You are currently viewing a new version of our website. To view the old version click .
Polymers
  • Review
  • Open Access

13 April 2012

Hydrogels from Biopolymer Hybrid for Biomedical, Food, and Functional Food Applications

,
,
and
1
Eastern Regional Research Center, U.S. Department of Agriculture, 600 East Mermaid Lane, Wyndmoor, PA 19038, USA
2
Ben-Gurion University, Beer-Sheva, 84105, Israel
3
School of Medicine, Vanderbilt University, 2215 Garland Avenue, MRB IV 1035J, Nashville, TN 37232, USA
4
RCS Consulting, 213 Central Avenue, Half Moon Bay, CA 94019, USA
This article belongs to the Special Issue Selected Papers from the 3rd International Congress on Biohydrogels (Biohydrogels 2011)

Abstract

Hybrid hydrogels from biopolymers have been applied for various indications across a wide range of biomedical, pharmaceutical, and functional food industries. In particular, hybrid hydrogels synthesized from two biopolymers have attracted increasing attention. The inclusion of a second biopolymer strengthens the stability of resultant hydrogels and enriches its functionalities by bringing in new functional groups or optimizing the micro-environmental conditions for certain biological and biochemical processes. This article presents approaches that have been used by our groups to synthesize biopolymer hybrid hydrogels for effective uses for immunotherapy, tissue regeneration, food and functional food applications. The research has achieved some challenging results, such as stabilizing physical structure, increasing mucoadhesiveness, and the creation of an artificial extracellular matrix to aid in guiding tissue differentiation.

1. Introduction

Hydrogels are polymeric networks having high affinity for water, but are prevented from dissolving due to their chemically or physically cross-linked structure [1]. Hydrogels are prepared from macromolecules containing hydrophilic groups, such as -OH, -COOH, -SO3H, -CONH-, and -CONH2-, either embedded in or grafted to their polymeric back bones. Owing to the presence of hydrophilic groups and domains, hydrogels may absorb from an only fraction or up to thousands of times of their dry weight in water or physiological fluids [2]. When fully hydrated, some physical properties of hydrogels resemble those of living tissue and natural rubber. They are soft and smooth, and can rapidly recover to their original dimension from relatively small deformation. Furthermore, hydrogels possess low surface energy that facilitates their biocompatibility and minimizes protein and cell adhesion from surrounding tissues after implantation. The use of hydrogels is now considered ubiquitous across a wide range of biomedical, pharmaceutical, and functional food industries.
Hydrogels can be prepared from synthetic polymers, such as poly (N-isopropyl acrylamide) (pNiPAAM) and poly(hydroxyethyl methacrylate) (pHEMA) [1,3], or naturally occurring polymers, such as collagen (CLN) and alginate (AG) [1,4]. Hydrogels from synthetic polymers are attractive because they have precise chemical structure and can be designed at molecular level. This has resulted in the creation of a wide range of environmentally responsive hydrogels. But many of the synthetic hydrogels are not biodegradable and often induce local inflammation and toxicity from trace chemicals. Biohydrogels from plants or animal derived macromolecules, in general, are biodegradable, because they are susceptible to human enzymes. Of the many carbohydrate-based biopolymers, chitosan (CT), hyaluronate (HA), pectin (PN), heparin sulfate (HP), and AG have a long history of safe use, and are well documented for biocompatibility, biodegradability, and low toxicity.
Hydrogels can also be prepared from the hybrids of a synthetic polymer and a biopolymer, two different biopolymers, or two different synthetic polymers. By integrating one type of macromolecule with another, the new entities can be expected to:
  • better mimic the structure and functionality of a living tissue, or
  • complement with new functionality for enhanced performance, or
  • have a synergistic effect, or
  • improve stability or change the biodegradability profile.
Hybrid hydrogels from two biopolymers will be reviewed in this article with the focus on our research on drug delivery systems, tissue engineering, and food applications.

2. Alginate and Alginate/Chitosan

Alginate is a well known biopolymer used in biohydrogel construction for biomedical applications. Alginate is a linear polysaccharide derived from brown seaweed. The alginic acid family of linear 1→4-linked glycuronans are copolymers composed of β-D-mannopyranuronic acid (M) residues and α-L-gulupyranuronic acid residues (G) that are arranged in homopolymeric blocks (GG and MM) and heteropolymeric (GM) sequences in varying proportions and distribution patterns. Multivalent cations, such as calcium, magnesium, manganese, and aluminum are used for alginate cross-linking. The use of calcium cross-linked alginate beads for pancreatic islet cell encapsulation to produce insulin is considered the pioneering work in this field [2,5]. The coacervation of alginate with calcium ions to form a semipermeable membrane under mild conditions has demonstrated the effective and practical approach for vulnerable drug and cell encapsulation [6,7].
The major disadvantages to alginate/Ca++ systems are that (1) the gelation rate is hard to control to form a uniform structure; (2) the swelling degree, and thus the porosity of alginate beads is the function of solution ionic strength, solution pH, and the length of time in use, making it difficult to control the release kinetics of the encapsulated drugs; and (3) the beads degrade via a process involving the loss of multivalent ions into the surrounding medium [4,8,9]. Therefore, cross-linking with a second macromolecule has been adopted in attempt to precisely control the mechanical and swelling properties of alginate beads [10,11]. Although both the formation of complexes with macromolecules and coacervates with small inorganic cations are based on ionic interaction, the macromolecular complexes possess additional macromolecular chain physical entanglement properties that are much stronger than other secondary binding mechanisms, such as hydrogen bonding and van der Waals interactions. A group of second polymers, including D-glucono-δ-lactone, polyols, chitosan, and polycationic polymers, have been used to obtain alginate/Ca++ beads with a more even structure by altering the cross-linking process [8,12,13,14,15]. Among these polymers, chitosan has gained increased attention as a safe and active component in the preparation of drug delivery systems. Chitosan consists of repeating D-glucosamine and N-acetyl-D-glucosamine units, generated by the deacetylation of chitin, is a biodegradable polysaccharide that is essentially non-toxic in animals and humans, with an LD50 in rats of 16 g/kg [16]. The hybrid hydrogels developed from alginate, calcium, and chitosan (AG/Ca++/CT) can provide a more stable structure with consistent porosity. The most recent example is the use of AG/Ca++/CT for human pluripotent stem cell (hPSC) self-renewal [17]. The engineered 3-D microfiber system was reported to be capable of efficiently supporting long-term hPSCs self-renewal.
In addition, the cross-linking density of alginate/Ca++ beads can be controlled by the use of a robot-operated formulation apparatus modified from an Eppendorf epMotion 5070 (Figure 1). Since the reaction time is pre-programmed and all drops have same volume, the resultant particles possess an even size, consistent mechanical properties, porosity, mass permeability, and degradability.
Figure 1. Apparatus used for AG/Ca++ bead preparation. The robot-operated Eppendorf pipet takes a fraction of AG solutions (1) and drops them into calcium chloride; (2) under magnetic stirring. At the end of designed reaction time, the calcium chloride solution is pumped out and a washing solution or a solution containing the second polymer is pumped in.
The AG/Ca++/CT hybrid hydrogels have also demonstrated great potential in vaccine delivery [18]. The in vivo immunological activity of the AG/Ca++/CT beads loaded with ricin toxoid vaccine has been demonstrated in healthy adult mice administered a single dose of vaccine containing beads. Solution vaccine and blank phosphate saline buffer were used as controls. Six weeks post immunization the mice were exposed to ricin by means of an aerosol spray at the dose of 60 μg/kg whole body. All control non-immunized mice died 4 days after exposure to ricin; 16% of mice immunized with solution vaccine and 95% of mice immunized with encapsulated vaccine were alive 4 weeks after challenge (Figure 2).
Figure 2. Percentage (%) of rat survival immunized with RT encapsulated (triangle) or in PBS for 1 dose (square) and 3 dose (circle) [18].
In other studies, the AG/Ca++/CT beads were used for the sequestration and sustained release of interlukin-2 (IL-2) [15,18], and as a carrier of concanavalin-A (Con-A) immobilization [19]. Both the encapsulated interlukin-2 and immobilized Con-A were shown to enhance the activity of cytotoxic T-lymphocytes (CTL) against tumor cells. CTL have been widely investigated as effective killer cells for cancer immunotherapy. CTL can be induced by co-culturing tumor cells and peripheral immune cells, such as peripheral blood mononuclear monocytes, in the presence of IL-2. However, due to the short half-life of IL-2, high dose and multiple injections of IL-2 are required, which is inconvenient and is associated with serious side-effects. With the use of AG/Ca++/CT beads, the tumor-specific lymphocytes, CTLs, were induced in response to the sustained release of IL-2 pre-encapsulated in the beads. In contrast, only one half of the level of induction was achieved by the daily addition of identical levels of free IL-2. The CTLs induced by IL-2 released from the beads attacked and solubilized the target tumor cells with the same specificity as those induced by free-IL-2. These results indicate that controlled delivery of IL-2 encapsulated in alginate/chitosan beads is more efficient. The CTL cytokine production can also be induced from peripheral blood mononuclear cells by stimulation with the plant-derived lectin, concanavalin A (Con-A). When Con-A was immobilized on carrier beads, a continuous growth and enhancement of tumor-specific CTL activity was stimulated without the direct toxic effect usually observed with free Con-A. The enhanced expression of the surface adhesion molecule, CD11b, observed in these cultures is one mechanism whereby a strong and more sustained contact of the CTLs with tumor cells could result in more efficient tumor cell cytotoxicity [19].
Although alginate lacks a specific cell-recognition site, the introduction of specific cell adhesive motifs into the structure of alginate-based biohydrogels imparts the ability to react specifically with mammalian cells or function as an artificial extracellular matrix to promote cell adhesion, proliferation and guide cell differentiation. This further broadens the applications of alginate biohydrogels in regenerative medicine into areas such as wound healing, bone and cartilage regeneration, construction of blood vessels, and many others [10,20,21,22,23,24,25,26]. The injection of in situ-forming, bioabsorbable alginate hydrogels has been shown to be an effective acellular strategy that prevents adverse cardiac remodeling and dysfunction in new and old myocardial infarction in rats [27].

3. Pectin and Pectin/Zein

Pectin is a plant cell wall polysaccharide, heterogeneous with respect to its chemical structure. The backbone of pectin consists of “smooth” regions that are homopolymeric partially methylated poly-α-(1→4)-D-galacturonic acid residues (galacturonan), and “hairy” regions that are heteropolymeric α-(1→2)-L-rhamnosy-α-(1→4)-D-galacturonosyl sections containing branch-points with mostly neutral side chains (1–20 residues) of mainly L-arabinose and D-galactose (rhamnogalacturonan I). Pectins may also contain rhamnogalacturonan II with sidechains containing other residues such as D-xylose, L-fucose, D-glucuronic acid, 3-deoxy-D-manno-2-octulosonic acid, D-apiose and 3-deoxy-D-lyxo-2-heptulosonic acid attached to poly-α-(1→4)-D-galacturonic acid regions. Pectin molecules do not adopt a straight conformation in cell walls or in technical formulations, their conformation is always extended and curved with a large amount of flexibility. The carboxylate groups tend to expand the structure of pectin and the methylation of these groups tends to make the molecules more hydrophobic, which has different effects on the structure of surrounding water [28].
In the food industry, pectin is used as gelling and thickening reagent. The inclusion of pectin in gel-like products achieves the desired firmness and alters the texture of the gels. For these reasons, pectin has been used in foods, cosmetics, and environmental conditioning applications to modify the release of fragrance compounds and enhance the perception of flavours [29,30].
Similar to alginate, pectins with a low degree of esterification (DE) can react with calcium ions to form coacervates. This type of complex has been studied for the controlled release of organic chemicals, volatiles, or proteins [31,32]. For example, by taking a non-polar volatile sample of citronella, the chelating of calcium ion and the carboxyl groups in the macromolecules were able to enhance the hydrophobic interaction between the pectin chains and the citronella, thereby providing a physical barrier that inhibited citronella diffusion [32]. The incorporation of the coacervates in an additional pectin gel further inhibited citronella release.
In contrast to alginate, pectin contains branches rich in galactose residues, which serve as potential ligands for the interaction with cell membrane receptors. Modified cationic pectins were able to interact with DNA to form a compact transportable unit that is biocompatible and biodegradable, and demonstrated high transfection efficiency. Pectin’s galactose residues contributes to DNA transfection, suggesting that modified pectin is a promising non-viral carrier for targeted gene delivery to cells with galactose-binding lectins on their surface [33].
Like other hydrophilic polymers, pectin-derived hydrogels have mucoadhesive and bioadhesive characteristics. Pectin readily re-associates or aggregates to form networks, and interacts with proteins and other polysaccharides via ionic linkage, hydrogen bonding, or hydrophobic interactions that enhance drug residence time and tissue permeability [34]. We have compared the binding efficiency of porcine intestinal mucin to three pectins: P-25, the pectin with 25% DE; P-94, the pectin with the DE of 94; and P-N, the pectin carrying side-chain primary amine groups derived from P-25. The mixtures of the three pectins with mucin were examined by rheological analysis. The rheological synergism parameter, storage modulus G” and loss modulus G’ were calculated as the differences between the actual viscoelastic values of the pectins/mucin mixtures and the sum of the values of the individual components:
   ∆G” = G”(mixture) − [G”(pectin) + G”(mucin)] and ∆G’ = G’(mixture) − [G’(pectin) + G’(mucin)]
The positive rheological synergism values, in the order of P-N > P-25 > P-94, is evidence that dispersion of pectin reinforced the mucin gel structure. In particular, hydrogen bonding and ionic interactions of pectins form a rigid gel with mucus glycoproteins. The results were confirmed by measuring the fluorescent intensity using confocal laser microscopy (Figure 3). The peak position of P-94 and P-N was near the lumen, but the P-N produced much higher fluorescent intensity than the P-94. The low DE pectin, P-25, showed the highest activity in penetrating into the mucin. The high DE pectin remaining in a hydrocolloid state is easily entrapped in the mucus to form complex gels that lack mobility to penetrate deeply into the mucus layer. In regard to the P-N, it is more susceptible to ionic binding, thus the P-N easily forms the strongest network with mucin upon contact in comparison with the others [34]. This work demonstrates how residence time can be altered for pectin-derived drug carriers for colon-specific drug delivery.
Figure 3. Fluorescent intensity of pectin formulations extending from the surface of the lumen to deep within the wall made through the stacks of optical sections. P-N (solid line), P-25 (broken line) and P-94 (dotted line) [34].
Ingested pectin remains intact in the upper gastrointestinal tract and is then degraded by colonic microflora. The composition of colonic microflora remains relatively consistent across a diverse human population, making the potential use of pectin for colon-specific drug delivery very promising. Pectin and zein complexes were designed for this purpose. Zein is a major storage protein of corn kernels. The hydrophobic nature of zein and its capability to adhere to or coat other surfaces have attracted several industrial applications [35]. Pectin/zein hybrid hydrogels were prepared by addition of pectin into 85% ethanol containing zein and calcium chloride [36]. The ionic chelation of pectin and calcium is much faster than the macromolecular interactions between the protein and the polysaccharide. As revealed by fluorescence microscopy, pectin/Ca++ formed the main architecture; zein was mainly located around the periphery of the structure, but also migrated into the beads. The migrated protein chains were either bound to the pectin/Ca++ networks or aligned as densely packed fibers. The hydrogel beads did not swell in physiological environments, but hydrolyzed in the presence of pectinase. By altering the ratio of pectin to zein and the mass density, orally administrated pectin/zein beads can be delivered at the colon site or at both the small intestine and the colon sites (Figure 4). The beads were used to encapsulate protein p40, which was derived from a probiotic bacterium, Lactobacillus rhamnosus GG. Administration of p40-containing beads to mice specifically delivered p40 to the colon site, which activated epidermal growth factor receptor (EGFR) in colon epithelial cells, reduced intestinal epithelial apoptosis and disruption of barrier function in the colon epithelium, and prevented dextran sulfate sodium-induced intestinal injury and acute colitis, as well as oxazolone-induced Th2 cytokine-derived chronic colitis in C57BL/6 mice (Figure 5a–c). These results provide evidence that the administration of pectin/Ca++/zein containing p40 has beneficial effect on the prevention and treatment of intestinal inflammatory disorders [37].
Figure 4. Detection of the capacity of the beads to deliver protein to the colon. Mice were gavaged with beads containing FITC-labeled albumin. After 5 h, mice were sacrificed and colon was dissected and observed using fluorescence microscopy for detecting FITC-albumin delivery to the colon. Green: FITC-labeled albumin. #1. pectin/zein in 85% alcohol; #2. Dried pectin/zein sample; #3. dried pectin/calcium beads; #4. dried pectin/calcium beads coated with poly-lysine; #5. pectin/calcium beads coated with poly-lysine prepared in different conditions.
Taking advantage of the film forming property of pectin, when used in combination with various food grade proteins, such as gelatin and soybean proteins, pectin forms edible hydrogels that are used for foods packaging and wrapping. Bacteriocidins, such as nisin, or other antibacterial actives such as allyl isothiocyanate can also be pre-incorporated into gels. The resultant biopolymer hybrids have been shown to prolong the shelf-life and protect overall food quality [38,39,40].
Figure 5. Delivery of p40 to the colon using pectin/zein hydrogel beads activates EGFR in colon epithelial cells. Pectin/zein beads containing p40 or FITC-labeled p40 (10 μg p40 in A and B, or at the indicated dose in (C), or pectin/zein beads only without p40 (control) were administered to wt C57BL/6 mice by gavage. Mice were sacrificed 4 h after gavage. Paraffin-embedded tissue sections were prepared for immunohistochemistry to detect p40 delivery (green staining) (A), EGFR activation using a rabbit anti-EGFR-phospho (P) Tyr1068 antibody and FITC-conjugated secondary antibody (Green staining) (B), an epithelial cell marker using a mouse anti-E-cadherin antibody and Cy3-conjugated secondary antibody (red staining) (A-B), and nuclei using DAPI staining (blue staining) (A-B). Green arrow in (A) indicating FITC-p40 detected in the intestine. The white arrow in (B) indicates EGFR-Tyr1068 phosphorylation in cells staining positively for E-cadherin. Colon epithelial cells were isolated for Western blot analysis to detect EGFR and Akt activation [37].

4. Hyaluronate and Hyaluronate/Collagen

Hyaluronic acid or its sodium salt, hyaluronate (HA) consists of alternating residues of D-glucuronic acid and N-acetyl-D-glucosamine. HA is a water soluble polymer naturally found in nearly all tissues, especially in the extracellular matrix, the eyes and synovial fluid of joints [41]. HA is a highly hygroscopic polysaccharide; hyaluronate gels typically possess low mechanical properties. To be used as implants for tissue engineering applications, such as artificial skin, would healing, facial intradermal implants, cartilage repair, and soft tissue augmentation [42,43,44], stable HA hydrogels are required. This can be achieved by covalent cross-linking the polysaccharide with various multifunctional reagents, such as a group of epoxides, tresyl chloride, divinyl sulfone, or hydrazide derivatives [45,46], or to form hybrids with other biopolymer, such as collagen (COL; type I, II), and mineralized collagen. The resultant hybrid hydrogels have been shown to possess some functional properties of the extracellular matrix of human tissues [47,48,49].
Engineered HA/COL matrices have shown great potential in bone and cartilage repair [47,48,49,50,51,52,53]. The bio-polymer/polymer hybrids were prepared by a ring-opening oxidization reaction resulting in HA with active aldehyde groups attached to the sugar chains, which were then reacted with COL under conditions so that the covalent bonds were formed between the two biopolymers. In this case, HA functions as both a bioactive component and chemical cross-linker, excluding the use of traditional organic chemicals [53]. The amount of aldehyde groups produced in this manner can be stoichiometrically controlled. The ratio of HA to COL can be varied to change the physical properties of the matrices. A higher proportion of COL resulted in a more porous sponge-like matrix that is more elastic. A higher proportion of HA resulted in a more gel-like structure that is more viscous. By using type I COL or mineralized type I COL, the resultant biopolymer hybrid hydrogels are preferred for bone growth; whereas, the matrices from type II COL and HA are more suitable for cartilage growth. Evaluation of HA and type I COL matrices in a rat cranial defect model showed excellent biocompatibility and osteoconductivity. The implanted hydrogel matrices were completely integrated into the new reparative bone. More bony healing was observed in HA/COL implants than in glutaraldehyde cross-linked COL, indicating the HA presence enhanced new bone formation [52].
Therapeutic agents and growth factors, such as bone morphogenetic protein (BMP), or recombinant human growth and differentiation factor-5 (rhGDF-5)- a potent member of the BMP family, or fibroblast growth factor (FGF), and platelet-derived growth factor (PDGF) can be loaded into the HA/COL matrices to augment bone and cartilage growth, or for soft tissue repair. A series of in vitro assays and in vivo examinations of HA/COL loaded with GDF-5 implants have shown a dose-depended increase in alkaline phosphatase activity and chondrogenesis [49,54,55]. The in vitro response to rhGDF-5 resulted in the formation of chondrogenic nodules in fetal rat calvarial cells cultured in the context of HA/COL extracellular matrices. Matrices loaded with rhGDF-5 induced ectopic cartilaginous and osseous tissue when implanted into subcutaneous or intramuscular sites.
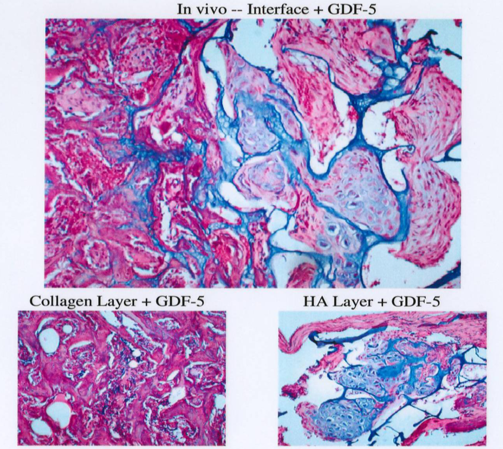
The biopolymer hybrid hydrogels can be constructed as to have a bilayered structure, where each layers has its own chemical composition, porosity, and biological activity. The two layers can mechanically interpenetrate with each other; or be chemically cross-linked together [56,57,58,59,60]. Rat progenitor cells cultured on HA/COL bilayer matrices demonstrated that the differentiation of the cells could be controlled through alterations in matrix composition and structure. This was supported by the in vivo experiment in a rat intramuscular model, where distinct tissues grew in different layers of the matrix. This holds promise for tissue repair indications, particularly for defects that involve more than one type of tissue (Figure 6).
Figure 6. HA/COL Bilayered matrix was loaded with rhGDF-5 and implanted in rats intramuscularly. Two weeks post implantation, rats were sacrificed, and the implants with surrounding tissues were examined for histology. The top is the interface between the two layers, the HA layer is on the left side, the COL layer is on the right side. The COL layer induces a significant amount of bone formation and a trace of cartilage, whereas cartilage and young bone are predominated in the HA layer [60].
Using the same approach, HA and heparin conjugate gels were synthesized and used as a FGF-2 carrier that delivered the growth factor at damaged tissue site. HA was modified to possess primary amine groups. HP was modified to carry active aldehyde groups. HA/HP conjugate hydrogels were obtained by cross-linking the two modified biopolymers via either imine bonding or more stable amine linkage, depending on the reaction conditions. The hybrid hydrogels retained the viscoelastic properties of free HA, and could be injected to damaged tissue sites. The hybrid also functions as a depot of FGF-2 via HP specific FGF-2 binding sites [47,61]. In addition to the release from the hybrid gels in free form, FGF could also be released in the form of HP/FGF-2 complex. The sulfated glycosaminoglycan segments could be released from imine-bonded gels via the hydrolysis of the reversible imine bonds. HP released from the amine-bonded gels requires the degradation of HA backbone that may occur by enzymatic hydrolysis or hydroxyl radical attack, which might be generated at sites of inflammation. Thus, there are several parameters that contributed to the release of FGF-2 from the hydrogels, such as the viscosity of the formulations, the dissociation of FGF from the HP binding sites and the deformation of the gels.
By classical chemistry, cell adhesive RGD containing peptides can be immobilized on the HA molecular chains, and the HA solutions frozen and lyophilized to form a 3-D, sponge-like structure. The RGD peptide is an oligopeptide derived from proteins such as fibronectin, laminin, or collagen, and has demonstrated excellent properties in stimulating cell adhesion and cell proliferation. HA sponges with immobilized RGD containing peptides are useful in aiding wound healing by providing a temporary matrix for skin regeneration. Testing the matrices in guinea pigs full thickness wound models, fibroblast ingrowth into the matrices was observed at approximately 4–5 days. No inflammatory reaction occurred throughout the matrices [45].

5. Conclusions

Research in the area of biohydrogels for drug delivery, tissue engineering, and food applications has been well established over the past decade. In particular, hybrid hydrogels synthesized from two biopolymers have attracted increasing attention. The inclusion of a second biopolymer strengthens the stability of resultant hydrogels and enriches its functionalities by bringing in new functional groups or optimizing the micro-environmental conditions for certain biological and biochemical processes. The above examples present some approaches that have been used by our groups to synthesize biopolymer hybrid hydrogels for effective uses for immunotherapy, tissue regeneration, food and functional food applications. The research has achieved some challenging results, such as stabilizing physical structure, increasing mucoadhesiveness, and the creation of an artificial extracellular matrix to aid in guiding tissue differentiation. We expect that future developments of biopolymer hybrid hydrogels will be even more case-specific. Each type of organic entity, either those to be encapsulated or those to be targeted, has its own chemical, physical, and biological features. Biohydrogels should be able to meet the sophisticated demands and special requirements across a wide range of uses.

References

  1. Peppas, N.A.; Hilt, J.Z.; Khademhosseini, A.; Langer, R. Hydrogels in biology and medicine: from molecular principles to bionanotechnology. Adv. Mater. 2006, 18, 1345–1360. [Google Scholar] [CrossRef]
  2. Hoffman, A.S. Hydrogels for biomedical applications. Adv. Drug Deliv. Rev. 2002, 43, 3–12. [Google Scholar] [CrossRef]
  3. Klouda, L.; Mikos, A.G. Thermoresponsive hydrogels in biomedical applications. Eur. J. Pharm. Biopharm. 2008, 68, 34–45. [Google Scholar] [CrossRef]
  4. Lee, K.Y.; Mooney, D. Hydrogels for tissue engineering. Chem. Rev. 2001, 101, 1869–1879. [Google Scholar] [CrossRef]
  5. Lim, F.; Sun, A.M. Microencapsulated islets as bioartificial endocrine pancreas. Science 1980, 210, 908–910. [Google Scholar]
  6. Vlierberghe, S.V.; Dubruel, P.; Schacht, E. Biopolymer-based hydrogels as scaffolds for tissue engineering applications: a review. Biomacromolecules 2011, 12, 1387–1408. [Google Scholar] [CrossRef]
  7. Hamidi, M.; Azadi, A.; Rafiei, P. Hydrogel nanoparticles in drug delivery. Adv. Drug Deliv. Rev. 2008, 60, 1638–1649. [Google Scholar] [CrossRef]
  8. Kuo, C.; Ma, P.X. Ionically crosslinked alginate hydrogels as scaffolds for tissue engineering: part 1. structure, gelation rate and mechanical properties. Biomaterials 2001, 22, 511–521. [Google Scholar] [CrossRef]
  9. Liu, L.S.; Liu, S.-Q.; Ng, S.Y.; Froix, M.; Ohno, T.; Heller, J. Controlled release of interleukin-2 for tumour immunotherapy using alginate/chitosan porous microspheres. J. Control. Release 1997, 43, 65–74. [Google Scholar] [CrossRef]
  10. Lee, K.Y.; Rowley, J.A.; Eiselt, P.; Moy, E.M.; Bouhadir, K.H.; Mooney, D.J. Controlling mechanical and swelling properties of alginates hydrogels independently by cross-linking type and cross-linking density. Macromolecules 2000, 33, 4291–4297. [Google Scholar]
  11. Bouhadir, K.H.; Hausman, D.S.; Mooney, D.J. Synthesis of cross-linked poly(aldehyde-guluronate) hydrogels. Polymer 1999, 40, 3575–3584. [Google Scholar] [CrossRef]
  12. Baldwin, A.D.; Kiick, K.L. Polysaccharide-modified synthetic polymeric biomaterials. Biopolymers 2010, 94, 128–140. [Google Scholar] [CrossRef]
  13. Sundar, S.; Kundu, J.; Kundu, S.C. Biopolymeric nanoparticles. Sci. Technol. Adv. Mater. 2010, 11, 10–14. [Google Scholar]
  14. Abbah, S.A.; Lu, W.W.; Chang, D.; Cheung, K.M.C.; Liu, W.G.; Zhao, F. Osteogenic behavior of alginate encapsulated bone marrows stromal cells: an in vitro study. J. Mater. Sci. Mater. Med. 2008, 19, 2113–2119. [Google Scholar] [CrossRef]
  15. Liu, L.S.; Froix, M.; Heller, J.; Ng, S.Y. Bioerodible porous compositions. US Patent 6,238,705, 29 May 2001. [Google Scholar]
  16. Mao, S.; Sun, W.; Kissel, T. Chitosan-based formulations for delivery of DNA and siRNA. Adv. Drug Deliv. Rev. 2010, 62, 12–27. [Google Scholar] [CrossRef]
  17. Lu, H.F.; Narayanan, K.; Lim, S.-X.; Gao, S.; Leong, M.F.; Wan, A.C. A 3D microfibrous scaffold for long-term human pluripotent stem cell self-renewal under chemically defined conditions. Biomaterials 2012, 33, 2419–2430. [Google Scholar] [CrossRef]
  18. Liu, L.S.; Froix, M.; Heller, J.; Ng, S.Y. Bioerodible porous compositions. US Patent 6,090,344, 1 August 2000. [Google Scholar]
  19. Liu, S.-Q.; Liu, L.S.; Ohno, T. Growth stimulation of tumor-specific cytotoxic T lymphocytes on concanavalin A-immobilized carrier beads. Cytotechnology 1998, 26, 13–21. [Google Scholar]
  20. Chou, A.I.; Akintoye, S.O.; Nicoll, S.B. Photo-crosslinked alginate hydrogels support enhanced matrix accumulation by nucleus pulposus cells in vivo. Osteoarthr. Cartilage 2009, 17, 1377–1384. [Google Scholar] [CrossRef]
  21. Li, X.; Liu, T.; Song, K.; Yao, L.; Ge, D.; Bao, C. Culture of neutral stern cells in calcium alginate beads. Biotechnol. Prog. 2006, 22, 1683–1689. [Google Scholar]
  22. Rowley, J.A.; Madlambayan, G.; Mooney, D.J. Alginate hydrogels as synthetic extracellular matrix materials. Biomaterials 1999, 20, 45–53. [Google Scholar] [CrossRef]
  23. August, A.D.; Kong, H.J.; Mooney, D.J. Alginate hydrogels as biomaterials. Macromol. Biosci. 2006, 8, 623–633. [Google Scholar]
  24. Dvir-Ginzberg, M.; Elkayam, T.; Cohen, S. Induced differentiation and maturation of newborn liver cells into functional hepatic tissue in macroporous alginate scaffolds. FASEB J. 2008, 22, 1440–1449. [Google Scholar] [CrossRef]
  25. Fuji, T.; Anada, T.; Honda, Y.; Koike, H.; Kamakura, S.; Sasaki, H.; Suzuki, Q. Octacalcium phosphate-precipitated alginate scaffold for bone regeneration. Tissue Eng. A 2009, 15, 3525–3535. [Google Scholar] [CrossRef]
  26. Maquire, T.; Davidovich, A.E.; Wallenstein, E.J.; Novik, E.; Sharma, N.; Pedersen, H. Control of hepatic differentiation via cellular aggregation in an alginate microenvironment. Biotechnol. Bioeng. 2007, 98, 631–644. [Google Scholar] [CrossRef]
  27. Landa, N.; Miller, L.; Feinberg, M.; Holbova, R.; Shachar, M.; Freeman, I.; Cohen, S. Effect of injectable alginate implant on cardiac remodeling and function after recent and old infarcts in rat. Circulation 2008, 117, 1388–1396. [Google Scholar] [CrossRef]
  28. Schols, H.A.; Voragen, A.G.J. Pectin structure. In Pectin and Pectinase; Visser, J., Voragen, A.G.J., Eds.; Elsevier Science: Amsterdam, The Netherlands, 1996; pp. 3–19. [Google Scholar]
  29. Yapo, B.M. Pectic substances: from simple polysaccharides to complex pectins—a new hypothetical model. Carbohydr. Polym. 2011, 86, 373–385. [Google Scholar] [CrossRef]
  30. Markov, P.A.; Popov, S.V.; Nikitina, I.R.; Ovodova, R.G.; Ovodov, Y.S. Anti-Inflammatory Activity of Pectins and Their Galacturonan Backbone. Russ. J. Bioorg. Chem. 2011, 7, 817–821. [Google Scholar]
  31. Murarin, F.; Petrini, P.; Farè, S.; Tanzi, M.C. Structural properties of polysaccharide-based microcapsules for soft tissue repair. J. Mater. Sci. Mater. Med. 2010, 21, 363–375. [Google Scholar]
  32. Liu, L.S.; Chen, G.; Fishman, M.L.; Hicks, K.B. Pectin gel vehicles for controlled fragrance delivery. Drug Deliv. 2005, 12, 149–157. [Google Scholar] [CrossRef]
  33. Katav, T.; Liu, L.S.; Traitel, T.; Goldbart, R.; Wolfson, R.; Kost, J. Modified pectin-based carrier for gene delivery: cellular barriers in gene delivery course. J. Control. Release 2008, 130, 183–191. [Google Scholar] [CrossRef]
  34. Liu, L.S.; Fishman, M.L.; Hick, K.B.; Kende, M. Interaction of various pectin formulations with porcine colonic tissues. Biomaterials 2005, 26, 5907–5916. [Google Scholar] [CrossRef]
  35. Shukla, R.; Munir, C. Zein: the industrial protein from corn. Ind. Crop. Prod. 2001, 13, 171–192. [Google Scholar] [CrossRef]
  36. Liu, L.S.; Fishman, M.L.; Hick, K.B.; Kende, M.; Ruthel, G. Pectin/zein beads for potential colon-specific drug delivery: synthesis and in vitro evaluation. Drug Deliv. 2006, 13, 417–423. [Google Scholar] [CrossRef]
  37. Yan, F.; Cao, H.; Cover, T.L.; Washington, M.K.; Shi, Y.; Liu, L.S.; Chatuvedi, R.; Peek, R.M., Jr.; Wilson, K. . Colon-specific delivery of a probiotic-derived soluble protein ameliorates intestinal inflammation in mice through an EGFR-dependent mechanism. J. Clin. Invest. 2011, 121, 2242–2253. [Google Scholar] [CrossRef]
  38. Liu, L.S.; Liu, C.-K.; Fishman, M.L.; Hicks, K.B. Composite films from pectin and fish skin gelatin or soybean flour protein. J. Agric. Food Chem. 2007, 55, 2349–2355. [Google Scholar]
  39. Liu, L.S.; Jin, T.; Liu, C.-K.; Hicks, K.B.; Mohanty, A.K.; Bhardwaj, R.; Misra, M.A. A preliminary study on edible, antimicrobial extruded films made from pectin and other food hydrocolloids. J. Nat. Fiber 2008, 5, 366–382. [Google Scholar] [CrossRef]
  40. Farris, S.; Schaich, K.M.; Liu, L.S.; Cooke, P.H.; Piergiovanni, L.; Yam, K.L. Gelatin-pectin composite films from polyion-complex hydrogels. Trend Food Sci. Technol. 2009, 20, 316–332. [Google Scholar] [CrossRef]
  41. Rodén, L. Glycosaminoglycan. In The Biochemistry of Glycoproteins and Proteoglycans; Lennarz, W.Z., Ed.; Plenum Press: New York, NY, USA, 1981; pp. 275–286. [Google Scholar]
  42. Yeom, J.J.; Chang, S.; Park, J.K.; Je, J.H.; Yang, D.J.; Choi, S.K.; Shin, H.I.; Hahn, S.K. Artificial bone substitute of HGSB and hyaluronate hydrogels. Bioceram.Dev.Appl. 2011, 1, 162–166. [Google Scholar]
  43. Burdick, J.; Prestwich, G.D. Hyaluronic acid hydrogels for biomedical applications. Adv. Mater. 2011, 23, H41–H56. [Google Scholar] [CrossRef]
  44. Elia, R.; Fuegy, P.W.; VanDelden, A.; Firpo, M.A.; Prestwich, G.D.; Peattie, R.A. Stimulation of in vitro angiogenesis by in situ cross-linked, dual growth factor-loaded glycosaminoglycan hydrogels. Biomaterials 2010, 31, 4630–4638. [Google Scholar] [CrossRef]
  45. Dickerson, K.T.; Glass, J.; Liu, L.S.; Polarek, J.W. Immobilization of peptides to hyaluronate. US Patent 5,677,276, 14 October 1997. [Google Scholar]
  46. Vercruysse, K.P.; Marcecak, D.M.; Marcecak, J.F.; Prestwich, S.D. Synthesis and in vitro degradation of new polyvalent hydrazide cross-linked hydrogels of Hyaluronic acid. Bioconjugate Chem. 1997, 8, 686–694. [Google Scholar] [CrossRef]
  47. Liu, L.S.; Ng, C.-K.; Thompson, A.Y.; Poser, J.W.; Spiro, R.C. Hyaluronate-heparin conjugate gels for the delivery of basic fibroblast growth factor (FGF-2). J. Biomed. Mater. Res. 2002, 62, 128–135. [Google Scholar]
  48. Liu, L.S.; Spiro, R.C. Mineralized collagen/polysaccharide matrix for bone and cartilage repair. WIPO Patent 02/36147 A1, 10 May 3614. [Google Scholar]
  49. Spiro, R.C.; Liu, L.S.; Heidaran, M.A.; Thompson, A.T.; Ng, C.-K.; Poh, J.; Poser, J.W. Inductive activity of recombinant human growth and differentiation factor-5. Biochem. Soc. Trans. 2000, 28, 362–368. [Google Scholar] [CrossRef]
  50. Liu, L.S.; Spiro, R.C. Collagen-polysaccharide matrix for bone and cartilage repair. US Patent 5,866,165, 2 February 1999. [Google Scholar]
  51. Liu, L.S.; Spiro, R.C. Collagen-polysaccharide matrix for bone and cartilage repair. US Patent 5,972,385, 26 October 1999. [Google Scholar]
  52. Liu, L.S.; Thompson, A.Y.; Heidaran, M.A.; Poser, J.W.; Spiro, R.C. An osteoconductive collagen/hyaluronate matrix for bone regeneration. Biomaterials 1999, 20, 1097–1108. [Google Scholar] [CrossRef]
  53. Rehakova, M.; Bakos, D.; Vizarova, K.; Soldan, M.; Jurickova, M. Properties of collagen and Hyaluronic acid composite materials and their modification by chemical cross-linking. J. Biomed. Mater. Res. 1996, 30, 369–372. [Google Scholar] [CrossRef]
  54. Heidaran, M.A.; Spiro, R.C.; Daverman, R.; Liu, LS. Method of inducing or enhancing chondrogenesis with extracellular matrix containing GDF-5. US Patent 6,586,406, 1 July 2003. [Google Scholar]
  55. Heidaran, M.A.; Spiro, R.C.; Daverman, R.; Liu, L.S. Method of inducing or enhancing chondrogenesis with extracellular matrix containing GDF-5. US Patent 6,849,606, 1 February 2005. [Google Scholar]
  56. Spiro, R.C.; Liu, L.S. Collagen/polysaccharide bilayer matrix. US Patent 6,773,723, 10 August 2004. [Google Scholar]
  57. Spiro, R.C.; Liu, L.S. Collagen/polysaccharide bilayer matrix. US Patent 6,896,904, 24 May 2005. [Google Scholar]
  58. Spiro, R.C.; Liu, L.S. Collagen/polysaccharide bilayer matrix. US Patent 6,936,276, 30 August 2005. [Google Scholar]
  59. Spiro, R.C.; Liu, L.S. Collagen/polysaccharide bilayer matrix. US Patent 6,939,562, 6 September 2005. [Google Scholar]
  60. Liu, L.S.; Thompson, A.; Daverman, R.; Poser, J.W.; Spiro, R.C. Evaluation of a collagen-hyaluronate bilayer matrix for bone and cartilage repair. In Biomaterials for Drug Delivery and Tissue Engineering; Mallapragada, S., Tracy, M., Narasimhan, B., Mathiowitz, E., Korsmeyer, R., Eds.; MRS Press: Warrendale, PA, USA, 2000; p. 1. [Google Scholar]
  61. Spiro, R.C.; Liu, L.S. Injectable hyaluronate-sulfated polysaccharide conjugates. US Patent 6,288,043, 11 September 2001. [Google Scholar]

Article Metrics

Citations

Article Access Statistics

Multiple requests from the same IP address are counted as one view.