Predicting the Consistency of Pituitary Macroadenomas: The Utility of Diffusion-Weighted Imaging and Apparent Diffusion Coefficient Measurements for Surgical Planning
Abstract
1. Introduction
2. Materials and Methods
2.1. Ethical Consent
2.2. Patient Population
2.3. Imaging Protocol
2.3.1. Patient Preparation
2.3.2. MRI Sequences
Conventional MRI
- Pre-contrast axial, sagittal, and coronal T1-weighted images (T1WI) were obtained with the following parameters: TR, 400–550 ms; TE, 15 ms; field of view (FOV), 250 mm; matrix, 256 × 256; slice thickness, 3 mm; and interslice gap, 1 mm.
- Axial and coronal T2-weighted turbo spin-echo (T2 TSE) images were obtained using the following parameters: TR, 3500–4800 ms; TE, 110 ms; FOV, 250 mm; matrix, 256 × 256; slice thickness, 3 mm; and interslice gap, 1 mm.
- Post-contrast axial, sagittal, and coronal T1WI after the injection of 0.1 mm/kg IV gadopentetate dimeglumine.
DWI and ADC Mapping
2.4. Image Analysis
2.5. Reference Standard
2.6. Statistical Analysis
3. Results
3.1. Patient Population
3.2. Conventional MRI Findings
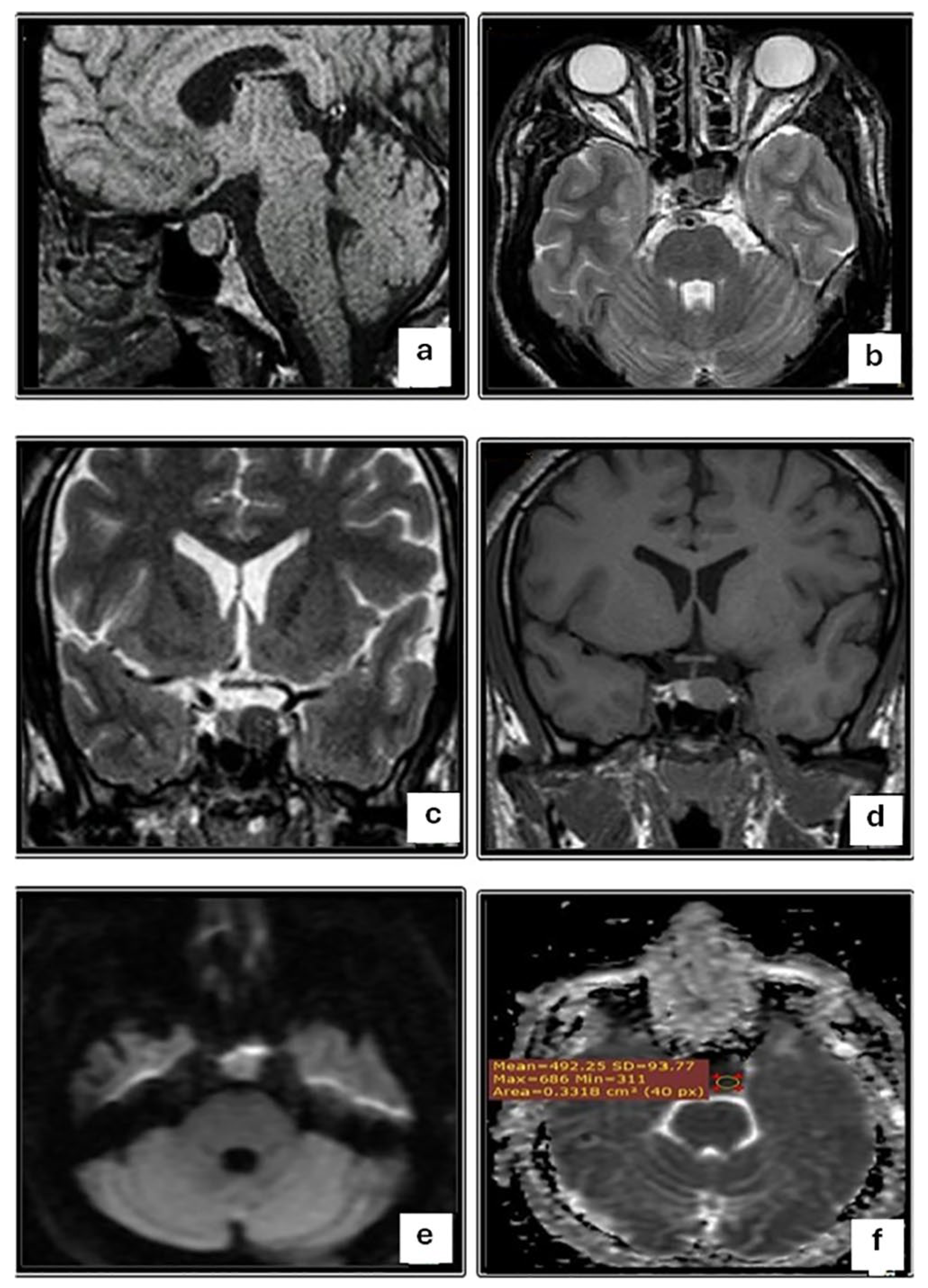
3.3. DWI and ADC Findings in Relation to Macroadenoma Consistency
3.4. ROC Curve
4. Discussion
5. Conclusions
Author Contributions
Funding
Institutional Review Board Statement
Informed Consent Statement
Data Availability Statement
Acknowledgments
Conflicts of Interest
References
- Lenders, N.F.; Earls, P.E.; Inder, W.J.; McCormack, A.I. The evolution in pituitary tumour classification: A clinical perspective. Endocr. Oncol. 2023, 3, e220079. [Google Scholar] [CrossRef] [PubMed]
- Dai, C.; Kang, J.; Liu, X.; Yao, Y.; Wang, H.; Wang, R. How to classify and define pituitary tumors: Recent advances and current controversies. Front. Endocrinol. 2021, 12, 604644. [Google Scholar] [CrossRef] [PubMed]
- Tritos, N.A.; Miller, K.K. Diagnosis and management of pituitary adenomas: A review. JAMA 2023, 329, 1386–1398. [Google Scholar] [CrossRef] [PubMed]
- Hanson, M.; Li, H.; Geer, E.; Karimi, S.; Tabar, V.; Cohen, M.A. Perioperative management of endoscopic transsphenoidal pituitary surgery. World J. Otorhinolaryngol. Head Neck Surg. 2020, 6, 84–93. [Google Scholar] [CrossRef]
- Yadav, Y.; Sachdev, S.; Parihar, V.; Namdev, H.; Bhatele, P. Endoscopic endonasal trans-sphenoid surgery of pituitary adenoma. J. Neurosci. Rural Pract. 2012, 03, 328–337. [Google Scholar] [CrossRef] [PubMed]
- Nishioka, H. Recent Evolution of Endoscopic Endonasal Surgery for Treatment of Pituitary Adenomas. Neurol. Med.-Chir. 2017, 57, 151–158. [Google Scholar] [CrossRef][Green Version]
- Laws, E.R.; Sheehan, J.P. (Eds.) Pituitary Surgery: A Modern Approach; Karger Medical and Scientific Publishers: Basel, Switzerland, 2006. [Google Scholar]
- Mishra, S.; Mishra, R.C.; Gurjar, H.K.; Garg, K. Transcranial Surgery for Pituitary Tumors: A “Community Neurosurgery Experience”. Neurol. India 2022, 70, 2039. [Google Scholar] [CrossRef]
- Ajlan, A.; Achrol, A.S.; Albakr, A.; Feroze, A.H.; Westbroek, E.M.; Hwang, P.; Harsh, G.R., 4th. Cavernous Sinus Involvement by Pituitary Adenomas: Clinical Implications and Outcomes of Endoscopic Endonasal Resection. J. Neurol. Surg. B Skull Base 2017, 78, 273–282. [Google Scholar] [CrossRef]
- Sol, Y.L.; Lee, S.; Choi, H.S.; Lee, Y.H.; Kim, J.; Kim, S. Evaluation of MRI criteria for cavernous sinus invasion in pituitary macroadenoma. J. Neuroimaging 2014, 24, 498–503. [Google Scholar] [CrossRef]
- Herneth, A.M.; Guccione, S.; Bednarski, M. Apparent diffusion coefficient: A quantitative parameter for in vivo tumor characterization. Eur. J. Radiol. 2003, 45, 208–213. [Google Scholar] [CrossRef]
- Surov, A.; Meyer, H.J.; Wienke, A. Correlation Between Minimum Apparent Diffusion Coefficient (ADCmin) and Tumor Cellularity: A Meta-analysis. Anticancer. Res. 2017, 37, 3807–3810. [Google Scholar] [CrossRef]
- Surov, A.; Meyer, H.J.; Wienke, A. Correlation between apparent diffusion coefficient (ADC) and cellularity is different in several tumors: A meta-analysis. Oncotarget 2017, 8, 59492–59499. [Google Scholar] [CrossRef]
- Eidel, O.; Neumann, J.-O.; Burth, S.; Kieslich, P.J.; Jungk, C.; Sahm, F.; Kickingereder, P.; Kiening, K.; Unterberg, A.; Wick, W.; et al. Automatic Analysis of Cellularity in Glioblastoma and Correlation with ADC Using Trajectory Analysis and Automatic Nuclei Counting. PLoS ONE 2016, 11, e0160250. [Google Scholar] [CrossRef]
- Mohamed, F.F.; Abouhashem, S. Diagnostic value of apparent diffusion coefficient (ADC) in assessment of pituitary macroadenoma consistency. Egypt. J. Radiol. Nucl. Med. 2013, 44, 617–624. [Google Scholar] [CrossRef]
- Tamrazi, B.; Pekmezci, M.; Aboian, M.; Tihan, T.; Glastonbury, C.M. Apparent diffusion coefficient and pituitary macroadenomas: Pre-operative assessment of tumor atypia. Pituitary 2017, 20, 195–200. [Google Scholar] [CrossRef]
- Rutland, J.W.; Loewenstern, J.; Ranti, D.; Tsankova, N.M.; Bellaire, C.P.; Bederson, J.B.; Delman, B.N.; Shrivastava, R.K.; Balchandani, P. Analysis of 7-tesla diffusion-weighted imaging in the prediction of pituitary macroadenoma consistency. J. Neurosurg. 2020, 134, 771–779. [Google Scholar] [CrossRef] [PubMed]
- Cappelletti, M.; Ruggeri, A.G.; Spizzichino, L.; D’amico, A.; D’avella, E.; Delfini, R. Fibrous Pituitary Macroadenomas: Predictive Role of Preoperative Radiologic Investigations for Proper Surgical Planning in a Cohort of 66 Patients. World Neurosurg. 2019, 121, e449–e457. [Google Scholar] [CrossRef]
- Ramakrishnan, V.R.; Suh, J.D.; Lee, J.Y.; O’Malley, B.W.; Grady, M.S.; Palmer, J.N. Sphenoid sinus anatomy and suprasellar extension of pituitary tumors. J. Neurosurg. 2013, 119, 669–674. [Google Scholar] [CrossRef] [PubMed]
- Boxerman, J.L.; Rogg, J.M.; Donahue, J.E.; Machan, J.T.; Goldman, M.A.; Doberstein, C.E. Preoperative MRI evaluation of pituitary macroadenoma: Imaging features predictive of successful transsphenoidal surgery. Am. J. Roentgenol. 2010, 195, 720–728. [Google Scholar] [CrossRef]
- Thomas, T.; Gopalakrishnan, C.V.; Thomas, B.; Nair, S. Evaluation of consistency of pituitary macroadenoma using diffusion-weighted imaging in correlation with surgical findings. Neurosurg. Q. 2014, 24, 131–135. [Google Scholar] [CrossRef]
- Koutourousiou, M.; Gardner, P.A.; Fernandez-Miranda, J.C.; Paluzzi, A.; Wang, E.W.; Snyderman, C.H. Endoscopic endonasal surgery for giant pituitary adenomas: Advantages and limitations. J. Neurosurg. 2013, 118, 621–631. [Google Scholar] [CrossRef]
- O’Malley, B.W., Jr.; Grady, M.S.; Gabel, B.C.; Cohen, M.A.; Heuer, G.G.; Pisapia, J.; Bohman, L.-E.; Leibowitz, J.M. Comparison of endoscopic and microscopic removal of pituitary adenomas: Single-surgeon experience and the learning curve. Neurosurg. Focus 2008, 25, E10. [Google Scholar] [CrossRef] [PubMed]
- Jane, J.A., Jr.; Thapar, K.; Kaptain, G.J.; Maartens, N.; Laws, E.R., Jr. Pituitary surgery: Transsphenoidal approach. Neurosurgery 2002, 51, 435–444. [Google Scholar] [CrossRef]
- Alashwah, M.A.; Moharram, M.A.; Allakany, A.S. Role of diffusion weighted magnetic resonance imaging DW-MRI in choice of the surgical approach for pituitary macroadenoma resection. Egypt. J. Radiol. Nucl. Med. 2017, 48, 983–989. [Google Scholar] [CrossRef]
- Pierallini, A.; Caramia, F.; Falcone, C.; Tinelli, E.; Paonessa, A.; Ciddio, A.B.; Fiorelli, M.; Bianco, F.; Natalizi, S.; Ferrante, L.; et al. Pituitary macroadenomas: Preoperative evaluation of consistency with diffusion-weighted MR imaging—Initial experience. Radiology 2006, 239, 223–231. [Google Scholar] [CrossRef]
- Alimohamadi, M.; Sanjari, R.; Shirani, M.; Alikhani, F.; Amirjamshidi, A. Initial experience with diffusion-weighted imaging to predict the tumor consistency and surgical success in solid growth hormone producing pituitary macroadenomas. Asian J. Neurosurg. 2019, 14, 698–701. [Google Scholar] [CrossRef]
- Yiping, L.; Ji, X.; Daoying, G.; Bo, Y. Prediction of the consistency of pituitary adenoma: A comparative study on diffusion-weighted imaging and pathological results. J. Neuroradiol. 2016, 43, 186–194. [Google Scholar] [CrossRef] [PubMed]
- Gupta, K.; Sahni, S.; Saggar, K.; Vashisht, G. Evaluation of Clinical and Magnetic Resonance Imaging Profile of Pituitary Macroadenoma: A Prospective Study. J. Nat. Sci. Biol. Med. 2018, 9, 34–38. [Google Scholar] [CrossRef] [PubMed]
- Suzuki, C.; Maeda, M.; Hori, K.; Kozuka, Y.; Sakuma, H.; Taki, W.; Takeda, K. Apparent diffusion coefficient of pituitary macroadenoma evaluated with line-scan diffusion-weighted imaging. J. Neuroradiol. 2007, 34, 228–235. [Google Scholar] [CrossRef]
- Doai, M.; Tonami, H.; Matoba, M.; Tachibana, O.; Iizuka, H.; Nakada, S.; Yamada, S. Pituitary macroadenoma: Accuracy of apparent diffusion coefficient magnetic resonance imaging in grading tumor aggressiveness. Neuroradiol. J. 2019, 32, 86–91. [Google Scholar] [CrossRef]
- Su, C.; Zhang, X.; Pan, T.; Chen, X.; Chen, W.; Duan, S.; Ji, J.; Hu, W.; Lu, S.; Hong, X. Texture Analysis of High b-Value Diffusion-Weighted Imaging for Evaluating Consistency of Pituitary Macroadenomas. J. Magn. Reson. Imaging 2020, 51, 1507–1513. [Google Scholar] [CrossRef] [PubMed]



| Variable | Value |
|---|---|
| Age, years | |
| 0–<20 | 9 (20) |
| 20–<40 | 25 (55.6) |
| 40–<60 | 11 (24.4) |
| Sex | |
| Male | 16 (35.6) |
| Female | 29 (64.4) |
| Clinical presentations | |
| Headache | 20 (44.4) |
| Visual disturbance | 14 (31.1) |
| Galactorrhea | 9 (20.0) |
| Recurrent vomiting | 7 (15.6) |
| Amenorrhea | 3 (6.7) |
| Diabetes insipidus | 3 (6.7) |
| Short stature | 1 (2.2) |
| Acromegaly | 1 (2.2) |
| Finding | Value | p-Value |
|---|---|---|
| Maximum tumor size, mm, Mean ± SD (range) | 25.7 ± 6.9 (18–45) | |
| Morphology | 0.07 | |
| Well defined | 30 (66.7) | |
| Ill defined | 15 (33.3) | |
| T1W1 | 0.01 | |
| Iso-intense | 18 (40.0) | |
| Hypo-intense | 18 (40.0) | |
| Hyper-intense | 9 (20.0) | |
| T2W1 | 0.001 | |
| Iso-intense | 0 (0) | |
| Hypo-intense | 12 (28.6) | |
| Hyper-intense | 33 (73.3) |
| Macroadenoma | p-Value | |||
|---|---|---|---|---|
| Total (n = 45) | Aspirable (n = 27) | Non-Aspirable (n = 18) | ||
| DWI (b 100) | <0.001 | |||
| Iso-intense | 9 (20.0) | 9 (33.3) | 0 (0) | |
| Hypo-intense | 15 (33.3) | 0 (0) | 15 (83.3) | |
| Hyper-intense | 21 (46.7) | 18 (66.7) | 3 (16.7) | |
| ADC map | 0.004 | |||
| Iso-intense | 9 (20.0) | 9 (33.3) | 0 (0) | |
| Hypo-intense | 21 (46.7) | 18 (66.7) | 3 (16.7) | |
| Hyper-intense | 15 (33.3) | 0 (0) | 15 (83.3) | |
| ADC value, Mean ±SD (range) | 0.72 ± 0.25 (0.40–1.10) | 0.54 ± 0.19 (0.42–0.90) | 0.95 ± 0.08 (0.90–1.10) | 0.008 |
Disclaimer/Publisher’s Note: The statements, opinions and data contained in all publications are solely those of the individual author(s) and contributor(s) and not of MDPI and/or the editor(s). MDPI and/or the editor(s) disclaim responsibility for any injury to people or property resulting from any ideas, methods, instructions or products referred to in the content. |
© 2024 by the authors. Licensee MDPI, Basel, Switzerland. This article is an open access article distributed under the terms and conditions of the Creative Commons Attribution (CC BY) license (https://creativecommons.org/licenses/by/4.0/).
Share and Cite
Hassan, R.M.A.; Almalki, Y.E.; Basha, M.A.A.; Alduraibi, S.K.; Hassan, A.H.; Aboualkheir, M.; Almushayti, Z.A.; Alduraibi, A.K.; Amer, M.M.; Basha, A.M.A.; et al. Predicting the Consistency of Pituitary Macroadenomas: The Utility of Diffusion-Weighted Imaging and Apparent Diffusion Coefficient Measurements for Surgical Planning. Diagnostics 2024, 14, 493. https://doi.org/10.3390/diagnostics14050493
Hassan RMA, Almalki YE, Basha MAA, Alduraibi SK, Hassan AH, Aboualkheir M, Almushayti ZA, Alduraibi AK, Amer MM, Basha AMA, et al. Predicting the Consistency of Pituitary Macroadenomas: The Utility of Diffusion-Weighted Imaging and Apparent Diffusion Coefficient Measurements for Surgical Planning. Diagnostics. 2024; 14(5):493. https://doi.org/10.3390/diagnostics14050493
Chicago/Turabian StyleHassan, Rania Mostafa A., Yassir Edrees Almalki, Mohammad Abd Alkhalik Basha, Sharifa Khalid Alduraibi, Alshehri Hanan Hassan, Mervat Aboualkheir, Ziyad A. Almushayti, Alaa K. Alduraibi, Mona M. Amer, Ahmed M. Abdelkhalik Basha, and et al. 2024. "Predicting the Consistency of Pituitary Macroadenomas: The Utility of Diffusion-Weighted Imaging and Apparent Diffusion Coefficient Measurements for Surgical Planning" Diagnostics 14, no. 5: 493. https://doi.org/10.3390/diagnostics14050493
APA StyleHassan, R. M. A., Almalki, Y. E., Basha, M. A. A., Alduraibi, S. K., Hassan, A. H., Aboualkheir, M., Almushayti, Z. A., Alduraibi, A. K., Amer, M. M., Basha, A. M. A., & Refaat, M. M. (2024). Predicting the Consistency of Pituitary Macroadenomas: The Utility of Diffusion-Weighted Imaging and Apparent Diffusion Coefficient Measurements for Surgical Planning. Diagnostics, 14(5), 493. https://doi.org/10.3390/diagnostics14050493

