Disseminated Primary Uterine Hepatoid Adenocarcinoma with α-Fetoprotein Production Demonstrated on 18F-FDG PET/CT
Abstract
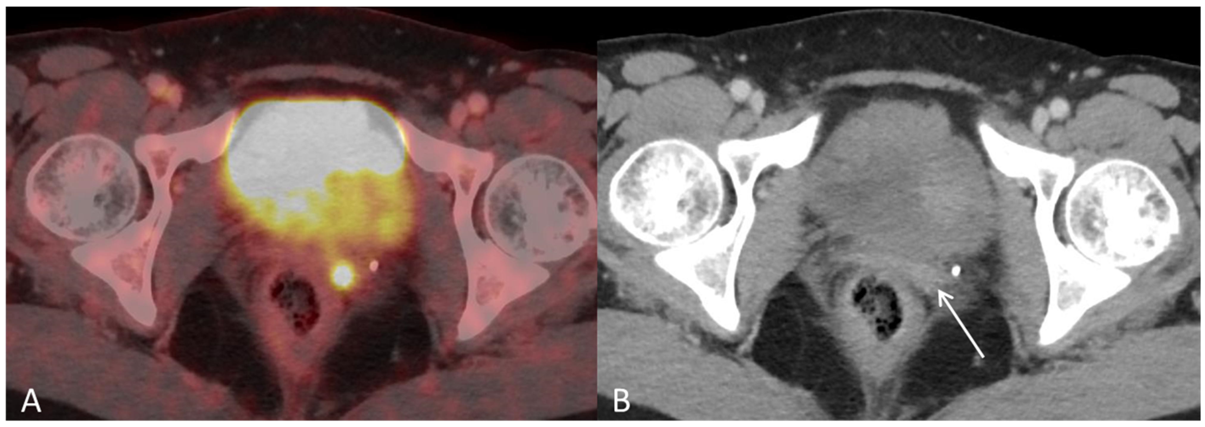
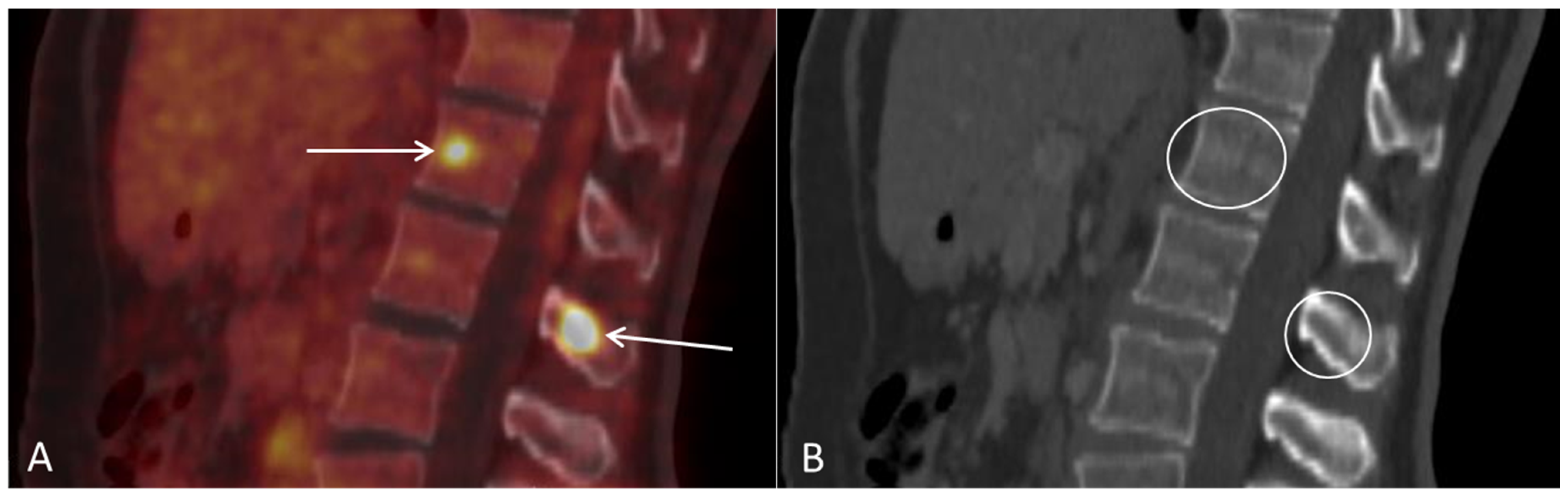
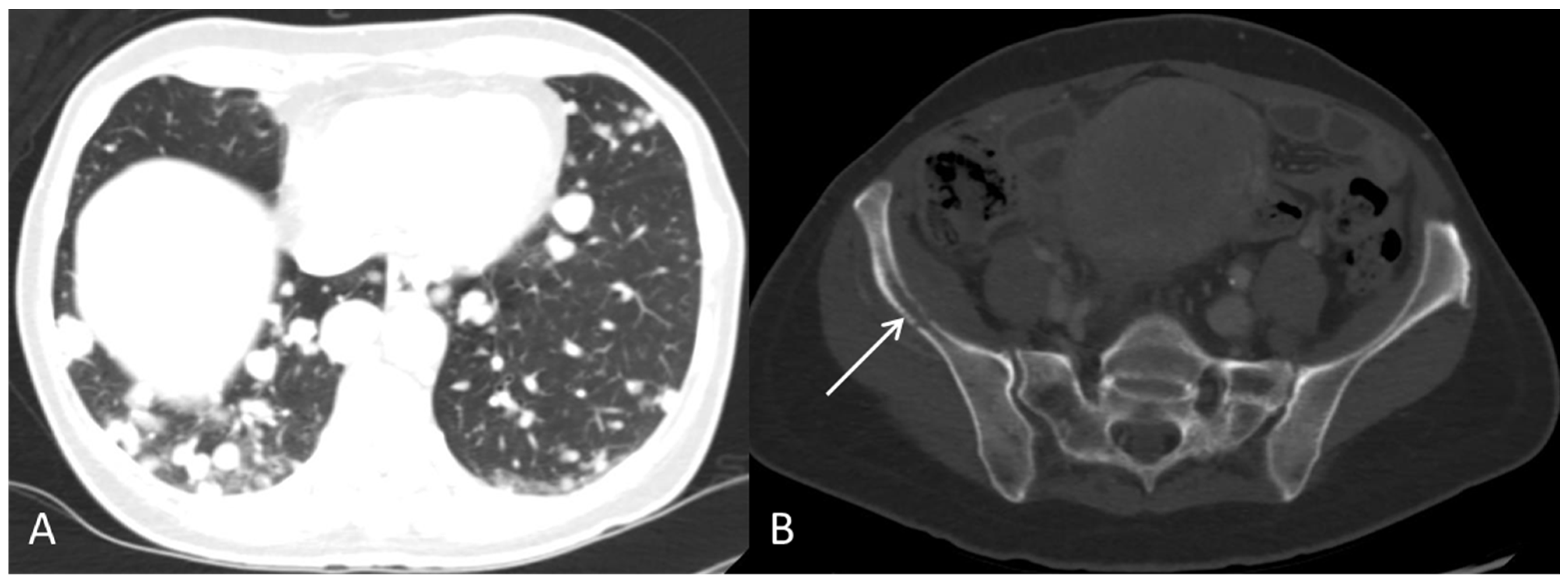
:








Funding
Institutional Review Board Statement
Informed Consent Statement
Conflicts of Interest
References
- Toyoda, H.; Hirai, T.; Ishii, E. Alpha-fetoprotein producing uterine corpus carcinoma: A hepatoid adenocarcinoma of the endometrium. Pathol. Int. 2000, 50, 847–852. [Google Scholar] [CrossRef] [PubMed]
- Yamamoto, R.; Ishikura, H.; Azuma, M.; Hareyama, H.; Makinoda, S.; Koyama, Y.; Nishi, S.; Fujimoto, S. Alpha-fetoprotein production by a hepatoid adenocarcinoma of the uterus. J. Clin. Pathol. 1996, 49, 420–422. [Google Scholar] [CrossRef]
- Ishikura, H.; Fukasawa, Y.; Ogasawara, K.; Natori, T.; Tsukada, Y.; Aizawa, M. An AFP-producing gastric carcinoma with features of hepatic differentiation. A case report. Cancer 1985, 56, 840–848. [Google Scholar] [CrossRef]
- Metzgeroth, G.; Strobel, P.; Baumbusch, T.; Reiter, A.; Hastka, J. Hepatoid adenocarcinoma—Review of the literature illustrated by a rare case originating in the peritoneal cavity. Onkologie 2010, 33, 263–269. [Google Scholar] [CrossRef]
- Zou, M.; Li, Y.; Dai, Y.; Sun, L.; Huang, T.; Yuan, X.; Qiu, H. AFP-producing hepatoid adenocarcinoma (HAC) of peritoneum and omentum: A case report and literature review. OncoTargets Ther. 2019, 12, 7649–7654. [Google Scholar] [CrossRef] [PubMed] [Green Version]
- Ishibashi, K.; Kishimoto, T.; Yonemori, Y.; Hirashiki, K.; Hiroshima, K.; Nakatani, Y. Primary hepatoid adenocarcinoma of the uterine corpus: A case report with immunohistochemical study for expression of liver-enriched nuclear factors. Pathol. Res. Pract. 2011, 207, 332–336. [Google Scholar] [CrossRef] [PubMed]
- Hoshida, Y.; Nagakawa, T.; Mano, S.; Taguchi, K.; Aozasa, K. Hepatoid Adenocarcinoma of the Endometrium Associated with Alpha-Fetoprotein Production. Int. J. Gynecol. Pathol. 1996, 15, 266–269. [Google Scholar] [CrossRef]
- Koyama, Y.; Taketa, K.; Azuma, M.; Yamamoto, R.; Fujimoto, S.; Nishi, S. Biochemical characterization of alpha-fetoprotein and other serum proteins produced by a uterine endometrial adenocarcinoma. Jpn. J. Cancer Res. 1996, 87, 612–617. [Google Scholar] [CrossRef]
- Alpert, E.; Feller, E.R. α-Fetoprotein (AFP) in benign liver disease: Evidence that normal liver regeneration does not induce AFP synthesis. Gastroenterology 1978, 74, 856–858. [Google Scholar] [CrossRef]
- Nagai, E.; Ueyama, T.; Yao, T.; Tsuneyoshi, M. Hepatoid adenocarcinoma of the stomach. A clinicopathologic and immunohistochemical analysis. Cancer 1993, 72, 1827–1835. [Google Scholar] [CrossRef]
- Nishida, T.; Sugiyama, T.; Kataoka, A.; Ushijima, K.; Ota, S.; Iwanaga, S.; Yakushiji, M. Ovarian hepatoid carcinoma without staining for alpha-fetoprotein in the primary site. Int. J. Gynecol. Cancer Off. J. Int. Gynecol. Cancer Soc. 1995, 5, 314–318. [Google Scholar] [CrossRef] [PubMed]
- Akhavan, A.; Karimi Zarchi, M.; Akhavan Tafti, M.; Navabii, H. α-fetoprotein produced by endometrioid adenocarcinoma of uterus. BMJ Case Rep. 2012, 2012, bcr0220125830. [Google Scholar] [CrossRef] [PubMed] [Green Version]
- Kodama, J.; Seki, N.; Yanai, H.; Kusumoto, T.; Nakamura, K.; Hongo, A.; Hiramatsu, Y. alpha-fetoprotein-producing endometrial adenocarcinoma without an obvious hepatoid component. Oncol. Lett. 2010, 1, 243–245. [Google Scholar] [CrossRef] [Green Version]
- Kubo, K.; Lee, G.H.; Yamauchi, K.; Kitagawa, T. Alpha-fetoprotein-producing papillary adenocarcinoma originating from a uterine body. A case report. Acta Pathol. Jpn. 1991, 41, 399–403. [Google Scholar] [CrossRef]
- Tran, T.A.; Ortiz, H.B.; Holloway, R.W.; Bigsby, G.E.; Finkler, N.J. Alpha-fetoprotein-producing serous carcinoma of the uterus metastasizing to the ovaries, mimicking primary ovarian yolk sac tumor: A case report and review of the literature. Int. J. Gynecol. Pathol. Off. J. Int. Soc. Gynecol. Pathol. 2007, 26, 66–70. [Google Scholar] [CrossRef]
- Phillips, K.A.; Scurry, J.P.; Toner, G. Alpha-fetoprotein production by a malignant mixed mullerian tumour of the uterus. J. Clin. Pathol. 1996, 49, 349–351. [Google Scholar] [CrossRef] [PubMed] [Green Version]
- Takahashi, Y.; Inoue, T. Hepatoid carcinoma of the uterus that collided with carcinosarcoma. Pathol. Int. 2003, 53, 323–326. [Google Scholar] [CrossRef]
- Takeuchi, K.; Kitazawa, S.; Hamanishi, S.; Inagaki, M.; Murata, K. A case of alpha-fetoprotein-producing adenocarcinoma of the endometrium with a hepatoid component as a potential source for alpha-fetoprotein in a postmenopausal woman. Int. J. Gynecol. Cancer Off. J. Int. Gynecol. Cancer Soc. 2006, 16, 1442–1445. [Google Scholar] [CrossRef]
- Wu, Q.Y.; Wan, X.Y.; Xie, X.; Lu, B.J. Endometrial hepatoid adenocarcinoma: A rare cause of elevated serum alpha-fetoprotein. J. Obstet. Gynaecol. Res. 2014, 40, 873–877. [Google Scholar] [CrossRef]
- Yin, H.; Hu, Y.; Xiu, Y.; Luo, R.; Shi, H. A Rare Case of Primary Endometrial Hepatoid Adenocarcinoma on 18F-FDG PET/CT. Clin. Nucl. Med. 2019, 44, e425–e427. [Google Scholar] [CrossRef]
- Adams, S.F.; Yamada, S.D.; Montag, A.; Rotmensch, J.R. An α-Fetoprotein-Producing Hepatoid Adenocarcinoma of the Endometrium. Gynecol. Oncol. 2001, 83, 418–421. [Google Scholar] [CrossRef] [PubMed]
- Matsukuma, K.; Tsukamoto, N. Alpha-fetoprotein producing endometrial adenocarcinoma: Report of a case. Gynecol. Oncol. 1988, 29, 370–377. [Google Scholar] [CrossRef]
Publisher’s Note: MDPI stays neutral with regard to jurisdictional claims in published maps and institutional affiliations. |
© 2022 by the authors. Licensee MDPI, Basel, Switzerland. This article is an open access article distributed under the terms and conditions of the Creative Commons Attribution (CC BY) license (https://creativecommons.org/licenses/by/4.0/).
Share and Cite
Dejanovic, D.; Boennelycke, M.; Amtoft, A.G.; Christensen, C.B.; Wetterstroem, V.; Loft, A.; Noettrup, T.J. Disseminated Primary Uterine Hepatoid Adenocarcinoma with α-Fetoprotein Production Demonstrated on 18F-FDG PET/CT. Diagnostics 2022, 12, 1447. https://doi.org/10.3390/diagnostics12061447
Dejanovic D, Boennelycke M, Amtoft AG, Christensen CB, Wetterstroem V, Loft A, Noettrup TJ. Disseminated Primary Uterine Hepatoid Adenocarcinoma with α-Fetoprotein Production Demonstrated on 18F-FDG PET/CT. Diagnostics. 2022; 12(6):1447. https://doi.org/10.3390/diagnostics12061447
Chicago/Turabian StyleDejanovic, Danijela, Marie Boennelycke, Annemarie Gjelstrup Amtoft, Charlotte Birk Christensen, Victoria Wetterstroem, Annika Loft, and Trine Jakobi Noettrup. 2022. "Disseminated Primary Uterine Hepatoid Adenocarcinoma with α-Fetoprotein Production Demonstrated on 18F-FDG PET/CT" Diagnostics 12, no. 6: 1447. https://doi.org/10.3390/diagnostics12061447
APA StyleDejanovic, D., Boennelycke, M., Amtoft, A. G., Christensen, C. B., Wetterstroem, V., Loft, A., & Noettrup, T. J. (2022). Disseminated Primary Uterine Hepatoid Adenocarcinoma with α-Fetoprotein Production Demonstrated on 18F-FDG PET/CT. Diagnostics, 12(6), 1447. https://doi.org/10.3390/diagnostics12061447

