Immunotherapy and Radiation for Clinical Perineural Invasion in Cutaneous Squamous Cell Carcinoma
Simple Summary
Abstract
1. Background
1.1. Epidemiology
1.2. Risk Factors, Staging, and Evaluation
1.3. Management
1.4. Perineural Invasion
2. Immunotherapy in SCC
2.1. Evidence for Immunotherapy
2.2. Role of RT
2.3. Synergistic Immunomodulatory Effects of RT
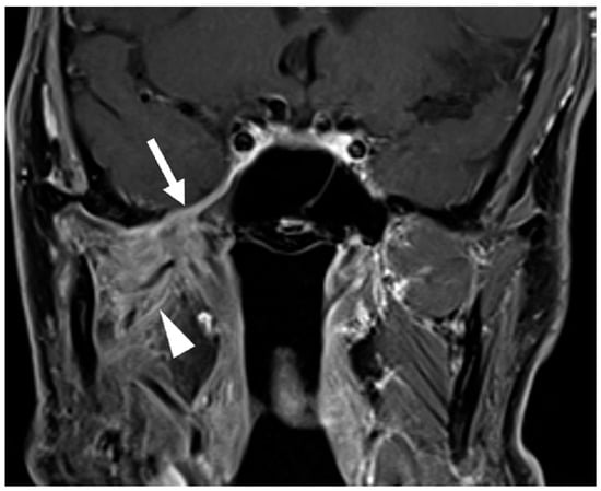
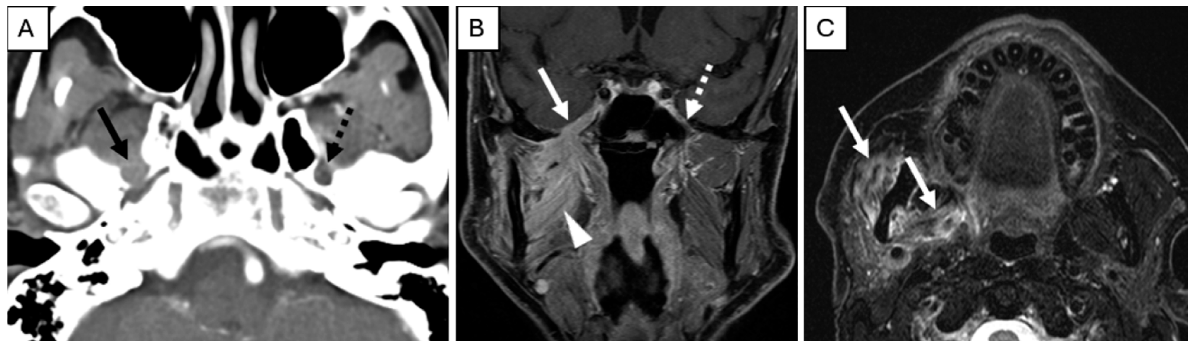
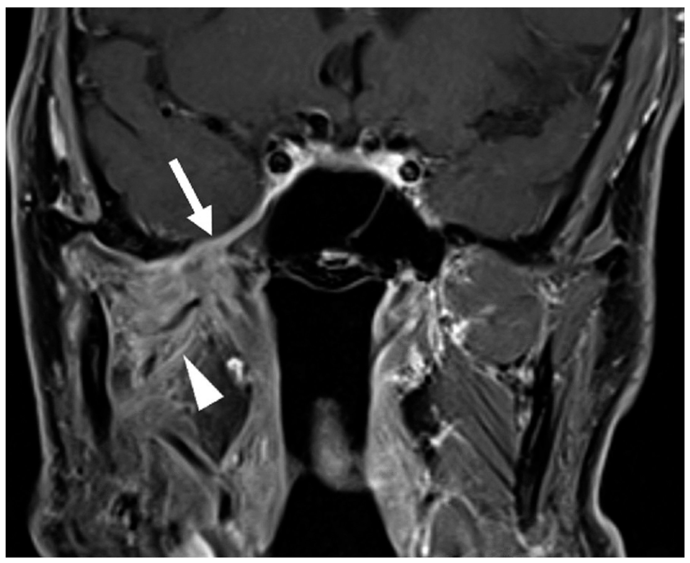
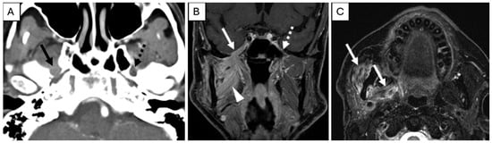
3. Imaging
3.1. Role of Imaging
3.2. Recommendations for Surveillance Imaging
4. Multidisciplinary cPNI Management
5. Conclusions
Supplementary Materials
Author Contributions
Funding
Conflicts of Interest
Abbreviations
| AJCC | American Joint Committee on Cancer |
| BWH | Brigham and Women’s Hospital |
| cPNI | clinical perineural invasion |
| CT | computed tomography |
| cSCC | cutaneous squamous cell carcinoma |
| FDG-PET | fludeoxyglucose F18 positron emission tomography |
| HNSCC | head and neck squamous cell carcinoma |
| ICI | immune checkpoint inhibitor |
| iPNI | incidental perineural invasion |
| MRI | magnetic resonance imaging |
| PNI | perineural invasion |
| PD-1 | programmed cell death protein-1 |
| PD-L1 | programmed death-ligand 1 |
| RT | radiation therapy |
| SCC | squamous cell carcinoma |
References
- Wysong, A. Squamous-Cell Carcinoma of the Skin. N. Engl. J. Med. 2023, 388, 2262–2273. [Google Scholar] [CrossRef]
- de Jong, E.; Lammerts, M.; Genders, R.; Bavinck, J.B. Update of advanced cutaneous squamous cell carcinoma. J. Eur. Acad. Dermatol. Venereol. 2021, 36, 6–10. [Google Scholar] [CrossRef]
- Hirotsu, K.E.; Aasi, S.Z.; Samson, K.K.; Zheng, C.; Nazaroff, J.R.; Voller, L.M.; Ruiz, E.S.; Ran, N.A.; Granger, E.E.; Koyfman, S.A.; et al. Lymphovascular invasion is an independent predictor of metastasis and disease-specific death in cutaneous squamous cell carcinoma: A multicenter retrospective study. J. Am. Acad. Dermatol. 2025, 93, 368–377. [Google Scholar] [CrossRef]
- Zeng, S.; Fu, L.; Zhou, P.; Ling, H. Identifying risk factors for the prognosis of head and neck cutaneous squamous cell carcinoma: A systematic review and meta-analysis. PLoS ONE 2020, 15, e0239586. [Google Scholar] [CrossRef]
- Massey, P.R.; Wang, D.M.; Murad, F.; Mulvaney, P.; Moore, K.; Okhovat, J.-P.; Russell-Goldman, E.; Lin, W.M.; Piris, A.; Huilgol, S.C.; et al. Extensive Perineural Invasion vs. Nerve Caliber to Assess Cutaneous Squamous Cell Carcinoma Prognosis. JAMA Dermatol. 2023, 159, 1332–1338. [Google Scholar] [CrossRef] [PubMed]
- Alam, M.; Armstrong, A.; Baum, C.; Bordeaux, J.S.; Brown, M.; Busam, K.J.; Eisen, D.B.; Iyengar, V.; Lober, C.; Margolis, D.J.; et al. Guidelines of care for the management of cutaneous squamous cell carcinoma. J. Am. Acad. Dermatol. 2018, 78, 560–578. [Google Scholar] [CrossRef] [PubMed]
- Chow, L.Q.M. Head and Neck Cancer. N. Engl. J. Med. 2020, 382, 60–72. [Google Scholar] [CrossRef] [PubMed]
- Balamucki, C.J.; Mancuso, A.A.; Amdur, R.J.; Kirwan, J.M.; Morris, C.G.; Flowers, F.P.; Stoer, C.B.; Cognetta, A.B.; Mendenhall, W.M. Skin carcinoma of the head and neck with perineural invasion. Am. J. Otolaryngol. 2012, 33, 447–454. [Google Scholar] [CrossRef]
- Holtzman, A.L.; Mendenhall, W.M. High-dose conformal proton therapy for clinical perineural invasion in cutaneous head and neck cancer. Oral Oncol. 2020, 100, 104486. [Google Scholar] [CrossRef]
- Karia, P.S.; Morgan, F.C.; Ruiz, E.S.; Schmults, C.D. Clinical and Incidental Perineural Invasion of Cutaneous Squamous Cell Carcinoma. JAMA Dermatol. 2017, 153, 781–788. [Google Scholar] [CrossRef]
- Karia, P.S.; Jambusaria-Pahlajani, A.; Harrington, D.P.; Murphy, G.F.; Qureshi, A.A.; Schmults, C.D. Evaluation of American Joint Committee on Cancer, International Union Against Cancer, and Brigham and Women’s Hospital Tumor Staging for Cutaneous Squamous Cell Carcinoma. J. Clin. Oncol. 2014, 32, 327–334. [Google Scholar] [CrossRef]
- Frydenlund, N.; Leone, D.A.; Mitchell, B.; Abbas, O.; Dhingra, J.; Mahalingam, M. Perineural invasion in cutaneous squamous cell carcinoma: Role of immunohistochemistry, anatomical site, and the high-affinity nerve growth factor receptor TrkA. Hum. Pathol. 2015, 46, 1209–1216. [Google Scholar] [CrossRef]
- Morandi, E.M.; Rauchenwald, T.; Puelzl, P.; Zelger, B.W.; Zelger, B.G.; Henninger, B.; Pierer, G.; Wolfram, D. Hide-and-seek: Neurotropic squamous cell carcinoma of the periorbital region—A series of five cases and review of the literature. J. Dtsch. Dermatol. Ges. 2021, 19, 1571–1580. [Google Scholar] [CrossRef]
- Misztal, C.I.; Green, C.; Mei, C.; Bhatia, R.; Torres, J.M.V.; Kamrava, B.; Moon, S.; Nicolli, E.; Weed, D.; Sargi, Z.; et al. Molecular and Cellular Mechanisms of Perineural Invasion in Oral Squamous Cell Carcinoma: Potential Targets for Therapeutic Intervention. Cancers 2021, 13, 6011. [Google Scholar] [CrossRef]
- Haug, K.; Breuninger, H.; Metzler, G.; Eigentler, T.; Eichner, M.; Häfner, H.-M.; Schnabl, S.M. Prognostic Impact of Perineural Invasion in Cutaneous Squamous Cell Carcinoma: Results of a Prospective Study of 1,399 Tumors. J. Investig. Dermatol. 2020, 140, 1968–1975. [Google Scholar] [CrossRef] [PubMed]
- Gupta, A.; Veness, M.; De’AMbrosis, B.; Selva, D.; Huilgol, S.C. Management of squamous cell and basal cell carcinomas of the head and neck with perineural invasion. Australas. J. Dermatol. 2015, 57, 3–13. [Google Scholar] [CrossRef] [PubMed]
- Shalhout, S.Z.; Emerick, K.S.; Kaufman, H.L.; Miller, D.M. Immunotherapy for Non-melanoma Skin Cancer. Curr. Oncol. Rep. 2021, 23, 125. [Google Scholar] [CrossRef] [PubMed]
- Cavanagh, K.; McLean, L.S.; Lim, A.M.; Cardin, A.; Levy, S.M.; Rischin, D. Assessment of perineural spread in advanced cutaneous squamous cell carcinomas treated with immunotherapy. Cancer Imaging 2024, 24, 37. [Google Scholar] [CrossRef]
- Khan, M.; Xenopoulou, D.; Khachemoune, A. Systematic review on outcomes of the use of adjuvant pharmacotherapy for treatment of cutaneous malignancies exhibiting perineural invasion: Promising efficacy of anti-PD1 therapy. Arch. Dermatol. Res. 2022, 315, 1075–1082. [Google Scholar] [CrossRef]
- Lopetegui-Lia, N.; Dima, D.; Buchberger, D.S.; Yalamanchali, A.; Osantowski, B.; Ondeck, M.; Lorenz, R.R.; Prendes, B.; Ku, J.; Lamarre, E.; et al. Immunotherapy response in patients with cutaneous squamous cell carcinoma of head and neck with cranial nerve involvement. Head Neck 2023, 45, 2149–2154. [Google Scholar] [CrossRef]
- Nightingale, J.; Gandhi, M.; Helena, J.; Bowman, J.; McGrath, M.; Coward, J.; Porceddu, S.; Ladwa, R.; Panizza, B. Immunotherapy for the treatment of perineural spread in cutaneous head and neck squamous cell carcinoma: Time to rethink treatment paradigms. Head Neck 2022, 44, 1099–1105. [Google Scholar] [CrossRef]
- Wu, M.P.; Reinshagen, K.L.; Cunnane, M.B.; Shalhout, S.Z.; Kaufman, H.L.; Miller, D.; Emerick, K.S. Clinical Perineural Invasion and Immunotherapy for Head and Neck Cutaneous Squamous Cell Carcinoma. Laryngoscope. 2021, 132, 1213–1218. [Google Scholar] [CrossRef]
- Rischin, D.; Porceddu, S.; Day, F.; Brungs, D.P.; Christie, H.; Jackson, J.E.; Stein, B.N.; Su, Y.B.; Ladwa, R.; Adams, G.; et al. Adjuvant Cemiplimab or Placebo in High-Risk Cutaneous Squamous-Cell Carcinoma. N. Engl. J. Med. 2025, 393, 774–785. [Google Scholar] [CrossRef]
- Gross, N.D.; Miller, D.M.; Khushalani, N.I.; Divi, V.; Ruiz, E.S.; Lipson, E.J.; Meier, F.; Su, Y.B.; Swiecicki, P.L.; Atlas, J.; et al. Neoadjuvant Cemiplimab for Stage II to IV Cutaneous Squamous-Cell Carcinoma. N. Engl. J. Med. 2022, 387, 1557–1568. [Google Scholar] [CrossRef]
- Wilde, D.C.; Glaun, M.E.; Wong, M.K.; Gross, N.D. Neoadjuvant Approaches to Non-Melanoma Skin Cancer. Cancers 2023, 15, 5494. [Google Scholar] [CrossRef] [PubMed]
- Linedale, R.; Schmidt, C.; King, B.T.; Ganko, A.G.; Simpson, F.; Panizza, B.J.; Leggatt, G.R. Elevated frequencies of CD8 T cells expressing PD-1, CTLA-4 and Tim-3 within tumour from perineural squamous cell carcinoma patients. PLoS ONE 2017, 12, e0175755. [Google Scholar] [CrossRef]
- Stevenson, M.L.; Wang, C.Q.F.; Abikhair, M.; Roudiani, N.; Felsen, D.; Krueger, J.G.; Pavlick, A.C.; Carucci, J.A. Expression of Programmed Cell Death Ligand in Cutaneous Squamous Cell Carcinoma and Treatment of Locally Advanced Disease with Pembrolizumab. JAMA Dermatol. 2017, 153, 299–303. [Google Scholar] [CrossRef]
- Kuo, Y.-J.; Gide, T.N.; Mao, Y.; Adegoke, N.A.; Bennett, T.; Menzies, A.M.; Long, G.V.; Wilmott, J.S.; da Silva, I.E.D.P. Multiomic analysis of cutaneous squamous cell carcinoma (cSCC) and association with response to anti-PD1 therapy (PD1). J. Clin. Oncol. 2025, 43, 9585. [Google Scholar] [CrossRef]
- Arnon, J.; Dinstag, G.; Chayen, B.; Tirosh, O.; Kinar, Y.; Ben-Zvi, D.S.; Beker, T.; Elia, A.; Pikarsky, E.; Yakir, R.; et al. Predication of clinical outcomes of advanced cutaneous squamous cell carcinoma to PD1 inhibition directly from histopathology slides using inferred transcriptomics. J. Clin. Oncol. 2025, 43, 2630. [Google Scholar] [CrossRef]
- Bryant, C.M.; Dagan, R.; Holtzman, A.L.; Fernandes, R.; Bunnell, A.; Mendenhall, W.M. Passively Scattered Proton Therapy for Nonmelanoma Skin Cancer with Clinical Perineural Invasion. Int. J. Part. Ther. 2021, 8, 285–293. [Google Scholar] [CrossRef]
- Ferini, G.; Palmisciano, P.; Forte, S.; Viola, A.; Martorana, E.; Parisi, S.; Valenti, V.; Fichera, C.; Umana, G.E.; Pergolizzi, S. Advanced or Metastatic Cutaneous Squamous Cell Carcinoma: The Current and Future Role of Radiation Therapy in the Era of Immunotherapy. Cancers 2022, 14, 1871. [Google Scholar] [CrossRef]
- Manukian, G.; Bar-Ad, V.; Lu, B.; Argiris, A.; Johnson, J.M. Combining Radiation and Immune Checkpoint Blockade in the Treatment of Head and Neck Squamous Cell Carcinoma. Front. Oncol. 2019, 9, 122. [Google Scholar] [CrossRef]
- Dovedi, S.J.; Adlard, A.L.; Lipowska-Bhalla, G.; McKenna, C.; Jones, S.; Cheadle, E.J.; Stratford, I.J.; Poon, E.; Morrow, M.; Stewart, R.; et al. Acquired Resistance to Fractionated Radiotherapy Can Be Overcome by Concurrent PD-L1 Blockade. Cancer Res. 2014, 74, 5458–5468. [Google Scholar] [CrossRef]
- Kut, C.; Quon, H.; Chen, X.S. Emerging Radiotherapy Technologies for Head and Neck Squamous Cell Carcinoma: Challenges and Opportunities in the Era of Immunotherapy. Cancers 2024, 16, 4150. [Google Scholar] [CrossRef] [PubMed]
- Karam, S.D.; Raben, D. Radioimmunotherapy for the treatment of head and neck cancer. Lancet Oncol. 2019, 20, e404–e416. [Google Scholar] [CrossRef]
- Baumann, B.C.; Mitra, N.; Harton, J.G.; Xiao, Y.; Wojcieszynski, A.P.; Gabriel, P.E.; Zhong, H.; Geng, H.; Doucette, A.; Wei, J.; et al. Comparative Effectiveness of Proton vs. Photon Therapy as Part of Concurrent Chemoradiotherapy for Locally Advanced Cancer. JAMA Oncol. 2020, 6, 237–246. [Google Scholar] [CrossRef] [PubMed]
- Bortfeld, T.R.; Loeffler, J.S. Three ways to make proton therapy affordable. Nature 2017, 549, 451–453. [Google Scholar] [CrossRef] [PubMed]
- Durante, M.; Formenti, S. Harnessing radiation to improve immunotherapy: Better with particles? Br. J. Radiol. 2019, 93, 20190224. [Google Scholar] [CrossRef]
- Hartmann, L.; Schröter, P.; Osen, W.; Baumann, D.; Offringa, R.; Moustafa, M.; Will, R.; Debus, J.; Brons, S.; Rieken, S.; et al. Photon versus carbon ion irradiation: Immunomodulatory effects exerted on murine tumor cell lines. Sci. Rep. 2020, 10, 21517. [Google Scholar] [CrossRef]
- Liu, S.; He, X.; Liang, S.; Wu, A.; Liu, L.; Hu, W. Carbon ion irradiation mobilizes antitumor immunity: From concept to the clinic. Radiat. Oncol. 2025, 20, 85. [Google Scholar] [CrossRef]
- Libson, K.B.; Sheridan, C.B.; Carr, D.R.; Shahwan, K.T. Use of Imaging in Cutaneous Squamous Cell Carcinoma to Detect High-Risk Tumor Features, Nodal Metastasis, and Distant Metastasis: A Systematic Review. Dermatol. Surg. 2024, 50, 705–709. [Google Scholar] [CrossRef]
- Arya, S.; Rane, P.; Deshmukh, A. Oral cavity squamous cell carcinoma: Role of pretreatment imaging and its influence on management. Clin. Radiol. 2014, 69, 916–930. [Google Scholar] [CrossRef]
- Overfield, C.J.; Rhyner, P.A.; Hall, M.R.; Bhatt, A.A. More than Skin Deep: Imaging of Dermatologic Disease in the Head and Neck. RadioGraphics 2024, 44, e240052. [Google Scholar] [CrossRef] [PubMed]
- Majoie, C.B.; Hulsmans, F.-J.H.; Verbeeten, B.; Castelyns, J.A.; Oldenburger, F.; Schouwenburg, P.F.; Bosch, D. Perineural tumor extension along the trigeminal nerve: Magnetic resonance imaging findings. Eur. J. Radiol. 1997, 24, 191–205. [Google Scholar] [CrossRef] [PubMed]
- Paes, F.M.; Singer, A.D.; Checkver, A.N.; Palmquist, R.A.; De La Vega, G.; Sidani, C. Perineural Spread in Head and Neck Malignancies: Clinical Significance and Evaluation with 18F-FDG PET/CT. RadioGraphics 2013, 33, 1717–1736. [Google Scholar] [CrossRef] [PubMed]
- Wei, A.H.; Cassard, L.; Fan, C.; Seck, S.; Vazquez, M.R.; Bena, J.; Stultz, T.; Koyfman, S.A.; Vidimos, A.T. Radiologic imaging aids management of high-risk cutaneous squamous cell carcinoma: A retrospective cohort study. J. Am. Acad. Dermatol. 2025, 93, 360–367. [Google Scholar] [CrossRef]
- Agarwal, M.; Wangaryattawanich, P.; Rath, T.J. Perineural Tumor Spread in Head and Neck Malignancies. Semin. Roentgenol. 2019, 54, 258–275. [Google Scholar] [CrossRef]
- Aiken, A.H.; Rath, T.J.; Anzai, Y.; Branstetter, B.F.; Hoang, J.K.; Wiggins, R.H.; Juliano, A.F.; Glastonbury, C.; Phillips, C.D.; Brown, R.; et al. ACR Neck Imaging Reporting and Data Systems (NI-RADS): A White Paper of the ACR NI-RADS Committee. J. Am. Coll. Radiol. 2018, 15, 1097–1108. [Google Scholar] [CrossRef]
- Fulcher, C.D.; Haigentz, M.; Ow, T.J. The Education Committee of the American Head and Neck Society (AHNS) AHNS Series: Do you know your guidelines? Principles of treatment for locally advanced or unresectable head and neck squamous cell carcinoma. Head Neck 2017, 40, 676–686. [Google Scholar] [CrossRef]
- Digonnet, A.; Hamoir, M.; Andry, G.; Haigentz, M.; Takes, R.P.; Silver, C.E.; Hartl, D.M.; Strojan, P.; Rinaldo, A.; de Bree, R.; et al. Post-therapeutic surveillance strategies in head and neck squamous cell carcinoma. Eur. Arch. Oto-Rhino-Laryngol. 2012, 270, 1569–1580. [Google Scholar] [CrossRef]
- Granger, E.E.; Ran, N.A.; Groover, M.K.; Koyfman, S.A.; Vidimos, A.T.; Wysong, A.; Carr, D.R.; Shahwan, K.T.; Hirotsu, K.E.; Carucci, J.A.; et al. Most cutaneous squamous cell carcinoma recurrences occur in the first 3 years after diagnosis: A multicenter retrospective cohort study. J. Am. Acad. Dermatol. 2024, 91, 957–960. [Google Scholar] [CrossRef] [PubMed]




| Study | No. of Patients | Immunotherapy Used | Response | Follow-Up Time | Overall Survival | Progression-Free Survival | Adverse Effects |
|---|---|---|---|---|---|---|---|
| Nightingale et al. [21] | 13 | PD-1 inhibitor | 69.2% OR (46.2% CR; 23.1% PR); median time to response of 2.1 months | September 2017 to May 2021 | Not reported | 23% had a median time to progression of 3.5 months | No grade 3–4 treatment-related adverse events |
| Khan et al. [19] | 121 | PD-1 inhibitor | 61.2% CLR or stable disease | Not reported | Not reported | Not reported | Not Reported |
| Cavanagh et al. [18] | 20 | Cemiplimab in 17 patients, and Pembrolizumab in 3 patients. | 70.0% perineural spread response at 5 months; 15.0% pseudoprogression; 5.0% progression | April 2018 to February 2022 | 18.5 months | Not reported | Not reported |
| Wu et al. [22] | 11 | Immune checkpoint inhibitor | 81.8% RDC | Not reported | Not reported | Not reported | Not reported |
| Lopetegui-Lia et al. [20] | 12 | Cemiplimab or Pembrolizumab | 83.3% clinical response; 8.3% CR; 58.3% PR | Median follow-up of 23 months | Not reported | Not reported | Not reported, but 50.0% remained on IO after the study |
Disclaimer/Publisher’s Note: The statements, opinions and data contained in all publications are solely those of the individual author(s) and contributor(s) and not of MDPI and/or the editor(s). MDPI and/or the editor(s) disclaim responsibility for any injury to people or property resulting from any ideas, methods, instructions or products referred to in the content. |
© 2025 by the authors. Licensee MDPI, Basel, Switzerland. This article is an open access article distributed under the terms and conditions of the Creative Commons Attribution (CC BY) license (https://creativecommons.org/licenses/by/4.0/).
Share and Cite
Morecroft, R.A.; Phillipps, J.S.; Gou, L.; Bhatt, A.A.; Kim, S.; Mohammadi, H.; Dronca, R.S.; Doonan, B.; Chen, R.; Zhao, Y.; et al. Immunotherapy and Radiation for Clinical Perineural Invasion in Cutaneous Squamous Cell Carcinoma. Cancers 2025, 17, 3921. https://doi.org/10.3390/cancers17243921
Morecroft RA, Phillipps JS, Gou L, Bhatt AA, Kim S, Mohammadi H, Dronca RS, Doonan B, Chen R, Zhao Y, et al. Immunotherapy and Radiation for Clinical Perineural Invasion in Cutaneous Squamous Cell Carcinoma. Cancers. 2025; 17(24):3921. https://doi.org/10.3390/cancers17243921
Chicago/Turabian StyleMorecroft, Renee A., Jordan S. Phillipps, Lang Gou, Alok A. Bhatt, Sungjune Kim, Homan Mohammadi, Roxana S. Dronca, Bently Doonan, Ruqin Chen, Yujie Zhao, and et al. 2025. "Immunotherapy and Radiation for Clinical Perineural Invasion in Cutaneous Squamous Cell Carcinoma" Cancers 17, no. 24: 3921. https://doi.org/10.3390/cancers17243921
APA StyleMorecroft, R. A., Phillipps, J. S., Gou, L., Bhatt, A. A., Kim, S., Mohammadi, H., Dronca, R. S., Doonan, B., Chen, R., Zhao, Y., Kang, H. S., Li, S., Janus, J. R., Pirgousis, P., Patel, S., Okuyemi, O. T., Singer, E. M., Tolaymat, L. M., Wysong, A., ... Holtzman, A. L. (2025). Immunotherapy and Radiation for Clinical Perineural Invasion in Cutaneous Squamous Cell Carcinoma. Cancers, 17(24), 3921. https://doi.org/10.3390/cancers17243921

