Utility of Scanning Electron Microscopy Elemental Analysis Using the ‘NanoSuit’ Correlative Light and Electron Microscopy Method in the Diagnosis of Lanthanum Phosphate Deposition in the Esophagogastroduodenal Mucosa
Abstract
1. Introduction
2. Materials and Methods
2.1. Patient Collection
2.2. NanoSuit-CLEM Method Combined with SEM-EDS
2.3. Statistical Analysis
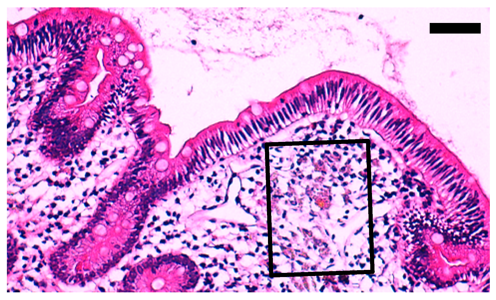
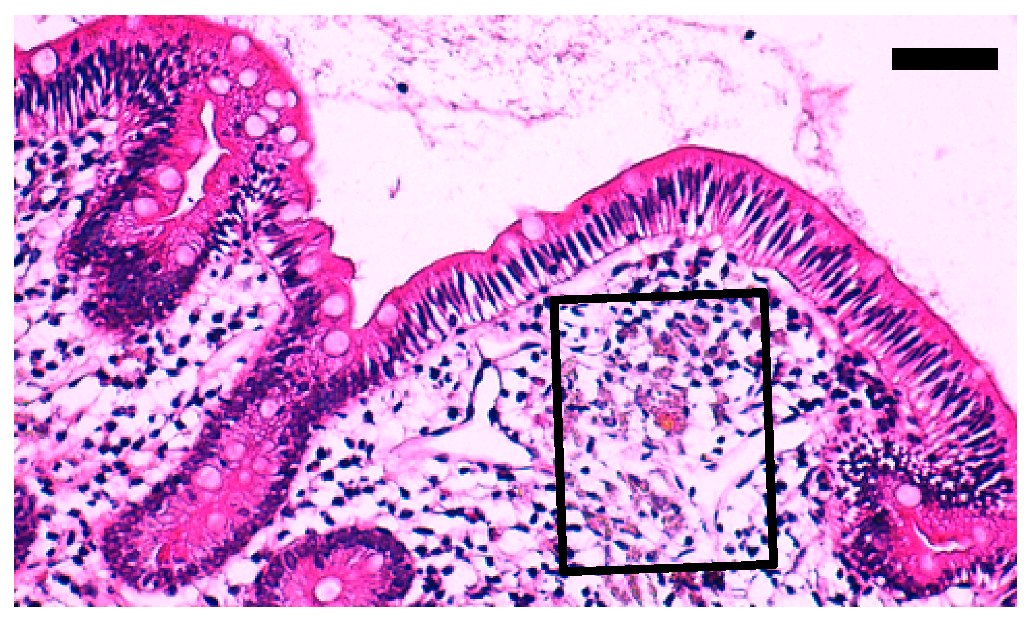
3. Results
3.1. NanoSuit-CLEM Method Combined with SEM-EDS Is Useful for the Diagnosis of Lanthanum Phosphate Deposition in the H&E-Stained Glass Slides
3.2. Detection of Lanthanum Phosphate Deposition in the Esophagus
3.3. Restoring of the Slides Used for the NanoSuit-CLEM Method Combined with EDS
4. Discussion
Supplementary Materials
Author Contributions
Funding
Conflicts of Interest
References
- Jamal, S.A.; Vandermeer, B.; Raggi, P.; Mendelssohn, D.C.; Chatterley, T.; Dorgan, M.; Lok, C.E.; Fitchett, D.; Tsuyuki, R.T. Effect of calcium-based versus non-calcium-based phosphate binders on mortality in patients with chronic kidney disease: An updated systematic review and meta-analysis. Lancet 2013, 382, 1268–1277. [Google Scholar] [CrossRef]
- Pennick, M.; Dennis, K.; Damment, S.J. Absolute bioavailability and disposition of lanthanum in healthy human subjects administered lanthanum carbonate. J. Clin. Pharmacol. 2006, 46, 738–746. [Google Scholar] [CrossRef] [PubMed]
- Makino, M.; Kawaguchi, K.; Shimojo, H.; Nakamura, H.; Nagasawa, M.; Kodama, R. Extensive lanthanum deposition in the gastric mucosa: The first histopathological report. Pathol. Int. 2015, 65, 33–37. [Google Scholar] [CrossRef] [PubMed]
- Haratake, J.; Yasunaga, C.; Ootani, A.; Shimajiri, S.; Matsuyama, A.; Hisaoka, M. Peculiar histiocytic lesions with massive lanthanum deposition in dialysis patients treated with lanthanum carbonate. Am. J. Surg. Pathol. 2015, 39, 767–771. [Google Scholar] [CrossRef] [PubMed]
- Tonooka, A.; Uda, S.; Tanaka, H.; Yao, A.; Uekusa, T. Possibility of lanthanum absorption in the stomach. Clin. Kidney J. 2015, 8, 572–575. [Google Scholar] [CrossRef] [PubMed]
- Goto, K.; Ogawa, K. Lanthanum Deposition Is Frequently Observed in the Gastric Mucosa of Dialysis Patients With Lanthanum Carbonate Therapy: A Clinicopathologic Study of 13 Cases, Including 1 Case of Lanthanum Granuloma in the Colon and 2 Nongranulomatous Gastric Cases. Int. J. Surg. Pathol. 2016, 24, 89–92. [Google Scholar] [CrossRef]
- Yabuki, K.; Shiba, E.; Harada, H.; Uchihashi, K.; Matsuyama, A.; Haratake, J.; Hisaoka, M. Lanthanum deposition in the gastrointestinal mucosa and regional lymph nodes in dialysis patients: Analysis of surgically excised specimens and review of the literature. Pathol. Res. Pract. 2016, 212, 919–926. [Google Scholar] [CrossRef]
- Ban, S.; Suzuki, S.; Kubota, K.; Ohshima, S.; Satoh, H.; Imada, H.; Ueda, Y. Gastric mucosal status susceptible to lanthanum deposition in patients treated with dialysis and lanthanum carbonate. Ann. Diagn. Pathol. 2017, 26, 6–9. [Google Scholar] [CrossRef]
- Hoda, R.S.; Sanyal, S.; Abraham, J.L.; Everett, J.M.; Hundemer, G.L.; Yee, E.; Lauwers, G.Y.; Tolkoff-Rubin, N.; Misdraji, J. Lanthanum deposition from oral lanthanum carbonate in the upper gastrointestinal tract. Histopathology 2017, 70, 1072–1078. [Google Scholar] [CrossRef]
- Murakami, N.; Yoshioka, M.; Iwamuro, M.; Nasu, J.; Nose, S.; Shiode, J.; Okada, H.; Yamamoto, K. Clinical Characteristics of Seven Patients with Lanthanum Phosphate Deposition in the Stomach. Intern. Med. 2017, 56, 2089–2095. [Google Scholar] [CrossRef]
- Shitomi, Y.; Nishida, H.; Kusaba, T.; Daa, T.; Yano, S.; Arakane, M.; Kondo, Y.; Nagai, T.; Abe, T.; Gamachi, A.; et al. Gastric lanthanosis (lanthanum deposition) in dialysis patients treated with lanthanum carbonate. Pathol. Int. 2017, 67, 389–397. [Google Scholar] [CrossRef] [PubMed]
- Hattori, K.; Maeda, T.; Nishida, S.; Imanishi, M.; Sakaguchi, M.; Amari, Y.; Moriya, T.; Hirose, Y. Correlation of lanthanum dosage with lanthanum deposition in the gastroduodenal mucosa of dialysis patients. Pathol. Int. 2017, 67, 447–452. [Google Scholar] [CrossRef] [PubMed]
- Iwamuro, M.; Urata, H.; Tanaka, T.; Kawano, S.; Kawahara, Y.; Kimoto, K.; Okada, H. Lanthanum deposition corresponds to white lesions in the stomach. Pathol. Res. Pract. 2018, 214, 934–939. [Google Scholar] [CrossRef] [PubMed]
- Yabuki, K.; Haratake, J.; Tsuda, Y.; Shiba, E.; Harada, H.; Yorita, K.; Uchihashi, K.; Matsuyama, A.; Hirata, K.; Hisaoka, M. Lanthanum-Induced Mucosal Alterations in the Stomach (Lanthanum Gastropathy): A Comparative Study Using an Animal Model. Biol. Trace Elem. Res. 2018, 185, 36–47. [Google Scholar] [CrossRef]
- Tabuchi, M.; Takeshima, F.; Akazawa, Y.; Nakao, K. Early Gastric Cancer with Diffuse Lanthanum Deposition. Intern. Med. 2019, 58, 447–448. [Google Scholar] [CrossRef]
- U.S. National Library of Medicine HSDB database. Osmium Tetroxide. Available online: https://toxnet.nlm.nih.gov/cgi-bin/sis/search2/r?dbs+hsdb:@term+@DOCNO+719 (accessed on 24 September 2019).
- Takaku, Y.; Suzuki, H.; Ohta, I.; Ishii, D.; Muranaka, Y.; Shimomura, M.; Hariyama, T. A thin polymer membrane, nano-suit, enhancing survival across the continuum between air and high vacuum. Proc. Natl. Acad. Sci. USA 2013, 110, 7631–7635. [Google Scholar] [CrossRef]
- Takaku, Y.; Suzuki, H.; Kawasaki, H.; Ohta, I.; Ishii, D.; Hirakawa, S.; Tsutsui, T.; Matsumoto, H.; Takehara, S.; Nakane, C.; et al. A modified ‘NanoSuit®’ preserves wet samples in high vacuum: Direct observations on cells and tissues in field-emission scanning electron microscopy. R. Soc. Open Sci. 2017, 4, 160887. [Google Scholar] [CrossRef]
- Kawasaki, H.; Itoh, T.; Takaku, Y.; Suzuki, H.; Kosugi, I.; Meguro, S.; Iwashita, T.; Hariyama, T. The NanoSuit method: A novel histological approach for examining paraffin sections in a nondestructive manner by correlative light and electron microscopy. Lab. Invest. 2020, 100, 161–273. [Google Scholar] [CrossRef]
- Cheng, C.L.; Tan, P.H. Digital pathology in the diagnostic setting: Beyond technology into best practice and service management. J. Clin. Pathol. 2017, 70, 454–457. [Google Scholar] [CrossRef]
- Scimeca, M.; Bischetti, S.; Lamsira, H.K.; Bonfiglio, R.; Bonanno, E. Energy Dispersive X-ray (EDX) microanalysis: A powerful tool in biomedical research and diagnosis. Eur. J. Histochem. 2018, 62, 2841. [Google Scholar] [CrossRef]
- Pretorius, E. The use of a desktop scanning electron microscope as a diagnostic tool in studying fibrin networks of thrombo-embolic ischemic stroke. Ultrastruct. Pathol. 2011, 35, 245–250. [Google Scholar] [CrossRef] [PubMed]
- Caruso, A.A.; Viola, V.; Del Prete, S.; Leo, S.; Marasco, D.; Fulgione, A.; Naviglio, D.; Gallo, M. Identification and Characterization of Nasal Polyposis and Mycoplasma Superinfection by Scanning Electron Microscopy and Nasal Cytology with Optical Microscopy: A Case Report. Diagnostics 2019, 9, 174. [Google Scholar] [CrossRef] [PubMed]





| Case No. | Sex | Age (Years) 1 | Deposited Organ 2 | Dialysis Vintage (Years) | Length of Lanthanum Carbonate Treatment (Years, Months) | Other Pathological Findings |
|---|---|---|---|---|---|---|
| 1 | Female | 68 | St | 20 | 5 y, 7 m | - |
| 2 | Male | 60 | St, Du | 32 | 3 y, 4 m | Gastric intestinal metaplasia |
| 3 | Male | 68 | St, Du | 4 | 2 y, 6 m | - |
| 4 | Male | 77 | Du | 7 | 2 y, 9 m | - |
| 5 | Male | 51 | Du | 7 | 1 y, 1 m | - |
| 6 | Male | 76 | St, Es | 21 | 5 y, 1 m | Gastric adenocarcinoma |
© 2019 by the authors. Licensee MDPI, Basel, Switzerland. This article is an open access article distributed under the terms and conditions of the Creative Commons Attribution (CC BY) license (http://creativecommons.org/licenses/by/4.0/).
Share and Cite
Shinmura, K.; Kawasaki, H.; Baba, S.; Ohta, I.; Kato, H.; Yasuda, H.; Yamada, S.; Misawa, K.; Sugimoto, K.; Osawa, S.; et al. Utility of Scanning Electron Microscopy Elemental Analysis Using the ‘NanoSuit’ Correlative Light and Electron Microscopy Method in the Diagnosis of Lanthanum Phosphate Deposition in the Esophagogastroduodenal Mucosa. Diagnostics 2020, 10, 1. https://doi.org/10.3390/diagnostics10010001
Shinmura K, Kawasaki H, Baba S, Ohta I, Kato H, Yasuda H, Yamada S, Misawa K, Sugimoto K, Osawa S, et al. Utility of Scanning Electron Microscopy Elemental Analysis Using the ‘NanoSuit’ Correlative Light and Electron Microscopy Method in the Diagnosis of Lanthanum Phosphate Deposition in the Esophagogastroduodenal Mucosa. Diagnostics. 2020; 10(1):1. https://doi.org/10.3390/diagnostics10010001
Chicago/Turabian StyleShinmura, Kazuya, Hideya Kawasaki, Satoshi Baba, Isao Ohta, Hisami Kato, Hideo Yasuda, Satoshi Yamada, Kiyoshi Misawa, Ken Sugimoto, Satoshi Osawa, and et al. 2020. "Utility of Scanning Electron Microscopy Elemental Analysis Using the ‘NanoSuit’ Correlative Light and Electron Microscopy Method in the Diagnosis of Lanthanum Phosphate Deposition in the Esophagogastroduodenal Mucosa" Diagnostics 10, no. 1: 1. https://doi.org/10.3390/diagnostics10010001
APA StyleShinmura, K., Kawasaki, H., Baba, S., Ohta, I., Kato, H., Yasuda, H., Yamada, S., Misawa, K., Sugimoto, K., Osawa, S., Sato, M., Hariyama, T., & Sugimura, H. (2020). Utility of Scanning Electron Microscopy Elemental Analysis Using the ‘NanoSuit’ Correlative Light and Electron Microscopy Method in the Diagnosis of Lanthanum Phosphate Deposition in the Esophagogastroduodenal Mucosa. Diagnostics, 10(1), 1. https://doi.org/10.3390/diagnostics10010001

