A Rare Case of Left Anterior Descending Coronary Artery to Pulmonary Trunk Fistula Associated with Takotsubo Cardiomyopathy
Abstract

- LVEF < 50%;
- Grade II aortic regurgitation;
- Grade II mitral regurgitation;
- Right ventricle with normal longitudinal function;
- No signs of secondary pulmonary hypertension;
- No pericardial effusion.
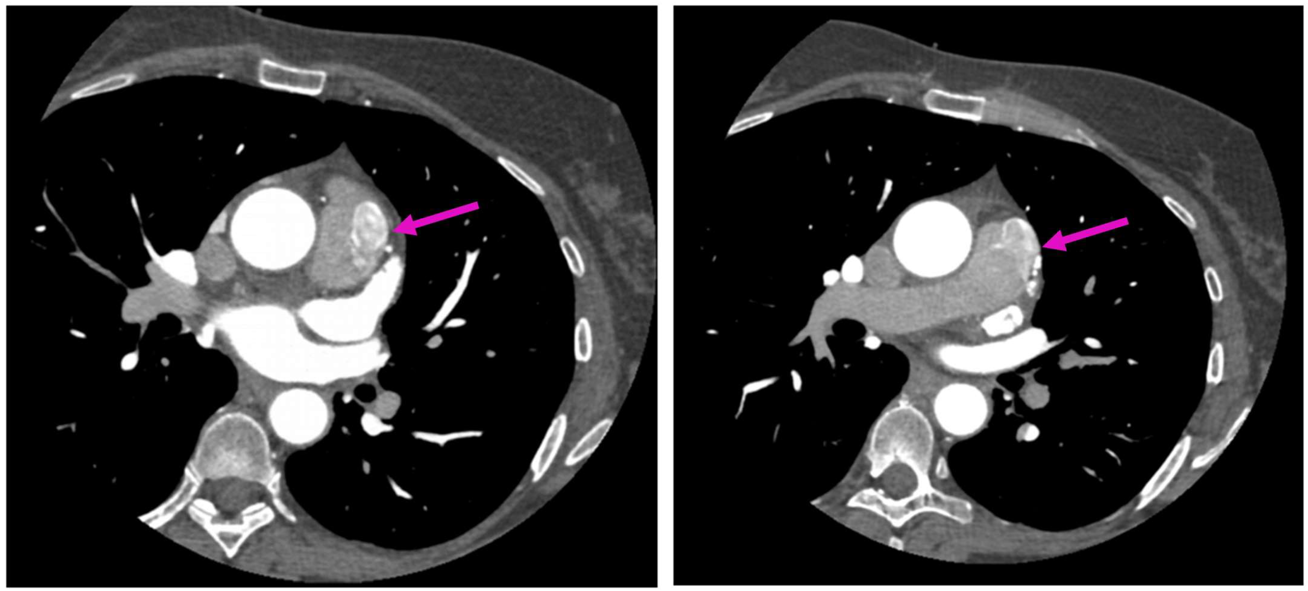
- Type A—proximal coronary dilation at the origin of fistula and normal distal end;
Supplementary Materials
Funding
Institutional Review Board Statement
Informed Consent Statement
Conflicts of Interest
References
- Dadkhah-Tirani, H.; Salari, A.; Shafighnia, S.; Hosseini, S.F.; Naghdipoor, M. Coronary artery to pulmonary artery fistula. Am. J. Case Rep. 2013, 14, 486–488. [Google Scholar] [CrossRef] [PubMed][Green Version]
- Verdini, D.; Vargas, D.; Kuo, A.; Ghoshhajra, B.; Kim, P.; Murillo, H.; Kirsch, J.; Lane, M.; Restrepo, C. Coronary-Pulmonary Artery Fistulas: A Systematic Review. J. Thorac. Imaging 2016, 31, 380–390. [Google Scholar] [CrossRef] [PubMed]
- Yun, G.; Nam, T.H.; Chun, E.J. Coronary Artery Fistulas: Pathophysiology, Imaging Findings, and Management. RadioGraphics 2018, 38, 688–703, Erratum in RadioGraphics 2018, 38, 2214. PMID: 29601265. [Google Scholar] [CrossRef] [PubMed]
- Papadopoulos, D.P.; Perakis, A.; Votreas, V.; Anagnostopoulou, S. Bilateral fistulas: A rare cause of chest pain. Case report with literature review. Hell. J. Cardiol. 2008, 49, 111–113, PMID: 18459470. [Google Scholar] [PubMed]
- Qureshi, R.; Kao, L.; Gupta, R.P. Coronary artery fistula with associated Takotsubo cardiomyopathy: A case report. J. Med. Case Rep. 2018, 12, 86. [Google Scholar] [CrossRef] [PubMed][Green Version]
- Mangukia, C.V. Coronary Artery Fistula. Ann. Thorac. Surg. 2012, 93, 2084–2092. [Google Scholar] [CrossRef] [PubMed]
- Luo, L.; Kebede, S.; Wu, S.; Stouffer, G. Coronary Artery Fistulae. Am. J. Med. Sci. 2006, 332, 79–84. [Google Scholar] [CrossRef] [PubMed]
- Yu, R.; Sharma, B.; Franciosa, J.A. Acquired coronary artery fistula to the left ventricle after acute myocardial infarction. Am. J. Cardiol. 1986, 58, 557–558. [Google Scholar] [CrossRef] [PubMed]
- Kim, M.S.; Jung, J.I.; Chun, H.J. Coronary to pulmonary artery fistula: Morphologic features at multidetector CT. Int. J. Cardiovasc. Imaging 2010, 26 (Suppl. 2), 273–280. [Google Scholar] [CrossRef]
- Heifetz, S.A.; Robinowitz, M.; Mueller, K.H.; Virmani, R. Total anomalous origin of the coronary arteries from the pulmonary artery. Pediatr. Cardiol. 1986, 7, 11–18. [Google Scholar] [CrossRef]
- Sakakibara, S.; Yokoyama, M.; Takao, A.; Nogi, M.; Gomi, H. Coronary arteriovenous fistula: Nine operated cases. Am. Heart J. 1966, 72, 307–314. [Google Scholar] [CrossRef] [PubMed]
- Ouchi, K.; Sakuma, T.; Ojiri, H. Coronary artery fistula in adults: Incidence and appearance on cardiac computed tomography and comparison of detectability and hemodynamic effects with those on transthoracic echocardiography. J. Cardiol. 2020, 76, 593–600. [Google Scholar] [CrossRef] [PubMed]
- Rao, S.S.; Agasthi, P. Coronary Artery Fistula. In StatPearls [Internet]; StatPearls Publishing: St. Petersburg, SL, USA, 2021. [Google Scholar]
- Jerbi, S.; Tarmiz, A.; Fradi, S.; Brahem, A.; Beltaifa, M.; Mlika, S.; Romdhani, N.; Limayem, F.; Ennabli, K. Coronary artery fistula: Case report and review of the literature. Annales de Cardiologie et D’angeiologie 2008, 58, 236–239. [Google Scholar]
- Papadopoulos, D.P.; Bourantas, C.V.; Ekonomou, C.K.; Votteas, V. Coexistence of atherosclerosis and fistula as a cause of angina pectoris: A case report. Cases J. 2010, 3, 70. [Google Scholar] [CrossRef] [PubMed]
- Lyon, A.R.; Rees, P.S.C.; Prasad, S.; Poole-Wilson, P.A.; Harding, S.E. Stress (Takotsubo) cardiomyopathy—A novel pathophysiological hypothesis to explain catecholamine-induced acute myocardial stunning. Nat. Clin. Pract. Cardiovasc. Med. 2008, 5, 22–29. [Google Scholar] [CrossRef] [PubMed]
- Härle, T.; Kronberg, K.; Elsässer, A. Coronary artery fistula with myocardial infarction due to steal syndrome. Clin. Res. Cardiol. 2012, 101, 313–315. [Google Scholar] [CrossRef] [PubMed]



Disclaimer/Publisher’s Note: The statements, opinions and data contained in all publications are solely those of the individual author(s) and contributor(s) and not of MDPI and/or the editor(s). MDPI and/or the editor(s) disclaim responsibility for any injury to people or property resulting from any ideas, methods, instructions or products referred to in the content. |
© 2023 by the authors. Licensee MDPI, Basel, Switzerland. This article is an open access article distributed under the terms and conditions of the Creative Commons Attribution (CC BY) license (https://creativecommons.org/licenses/by/4.0/).
Share and Cite
Popa, R.M.; Ispas, A.F.; Manea, R.M. A Rare Case of Left Anterior Descending Coronary Artery to Pulmonary Trunk Fistula Associated with Takotsubo Cardiomyopathy. Diagnostics 2023, 13, 2751. https://doi.org/10.3390/diagnostics13172751
Popa RM, Ispas AF, Manea RM. A Rare Case of Left Anterior Descending Coronary Artery to Pulmonary Trunk Fistula Associated with Takotsubo Cardiomyopathy. Diagnostics. 2023; 13(17):2751. https://doi.org/10.3390/diagnostics13172751
Chicago/Turabian StylePopa, Ramona Mihaela, Alexandru Florin Ispas, and Rosana Mihaela Manea. 2023. "A Rare Case of Left Anterior Descending Coronary Artery to Pulmonary Trunk Fistula Associated with Takotsubo Cardiomyopathy" Diagnostics 13, no. 17: 2751. https://doi.org/10.3390/diagnostics13172751
APA StylePopa, R. M., Ispas, A. F., & Manea, R. M. (2023). A Rare Case of Left Anterior Descending Coronary Artery to Pulmonary Trunk Fistula Associated with Takotsubo Cardiomyopathy. Diagnostics, 13(17), 2751. https://doi.org/10.3390/diagnostics13172751

