Morphological Clues of Acute Monocytic Leukemia in COVID-19-Induced Transient Leukoerythroblastic Reaction with Monocytosis
Abstract
1. Introduction
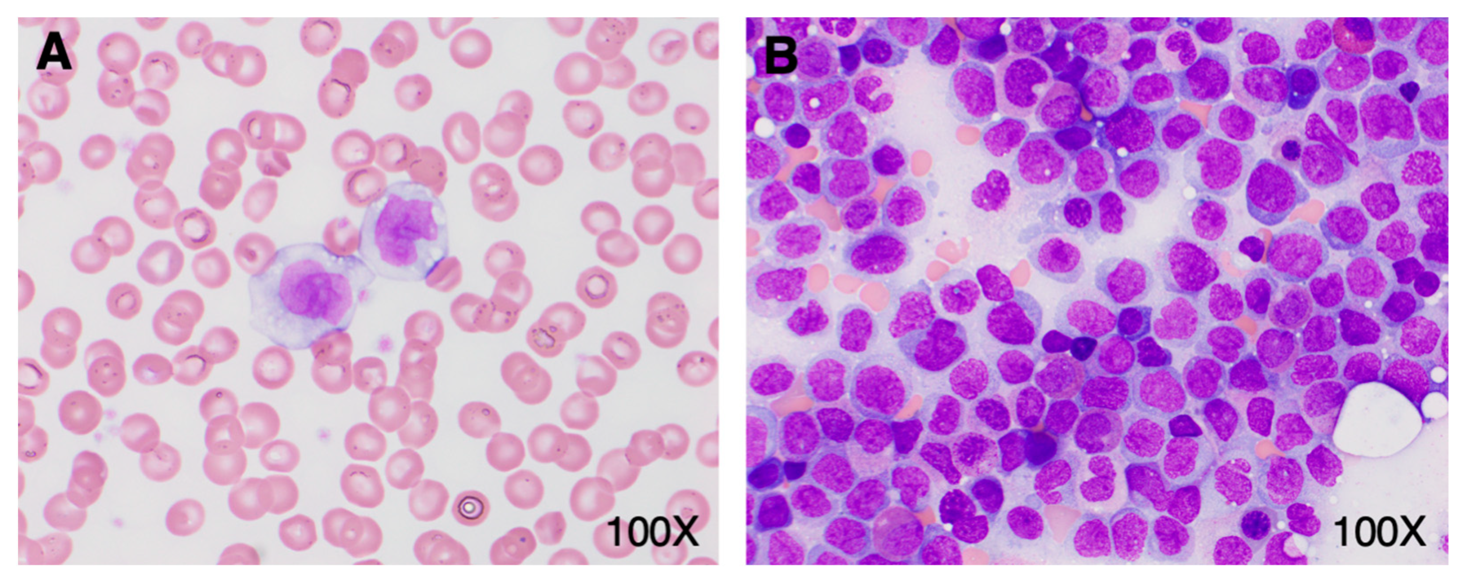
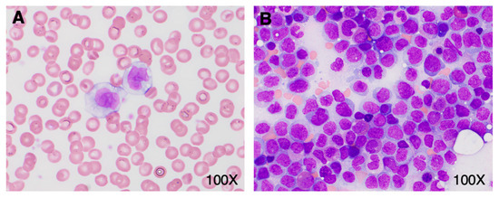
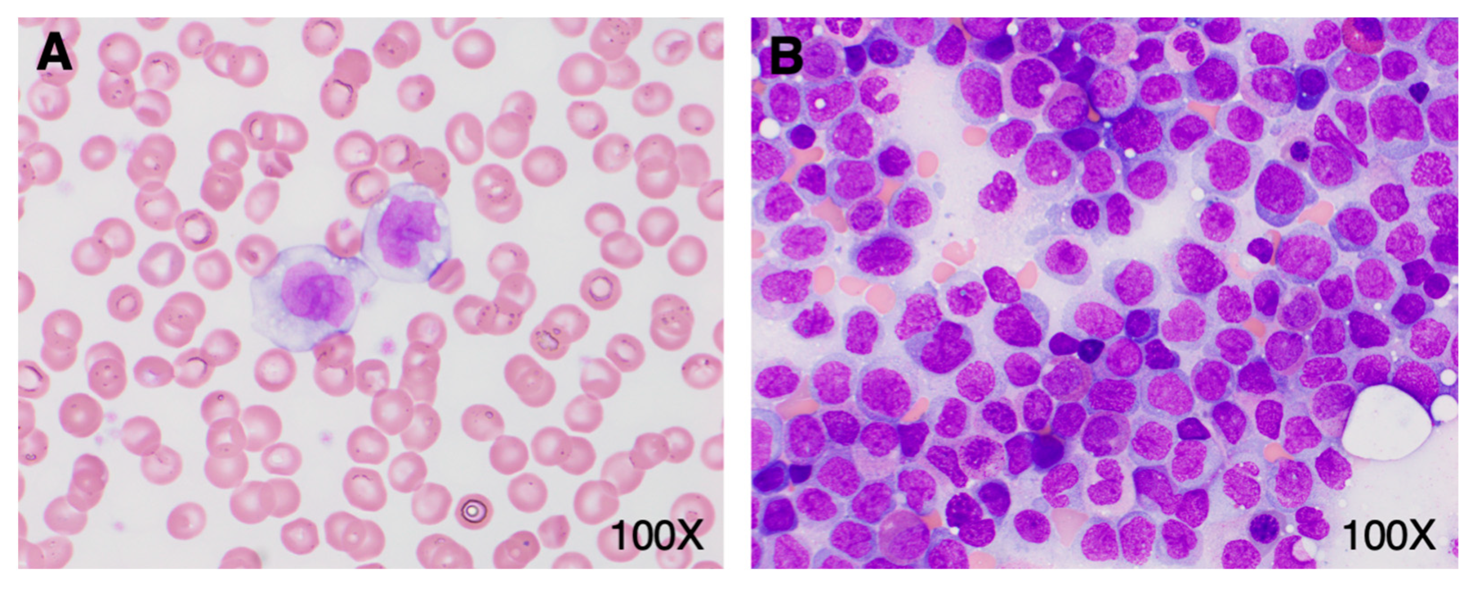
2. Case Report
3. Discussion
4. Conclusions
Author Contributions
Funding
Institutional Review Board Statement
Informed Consent Statement
Data Availability Statement
Conflicts of Interest
References
- Pozdnyakova, O.; Connell, N.T.; Battinelli, E.M.; Connors, J.M.; Fell, G.; Kim, A.S. Clinical Significance of CBC and WBC Morphology in the Diagnosis and Clinical Course of COVID-19 Infection. Am. J. Clin. Pathol. 2021, 155, 364–375. [Google Scholar] [CrossRef] [PubMed]
- Salib, C.; Khattar, P.; Cheng, J.; Teruya-Feldstein, J. Atypical Peripheral Blood Cell Morphology in COVID-19 (Sars-CoV-2) Patients from Mount Sinai Health System in New York City. Blood 2020, 136, 26–27. [Google Scholar] [CrossRef]
- Nazarullah, A.; Liang, C.; Villarreal, A.; Higgins, R.A.; Mais, D.D. Peripheral Blood Examination Findings in SARS-CoV-2 Infection. Am. J. Clin. Pathol. 2020, 154, 319–329. [Google Scholar] [CrossRef] [PubMed]
- El Jamal, S.M.; Salib, C.; Stock, A.; Uriarte-Haparnas, N.I.; Glicksberg, B.S.; Teruya-Feldstein, J.; Dembitzer, F.R.; Nadkarni, G.N.; Firpo-Betancourt, A. Atypical lymphocyte morphology in SARS-CoV-2 infection. Pathol. Res. Pract. 2020, 216, 153063. [Google Scholar] [CrossRef] [PubMed]
- Bain, B.J. Blood Cells: A Practical Guide, 5th ed.; John Wiley & Sons: West Sussex, UK, 2014. [Google Scholar]
- Foucar, K.; Hsi, E.D.; Wang, S.A.; Rogers, H.J.; Hasserjian, R.P.; Bagg, A.; George, T.I.; Bassett, R.L., Jr.; Peterson, L.C.; Morice, W.G., 2nd; et al. Concordance among hematopathologists in classifying blasts plus promonocytes: A bone marrow pathology group study. Int. J. Lab. Hematol. 2020, 42, 418–422. [Google Scholar] [CrossRef] [PubMed]
- Swerdlow, S.H.; Campo, E.; Harris, N.L.; Jaffe, E.S.; Pileri, S.A.; Stein, H.; Thiele, J. WHO Classification of Tumours of Haematopoietic and Lymphoid Tissues, 4th ed.; International Agency for Research on Cancer (IARC): Lyon, France, 2017. [Google Scholar]
- Zhang, D.; Guo, R.; Lei, L.; Liu, H.; Wang, Y.; Wang, Y.; Qian, H.; Dai, T.; Zhang, T.; Lai, Y.; et al. Frontline Science: COVID-19 infection induces readily detectable morphologic and inflammation-related phenotypic changes in peripheral blood monocytes. J. Leukoc. Biol. 2021, 109, 13–22. [Google Scholar] [CrossRef] [PubMed]
- Qin, S.; Jiang, Y.; Wei, X.; Liu, X.; Guan, J.; Chen, Y.; Lu, H.; Qian, J.; Wang, Z.; Lin, X. Dynamic changes in monocytes subsets in COVID-19 patients. Hum. Immunol. 2021, 82, 170–176. [Google Scholar] [CrossRef] [PubMed]
- Vanderbeke, L.; Van Mol, P.; Van Herck, Y.; De Smet, F.; Humblet-Baron, S.; Martinod, K.; Antoranz, A.; Arijs, I.; Boeckx, B.; Bosisio, F.M.; et al. Monocyte-driven atypical cytokine storm and aberrant neutrophil activation as key mediators of COVID-19 disease severity. Nat. Commun. 2021, 12, 4117. [Google Scholar] [CrossRef] [PubMed]
- Aladily, T.N.; Alnahhal, J.; Alshorman, A.; Awidi, A. Transient increase in blast count following COVID-19 infection mimicking acute leukemia. Int. J. Lab. Hematol. 2021, 43, 339–340. [Google Scholar] [CrossRef] [PubMed]
- Barnabei, R.; Di Michele, G.; Cellini, A.; Amicosante, G.; Perilli, M.; Bellio, P.; Piccirilli, A.; Celenza, G. Transient disappearance of CD19+/CD5+ B-lymphocyte clone in peripheral blood in a patient with CLL during SARS-CoV-2-related mild disease. Clin. Case Rep. 2021, 9, e04238. [Google Scholar] [CrossRef] [PubMed]
- Kohla, S.; Ibrahim, F.A.; Aldapt, M.B.; ELSabah, L.; Mohamed, S.; Youssef, R. A Rare Case of Hairy Cell Leukemia with Unusual Loss of CD123 Associated with COVID-19 at the Time of Presentation. Case Rep. Oncol. 2020, 13, 1430–1440. [Google Scholar] [CrossRef] [PubMed]


Disclaimer/Publisher’s Note: The statements, opinions and data contained in all publications are solely those of the individual author(s) and contributor(s) and not of MDPI and/or the editor(s). MDPI and/or the editor(s) disclaim responsibility for any injury to people or property resulting from any ideas, methods, instructions or products referred to in the content. |
© 2024 by the authors. Licensee MDPI, Basel, Switzerland. This article is an open access article distributed under the terms and conditions of the Creative Commons Attribution (CC BY) license (https://creativecommons.org/licenses/by/4.0/).
Share and Cite
Tam, I.S.; Elemary, M.; DeCoteau, J.; Porwit, A.; Torlakovic, E.E. Morphological Clues of Acute Monocytic Leukemia in COVID-19-Induced Transient Leukoerythroblastic Reaction with Monocytosis. Hematol. Rep. 2024, 16, 331-335. https://doi.org/10.3390/hematolrep16020033
Tam IS, Elemary M, DeCoteau J, Porwit A, Torlakovic EE. Morphological Clues of Acute Monocytic Leukemia in COVID-19-Induced Transient Leukoerythroblastic Reaction with Monocytosis. Hematology Reports. 2024; 16(2):331-335. https://doi.org/10.3390/hematolrep16020033
Chicago/Turabian StyleTam, Ingrid S., Mohamed Elemary, John DeCoteau, Anna Porwit, and Emina E. Torlakovic. 2024. "Morphological Clues of Acute Monocytic Leukemia in COVID-19-Induced Transient Leukoerythroblastic Reaction with Monocytosis" Hematology Reports 16, no. 2: 331-335. https://doi.org/10.3390/hematolrep16020033
APA StyleTam, I. S., Elemary, M., DeCoteau, J., Porwit, A., & Torlakovic, E. E. (2024). Morphological Clues of Acute Monocytic Leukemia in COVID-19-Induced Transient Leukoerythroblastic Reaction with Monocytosis. Hematology Reports, 16(2), 331-335. https://doi.org/10.3390/hematolrep16020033

