Calcium Antagonist-Induced Gingival Overgrowth: A Case Report and Literature Review
Abstract
1. Introduction
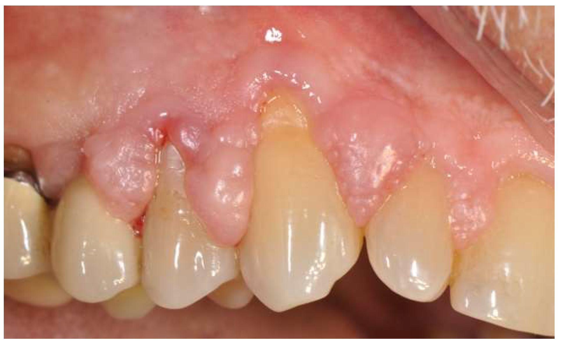
2. Case Presentation
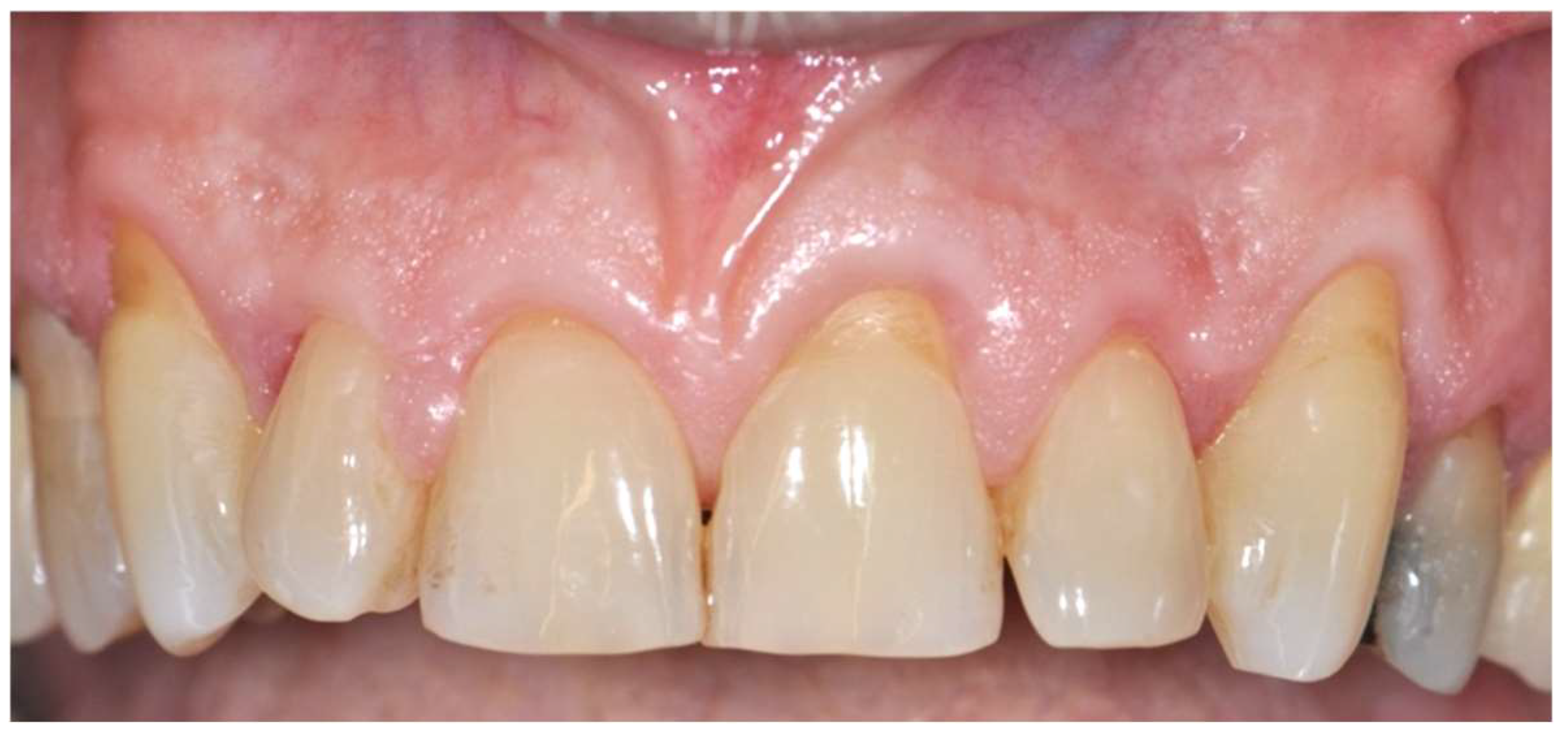
2.1. Surgical Procedure
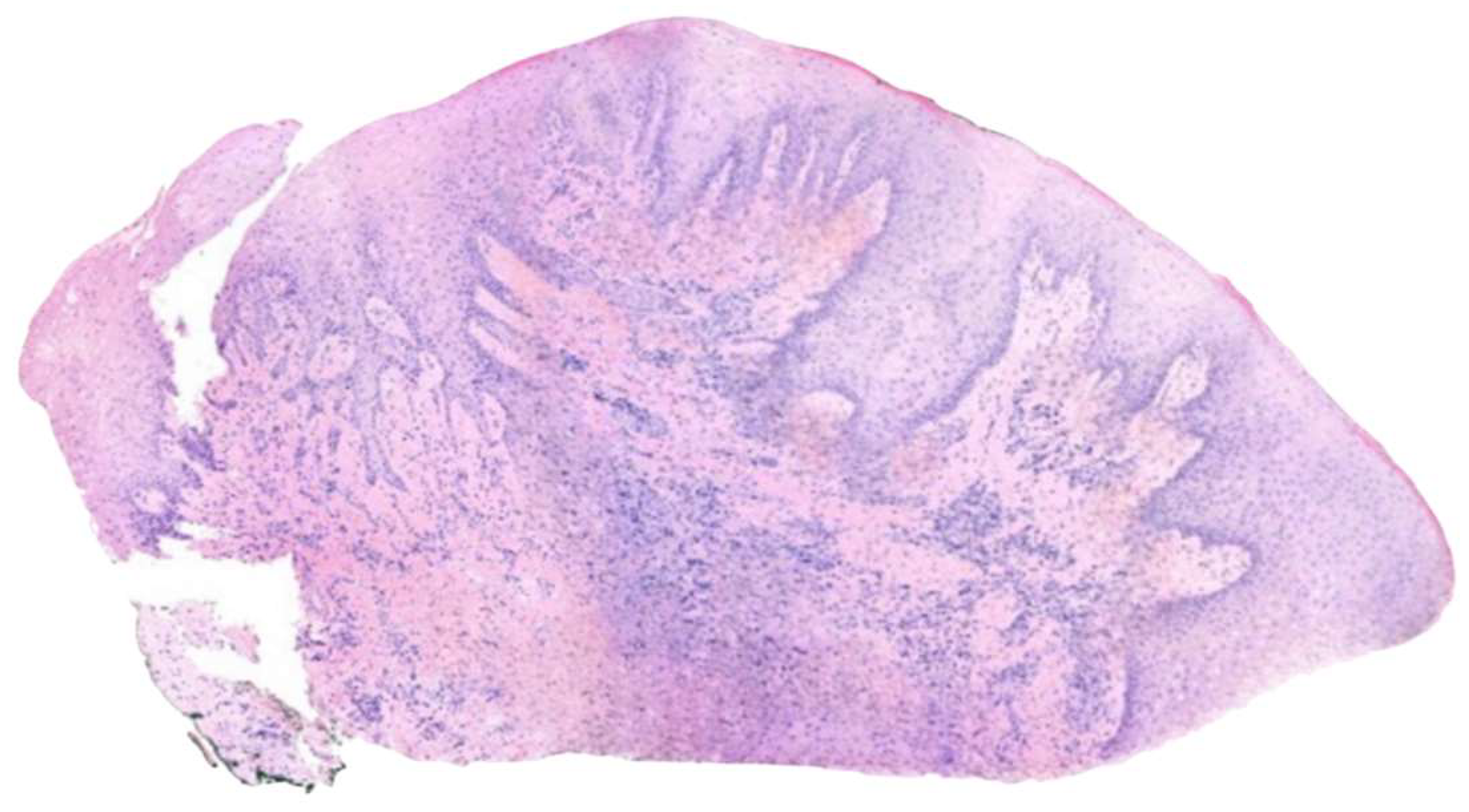
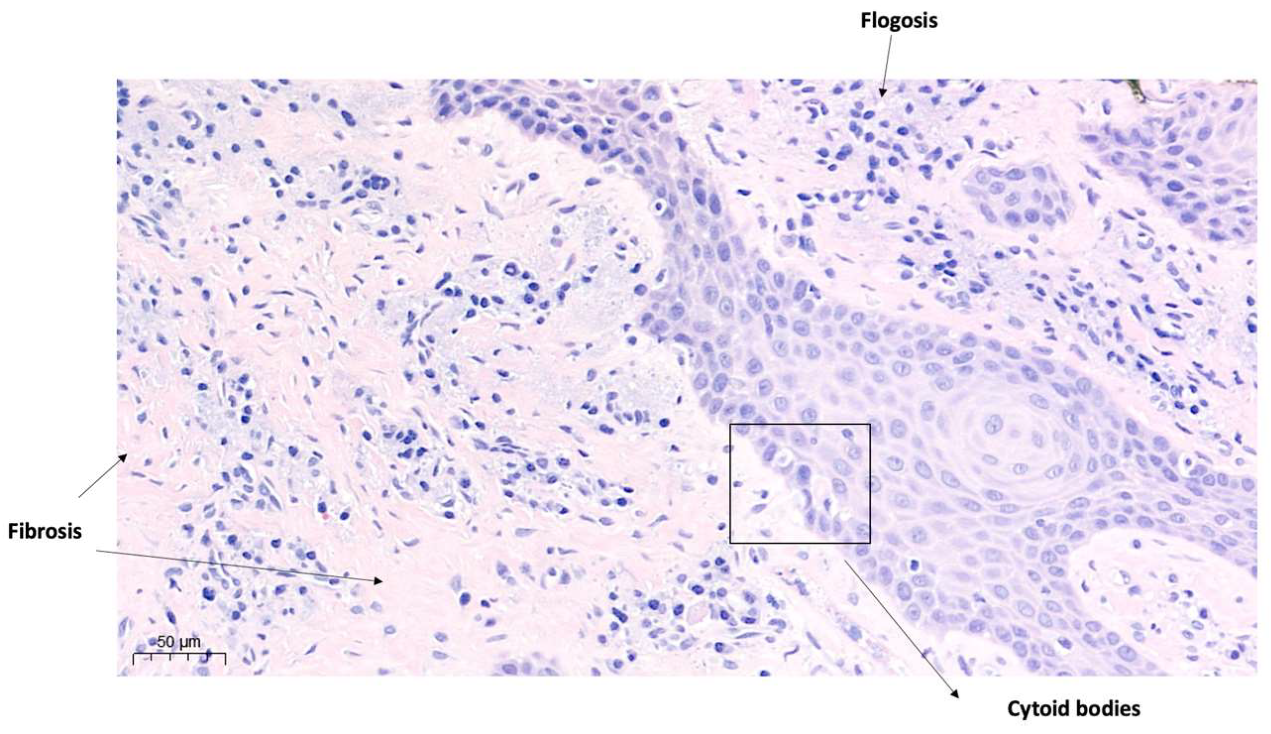
2.2. Histopathological Examination
3. Discussion
4. Conclusions
Author Contributions
Funding
Institutional Review Board Statement
Informed Consent Statement
Data Availability Statement
Acknowledgments
Conflicts of Interest
References
- Bonello, D.; Roy, C.G.; Verstraete, F.J.M. Non-neoplastic proliferative oral lesions. In Oral and Maxillofacial Surgery in Dogs and Cats; Verstraete, F.J.M., Lommer, M.J., Eds.; W.B. Saunders: Philadelphia, PA, USA, 2012; pp. 411–421. [Google Scholar] [CrossRef]
- Rajaram Mohan, K.; Fenn, S.M.; Pethagounder Thangavelu, R.; Subramaniam, M. Amlodipine-Induced Gingival Hypertrophy: A Case Report. Cureus 2023, 15, e35540. [Google Scholar] [CrossRef] [PubMed] [PubMed Central]
- Păunică, S.; Zurac, S.A.; Dumitriu, A.S.; Popa, Ş.; Socoliuc, C.G.; Giurgiu, M.C. Role of histopathology in the management of the gingival enlargement in a patient on antihypertensive therapy based on calcium channel blockers: A case report. Rom. J. Morphol. Embryol. 2022, 63, 253–259. [Google Scholar] [CrossRef] [PubMed] [PubMed Central]
- Rosenberg, E.S.; Torosian, J. Esthetics and periodontics. In Esthetic Dentistry, 3rd ed.; Aschheim, K.W., Ed.; Mosby: St. Louis, MO, USA, 2015; pp. 281–317. [Google Scholar] [CrossRef]
- Droździk, A.; Droździk, M. Drug-induced gingival overgrowth—Molecular aspects of drug actions. Int. J. Mol. Sci. 2023, 24, 5448. [Google Scholar] [CrossRef] [PubMed]
- Reddy, S.C.; Midha, N.; Chhabra, V.; Kumar, D.; Bohra, G.K. Amlodipine Induced Gum Hypertrophy: A Rare Case Report. Curr. Drug Saf. 2022, 17, 281–283. [Google Scholar] [CrossRef] [PubMed]
- Ellis, J.S.; Seymour, R.A.; Steele, J.G.; Robertson, P.; Butler, T.J.; Thomason, J.M. Prevalence of gingival overgrowth induced by calcium channel blockers: A community-based study. J. Periodontol. 1999, 70, 63–67. [Google Scholar] [CrossRef] [PubMed]
- Quach, H.; Ray-Chaudhuri, A. Calcium channel blocker induced gingival enlargement following implant placement in a fibula free flap reconstruction of the mandible: A case report. Int. J. Implant. Dent. 2020, 6, 47. [Google Scholar] [CrossRef] [PubMed]
- DeLellis, T.; Keshishyan, S.; Kovalevskaya, V.; Swanson, K.; Montagano, K.; Ray, S.D. Antihypertensives. In Side Effects of Drugs Annual; Ray, S.D., Ed.; Elsevier: Amsterdam, The Netherlands, 2016; Volume 38, pp. 179–184. [Google Scholar] [CrossRef]
- Jorgensen, M.G. Prevalence of amlodipine-related gingival hyperplasia. J. Periodontol. 1997, 68, 676–678. [Google Scholar] [CrossRef] [PubMed]
- Butera, A.; Pascadopoli, M.; Pellegrini, M.; Gallo, S.; Zampetti, P.; Scribante, A. Oral microbiota in patients with peri-implant disease: A narrative review. Appl. Sci. 2022, 12, 3250. [Google Scholar] [CrossRef]
- Priyadarshini, G.A.G.; Edsor, E.; Sajesh, S.; Neha, K.; Gangadhar, R. Calcium Channel Blockers- Induced Iatrogenic Gingival Hyperplasia: Case Series. J. Pharm. Bioallied Sci. 2023, 15 (Suppl. S1), S821–S824. [Google Scholar] [CrossRef] [PubMed] [PubMed Central]
- Matsumura, M.; Suzuki, Y.; Yamagishi, M.; Kawano, M. Nifedipine-induced gingival hypertrophy. Intern. Med. 2012, 51, 121. [Google Scholar] [CrossRef] [PubMed][Green Version]
- Prisant, L.M.; Herman, W. Calcium channel blocker induced gingival overgrowth. J. Clin. Hypertens 2002, 4, 310–311. [Google Scholar] [CrossRef] [PubMed] [PubMed Central]
- Seymour, R.A.; Ellis, J.S.; Thomason, J.M.; Monkman, S.; Idle, J.R. Amlodipine-induced gingival overgrowth. J. Clin. Periodontol. 1994, 21, 281–283. [Google Scholar] [CrossRef] [PubMed]
- Seymour, R.A.; Ellis, J.S.; Thomason, J.M. Risk factors for drug-induced gingival overgrowth. J. Clin. Periodontol. 2000, 27, 217–223. [Google Scholar] [CrossRef] [PubMed]
- Fang, L.; Tan, B.C. Clinical presentation and management of drug-induced gingival overgrowth: A case series. World J. Clin. Cases 2021, 9, 9926–9934. [Google Scholar] [CrossRef] [PubMed] [PubMed Central]
- Brunet, L.; Miranda, J.; Farré, M.; Berini, L.; Mendieta, C. Gingival enlargement induced by drugs. Drug Saf. 1996, 15, 219–231. [Google Scholar] [CrossRef] [PubMed]
- Joshi, S.; Bansal, S. A rare case report of amlodipine-induced gingival enlargement and review of its pathogenesis. Case Rep. Dent. 2013, 2013, 138248. [Google Scholar] [CrossRef] [PubMed] [PubMed Central][Green Version]
- Bullon, P.; Machuca, G.; Martinez-Sahuquillo, A.; Rios, J.V.; Velasco, E.; Rojas, J.; Lacalle, J.R. Evaluation of gingival and periodontal conditions following causal periodontal treatment in patients treated with nifedipine and diltiazem. J. Clin. Periodontol. 1996, 23, 649–657. [Google Scholar] [CrossRef] [PubMed]
- Missouris, G.G.; Kalaitzidis, R.G.; Cappuccio, F.P.; MacGregor, G.A. Gingival hyperplasia caused by calcium channel blockers. J. Hum. Hypertens 2000, 14, 155–156. [Google Scholar] [CrossRef] [PubMed][Green Version]
- Gopal, S.; Joseph, R.; Santhosh, V.C.; Kumar, V.V.; Joseph, S.; Shete, A.R. Prevalence of gingival overgrowth induced by antihypertensive drugs: A hospital-based study. J. Indian. Soc. Periodontol. 2015, 19, 308–311. [Google Scholar] [CrossRef] [PubMed] [PubMed Central]
- Gaur, S.; Agnihotri, R. Is dental plaque the only etiological factor in Amlodipine induced gingival overgrowth? A systematic review of evidence. J. Clin. Exp. Dent. 2018, 10, e610–e619. [Google Scholar] [CrossRef] [PubMed] [PubMed Central]
- Tejnani, A.; Gandevivala, A.; Bhanushali, D.; Gourkhede, S. Combined treatment for a combined enlargement. J. Indian. Soc. Periodontol. 2014, 18, 516–519. [Google Scholar] [CrossRef] [PubMed] [PubMed Central]
- Pisoschi, C.G.; Stănciulescu, C.E.; Andrei, A.M.; Berbecaru-Iovan, A.; Munteanu, C.; Popescu, F.; Banită, I.M. Role of transforming growth factor β-connective tissue growth factor pathway in dihydropyridine calcium channel blockers-induced gingival overgrowth. Rom. J. Morphol. Embryol. 2014, 55, 285–290. [Google Scholar] [PubMed]
- Lauritano, D.; Lucchese, A.; Di Stasio, D.; Della Vella, F.; Cura, F.; Palmieri, A.; Carinci, F. Molecular Aspects of Drug-Induced Gingival Overgrowth: An In Vitro Study on Amlodipine and Gingival Fibroblasts. Int. J. Mol. Sci. 2019, 20, 2047. [Google Scholar] [CrossRef] [PubMed] [PubMed Central]
- Luciani, F.; Paolantonio, G.; Calabrese, C.; Calabrese, L. Cytology and molecular mechanisms of drug-induced gingival hypertrophy: A rewiew. Oral Implantol. 2017, 10, 221–228. [Google Scholar] [CrossRef] [PubMed] [PubMed Central]
- Livada, R.; Shiloah, J. Calcium channel blocker-induced gingival enlargement. J. Hum. Hypertens 2014, 28, 10–14. [Google Scholar] [CrossRef] [PubMed]
- Dongari-Bagtzoglou, A. Research, Science and Therapy Committee, American Academy of Periodontology. Drug-associated gingival enlargement. J. Periodontol. 2004, 75, 1424–1431. [Google Scholar] [CrossRef] [PubMed]
- Meisel, P.; Giebel, J.; Kunert-Keil, C.; Dazert, P.; Kroemer, H.K.; Kocher, T. MDR1 gene polymorphisms and risk of gingival hyperplasia induced by calcium antagonists. Clin. Pharmacol. Ther. 2006, 79, 62–71. [Google Scholar] [CrossRef] [PubMed]
- Hancock, R.H.; Swan, R.H. Nifedipine-induced gingival overgrowth. Report of a case treated by controlling plaque. J. Clin. Periodontol. 1992, 19, 12–14. [Google Scholar] [CrossRef] [PubMed]
- Vidal, F.; de Souza, R.C.; Ferreira, D.C.; Fischer, R.G.; Gonçalves, L.S. Influence of 3 calcium channel blockers on gingival overgrowth in a population of severe refractory hypertensive patients. J. Periodontal Res. 2018, 53, 721–726. [Google Scholar] [CrossRef] [PubMed]
- Bakshi, S.S.; Choudhary, M.; Agrawal, A.; Chakole, S. Drug-Induced Gingival Hyperplasia in a Hypertensive Patient: A Case Report. Cureus 2023, 15, e34558. [Google Scholar] [CrossRef] [PubMed] [PubMed Central]
- Bhandari, S.; Siwakoti, S.; Shrestha, S.; Gautam, K.; Bhandari, S. Drug-Induced Gum Overgrowth With Low-Dose Amlodipine: A Case Report. Cureus 2022, 14, e25220. [Google Scholar] [CrossRef] [PubMed] [PubMed Central]
- Martinez Peraza, V.; Romero Espinoza, K.A. Gingival enlargement due to amlodipine: Case report. Res. Soc. Dev. 2021, 10, e44910717051. [Google Scholar] [CrossRef]
- Bondon-Guitton, E.; Bagheri, H.; Montastruc, J.L. Drug-induced gingival overgrowth: A study in the French Pharmacovigilance Database. J. Clin. Periodontol. 2012, 39, 513–518. [Google Scholar] [CrossRef] [PubMed]
- Marshall, R.I.; Bartold, P.M. Medication induced gingival overgrowth. Oral Dis. 1998, 4, 130–151. [Google Scholar] [CrossRef] [PubMed]
- Morikawa, S.; Nasu, M.; Miyashita, Y.; Nakagawa, T. Treatment of calcium channel blocker-induced gingival overgrowth without modifying medication. BMJ Case Rep. 2021, 14, e238872. [Google Scholar] [CrossRef] [PubMed] [PubMed Central]
- Angelopoulos, A.P.; Goaz, P.W. Incidence of diphenylhydantoin gingival hyperplasia. Oral Surg. Oral Med. Oral Pathol. 1972, 34, 898–906. [Google Scholar] [CrossRef] [PubMed]











Disclaimer/Publisher’s Note: The statements, opinions and data contained in all publications are solely those of the individual author(s) and contributor(s) and not of MDPI and/or the editor(s). MDPI and/or the editor(s) disclaim responsibility for any injury to people or property resulting from any ideas, methods, instructions or products referred to in the content. |
© 2025 by the authors. Licensee MDPI, Basel, Switzerland. This article is an open access article distributed under the terms and conditions of the Creative Commons Attribution (CC BY) license (https://creativecommons.org/licenses/by/4.0/).
Share and Cite
Speroni, S.; Giuffrè, M.; Tura, T.; Al Jawaheri, Q.A.S.; Antonelli, L.; Coccoluto, L.; Bortune, G.; Sarnelli, F.; Abati, S. Calcium Antagonist-Induced Gingival Overgrowth: A Case Report and Literature Review. Diagnostics 2025, 15, 320. https://doi.org/10.3390/diagnostics15030320
Speroni S, Giuffrè M, Tura T, Al Jawaheri QAS, Antonelli L, Coccoluto L, Bortune G, Sarnelli F, Abati S. Calcium Antagonist-Induced Gingival Overgrowth: A Case Report and Literature Review. Diagnostics. 2025; 15(3):320. https://doi.org/10.3390/diagnostics15030320
Chicago/Turabian StyleSperoni, Stefano, Marco Giuffrè, Tommaso Tura, Qamar Ammar Salman Al Jawaheri, Luca Antonelli, Luca Coccoluto, Giulia Bortune, Francesco Sarnelli, and Silvio Abati. 2025. "Calcium Antagonist-Induced Gingival Overgrowth: A Case Report and Literature Review" Diagnostics 15, no. 3: 320. https://doi.org/10.3390/diagnostics15030320
APA StyleSperoni, S., Giuffrè, M., Tura, T., Al Jawaheri, Q. A. S., Antonelli, L., Coccoluto, L., Bortune, G., Sarnelli, F., & Abati, S. (2025). Calcium Antagonist-Induced Gingival Overgrowth: A Case Report and Literature Review. Diagnostics, 15(3), 320. https://doi.org/10.3390/diagnostics15030320

