Abstract
Pancreatic cystic lesions (PCLs) have been increasingly identified in recent years, encompassing a wide spectrum ranging from benign non-evolutive to malignant invasive lesions. Despite various clinical, laboratory, imaging, endoscopic ultrasound, and cytohistological features that may aid clinicians in the complex differential diagnosis of PCLs, only a few pathognomic signs distinctive to specific PCLs have been identified. Although rarely encountered, their proper recognition is crucial for the appropriate management of PCLs. The aim of our review is to extensively discuss and illustrate pathognomic signs in the setting of PCLs.
1. Introduction
Pancreatic cystic lesions (PCLs) encompass a broad spectrum of entities, exhibiting a wide variability in biological behavior, ranging from benign to premalignant to malignant lesions [1,2]. They can be classified into epithelial, non-epithelial, neoplastic, and non-neoplastic [1,2,3]. The epithelial neoplastic group includes mucinous and non-mucinous lesions, which account for approximately 90% of all PCLs [4]. Due to the increased frequency, improved quality, and enhanced accessibility of cross-sectional imaging techniques, PCLs are being increasingly encountered in clinical practice, with an estimated incidence ranging from 3% to 15% and increasing with age [5]. Worth mentioning, PCLs have been reported as incidental findings in 13% to 20% of imaging examinations performed for unrelated reasons [6].
The accurate diagnosis of PCLs is an essential step for appropriate surveillance and management. However, the differential diagnosis of PCLs is complex, often requiring a multidisciplinary approach. To date, no single test has proven accurate enough to diagnose all PCLs [7].
Despite various clinical, laboratory, imaging, endoscopic ultrasound (EUS), and cytohistological features that assist in unraveling the diagnostic puzzle of PCLs, only a few pathognomonic signs distinctive to particular PCLs have been identified. Given their extremely high diagnostic value, involved clinicians should actively search for these signs and be highly confident in their identification.
Our review aims to discuss and illustrate the pathognomonic signs associated with PCLs.
2. Pathognomonic Signs in PCLs
The following pathognomonic signs will be discussed: central stellate scar, ovarian stroma, chylous cystic fluid with high triglyceride levels, fish mouth papilla, and superficial vascular network pattern (Table 1).
Table 1.
Pathognomonic features in pancreatic cystic lesions.
2.1. Central Stellate Scar
The central stellate scar is an imaging finding considered pathognomonic for serous cystic neoplasms (SCNs) [8,9]. It refers to an irregular, star-shaped, dense fibronodular core located at the center of the lesion, with or without calcifications (‘sunburst’ calcifications), from which thin fibrous septa radiate to the periphery. This scar likely results from the fibrous wall of a centrally located, collapsed cyst. The central stellate scar may be detected through computed tomography, magnetic resonance imaging, and EUS [3].
The most common microcystic variant of SCN is characterized by numerous (typically >6) small internal cysts (<20 mm of diameter) separated by thin fibrous septa, which depict its typical ‘honeycomb’ or ‘sponge-like’ appearance [8]. These septa may occasionally centrally coalesce into the so-called stellate scar. Conversely, it is virtually never encountered among the less common variants of SNCs, including the macrocystic (oligocystic), pseudosolid, and mixed serous-neuroendocrine variants [10,11]. Microscopically, the cystic spaces of SCNs are always lined by a single layer of flattened-to-cuboidal epithelial cells, with the central stellate scar being composed of acellular collagenous connective tissue [10,12]. Notably, the central stellate scar has been likened to focal nodular hyperplasia [12].
Although pathognomonic, the central stellate scar is encountered in only approximately 20–30% of cases [13].
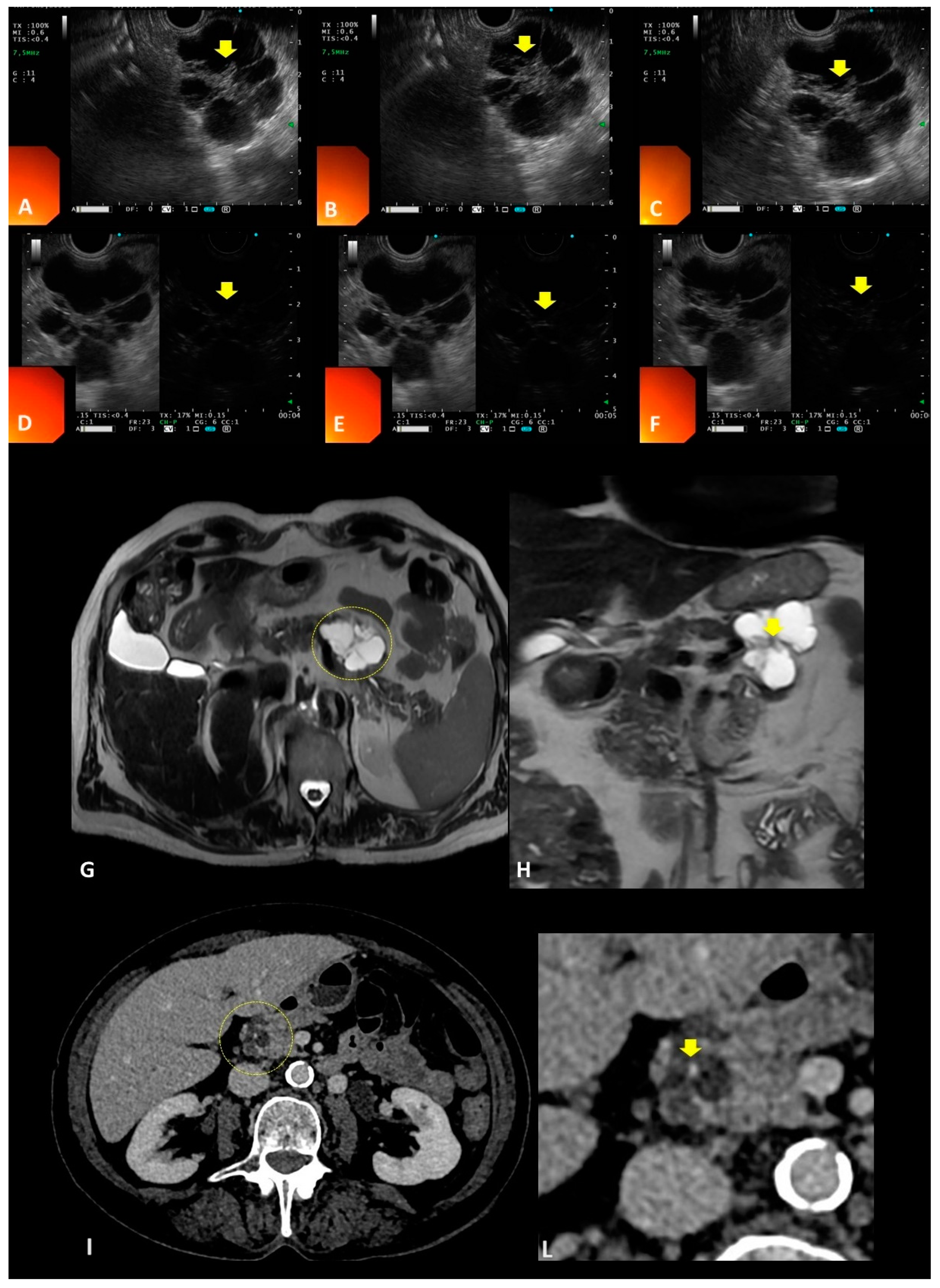
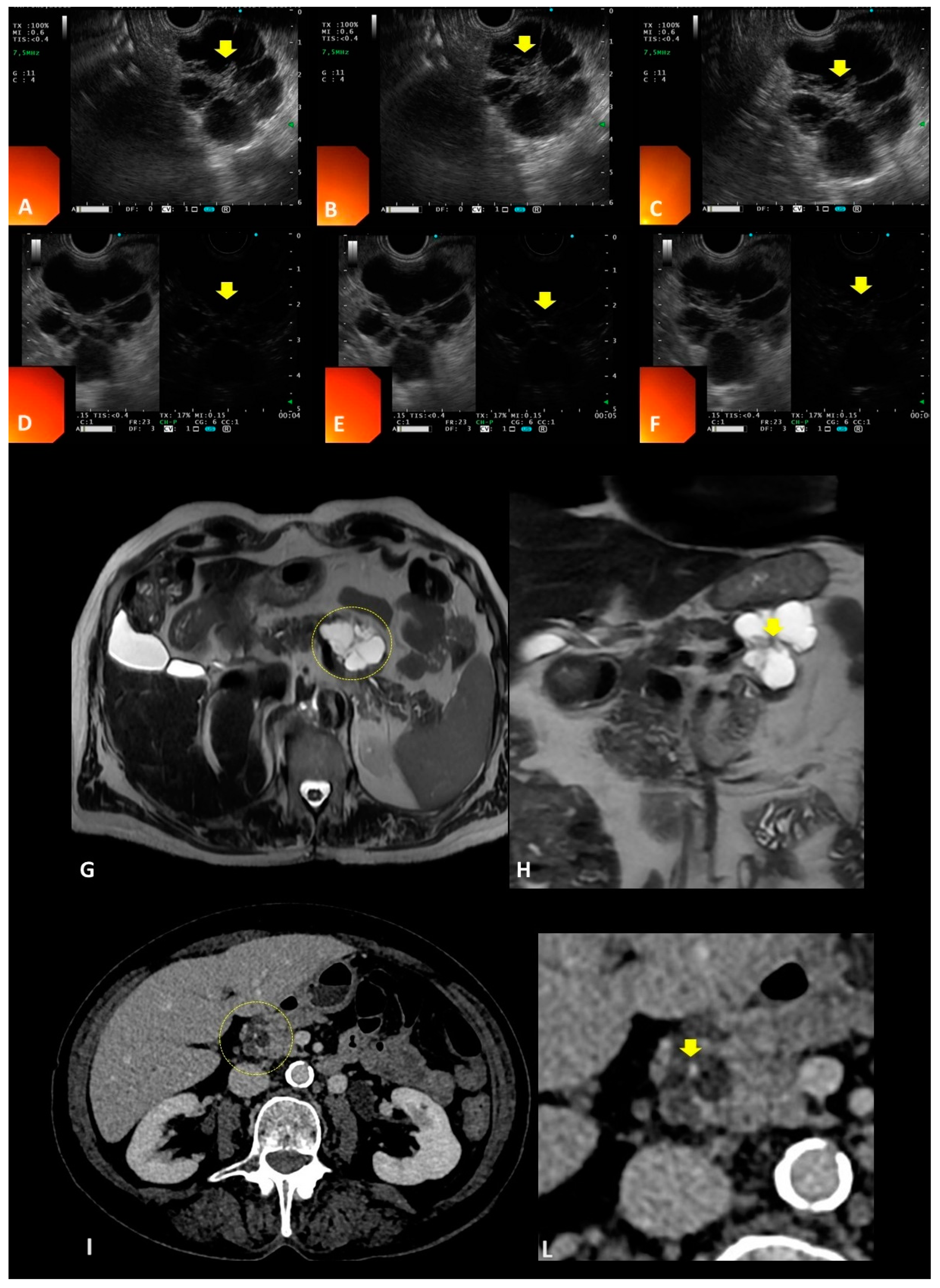
An accurate differential diagnosis of the central stellate scar is crucial. Indeed, central stellate scars may resemble a solid portion or the papillary projection of an intraductal papillary mucinous neoplasm (IPMN) [3]. In such cases, evidence of ductal involvement in IPMN and/or the presence of a microcystic component in SCN is crucial for appropriate differentiation [3]. Furthermore, calcifications may be seen in other PCLs, including mucinous cystic neoplasms (MCNs), IPMNs, solid pseudopapillary neoplasms (SPNs), cystic neuroendocrine tumors (NETs), and pseudocysts [14]. The calcifications observed in SCNs are almost always located within the central stellate scar, as opposed to the peripheral curvilinear or ‘eggshell’ calcifications detected in MCNs, which are typically located within a thickened cyst wall or septum [8,14,15]. Notably, calcifications are encountered in approximately 15% of MCNs and have been reported to be associated with a higher risk of malignancy [16]. Although less frequent, calcifications may also be encountered in IPMNs. Their formation is likely due to the presence of mucin and its tendency to build up calcium salt deposits [16]. Calcifications in IPMNs may be single or multiple, and their location may be mural, septal, or intraductal. Punctate calcification is the most common pattern, followed by coarse and ‘eggshell’ calcifications [16]. Unlike MCNs, their presence in IPMNs has not been correlated with a higher risk of malignancy [16,17]. Furthermore, calcifications are observed in approximately 30% of SPNs, where they are typically peripheral and punctate [16]. Calcifications may also be detected in NETs. They are more common among non-hyperfunctioning and larger NETs due to blood supply outgrowth, which causes cystic changes and dystrophic calcifications. The calcifications are generally centrally located, with a coarse, focal, and irregular pattern [16]. Finally, pseudocysts may very rarely calcify, showing an outer rim of calcification. In this rare instance, other imaging features of chronic pancreatitis are generally present [16]. A case of SCN with the central stellate scar is illustrated in Figure 1.
Figure 1.
Central stellate scar. (A–C): Endoscopic ultrasound view showing a 35 mm multicystic lesion with lobulated contour of the pancreatic body, with a centrally located non-calcified hyperechoic stellate scar (arrow), from which thin, delicate septa radiate to the cystic wall. (D–F): Contrast-enhanced endoscopic ultrasound view showing an enhancing central stellate scar (arrow) and internal septa. (G,H): Axial (G) and coronal (H) T2-weighted magnetic resonance imaging showing a high-signal-intensity polylobulated structure in the pancreatic body (dashed circle, G). The structure features fibrous septa radiating from a non-calcified central scar (arrow, H), with no visible communication between the cystic lesion and the main pancreatic duct. (I,L): Axial computed tomography venous phase showing a 30 mm polylobulated cystic lesion (dashed circle, I) in the pancreatic head. The lesion exhibits a calcified central stellate scar (arrow, L).
2.2. Ovarian Stroma
The ovarian stroma is a histological feature considered pathognomonic for MCNs [18]. Histopathologically, the cyst wall and septa of MCNs characteristically contain densely cellular ovarian-like stroma, which regularly stains positively for progesterone receptors and, to a lesser degree, for estrogen receptors [10,11].
The ovarian stroma is an entity-defining feature of MCNs, explaining its almost exclusive occurrence in perimenopausal women [3]. Worth mentioning, the presence of ovarian stroma is currently regarded not only as a pathognomonic sign but also as a requirement for the diagnosis of MCNs [18,19,20,21].
Notably, the ovarian-like stroma may not be detected on cyst fluid obtained through EUS-guided fine-needle aspiration (EUS-FNA), but rather only in the surgical specimen [19,20,21]. However, intriguingly, the identification of ovarian stroma using EUS-guided through-the-needle biopsy forceps has been reported in a patient affected by MCN with denuded epithelium [22].
The ovarian stroma of MCN is illustrated in Figure 2.
Figure 2.
Ovarian-like stroma. Mucinous cystic neoplasm characterized by mucin-producing columnar epithelium with mild dysplasia (upper side) and ovarian-like stroma (lower side) (Hematoxylin-Eosin stain; ×200).
2.3. Chylous Cyst Fluid with High Triglyceride Levels
The presence of chylous cyst fluid with high triglyceride levels is considered pathognomonic for cystic lymphangiomas (CLs) [23]. Pancreatic CLs are extremely rare benign tumors of the lymphatic system, accounting for approximately 0.2% of all PCLs [24]. They are believed to result from lymphatic flow obstruction, leading to lymphangiectasia, which can be congenital or, less frequently, secondary to inflammation, trauma, radiotherapy, or surgery [25,26].
EUS-FNA of a typical milky cyst fluid with high triglyceride levels greater than 3000 mg/dL on cyst fluid analysis is currently considered sufficient to establish a definitive diagnosis of CL [27,28,29,30]. However, it is noteworthy that milky fluid without high triglyceride levels may also be encountered [31]. False-negative results due to technical issues in assessing triglyceride concentration within the intracystic fluid have been reported [31]. In such complex scenarios, intracystic fluid cytology may aid in guiding the correct diagnosis. Nevertheless, surgical referral may still be necessary [27,32].
2.4. Fish Mouth Papilla
The fish mouth papilla, also known as the fish eye papilla, is an endoscopic sign regarded as pathognomonic for IPMNs [7,9]. It refers to a patulous, enlarged orifice of the duodenal papilla, typically associated with active mucus extrusion [33]. IPMNs are neoplasms of mucin-producing cells that arise in the main pancreatic duct and/or its branches. The affected ducts are dilated and filled with neoplastic papillae and mucus to varying degrees. Based on cytoarchitectural features and immunophenotype, IPMNs are classified into gastric, intestinal, pancreatobiliary, and oncocytic histopathological types [34].
Best assessed using a duodenoscope, the fish mouth papilla is observed in fewer than 30% of IPMNs [7], mainly in the main-duct or mixed type [34,35,36]. Conversely, it is rarely seen in branch duct IPMNs, almost exclusively when located near the papillary orifice [34,35,36]. Primarily involving the major papilla, this sign may also be rarely observed at the minor papilla, especially in cases of altered anatomy of the main pancreatic duct, such as in pancreas divisum [37].
Notably, the fish mouth papilla has been associated with worrisome features/high-risk stigmata, such as main pancreatic duct dilation ≥6 mm and mural nodules [34]. Additionally, it has been significantly correlated with the intestinal type of IPMN, likely due to its higher degree of mucin hypersecretion [34].
The differential diagnosis of a fish mouth papilla mainly includes mucin-hypersecreting bile duct tumors. Although very rarely, these lesions have also been associated with the fish mouth papilla, due to mucin hypersecretion within the bile duct leading to obstruction and subsequent dilation of the papillary orifice [38,39]. However, in such rare instances, the correct diagnosis is usually easily achieved using cross-sectional imaging and EUS.
A case of IPMN with the fish mouth papilla is given in Figure 3.
Figure 3.
Fish mouth papilla. Endoscopic view showing patulous, enlarged duodenal major papilla orifice, actively extruding a large amount of mucus.
2.5. Superficial Vascular Network Pattern
The superficial vascular network (SVN) pattern, also known as the fern pattern of vascularity, is an EUS-guided needle-based confocal laser endomicroscopy (EUS-nCLE) feature that may be considered virtually pathognomonic for SCNs [40,41]. EUS-nCLE is a novel imaging technology enabling real-time microscopic evaluation of intracystic epithelium. High-magnification and resolution images are obtained by introducing CLE probes into PCLs through a 19-gauge FNA needle. Moreover, fluorescein is intravenously administered to further enhance blood vessels and other structures of PCLs [41,42].
The SVN pattern refers to a concentrated network of tortuous, parallel vessels of variable width originating from a central vessel [43,44,45]. Histologically, it corresponds to the characteristic dense subepithelial capillary vascularization of SCNs [43,46,47]. Of note, the SVN pattern may not be detected in cases of poor EUS-nCLE technique or loss of the vascular pattern due to denudation of epithelium in oligocystic SCNs [45,48].
Various epithelial and vascular patterns with high diagnostic accuracy have been reported for the most common types of PCLs [40,41,45]. However, only the SVN pattern has shown 100% specificity across different studies and can be considered a virtually pathognomonic feature [40,41,45]. Nevertheless, EUS-nCLE technology is technically demanding, requiring highly experienced operators, and is not widely available. Finally, large multicenter studies are still needed to confirm the role of EUS-nCLE in PCLs [40,41,45].
3. Conclusions
The differential diagnosis of PCLs may prove challenging, often requiring a multidisciplinary approach to unlock the diagnostic puzzle [7,49]. To date, no single modality has proven accurate enough to diagnose all PCL subtypes [7,49]. While various features seen at cross-sectional imaging, EUS, laboratory tests, and cytohistology may suggest a specific PCL subtype, only a few findings can be considered truly pathognomonic and exclusively indicative of a particular PCL subtype [7]. For example, the presence of a pancreatic duct connection may suggest IPMN, but it may also be observed in other PCL subtypes, such as pseudocysts. Similarly, peripheral ‘eggshell’ calcifications are characteristic of MCNs but may also appear in IPMNs and other rare PCLs [7,14,49,50,51]. Furthermore, a microcystic component is characteristic but not pathognomonic of SCNs, as it can also be observed in other PCLs, such as CLs [7,28].
Intriguingly, next-generation sequencing of EUS-FNA-obtained cyst fluid has recently shown high sensitivity and specificity for various PCL subtypes. However, this advanced diagnostic tool is not yet widely available due to its high cost, and further studies are needed to validate its promising role in differentiating PCLs [52]. Accurate identification of pathognomonic signs in PCLs is crucial, and involved clinicians should actively search for these signs. Given their impact on PCL management, diagnoses should be made with high confidence, preferably at specialized referral centers. For instance, misinterpreting an ‘eggshell’ calcification as a calcified central stellate scar in an MCN may result in premature discontinuation of surveillance without surgical referral. In conclusion, reliable multidisciplinary collaboration is essential in the diagnostic approach to PCLs and in the proper assessment of their pathognomonic signs to avoid suboptimal classification and risk stratification, which could lead to inappropriate surgical decisions or false reassurances.
Author Contributions
Conceptualization, A.M. and L.B.; resources, A.M., L.B., F.P.Z., M.A., R.F., S.C., A.I., E.C. and M.D.S.; writing—original draft preparation, A.M., F.P.Z. and M.A.; writing—review and editing, A.M., L.B., F.P.Z., M.A., R.F., S.C., A.I., E.C. and M.D.S.; visualization, A.M., L.B. and G.L.; supervision, R.D.M., C.M., M.D.S. and G.L.; project administration, A.M. and G.L. All authors have read and agreed to the published version of the manuscript.
Funding
This research received no external funding.
Institutional Review Board Statement
Not applicable.
Informed Consent Statement
Not applicable.
Data Availability Statement
Data are contained within the article.
Conflicts of Interest
The authors declare no conflicts of interest.
References
- Schubach, A.; Kothari, S.; Kothari, T. Pancreatic Cystic Neoplasms: Diagnosis and Management. Diagnostics 2023, 13, 207. [Google Scholar] [CrossRef] [PubMed]
- European Study Group on Cystic Tumours of the Pancreas. European evidence-based guidelines on pancreatic cystic neoplasms. Gut 2018, 67, 789–804. [Google Scholar] [CrossRef] [PubMed]
- Kloth, C.; Haggenmüller, B.; Beck, A.; Wagner, M.; Kornmann, M.; Steinacker, J.P.; Steinacker-Stanescu, N.; Vogele, D.; Beer, M.; Juchems, M.S.; et al. Diagnostic, Structured Classification and Therapeutic Approach in Cystic Pancreatic Lesions: Systematic Findings with Regard to the European Guidelines. Diagnostics 2023, 13, 454. [Google Scholar] [CrossRef] [PubMed]
- Fernández-del Castillo, C.; Targarona, J.; Thayer, S.P.; Rattner, D.W.; Brugge, W.R.; Warshaw, A.L. Incidental pancreatic cysts: Clinicopathologic characteristics and comparison with symptomatic patients. Arch. Surg. 2003, 138, 427–433. [Google Scholar] [CrossRef] [PubMed]
- Canto, M.I.; Hruban, R.H.; Fishman, E.K.; Kamel, I.R.; Schulick, R.; Zhang, Z.; Topazian, M.; Takahashi, N.; Fletcher, J.; Petersen, G.; et al. Frequent Detection of Pancreatic Lesions in Asymptomatic High-Risk Individuals. Gastroenterology 2012, 142, 796–804. [Google Scholar] [CrossRef]
- Zhang, X.M.; Mitchell, D.G.; Dohke, M.; Holland, G.A.; Parker, L. Pancreatic cysts: Depiction on single-shot fast spin-echo MR images. Radiology 2002, 223, 547–553. [Google Scholar] [CrossRef]
- Barresi, L.; Tarantino, I.; Granata, A.; Curcio, G.; Traina, M. Pancreatic cystic lesions: How endoscopic ultrasound morphology and endoscopic ultrasound fine needle aspiration help unlock the diagnostic puzzle. World J. Gastrointest. Endosc. 2012, 4, 247–259. [Google Scholar] [CrossRef] [PubMed] [PubMed Central]
- Antonini, F.; Fuccio, L.; Fabbri, C.; Macarri, G.; Palazzo, L. Management of serous cystic neoplasms of the pancreas. Expert. Rev. Gastroenterol. Hepatol. 2015, 9, 115–125. [Google Scholar] [CrossRef]
- Al-Haddad, M.; El Hajj, I.I.; Eloubeidi, M.A. Endoscopic ultrasound for the evaluation of cystic lesions of the pancreas. JOP J. Pancreas 2010, 11, 299–309. [Google Scholar]
- Basturk, O.; Coban, I.; Adsay, N.V. Pancreatic cysts: Pathologic classification, differential diagnosis, and clinical implications. Arch. Pathol. Lab. Med. 2009, 133, 423–438. [Google Scholar] [CrossRef]
- Abdelkader, A.; Hunt, B.; Hartley, C.P.; Panarelli, N.C.; Giorgadze, T. Cystic Lesions of the Pancreas: Differential Diagnosis and Cytologic-Histologic Correlation. Arch. Pathol. Lab. Med. 2020, 144, 47–61. [Google Scholar] [CrossRef] [PubMed]
- Charville, G.W.; Kao, C.S. Serous Neoplasms of the Pancreas: A Comprehensive Review. Arch. Pathol. Lab. Med. 2018, 142, 1134–1140. [Google Scholar] [CrossRef] [PubMed]
- Warshaw, A.L.; Compton, C.C.; Lewandrowski, K.; Cardenosa, G.; Mueller, P.R. Cystic tumors of the pancreas. New clinical, radiologic, and pathologic observations in 67 patients. Ann. Surg. 1990, 212, 432–443. [Google Scholar] [CrossRef] [PubMed]
- Fung, C. Case 84: Serous Cystadenoma with Central Calcifications. In Pancreatic Imaging; Zaheer, A., Fishman, E., Pittman, M., Hruban, R., Eds.; Springer: Cham, Switzerland, 2017. [Google Scholar] [CrossRef]
- Brugge, W.R. Diagnosis and management of cystic lesions of the pancreas. J. Gastrointest. Oncol. 2015, 6, 375–388. [Google Scholar] [CrossRef]
- Javadi, S.; Menias, C.O.; Korivi, B.R.; Shaaban, A.M.; Patnana, M.; Alhalabi, K.; Elsayes, K.M. Pancreatic Calcifications and Calcified Pancreatic Masses: Pattern Recognition Approach on, C.T. AJR Am. J. Roentgenol. 2017, 209, 77–87. [Google Scholar] [CrossRef] [PubMed]
- Perez-Johnston, R.; Narin, O.; Mino-Kenudson, M.; Ingkakul, T.; Warshaw, A.L.; Fernandez-Del Castillo, C.; Sahani, V.D. Frequency and significance of calcification in IPMN. Pancreatology 2013, 13, 43–47. [Google Scholar] [CrossRef] [PubMed]
- Reddy, R.P.; Smyrk, T.C.; Zapiach, M.; Levy, M.J.; Pearson, R.K.; Clain, J.E.; Farnell, M.B.; Sarr, M.G.; Chari, S.T. Pancreatic mucinous cystic neoplasm defined by ovarian stroma: Demographics, clinical features, and prevalence of cancer. Clin. Gastroenterol. Hepatol. 2004, 2, 1026–1031. [Google Scholar] [CrossRef]
- Tanaka, M.; Fernández-Del Castillo, C.; Kamisawa, T.; Jang, J.Y.; Levy, P.; Ohtsuka, T.; Salvia, R.; Shimizu, Y.; Tada, M.; Wolfgang, C.L. Revisions of international consensus Fukuoka guidelines for the management of IPMN of the pancreas. Pancreatology 2017, 17, 738–753. [Google Scholar] [CrossRef]
- Tanaka, M.; Fernández-del Castillo, C.; Adsay, V.; Chari, S.; Falconi, M.; Jang, J.Y.; Kimura, W.; Levy, P.; Pitman, M.B.; Schmidt, C.M.; et al. International consensus guidelines 2012 for the management of IPMN and MCN of the pancreas. Pancreatology 2012, 12, 183–197. [Google Scholar] [CrossRef]
- Tanaka, M.; Chari, S.; Adsay, V.; Fernandez-del Castillo, C.; Falconi, M.; Shimizu, M.; Yamaguchi, K.; Yamao, K.; Matsuno, S. International consensus guidelines for management of intraductal papillary mucinous neoplasms and mucinous cystic neoplasms of the pancreas. Pancreatology 2006, 6, 17–32. [Google Scholar] [CrossRef]
- Barresi, L.; Tacelli, M.; Chiarello, G.; Tarantino, I.; Traina, M. Mucinous cystic neoplasia with denuded epithelium: EUS through-the-needle biopsy diagnosis. Gastrointest. Endosc. 2018, 88, 771–774. [Google Scholar] [CrossRef] [PubMed]
- Mansour, N.M.; Salyers, W.J., Jr. Recurrence of a pancreatic cystic lymphangioma after diagnosis and complete drainage by endoscopic ultrasound with fine-needle aspiration. JOP J. Pancreas 2013, 14, 280–282. [Google Scholar] [CrossRef]
- Paal, E.; Thompson, L.D.; Heffess, C.S. A clinicopathologic and immunohistochemical study of ten pancreatic lymphangiomas and a review of the literature. Cancer 1998, 82, 2150–2158. [Google Scholar] [CrossRef]
- Colovic, R.B.; Grubor, N.M.; Micev, M.T.; Atkinson, H.D.; Rankovic, V.I.; Jagodic, M.M. Cystic lymphangioma of the pancreas. World J. Gastroenterol. 2008, 14, 6873–6875. [Google Scholar] [CrossRef] [PubMed]
- Barresi, L.; Tarantino, I.; Curcio, G.; Mocciaro, F.; Catalano, P.; Spada, M.; Traina, M. Pancreatic cystic lymphangioma in a 6-year-old girl, diagnosed by endoscopic ultrasound (EUS) fine needle aspiration. Endoscopy 2011, 43, E61–E62. [Google Scholar] [CrossRef]
- Bhatia, V.; Rastogi, A.; Saluja, S.S.; Kumar, M.; Bihari, C.; Kalayarasan, R.; Gupta, N.L. Cystic pancreatic lymphangioma. The first report of a preoperative pathological diagnosis by endoscopic ultrasound-guided cyst aspiration. JOP J. Pancreas 2011, 12, 473–476. [Google Scholar]
- Jathal, A.; Arsenescu, R.; Crowe, G.; Movva, R.; Shamoun, D.K. Diagnosis of pancreatic cystic lymphangioma with EUS-guided FNA: Report of a case. Gastrointest. Endosc. 2005, 61, 920–922. [Google Scholar] [CrossRef]
- Ghatak, S.; Ray, S.; Sanyal, S.; Sonar, P.K.; Khamrui, S.; Basu, K.; Ray, S.; Das, K. An unusual cause of acute abdomen in adults: Giant cystic lymphangioma of the pancreatic head. A clinical case and literature review. JOP J. Pancreas 2011, 12, 266–270. [Google Scholar]
- Hussain, I.; Ang, T.L. Cystic pancreatic lymphangioma diagnosed with endoscopic ultrasound-guided fine needle aspiration. Endosc. Ultrasound. 2017, 6, 136–139. [Google Scholar] [CrossRef]
- François, S.; Martin, M.; Costa, O.; Urbain, D.; Mana, F. Cystic Lymphangioma: Are Triglycerides Always Measurable? Case Rep. Gastrointest. Med. 2018, 2018, 9591420. [Google Scholar] [CrossRef]
- Coe, A.W.; Evans, J.; Conway, J. Pancreas cystic lymphangioma diagnosed with EUS-FNA. JOP J. Pancreas 2012, 13, 282–284. [Google Scholar]
- Aso, T.; Ohtsuka, T.; Ideno, N.; Kono, H.; Nagayoshi, Y.; Mori, Y.; Ohuchida, K.; Ueda, J.; Takahata, S.; Morimatsu, K.; et al. Diagnostic significance of a dilated orifice of the duodenal papilla in intraductal papillary mucinous neoplasm of the pancreas. Gastrointest. Endosc. 2012, 76, 313–320. [Google Scholar] [CrossRef] [PubMed]
- Castellano-Megías, V.M.; Andrés, C.I.; López-Alonso, G.; Colina-Ruizdelgado, F. Pathological features and diagnosis of intraductal papillary mucinous neoplasm of the pancreas. World J. Gastrointest. Oncol. 2014, 6, 311–324. [Google Scholar] [CrossRef] [PubMed] [PubMed Central]
- Asokkumar, R.; Chin, Y.K. Fish-Mouth Papilla. Clin. Gastroenterol. Hepatol. 2018, 16, A34. [Google Scholar] [CrossRef] [PubMed]
- Arnelo, U.; Siiki, A.; Swahn, F.; Segersvärd, R.; Enochsson, L.; del Chiaro, M.; Lundell, L.; Verbeke, C.S.; Löhr, J.M. Single-operator pancreatoscopy is helpful in the evaluation of suspected intraductal papillary mucinous neoplasms (IPMN). Pancreatology 2014, 14, 510–514. [Google Scholar] [CrossRef]
- Dickson, Z.A.; Sauer, B.G. Intraductal papillary mucinous neoplasm of the pancreas associated with pancreas divisum resulting in a “fish-eye” minor papilla. Gastrointest. Endosc. 2020, 91, 1396–1397. [Google Scholar] [CrossRef]
- Katsinelos, P.; Basdanis, G.; Chatzimavroudis, G.; Karagiannoulou, G.; Katsinelos, T.; Paroutoglou, G.; Papaziogas, B.; Paraskevas, G. Pancreatitis complicating mucin-hypersecreting common bile duct adenoma. World J. Gastroenterol. 2006, 12, 4927–4929. [Google Scholar] [CrossRef]
- Kim, H.J.; Kim, M.H.; Lee, S.K.; Yoo, K.S.; Park, E.T.; Lim, B.C.; Park, H.J.; Myung, S.J.; Seo, D.W.; Min, Y.I. Mucin-hypersecreting bile duct tumor characterized by a striking homology with an intraductal papillary mucinous tumor (IPMT) of the pancreas. Endoscopy 2000, 32, 389–393. [Google Scholar] [CrossRef] [PubMed]
- Napoleon, B.; Krishna, S.G.; Marco, B.; Carr-Locke, D.; Chang, K.J.; Ginès, À.; Gress, F.G.; Larghi, A.; Oppong, K.W.; Palazzo, L.; et al. Confocal endomicroscopy for evaluation of pancreatic cystic lesions: A systematic review and international Delphi consensus report. Endosc. Int. Open 2020, 8, E1566–E1581. [Google Scholar] [CrossRef] [PubMed] [PubMed Central]
- Wu, C.C.H.; Lim, S.J.M.; Tan, D.M.Y. Endoscopic ultrasound-guided needle-based confocal laser endomicroscopy for pancreatic cystic lesions: Current status and future prospects. Clin. Endosc. 2024, 57, 434–445. [Google Scholar] [CrossRef] [PubMed] [PubMed Central]
- Konda, V.J.; Meining, A.; Jamil, L.H.; Giovannini, M.; Hwang, J.H.; Wallace, M.B.; Chang, K.J.; Siddiqui, U.D.; Hart, J.; Lo, S.K.; et al. A pilot study of in vivo identification of pancreatic cystic neoplasms with needle-based confocal laser endomicroscopy under endosonographic guidance. Endoscopy 2013, 45, 1006–1013. [Google Scholar] [CrossRef] [PubMed]
- Napoléon, B.; Lemaistre, A.I.; Pujol, B.; Caillol, F.; Lucidarme, D.; Bourdariat, R.; Morellon-Mialhe, B.; Fumex, F.; Lefort, C.; Lepilliez, V.; et al. A novel approach to the diagnosis of pancreatic serous cystadenoma: Needle-based confocal laser endomicroscopy. Endoscopy 2015, 47, 26–32. [Google Scholar] [CrossRef] [PubMed]
- Modi, R.M.; Swanson, B.; Muscarella, P., 2nd; Conwell, D.L.; Krishna, S.G. Novel techniques for diagnosis of serous cystadenoma: Fern pattern of vascularity confirmed by in vivo and ex vivo confocal laser endomicroscopy. Gastrointest. Endosc. 2017, 85, 258–259. [Google Scholar] [CrossRef] [PubMed]
- Krishna, S.G.; Brugge, W.R.; Dewitt, J.M.; Kongkam, P.; Napoleon, B.; Robles-Medranda, C.; Tan, D.; El-Dika, S.; McCarthy, S.; Walker, J.; et al. Needle-based confocal laser endomicroscopy for the diagnosis of pancreatic cystic lesions: An international external interobserver and intraobserver study (with videos). Gastrointest. Endosc. 2017, 86, 644–654.e2, Erratum in Gastrointest. Endosc. 2018, 87, 1599. [Google Scholar] [CrossRef] [PubMed]
- Napoleon, B.; Lemaistre, A.I.; Pujol, B.; Caillol, F.; Lucidarme, D.; Bourdariat, R.; Morellon-Mialhe, B.; Fumex, F.; Lefort, C.; Lepilliez, V.; et al. In vivo characterization of pancreatic cystic lesions by needle-based confocal laser endomicroscopy (nCLE): Proposition of a comprehensive nCLE classification confirmed by an external retrospective evaluation. Surg. Endosc. 2016, 30, 2603–2612. [Google Scholar] [CrossRef] [PubMed]
- Nakai, Y.; Iwashita, T.; Park, D.H.; Samarasena, J.B.; Lee, J.G.; Chang, K.J. Diagnosis of pancreatic cysts: EUS-guided, through-the-needle confocal laser-induced endomicroscopy and cystoscopy trial: DETECT study. Gastrointest. Endosc. 2015, 8, 1204–1214. [Google Scholar] [CrossRef] [PubMed]
- Volkan Adsay, N. Cystic lesions of the pancreas. Mod. Pathol. 2007, 20 (Suppl. S1), S71–S93. [Google Scholar] [CrossRef] [PubMed]
- Scholten, L.; van Huijgevoort, N.C.M.; van Hooft, J.E.; Besselink, M.G.; Del Chiaro, M. Pancreatic Cystic Neoplasms: Different Types, Different Management, New Guidelines. Visc. Med. 2018, 34, 173–177. [Google Scholar] [CrossRef]
- Berland, L.L.; Silverman, S.G.; Gore, R.M.; Mayo-Smith, W.W.; Megibow, A.J.; Yee, J.; Brink, J.A.; Baker, M.E.; Federle, M.P.; Foley, W.D.; et al. Managing incidental findings on abdominal CT: White paper of the ACR incidental findings committee. J. Am. Coll. Radiol. 2010, 7, 754–773. [Google Scholar] [CrossRef] [PubMed]
- Sahani, D.V.; Kadavigere, R.; Saokar, A.; Fernandez-del Castillo, C.; Brugge, W.R.; Hahn, P.F. Cystic pancreatic lesions: A simple imaging-based classification system for guiding management. Radiographics 2005, 25, 1471–1484. [Google Scholar] [CrossRef]
- Paniccia, A.; Polanco, P.M.; Boone, B.A.; Wald, A.I.; McGrath, K.; Brand, R.E.; Khalid, A.; Kubiliun, N.; O’Broin-Lennon, A.M.; Park, W.G.; et al. Prospective, Multi-Institutional, Real-Time Next-Generation Sequencing of Pancreatic Cyst Fluid Reveals Diverse Genomic Alterations That Improve the Clinical Management of Pancreatic Cysts. Gastroenterology 2023, 164, 117–133.e7. [Google Scholar] [CrossRef] [PubMed] [PubMed Central]
Disclaimer/Publisher’s Note: The statements, opinions and data contained in all publications are solely those of the individual author(s) and contributor(s) and not of MDPI and/or the editor(s). MDPI and/or the editor(s) disclaim responsibility for any injury to people or property resulting from any ideas, methods, instructions or products referred to in the content. |
© 2024 by the authors. Licensee MDPI, Basel, Switzerland. This article is an open access article distributed under the terms and conditions of the Creative Commons Attribution (CC BY) license (https://creativecommons.org/licenses/by/4.0/).


