1.5T Magnetic Resonance-Guided Stereotactic Body Radiotherapy for Localized Prostate Cancer: Preliminary Clinical Results of Clinician- and Patient-Reported Outcomes
Abstract
:Simple Summary
Abstract
1. Introduction
2. Results
2.1. Patient Selection and Baseline Characteristics
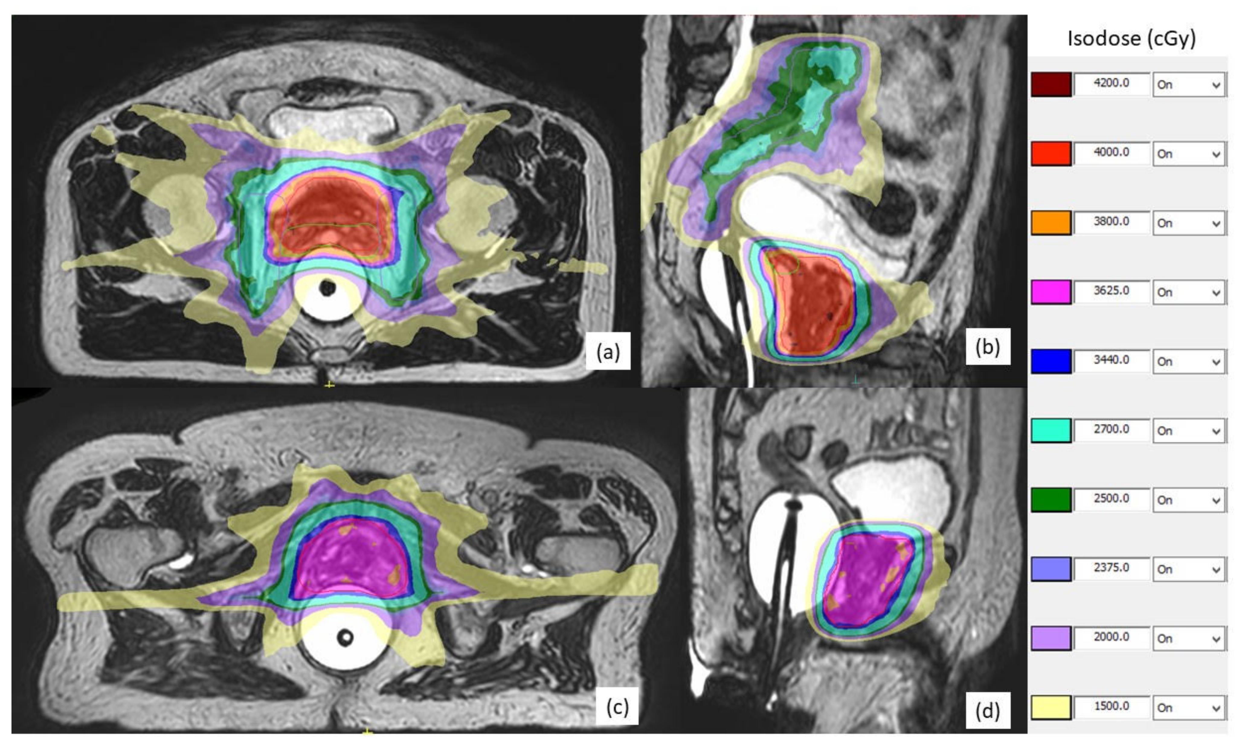
2.2. Treatment Delivery and Adaptation
2.3. CROMs
2.4. PROMs
2.5. Early Prostate-Specific Antigen (PSA) Response
3. Discussion
4. Materials and Methods
4.1. Patient Selection
4.2. Simulation Scan and Treatment Planning
4.3. Treatment Delivery and Adaptation
4.4. Patient Follow-Up and Outcome Measurements
4.5. Statistical Analysis
5. Conclusions
Supplementary Materials
Author Contributions
Funding
Institutional Review Board Statement
Informed Consent Statement
Data Availability Statement
Acknowledgments
Conflicts of Interest
References
- Rawla, P. Epidemiology of prostate cancer. World J. Oncol. 2019, 10, 63. [Google Scholar] [CrossRef] [Green Version]
- Litwin, M.S.; Tan, H.J. The Diagnosis and Treatment of Prostate Cancer: A Review. JAMA 2017, 317, 2532–2542. [Google Scholar] [CrossRef] [PubMed]
- Dearnaley, D.; Syndikus, I.; Mossop, H.; Khoo, V.; Birtle, A.; Bloomfield, D.; Graham, J.; Kirkbride, P.; Logue, J.; Malik, Z.; et al. Conventional versus hypofractionated high-dose intensity-modulated radiotherapy for prostate cancer: 5-year outcomes of the randomised, non-inferiority, phase 3 CHHiP trial. Lancet Oncol. 2016, 17, 1047–1060. [Google Scholar] [CrossRef] [Green Version]
- De Vries, K.C.; Wortel, R.C.; Oomen-de Hoop, E.; Heemsbergen, W.D.; Pos, F.J.; Incrocci, L. Hyprofractionated versus conventionally fractionated radiation therapy for patients with intermediate-or high-risk, localized, prostate Cancer: 7-year outcomes from the randomized, multicenter, open-label, phase 3 HYPRO trial. Int. J. Radiat. Oncol. Biol. Phys. 2020, 106, 108–115. [Google Scholar] [CrossRef] [Green Version]
- Morgan, S.C.; Hoffman, K.; Loblaw, D.A.; Buyyounouski, M.K.; Patton, C.; Barocas, D.; Bentzen, S.; Chang, M.; Efstathiou, J.; Greany, P.; et al. Hypofractionated Radiation Therapy for Localized Prostate Cancer: Executive Summary of an ASTRO, ASCO and AUA Evidence-Based Guideline. J. Urol. 2019, 201, 528–534. [Google Scholar] [CrossRef] [PubMed] [Green Version]
- Francolini, G.; Detti, B.; Becherini, C.; Caini, S.; Ingrosso, G.; Di Cataldo, V.; Stocchi, G.; Salvestrini, V.; Lancia, A.; Scartoni, D.; et al. Toxicity after moderately hypofractionated versus conventionally fractionated prostate radiotherapy: A systematic review and meta-analysis of the current literature. Crit. Rev. Oncol. Hematol. 2021, 165, 103432. [Google Scholar] [CrossRef]
- Nicosia, L.; Mazzola, R.; Rigo, M.; Figlia, V.; Giaj-Levra, N.; Napoli, G.; Ricchetti, F.; Corradini, S.; Ruggieri, R.; Alongi, F. Moderate versus extreme hypofractionated radiotherapy: A toxicity comparative analysis in low-and favorable intermediate-risk prostate cancer patients. J. Cancer Res. Clin. Oncol. 2019, 145, 2547–2554. [Google Scholar] [CrossRef]
- Vuolukka, K.; Auvinen, P.; Tiainen, E.; Palmgren, J.-E.; Heikkilä, J.; Seppälä, J.; Aaltomaa, S.; Kataja, V. Stereotactic body radiotherapy for localized prostate cancer–5-year efficacy results. Radiat. Oncol. 2020, 15, 1–8. [Google Scholar] [CrossRef]
- Fransson, P.; Nilsson, P.; Gunnlaugsson, A.; Beckman, L.; Tavelin, B.; Norman, D.; Thellenberg-Karlsson, C.; Hoyer, M.; Lagerlund, M.; Kindblom, J.; et al. Ultra-hypofractionated versus conventionally fractionated radiotherapy for prostate cancer (HYPO-RT-PC): Patient-reported quality-of-life outcomes of a randomised, controlled, non-inferiority, phase 3 trial. Lancet Oncol. 2021, 22, 235–245. [Google Scholar] [CrossRef]
- Widmark, A.; Gunnlaugsson, A.; Beckman, L.; Thellenberg-Karlsson, C.; Hoyer, M.; Lagerlund, M.; Kindblom, J.; Ginman, C.; Johansson, B.; Bjornlinger, K.; et al. Ultra-hypofractionated versus conventionally fractionated radiotherapy for prostate cancer: 5-year outcomes of the HYPO-RT-PC randomised, non-inferiority, phase 3 trial. Lancet 2019, 394, 385–395. [Google Scholar] [CrossRef]
- Brand, D.H.; Tree, A.C.; Ostler, P.; van der Voet, H.; Loblaw, A.; Chu, W.; Ford, D.; Tolan, S.; Jain, S.; Martin, A.; et al. Intensity-modulated fractionated radiotherapy versus stereotactic body radiotherapy for prostate cancer (PACE-B): Acute toxicity findings from an international, randomised, open-label, phase 3, non-inferiority trial. Lancet Oncol. 2019, 20, 1531–1543. [Google Scholar] [CrossRef]
- Lagendijk, J.J.; Raaymakers, B.W.; Van den Berg, C.A.; Moerland, M.A.; Philippens, M.E.; van Vulpen, M. MR guidance in radiotherapy. Phys. Med. Biol. 2014, 59, R349–R369. [Google Scholar] [CrossRef] [PubMed]
- Kupelian, P.; Sonke, J.J. Magnetic resonance-guided adaptive radiotherapy: A solution to the future. Semin. Radiat. Oncol. 2014, 24, 227–232. [Google Scholar] [CrossRef] [PubMed]
- Henke, L.E.; Contreras, J.A.; Green, O.L.; Cai, B.; Kim, H.; Roach, M.C.; Olsen, J.R.; Fischer-Valuck, B.; Mullen, D.F.; Kashani, R.; et al. Magnetic Resonance Image-Guided Radiotherapy (MRIgRT): A 4.5-Year Clinical Experience. Clin. Oncol. 2018, 30, 720–727. [Google Scholar] [CrossRef] [PubMed]
- Mohajer, J.; Dunlop, A.; Mitchell, A.; Goodwin, E.; Nill, S.; Oelfke, U.; Tree, A. Feasibility of MR-guided ultrahypofractionated radiotherapy in 5, 2 or 1 fractions for prostate cancer. Clin. Transl. Radiat. Oncol. 2021, 26, 1–7. [Google Scholar] [CrossRef]
- Lagendijk, J.J.W.; Raaymakers, B.W.; Raaijmakers, A.J.E.; Overweg, J.; Brown, K.J.; Kerkhof, E.M.; van der Put, R.W.; Hardemark, B.; van Vutpen, M.; van der Heide, U.A. MRI/linac integration. Radiother. Oncol. 2008, 86, 25–29. [Google Scholar] [CrossRef]
- Lagendijk, J.J.; Raaymakers, B.W.; van Vulpen, M. The magnetic resonance imaging-linac system. Semin. Radiat. Oncol. 2014, 24, 207–209. [Google Scholar] [CrossRef]
- Mutic, S.; Dempsey, J.F. The ViewRay system: Magnetic resonance-guided and controlled radiotherapy. Semin. Radiat. Oncol. 2014, 24, 196–199. [Google Scholar] [CrossRef]
- Winkel, D.; Bol, G.H.; Kroon, P.S.; van Asselen, B.; Hackett, S.S.; Werensteijn-Honingh, A.M.; Intven, M.P.W.; Eppinga, W.S.C.; Tijssen, R.H.N.; Kerkmeijer, L.G.W.; et al. Adaptive radiotherapy: The Elekta Unity MR-linac concept. Clin. Transl. Radiat. Oncol. 2019, 18, 54–59. [Google Scholar] [CrossRef] [Green Version]
- Bruynzeel, A.M.E.; Tetar, S.U.; Oei, S.S.; Senan, S.; Haasbeek, C.J.A.; Spoelstra, F.O.B.; Piet, A.H.M.; Meijnen, P.; Bakker van der Jagt, M.A.B.; Fraikin, T.; et al. A Prospective Single-Arm Phase 2 Study of Stereotactic Magnetic Resonance Guided Adaptive Radiation Therapy for Prostate Cancer: Early Toxicity Results. Int. J. Radiat. Oncol. Biol. Phys. 2019, 105, 1086–1094. [Google Scholar] [CrossRef]
- Tetar, S.U.; Bruynzeel, A.M.E.; Oei, S.S.; Senan, S.; Fraikin, T.; Slotman, B.J.; Moorselaar, R.; Lagerwaard, F.J. Magnetic Resonance-guided Stereotactic Radiotherapy for Localized Prostate Cancer: Final Results on Patient-reported Outcomes of a Prospective Phase 2 Study. Eur. Urol. Oncol. 2021, 4, 628–634. [Google Scholar] [CrossRef] [PubMed]
- Ugurluer, G.; Atalar, B.; Zoto Mustafayev, T.; Gungor, G.; Aydin, G.; Sengoz, M.; Abacioglu, U.; Tuna, M.B.; Kural, A.R.; Ozyar, E. Magnetic resonance image-guided adaptive stereotactic body radiotherapy for prostate cancer: Preliminary results of outcome and toxicity. Br. J. Radiol. 2021, 94, 20200696. [Google Scholar] [CrossRef] [PubMed]
- Alongi, F.; Rigo, M.; Figlia, V.; Cuccia, F.; Giaj-Levra, N.; Nicosia, L.; Ricchetti, F.; Sicignano, G.; De Simone, A.; Naccarato, S.; et al. 1.5 T MR-guided and daily adapted SBRT for prostate cancer: Feasibility, preliminary clinical tolerability, quality of life and patient-reported outcomes during treatment. Radiat. Oncol. 2020, 15, 69. [Google Scholar] [CrossRef]
- Mazzola, R.; Cuccia, F.; Figlia, V.; Rigo, M.; Nicosia, L.; Giaj-Levra, N.; Ricchetti, F.; Vitale, C.; Mantoan, B.; Di Paola, G.; et al. Stereotactic body radiotherapy for oligometastatic castration sensitive prostate cancer using 1.5 T MRI-Linac: Preliminary data on feasibility and acute patient-reported outcomes. Radiol. Med. 2021, 126, 989–997. [Google Scholar] [CrossRef]
- Van Otterloo, S.R.M.; Christodouleas, J.P.; Blezer, E.L.A.; Akhiat, H.; Brown, K.; Choudhury, A.; Eggert, D.; Erickson, B.A.; Daamen, L.A.; Faivre-Finn, C.; et al. Patterns of care, tolerability and safety of the first cohort of patients treated on a novel high-field MR-Linac within the MOMENTUM Study: Initial results from a prospective Multi-Institutional Registry. Int. J. Radiat. Oncol. Biol. Phys. 2021. [Google Scholar] [CrossRef]
- Poon, D.M.; Chan, C.K.; Chan, T.W.; Cheung, F.Y.; Ho, L.Y.; Kwong, P.W.; Lee, E.K.; Leung, A.K.; Leung, S.Y.; So, H.S.; et al. Prostate cancer management in the era of COVID-19: Recommendations from the Hong Kong Urological Association and Hong Kong Society of Uro-oncology. Asia Pac. J. Clin. Oncol. 2021, 17 (Suppl. 3), 48–54. [Google Scholar] [CrossRef] [PubMed]
- Lawton, C.A.; Michalski, J.; El-Naqa, I.; Buyyounouski, M.K.; Lee, W.R.; Menard, C.; O’Meara, E.; Rosenthal, S.A.; Ritter, M.; Seider, M. RTOG GU Radiation oncology specialists reach consensus on pelvic lymph node volumes for high-risk prostate cancer. Int. J. Radiat. Oncol. Biol. Phys. 2009, 74, 383–387. [Google Scholar] [CrossRef] [Green Version]
- Wei, J.T.; Dunn, R.L.; Litwin, M.S.; Sandler, H.M.; Sanda, M.G. Development and validation of the expanded prostate cancer index composite (EPIC) for comprehensive assessment of health-related quality of life in men with prostate cancer. Urology 2000, 56, 899–905. [Google Scholar] [CrossRef] [Green Version]



| Characteristics | Number of Patients | Percentage |
|---|---|---|
| Age (years) | ||
| Mean ± SD | 71.5 ± 7.7 | |
| Range | 56–90 | |
| ECOG performance status | ||
| 0 | 49 | 96.1% |
| 1 | 2 | 3.9% |
| Prostate volume (cc) | ||
| Mean ± SD | 47.04 ± 32.33 | |
| Clinical T Stage | ||
| 1 | 4 | 7.8% |
| 2 | 38 | 74.5% |
| 3 | 9 | 17.6% |
| ECE presence | ||
| No | 42 | 82.4% |
| Yes | 9 | 17.6% |
| Pre-MRgSBRT PSA (ng/mL) | ||
| <10 | 28 | 54.9% |
| 10–20 | 13 | 25.5% |
| >20 | 10 | 19.6% |
| Median PSA | 8.98 | |
| Gleason score (ISUP Prostate Cancer Grade Group) | ||
| 3 + 3 (Grade 1) | 18 | 35.3% |
| 3 + 4 (Grade 2) | 20 | 39.2% |
| 4 + 3 (Grade 3) | 5 | 9.8% |
| 4 + 4 (Grade 4) | 4 | 7.8% |
| 4 + 5 (Grade 5) | 4 | 7.8% |
| Risk classification (NCCN) | ||
| Low | 4 | 7.8% |
| Intermediate | 29 | 56.9% |
| High | 18 | 35.3% |
| ADT prescription | ||
| No | 21 | 41.2% |
| Yes | 30 | 58.8% |
| Rectal spacer | ||
| Yes | 10 | 19.6% |
| No | 41 | 80.4% |
| Incidence | Grade 0 | Grade 1 | Grade 2 | Grade 3 | Grade ≥ 2 |
|---|---|---|---|---|---|
| GI Adverse Effects | |||||
| Baseline (before MRgSBRT) | 98.0% (n = 50) | 2.0% (n = 1) | 0 | 0 | 0 |
| (N = 51) | |||||
| Acute (during and ≤30 days after MRgSBRT) | 78.4% | 19.6% | 0 | 2.0% | 2.0% |
| (N = 51) | (n = 40) | (n = 10) | (n = 0) | (n = 1) | (n = 1) |
| Subacute (>30 days after MRgSBRT) | 88.4% | 9.3% | 0 | 2.3% | 2.3% |
| (N = 43) | (n = 38) | (n = 4) | (n = 1) | (n = 1) | |
| GU Adverse Effects | |||||
| Baseline (before MRgSBRT) | 52.9% | 47.1% | 0 | 0 | 0 |
| (N = 51) | (n = 27) | (n = 24) | |||
| Acute (during and ≤30 days after MRgSBRT) | 11.8% | 76.5% | 11.8% | 0 | 11.8% |
| (N = 51) | (n = 6) | (n = 39) | (n = 6) | (n = 6) | |
| Subacute (>30 days after MRgSBRT) | 39.5% | 58.1% | 2.3% | 0 | 2.3% |
| (N = 43) | (n = 17) | (n = 25) | (n = 1) | (n = 1) | |
| EPIC Score | Follow-Up Time Points | One-Way ANOVA p-Value | |||||
|---|---|---|---|---|---|---|---|
| Baseline | 1 Month | 4 Months | 7 Months | 10 Months | 13 Months | ||
| Patients (n) | 51 | 51 | 39 | 29 | 14 | 5 | |
| Domain Summary Scores | |||||||
| Urinary | 84.98 ± 13.40 | 76.75 ± 18.25 | 84.22 ± 12.42 | 88.98 ± 12.60 | 91.82 ± 11.14 | 91.95 ± 6.44 | 0.0028 |
| Bowel | 91.62 ± 10.31 | 85.58 ± 14.44 | 90.38 ± 10.88 | 91.53 ± 10.62 | 91.21 ± 8.61 | 91.79 ± 5.73 | 0.2112 |
| Sexual | 34.79 ± 18.00 | 30.92 ± 20.48 | 25.89 ± 16.03 | 26.68 ± 18.98 | 28.90 ± 16.50 | 35.30 ± 20.83 | 0.3373 |
| Hormonal | 89.18 ± 12.40 | 86.44 ± 14.13 | 87.51 ± 13.25 | 87.04 ± 11.24 | 88.64 ± 11.29 | 94.32 ± 8.40 | 0.8368 |
| Domain-Specific Subscales | |||||||
| Urinary Subscales | |||||||
| Function | 94.91 ± 9.84 | 85.98 ± 13.97 | 92.86 ± 8.21 | 95.83 ± 5.56 | 96.44 ± 5.56 | 97.68 ± 5.19 | 0.0003 |
| Bother | 79.09 ± 18.40 | 70.70 ± 22.93 | 78.34 ± 18.99 | 88.52 ± 18.22 | 88.52 ± 18.22 | 87.86 ± 7.41 | 0.0298 |
| Incontinence | 88.49 ± 13.32 | 82.99 ± 17.68 | 86.91 ± 14.63 | 92.26 ± 11.10 | 92.88 ± 9.84 | 97.10 ± 6.48 | 0.0515 |
| Irritative/Obstructive | 82.94 ± 15.11 | 73.78 ± 20.61 | 82.20 ± 15.10 | 86.83 ± 14.87 | 90.82 ± 15.26 | 89.29 ± 4.37 | 0.0072 |
| Bowel Subscales | |||||||
| Function | 91.67 ± 7.17 | 86.77 ± 11.02 | 89.98 ± 9.35 | 92.24 ± 9.45 | 92.03 ± 6.04 | 92.14 ± 6.87 | 0.0933 |
| Bother | 90.37 ± 18.09 | 84.29 ± 20.79 | 88.82 ± 19.02 | 90.87 ± 14.30 | 91.07 ± 16.97 | 91.43 ± 5.98 | 0.6436 |
| Sexual Subscales | |||||||
| Function | 23.64 ± 19.20 | 19.48 ± 21.45 | 13.71 ± 17.76 | 13.45 ± 17.51 | 15.03 ± 19.92 | 32.86 ± 17.67 | 0.0904 |
| Bother | 61.40 ± 34.21 | 60.64 ± 37.81 | 58.27 ± 31.52 | 57.45 ± 35.75 | 57.29 ± 26.09 | 53.75 ± 32.05 | 0.9934 |
| Hormonal Subscales | |||||||
| Function | 86.84 ± 16.18 | 84.64 ± 16.90 | 87.57 ± 11.57 | 86.61 ± 10.81 | 88.46 ± 12.65 | 92.50 ± 11.90 | 0.8651 |
| Bother | 90.72 ± 14.25 | 87.03 ± 20.20 | 87.12 ± 19.81 | 87.50 ± 16.55 | 88.78 ± 17.71 | 95.83 ± 5.89 | 0.8754 |
Publisher’s Note: MDPI stays neutral with regard to jurisdictional claims in published maps and institutional affiliations. |
© 2021 by the authors. Licensee MDPI, Basel, Switzerland. This article is an open access article distributed under the terms and conditions of the Creative Commons Attribution (CC BY) license (https://creativecommons.org/licenses/by/4.0/).
Share and Cite
Poon, D.M.C.; Yuan, J.; Wong, O.-L.; Yang, B.; Chiu, S.-T.; Cheung, K.-Y.; Chiu, G.; Yu, S.-K. 1.5T Magnetic Resonance-Guided Stereotactic Body Radiotherapy for Localized Prostate Cancer: Preliminary Clinical Results of Clinician- and Patient-Reported Outcomes. Cancers 2021, 13, 4866. https://doi.org/10.3390/cancers13194866
Poon DMC, Yuan J, Wong O-L, Yang B, Chiu S-T, Cheung K-Y, Chiu G, Yu S-K. 1.5T Magnetic Resonance-Guided Stereotactic Body Radiotherapy for Localized Prostate Cancer: Preliminary Clinical Results of Clinician- and Patient-Reported Outcomes. Cancers. 2021; 13(19):4866. https://doi.org/10.3390/cancers13194866
Chicago/Turabian StylePoon, Darren M. C., Jing Yuan, Oi-Lei Wong, Bin Yang, Sin-Ting Chiu, Kin-Yin Cheung, George Chiu, and Siu-Ki Yu. 2021. "1.5T Magnetic Resonance-Guided Stereotactic Body Radiotherapy for Localized Prostate Cancer: Preliminary Clinical Results of Clinician- and Patient-Reported Outcomes" Cancers 13, no. 19: 4866. https://doi.org/10.3390/cancers13194866
APA StylePoon, D. M. C., Yuan, J., Wong, O.-L., Yang, B., Chiu, S.-T., Cheung, K.-Y., Chiu, G., & Yu, S.-K. (2021). 1.5T Magnetic Resonance-Guided Stereotactic Body Radiotherapy for Localized Prostate Cancer: Preliminary Clinical Results of Clinician- and Patient-Reported Outcomes. Cancers, 13(19), 4866. https://doi.org/10.3390/cancers13194866

