The Novel TORC1/2 Kinase Inhibitor PQR620 Has Anti-Tumor Activity in Lymphomas as a Single Agent and in Combination with Venetoclax
Abstract
1. Introduction
2. Results
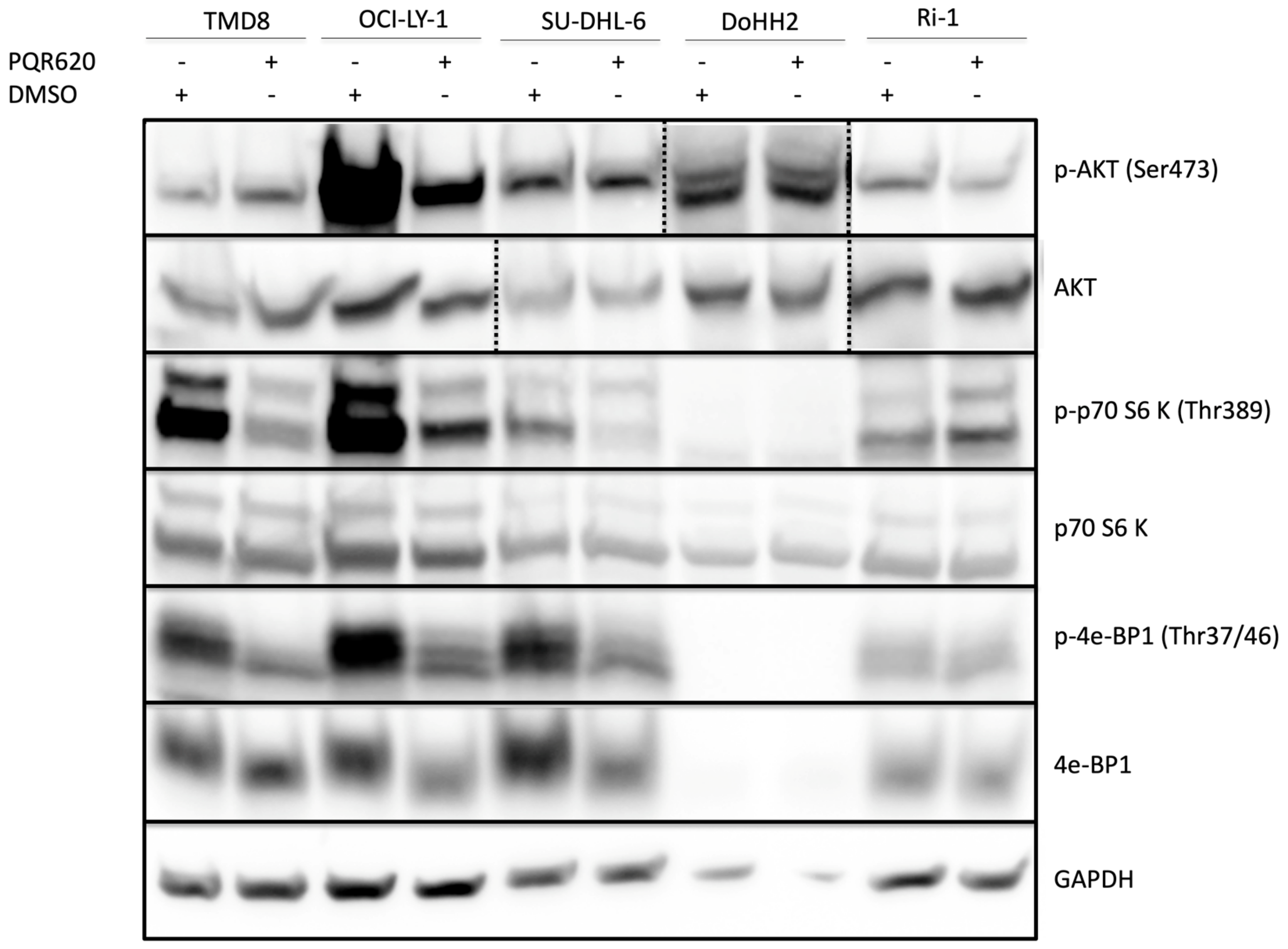
2.1. PQR620 Has In Vitro Anti-Lymphoma Activity
2.2. PQR620 Has In Vivo Anti-Lymphoma Activity
2.3. PQR620 Has In Vitro and In Vivo Synergism with the BCL2 Inhibitor Venetoclax
3. Discussion
4. Materials and Methods
4.1. In Vitro Experiments
4.2. In Vivo Experiments
5. Conclusions
Supplementary Materials
Author Contributions
Funding
Conflicts of Interest
References
- Chapuy, B.; Stewart, C.; Dunford, A.J.; Kim, J.; Kamburov, A.; Redd, R.A.; Lawrence, M.S.; Roemer, M.G.M.; Li, A.J.; Ziepert, M.; et al. Molecular subtypes of diffuse large B cell lymphoma are associated with distinct pathogenic mechanisms and outcomes. Nat. Med. 2018, 24, 679–690. [Google Scholar] [CrossRef] [PubMed]
- Schmitz, R.; Wright, G.W.; Huang, D.W.; Johnson, C.A.; Phelan, J.D.; Wang, J.Q.; Roulland, S.; Kasbekar, M.; Young, R.M.; Shaffer, A.L.; et al. Genetics and Pathogenesis of Diffuse Large B-Cell Lymphoma. N. Engl. J. Med. 2018, 378, 1396–1407. [Google Scholar] [CrossRef] [PubMed]
- Eyre, T.A.; Collins, G.P.; Goldstone, A.H.; Cwynarski, K. Time now to TORC the TORC? New developments in mTOR pathway inhibition in lymphoid malignancies. Br. J. Haematol. 2014, 166, 336–351. [Google Scholar] [CrossRef] [PubMed]
- Calimeri, T.; Ferreri, A.J.M. m-TOR inhibitors and their potential role in haematological malignancies. Br. J. Haematol. 2017, 177, 684–702. [Google Scholar] [CrossRef]
- Bennani, N.N.; LaPlant, B.R.; Ansell, S.M.; Habermann, T.M.; Inwards, D.J.; Micallef, I.N.; Johnston, P.B.; Porrata, L.F.; Colgan, J.P.; Markovic, S.N.; et al. Efficacy of the oral mTORC1 inhibitor everolimus in relapsed or refractory indolent lymphoma. Am. J. Hematol. 2017, 92, 448–453. [Google Scholar] [CrossRef]
- Martin, P.; Ruan, J.; Leonard, J.P. The potential for chemotherapy-free strategies in mantle cell lymphoma. Blood 2017, 130, 1881–1888. [Google Scholar] [CrossRef]
- Bhadury, J.; Nilsson, L.M.; Muralidharan, S.V.; Green, L.C.; Li, Z.; Gesner, E.M.; Hansen, H.C.; Keller, U.B.; McLure, K.G.; Nilsson, J.A. BET and HDAC inhibitors induce similar genes and biological effects and synergize to kill in Myc-induced murine lymphoma. Proc. Natl. Acad. Sci. USA 2014, 111, E2721–E2730. [Google Scholar] [CrossRef]
- Hess, G.; Herbrecht, R.; Romaguera, J.; Verhoef, G.; Crump, M.; Gisselbrecht, C.; Laurell, A.; Offner, F.; Strahs, A.; Berkenblit, A.; et al. Phase III study to evaluate temsirolimus compared with investigator’s choice therapy for the treatment of relapsed or refractory mantle cell lymphoma. J. Clin. Oncol. 2009, 27, 3822–3829. [Google Scholar] [CrossRef]
- Dreyling, M.; Jurczak, W.; Jerkeman, M.; Silva, R.S.; Rusconi, C.; Trneny, M.; Offner, F.; Caballero, D.; Joao, C.; Witzens-Harig, M.; et al. Ibrutinib versus temsirolimus in patients with relapsed or refractory mantle-cell lymphoma: An international, randomised, open-label, phase 3 study. Lancet 2016, 387, 770–778. [Google Scholar] [CrossRef]
- Witzig, T.E.; Tobinai, K.; Rigacci, L.; Ikeda, T.; Vanazzi, A.; Hino, M.; Shi, Y.; Mayer, J.; Costa, L.J.; Bermudez Silva, C.D.; et al. Adjuvant everolimus in high-risk diffuse large B-cell lymphoma: Final results from the PILLAR-2 randomized phase III trial. Ann. Oncol. 2018, 29, 707–714. [Google Scholar] [CrossRef]
- Mortensen, D.S.; Fultz, K.E.; Xu, S.; Xu, W.; Packard, G.; Khambatta, G.; Gamez, J.C.; Leisten, J.; Zhao, J.; Apuy, J.; et al. CC-223, a Potent and Selective Inhibitor of mTOR Kinase: In Vitro and In Vivo Characterization. Mol. Cancer. Ther. 2015, 14, 1295–1305. [Google Scholar] [CrossRef] [PubMed]
- Slotkin, E.K.; Patwardhan, P.P.; Vasudeva, S.D.; de Stanchina, E.; Tap, W.D.; Schwartz, G.K. MLN0128, an ATP-competitive mTOR kinase inhibitor with potent in vitro and in vivo antitumor activity, as potential therapy for bone and soft-tissue sarcoma. Mol. Cancer. Ther. 2015, 14, 395–406. [Google Scholar] [CrossRef] [PubMed]
- Rageot, D.; Bohnacker, T.; Melone, A.; Langlois, J.B.; Borsari, C.; Hillmann, P.; Sele, A.M.; Beaufils, F.; Zvelebil, M.; Hebeisen, P.; et al. Discovery and Preclinical Characterization of 5-[4,6-Bis({3-oxa-8-azabicyclo[3.2.1]octan-8-yl})-1,3,5-triazin-2-yl]-4-(difluoro methyl)pyridin-2-amine (PQR620), a Highly Potent and Selective mTORC1/2 Inhibitor for Cancer and Neurological Disorders. J. Med. Chem. 2018, 61, 10084–10105. [Google Scholar] [CrossRef] [PubMed]
- Kawata, T.; Tada, K.; Kobayashi, M.; Sakamoto, T.; Takiuchi, Y.; Iwai, F.; Sakurada, M.; Hishizawa, M.; Shirakawa, K.; Shindo, K.; et al. Dual inhibition of the mTORC1 and mTORC2 signaling pathways is a promising therapeutic target for adult T-cell leukemia. Cancer Sci. 2018, 109, 103–111. [Google Scholar] [CrossRef] [PubMed]
- Hassan, B.; Akcakanat, A.; Sangai, T.; Evans, K.W.; Adkins, F.; Eterovic, A.K.; Zhao, H.; Chen, K.; Chen, H.; Do, K.A.; et al. Catalytic mTOR inhibitors can overcome intrinsic and acquired resistance to allosteric mTOR inhibitors. Oncotarget 2014, 5, 8544–8557. [Google Scholar] [CrossRef] [PubMed]
- Naing, A.; Aghajanian, C.; Raymond, E.; Olmos, D.; Schwartz, G.; Oelmann, E.; Grinsted, L.; Burke, W.; Taylor, R.; Kaye, S.; et al. Safety, tolerability, pharmacokinetics and pharmacodynamics of AZD8055 in advanced solid tumours and lymphoma. Br. J. Cancer 2012, 107, 1093–1099. [Google Scholar] [CrossRef]
- Ghobrial, I.M.; Siegel, D.S.; Vij, R.; Berdeja, J.G.; Richardson, P.G.; Neuwirth, R.; Patel, C.G.; Zohren, F.; Wolf, J.L. TAK-228 (formerly MLN0128), an investigational oral dual TORC1/2 inhibitor: A phase I dose escalation study in patients with relapsed or refractory multiple myeloma, non-Hodgkin lymphoma, or Waldenstrom’s macroglobulinemia. Am. J. Hematol. 2016, 91, 400–405. [Google Scholar] [CrossRef]
- Bendell, J.C.; Kelley, R.K.; Shih, K.C.; Grabowsky, J.A.; Bergsland, E.; Jones, S.; Martin, T.; Infante, J.R.; Mischel, P.S.; Matsutani, T.; et al. A phase I dose-escalation study to assess safety, tolerability, pharmacokinetics, and preliminary efficacy of the dual mTORC1/mTORC2 kinase inhibitor CC-223 in patients with advanced solid tumors or multiple myeloma. Cancer 2015, 121, 3481–3490. [Google Scholar] [CrossRef]
- Mateo, J.; Olmos, D.; Dumez, H.; Poondru, S.; Samberg, N.L.; Barr, S.; Van Tornout, J.M.; Jie, F.; Sandhu, S.; Tan, D.S.; et al. A first in man, dose-finding study of the mTORC1/mTORC2 inhibitor OSI-027 in patients with advanced solid malignancies. Br. J. Cancer. 2016, 114, 889–896. [Google Scholar] [CrossRef]
- Williams, R. Discontinued in 2013: Oncology drugs. Expert Opin. Investig. Drugs 2015, 24, 95–110. [Google Scholar] [CrossRef]
- Tarantelli, C.; Gaudio, E.; Cascione, L.; Stathis, A.; Zucca, E.; Bertoni, F. In vitro demonstration of synergism with pixantrone combined with targeted agents in lymphomas. Br. J. Haematol. 2018. [Google Scholar] [CrossRef] [PubMed]
- Otto, C.; Giefing, M.; Massow, A.; Vater, I.; Gesk, S.; Schlesner, M.; Richter, J.; Klapper, W.; Hansmann, M.L.; Siebert, R.; et al. Genetic lesions of the TRAF3 and MAP3K14 genes in classical Hodgkin lymphoma. Br. J. Haematol. 2012, 157, 702–708. [Google Scholar] [CrossRef] [PubMed]
- Voskoglou-Nomikos, T.; Pater, J.L.; Seymour, L. Clinical predictive value of the in vitro cell line, human xenograft, and mouse allograft preclinical cancer models. Clin. Cancer Res. 2003, 9, 4227–4239. [Google Scholar] [PubMed]
- Wall, M.; Poortinga, G.; Stanley, K.L.; Lindemann, R.K.; Bots, M.; Chan, C.J.; Bywater, M.J.; Kinross, K.M.; Astle, M.V.; Waldeck, K.; et al. The mTORC1 inhibitor everolimus prevents and treats Emu-Myc lymphoma by restoring oncogene-induced senescence. Cancer Discov. 2013, 3, 82–95. [Google Scholar] [CrossRef] [PubMed]
- Lemoine, M.; Derenzini, E.; Buglio, D.; Medeiros, L.J.; Davis, R.E.; Zhang, J.; Ji, Y.; Younes, A. The pan-deacetylase inhibitor panobinostat induces cell death and synergizes with everolimus in Hodgkin lymphoma cell lines. Blood 2012, 119, 4017–4025. [Google Scholar] [CrossRef] [PubMed]
- Rosich, L.; Xargay-Torrent, S.; Lopez-Guerra, M.; Campo, E.; Colomer, D.; Roue, G. Counteracting autophagy overcomes resistance to everolimus in mantle cell lymphoma. Clin. Cancer Res. 2012, 18, 5278–5289. [Google Scholar] [CrossRef] [PubMed]
- Rahmani, M.; Aust, M.M.; Hawkins, E.; Parker, R.E.; Ross, M.; Kmieciak, M.; Reshko, L.B.; Rizzo, K.A.; Dumur, C.I.; Ferreira-Gonzalez, A.; et al. Co-administration of the mTORC1/TORC2 inhibitor INK128 and the Bcl-2/Bcl-xL antagonist ABT-737 kills human myeloid leukemia cells through Mcl-1 down-regulation and AKT inactivation. Haematologica 2015, 100, 1553–1563. [Google Scholar] [CrossRef] [PubMed]
- Tarantelli, C.; Gaudio, E.; Arribas, A.J.; Kwee, I.; Hillmann, P.; Rinaldi, A.; Cascione, L.; Spriano, F.; Bernasconi, E.; Guidetti, F.; et al. PQR309 Is a Novel Dual PI3K/mTOR Inhibitor with Preclinical Antitumor Activity in Lymphomas as a Single Agent and in Combination Therapy. Clin. Cancer Res. 2018, 24, 120–129. [Google Scholar] [CrossRef]
- Choudhary, G.S.; Al-Harbi, S.; Mazumder, S.; Hill, B.T.; Smith, M.R.; Bodo, J.; Hsi, E.D.; Almasan, A. MCL-1 and BCL-xL-dependent resistance to the BCL-2 inhibitor ABT-199 can be overcome by preventing PI3K/AKT/mTOR activation in lymphoid malignancies. Cell. Death Dis. 2015, 6, e1593. [Google Scholar] [CrossRef]
- Faia, K.; White, K.; Murphy, E.; Proctor, J.; Pink, M.; Kosmider, N.; McGovern, K.; Kutok, J. The phosphoinositide-3 kinase (PI3K)-delta, gamma inhibitor, duvelisib shows preclinical synergy with multiple targeted therapies in hematologic malignancies. PLoS ONE 2018, 13, e0200725. [Google Scholar] [CrossRef]
- Tarantelli, C.; Lange, M.; Gaudio, E.; Cascione, L.; Spriano, F.; Kwee, I.; Arriibas, A.; Rinaldi, A.; Jourdan, T.; Berthold, M.; et al. Copanlisib synergies with conventional and targeted agents including venetoclax in preclinical models of B- and T-cell lymphomas. Hematol. Oncol. 2019, 37 (Suppl. 2). in press. [Google Scholar]
- Bojarczuk, K.; Wienand, K.; Ryan, J.A.; Chen, L.; Villalobos-Ortiz, M.; Mandato, E.; Stachura, J.; Letai, A.; Lawton, L.N.; Chapuy, B.; et al. Targeted inhibition of PI3Kalpha/delta is synergistic with BCL-2 blockade in genetically defined subtypes of DLBCL. Blood 2019, 133, 70–80. [Google Scholar] [CrossRef] [PubMed]
- De Vos, S.; Swinnen, L.J.; Wang, D.; Reid, E.; Fowler, N.; Cordero, J.; Dunbar, M.; Enschede, S.H.; Nolan, C.; Petrich, A.M.; et al. Venetoclax, bendamustine, and rituximab in patients with relapsed or refractory NHL: A phase Ib dose-finding study. Ann. Oncol. 2018, 29, 1932–1938. [Google Scholar] [CrossRef]
- Zelenetz, A.D.; Salles, G.; Mason, K.D.; Casulo, C.; Le Gouill, S.; Sehn, L.H.; Tilly, H.; Cartron, G.; Chamuleau, M.E.D.; Goy, A.; et al. Venetoclax plus R- or G-CHOP in non-Hodgkin lymphoma: Results from the CAVALLI phase 1b trial. Blood 2019, 133, 1964–1976. [Google Scholar] [CrossRef] [PubMed]
- Reinwald, M.; Silva, J.T.; Mueller, N.J.; Fortun, J.; Garzoni, C.; de Fijter, J.W.; Fernandez-Ruiz, M.; Grossi, P.; Aguado, J.M. ESCMID Study Group for Infections in Compromised Hosts (ESGICH) Consensus Document on the safety of targeted and biological therapies: An infectious diseases perspective (Intracellular signaling pathways: Tyrosine kinase and mTOR inhibitors). Clin. Microbiol. Infect. 2018, 24 (Suppl. 2), S53–S70. [Google Scholar] [CrossRef]
- Chen, L.; Monti, S.; Juszczynski, P.; Ouyang, J.; Chapuy, B.; Neuberg, D.; Doench, J.G.; Bogusz, A.M.; Habermann, T.M.; Dogan, A.; et al. SYK Inhibition Modulates Distinct PI3K/AKT- Dependent Survival Pathways and Cholesterol Biosynthesis in Diffuse Large B Cell Lymphomas. Cancer Cell. 2013, 23, 826–838. [Google Scholar] [CrossRef]
- Witzig, T.E.; Geyer, S.M.; Ghobrial, I.; Inwards, D.J.; Fonseca, R.; Kurtin, P.; Ansell, S.M.; Luyun, R.; Flynn, P.J.; Morton, R.F.; et al. Phase II trial of single-agent temsirolimus (CCI-779) for relapsed mantle cell lymphoma. J. Clin. Oncol. 2005, 23, 5347–5356. [Google Scholar] [CrossRef]
- Renner, C.; Zinzani, P.L.; Gressin, R.; Klingbiel, D.; Dietrich, P.Y.; Hitz, F.; Bargetzi, M.; Mingrone, W.; Martinelli, G.; Trojan, A.; et al. A multicenter phase II trial (SAKK 36/06) of single-agent everolimus (RAD001) in patients with relapsed or refractory mantle cell lymphoma. Haematologica 2012, 97, 1085–1091. [Google Scholar] [CrossRef][Green Version]
- Barreca, A.; Lasorsa, E.; Riera, L.; Machiorlatti, R.; Piva, R.; Ponzoni, M.; Kwee, I.; Bertoni, F.; Piccaluga, P.P.; Pileri, S.A.; et al. Anaplastic lymphoma kinase in human cancer. J. Mol. Endocrinol. 2011, 47, R11–R23. [Google Scholar] [CrossRef]
- Redaelli, S.; Ceccon, M.; Antolini, L.; Rigolio, R.; Pirola, A.; Peronaci, M.; Gambacorti-Passerini, C.; Mologni, L. Synergistic activity of ALK and mTOR inhibitors for the treatment of NPM-ALK positive lymphoma. Oncotarget 2016, 7, 72886–72897. [Google Scholar] [CrossRef]
- Rahal, R.; Frick, M.; Romero, R.; Korn, J.M.; Kridel, R.; Chan, F.C.; Meissner, B.; Bhang, H.E.; Ruddy, D.; Kauffmann, A.; et al. Pharmacological and genomic profiling identifies NF-kappaB-targeted treatment strategies for mantle cell lymphoma. Nat. Med. 2014, 20, 87–92. [Google Scholar] [CrossRef]
- García-García, C.; Rivas, M.A.; Ibrahim, Y.H.; Calvo, M.T.; Gris-Oliver, A.; Rodríguez, O.; Grueso, J.; Antón, P.; Guzmán, M.; Aura, C.; et al. MEK plus PI3K/mTORC1/2 Therapeutic Efficacy Is Impacted by TP53 Mutation in Preclinical Models of Colorectal Cancer. Clin. Cancer Res. 2015, 21, 5499–5510. [Google Scholar] [CrossRef]
- Christy, B.; Demaria, M.; Campisi, J.; Huang, J.; Jones, D.; Dodds, S.G.; Williams, C.; Hubbard, G.; Livi, C.B.; Gao, X.; et al. p53 and rapamycin are additive. Oncotarget 2015, 6, 15802–15813. [Google Scholar] [CrossRef]
- Beaufils, F.; Cmiljanovic, N.; Cmiljanovic, V.; Bohnacker, T.; Melone, A.; Marone, R.; Jackson, E.; Zhang, X.; Sele, A.; Borsari, C.; et al. 5-(4,6-Dimorpholino-1,3,5-triazin-2-yl)-4-(trifluoromethyl)pyridin-2-amine (PQR309), a Potent, Brain-Penetrant, Orally Bioavailable, Pan-Class I PI3K/mTOR Inhibitor as Clinical Candidate in Oncology. J. Med. Chem. 2017, 60, 7524–7538. [Google Scholar] [CrossRef]
- Bohnacker, T.; Prota, A.E.; Beaufils, F.; Burke, J.E.; Melone, A.; Inglis, A.J.; Rageot, D.; Sele, A.M.; Cmiljanovic, V.; Cmiljanovic, N.; et al. Deconvolution of Buparlisib’s mechanism of action defines specific PI3K and tubulin inhibitors for therapeutic intervention. Nat. Commun. 2017, 8, 14683. [Google Scholar] [CrossRef]
- Collins, G.P.; Popat, R.; Stathis, A.; Krasniqi, F.; Eyre, T.A.; Ng, C.H.; El-Sharkawi, D.; Schmidt, C.; Wicki, A.; Ivanova, E.; et al. A Dose-Escalation (DE) Study with Expansion Evaluating Safety, Pharmacokinetics and Efficacy of the Novel, Balanced PI3K/mTOR Inhibitor PQR309 in Patients with Relapsed or Refractory Lymphoma. Blood 2016, 128, 5893. [Google Scholar]
- Korfel, A.; Schorb, E.; Schlegel, U.; Dimitrijević, S.D.; D’Allonzo, S.; Dreyling, M.; Herrlinger, U.; Kiewe, P. Targeting mTOR/PI3K in Primary CNS Lymphoma (PCNSL). Clin. Lymphoma Myeloma Leuk. 2016, 16, S107–S108. [Google Scholar] [CrossRef]
- Illerhaus, G.; Schorb, E.; Kasenda, B. Novel agents for primary central nervous system lymphoma: Evidence and perspectives. Blood 2018, 132, 681–688. [Google Scholar] [CrossRef]
- Aresu, L.; Ferraresso, S.; Marconato, L.; Cascione, L.; Napoli, S.; Gaudio, E.; Kwee, I.; Tarantelli, C.; Testa, A.; Maniaci, C.; et al. New molecular and therapeutic insights into canine diffuse large B cell lymphoma elucidates the role of the dog as a model for human disease. Haematologica 2019, 104, e256–e259. [Google Scholar] [CrossRef]
- Mensah, A.A.; Kwee, I.; Gaudio, E.; Rinaldi, A.; Ponzoni, M.; Cascione, L.; Fossati, G.; Stathis, A.; Zucca, E.; Caprini, G.; et al. Novel HDAC inhibitors exhibit pre-clinical efficacy in lymphoma models and point to the importance of CDKN1A expression levels in mediating their anti-tumor response. Oncotarget 2015, 6, 5059–5071. [Google Scholar] [CrossRef]




| Cell Line | Histology | IC50 (nM) | Apoptosis Induction (At 1500 nM) | BCL2 Translocation | MYC Translocation | TP53 Inactive |
|---|---|---|---|---|---|---|
| CLBL-1 | Canine DLBCL | 267.38 | no | n.a. | n.a. | n.a. |
| DB | GCB-DLBCL | 507.79 | no | 1 | 0 | |
| DOHH2 | GCB-DLBCL | 144.03 | no | 1 | 1 | 0 |
| ESKO-L | MZL | 378.09 | no | n.a. | 0 | n.a. |
| FARAGE | GCB-DLBCL | 246.32 | no | 0 | 0 | 1 |
| FE-PD | PTCL-NOS | 261.14 | no | n.a. | n.a. | n.a. |
| GRANTA519 | MCL | 296.25 | no | 0 | 0 | 1 |
| H9 | CTCL | 614.19 | no | n.a. | n.a. | n.a. |
| HAIR-M | MZL | 332.6 | no | n.a. | 0 | n.a. |
| HBL1 | ABC-DLBCL | 370.8 | no | n.a. | 0 | n.a. |
| HC1 | MZL | 170.76 | no | n.a. | 0 | n.a. |
| HH | CTCL | 128.83 | no | n.a. | n.a. | n.a. |
| HUT-78 | CTCL | 1396.59 | no | n.a. | n.a. | n.a. |
| JEKO1 | MCL | 234.54 | no | 0 | 0 | 1 |
| JVM2 | MCL | 131.66 | no | 0 | 0 | 0 |
| KARPAS1106-P | PMBCL | 322.89 | yes | n.a. | 0 | n.a. |
| KARPAS1718 | MZL | 735.31 | no | n.a. | 0 | 1 |
| KARPAS299 | ALCL, ALK+ | 425.69 | no | n.a. | n.a. | 1 |
| KARPAS422 | GCB-DLBCL | 150.77 | no | 1 | 0 | 1 |
| KI-JK | ALCL, ALK+ | 456.52 | no | n.a. | n.a. | n.a. |
| L82 | ALCL, ALK+ | 364.12 | no | n.a. | n.a. | 1 |
| MAC1 | ALCL, ALK− | 233.13 | no | n.a. | n.a. | n.a. |
| MAVER1 | MCL | 91.78 | no | n.a. | 1 | 1 |
| MEC1 | CLL | 348.52 | no | n.a. | 0 | 1 |
| MINO | MCL | 120.78 | no | n.a. | 1 | 1 |
| OCI-LY-1 | GCB-DLBCL | 314.96 | no | 1 | 0 | 1 |
| OCI-LY-10 | ABC-DLBCL | 220.15 | no | 0 | 0 | 1 |
| OCI-LY-18 | GCB-DLBCL | 285.09 | no | 1 | 1 | 1 |
| OCI-LY-19 | GCB-DLBCL | 128.81 | no | 1 | n.a. | 0 |
| OCI-LY-3 | ABC-DLBCL | 127.2 | no | 0 | 0 | 0 |
| OCI-LY-7 | GCB-DLBCL | 107.01 | no | 0 | 1 | 1 |
| OCI-LY-8 | GCB-DLBCL | 210.4 | no | 1 | 1 | 1 |
| PCL12 | CLL | 109.21 | no | n.a. | 0 | n.a. |
| PFEIFFER | GCB-DLBCL | 1069.2 | no | 1 | 0 | 1 |
| RCK8 | GCB-DLBCL | 5.05 | yes | n.a. | 0 | 0 |
| REC1 | MCL | 80.53 | no | n.a. | 0 | 1 |
| RI-1 | ABC-DLBCL | 346.24 | no | n.a. | 1 | 1 |
| SP49 | MCL | 250 | yes | n.a. | 0 | n.a. |
| SP53 | MCL | 149.61 | no | n.a. | 0 | n.a. |
| SSK41 | MZL | 200.25 | no | n.a. | 0 | n.a. |
| SU-DHL-1 | ALCL, ALK+ | 670.6 | yes | n.a. | n.a. | 1 |
| SU-DHL-10 | GCB-DLBCL | 186.81 | no | 1 | 1 | 1 |
| SU-DHL-16 | GCB-DLBCL | 249.06 | no | n.a. | n.a. | n.a. |
| SU-DHL-2 | ABC-DLBCL | 320.52 | no | 0 | 0 | n.a. |
| SU-DHL-4 | GCB-DLBCL | 226.36 | no | 1 | 0 | 1 |
| SU-DHL-5 | GCB-DLBCL | 166.23 | yes | 0 | 0 | n.a. |
| SU-DHL-6 | GCB-DLBCL | 398.97 | no | 1 | 0 | 1 |
| SU-DHL-8 | GCB-DLBCL | 396.7 | no | 0 | 1 | n.a. |
| TMD8 | ABC-DLBCL | 161.29 | yes | n.a. | 0 | 0 |
| TOLEDO | GCB-DLBCL | 349.22 | yes | 1 | 1 | 1 |
| U2932 | ABC-DLBCL | 239.77 | yes | 0 | 0 | 1 |
| UPN1 | MCL | 253.94 | no | n.a. | 0 | 1 |
| VAL | GCB-DLBCL | 261.31 | no | 1 | 1 | 0 |
| VL51 | MZL | 215.97 | no | n.a. | 0 | n.a. |
| WSU-DLCL2 | GCB-DLBCL | 264.18 | no | 1 | 0 | 1 |
| Z138 | MCL | 237.47 | no | n.a. | 1 | n.a. |
| Histology | Median IC50 (nM) | 95% Conf. Interval | Number of Cell Lines |
|---|---|---|---|
| ABC-DLBCL | 230 | 88–354 | 8 |
| GCB-DLBCL | 249 | 181–325 | 19 |
| Canine DLBCL | 267 | n.d. | 1 |
| MCL | 192 | 101–253 | 10 |
| MZL | 274 | 174–700 | 6 |
| PMBCL | 323 | n.d. | 1 |
| CLL | 229 | 109–349 * | 2 |
| ALCL, ALK+ | 441 | 364–671 * | 4 |
| CTCL | 614 | 129–1370 * | 3 |
| PTCL-NOS | 261 | n.d. | 1 |
| cALCL, ALKneg | 233 | n.d. | 1 |
© 2019 by the authors. Licensee MDPI, Basel, Switzerland. This article is an open access article distributed under the terms and conditions of the Creative Commons Attribution (CC BY) license (http://creativecommons.org/licenses/by/4.0/).
Share and Cite
Tarantelli, C.; Gaudio, E.; Hillmann, P.; Spriano, F.; Sartori, G.; Aresu, L.; Cascione, L.; Rageot, D.; Kwee, I.; Beaufils, F.; et al. The Novel TORC1/2 Kinase Inhibitor PQR620 Has Anti-Tumor Activity in Lymphomas as a Single Agent and in Combination with Venetoclax. Cancers 2019, 11, 775. https://doi.org/10.3390/cancers11060775
Tarantelli C, Gaudio E, Hillmann P, Spriano F, Sartori G, Aresu L, Cascione L, Rageot D, Kwee I, Beaufils F, et al. The Novel TORC1/2 Kinase Inhibitor PQR620 Has Anti-Tumor Activity in Lymphomas as a Single Agent and in Combination with Venetoclax. Cancers. 2019; 11(6):775. https://doi.org/10.3390/cancers11060775
Chicago/Turabian StyleTarantelli, Chiara, Eugenio Gaudio, Petra Hillmann, Filippo Spriano, Giulio Sartori, Luca Aresu, Luciano Cascione, Denise Rageot, Ivo Kwee, Florent Beaufils, and et al. 2019. "The Novel TORC1/2 Kinase Inhibitor PQR620 Has Anti-Tumor Activity in Lymphomas as a Single Agent and in Combination with Venetoclax" Cancers 11, no. 6: 775. https://doi.org/10.3390/cancers11060775
APA StyleTarantelli, C., Gaudio, E., Hillmann, P., Spriano, F., Sartori, G., Aresu, L., Cascione, L., Rageot, D., Kwee, I., Beaufils, F., Zucca, E., Stathis, A., Wymann, M. P., Cmiljanovic, V., Fabbro, D., & Bertoni, F. (2019). The Novel TORC1/2 Kinase Inhibitor PQR620 Has Anti-Tumor Activity in Lymphomas as a Single Agent and in Combination with Venetoclax. Cancers, 11(6), 775. https://doi.org/10.3390/cancers11060775

