0.95 | (0.92–0.97) | Excellent |
| mMPTA | 45 | 0.92 | (0.88–0.95) | Excellent |
| mMDFA | 45 | 0.93 | (0.89–0.96) | Excellent |
| Tibial Slope | 45 | 0.88 | (0.81–0.93) | Good |
| Posterior Offset | 45 | 0.77 | (0.66–0.85) | Good |
| JLO | 45 | 0.82 | (0.72–0.89) | Good |
| Medial Gap in Extension | 45 | 0.94 | (0.90–0.96) | Excellent |
| Lateral Gap in Extension | 45 | 0.91 | (0.86–0.94) | Excellent |
| Medial Gap at 90° | 45 | 0.89 | (0.82–0.94) | Good |
| Lateral Gap at 90° | 45 | 0.87 | (0.79–0.92) | Good |
| Preoperative Data | Postoperative Data | p Value | |
|---|---|---|---|
| HKA (°) (mean ± SD) [Min; Max] | 170.2 ± 3.9 [163.5; 179] | 177.4 ± 2.2 [172; 182] | <0.0001 |
| OUTLIERS: HKA < 175° | - | 4 (8.9%) | - |
| mMDFA (°) (mean ± SD) [Min; Max] | 91.3 ± 2 [87; 94] | 91.1 ± 1.5 [88; 94] | 0.76 |
| OUTLIERS: mMDFA > 95° | - | 0 | - |
| OUTLIERS: mMDFA > 93° | - | 1 (2.2%) | - |
| MPTA (°) (mean ± SD) [Min; Max] | 85.7 ± 2.1 [82; 90] | 87.4 ± 1.8 [83; 90] | <0.0001 |
| OUTLIERS: MPTA < 85° | - | 2 (4.4%) | - |
| OUTLIERS: MPTA < 87° | - | 11 (24.4%) | - |
| JLCA (°) (mean ± SD) [Min; Max] | 6.2 ± 2.2 [1; 12] | - | - |
| JLO (°) (mean ± SD) [Min; Max] | −0.9 ± 2.4 [−7; 5] | 0.9 ± 1.7 [−2; 4] | 0.0002 |
| OUTLIERS JLO > 3° | - | 3 (6.7%) | - |
| Slope (°) (mean ± SD) [Min; Max] | 81.7 ± 3.1 [74; 89] | 86.8 ± 1.8 [83; 91] | <0.0001 |
| OUTLIERS Slope < 80° | - | 0 | - |
| Difference Post–Pre of Posterior Femoral offset (mm) (mean ± SD) [Min; Max] | 1.9 ± 1 [0.09; 5.4] | - |
| Mean ± SD | [Min; Max] | % Within 3° | % Within 2° | |
|---|---|---|---|---|
| mMDFA | −0.2 ± 1.5 | [−3.2; 3.8] | 95.6% | 86.7% |
| MPTA | −1 ± 1.7 | [−4; 3] | 93.3% | 80% |
| Tibial slope | 3.5 ± 1.9 | [0; 8] | 68.9% | 55.6% |
| Preoperative Data | Postoperative Data | p Value | |
|---|---|---|---|
| Patellar tilt (°) (mean ± SD) [Min; Max] | 4.4 ± 4.5 [0; 14] | 2.9 ± 3.2 [0; 11] | 0.146 |
| Patellar tilt > 5° | 14 (31%) | 4 (8.9%) | 0.016 |
| Patellar translation (mm) (mean ± SD) [Min; Max] | 0.6 ± 2.4 [0; 14] | 0.4 ± 1.4 [0; 6] | 0.763 |
| Patellar translation > 5 mm | 2 (2.4%) | 1 (2.2%) | 1.000 |
| Frontal Laxity (mm) (Mean ± SD) [Min; Max] | Medial | Lateral | p Value |
|---|---|---|---|
| Extension | 1.7 ± 0.9 [0.5; 4.3] | 1.8 ± 0.8 [0.5; 3.7] | 0.7900 |
| Flexion at 90° | 1.9 ± 0.8 [0.5; 4] | 4.7 ± 2 [1.2; 9.5] | <0.0001 |
| p value | 0.54 | <0.0001 | - |
| Gap in flexion—Gap in extension | 0.1 ± 1.1 [−2.9; 2.3] | 2.9 ± 2.2 [−2.4; 7.2] | 0.0064 |
| Mean ± SD | [Min; Max] | |
|---|---|---|
| Preoperative score | ||
| KSS score—knee | 38.3 ± 7.6 | [25; 65] |
| KSS score—function | 39.8 ± 13.1 | [0; 60] |
| Score at last follow-up | ||
| KSS score—knee | 94.1 ± 8.5 | [60; 100] |
| KSS score—function | 91.6 ± 10.9 | [60; 100] |
| Difference between preoperative and follow-up scores | ||
| KSS score—knee | 55.86 ± 11.5 | [19; 71] |
| KSS score—function | 51.84 ± 15.3 | [10; 90] |
Disclaimer/Publisher’s Note: The statements, opinions and data contained in all publications are solely those of the individual author(s) and contributor(s) and not of MDPI and/or the editor(s). MDPI and/or the editor(s) disclaim responsibility for any injury to people or property resulting from any ideas, methods, instructions or products referred to in the content. |
© 2025 by the authors. Licensee MDPI, Basel, Switzerland. This article is an open access article distributed under the terms and conditions of the Creative Commons Attribution (CC BY) license (https://creativecommons.org/licenses/by/4.0/).
Share and Cite
Azmi, Z.; Alqazzaz, A.; Batailler, C.; Parratte, S. Personalized Robotic-Assisted Total Knee Arthroplasty with Anatomo-Functional Implant Positioning for Varus Knees: A Minimum Follow-Up of 5 Years. J. Pers. Med. 2025, 15, 617. https://doi.org/10.3390/jpm15120617
Azmi Z, Alqazzaz A, Batailler C, Parratte S. Personalized Robotic-Assisted Total Knee Arthroplasty with Anatomo-Functional Implant Positioning for Varus Knees: A Minimum Follow-Up of 5 Years. Journal of Personalized Medicine. 2025; 15(12):617. https://doi.org/10.3390/jpm15120617
Chicago/Turabian StyleAzmi, Zakee, Aymen Alqazzaz, Cécile Batailler, and Sébastien Parratte. 2025. "Personalized Robotic-Assisted Total Knee Arthroplasty with Anatomo-Functional Implant Positioning for Varus Knees: A Minimum Follow-Up of 5 Years" Journal of Personalized Medicine 15, no. 12: 617. https://doi.org/10.3390/jpm15120617
APA StyleAzmi, Z., Alqazzaz, A., Batailler, C., & Parratte, S. (2025). Personalized Robotic-Assisted Total Knee Arthroplasty with Anatomo-Functional Implant Positioning for Varus Knees: A Minimum Follow-Up of 5 Years. Journal of Personalized Medicine, 15(12), 617. https://doi.org/10.3390/jpm15120617

