Primary Thyroid Lymphoma: How Molecular Biology and Ancillary Techniques Can Help the Cytopathologist Overcome This Diagnostic Challenge
Abstract
1. Introduction
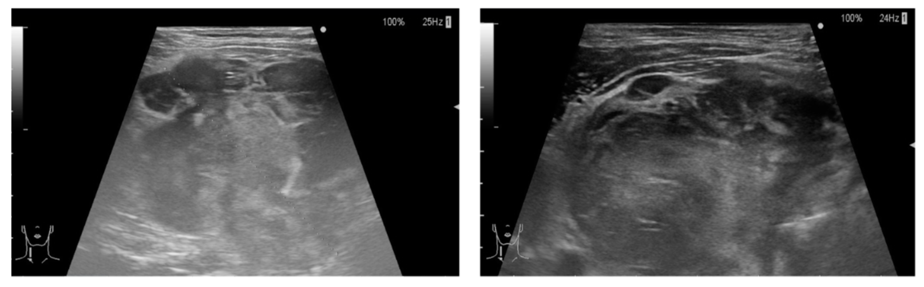
2. Case Report
3. Discussion
4. Conclusions
Author Contributions
Funding
Institutional Review Board Statement
Informed Consent Statement
Data Availability Statement
Conflicts of Interest
References
- Haugen, B.R.; Alexander, E.K.; Bible, K.C.; Doherty, G.M.; Mandel, S.J.; Nikiforov, Y.E.; Pacini, F.; Randolph, G.W.; Sawka, A.M.; Schlumberger, M.; et al. 2015 American Thyroid Association Management Guidelines for Adult Patients with Thyroid Nodules and Differentiated Thyroid Cancer: The American Thyroid Association Guidelines Task Force on Thyroid Nodules and Differentiated Thyroid Cancer. Thyroid 2016, 26, 1–133. [Google Scholar] [CrossRef] [PubMed]
- Stein, S.A.; Wartofsky, L. Primary thyroid lymphoma: A clinical review. J. Clin. Endocrinol. Metab. 2013, 98, 3131–3138. [Google Scholar] [CrossRef] [PubMed]
- Pavlidis, E.T.; Pavlidis, T.E. A Review of Primary Thyroid Lymphoma: Molecular Factors, Diagnosis and Management. J. Investig. Surg. 2019, 32, 137–142. [Google Scholar] [CrossRef] [PubMed]
- Zhang, L.; Castellana, M.; Virili, C.; Crescenzi, A.; Giorgino, F.; Zucca, E.; Ceriani, L.; Cavalli, F.; Giovanella, L.; Trimboli, P. Fine-needle aspiration to diagnose primary thyroid lymphomas: A systematic review and meta-analysis. Eur. J. Endocrinol. 2019, 180, 177–187. [Google Scholar] [CrossRef] [PubMed]
- Czopnik, P.; Aporowicz, M.; Niepokój-Czopnik, A.; Wojtczak, B.; Domosławski, P.; Bolanowski, M. Primary thyroid lymphoma: A rare but challenging diagnosis. Pol. Arch. Intern. Med. 2017, 127, 361–364. [Google Scholar] [CrossRef] [PubMed]
- Peixoto, R.; Pinto, J.C.; Soares, V.; Koch, P.; Gomes, A.T. Primary thyroid lymphoma: A case report and review of the literature. Ann. Med. Surg. 2016, 13, 29–33. [Google Scholar] [CrossRef] [PubMed]
- Walsh, S.; Lowery, A.J.; Evoy, D.; McDermott, E.W.; Prichard, R.S. Thyroid Lymphoma: Recent Advances in Diagnosis and Optimal Management Strategies. Oncologist 2013, 18, 994–1003. [Google Scholar] [CrossRef]
- Cha, C.; Chen, H.; Westra, W.H.; Udelsman, R. Primary thyroid lymphoma: Can the diagnosis be made solely by fine-needle aspiration? Ann. Surg. Oncol. 2002, 9, 298–302. [Google Scholar] [CrossRef]
- Sangalli, G.; Serio, G.; Zampatti, C.; Lomuscio, G.; Colombo, L. Fine needle aspiration cytology of primary lymphoma of the thyroid: A report of 17 cases. Cytopathology 2001, 12, 257–263. [Google Scholar] [CrossRef]
- Nasrollah, N.; Trimboli, P.; Guidobaldi, L.; Modica, D.D.C.; Ventura, C.; Ramacciato, G.; Taccogna, S.; Romanelli, F.; Valabrega, S.; Crescenzi, A. Thin core biopsy should help to discriminate thyroid nodules cytologically classified as indeterminate. A new sampling technique. Endocrine 2013, 43, 659–665. [Google Scholar] [CrossRef]
- Nasrollah, N.; Trimboli, P.; Rossi, F.; Amendola, S.; Guidobaldi, L.; Ventura, C.; Maglio, R.; Nigri, G.; Romanelli, F.; Valabrega, S.; et al. Patient’s comfort with and tolerability of thyroid core needle biopsy. Endocrine 2014, 45, 79–83. [Google Scholar] [CrossRef] [PubMed]
- Ahn, S.-H. Usage and Diagnostic Yield of Fine-Needle Aspiration Cytology and Core Needle Biopsy in Thyroid Nodules: A Systematic Review and Meta-Analysis of Literature Published by Korean Authors. Clin. Exp. Otorhinolaryngol. 2021, 14, 116–130. [Google Scholar] [CrossRef] [PubMed]
- Samir, A.E.; Vij, A.; Seale, M.K.; Desai, G.; Halpern, E.; Faquin, W.C.; Parangi, S.; Hahn, P.F.; Daniels, G.H.; Paja, M.; et al. Ultrasound-Guided Percutaneous Thyroid Nodule Core Biopsy: Clinical Utility in Patients with Prior Nondiagnostic Fine-Needle Aspirate. Thyroid 2012, 22, 461–467. [Google Scholar] [CrossRef] [PubMed]
- Crescenzi, A.; Guidobaldi, L.; Nasrollah, N.; Taccogna, S.; Modica, D.D.C.; Turrini, L.; Nigri, G.; Romanelli, F.; Valabrega, S.; Giovanella, L.; et al. Immunohistochemistry for BRAF(V600E) Antibody VE1 Performed in Core Needle Biopsy Samples Identifies Mutated Papillary Thyroid Cancers. Horm. Metab. Res. 2014, 46, 370–374. [Google Scholar] [CrossRef] [PubMed]
- Crescenzi, A.; Baloch, Z. Immunohistochemistry in the pathologic diagnosis and management of thyroid neoplasms. Front. Endocrinol. 2023, 14, 1198099. [Google Scholar] [CrossRef]
- Karanth, T.; Bhandarkar, A.M.; Pujary, K.; Monappa, V. Primary Thyroid Lymphoma Presenting in Stridor. Egypt. J. Ear, Nose, Throat Allied Sci. 2020, 21, 28–31. [Google Scholar] [CrossRef][Green Version]
- Nardi, F.; Basolo, F.; Crescenzi, A.; Fadda, G.; Frasoldati, A.; Orlandi, F.; Palombini, L.; Papini, E.; Zini, M.; Pontecorvi, A.; et al. Italian consensus for the classification and reporting of thyroid cytology. J. Endocrinol. Investig. 2014, 37, 593–599. [Google Scholar] [CrossRef]
- Misiakos, E.P.; Margari, N.; Meristoudis, C.; Machairas, N.; Schizas, D.; Petropoulos, K.; Spathis, A.; Karakitsos, P.; Machairas, A. Cytopathologic diagnosis of fine needle aspiration biopsies of thyroid nodules. World J. Clin. Cases 2016, 4, 38–48. [Google Scholar] [CrossRef]
- Ota, H.; Ito, Y.; Matsuzuka, F.; Kuma, S.; Fukata, S.; Morita, S.; Kobayashi, K.; Nakamura, Y.; Kakudo, K.; Amino, N.; et al. Usefulness of Ultrasonography for Diagnosis of Malignant Lymphoma of the Thyroid. Thyroid 2006, 16, 983–987. [Google Scholar] [CrossRef]
- Baraibar, I.; Mezquita, L.; Gil-Bazo, I.; Planchard, D. Novel drugs targeting EGFR and HER2 exon 20 mutations in metastatic NSCLC. Crit. Rev. Oncol. Hematol. 2020, 148, 102906. [Google Scholar] [CrossRef]
- Friedlaender, A.; Subbiah, V.; Russo, A.; Banna, G.L.; Malapelle, U.; Rolfo, C.; Addeo, A. EGFR and HER2 exon 20 insertions in solid tumours: From biology to treatment. Nat. Rev. Clin. Oncol. 2022, 19, 51–69. [Google Scholar] [CrossRef] [PubMed]
- HER2-Targeted Therapy Shows Promise across Tumor Types. Cancer Discov. 2023. [CrossRef]
- Schlauch, D.; Fu, X.; Jones, S.F.; Burris, H.A., 3rd; Spigel, D.R.; Reeves, J.; McKenzie, A.J. Tumor-Specific and Tumor-Agnostic Molecular Signatures Associated with Response to Immune Checkpoint Inhibitors. JCO Precis. Oncol. 2021, 5, 1625–1638. [Google Scholar] [CrossRef]
- Looney, A.-M.; Nawaz, K.; Webster, R.M. Tumour-agnostic therapies. Nat. Rev. Drug Discov. 2020, 19, 383–384. [Google Scholar] [CrossRef] [PubMed]
- Russo, A.; Incorvaia, L.; Capoluongo, E.; Tagliaferri, P.; Galvano, A.; Del Re, M.; Malapelle, U.; Chiari, R.; Conte, P.; Danesi, R.; et al. The challenge of the Molecular Tumor Board empowerment in clinical oncology practice: A Position Paper on behalf of the AIOM- SIAPEC/IAP-SIBioC-SIC-SIF-SIGU-SIRM Italian Scientific Societies. Crit. Rev. Oncol. Hematol. 2021, 169, 103567. [Google Scholar] [CrossRef]
- Thieblemont, C.; Mayer, A.; Dumontet, C.; Barbier, Y.; Callet-Bauchu, E.; Felman, P.; Berger, F.; Ducottet, X.; Martin, C.; Salles, G.; et al. Primary thyroid lymphoma is a heterogeneous disease. J. Clin. Endocrinol. Metab. 2002, 87, 105–111. [Google Scholar] [CrossRef]




Disclaimer/Publisher’s Note: The statements, opinions and data contained in all publications are solely those of the individual author(s) and contributor(s) and not of MDPI and/or the editor(s). MDPI and/or the editor(s) disclaim responsibility for any injury to people or property resulting from any ideas, methods, instructions or products referred to in the content. |
© 2023 by the authors. Licensee MDPI, Basel, Switzerland. This article is an open access article distributed under the terms and conditions of the Creative Commons Attribution (CC BY) license (https://creativecommons.org/licenses/by/4.0/).
Share and Cite
Guidobaldi, L.; Cafiero, C.; D’Amato, G.; Dell’Aquila, M.; Trimboli, P.; Palmirotta, R.; Pisconti, S. Primary Thyroid Lymphoma: How Molecular Biology and Ancillary Techniques Can Help the Cytopathologist Overcome This Diagnostic Challenge. J. Pers. Med. 2023, 13, 1203. https://doi.org/10.3390/jpm13081203
Guidobaldi L, Cafiero C, D’Amato G, Dell’Aquila M, Trimboli P, Palmirotta R, Pisconti S. Primary Thyroid Lymphoma: How Molecular Biology and Ancillary Techniques Can Help the Cytopathologist Overcome This Diagnostic Challenge. Journal of Personalized Medicine. 2023; 13(8):1203. https://doi.org/10.3390/jpm13081203
Chicago/Turabian StyleGuidobaldi, Leo, Concetta Cafiero, Gerardo D’Amato, Marco Dell’Aquila, Pierpaolo Trimboli, Raffaele Palmirotta, and Salvatore Pisconti. 2023. "Primary Thyroid Lymphoma: How Molecular Biology and Ancillary Techniques Can Help the Cytopathologist Overcome This Diagnostic Challenge" Journal of Personalized Medicine 13, no. 8: 1203. https://doi.org/10.3390/jpm13081203
APA StyleGuidobaldi, L., Cafiero, C., D’Amato, G., Dell’Aquila, M., Trimboli, P., Palmirotta, R., & Pisconti, S. (2023). Primary Thyroid Lymphoma: How Molecular Biology and Ancillary Techniques Can Help the Cytopathologist Overcome This Diagnostic Challenge. Journal of Personalized Medicine, 13(8), 1203. https://doi.org/10.3390/jpm13081203

