Pictorial Review on Imaging Findings in Cerebral CTP in Patients with Acute Stroke and Its Mimics: A Primer for General Radiologists
Abstract
1. Introduction
2. Technique
3. Imaging Findings
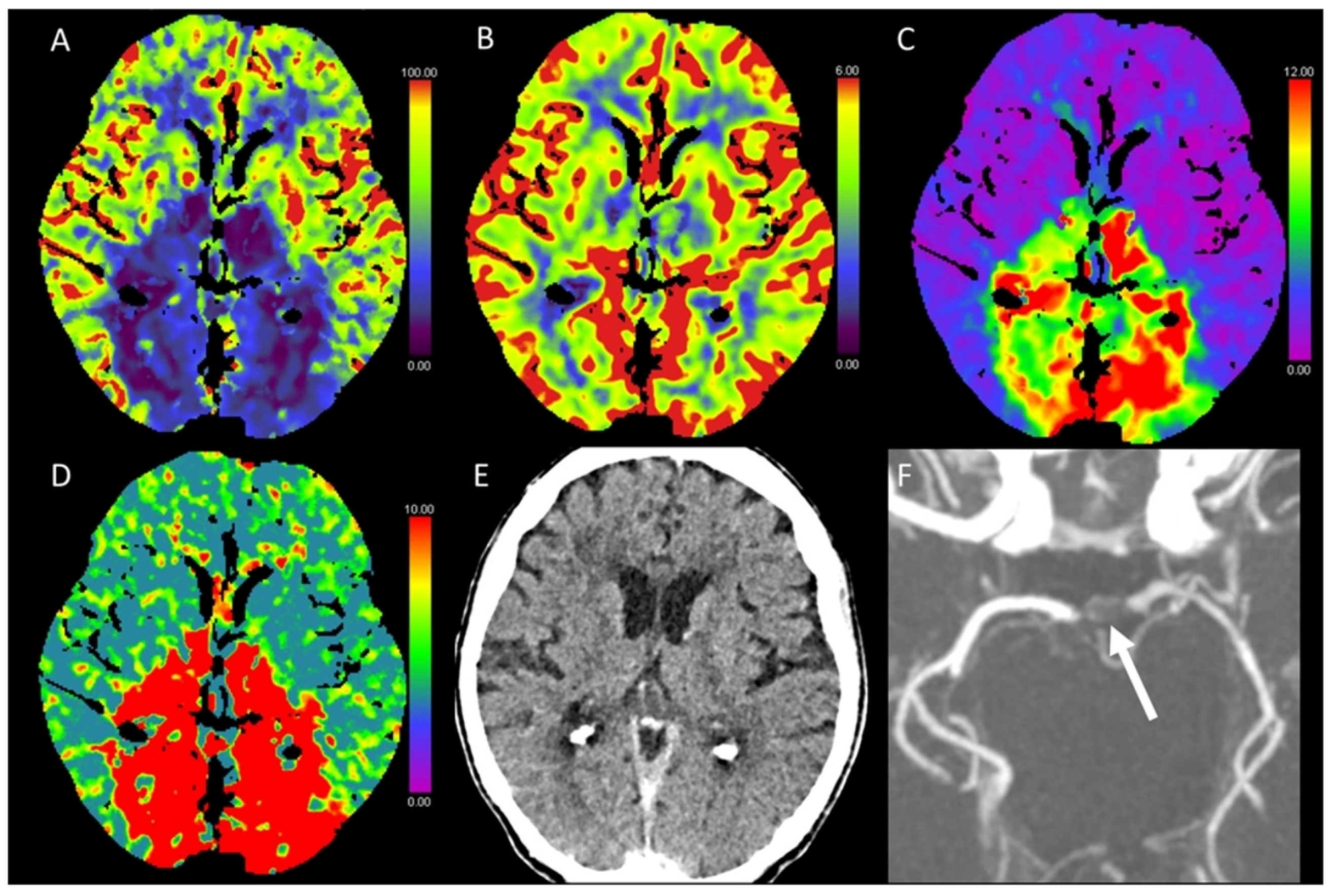
3.1. Acute Supratentorial Stroke
3.2. Acute Posterior Fossa Infarcts
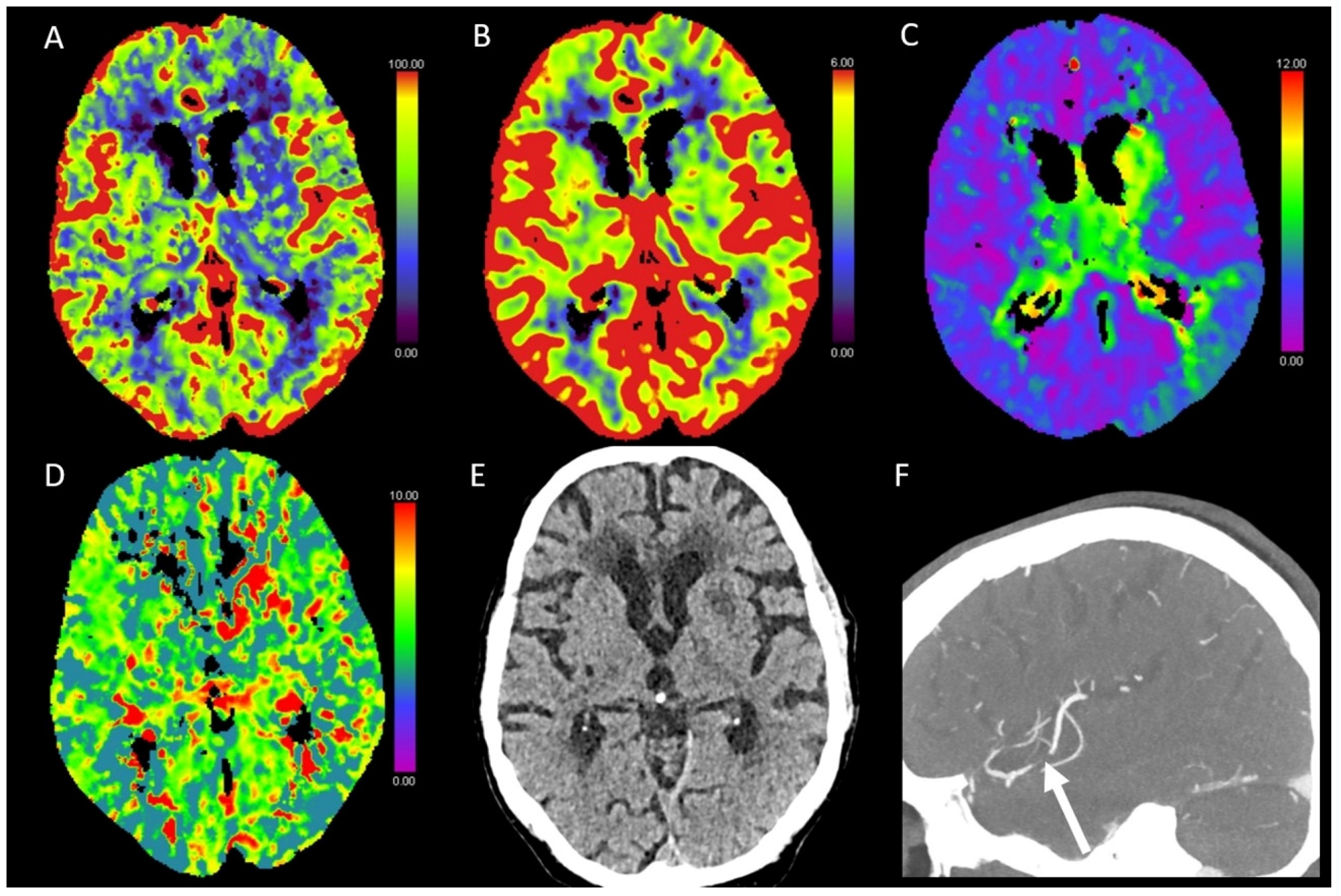
3.3. Global Hypoxic-Ischemic Injury/Brain Death
3.4. Variation in Cerebrovascular Anatomy
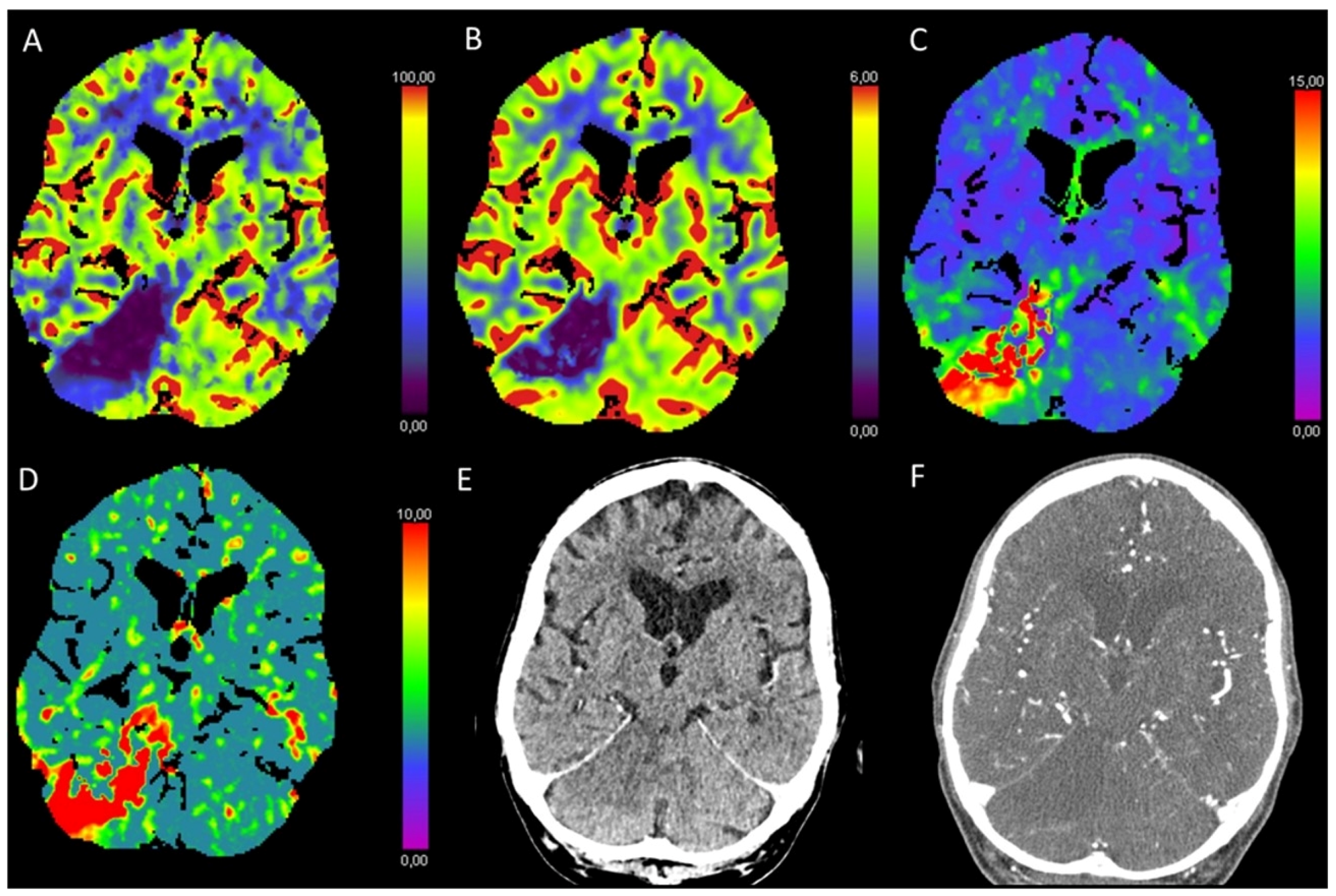
3.5. Hypotensive Cerebral Infarction (HCI) with Watershed Infarcts/Border Zones
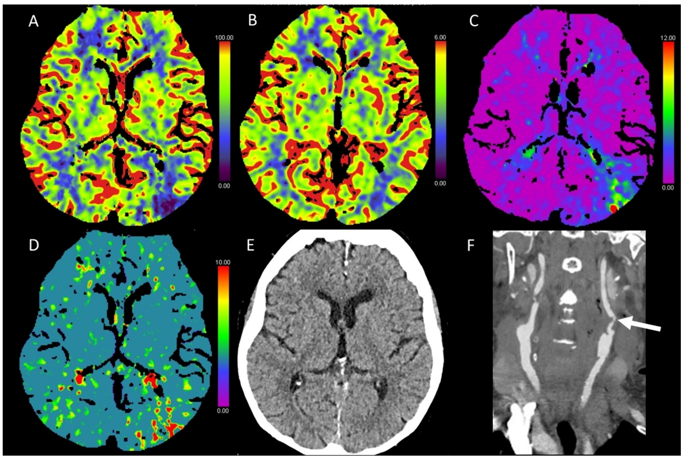
3.6. Vasospasm
3.7. Migraine
3.8. Luxury Perfusion
3.9. Veneous Thrombosis
3.10. Postictal Stroke Mimics
3.11. Technical Pitfalls
4. Conclusions
Author Contributions
Funding
Institutional Review Board Statement
Informed Consent Statement
Data Availability Statement
Conflicts of Interest
References
- Vagal, A.; Wintermark, M.; Nael, K.; Bivard, A.; Parsons, M.; Grossman, A.W.; Khatri, P. Automated CT perfusion imaging for acute ischemic stroke: Pearls and pitfalls for real-world use. Neurology 2019, 93, 888–898. [Google Scholar] [CrossRef]
- Potter, C.A.; Vagal, A.S.; Goyal, M.; Nunez, D.B.; Leslie-Mazwi, T.M.; Lev, M.H. CT for Treatment Selection in Acute Ischemic Stroke: A Code Stroke Primer. Radiographics 2019, 39, 1717–1738. [Google Scholar] [CrossRef] [PubMed]
- Tomandl, B.F.; Klotz, E.; Handschu, R.; Stemper, B.; Reinhardt, F.; Huk, W.J.; Eberhardt, K.E.; Fateh-Moghadam, S. Comprehensive imaging of ischemic stroke with multisection CT. Radiographics 2003, 23, 565–592. [Google Scholar] [CrossRef] [PubMed]
- Lee, S.; Mlynash, M.; Christensen, S.; Jiang, B.; Wintermark, M.; Strà Ter, R.; Broocks, G.; Grams Austria, A.; Nikoubashman, O.; Morotti, A.; et al. Hyperacute Perfusion Imaging Before Pediatric Thrombectomy: Analysis of the Save ChildS Study. Neurology 2022, in press. [Google Scholar] [CrossRef]
- Hoeffner, E.G.; Case, I.; Jain, R.; Gujar, S.K.; Shah, G.V.; Deveikis, J.P.; Carlos, R.C.; Thompson, B.G.; Harrigan, M.R.; Mukherji, S.K. Cerebral perfusion CT: Technique and clinical applications. Radiology 2004, 231, 632–644. [Google Scholar] [CrossRef] [PubMed]
- Srinivasan, A.; Goyal, M.; Al Azri, F.; Lum, C. State-of-the-art imaging of acute stroke. Radiographics 2006, 26, S75–S95. [Google Scholar] [CrossRef]
- Fahmi, F.; Beenen, L.F.M.; Streekstra, G.J.; Janssen, N.Y.; de Jong, H.W.; Riordan, A.; Roos, Y.B.; Majoie, C.B.; Vanbavel, E.; Marquering, H.A. Head movement during CT brain perfusion acquisition of patients with suspected acute ischemic stroke. Eur. J. Radiol. 2013, 82, 2334–2341. [Google Scholar] [CrossRef]
- Albers, G.W.; Marks, M.P.; Kemp, S.; Christensen, S.; Tsai, J.P.; Ortega-Gutierrez, S.; McTaggart, R.A.; Torbey, M.T.; Kim-Tenser, M.; Leslie-Mazwi, T.; et al. DEFUSE 3 Investigators Thrombectomy for Stroke at 6 to 16 h with Selection by Perfusion Imaging. N. Engl. J. Med. 2018, 378, 708–718. [Google Scholar] [CrossRef]
- Ma, H.; Campbell, B.C.V.; Parsons, M.W.; Churilov, L.; Levi, C.R.; Hsu, C.; Kleinig, T.J.; Wijeratne, T.; Curtze, S.; Dewey, H.M.; et al. Thrombolysis Guided by Perfusion Imaging up to 9 h after Onset of Stroke. N. Engl. J. Med. 2019, 380, 1795–1803. [Google Scholar] [CrossRef]
- Chiu, A.H.; Phillips, T.J.; Phatouros, C.C.; Singh, T.P.; Hankey, G.J.; Blacker, D.J.; McAuliffe, W. CT perfusion in acute stroke calls: A pictorial review and differential diagnoses. J. Med. Imaging Radiat. Oncol. 2016, 60, 165–171. [Google Scholar] [CrossRef]
- Keedy, A.; Soares, B.; Wintermark, M. A pictorial essay of brain perfusion-CT: Not every abnormality is a stroke! J. Neuroimaging 2012, 22, e20–e33. [Google Scholar] [CrossRef] [PubMed]
- Krishnan, P.; Murphy, A.; Aviv, R.I. CT-based Techniques for Brain Perfusion. Top. Magn. Reson. Imaging 2017, 26, 113–119. [Google Scholar] [CrossRef] [PubMed]
- Mangla, R.; Ekhom, S.; Jahromi, B.S.; Almast, J.; Mangla, M.; Westesson, P. CT perfusion in acute stroke: Know the mimics, potential pitfalls, artifacts, and technical errors. Emerg. Radiol. 2014, 21, 49–65. [Google Scholar] [CrossRef] [PubMed]
- Baron, J.C. Perfusion thresholds in human cerebral ischemia: Historical perspective and therapeutic implications. Cerebrovasc. Dis. 2001, 11 (Suppl 1), 2–8. [Google Scholar] [CrossRef] [PubMed]
- Nogueira, R.G.; Jadhav, A.P.; Haussen, D.C.; Bonafe, A.; Budzik, R.F.; Bhuva, P.; Yavagal, D.R.; Ribo, M.; Cognard, C.; Hanel, R.A.; et al. DAWN Trial Investigators Thrombectomy 6 to 24 h after Stroke with a Mismatch between Deficit and Infarct. N. Engl. J. Med. 2018, 378, 11–21. [Google Scholar] [CrossRef]
- Olivot, J.; Mlynash, M.; Thijs, V.N.; Kemp, S.; Lansberg, M.G.; Wechsler, L.; Bammer, R.; Marks, M.P.; Albers, G.W. Optimal Tmax threshold for predicting penumbral tissue in acute stroke. Stroke 2009, 40, 469–475. [Google Scholar] [CrossRef]
- Campbell, B.C.V.; Christensen, S.; Levi, C.R.; Desmond, P.M.; Donnan, G.A.; Davis, S.M.; Parsons, M.W. Comparison of computed tomography perfusion and magnetic resonance imaging perfusion-diffusion mismatch in ischemic stroke. Stroke 2012, 43, 2648–2653. [Google Scholar] [CrossRef]
- Laughlin, B.; Chan, A.; Tai, W.A.; Moftakhar, P. RAPID automated CT perfusion in clinical practice. Pract. Neurol. 2019, 18, 41–55. [Google Scholar]
- Wintermark, M.; Albers, G.W.; Alexandrov, A.V.; Alger, J.R.; Bammer, R.; Baron, J.; Davis, S.; Demaerschalk, B.M.; Derdeyn, C.P.; Donnan, G.A.; et al. Acute stroke imaging research roadmap. Stroke 2008, 39, 1621–1628. [Google Scholar] [CrossRef]
- Thaiss, W.M.; Haberland, U.; Kaufmann, S.; Spira, D.; Thomas, C.; Nikolaou, K.; Horger, M.; Sauter, A.W. Iodine concentration as a perfusion surrogate marker in oncology: Further elucidation of the underlying mechanisms using Volume Perfusion CT with 80 kVp. Eur. Radiol. 2016, 26, 2929–2936. [Google Scholar] [CrossRef]
- Thaiss, W.M.; Haberland, U.; Kaufmann, S.; Hepp, T.; Schulze, M.; Blum, A.C.; Ketelsen, D.; Nikolaou, K.; Horger, M.; Sauter, A.W. Dose Optimization of Perfusion-derived Response Assessment in Hepatocellular Carcinoma Treated with Transarterial Chemoembolization: Comparison of Volume Perfusion CT and Iodine Concentration. Acad. Radiol. 2019, 26, 1154–1163. [Google Scholar] [CrossRef]
- Konstas, A.A.; Goldmakher, G.V.; Lee, T.Y.; Lev, M.H. Theoretic basis and technical implementations of CT perfusion in acute ischemic stroke, part 2: Technical implementations. AJNR Am. J. Neuroradiol. 2009, 30, 885–892. [Google Scholar] [CrossRef]
- Bivard, A.; Levi, C.; Spratt, N.; Parsons, M. Perfusion CT in acute stroke: A comprehensive analysis of infarct and penumbra. Radiology 2013, 267, 543–550. [Google Scholar] [CrossRef]
- Václavík, D.; Volný, O.; Cimflová, P.; Švub, K.; Dvorníková, K.; Bar, M. The importance of CT perfusion for diagnosis and treatment of ischemic stroke in anterior circulation. J. Integr. Neurosci. 2022, 21, 92. [Google Scholar] [CrossRef]
- Kamalian, S.; Kamalian, S.; Maas, M.B.; Goldmacher, G.V.; Payabvash, S.; Akbar, A.; Schaefer, P.W.; Furie, K.L.; Gonzalez, R.G.; Lev, M.H. CT cerebral blood flow maps optimally correlate with admission diffusion-weighted imaging in acute stroke but thresholds vary by postprocessing platform. Stroke 2011, 42, 1923–1928. [Google Scholar] [CrossRef] [PubMed]
- Kudo, K.; Sasaki, M.; Yamada, K.; Momoshima, S.; Utsunomiya, H.; Shirato, H.; Ogasawara, K. Differences in CT perfusion maps generated by different commercial software: Quantitative analysis by using identical source data of acute stroke patients. Radiology 2010, 254, 200–209. [Google Scholar] [CrossRef] [PubMed]
- Zhang, Y.; Song, S.; Li, Z.; Huang, B.; Geng, Y.; Zhang, L. The Application of Software “Rapid Processing of Perfusion and Diffusion” in Acute Ischemic Stroke. Brain Sci. 2022, 12, 1451. [Google Scholar] [CrossRef] [PubMed]
- Lansberg, M.G.; Straka, M.; Kemp, S.; Mlynash, M.; Wechsler, L.R.; Jovin, T.G.; Wilder, M.J.; Lutsep, H.L.; Czartoski, T.J.; Bernstein, R.A.; et al. DEFUSE 2 study investigators MRI profile and response to endovascular reperfusion after stroke (DEFUSE 2): A prospective cohort study. Lancet Neurol. 2012, 11, 860–867. [Google Scholar] [CrossRef]
- Campbell, B.C.V.; Mitchell, P.J.; Yan, B.; Parsons, M.W.; Christensen, S.; Churilov, L.; Dowling, R.J.; Dewey, H.; Brooks, M.; Miteff, F.; et al. EXTEND-IA investigators A multicenter, randomized, controlled study to investigate EXtending the time for Thrombolysis in Emergency Neurological Deficits with Intra-Arterial therapy (EXTEND-IA). Int. J. Stroke 2014, 9, 126–132. [Google Scholar] [CrossRef]
- Albers, G.W.; Lansberg, M.G.; Kemp, S.; Tsai, J.P.; Lavori, P.; Christensen, S.; Mlynash, M.; Kim, S.; Hamilton, S.; Yeatts, S.D.; et al. A multicenter randomized controlled trial of endovascular therapy following imaging evaluation for ischemic stroke (DEFUSE 3). Int. J. Stroke 2017, 12, 896–905. [Google Scholar] [CrossRef]
- Wintermark, M.; Flanders, A.E.; Velthuis, B.; Meuli, R.; van Leeuwen, M.; Goldsher, D.; Pineda, C.; Serena, J.; van der Schaaf, I.; Waaijer, A.; et al. Perfusion-CT assessment of infarct core and penumbra: Receiver operating characteristic curve analysis in 130 patients suspected of acute hemispheric stroke. Stroke 2006, 37, 979–985. [Google Scholar] [CrossRef] [PubMed]
- Kamalian, S.; Kamalian, S.; Konstas, A.A.; Maas, M.B.; Payabvash, S.; Pomerantz, S.R.; Schaefer, P.W.; Furie, K.L.; Gonzalez, R.G.; Lev, M.H. CT perfusion mean transit time maps optimally distinguish benign oligemia from true “at-risk” ischemic penumbra, but thresholds vary by postprocessing technique. Ajnr Am. J. Neuroradiol. 2012, 33, 545–549. [Google Scholar] [CrossRef] [PubMed]
- Wouters, A.; Christensen, S.; Straka, M.; Mlynash, M.; Liggins, J.; Bammer, R.; Thijs, V.; Lemmens, R.; Albers, G.W.; Lansberg, M.G. A Comparison of Relative Time to Peak and Tmax for Mismatch-Based Patient Selection. Front. Neurol. 2017, 8, 539. [Google Scholar] [CrossRef]
- Muizelaar, J.P.; Fatouros, P.P.; Schroder, M.L. A new method for quantitative regional cerebral blood volume measurements using computed tomography. Stroke 1997, 28, 1998–2005. [Google Scholar] [CrossRef] [PubMed]
- Tan, J.C.; Dillon, W.P.; Liu, S.; Adler, F.; Smith, W.S.; Wintermark, M. Systematic comparison of perfusion-CT and CT-angiography in acute stroke patients. Ann. Neurol. 2007, 61, 533–543. [Google Scholar] [CrossRef]
- Barber, P.A.; Demchuk, A.M.; Zhang, J.; Buchan, A.M. Validity and reliability of a quantitative computed tomography score in predicting outcome of hyperacute stroke before thrombolytic therapy. ASPECTS Study Group. Alberta Stroke Programme Early CT Score. Lancet 2000, 355, 1670–1674. [Google Scholar] [CrossRef] [PubMed]
- Pexman, J.H.; Barber, P.A.; Hill, M.D.; Sevick, R.J.; Demchuk, A.M.; Hudon, M.E.; Hu, W.Y.; Buchan, A.M. Use of the Alberta Stroke Program Early CT Score (ASPECTS) for assessing CT scans in patients with acute stroke. AJNR Am. J. Neuroradiol. 2001, 22, 1534–1542. [Google Scholar]
- Hill, M.D.; Buchan, A.M. Canadian Alteplase for Stroke Effectiveness Study (CASES) Investigators Thrombolysis for acute ischemic stroke: Results of the Canadian Alteplase for Stroke Effectiveness Study. CMAJ 2005, 172, 1307–1312. [Google Scholar] [CrossRef]
- Szarmach, A.; Halena, G.; Buczny, J.; Studniarek, M.; Markiet, K.; Szurowska, E.; Retkowski, M.; Piskunowicz, M. Evaluation of changes in the parameters of brain tissue perfusion in multi-slice computed tomography in patients after carotid artery stenting. Pol. J. Radiol. 2011, 76, 7–15. [Google Scholar]
- Shen, J.; Li, X.; Li, Y.; Wu, B. Comparative accuracy of CT perfusion in diagnosing acute ischemic stroke: A systematic review of 27 trials. PLoS ONE 2017, 12, e0176622. [Google Scholar] [CrossRef]
- Hana, T.; Iwama, J.; Yokosako, S.; Yoshimura, C.; Arai, N.; Kuroi, Y.; Koseki, H.; Akiyama, M.; Hirota, K.; Ohbuchi, H.; et al. Sensitivity of CT perfusion for the diagnosis of cerebral infarction. J. Med. Investig. 2014, 61, 41–45. [Google Scholar] [CrossRef] [PubMed]
- Eckert, B.; Kusel, T.; Leppien, A.; Michels, P.; Muller-Jensen, A.; Fiehler, J. Clinical outcome and imaging follow-up in acute stroke patients with normal perfusion CT and normal CT angiography. Neuroradiology 2011, 53, 79–88. [Google Scholar] [CrossRef] [PubMed]
- Sabarudin, A.; Subramaniam, C.; Sun, Z. Cerebral CT angiography and CT perfusion in acute stroke detection: A systematic review of diagnostic value. Quant. Imaging Med. Surg. 2014, 4, 282–290. [Google Scholar]
- Huisa, B.N.; Neil, W.P.; Schrader, R.; Maya, M.; Pereira, B.; Bruce, N.T.; Lyden, P.D. Clinical use of computed tomographic perfusion for the diagnosis and prediction of lesion growth in acute ischemic stroke. J. Stroke Cerebrovasc. Dis. 2014, 23, 114–122. [Google Scholar] [CrossRef]
- Wintermark, M.; Meuli, R.; Browaeys, P.; Reichhart, M.; Bogousslavsky, J.; Schnyder, P.; Michel, P. Comparison of CT perfusion and angiography and MRI in selecting stroke patients for acute treatment. Neurology 2007, 68, 694–697. [Google Scholar] [CrossRef]
- van der Zijden, T.; Mondelaers, A.; Voormolen, M.; Menovsky, T.; Niekel, M.; Jardinet, T.; Van Thielen, T.; D’Archambeau, O.; Parizel, P.M. Flat Detector CT with Cerebral Pooled Blood Volume Perfusion in the Angiography Suite: From Diagnostics to Treatment Monitoring. Diagnostics 2022, 12, 1962. [Google Scholar] [CrossRef]
- Prasetya, H.; Tolhuisen, M.L.; Koopman, M.S.; Kappelhof, M.; Meijer, F.J.; Yo, L.S.; á Nijeholt, G.J.L.; van Zwam, W.H.; van der Lugt, A.; Roos, Y.B.; et al. Value of CT Perfusion for Collateral Status Assessment in Patients with Acute Ischemic Stroke. Diagnostics 2022, 12, 3014. [Google Scholar] [CrossRef]
- Van Der Hoeven, E.J.; Dankbaar, J.W.; Algra, A.; Vos, J.A.; Niesten, J.M.; Van Seeters, T.; Van Der Schaaf, I.C.; Schonewille, W.J.; Kappelle, L.J.; Velthuis, B.K. DUST Investigators Additional diagnostic value of computed tomography perfusion for detection of acute ischemic stroke in the posterior circulation. Stroke 2015, 46, 1113–1115. [Google Scholar] [CrossRef]
- Hwang, D.Y.; Silva, G.S.; Furie, K.L.; Greer, D.M. Comparative sensitivity of computed tomography vs. magnetic resonance imaging for detecting acute posterior fossa infarct. J. Emerg. Med. 2012, 42, 559–565. [Google Scholar] [CrossRef] [PubMed]
- Ostman, C.; Garcia-Esperon, C.; Lillicrap, T.; Tomari, S.; Holliday, E.; Levi, C.; Bivard, A.; Parsons, M.W.; Spratt, N.J. Multimodal Computed Tomography Increases the Detection of Posterior Fossa Strokes Compared to Brain Non-contrast Computed Tomography. Front. Neurol. 2020, 11, 588064. [Google Scholar] [CrossRef]
- Krzyżewski, R.M.; Stachura, M.K.; Stachura, A.M.; Rybus, J.; Tomaszewski, K.A.; Klimek-Piotrowska, W.; Brzegowy, P.; Urbanik, A.; Walocha, J.A. Variations and morphometric analysis of the proximal segment of the superior cerebellar artery. Neurol. Neurochir. Pol. 2014, 48, 229–235. [Google Scholar] [CrossRef] [PubMed]
- Escudero, D.; Otero, J.; Marqués, L.; Parra, D.; Gonzalo, J.A.; Albaiceta, G.M.; Cofiño, L.; Blanco, A.; Vega, P.; Murias, E.; et al. Diagnosing brain death by CT perfusion and multislice CT angiography. Neurocrit. Care 2009, 11, 261–271. [Google Scholar] [CrossRef] [PubMed]
- Shankar, J.J.S.; Vandorpe, R. CT Perfusion for Confirmation of Brain Death. Am. J. Neuroradiol. 2013, 34, 1175–1179. [Google Scholar] [CrossRef] [PubMed]
- Bohatyrewicz, R.; Sawicki, M.; Walecka, A.; Walecki, J.; Rowinski, O.; Bohatyrewicz, A.; Kanski, A.; Czajkowski, Z.; Krzysztalowski, A.; Solek-Pastuszka, J.; et al. Computed tomographic angiography and perfusion in the diagnosis of brain death. Transplant. Proc. 2010, 42, 3941–3946. [Google Scholar] [CrossRef]
- Akdogan, A.I.; Pekcevik, Y.; Sahin, H.; Pekcevik, R. Assessment of Cerebral Circulatory Arrest via CT Angiography and CT Perfusion in Brain Death Confirmation. Korean J. Radiol. 2021, 22, 395–404. [Google Scholar] [CrossRef]
- MacDonald, D.; Stewart-Perrin, B.; Shankar, J.J.S. The role of neuroimaging in the determination of brain death. Radiol. Bras 2022, 55, 365–372. [Google Scholar] [CrossRef]
- Sawicki, M.; Bohatyrewicz, R.; Walecka, A.; Sołek-Pastuszka, J.; Rowiński, O.; Walecki, J. CT Angiography in the Diagnosis of Brain Death. Pol. J. Radiol. 2014, 79, 417–421. [Google Scholar]
- Frampas, E.; Videcoq, M.; de Kerviler, E.; Ricolfi, F.; Kuoch, V.; Mourey, F.; Tenaillon, A.; Dupas, B. CT angiography for brain death diagnosis. AJNR Am. J. Neuroradiol. 2009, 30, 1566–1570. [Google Scholar] [CrossRef]
- Kramer, A.H.; Roberts, D.J. Computed tomography angiography in the diagnosis of brain death: A systematic review and meta-analysis. Neurocrit. Care 2014, 21, 539–550. [Google Scholar] [CrossRef]
- Krieger, D.A.; Dehkharghani, S. Magnetic Resonance Imaging in Ischemic Stroke and Cerebral Venous Thrombosis. Top. Magn. Reson. Imaging 2015, 24, 331–352. [Google Scholar] [CrossRef]
- Siemund, R.; Cronqvist, M.; Andsberg, G.; Ramgren, B.; Knutsson, L.; Holtas, S. Cerebral perfusion imaging in hemodynamic stroke: Be aware of the pattern. Interv. Neuroradiol. 2009, 15, 385–394. [Google Scholar] [CrossRef]
- Kassell, N.F.; Sasaki, T.; Colohan, A.R.; Nazar, G. Cerebral vasospasm following aneurysmal subarachnoid hemorrhage. Stroke 1985, 16, 562–572. [Google Scholar] [CrossRef] [PubMed]
- Othman, A.E.; Afat, S.; Nikoubashman, O.; Muller, M.; Schubert, G.A.; Bier, G.; Brockmann, M.A.; Wiesmann, M.; Brockmann, C. Volume perfusion CT imaging of cerebral vasospasm: Diagnostic performance of different perfusion maps. Neuroradiology 2016, 58, 787–792. [Google Scholar] [CrossRef] [PubMed]
- Cremers, C.H.P.; van der Schaaf, I.C.; Wensink, E.; Greving, J.P.; Rinkel, G.J.E.; Velthuis, B.K.; Vergouwen, M.D.I. CT perfusion and delayed cerebral ischemia in aneurysmal subarachnoid hemorrhage: A systematic review and meta-analysis. J. Cereb. Blood Flow Metab. 2014, 34, 200–207. [Google Scholar] [CrossRef]
- van der Schaaf, I.; Wermer, M.J.; van der Graaf, Y.; Hoff, R.G.; Rinkel, G.J.E.; Velthuis, B.K. CT after subarachnoid hemorrhage: Relation of cerebral perfusion to delayed cerebral ischemia. Neurology 2006, 66, 1533–1538. [Google Scholar] [CrossRef] [PubMed]
- Ritzenthaler, T.; Gobert, F.; Dailler, F. “Vasospasm mimic” after aneurysmal subarachnoid hemorrhage. World Neurosurg. 2019, 124, 295–297. [Google Scholar] [CrossRef]
- Voldby, B.; Enevoldsen, E.M.; Jensen, F.T. Regional CBF, intraventricular pressure, and cerebral metabolism in patients with ruptured intracranial aneurysms. J. Neurosurg. 1985, 62, 48–58. [Google Scholar] [CrossRef]
- Aralasmak, A.; Akyuz, M.; Ozkaynak, C.; Sindel, T.; Tuncer, R. CT angiography and perfusion imaging in patients with subarachnoid hemorrhage: Correlation of vasospasm to perfusion abnormality. Neuroradiology 2009, 51, 85–93. [Google Scholar] [CrossRef]
- Hattingen, E.; Blasel, S.; Dettmann, E.; Vatter, H.; Pilatus, U.; Seifert, V.; Zanella, F.E.; Weidauer, S. Perfusion-weighted MRI to evaluate cerebral autoregulation in aneurysmal subarachnoid haemorrhage. Neuroradiology 2008, 50, 929–938. [Google Scholar] [CrossRef]
- Greenberg, E.D.; Gold, R.; Reichman, M.; John, M.; Ivanidze, J.; Edwards, A.M.; Johnson, C.E.; Comunale, J.P.; Sanelli, P. Diagnostic accuracy of CT angiography and CT perfusion for cerebral vasospasm: A meta-analysis. Am. J. Neuroradiol. 2010, 31, 1853–1860. [Google Scholar] [CrossRef]
- Hansen, J.M.; Schankin, C.J. Cerebral hemodynamics in the different phases of migraine and cluster headache. J. Cereb. Blood Flow Metab. 2019, 39, 595–609. [Google Scholar] [CrossRef] [PubMed]
- Olesen, J.; Friberg, L.; Olsen, T.S.; Iversen, H.K.; Lassen, N.A.; Andersen, A.R.; Karle, A. Timing and topography of cerebral blood flow, aura, and headache during migraine attacks. Ann. Neurol. 1990, 28, 791–798. [Google Scholar] [CrossRef] [PubMed]
- Floery, D.; Vosko, M.R.; Fellner, F.A.; Fellner, C.; Ginthoer, C.; Gruber, F.; Ransmayr, G.; Doerfler, A.; Uder, M.; Bradley, W.G. Acute-onset migrainous aura mimicking acute stroke: MR perfusion imaging features. Ajnr Am. J. Neuroradiol. 2012, 33, 1546–1552. [Google Scholar] [CrossRef] [PubMed]
- Linn, J.; Freilinger, T.; Morhard, D.; Brückmann, H.; Straube, A. Aphasic migraineous aura with left parietal hypoperfusion: A case report. Cephalalgia 2007, 27, 850–853. [Google Scholar] [CrossRef]
- Pollock, J.M.; Deibler, A.R.; Burdette, J.H.; Kraft, R.A.; Tan, H.; Evans, A.B.; Maldjian, J.A. Migraine associated cerebral hyperperfusion with arterial spin-labeled MR imaging. AJNR Am. J. Neuroradiol. 2008, 29, 1494–1497. [Google Scholar] [CrossRef] [PubMed]
- Marchal, G.; Young, A.R.; Baron, J.C. Early postischemic hyperperfusion: Pathophysiologic insights from positron emission tomography. J. Cereb. Blood Flow Metab. 1999, 19, 467–482. [Google Scholar] [CrossRef]
- Sotoudeh, H.; Shafaat, O.; Singhal, A.; Bag, A. Luxury perfusion: A paradoxical finding and pitfall of CT perfusion in subacute infarction of brain. Radiol. Case Rep. 2018, 14, 6–9. [Google Scholar] [CrossRef]
- Yu, S.; Liebeskind, D.S.; Dua, S.; Wilhalme, H.; Elashoff, D.; Qiao, X.J.; Alger, J.R.; Sanossian, N.; Starkman, S.; Ali, L.K.; et al. UCLA Stroke Investigators Postischemic hyperperfusion on arterial spin labeled perfusion MRI is linked to hemorrhagic transformation in stroke. J. Cereb. Blood Flow Metab. 2015, 35, 630–637. [Google Scholar] [CrossRef]
- Lin, Y.; Liu, H. Update on cerebral hyperperfusion syndrome. J. Neurointerv. Surg. 2020, 12, 788–793. [Google Scholar] [CrossRef]
- Waltz, A.G. Effect of blood pressure on blood flow in ischemic and in nonischemic cerebral cortex. The phenomena of autoregulation and luxury perfusion. Neurology 1968, 18, 613–621. [Google Scholar] [CrossRef]
- Meyers, P.M.; Higashida, R.T.; Phatouros, C.C.; Malek, A.M.; Lempert, T.E.; Dowd, C.F.; Halbach, V.V. Cerebral hyperperfusion syndrome after percutaneous transluminal stenting of the craniocervical arteries. Neurosurgery 2000, 47, 335–343, discussion 343–345. [Google Scholar] [CrossRef] [PubMed]
- Farooq, M.U.; Goshgarian, C.; Min, J.; Gorelick, P.B. Pathophysiology and management of reperfusion injury and hyperperfusion syndrome after carotid endarterectomy and carotid artery stenting. Exp. Transl. Stroke Med. 2016, 8, 7. [Google Scholar] [CrossRef]
- Mokin, M.; Ciambella, C.C.; Masud, M.W.; Levy, E.I.; Snyder, K.V.; Siddiqui, A.H. Whole-Brain Computed Tomographic Perfusion Imaging in Acute Cerebral Venous Sinus Thrombosis. Interv. Neurol. 2016, 4, 104–112. [Google Scholar] [CrossRef] [PubMed]
- Gulati, D.; Strbian, D.; Sundararajan, S. Cerebral venous thrombosis: Diagnosis and management. Stroke 2014, 45, e16–e18. [Google Scholar] [CrossRef]
- See, I.; Su, J.R.; Lale, A.; Woo, E.J.; Guh, A.Y.; Shimabukuro, T.T.; Streiff, M.B.; Rao, A.K.; Wheeler, A.P.; Beavers, S.F.; et al. US Case Reports of Cerebral Venous Sinus Thrombosis With Thrombocytopenia After Ad26.COV2.S Vaccination, March 2 to April 21, 2021. JAMA 2021, 325, 2448–2456. [Google Scholar] [CrossRef]
- Doege, C.A.; Tavakolian, R.; Kerskens, C.M.; Romero, B.I.; Lehmann, R.; Einhäupl, K.M.; Villringer, A. Perfusion and diffusionmagnetic resonance imaging in human cerebral venous thrombosis. J. Neurol. 2001, 248, 564–571. [Google Scholar] [CrossRef]
- Gupta, R.K.; Bapuraj, J.R.; Khandelwal, N.; Khurana, D. Prognostic indices for cerebral venous thrombosis on CT perfusion: A prospective study. Eur. J. Radiol. 2014, 83, 185–190. [Google Scholar] [CrossRef] [PubMed]
- Saposnik, G.; Barinagarrementeria, F.; Brown, R.D., Jr.; Bushnell, C.D.; Cucchiara, B.; Cushman, M.; deVeber, G.; Ferro, J.M.; Tsai, F.Y. American Heart Association Stroke Council and the Council on Epidemiology and Prevention Diagnosis and management of cerebral venous thrombosis: A statement for healthcare professionals from the American Heart Association/American Stroke Association. Stroke 2011, 42, 1158–1192. [Google Scholar] [CrossRef]
- Van Cauwenberge, M.G.A.; Dekeyzer, S.; Nikoubashman, O.; Dafotakis, M.; Wiesmann, M. Can perfusion CT unmask postictal stroke mimics? A case-control study of 133 patients. Neurology 2018, 91, e1918–e1927. [Google Scholar] [CrossRef]
- Hauf, M.; Slotboom, J.; Nirkko, A.; von Bredow, F.; Ozdoba, C.; Wiest, R. Cortical regional hyperperfusion in nonconvulsive status epilepticus measured by dynamic brain perfusion CT. AJNR Am. J. Neuroradiol. 2009, 30, 693–698. [Google Scholar] [CrossRef]













| Time to maximum | Tmax | The time to maximum reflects the time delay between the contrast bolus arriving in the proximal large artery and each voxel of the brain parenchyma. It is calculated by deconvoluting the arterial input function. |
| Time to peak | TTP | The time to peak reflects the time delay from the start of the scan until the maximum intensity of a contrast bolus arriving at each voxel of the brain parenchyma. |
| Mean transit time | MTT | The mean transit time represents the average time required for a contrast bolus to traverse the voxel. |
| Cerebral blood flow | CBF | The cerebral blood flow reflects the volume of blood flowing into a unit of brain tissue during a unit of time. |
| Cerebral blood volume | CBV | The cerebral blood volume reflects the fraction of a voxel that contains blood vessels (expressed as mL/100 g). |
| Entity | CBV | CBF | MTT | TTP/Tmax |
|---|---|---|---|---|
| Acute stroke | ↓ | ↓/- | ↑ | ↑ |
| Brain death | ↓↓ | ↓↓ | ↑↑ | ↑↑ |
| Vasospasm | -/↓ | -/↓ | ↑ | ↑ |
| Hypotensive cerebral infarction (HCI) with watershed infarcts/border zones | ↑ | ↓/- | ↑ | ↑ |
| Migraine—aura phase | ↓ | |||
| Seizure—ictal phase | ↑ | ↑ | ↓ | ↓ |
| —interictal phase | ↓ | ↓ | ↑ | |
| —postictal phase | ↓ | ↓ | ↑ | ↑ |
| Venous thrombosis—without venous ischemia or intracranial hemorrhage | -/↑ | -/↑ | ↑ | ↑ |
| Venous thrombosis—with venous ischemia and/or intracranial hemorrhage | ↓ | ↓ | ↑ | ↑ |
Disclaimer/Publisher’s Note: The statements, opinions and data contained in all publications are solely those of the individual author(s) and contributor(s) and not of MDPI and/or the editor(s). MDPI and/or the editor(s) disclaim responsibility for any injury to people or property resulting from any ideas, methods, instructions or products referred to in the content. |
© 2023 by the authors. Licensee MDPI, Basel, Switzerland. This article is an open access article distributed under the terms and conditions of the Creative Commons Attribution (CC BY) license (https://creativecommons.org/licenses/by/4.0/).
Share and Cite
Haggenmüller, B.; Kreiser, K.; Sollmann, N.; Huber, M.; Vogele, D.; Schmidt, S.A.; Beer, M.; Schmitz, B.; Ozpeynirci, Y.; Rosskopf, J.; et al. Pictorial Review on Imaging Findings in Cerebral CTP in Patients with Acute Stroke and Its Mimics: A Primer for General Radiologists. Diagnostics 2023, 13, 447. https://doi.org/10.3390/diagnostics13030447
Haggenmüller B, Kreiser K, Sollmann N, Huber M, Vogele D, Schmidt SA, Beer M, Schmitz B, Ozpeynirci Y, Rosskopf J, et al. Pictorial Review on Imaging Findings in Cerebral CTP in Patients with Acute Stroke and Its Mimics: A Primer for General Radiologists. Diagnostics. 2023; 13(3):447. https://doi.org/10.3390/diagnostics13030447
Chicago/Turabian StyleHaggenmüller, Benedikt, Kornelia Kreiser, Nico Sollmann, Magdalena Huber, Daniel Vogele, Stefan A. Schmidt, Meinrad Beer, Bernd Schmitz, Yigit Ozpeynirci, Johannes Rosskopf, and et al. 2023. "Pictorial Review on Imaging Findings in Cerebral CTP in Patients with Acute Stroke and Its Mimics: A Primer for General Radiologists" Diagnostics 13, no. 3: 447. https://doi.org/10.3390/diagnostics13030447
APA StyleHaggenmüller, B., Kreiser, K., Sollmann, N., Huber, M., Vogele, D., Schmidt, S. A., Beer, M., Schmitz, B., Ozpeynirci, Y., Rosskopf, J., & Kloth, C. (2023). Pictorial Review on Imaging Findings in Cerebral CTP in Patients with Acute Stroke and Its Mimics: A Primer for General Radiologists. Diagnostics, 13(3), 447. https://doi.org/10.3390/diagnostics13030447

