Possible Use of Linear Echobronchoscope for Diagnosis of Peripheral Pulmonary Nodules
Abstract
1. Introduction
2. Materials and Methods
2.1. Study Design and Patient Selection
- (a)
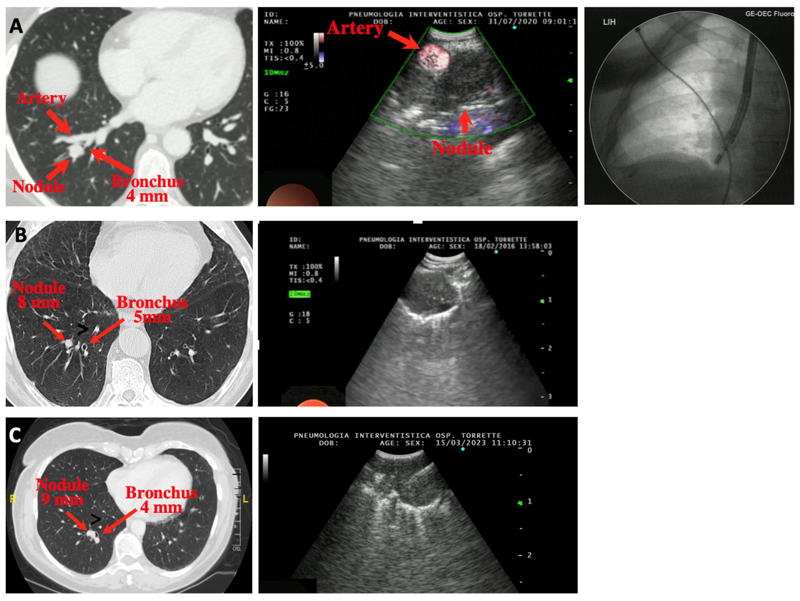
- pulmonary nodule located in the lower lobes, in an area adjacent to the subsegmental or a more distal bronchus;
- (b)
- evidence at CT scan of an airway ≥ 3 mm in diameter adjacent or close (≤1 cm) to the nodule;
- (c)
- absence of endobronchial abnormalities visible based on conventional flexible bronchoscopy.
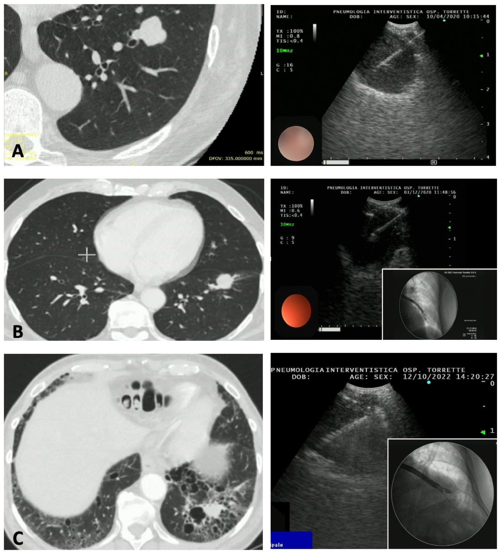
2.2. Procedure
2.3. Sample Management
2.4. Endopoints and Statistical Analysis
2.5. Ethical Aspects
3. Results
4. Discussion
5. Conclusions
Author Contributions
Funding
Institutional Review Board Statement
Informed Consent Statement
Data Availability Statement
Conflicts of Interest
References
- Khan, T.; Usman, Y.; Abdo, T.; Chaudry, F.; Keddissi, J.I.; Youness, H.A. Diagnosis and management of peripheral pulmonary nodule. Ann. Transl. Med. 2019, 7, 348. [Google Scholar] [CrossRef]
- Church, T.R.; Black, W.C.; Aberle, D.R.; Berg, C.D.; Clingan, K.L.; Duan, F.; Fagerstrom, R.M.; Gareen, I.F.; Gierada, D.S.; Jones, G.C.; et al. Results of Initial Low-Dose Computed Tomographic Screening for Lung Cancer. N. Engl. J. Med. 2013, 368, 1980–1991. [Google Scholar] [CrossRef]
- Rozman, A.; Zuccatosta, L.; Gasparini, S. Dancing in the dark. Respiration 2022, 101, 814–815. [Google Scholar] [CrossRef]
- Gasparini, S. Diagnostic management of solitary pulmonary nodule. Eur. Respir. Mon. 2010, 48, 90–108. [Google Scholar] [CrossRef]
- Gasparini, S.; Mei, F.; Bonifazi, M.; Zuccatosta, L. Bronchoscopic diagnosis of peripheral lung lesions. Curr. Opin. Pulm. Med. 2022, 28, 31–36. [Google Scholar] [CrossRef]
- Herth, F.J.F.; Eberhardt, R.; Vilmann, P.; Krasnik, M.; Ernst, A. Real-time endobronchial ultrasound guided transbronchial needle aspiration for sampling mediastinal lymph nodes. Thorax 2006, 61, 795–798. [Google Scholar] [CrossRef] [PubMed]
- Yasufuku, K.; Chiyo, M.; Koh, E.; Moriya, Y.; Iyoda, A.; Sekine, Y.; Shibuya, K.; Lizasa, T.; Fujisawa, T. Endobronchial ultrasound guided transbronchial needle aspiration for staging of lung cancer. Lung Cancer 2005, 50, 347–354. [Google Scholar] [CrossRef]
- Kuijvenhoven, J.C.; Livi, V.; Morandi, L.; Cancellieri, A.; Annema, J.T.; Trisolini, R. The expanding role of endobronchial ultrasound in patients with centrally located intrapulmonary tumors. Lung Cancer 2019, 134, 194–201. [Google Scholar] [CrossRef]
- Zuccatosta, L.; Latini, L.; Belleggia, B.; Gonnelli, F.; Barbisan, F.; Goteri, G.; Gasparini, S.; Marchetti, A. Suitability of transbronchial needle aspiration for genotyping peripheral pulmonary tumors. Front. Med. 2023, 9, 1087028. [Google Scholar] [CrossRef] [PubMed]
- Nadig, T.R.; Thomas, N.; Nietert, P.J.; Lozier, J.; Tanner, N.T.; Wang Memoli, J.S.; Pastis, N.J.; Silvestri, G.A. Guided bronchoscopy for the evaluation of pulmonary lesions. An updated Meta-analysis. Chest, 2023; in press. [Google Scholar] [CrossRef] [PubMed]
- Herth, F.J.F.; Ernst, A.; Becker, H. Endobronchial ultrasound-guided transbronchial lung biopsy in solitary pulmonary nodules and peripheral lesions. Eur. Respir. J. 2002, 20, 972–974. [Google Scholar] [CrossRef] [PubMed]
- Kurimoto, N.; Miyazawa, T.; Okimasa, S.; Maeda, A.; Oiwa, H.; Miyazu, Y.; Murayama, M. Endobronchial Ultrasonography Using a Guide Sheath Increases the Ability to Diagnose Peripheral Pulmonary Lesions Endoscopically. Chest 2004, 126, 959–965. [Google Scholar] [CrossRef] [PubMed]
- Steinfort, D.P.; Khor, Y.H.; Manser, R.L.; Irving, L.B. Radial probe endobronchial ultrasound for the diagnosis of peripheral lung cancer: Systematic review and meta- analysis. Eur. Respir. J. 2011, 37, 902–910. [Google Scholar] [CrossRef]
- Ali, M.S.; Trik, W.; Mba, B.I.; Mohananey, D.; Sethi, J.; Musani, A.I. Radial endobronchial ultrasound for the diagnosis of peripheral pulmonary lesions: A systematic review and meta-analysis. Respirology 2017, 22, 443–453. [Google Scholar] [CrossRef] [PubMed]
- Zhan, P.; Zhu, Q.Q.; Miu, Y.Y.; Liu, Y.F.; Wang, X.X.; Zhou, Z.J.; Jin, J.J.; Li, Q.; Sasada, S.; Izumo, T.; et al. Comparison between endobronchial ultrasound-guided transbronchial biopsy and CT-guided transthoracic lung biopsy for the diagnosis of peripheral lung cancer: A systematic review and meta- analysis. Transl. Lung Cancer Res. 2017, 6, 23–34. [Google Scholar] [CrossRef]
- Zuniga, P.V.S.; Vakil, E.; Molina, S.; Bassett, R.L., Jr.; Ost, D.E. Sensitivity of Radial Endobronchial Ultrasound-Guided Bronchoscopy for Lung Cancer in Patients with Peripheral Pulmonary Lesions. An Updated Meta-analysis. Chest 2020, 157, 994–1011. [Google Scholar] [CrossRef]
- Eom, J.S.; Mok, J.H.; Kim, I.; Lee, M.K.; Lee, G.; Park, H.; Lee, J.W.; Jeong, Y.J.; Kim, W.Y.; Jo, E.J.; et al. Radial probe endobronchial ultrasound using a guide sheath for peripheral lung lesions in beginners. BMC Pulm. Med. 2018, 18, 137. [Google Scholar] [CrossRef]
- Tournoy, K.G.; Rintoul, R.C.; van Meerbeeck, J.P.; Carroll, N.R.; Praet, M.; Buttery, R.C.; van Kralingen, K.W.; Rabe, K.F.; Annema, J.T. EBUS-TBNA for the diagnosis of central parenchymal lung lesions not visible at routine bronchoscopy. Lung Cancer 2009, 63, 45–49. [Google Scholar] [CrossRef]
- Chaiyakul, S. Endobronchial ultraspound-guided Transbronchial Needle Aspiration for the Diagnosis of Central Intrapulmonary Lesions not Visible by Conventional Bronchoscopy. J. Med. Assoc. Thai 2018, 101, 939–947. [Google Scholar]
- Nakajima, T.; Yasufuku, K.; Fujiwara, T.; Chiyo, M.; Sekine, Y.; Shibuya, K.; Hiroshima, K.; Yoshino, I. Endobronchial ultrasound-guided transbronchial needle aspiration for the diagnosis of intrapulmonary lesions. J. Thorac. Oncol. 2008, 3, 985–988. [Google Scholar] [CrossRef]
- Yang, H.; Zhao, H.; Garfield, D.H.; Teng, J.; Han, B.; Sun, J. Endobronchial ultrasound-guided transbronchial needle aspiration in the diagnosis of non-lymph node thoracic lesions. Ann. Thorac. Med. 2013, 8, 15–21. [Google Scholar] [CrossRef]
- Mondoni, M.; Gasparini, S.; Varone, F.; Trisolini, R.; Mancina, L.; Rossi, G.; Carlucci, P.; Bonifazi, M.; Mei, F.; Zuccatosta, L.; et al. Accuracy and Predictors of Success of EUS-B-FNA in the Diagnosis of Pulmonary Malignant Lesions: A Prospective Multicenter Italian Study. Respiration 2022, 101, 775–783. [Google Scholar] [CrossRef]
- Asano, F.; Eberhardt, R.; Herth, F.J.F. Virtual bronchoscopy navigation for peripheral pulmonary lesions. Respiration 2014, 88, 430–440. [Google Scholar] [CrossRef]
- Gex, G.; Pralong, J.A.; Combescure, C.; Seijo, L.; Rochat, T.; Soccal, P.M. Diagnostic Yield and Safety of Electromagnetic Navigation Bronchoscopy for Lung Nodules:A Systematic Review and Meta-Analysis. Respiration 2014, 87, 165–176. [Google Scholar] [CrossRef] [PubMed]
- Zhang, W.; Chen, S.; Dong, X.; Lei, P. Meta-analysis of the diagnostic yield and safety of electromagnetic navigation bronchoscopy for lung nodules. J. Thorac. Dis. 2015, 7, 799–809. [Google Scholar]
- Folch, E.E.; Labarca, G.; Ospina-Delgado, D. Sensitivity and Safety of ElectromagneticNavigation Bronchoscopy for Lung Cancer Diagnosis. Systematic Review and Meta-analysis. Chest 2020, 158, 1753–1769. [Google Scholar] [CrossRef]
- Pritchett, M.A.; Schampaert, S.; de Groot, J.A.H.; Schirmer, C.C.; van der Bom, I. Cone-Beam CT With Augmented Fluoroscopy Combined With Electromagnetic Navigation Bronchoscopy for Biopsy of Pulmonary Nodules. J. Bronchol. Interv. Pulmonol. 2018, 25, 274–282. [Google Scholar] [CrossRef]
- Casal, R.F.; Sarkiss, M.; Jones, A.K.; Stewart, J.; Tam, A.; Grosu, H.B.; Ost, D.E.; Jimenez, C.A.; Eapen, G.A. Cone beam computed tomography-guided thin/ultrathin bronchoscopy for diagnosis of peripheral lung nodules: A prospective pilot study. J. Thor. Dis. 2018, 10, 6950–6959. [Google Scholar] [CrossRef] [PubMed]
- Ali, E.A.A.; Takizawa, H.; Kawakita, N.; Sawada, T.; Tsuboi, M.; Toba, H.; Takashima, M.; Matsumoto, D.; Yoshida, M.; Kawakami, Y.; et al. Transbronchial Biopsy Using an Ultrathin Bronchoscope Guided by Cone-Beam Computed Tomography and Virtual Bronchoscopic Navigation in the Diagnosis of Pulmonary Nodules. Respiration 2019, 98, 321–328. [Google Scholar] [CrossRef]
- Fielding, D.I.K.; Bashirzadeh, F.; Son, J.H.; Todman, M.; Chin, A.; Tan, L.; Steinke, K.; Windsor, M.N.; Sung, A.W. First Human Use of a New Robotic-Assisted Fiber Optic Sensing Navigation System for Small Peripheral Pulmonary Nodules. Respiration 2019, 98, 142–150. [Google Scholar] [CrossRef] [PubMed]
- Chen, A.C.; Pastis, N.J., Jr.; Mahajan, A.K.; Khandhar, S.J.; Simoff, M.J.; Machuzak, M.S.; Cicenia, J.; Gildea, T.R.; Silvestri, G.A. Robotic bronchoscopy for peripheral pulmonary lesions: A multicenter pilot and feasibility study (BENEFIT). Chest 2021, 159, 845–852. [Google Scholar] [CrossRef] [PubMed]
- Kumar, A.; Caceres, J.D.; Vaithilingam, S.; Sandhu, G.; Meena, N.K. Robotic Bronchoscopy for Peripheral Pulmonary Lesion Biopsy: Evidence-Based Review of the Two Platforms. Diagnostics 2021, 11, 1479. [Google Scholar] [CrossRef] [PubMed]
- Sharma, M.; Wani, Z.A.; Bansal, R.; Hari, R.S. Utility of Narrow Caliber Echo-bronchoscope in Pre-school Pediatric Population: A case series (with video). Endosc. Ultrasound 2013, 2, 96–101. [Google Scholar] [CrossRef] [PubMed]
- Zuccatosta, L.; Mei, F.; Sediari, M.; Di Marco Berardino, A.; Bonifazi, M.; Barbisan, F.; Goteri, G.; Gasparini, S.; Gonnelli, F. Diagnostic accuracy of slow-capillary endobronchial ultrasound needle aspiration in determining PD-L1 expression in non-small cell lung cancer. Adv. Respir. Med. 2023, 91, 1–8. [Google Scholar] [CrossRef] [PubMed]


| Gender | |
| Male n (%) | 16 (53.3) |
| Female n (%) | 14 (46.7) |
| Age, year. Mean (range) | 66 (18–84) |
| Size of the lesion, mm. Mean (range) | 20.3 (8–30) |
| Location of the PPNs (n) | |
| Right lower lobe | |
| Medial segment | 3 |
| Anterior segment | 3 |
| Lateral segment | 5 |
| Posterior segment | 6 |
| Left lower lobe | |
| Anteromedial segment | 6 |
| Lateral segment | 3 |
| Posterior segment | 4 |
| Lung Adenocarcinoma | 12 |
| Typical carcinoid | 5 |
| Hamartoma | 4 |
| Metastasis | 5 |
| -renal cell carcinoma | 2 |
| -breast cancer | 1 |
| -melanoma | 1 |
| -urothelial cell carcinoma | 1 |
| Non diagnostic | 2 |
| Not visualized via EBUS | 2 |
Disclaimer/Publisher’s Note: The statements, opinions and data contained in all publications are solely those of the individual author(s) and contributor(s) and not of MDPI and/or the editor(s). MDPI and/or the editor(s) disclaim responsibility for any injury to people or property resulting from any ideas, methods, instructions or products referred to in the content. |
© 2023 by the authors. Licensee MDPI, Basel, Switzerland. This article is an open access article distributed under the terms and conditions of the Creative Commons Attribution (CC BY) license (https://creativecommons.org/licenses/by/4.0/).
Share and Cite
Zuccatosta, L.; Gonnelli, F.; Gasparini, G.; Duro, A.; Barbisan, F.; Goteri, G.; Veronesi, G.; Trisolini, R.; Gasparini, S. Possible Use of Linear Echobronchoscope for Diagnosis of Peripheral Pulmonary Nodules. Diagnostics 2023, 13, 2393. https://doi.org/10.3390/diagnostics13142393
Zuccatosta L, Gonnelli F, Gasparini G, Duro A, Barbisan F, Goteri G, Veronesi G, Trisolini R, Gasparini S. Possible Use of Linear Echobronchoscope for Diagnosis of Peripheral Pulmonary Nodules. Diagnostics. 2023; 13(14):2393. https://doi.org/10.3390/diagnostics13142393
Chicago/Turabian StyleZuccatosta, Lina, Francesca Gonnelli, Gianmarco Gasparini, Arianna Duro, Francesca Barbisan, Gaia Goteri, Giulia Veronesi, Rocco Trisolini, and Stefano Gasparini. 2023. "Possible Use of Linear Echobronchoscope for Diagnosis of Peripheral Pulmonary Nodules" Diagnostics 13, no. 14: 2393. https://doi.org/10.3390/diagnostics13142393
APA StyleZuccatosta, L., Gonnelli, F., Gasparini, G., Duro, A., Barbisan, F., Goteri, G., Veronesi, G., Trisolini, R., & Gasparini, S. (2023). Possible Use of Linear Echobronchoscope for Diagnosis of Peripheral Pulmonary Nodules. Diagnostics, 13(14), 2393. https://doi.org/10.3390/diagnostics13142393

