Diagnostic Value of SALL4 and OCT3/4 in Pediatric Testicular Tumors
Abstract
1. Introduction
2. Materials and Methods
2.1. Patients
2.2. Immunohistochemical Analysis and Assessment Protocol
2.3. Statistical Analysis
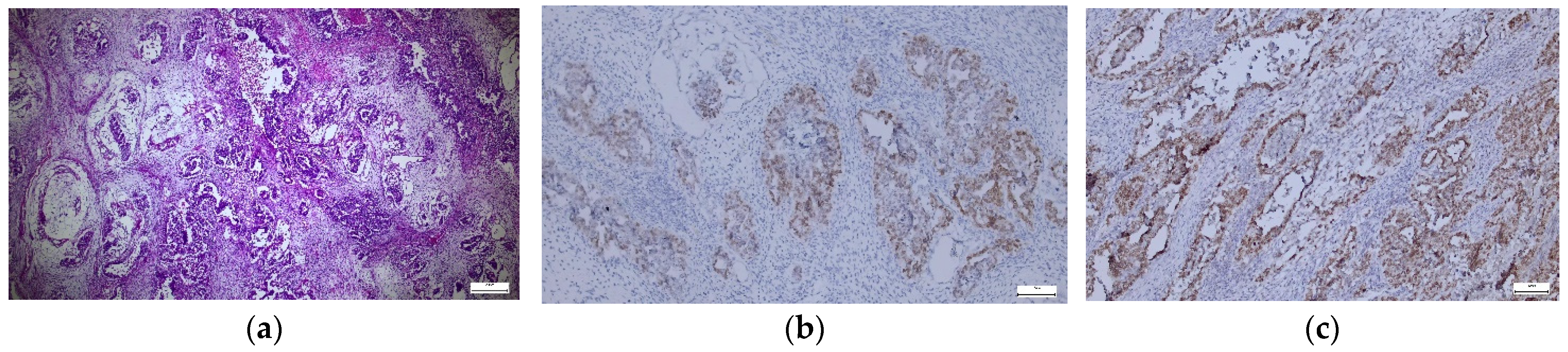
3. Results
3.1. Patients’ Clinical and Pathological Characteristics
3.2. Patient’s Distribution Based on SALL4/OCT3/4 Immunostaining and Tumor Type and Subtypes
3.3. Patient’s Distributions Based on SALL4/OCT3/4 Immunostaining versus Clinical and Pathological Characteristics
4. Discussion
5. Conclusions
Author Contributions
Funding
Institutional Review Board Statement
Informed Consent Statement
Data Availability Statement
Conflicts of Interest
References
- Grantham, E.C.; Caldwell, B.T.; Cost, N.G. Current urologic care for testicular germ cell tumors in pediatric and adolescent patients. Urol. Oncol. Semin. Orig. Investig. 2016, 34, 65–75. [Google Scholar] [CrossRef] [PubMed]
- Zynger, D.L.; WHO Classification. PathologyOutlines.com Website. 2023. Available online: https://www.pathologyoutlines.com/topic/testistestclassif.html (accessed on 1 June 2024).
- Tröbs, R.B.; Krauss, M.; Geyer, C.; Tannapfel, A.; Körholz, D.; Hirsch, W. Surgery in Infants and Children with Testicular and Paratesticular Tumours: A Single Centre Experience Over a 25-Year-Period. Klin. Pädiatr. 2007, 219, 146–151. [Google Scholar] [CrossRef] [PubMed]
- MD Anderson Cancer Center. Germ Cell Tumors-Childhood; The University of Texas: Houston, TX, USA, 2011; Available online: https://www.mdanderson.org/cancer-types/childhood-germ-cell-tumors.html (accessed on 30 May 2024).
- Yang, M.; Xie, X.; Ding, Y. SALL4 Is a Marker of Poor Prognosis in Serous Ovarian Carcinoma Promoting Invasion and Metastasis. Oncol. Rep. 2016, 35, 1796–1806. [Google Scholar] [CrossRef] [PubMed]
- Miettinen, M.; Wang, Z.; McCue, P.A.; Sarlomo-Rikala, M.; Rys, J.; Biernat, W.; Lasota, J.; Lee, Y.-S. SALL4 Expression in Germ Cell and Non-Germ Cell Tumors: A Systematic Immunohistochemical Study of 3215 Cases. Am. J. Surg. Pathol. 2014, 38, 410–420. [Google Scholar] [CrossRef]
- Sá, R.; Miranda, C.; Carvalho, F.; Barros, A.; Sousa, M. Expression of Stem Cell Markers: OCT4, KIT, ITGA6, and ITGB1 in the Male Germinal Epithelium. Syst. Biol. Reprod. Med. 2013, 59, 233–243. [Google Scholar] [CrossRef] [PubMed]
- Baek, K.-H.; Choi, J.; Pei, C.-Z. Cellular Functions of OCT-3/4 Regulated by Ubiquitination in Proliferating Cells. Cancers 2020, 12, 663. [Google Scholar] [CrossRef] [PubMed]
- Bîcă, O.; Ciongradi, C.I.; Benchia, D.; Sârbu, I.; Alecsa, M.; Cristofor, A.E.; Bîcă, D.E.; Lozneanu, L. Assessment of Molecular Markers in Pediatric Ovarian Tumors: Romanian Single-Center Experience. Int. J. Mol. Sci. 2024, 25, 6752. [Google Scholar] [CrossRef] [PubMed]
- Jones, T.D.; Ulbright, T.M.; Eble, J.N.; Baldridge, L.A.; Cheng, L. OCT4 Staining in Testicular Tumors: A Sensitive and Specific Marker for Seminoma and Embryonal Carcinoma. Am. J. Surg. Pathol. 2004, 28, 935–940. [Google Scholar] [CrossRef]
- Zhang, J.; Li, Y.-L.; Zhou, C.-Y.; Hu, Y.-T.; Chen, H.-Z. Expression of octamer-4 in serous and mucinous ovarian carcinoma. J. Clin. Pathol. 2010, 63, 879–883. [Google Scholar] [CrossRef]
- Jones, T.D.; Ulbright, T.M.; Eble, J.N.; Cheng, L. OCT4: A Sensitive and Specific Biomarker for Intratubular Germ Cell Neoplasia of the Testis. Clin. Cancer Res. 2004, 10, 8544–8547. [Google Scholar] [CrossRef]
- Ciongradi, C.I.; Sârbu, I.; Iliescu Halițchi, C.O.; Benchia, D.; Sârbu, K. Fertility of Cryptorchid Testis-an Unsolved Mistery. Genes 2021, 12, 1894. [Google Scholar] [CrossRef]
- Jones, T.D.; MacLennan, G.T.; Bonnin, J.M.; Varsegi, M.F.; Blair, J.E.; Cheng, L. Screening for Intratubular Germ Cell Neoplasia of the Testis Using OCT4 Immunohistochemistry. Am. J. Surg. Pathol. 2006, 30, 1427–1431. [Google Scholar] [CrossRef] [PubMed]
- Bîcă, O.; Sârbu, I.; Ciongradi, C.I. Pediatric and Adolescent Oncofertility in Male Patients-from Alpha to Omega. Genes 2021, 12, 701. [Google Scholar] [CrossRef]
- Clasen-Linde, E.; Kvist, K.; Cortes, D.; Thorup, J. The Value of Positive Oct3/4 and D2-40 Immunohistochemical Expression in Prediction of Germ Cell Neoplasia in Prepubertal Boys with Cryptorchidism. Scand. J. Urol. 2016, 50, 74–79. [Google Scholar] [CrossRef] [PubMed]
- de Jong, J.; Stoop, H.; Dohle, G.R.; Bangma, C.H.; Kliffen, M.; van Esser, J.W.J.; van den Bent, M.; Kros, J.M.; Oosterhuis, J.W.; Looijenga, L.H.J. Diagnostic Value of OCT3/4 for Pre-invasive and Invasive Testicular Germ Cell Tumours. J. Pathol. 2005, 206, 242–249. [Google Scholar] [CrossRef]
- Mueller, T.; Mueller, L.P.; Luetzkendorf, J.; Voigt, W.; Simon, H.; Schmoll, H.-J. Loss of Oct-3/4 Expression in Embryonal Carcinoma Cells Is Associated with Induction of Cisplatin Resistance. Tumour Biol. 2006, 27, 71–83. [Google Scholar] [CrossRef]
- Vosianov, A.; Sakalo, A.; Shulyak, V.A.; Sakalo, V.; Yakovlev, P.; Kropelnitskiy, V. OCT 3/4 Staining in Germ Cell Tumor of Testis: A Sensitive Marker for Seminoma and Embryonal Carcinoma and to Detect TIN in Paratumorous Tissue. Eur. Urol. Suppl. 2015, 14, e1228. [Google Scholar] [CrossRef]
- Iczkowski, K.A.; Butler, S.L.; Shanks, J.H.; Hossain, D.; Schall, A.; Meiers, I.; Zhou, M.; Torkko, K.C.; Kim, S.J.; MacLennan, G.T. Trials of New Germ Cell Immunohistochemical Stains in 93 Extragonadal and Metastatic Germ Cell Tumors. Hum. Pathol. 2008, 39, 275–281. [Google Scholar] [CrossRef]
- Talebagha, S.; Rizk, C.; Elawabdeh, N.; Abramowsky, C.R.; Shehata, B.M. Usefulness of OCT4/3 Immunostain in Pediatric Malignant Germ Cell Tumors. Fetal Pediatr. Pathol. 2013, 32, 82–87. [Google Scholar] [CrossRef]
- Zhang, T.; Ji, L.; Liu, B.; Guan, W.; Liu, Q.; Gao, Y. Testicular Germ Cell Tumors: A Clinicopathological and Immunohistochemical Analysis of 145 Cases. Int. J. Clin. Exp. Pathol. 2018, 11, 4622–4629. [Google Scholar]
- Ranjitha, V.N.; Khemani, R.; Rao, B.V.; Fonseca, D.; Murthy, S.S.; Giridhar, A.; Jayakarthik, Y.; Sharma, R.; Raju, K.V.V.N.; Rao, T.S.; et al. The Core Four—A Panel of Immunohistochemistry Markers to Diagnose and Subtype Testicular Germ Cell Tumors. Urol. Ann. 2022, 14, 21. [Google Scholar] [CrossRef] [PubMed]
- Mosbech, C.H.; Svingen, T.; Nielsen, J.E.; Toft, B.G.; Rechnitzer, C.; Petersen, B.L.; Rajpert-De Meyts, E.; Hoei-Hansen, C.E. Expression Pattern of Clinically Relevant Markers in Paediatric Germ Cell- and Sex-Cord Stromal Tumours Is Similar to Adult Testicular Tumours. Virchows Arch. 2014, 465, 567–577. [Google Scholar] [CrossRef] [PubMed]
- Moein, S.; Tenen, D.G.; Amabile, G.; Chai, L. SALL4: An Intriguing Therapeutic Target in Cancer Treatment. Cells 2022, 11, 2601. [Google Scholar] [CrossRef] [PubMed]
- Sun, B.; Xu, L.; Bi, W.; Ou, W.-B. SALL4 Oncogenic Function in Cancers: Mechanisms and Therapeutic Relevance. Int. J. Mol. Sci. 2022, 23, 2053. [Google Scholar] [CrossRef] [PubMed]
- Abouelnazar, F.A.; Zhang, X.; Wang, M.; Zhang, J.; Yu, D.; Zang, X.; Zhang, J.; Li, Y.; Xu, J.; Yang, Q.; et al. The New Advance of SALL4 in Cancer: Function, Regulation, and Implication. J. Clin. Lab. Anal. 2023, 37, e24927. [Google Scholar] [CrossRef] [PubMed]


| Parameter/Age | Total | 0–11 Years | 12–18 Years | p |
|---|---|---|---|---|
| Number of patients | 18 (100%) | 10 (55.6%) | 8 (44.4%) | - |
| WHO Classification (No., %) | ||||
| Germinal Cell Tumor | 15 (83.3%) | 8 (80%) | 7 (87.5%) | 1.000 * |
| PT-RMS | 2 (11.1%) | 1 (10%) | 1 (12.5%) | |
| Testicular cystic dysplasia | 1 (5.6%) | 1 (10%) | 0 (0%) | |
| Serum tumor markers (STM) (No., %) | ||||
| Elevated AFP | 11 (61.1%) | 3 (30%) | 8 (100%) | 0.004 * |
| Elevated hCG | 6 (33.3%) | 0 (0%) | 6 (75%) | 0.002 * |
| Elevated LDH | 7 (38.9%) | 5 (50%) | 2 (25%) | 0.367 * |
| Chemotherapy (No., %) | 15 (83.3%) | 8 (80%) | 7 (87.5%) | 1.000 * |
| Outcome (No., %) | ||||
| Unfavorable | 4 (22.2%) | 1 (10%) | 3 (37.5%) | 0.275 * |
| Favorable | 14 (77.8%) | 9 (90%) | 5 (62.5%) | |
| Metastasis at admission (No., %) | 2 (11.1%) | 0 (0%) | 2 (25%) | 0.183 * |
| Subsequent metastasis (No., %) | 4 (22.2%) | 1 (10%) | 3 (37.5%) | 0.275 * |
| Recurrence (No., %) | 2 (11.1%) | 1 (10%) | 1 (12.5%) | 1.000 * |
| Death (No., %) | 1 (5.6%) | 0 (0%) | 1 (12.5%) | 0.444 * |
| Follow-up period | ||||
| Mean ± SD | 70.06 ± 71.35 | 114.4 ± 67.55 | 14.63 ± 13.34 | 0.001 *** |
| Median (IQR) | 33.5 (8.7–124) | 113 (61–179.5) | 13 (2.75–20.7) | |
| OS (months) (Mean (95% C.I.)) | 194.23 (166.41–222) | 209 | 35 (24.8–45.1) | 0.134 ** |
| PFS (months) (Mean (95% C.I.)) | 155.18 (109.6–200.7) | 187.33 (147.3–227.3) | 14 (8.15–19.84) | 0.047 ** |
| Tumor Subtype SALL4 | SALL4 Negative | SALL4 Positive | p * | ||
|---|---|---|---|---|---|
| Nr. | % | Nr. | % | ||
| Cystic Dysplasia | 1 | 33.3% | 0 | 0% | 0.109 |
| EC | 0 | 0% | 1 | 6.7% | |
| IT | 1 | 33.3% | 3 | 20% | |
| Mixed GCT | 0 | 0% | 7 | 46.7% | |
| PT-RMS | 1 | 33.3% | 1 | 6.7% | |
| YST | 0 | 0% | 3 | 20% | |
| Tumor subtype OCT3/4 | OCT ¾ negative | OCT ¾ positive | p * | ||
| Nr. | % | Nr. | % | ||
| Cystic Dysplasia | 1 | 9.1% | 0 | 0% | 0.003 |
| EC | 0 | 0% | 1 | 14.3% | |
| IT | 4 | 36.4% | 0 | 0% | |
| Mixed GCT | 1 | 9.1% | 6 | 85.7% | |
| PT-RMS | 2 | 18.2% | 0 | 0% | |
| YST | 3 | 27.3% | 0 | 0% | |
Disclaimer/Publisher’s Note: The statements, opinions and data contained in all publications are solely those of the individual author(s) and contributor(s) and not of MDPI and/or the editor(s). MDPI and/or the editor(s) disclaim responsibility for any injury to people or property resulting from any ideas, methods, instructions or products referred to in the content. |
© 2024 by the authors. Licensee MDPI, Basel, Switzerland. This article is an open access article distributed under the terms and conditions of the Creative Commons Attribution (CC BY) license (https://creativecommons.org/licenses/by/4.0/).
Share and Cite
Bîcă, O.; Ciongradi, C.I.; Ivănuță, M.; Ianole, V.; Sârbu, I.; Cojocaru, E.; Bîcă, D.E.; Lozneanu, L. Diagnostic Value of SALL4 and OCT3/4 in Pediatric Testicular Tumors. Diagnostics 2024, 14, 1454. https://doi.org/10.3390/diagnostics14131454
Bîcă O, Ciongradi CI, Ivănuță M, Ianole V, Sârbu I, Cojocaru E, Bîcă DE, Lozneanu L. Diagnostic Value of SALL4 and OCT3/4 in Pediatric Testicular Tumors. Diagnostics. 2024; 14(13):1454. https://doi.org/10.3390/diagnostics14131454
Chicago/Turabian StyleBîcă, Ovidiu, Carmen Iulia Ciongradi, Marius Ivănuță, Victor Ianole, Ioan Sârbu, Elena Cojocaru, Delia Elena Bîcă, and Ludmila Lozneanu. 2024. "Diagnostic Value of SALL4 and OCT3/4 in Pediatric Testicular Tumors" Diagnostics 14, no. 13: 1454. https://doi.org/10.3390/diagnostics14131454
APA StyleBîcă, O., Ciongradi, C. I., Ivănuță, M., Ianole, V., Sârbu, I., Cojocaru, E., Bîcă, D. E., & Lozneanu, L. (2024). Diagnostic Value of SALL4 and OCT3/4 in Pediatric Testicular Tumors. Diagnostics, 14(13), 1454. https://doi.org/10.3390/diagnostics14131454

