A Pancreatic Inflammatory Myofibroblastic Tumor with Spontaneous Remission: A Case Report with a Literature Review
Abstract
1. Introduction
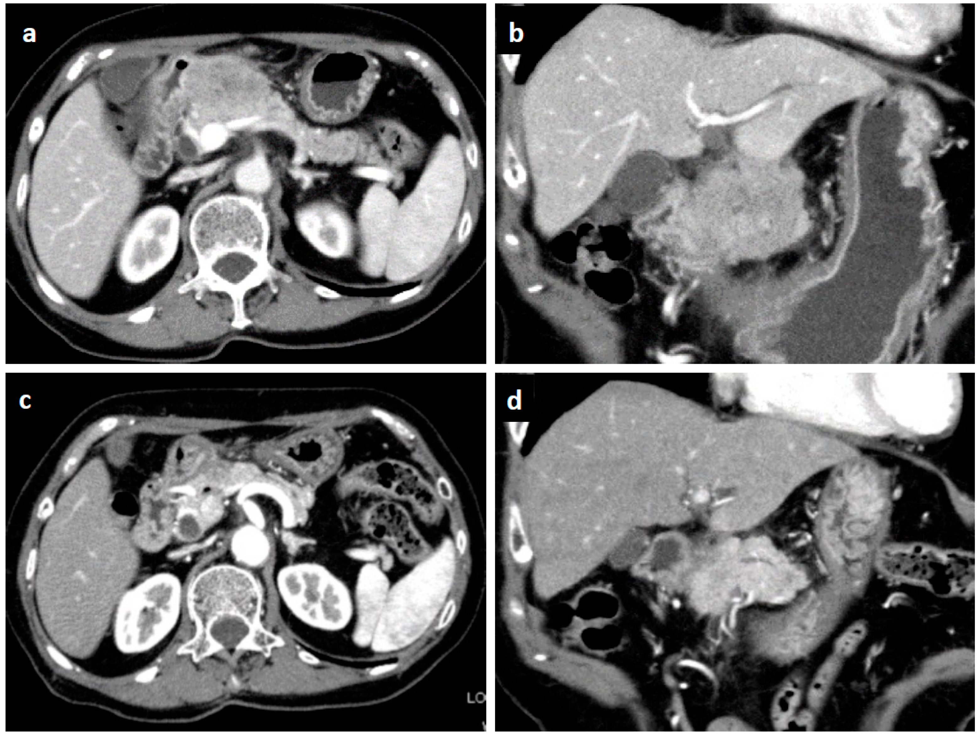
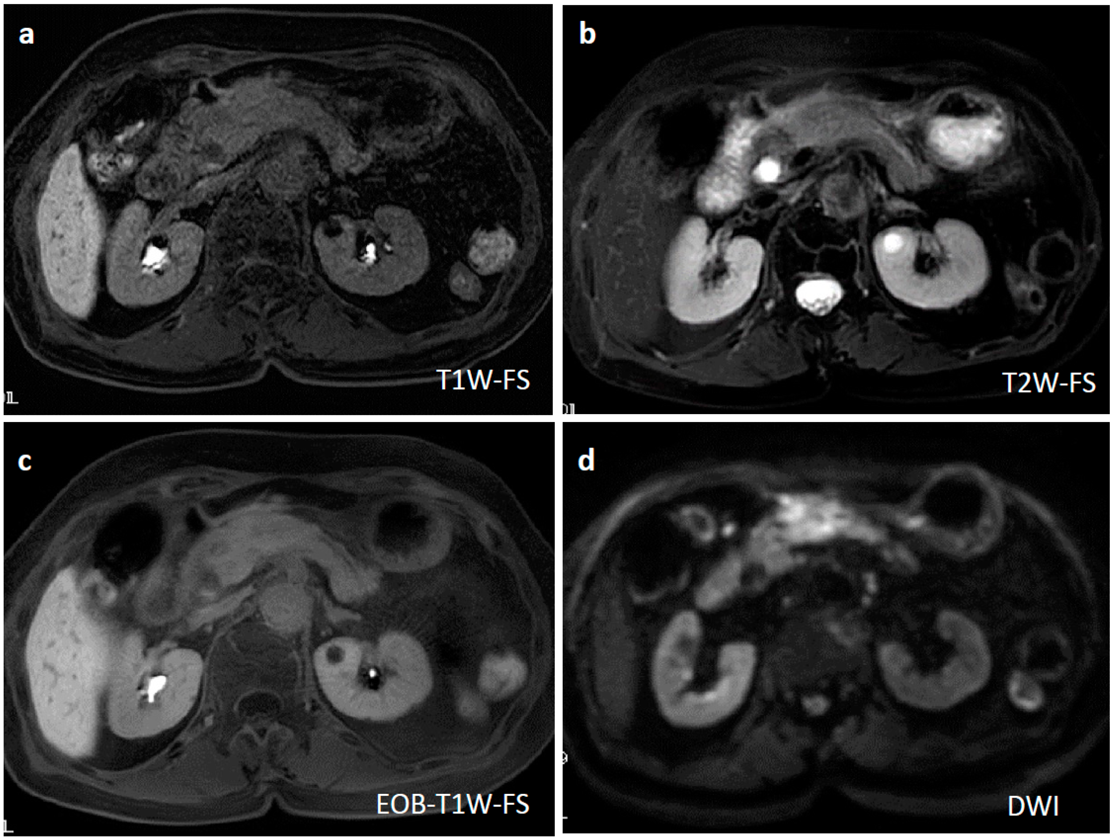
2. Case Presentation
3. Discussion
Author Contributions
Funding
Conflicts of Interest
Abbreviations
| IMT | inflammatory myofibroblastic tumor |
| NSAIDS | non-steroidal anti-inflammatory drugs |
| CT | computed tomography |
| SMT | submucosal tumor |
| EUS | endoscopic ultrasonography |
| FNAB | fine needle aspiration biopsy |
| ASMA | anti-smooth muscle antibody |
| MRI | magnetic resonance imaging |
| IPT | inflammatory pseudotumor |
| ALK | anaplastic lymphoma kinase |
References
- Nonaka, D.; Birbe, R.; Rosai, J. So-called inflammatory myofibroblastic tumour: A proliferative lesion of fibroblastic reticulum cells? Histopathology 2005, 46, 604–613. [Google Scholar] [CrossRef]
- Gleason, B.C.; Hornick, J.L. Inflammatory myofibroblastic tumours: Where are we now? J. Clin. Pathol. 2008, 61, 428–437. [Google Scholar] [CrossRef]
- Yamamoto, H.; Oda, Y.; Saito, T.; Sakamoto, A.; Miyajima, K.; Tamiya, S.; Tsuneyoshi, M. p53 Mutation and MDM2 amplification in inflammatory myofibroblastic tumours. Histopathology 2003, 42, 431–439. [Google Scholar] [CrossRef] [PubMed]
- Yamamoto, H.; Yoshida, A.; Taguchi, K.; Kohashi, K.; Hatanaka, Y.; Yamashita, A.; Mori, D.; Oda, Y. ALK, ROS1 and NTRK3 gene rearrangements in inflammatory myofibroblastic tumours. Histopathology 2016, 69, 72–83. [Google Scholar] [CrossRef] [PubMed]
- Coffin, C.M.; Hornick, J.L.; Fletcher, C.D. Inflammatory myofibroblastic tumor: Comparison of clinicopathologic, histologic, and immunohistochemical features including ALK expression in atypical and aggressive cases. Am. J. Surg. Pathol. 2007, 31, 509–520. [Google Scholar] [CrossRef] [PubMed]
- Shankar, K.R.; Losty, P.D.; Khine, M.M.; Lamont, G.L.; McDowell, H.P. Pancreatic inflammatory tumour: A rare entity in childhood. J. R. Coll. Surg. Edinb. 1998, 43, 422–423. [Google Scholar] [PubMed]
- Walsh, S.V.; Evangelista, F.; Khettry, U. Inflammatory myofibroblastic tumor of the pancreaticobiliary region: Morphologic and immunocytochemical study of three cases. Am. J. Surg. Pathol. 1998, 22, 412–418. [Google Scholar] [CrossRef]
- McClain, M.B.; Burton, E.M.; Day, D.S. Pancreatic pseudotumor in an 11-year-old child: Imaging findings. Pediatr Radiol. 2000, 30, 610–613. [Google Scholar] [CrossRef]
- Wreesmann, V.; van Eijck, C.H.; Naus, D.C.; van Velthuysen, M.L.; Jeekel, J.; Mooi, W.J. Inflammatory pseudotumour (inflammatory myofibroblastic tumour) of the pancreas: A report of six cases associated with obliterative phlebitis. Histopathology 2001, 38, 105–110. [Google Scholar] [CrossRef]
- Yamamoto, H.; Watanabe, K.; Nagata, M.; Tasaki, K.; Honda, I.; Watanabe, S.; Soda, H.; Takenouti, T. Inflammatory myofibroblastic tumor (IMT) of the pancreas. J. Hepatobiliary Pancreat Surg. 2002, 9, 116–119. [Google Scholar] [CrossRef]
- Esposito, I.; Bergmann, F.; Penzel, R.; di Mola, F.F.; Shrikhande, S.; Buchler, M.W.; Friess, H.; Otto, H.F. Oligoclonal T-cell populations in an inflammatory pseudotumor of the pancreas possibly related to autoimmune pancreatitis: An immunohistochemical and molecular analysis. Virchows Arch. 2004, 444, 119–126. [Google Scholar] [CrossRef] [PubMed]
- Pungpapong, S.; Geiger, X.J.; Raimondo, M. Inflammatory myofibroblastic tumor presenting as a pancreatic mass: A case report and review of the literature. JOP 2004, 5, 360–367. [Google Scholar] [PubMed]
- Dulundu, E.; Sugawara, Y.; Makuuchi, M. Inflammatory myofibroblastic tumor of the pancreas--a case report. Biosci. Trends 2007, 1, 167–169. [Google Scholar] [PubMed]
- Sim, A.; Lee, M.W.; Nguyen, G.K. Inflammatory myofibroblastic tumour of the pancreas. Can. J. Surg. 2008, 51, E23–E24. [Google Scholar] [PubMed]
- Dagash, H.; Koh, C.; Cohen, M.; Sprigg, A.; Walker, J. Inflammatory myofibroblastic tumor of the pancreas: A case report of 2 pediatric cases—steroids or surgery? J. Pediatr Surg. 2009, 44, 1839–1841. [Google Scholar] [CrossRef] [PubMed]
- Hassan, K.S.; Cohen, H.I.; Hassan, F.K.; Hassan, S.K. Unusual case of pancreatic inflammatory myofibroblastic tumor associated with spontaneous splenic rupture. World J. Emerg. Surg. 2010, 5, 28. [Google Scholar] [CrossRef] [PubMed]
- Schutte, K.; Kandulski, A.; Kuester, D.; Meyer, F.; Wieners, G.; Schulz, H.U.; Malfertheiner, P. Inflammatory Myofibroblastic Tumor of the Pancreatic Head: An Unusual Cause of Recurrent Acute Pancreatitis - Case Presentation of a Palliative Approach after Failed Resection and Review of the Literature. Case Rep. Gastroenterol. 2010, 4, 443–451. [Google Scholar] [CrossRef]
- Tomazic, A.; Gvardijancic, D.; Maucec, J.; Homan, M. Inflammatory myofibroblastic tumor of the pancreatic head—A case report of a 6 months old child and review of the literature. Radiol. Oncol. 2015, 49, 265–270. [Google Scholar] [CrossRef]
- Panda, D.; Mukhopadhyay, D.; Datta, C.; Chattopadhyay, B.K.; Chatterjee, U.; Shinde, R. Inflammatory Myofibroblastic Tumor Arising in the Pancreatic Head: A Rare Case Report. Indian J. Surg. 2015, 77, 538–540. [Google Scholar] [CrossRef][Green Version]
- Zanchi, C.; Giurici, N.; Martelossi, S.; Cheli, M.; Sonzogni, A.; Alberti, D. Myofibroblastic Tumor of the Pancreatic Head: Recurrent Cholangitis. J. Pediatr Gastroenterol. Nutr. 2015, 61, e28–e29. [Google Scholar] [CrossRef]
- Battal, M.; Kartal, K.; Tuncel, D.; Bostanci, O. Inflammatory myofibroblastic pancreas tumor: A case report. Clin. Case Rep. 2016, 4, 1122–1124. [Google Scholar] [CrossRef] [PubMed]
- Ding, D.; Bu, X.; Tian, F. Inflammatory myofibroblastic tumor in the head of the pancreas with anorexia and vomiting in a 69-year-old man: A case report. Oncol. Lett. 2016, 12, 1546–1550. [Google Scholar] [CrossRef] [PubMed][Green Version]
- Liu, H.K.; Lin, Y.C.; Yeh, M.L.; Chen, Y.S.; Su, Y.T.; Tsai, C.C. Inflammatory myofibroblastic tumors of the pancreas in children: A case report and literature review. Medicine (Baltimore) 2017, 96, e5870. [Google Scholar] [CrossRef] [PubMed]
- Berhe, S.; Goldstein, S.; Thompson, E.; Hackam, D.; Rhee, D.S.; Nasr, I.W. Challenges in Diagnosis and Management of Pancreatic Inflammatory Myofibroblastic Tumors in Children. Pancreas 2019, 48, e27–e29. [Google Scholar] [CrossRef] [PubMed]
- Lacoste, L.; Galant, C.; Gigot, J.F.; Lacoste, B.; Annet, L. Inflammatory myofibroblastic tumor of the pancreatic head. JBR-BRR 2012, 95, 267–269. [Google Scholar] [CrossRef] [PubMed][Green Version]
- Kroft, S.H.; Stryker, S.J.; Winter, J.N.; Ergun, G.; Rao, M.S. Inflammatory pseudotumor of the pancreas. Int. J. Pancreatol 1995, 18, 277–283. [Google Scholar] [PubMed]
- Przkora, R.; Bolder, U.; Schwarz, S.; Jauch, K.W.; Spes, J.; Andreesen, R.; Mackensen, A. Regression of nonresectable inflammatory myofibroblastic tumours after treatment with nonsteroidal anti-inflammatory drugs. Eur. J. Clin. Investig. 2004, 34, 320–321. [Google Scholar] [CrossRef] [PubMed]
- Shatzel, J.; Wooten, K.; Ankola, A.; Cheney, R.T.; Morrison, C.D.; Skitzki, J.J. Inflammatory myofibroblastic tumor of the mesentery: A clinical dilemma. Int. J. Clin. Oncol. 2012, 17, 380–384. [Google Scholar] [CrossRef]
- Galindo, J.; Lassaletta, L.; Garcia, E.; Gavilan, J.; Allona, M.; Royo, A.; Patron, M. Spontaneous hearing improvement in a patient with an inflammatory myofibroblastic tumor of the temporal bone. Skull Base 2008, 18, 411–415. [Google Scholar] [CrossRef][Green Version]
- Mattei, P.; Barnaby, K. Rapid regression of duodenal inflammatory myofibroblastic tumor after intravenous ketorolac: Case report and review of the literature. J. Pediatr. Surg. 2008, 43, 1196–1199. [Google Scholar] [CrossRef]
- Sugiyama, K.; Nakajima, Y. Inflammatory myofibroblastic tumor in the mediastinum mimicking a malignant tumor. Diagn. Interv. Radiol. 2008, 14, 197–199. [Google Scholar] [PubMed]
- Bilaceroglu, S.; Gursoy, S.; Yucel, N.; Ozbilek, E. Inflammatory myofibroblastic tumor presenting as a large mass and a spontaneously resolving nodule in the lung. J. Bronchol. Interv. Pulmonol. 2009, 16, 286–289. [Google Scholar] [CrossRef] [PubMed]
- Fragoso, A.C.; Eloy, C.; Estevao-Costa, J.; Campos, M.; Farinha, N.; Lopes, J.M. Abdominal inflammatory myofibroblastic tumor a clinicopathologic study with reappraisal of biologic behavior. J. Pediatr. Surg. 2011, 46, 2076–2082. [Google Scholar] [CrossRef] [PubMed]
- Calaway, A.C.; Gondim, D.; Idrees, M.; Boris, R.S. Spontaneous resolution of inflammatory myofibroblastic tumor of the kidney. Can. J. Urol. 2014, 21, 7582–7585. [Google Scholar] [PubMed]
- Zhao, J.J.; Ling, J.Q.; Fang, Y.; Gao, X.D.; Shu, P.; Shen, K.T.; Qin, J.; Sun, Y.H.; Qin, X.Y. Intra-abdominal inflammatory myofibroblastic tumor: Spontaneous regression. World J. Gastroenterol. 2014, 20, 13625–13631. [Google Scholar] [CrossRef] [PubMed]
- Markovic Vasiljkovic, B.; Plesinac Karapandzic, V.; Pejcic, T.; Djuric Stefanovic, A.; Milosevic, Z.; Plesinac, S. Follow-Up Imaging of Inflammatory Myofibroblastic Tumor of the Uterus and Its Spontaneous Regression. Iran. J. Radiol. 2016, 13, e12991. [Google Scholar] [CrossRef] [PubMed]
- Yoshimura, K.; Sasaki, M.; Kojima, M.; Tsuruzono, K.; Matsumoto, K.; Wakayama, A.; Yoshimine, T. Spontaneous Regression of Inflammatory Pseudotumor in the Cauda Equina: A Case Report. Nmc Case Rep. J. 2016, 3, 111–114. [Google Scholar] [CrossRef]
- Habib, L.; Son, J.H.; Petris, C.; Kazim, M. Spontaneous regression of inflammatory myofibroblastic tumor of the orbit: A case report and review of literature. Orbit 2017, 36, 178–182. [Google Scholar] [CrossRef]
- Goldsmith, P.J.; Loganathan, A.; Jacob, M.; Ahmad, N.; Toogood, G.J.; Lodge, J.P.; Prasad, K.R. Inflammatory pseudotumours of the liver: A spectrum of presentation and management options. Eur. J. Surg. Oncol. 2009, 35, 1295–1298. [Google Scholar] [CrossRef]
- Hussong, J.W.; Brown, M.; Perkins, S.L.; Dehner, L.P.; Coffin, C.M. Comparison of DNA ploidy, histologic, and immunohistochemical findings with clinical outcome in inflammatory myofibroblastic tumors. Mod. Pathol. 1999, 12, 279–286. [Google Scholar]
- Coffin, C.M.; Patel, A.; Perkins, S.; Elenitoba-Johnson, K.S.; Perlman, E.; Griffin, C.A. ALK1 and p80 expression and chromosomal rearrangements involving 2p23 in inflammatory myofibroblastic tumor. Mod. Pathol. 2001, 14, 569–576. [Google Scholar] [CrossRef] [PubMed]
- Matsubayashi, H.; Matsui, T.; Yabuuchi, Y.; Imai, K.; Tanaka, M.; Kakushima, N.; Sasaki, K.; Ono, H. Endoscopic ultrasonography guided-fine needle aspiration for the diagnosis of solid pancreaticobiliary lesions: Clinical aspects to improve the diagnosis. World J. Gastroenterol. 2016, 22, 628–640. [Google Scholar] [CrossRef] [PubMed]
- Ishiwatari, H.; Sato, J.; Fujie, S.; Sasaki, K.; Kaneko, J.; Satoh, T.; Matsubayashi, H.; Kishida, Y.; Yoshida, M.; Ito, S.; et al. Gross visual inspection by endosonographers during endoscopic ultrasound-guided fine needle aspiration. Pancreatology 2019, 19, 191–195. [Google Scholar] [CrossRef] [PubMed]
- Fujie, S.; Ishiwatari, H.; Sasaki, K.; Sato, J.; Matsubayashi, H.; Yoshida, M.; Ito, S.; Kawata, N.; Imai, K.; Kakushima, N.; et al. Comparison of the Diagnostic Yield of the Standard 22-Gauge Needle and the New 20-Gauge Forward-Bevel Core Biopsy Needle for Endoscopic Ultrasound-Guided Tissue Acquisition from Pancreatic Lesions. Gut Liver 2019, 13, 349–355. [Google Scholar] [CrossRef]
- Sato, J.; Ishiwatari, H.; Sasaki, K.; Fujie, S.; Kaneko, J.; Satoh, T.; Matsubayashi, H.; Kishida, Y.; Yoshida, M.; Ito, S.; et al. Benefit of high negative pressure during endoscopic ultrasound-guided fine-needle aspiration with standard 22-gauge needles for pancreatic lesions: A retrospective comparative study. Scand. J. Gastroenterol. 2019, 54, 108–113. [Google Scholar] [CrossRef]
- Yamamoto, H.; Yamaguchi, H.; Aishima, S.; Oda, Y.; Kohashi, K.; Oshiro, Y.; Tsuneyoshi, M. Inflammatory myofibroblastic tumor versus IgG4-related sclerosing disease and inflammatory pseudotumor: A comparative clinicopathologic study. Am. J. Surg. Pathol. 2009, 33, 1330–1340. [Google Scholar] [CrossRef]
- Mizukami, H.; Yajima, N.; Wada, R.; Matsumoto, K.; Kojima, M.; Kloppel, G.; Yagihashi, S. Pancreatic malignant fibrous histiocytoma, inflammatory myofibroblastic tumor, and inflammatory pseudotumor related to autoimmune pancreatitis: Characterization and differential diagnosis. Virchows Arch. 2006, 448, 552–560. [Google Scholar] [CrossRef]






| No | Ref no. | Author | Year | Age (years old) | Gender | Location | Tumor Size (cm) | Symptoms | Pathological Examination (pathology) | Preoperative Diagnosis | Treatment | Course after Surgery or Remission | |
|---|---|---|---|---|---|---|---|---|---|---|---|---|---|
| Follow-up Period | Status | ||||||||||||
| 1 | 26 | Kroft | 1995 | 42 | F | Pb | 7 | abd. pain, weight loss, fatigue | FNAB (benign pancreatic tissue) | ND | resection | 6 months | NER |
| 2 | 6 | Shankar | 1998 | 8 | F | Pbt | 10.7 | abd. pain | ND | sarcoma | resection | 2 years | NER |
| 3 | 7 | Walsh | 1998 | 35 | M | Ph | 5 | jaundice, abd. pain, anorexia, weight loss | ND | pancreatic cancer | resection | 6 years | lung recurrence |
| 3 years | NER | ||||||||||||
| 4 | 8 | McClain | 2000 | 11 | F | Ph | 3.4 | jaundice, abd pain, weight loss | ND | malignancy | resection | ND | ND |
| 5 | 9 | Wreesman | 2001 | 62 | M | Ph | 3 | jaundice | ND | pancreatic cancer | resection | 6 years | NER |
| 6 | 56 | M | Ph | ND | jaundice | ND | pancreatic cancer | resection | 5 years | NER | |||
| 7 | 50 | M | Ph | 5 | jaundice | ND | pancreatic cancer | resection | 4 years | NER | |||
| 8 | 57 | F | Ph | ND | jaundice | ND | pancreatic cancer | resection | 3 years | NER | |||
| 9 | 45 | M | Ph | no mass | jaundice | ND | pancreatic cancer | resection | 10 years | NER | |||
| 10 | 32 | F | Ph | 2.5 | abd. pain | ND | pancreatic cancer | resection | 12 years | NER | |||
| 11 | 10 | Yamamoto | 2002 | 55 | M | Ph | 1.5 | none (incidental finding €) | ND | pancreatic cancer | resection | 28 months | NER |
| 12 | 11 | Esposito | 2003 | 69 | M | Pbt | ND | abd. pain | ND (no malignancy) | ND | resection | 7 months | died of sepsis |
| 13 | 12 | Pungpapong | 2004 | 70 | M | Pt | 3.8 | none (incidental finding €) | ND (no malignancy) | ND | resection | 10 months | NER |
| 14 | 13 | Dulundu | 2007 | 65 | M | Pb | 2 | none (incidental finding €) | ND | ND | resection | 3 years | NER |
| 15 | 14 | Sim | 2008 | 56 | M | Pt | 7 | melena | ND | pancreatic cancer | resection | 1.5 years | NER |
| 16 | 15 | Dagash | 2009 | 13 | F | Ph | 3 | jaundice, vomiting, weight loss | open bp ¥ (IPT) | ND | resection | 6 years | NER |
| 17 | 10 | M | Ph | 2.2 | jaundice, abd. pain, anorexia | percutaneous bp (IPT) | IPT | predonisolone, cefuroxime | 6 years | NER | |||
| 18 | 16 | Hassan | 2010 | 19 | M | Pt | 8.2 | abd. pain | ND | splenic rupture | resection | 6 years | NER |
| 19 | 17 | Schutte | 2010 | 44 | F | Ph | 6 | abd. pain, nausea, weight loss | ND | malignancy | resection | 1 year | SD |
| 20 | 25 | Lacoste | 2012 | 56 | M | Ph | ND | abd. pain | bp (not diagnostic) | possible malignancy | resection | ND | NER |
| 21 | 18 | Tomazic | 2014 | 0 | M | Ph | 4 | jaundice | US-FNAB £ (not diagnostic) | possible malignancy | resection | 3.5 years | NER |
| 22 | 19 | Panda | 2015 | 32 | F | Ph | 4.8 | jaundice, abd. pain | ND | pancreatic cancer | resection | 2.5 years | NER |
| 23 | 20 | Zanchi | 2015 | 13 | F | Ph | 2.5 | jaundice, abd. pain, vomiting, anorexia | US-FNAB £ (mesenchymal neoplasm) | mesenchymal neoplasm | resection | 4 years | NER |
| 24 | 21 | Battal | 2016 | 46 | M | Ph | 8 | abd. pain | ND | ND | resection | ND | ND |
| 25 | 22 | Ding | 2016 | 69 | M | Ph | 4 | vomiting, anorexia | endoscopic bp. (fibrous lesion with inflammatory cells) | malignancy | resection | 3 years | NER |
| 26 | 23 | Liu | 2017 | 15 | M | Pt | 5 | abd. pain | US-FNAB £ (compatible with IMT) | tumor invading the transverse colon | Resection # | 3 years | NER |
| 27 | 24 | Berhe | 2019 | 1 | F | Ph | ND | ND | ND | IMT or chronic pancreatitis | resection | ND | ND |
| 28 | Current case | 2019 | 82 | F | Ph | 5 | abd. discomfort | IMT | IMT | None * | 9 months | NER | |
| Average | M:F | Ph:Pb:Pt:Pbt | Average | ||||||||||
| 39.7 | 17:11 | 20:2:4:2 | 4.7 | ||||||||||
| No. | Ref. no. | Author | Year | Age (years old) | Gender | Tumor Size (cm) | Location | Symptoms | Histological Examination | Treatment | Course after Remission |
|---|---|---|---|---|---|---|---|---|---|---|---|
| 1 | 27 | Przkora | 2004 | 63 | F | ND | retroperitoneum and mesentery | none | ND | predonisolone: 150 mg/day and diclofenac 50 mg × 2/day for 1 week | 14 months, NER |
| 2 | 22 | M | abd. discomfort | ND | predonisolone: 150 mg/day and ibuprofen 400 mg × 2/day for 1 week | 12 months, SD | |||||
| 3 | 29 | Galindo | 2008 | 28 | M | ND | skull base | hearing loss, headache, otalgia | open bp | none | 3 years, NER |
| 4 | 30 | Mattei | 2008 | 13 | M | ND | duodenum | ND | open bp | ketorolac | ND |
| 5 | 31 | Sugiyama | 2008 | 72 | M | ND | mediastinum | abd. discomfort, anorexia | US-guided bp | none | 4 months, NER |
| 6 | 32 | Bilaceroglu | 2009 | 21 | F | 6, 2 | bilateral lung | abd. pain, vomiting, weight loss | needle bp, lung lobectomy | right lower lobectomy (none for left lung lesion) | 1 year, NER |
| 7 | 33 | Fragoso | 2011 | 14 | M | diffuse involvement of segments IV–VIII | liver | none (anemia) | FNAB | antibiotics | 6 years, NER |
| 8 | 28 | Shatzel | 2012 | 28 | F | 5.5 | mesentery | abd. pain | incomplete mass resection | prednisone 20 mg/day and celecoxib 200 mg/day for 2 weeks | 3 months, shrunk to 4.2 cm |
| 9 | 34 | Calaway | 2014 | 71 | F | 5 | kidney | abd. pain, vomiting, fever | percutaneous FNAB (IMT) | none | ND, NER |
| 10 | 35 | Zhao | 2014 | 49 | M | 15 | retroperitoneum | abd. pain, vomiting | laparotomic incisional bp | none | 3 months, NER |
| 11 | 59 | M | 3.9 | gastric wall | abd. distension, weight loss | endoscopic bp, laparotomic lymphadenectomy | none | 1 year, NER | |||
| 12 | 36 | Markovic Vasiljkovic | 2016 | middle age | F | occupying entire pelvis | uterus | lumbago, weight loss, leg edema | open bp | none | 5 years, NER |
| 13 | 37 | Yoshimura | 2016 | 78 | F | ND | cauda equina | pain and numbness in buttock | laminectomy, intraoperative bp | none | 3 years, NER |
| 14 | 38 | Habib | 2017 | 7 | M | 1.7 | orbit | decreased visual acuity, color desaturation | orbital bp | corticosteroid (failure) | 12 years, shrunk to 0.8 cm |
| 15 | Current case | 2019 | 82 | F | 5 | pancreas | abd. discomfort | EUS-FNAB | none | 9 months, NER | |
| Average | 43.4 | (8:6) | 5.6 |
© 2019 by the authors. Licensee MDPI, Basel, Switzerland. This article is an open access article distributed under the terms and conditions of the Creative Commons Attribution (CC BY) license (http://creativecommons.org/licenses/by/4.0/).
Share and Cite
Matsubayashi, H.; Uesaka, K.; Sasaki, K.; Shimada, S.; Takada, K.; Ishiwatari, H.; Ono, H. A Pancreatic Inflammatory Myofibroblastic Tumor with Spontaneous Remission: A Case Report with a Literature Review. Diagnostics 2019, 9, 150. https://doi.org/10.3390/diagnostics9040150
Matsubayashi H, Uesaka K, Sasaki K, Shimada S, Takada K, Ishiwatari H, Ono H. A Pancreatic Inflammatory Myofibroblastic Tumor with Spontaneous Remission: A Case Report with a Literature Review. Diagnostics. 2019; 9(4):150. https://doi.org/10.3390/diagnostics9040150
Chicago/Turabian StyleMatsubayashi, Hiroyuki, Katsuhiko Uesaka, Keiko Sasaki, Seitaro Shimada, Kazunori Takada, Hirotoshi Ishiwatari, and Hiroyuki Ono. 2019. "A Pancreatic Inflammatory Myofibroblastic Tumor with Spontaneous Remission: A Case Report with a Literature Review" Diagnostics 9, no. 4: 150. https://doi.org/10.3390/diagnostics9040150
APA StyleMatsubayashi, H., Uesaka, K., Sasaki, K., Shimada, S., Takada, K., Ishiwatari, H., & Ono, H. (2019). A Pancreatic Inflammatory Myofibroblastic Tumor with Spontaneous Remission: A Case Report with a Literature Review. Diagnostics, 9(4), 150. https://doi.org/10.3390/diagnostics9040150

