Leptomeninges: Anatomy, Mechanisms of Disease and Neuroimaging
Abstract
1. Introduction
2. Leptomeninges: Anatomical and Embryological Remarks
2.1. Arachnoid Mater
2.2. Subarachnoid Space
2.3. Arachnoid Membranes
2.4. The Subarachnoid Lymphatic-like Membrane (SLYM)
3. Physiology and Functions
3.1. Perivascular Subarachnoid Space
3.2. Meningeal Lymphatics of the Brain: Clearance and Immune Surveillance
4. Neuroimaging of the Subarachnoid Space and Biological Mechanisms of Disease
- -
- Sellar Segment: it is the most frequently identified in imaging studies.
- -
- Diencephalic Segment: it is much less commonly identifiable.
- -
- Mesencephalic Segment: it is often incomplete, thinner, and has a fenestration for the passage of the basilar artery.
- -
- Evaluation of cranial nerves
- -
- Examination of cysts and cystic masses
- -
- Diagnosis of neurocysticercosis
- -
- Assessment of hydrocephalus
- -
- FIESTA: Fast Imaging Employing Steady State Acquisition (General Electric)
- -
- FISP: True Fast Imaging with Steady-State Precession (Siemens)
- -
- Balanced FFE: Balanced Fast Field Echo (Philips)
- -
- SSFP: True Steady-State Free Precession (Toshiba) [114].
4.1. CSF Flow
- -
- Ventricles: approximately 30 mL
- -
- Subarachnoid space around the brain: around 25 mL
- -
- Subarachnoid space around the spinal cord: approximately 75 mL [115].
4.1.1. Hydrocephalus
4.1.2. Endoscopic Third Ventriculostomy
- -
- Inserting an endoscope through the brain parenchyma, usually via the right frontal lobe.
- -
- Navigating the endoscope through the foramen of Monro into the third ventricle.
- -
- Creating a stoma at the floor of the third ventricle, allowing CSF to flow directly into the interpeduncular cistern [134].
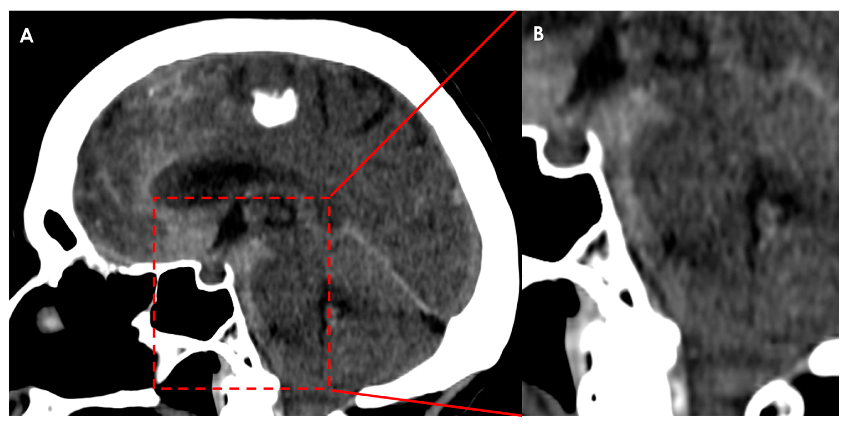
4.2. Subarachnoid Hemorrhage
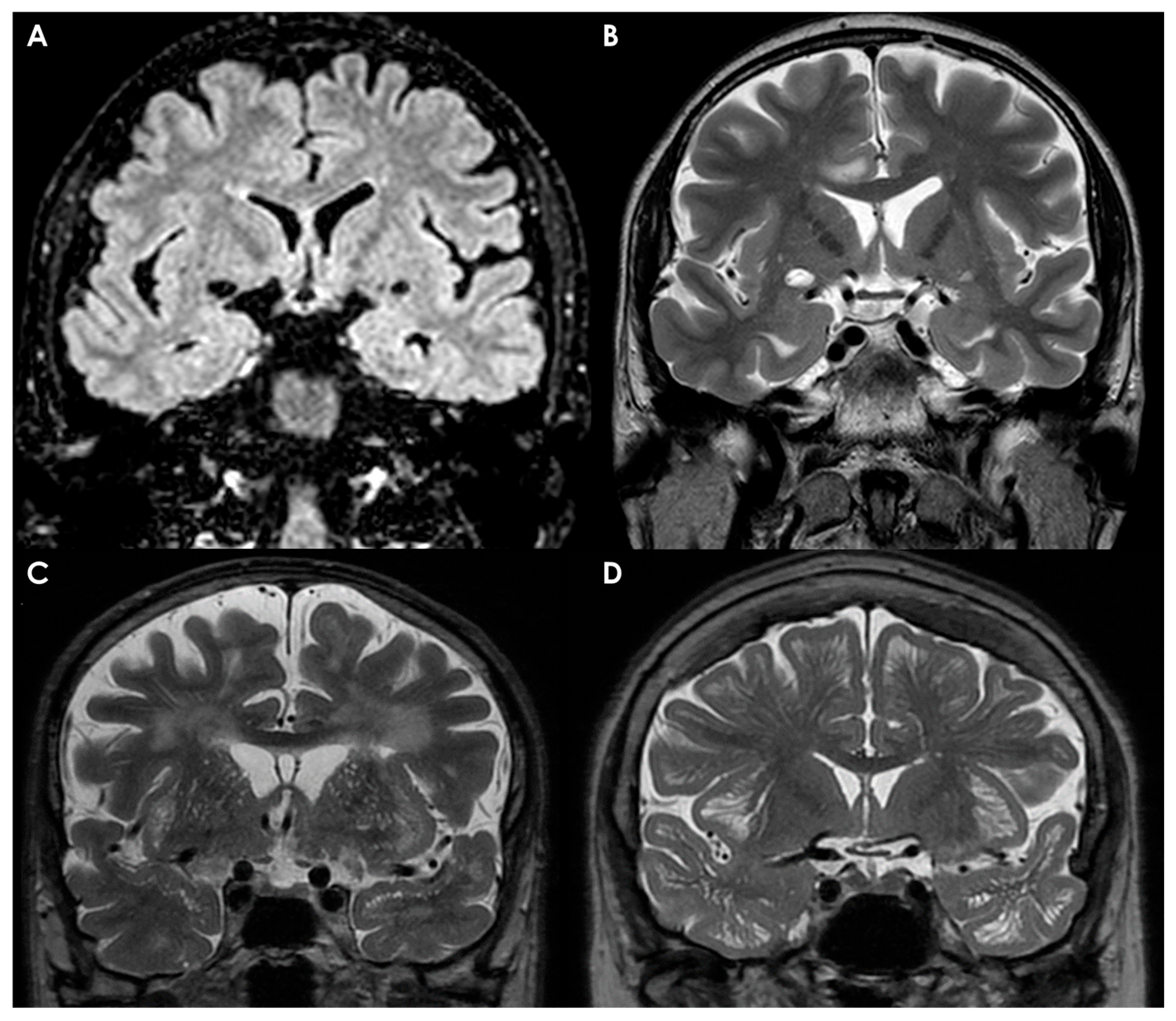
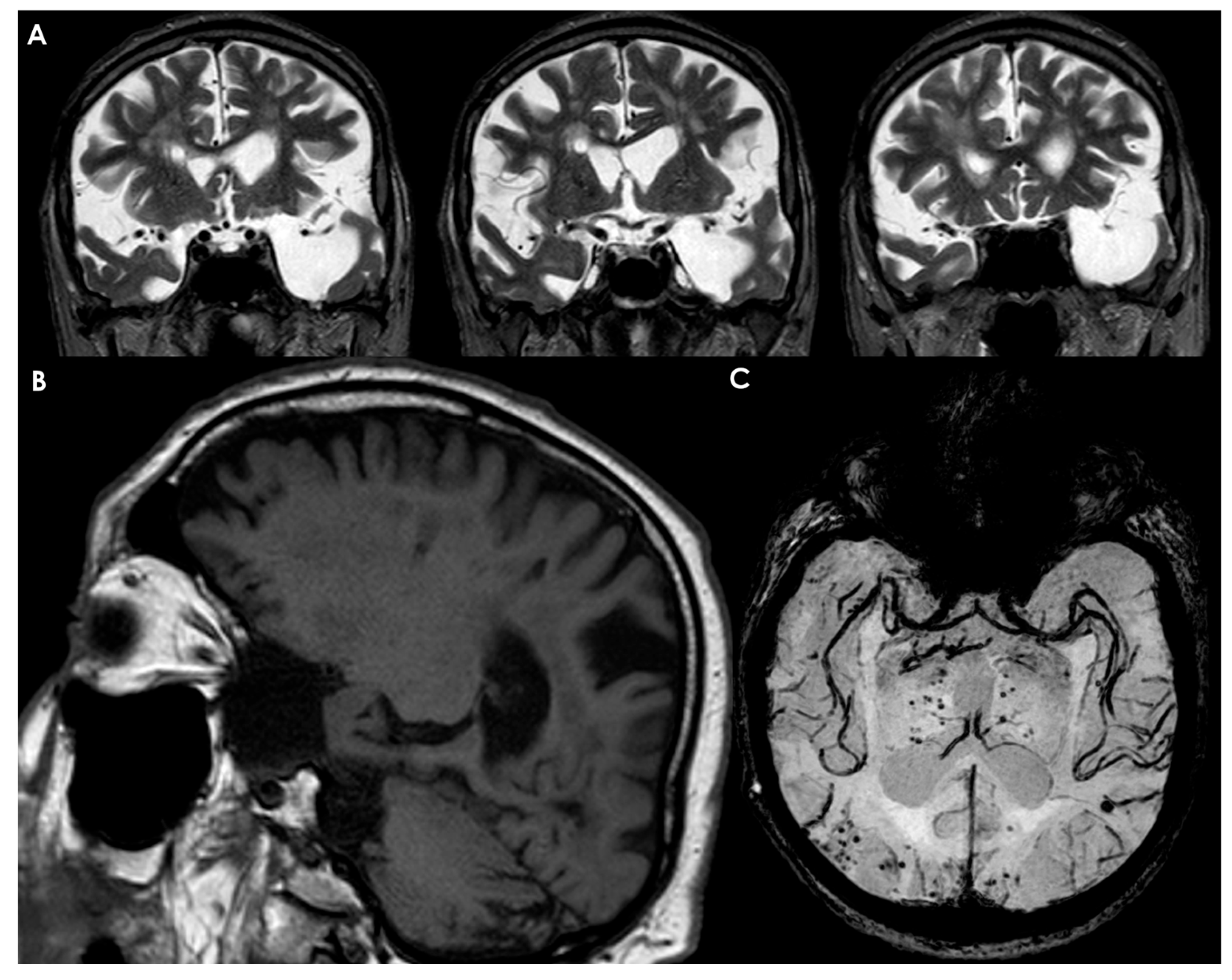
4.3. Arachnoid Cysts
- -
- Sylvian fissure: 103 (49%);
- -
- Cerebellopontine angle: 22 (11%);
- -
- Supracollicular area: 21 (10%);
- -
- Vermian area: 19 (9%);
- -
- Sellar and suprasellar regions: 18 (9%);
- -
- Interhemispheric fissure: 10 (5%);
- -
- Cerebral convexity: 9 (4%);
- -
- Clival region: 6 (3%).
- -
- The subarachnoid space may narrow and potentially obliterate when traced from a normal area toward the cyst.
- -
- At the cyst margin, the arachnoid membrane splits, enclosing the cyst.
- -
- The outer wall contains dense connective tissue with compacted collagen fibers, while the inner wall has loosely arranged collagen fibers.
- -
- The cyst cavity is clear, devoid of proteinaceous material or arachnoid trabeculae.
- -
- Bright’s Theory: Attributed the pathogenesis of arachnoid cysts to the anomalous splitting of the arachnoid membrane.
- -
- Starkman’s Theory: Proposed that small aberrations in CSF pulsation and flow during development could lead to the sequestration of a chamber within the arachnoid membrane.
- -
- Robinson’s Theory: Suggested that differences in hemispheric volumes due to agenesis could result in CSF accumulation and cyst development. However, this theory was later rejected by Shaw [158] and retracted by Robinson in favor of Starkman’s theory.
- -
- Head Trauma: Choi and Kim, along with other authors, reported that head trauma in infancy may contribute to the pathogenesis of arachnoid cysts. They noted a latent period between head trauma and the initial clinical manifestation ranging from 10 months to 6.2 years, with a mean of 2.2 years [159,160].
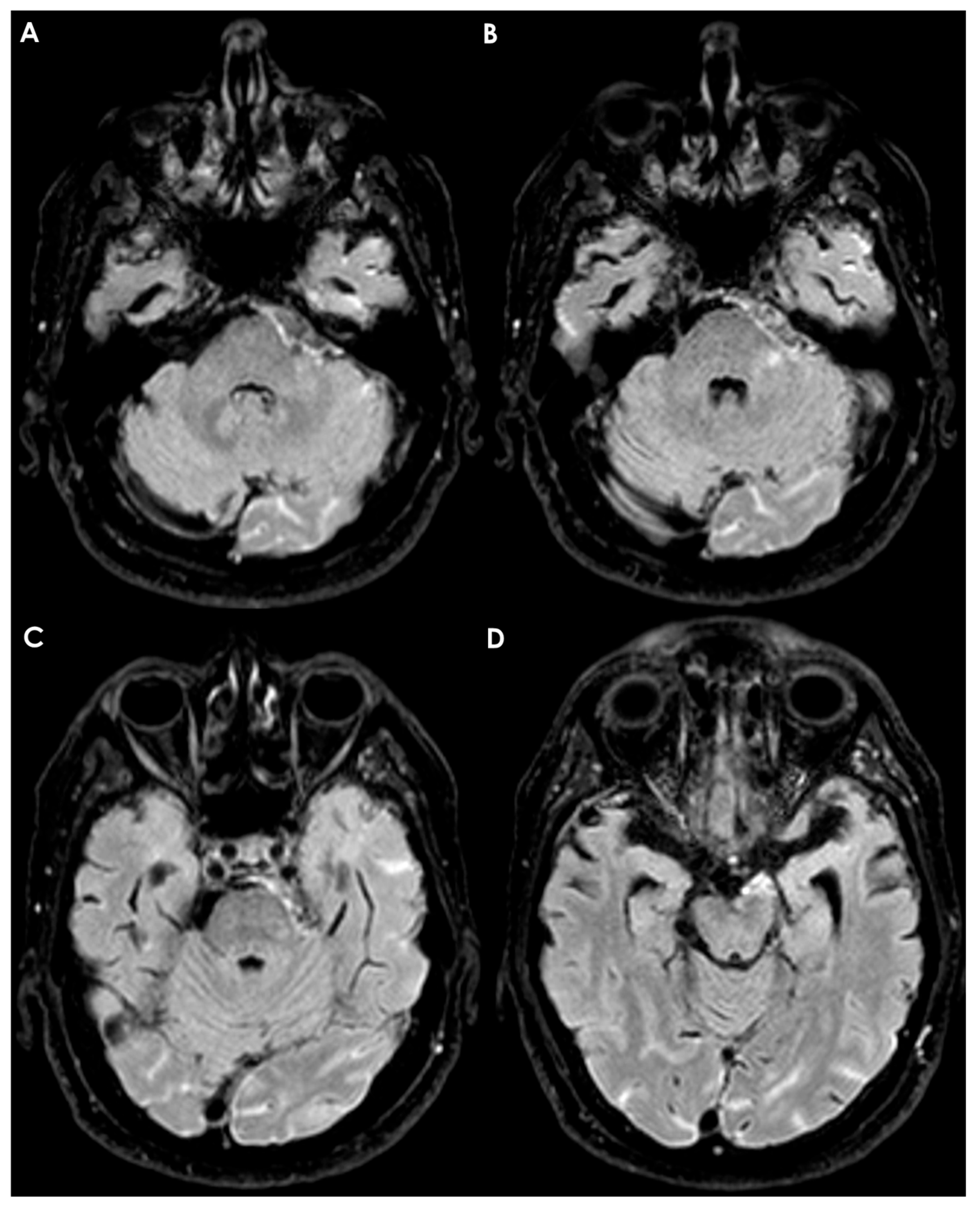
- -
- Small, spindle-shaped lesion confined to the anterior temporal fossa.
- -
- Compresses the anterior temporal pole posteriorly.
- -
- Does not affect the ventricles or midline structures.
- -
- Demonstrates free communication with the subarachnoid space and basal cisterns.
- -
- Generally associated with mild symptoms due to limited compression on surrounding brain structures.
- -
- Medium-sized lesion, roughly triangular or quadrangular in shape.
- -
- Occupies the anterior and middle parts of the temporal fossa, leading to a shortened temporal lobe.
- -
- Extends into the Sylvian fissure, resulting in a widely opened fissure with the insula exposed.
- -
- Communication with the subarachnoid space and cisterns is present but appears less pronounced than in Type I.
- -
- Clinical Implications: Can lead to moderate symptoms due to increased compression on the temporal lobe and adjacent structures.
- -
- Large, round or oval-shaped lesion occupying nearly the entire temporal fossa and a significant area of the cerebral hemisphere.
- -
- Results in atrophy of the temporal lobe and severe compression of the frontal and parietal lobes.
- -
- Involvement of the ventricles and midline structures is observed.
- -
- Unlike the first two types, Type III does not exhibit communication with the subarachnoid space and cisterns.
- -
- Clinical Implications: Often associated with severe neurological deficits due to extensive compression and structural changes in the brain.
4.4. Perivascular Spaces
- -
- -
- Protein Aggregation: Abnormal protein aggregation, such as amyloid beta, may obstruct upstream cortical arteries, leading to interstitial fluid drainage issues and subsequent EPVS expansion [174].
- -
- Brain Atrophy: Age-related brain atrophy creates a cavitation effect, pulling on tissue surrounding blood vessels and resulting in EPVS dilation [177].
- -
- Blood–Brain Barrier Dysfunction: Damage to the blood–brain barrier (BBB) due to factors such as high blood pressure can increase BBB permeability, resulting in fluid leakage and EPVS enlargement [177].
Physiological Background of MRI Evaluation of Perivascular Spaces
5. Conclusions
Author Contributions
Funding
Institutional Review Board Statement
Informed Consent Statement
Data Availability Statement
Conflicts of Interest
References
- Adeeb, N.; Mortazavi, M.M.; Tubbs, R.S.; Cohen-Gadol, A.A. The cranial dura mater: A review of its history, embryology, and anatomy. Childs Nerv. Syst. 2012, 28, 827–837. [Google Scholar] [CrossRef] [PubMed]
- Decimo, I.; Fumagalli, G.; Berton, V.; Krampera, M.; Bifari, F. Meninges: From protective membrane to stem cell niche. Am. J. Stem Cells 2012, 1, 92–105. [Google Scholar] [PubMed]
- Siegenthaler, J.A.; Pleasure, S.J. We have got you ‘covered’: How the meninges control brain development. Curr. Opin. Genet. Dev. 2011, 21, 249–255. [Google Scholar] [CrossRef] [PubMed]
- Richtsmeier, J.T.; Flaherty, K. Hand in glove: Brain and skull in development and dysmorphogenesis. Acta Neuropathol. 2013, 125, 469–489. [Google Scholar] [CrossRef]
- Sanan, A.; van Loveren, H.R. The arachnoid and the myth of arachne. Neurosurgery 1999, 45, 152. [Google Scholar]
- Lü, J. Arachnoid membrane: The first and probably the last piece of the roadmap. Surg. Radiol. Anat. 2015, 37, 127–138. [Google Scholar] [CrossRef]
- Connor, D.E.; Nanda, A. Bengt Liliequist: Life and accomplishments of a true renaissance man. J. Neurosurg. 2017, 126, 645–649. [Google Scholar] [CrossRef]
- Yasargil, M.G.; Kasdaglis, K.; Jain, K.K.; Weber, H.P. Anatomical observations of the subarachnoid cisterns of the brain during surgery. J. Neurosurg. 1976, 44, 298–302. [Google Scholar] [CrossRef]
- Liliequist, B. The anatomy of the subarachnoid cisterns. Acta Radiol. 1956, 46, 61–71. [Google Scholar] [CrossRef]
- Epstein, B.S. The role of a transverse arachnoidal membrane within the interpeduncular cistern in the passage of Pantopaque into the cranial cavity. Radiology 1965, 85, 914–920. [Google Scholar] [CrossRef]
- Fushimi, Y.; Miki, Y.; Ueba, T.; Kanagaki, M.; Takahashi, T.; Yamamoto, A.; Haque, T.L.; Konishi, J.; Takahashi, J.A.; Hashimoto, N.; et al. Liliequist membrane: Three-dimensional constructive interference in steady state MR imaging. Radiology 2003, 229, 360–365. [Google Scholar] [CrossRef] [PubMed]
- Froelich, S.C.; Abdel Aziz, K.M.; Cohen, P.D.; van Loveren, H.R.; Keller, J.T. Microsurgical and endoscopic anatomy of Liliequist’s membrane: A complex and variable structure of the basal cisterns. Neurosurgery 2008, 63, ONS1–ONS9. [Google Scholar] [CrossRef] [PubMed]
- Aspelund, A.; Antila, S.; Proulx, S.T.; Karlsen, T.V.; Karaman, S.; Detmar, M.; Wiig, H.; Alitalo, K. A dural lymphatic vascular system that drains brain interstitial fluid and macromolecules. J. Exp. Med. 2015, 212, 991–999. [Google Scholar] [CrossRef] [PubMed]
- DiNuoscio, G.; Atit, R.P. Wnt/beta-catenin signaling in the mouse embryonic cranial mesenchyme is required to sustain the emerging differentiated meningeal layers. Genesis 2019, 57, e23279. [Google Scholar] [CrossRef]
- Louveau, A.; Smirnov, I.; Keyes, T.J.; Eccles, J.D.; Rouhani, S.J.; Peske, J.D.; Derecki, N.C.; Castle, D.; Mandell, J.W.; Lee, K.S.; et al. Structural and functional features of central nervous system lymphatic vessels. Nature 2015, 523, 337–341. [Google Scholar] [CrossRef]
- O’Rahilly, R.; Muller, F. The meninges in human development. J. Neuropathol. Exp. Neurol. 1986, 45, 588–608. [Google Scholar] [CrossRef]
- Halfter, W.; Dong, S.; Yip, Y.P.; Willem, M.; Mayer, U. A critical function of the pial basement membrane in cortical histogenesis. J. Neurosci. 2002, 22, 6029–6040. [Google Scholar] [CrossRef]
- Angelov, D.N.; Vasilev, V.A. Morphogenesis of rat cranial meninges. A light- and electron-microscopic study. Cell Tissue Res. 1989, 257, 207–216. [Google Scholar] [CrossRef]
- McLone, D.G.; Bondareff, W. Developmental morphology of the subarachnoid space and contiguous structures in the mouse. Am. J. Anat. 1975, 142, 273–293. [Google Scholar] [CrossRef]
- Roybal, P.G.; Wu, N.L.; Sun, J.; Ting, M.C.; Schafer, C.A.; Maxson, R.E. Inactivation of Msx1 and Msx2 in neural crest reveals an unexpected role in suppressing heterotopic bone formation in the head. Dev. Biol. 2010, 343, 28–39. [Google Scholar] [CrossRef]
- Yoshida, T.; Vivatbutsiri, P.; Morriss-Kay, G.; Saga, Y.; Iseki, S. Cell lineage in mammalian craniofacial mesenchyme. Mech. Dev. 2008, 125, 797–808. [Google Scholar] [CrossRef] [PubMed]
- Vivatbutsiri, P.; Ichinose, S.; Hytonen, M.; Sainio, K.; Eto, K.; Iseki, S. Impaired meningeal development in association with apical expansion of calvarial bone osteogenesis in the Foxc1 mutant. J. Anat. 2008, 212, 603–611. [Google Scholar] [CrossRef] [PubMed]
- Antila, S.; Karaman, S.; Nurmi, H.; Airavaara, M.; Voutilainen, M.H.; Mathivet, T.; Chilov, D.; Li, Z.; Koppinen, T.; Park, J.-H.; et al. Development and plasticity of meningeal lymphatic vessels. J. Exp. Med. 2017, 214, 3645–3667. [Google Scholar] [CrossRef]
- Couly, G.F.; Le Douarin, N.M. Mapping of the early neural primordium in quail-chick chimeras. II. The prosencephalic neural plate and neural folds: Implications for the genesis of cephalic human congenital abnormalities. Dev. Biol. 1987, 120, 198–214. [Google Scholar] [CrossRef] [PubMed]
- Couly, G.F.; Coltey, P.M.; Le Douarin, N.M. The developmental fate of the cephalic mesoderm in quail-chick chimeras. Development 1992, 114, 1–15. [Google Scholar] [CrossRef]
- Contugno, D. De Ischiade Nervosa Commentarius; Fretres Simonii: Naples, Italy, 1764. [Google Scholar]
- Magendie, F. Mémoire sur un liquide qui se trouve dans le crâne et la colonne vertebrale de l’homme et des animaux mammifères. J. Physiol. Exp. Pathol. 1825, 5, 27–37. [Google Scholar]
- Rokitansky, C. Handbuch der Speziellen Pathologischen Anatomie; Braumiller & Seidal: Vienna, Austria, 1844. [Google Scholar]
- Virchow, R. Gesammelte Abhandlungen zur Wissenschaftlichen Medizin; Meidinger & Sohn: Frankfurt am Main, Germany, 1856. [Google Scholar]
- Key, A.; Retzius, M.G. Studien in der Anatomie des Nervensystems und des Bindegewebes; Samson & Wallin: Munich, Germany, 1875. [Google Scholar]
- Barshes, N.; Demopoulos, A.; Engelhard, H.H. Anatomy and physiology of the leptomeninges and CSF space. Cancer Treat. Res. 2005, 125, 1–16. [Google Scholar]
- Bichat, M. Traité des membranes en général et de diverses membranes en particulier. Clin. Orthop. Relat. Res. 1800, 107, 3–10. [Google Scholar] [CrossRef][Green Version]
- von Luschka, H. Die Adergeflechte des Menschlichen Gehirnes: Eine Monographie Reimer; BoD: Berlin, Germany, 1855. [Google Scholar]
- Bakay, L. Discovery of the arachnoid membrane. Surg. Neurol. 1991, 36, 63–68. [Google Scholar] [CrossRef]
- Hodges, F.I. Anatomy of the ventricles and subarachnoid spaces. Semin. Roentgenol. 1970, 5, 101–121. [Google Scholar] [CrossRef]
- Rogers, L. The foramen of Magendie. J. Anat. 1931, 65, 457–467. [Google Scholar] [PubMed]
- Sharifi, M.; Ungier, E.; Ciszek, B.; Krajewski, P. Microsurgical anatomy of the foramen of Luschka in the cerebellopontine angle, and its vascular supply. Surg. Radiol. Anat. 2009, 31, 431–437. [Google Scholar] [CrossRef] [PubMed]
- Tubbs, R.S.; Vahedi, P.; Loukas, M.; Shoja, M.M.; Cohen-Gadol, A.A. Hubert von Luschka (1820–1875): His life, discoveries, and contributions to our understanding of the nervous system. J. Neurosurg. 2011, 114, 268–272. [Google Scholar] [CrossRef] [PubMed]
- Yaşargil, M.G. Microsurgical Anatomy of the Basal Cisterns and Vessels of the Brain: Diagnostic Studies, General Operative Techniques and Pathological Considerations of the Intracranial Aneurysms; Thieme: New York, NY, USA, 1984. [Google Scholar]
- Lu, J.; Zhu, X.L. Characteristics of distribution and configuration of intracranial arachnoid membranes. Surg. Radiol. Anat. 2005, 27, 472–481. [Google Scholar] [CrossRef]
- Lu, J.; Zhu, X.L. Cranial arachnoid membranes: Some aspects of microsurgical anatomy. Clin. Anat. 2007, 20, 502–511. [Google Scholar] [CrossRef]
- Killer, H.E.; Laeng, H.R.; Flammer, J.; Groscurth, P. Architecture of arachnoid trabeculae, pillars, and septa in the subarachnoid space of the human optic nerve: Anatomy and clinical considerations. Br. J. Ophthalmol. 2003, 87, 777–781. [Google Scholar] [CrossRef]
- Alcolado, R.; Weller, R.O.; Parrish, E.P.; Garrod, D. The cranial arachnoid and pia mater in man: Anatomical and ultrastructural observations. Neuropathol. Appl. Neurobiol. 1988, 14, 1–17. [Google Scholar] [CrossRef]
- Brasil, A.V.; Schneider, F.L. Anatomy of Liliequist’s membrane. Neurosurgery 1993, 32, 956–960; discussion 951–960. [Google Scholar] [CrossRef]
- Vinas, F.C.; Panigrahi, M. Microsurgical anatomy of the Liliequist’s membrane and surrounding neurovascular territories. Minim. Invasive Neurosurg. 2001, 44, 104–109. [Google Scholar] [CrossRef]
- Matsuno, H.; Rhoton, A.L., Jr.; Peace, D. Microsurgical anatomy of the posterior fossa cisterns. Neurosurgery 1988, 23, 58–80. [Google Scholar] [CrossRef]
- Rhoton, A.L., Jr. The posterior fossa cisterns. Neurosurgery 2000, 47, S287–S297. [Google Scholar] [CrossRef] [PubMed]
- Wang, S.S.; Zheng, H.P.; Zhang, F.H.; Wang, R.M. Microsurgical anatomy of Liliequist’s membrane demonstrating threedimensional configuration. Acta Neurochir. 2011, 153, 191–200. [Google Scholar] [CrossRef] [PubMed]
- Mortazavi, M.M.; Quadri, S.A.; Khan, M.A.; Gustin, A.; Suriya, S.S.; Hassanzadeh, T.; Fahimdanesh, K.M.; Adl, F.H.; Fard, S.A.; Taqi, M.A.; et al. Subarachnoid trabeculae: A comprehensive review of their embryology, histology, morphology, and surgical significance. World Neurosurg. 2018, 111, 279–290. [Google Scholar] [CrossRef]
- Osborn, A.G.; Preece, M.T. Intracranial cysts: Radiologic-pathologic correlation and imaging approach. Radiology 2006, 239, 650–664. [Google Scholar] [CrossRef] [PubMed]
- Logan, C.; Asadi, H.; Kok, H.; Lobby, S.; O’Hare, A. Arachnoid cysts: Common and uncommon clinical presentations and radiological features. J. Neuroimaging Psychiatry Neurol. 2016, 1, 79–84. [Google Scholar] [CrossRef]
- Lü, J.; Zhu, X.I. Microsurgical anatomy of Liliequist’s membrane. Minim. Invasive Neurosurg. 2003, 46, 149–154. [Google Scholar]
- Kurucz, P.; Baksa, G.; Patonay, L.; Hopf, N.J. Endoscopic anatomical study of the arachnoid architecture on the base of the skull, Part II: Level of the tentorium, posterior fossa and the craniovertebral junction. Innov. Neurosurg. 2013, 1, 91–108. [Google Scholar] [CrossRef]
- Volovici, V.; Varvari, I.; Dirven, C.M.; Dammers, R. The membrane of Liliequist: A safe haven in the middle of the brain—A narrative review. Acta Neurochir. 2020, 162, 2235–2244. [Google Scholar] [CrossRef]
- Møllgård, K.; Beinlich, F.R.M.; Kusk, P.; Miyakoshi, L.M.; Delle, C.; Plá, V.; Hauglund, N.L.; Esmail, T.; Rasmussen, M.K.; Gomolka, R.S.; et al. A mesothelium divides the subarachnoid space into functional compartments. Science 2023, 379, 84–88. [Google Scholar] [CrossRef] [PubMed]
- Iliff, J.J.; Wang, M.; Liao, Y.; Plogg, B.A.; Peng, W.; Gundersen, G.A.; Benveniste, H.; Vates, G.E.; Deane, R.; Goldman, S.A.; et al. A paravascular pathway facilitates CSF flow through the brain parenchyma and the clearance of interstitial solutes, including amyloid β. Sci. Transl. Med. 2012, 4, 147ra111. [Google Scholar] [CrossRef]
- Mestre, H.; Tithof, J.; Du, T.; Song, W.; Peng, W.; Sweeney, A.M.; Olveda, G.; Thomas, J.H.; Nedergaard, M.; Kelley, D.H. Flow of cerebrospinal fluid is driven by arterial pulsations and is reduced in hypertension. Nat. Commun. 2018, 9, 4878. [Google Scholar] [CrossRef] [PubMed]
- Fultz, N.E.; Bonmassar, G.; Setsompop, K.; Stickgold, R.A.; Rosen, B.R.; Polimeni, J.R.; Lewis, L.D. Coupled electrophysiological, hemodynamic, and cerebrospinal fluid oscillations in human sleep. Science 2019, 366, 628–631. [Google Scholar] [CrossRef] [PubMed]
- Mestre, H.; Hablitz, L.M.; Xavier, A.L.; Feng, W.; Zou, W.; Pu, T.; Monai, H.; Murlidharan, G.; Castellanos Rivera, R.M.; Simon, M.J.; et al. Aquaporin-4-dependent glymphatic solute transport in the rodent brain. eLife 2018, 7, e40070. [Google Scholar] [CrossRef] [PubMed]
- Rasmussen, M.K.; Mestre, H.; Nedergaard, M. Fluid transport in the brain. Physiol. Rev. 2022, 102, 1025–1151. [Google Scholar] [CrossRef]
- Drieu, A.; Du, S.; Storck, S.E.; Rustenhoven, J.; Papadopoulos, Z.; Dykstra, T.; Zhong, F.; Kim, K.; Blackburn, S.; Mamuladze, T.; et al. Parenchymal border macrophages regulate the flow dynamics of the cerebrospinal fluid. Nature 2022, 611, 585–593. [Google Scholar] [CrossRef]
- Kothur, K.; Wienholt, L.; Brilot, F.; Dale, R.C. CSF cytokines/chemokines as biomarkers in neuroinflammatory CNS disorders: A systematic review. Cytokine 2016, 77, 227–237. [Google Scholar] [CrossRef]
- Mestre, H.; Mori, Y.; Nedergaard, M. The brain’s glymphatic system: Current controversies. Trends Neurosci. 2020, 43, 458–466. [Google Scholar] [CrossRef]
- Tomooka, M.; Kaji, C.; Kojima, H.; Sawa, Y. Distribution of podoplanin-expressing cells in the mouse nervous systems. Acta Histochem. Cytochem. 2013, 46, 171–177. [Google Scholar] [CrossRef]
- Banerji, S.; Ni, J.; Wang, S.X.; Clasper, S.; Su, J.; Tammi, R.; Jones, M.; Jackson, D.G. LYVE-1, a new homologue of the CD44 glycoprotein, is a lymph-specific receptor for hyaluronan. J. Cell Biol. 1999, 144, 789–801. [Google Scholar] [CrossRef]
- Asson-Batres, M.A.; Ahmad, O.; Smith, W.B. Expression of the cellular retinoic acid binding proteins, type II and type I, in mature rat olfactory epithelium. Cell Tissue Res. 2003, 312, 9–19. [Google Scholar] [CrossRef]
- Brøchner, C.B.; Holst, C.B.; Møllgård, K. Outer brain barriers in rat and human development. Front. Neurosci. 2015, 9, 75. [Google Scholar] [CrossRef] [PubMed]
- Etchevers, H.C.; Couly, G.; Vincent, C.; Le Douarin, N.M. Anterior cephalic neural crest is required for forebrain viability. Development 1999, 126, 3533–3543. [Google Scholar] [CrossRef] [PubMed]
- Borrell, V.; Marin, O. Meninges control tangential migration of hem-derived Cajal-Retzius cells via CXCL12/CXCR4 signaling. Nat. Neurosci. 2006, 9, 1284–1293. [Google Scholar] [CrossRef] [PubMed]
- Zarbalis, K.; Choe, Y.; Siegenthaler, J.A.; Orosco, L.A.; Pleasure, S.J. Meningeal defects alter the tangential migration of cortical interneurons in Foxc1hith/hith mice. Neural Dev. 2012, 7, 2. [Google Scholar] [CrossRef]
- Bagri, A.; Gurney, T.; He, X.; Zou, Y.R.; Littman, D.R.; Tessier-Lavigne, M.; Pleasure, S.J. The chemokine SDF1 regulates migration of dentate granule cells. Development 2002, 129, 4249–4260. [Google Scholar] [CrossRef]
- Klein, R.S.; Rubin, J.B.; Gibson, H.D.; DeHaan, E.N.; Alvarez-Hernandez, X.; Segal, R.A.; Luster, A.D. SDF-1 alpha induces chemotaxis and enhances sonic hedgehog-induced proliferation of cerebellar granule cells. Development 2001, 128, 1971–1981. [Google Scholar] [CrossRef]
- Li, G.; Kataoka, H.; Coughlin, S.R.; Pleasure, S.J. Identification of a transient subpial neurogenic zone in the developing dentate gyrus and its regulation by Cxcl12 and reelin signaling. Development 2009, 136, 327–335. [Google Scholar] [CrossRef]
- Ma, Q.; Jones, D.; Borghesani, P.R.; Segal, R.A.; Nagasawa, T.; Kishimoto, T.; Springer, T.A. Impaired B-lymphopoiesis, myelopoiesis, and derailed cerebellar neuron migration in CXCR4- and SDF-1-deficient mice. Proc. Natl. Acad. Sci. USA 1998, 95, 9448–9453. [Google Scholar] [CrossRef]
- Paredes, M.F.; Li, G.; Berger, O.; Baraban, S.C.; Pleasure, S.J. Stromal-derived factor-1 (CXCL12) regulates laminar position of Cajal-Retzius cells in normal and dysplastic brains. J. Neurosci. 2006, 26, 9404–9412. [Google Scholar] [CrossRef]
- Stumm, R.K.; Zhou, C.; Ara, T.; Lazarini, F.; Dubois-Dalcq, M.; Nagasawa, T.; Höllt, V.; Schulz, S. CXCR4 regulates interneuron migration in the developing neocortex. J. Neurosci. 2003, 23, 5123–5130. [Google Scholar] [CrossRef]
- Zhu, Y.; Yu, T.; Zhang, X.C.; Nagasawa, T.; Wu, J.Y.; Rao, Y. Role of the chemokine SDF-1 as the meningeal attractant for embryonic cerebellar neurons. Nat. Neurosci. 2002, 5, 719–720. [Google Scholar] [CrossRef] [PubMed]
- Choe, Y.; Zarbalis, K.S.; Pleasure, S.J. Neural crest-derived Mesenchymal cells require Wnt signaling for their development and drive invagination of the Telencephalic midline. PLoS ONE 2014, 9, e86025. [Google Scholar] [CrossRef] [PubMed][Green Version]
- Haushalter, C.; Schuhbaur, B.; Dolle, P.; Rhinn, M. Meningeal retinoic acid contributes to neocortical lamination and radial migration during mouse brain development. Biol. Open 2017, 6, 148–160. [Google Scholar] [CrossRef] [PubMed]
- Chou, F.-S.; Li, R.; Wang, P.-S. Molecular components and polarity of radial glial cells during cerebral cortex development. Cell. Mol. Life Sci. 2018, 75, 1027–1041. [Google Scholar] [CrossRef]
- Labelle-Dumais, C.; Dilworth, D.J.; Harrington, E.P.; De Leau, M.; Lyons, D.; Kabaeva, Z.; Manzini, M.C.; Dobyns, W.B.; A Walsh, C.; E Michele, D.; et al. COL4A1 mutations cause ocular dysgenesis, neuronal localization defects, and myopathy in mice and Walker-Warburg syndrome in humans. PLoS Genet. 2011, 7, e1002062. [Google Scholar] [CrossRef]
- Siegenthaler, J.A.; Ashique, A.M.; Zarbalis, K.; Patterson, K.P.; Hecht, J.H.; Kane, M.A.; Folias, A.E.; Choe, Y.; May, S.R.; Kume, T.; et al. Retinoic acid from the meninges regulates cortical neuron generation. Cell 2009, 139, 597–609. [Google Scholar] [CrossRef]
- Chatzi, C.; Cunningham, T.J.; Duester, G. Investigation of retinoic acid function during embryonic brain development using retinaldehyderescued Rdh10 knockout mice. Dev. Dyn. 2013, 242, 1056–1065. [Google Scholar] [CrossRef]
- Choe, Y.; Kozlova, A.; Graf, D.; Pleasure, S.J. Bone Morphogenic protein signaling is a major determinant of dentate development. J. Neurosci. 2013, 33, 6766–6775. [Google Scholar] [CrossRef]
- Haldipur, P.; Gillies, G.S.; Janson, O.K.; Chizhikov, V.V.; Mithal, D.S.; Miller, R.J.; Millen, K.J. Foxc1 dependent mesenchymal signaling drives embryonic cerebellar growth. eLife 2014, 3, e03962. [Google Scholar] [CrossRef]
- Mishra, S.; Choe, Y.; Pleasure, S.J.; Siegenthaler, J.A. Cerebrovascular defects in Foxc1 mutants correlate with aberrant WNT and VEGF-A pathways downstream of retinoic acid from the meninges. Dev. Biol. 2016, 420, 148–165. [Google Scholar] [CrossRef]
- Bonney, S.; Harrison-Uy, S.; Mishra, S.; MacPherson, A.M.; Choe, Y.; Li, D.; Jaminet, S.-C.; Fruttiger, M.; Pleasure, S.J.; Siegenthaler, J.A. Diverse functions of retinoic acid in brain vascular development. J. Neurosci. 2016, 36, 7786–7801. [Google Scholar] [CrossRef]
- Tischfield, M.A.; Robson, C.D.; Gilette, N.M.; Chim, S.M.; Sofela, F.A.; DeLisle, M.M.; Gelber, A.; Barry, B.J.; MacKinnon, S.; Dagi, L.R.; et al. Cerebral vein malformations result from loss of Twist1 expression and BMP signaling from skull progenitor cells and Dura. Dev. Cell 2017, 42, 445–461 e445. [Google Scholar] [CrossRef] [PubMed]
- Choe, Y.; Siegenthaler, J.A.; Pleasure, S.J. A cascade of morphogenic signaling initiated by the meninges controls corpus callosum formation. Neuron 2012, 73, 698–712. [Google Scholar] [CrossRef] [PubMed]
- Bifari, F.; Berton, V.; Pino, A.; Kusalo, M.; Malpeli, G.; Di Chio, M.; Bersan, E.; Amato, E.; Scarpa, A.; Krampera, M.; et al. Meninges harbor cells expressing neural precursor markers during development and adulthood. Front. Cell. Neurosci. 2015, 9, 383. [Google Scholar] [CrossRef] [PubMed]
- Bifari, F.; Decimo, I.; Chiamulera, C.; Bersan, E.; Malpeli, G.; Johansson, J.; Lisi, V.; Bonetti, B.; Fumagalli, G.; Pizzolo, G.; et al. Novel stem/progenitor cells with neuronal differentiation potential reside in the leptomeningeal niche. J. Cell. Mol. Med. 2009, 13, 3195–3208. [Google Scholar] [CrossRef]
- Bifari, F.; Decimo, I.; Pino, A.; Llorens-Bobadilla, E.; Zhao, S.; Lange, C.; Panuccio, G.; Boeckx, B.; Thienpont, B.; Vinckier, S.; et al. Neurogenic radial glia-like cells in meninges migrate and differentiate into functionally integrated neurons in the neonatal cortex. Cell Stem Cell 2017, 20, 360. [Google Scholar] [CrossRef]
- Devisme, L.; Bouchet, C.; Gonzalès, M.; Alanio, E.; Bazin, A.; Bessières, B.; Bigi, N.; Blanchet, P.; Bonneau, D.; Bonnières, M.; et al. Cobblestone lissencephaly: Neuropathological subtypes and correlations with genes of dystroglycanopathies. Brain 2012, 135, 469–482. [Google Scholar] [CrossRef]
- Verrotti, A.; Spalice, A.; Ursitti, F.; Papetti, L.; Mariani, R.; Castronovo, A.; Mastrangelo, M.; Iannetti, P. New trends in neuronal migration disorders. Eur. J. Paediatr. Neurol. 2010, 14, 1–12. [Google Scholar] [CrossRef]
- Imataka, G.; Yamanouchi, H.; Arisaka, O. Dandy-Walker syndrome and chromosomal abnormalities. Congenit. Anom. 2007, 47, 113–118. [Google Scholar] [CrossRef]
- Aldinger, K.A.; Lehmann, O.J.; Hudgins, L.; Chizhikov, V.V.; Bassuk, A.G.; Ades, L.C.; Krantz, I.D.; Dobyns, W.B.; Millen, K.J. FOXC1 is required for normal cerebellar development and is a major contributor to chromosome 6p25.3 Dandy-Walker malformation. Nat. Genet. 2009, 41, 1037–1042. [Google Scholar] [CrossRef]
- Weller, R.O.; Sharp, M.M.; Christodoulides, M.; Carare, R.O.; Møllgård, K. The meninges as barriers and facilitators for the movement of fluid, cells and pathogens related to the rodent and human CNS. Acta Neuropathol. 2018, 35, 363–385. [Google Scholar] [CrossRef]
- Nauen, D.W.; Troncoso, J.C. Amyloid-beta is present in human lymph nodes and greatly enriched in those of the cervical region. Alzheimer’s Dement. J. Alzheimer’s Assoc. 2022, 18, 205–210. [Google Scholar] [CrossRef] [PubMed]
- Rustenhoven, J.; Kipnis, J. Brain borders at the central stage of neuroimmunology. Nature 2022, 612, 417–429. [Google Scholar] [CrossRef] [PubMed]
- Mazzitelli, J.A.; Smyth, L.C.D.; Cross, K.A.; Dykstra, T.; Sun, J.; Du, S.; Mamuladze, T.; Smirnov, I.; Rustenhoven, J.; Kipnis, J. Cerebrospinal fluid regulates skull bone marrow niches via direct access through dural channels. Nat. Neurosci. 2022, 25, 555–560. [Google Scholar] [CrossRef] [PubMed]
- Da Mesquita, S.; Papadopoulos, Z.; Dykstra, T.; Brase, L.; Farias, F.G.; Wall, M.; Jiang, H.; Kodira, C.D.; de Lima, K.A.; Herz, J.; et al. Meningeal lymphatics affect microglia responses and anti-Aβ immunotherapy. Nature 2021, 593, 255–260. [Google Scholar] [CrossRef]
- Lu, S.; Brusic, A.; Gaillard, F. ArachnoidMembranes:Crawling Back into Radiologic Consciousness. Am. J. Neuroradiol. 2022, 43, 167–175. [Google Scholar] [CrossRef]
- Eide, P.K.; Ringstad, G. Functional analysis of the human perivascular subarachnoid space. Nat. Commun. 2024, 15, 2001. [Google Scholar] [CrossRef]
- Zhang, E.T.; Inman, C.B.; Weller, R.O. Interrelationships of the pia mater and the perivascular (Virchow-Robin) spaces in the human cerebrum. J. Anat. 1990, 170, 111–123. [Google Scholar]
- Yankova, G.; Bogomyakova, O.; Tulupov, A. The glymphatic system and meningeal lymphatics of the brain: New understanding of brain clearance. Rev. Neurosci. 2021, 32, 693–705. [Google Scholar] [CrossRef]
- Louveau, A.; Harris, T.H.; Kipnis, J. Revisiting the mechanisms of CNS immune privilege. Trends Immunol. 2015, 36, 569–577. [Google Scholar] [CrossRef]
- Louveau, A.; Herz, J.; Alme, M.N.; Salvador, A.F.; Dong, M.Q.; Viar, K.E.; Herod, S.G.; Knopp, J.; Setliff, J.C.; Lupi, A.L.; et al. CNS lymphatic drainage and neuroinflammation are regulated by meningeal lymphatic vasculature. Nat. Neurosci. 2018, 21, 1380–1391. [Google Scholar] [CrossRef] [PubMed]
- Louveau, A.; Plog, B.A.; Antila, S.; Alitalo, K.; Nedergaard, M.; Kipnis, J. Understanding the functions and relationships of the glymphatic system and meningeal lymphatics. J. Clin. Investig. 2017, 127, 3210–3219. [Google Scholar] [CrossRef] [PubMed]
- Da Mesquita, S.; Louveau, A.; Vaccari, A.; Smirnov, I.; Cornelison, R.C.; Kingsmore, K.M.; Contarino, C.; Onengut-Gumuscu, S.; Farber, E.; Raper, D.; et al. Functional aspects of meningeal lymphatics in ageing and Alzheimer’s disease. Nature 2018, 560, 185–191. [Google Scholar] [CrossRef] [PubMed]
- Iliff, J.J.; Chen, M.J.; Plog, B.A.; Zeppenfeld, D.M.; Soltero, M.; Yang, L.; Singh, I.; Deane, R.; Nedergaard, M. Impairment of glymphatic pathway function promotes tau pathology after traumatic brain injury. J. Neurosci. 2014, 34, 16180–16193. [Google Scholar] [CrossRef]
- Eide, P.K.; Ringstad, G. MRI with intrathecal MRI gadolinium contrast medium administration: A possible method to assess glymphatic function in human brain. Acta Radiol. Open 2015, 4, 2058460115609635. [Google Scholar] [CrossRef]
- Kress, B.T.; Iliff, J.J.; Xia, M.; Wang, M.; Wei, H.; Zeppenfeld, D.; Xie, L.; Kang, H.; Xu, Q.; Liew, J.; et al. Impairment of paravascular clearance pathways in the aging brain. Ann. Neurol. 2014, 76, 845–861. [Google Scholar] [CrossRef]
- Hoeffner, E.G.; Mukherji, S.K.; Srinivasan, A.; Quint, D.J. Neuroradiology back to the future: Brain imaging. Am. J. Neuroradiol. 2012, 33, 5–11. [Google Scholar] [CrossRef]
- Gonçalves, F.G.; do Amaral, L.L.F. Constructive interference in steady state imaging in the central nervous system. Eur. Neurol. Rev. 2011, 6, 138–142. [Google Scholar] [CrossRef]
- Bothwell, S.W.; Janigro, D.; Patabendige, A. Cerebrospinal fluid dynamics and intracranial pressure elevation in neurological diseases. Fluids Barriers CNS 2019, 16, 9. [Google Scholar] [CrossRef]
- Sakka, L.; Coll, G.; Chazal, J. Anatomy and physiology of cerebrospinal fluid. Eur. Ann. Otorhinolaryngol. Head. Neck Dis. 2011, 128, 309–316. [Google Scholar] [CrossRef]
- Dreha-Kulaczewski, S.; Konopka, M.; Joseph, A.A.; Kollmeier, J.; Merboldt, K.D.; Ludwig, H.C.; Gärtner, J.; Frahm, J. Respiration and the watershed of spinal CSF flow in humans. Sci. Rep. 2018, 8, 5594. [Google Scholar] [CrossRef] [PubMed]
- Chikly, B.; Quaghebeur, J. Reassessing cerebrospinal fluid (CSF) hydrodynamics: A literature review presenting a novel hypothesis for CSF physiology. J. Bodyw. Mov. Ther. 2013, 17, 344–354. [Google Scholar] [CrossRef] [PubMed]
- Brinker, T.; Stopa, E.; Morrison, J.; Klinge, P. A new look at cerebrospinal fluid circulation. Fluids Barriers CNS 2014, 11, 10. [Google Scholar] [CrossRef] [PubMed]
- Iliff, J.J.; Nedergaard, M. Is there a cerebral lymphatic system? Stroke 2013, 44, S93–S95. [Google Scholar] [CrossRef]
- Ray, L.; Iliff, J.J.; Heys, J.J. Analysis of convective and diffusive transport in the brain interstitium. Fluids Barriers CNS 2019, 16, 6. [Google Scholar] [CrossRef]
- Bradley, W.G. CSF flowin the brain in the context of normal pressure hydrocephalus. Am. J. Neuroradiol. 2015, 36, 83138. [Google Scholar] [CrossRef]
- Brodbelt, A.; Stoodley, M. CSF pathways: A review. Br. J. Neurosurg. 2007, 21, 510–520. [Google Scholar] [CrossRef]
- Kehler, U.; Gliemroth, J. Extraventricular intracisternal obstructive hydrocephalus: A hypothesis to explain successful 3rd ventriculostomy in communicating hydrocephalus. Pediatr. Neurosurg. 2003, 38, 98–101. [Google Scholar] [CrossRef]
- Laitt, R.D.; Mallucci, C.L.; Jaspan, T.; McConachie, N.S.; Vloeberghs, M.; Punt, J. Constructive interference in steady-state 3D Fourier-transform MRI in the management of hydrocephalus and third ventriculostomy. Neuroradiology 1999, 41, 117–123. [Google Scholar] [CrossRef]
- Dinçer, A.; Kohan, S.; Özek, M.M. Is all “communicating” hydrocephalus really communicating? Prospective study on the value of 3Dconstructive interference in steady state sequence at 3T. Am. J. Neuroradiol. 2009, 30, 1898–1906. [Google Scholar] [CrossRef]
- Relkin, N.R.; Marmarou, A.; Klinge, P.; Bergsneider, M.; Black, P.M. Diagnosing idiopathic normal-pressure hydrocephalus. Neurosurgery 2005, 57, S4–S16. [Google Scholar] [CrossRef] [PubMed]
- Eide, P.K.; Pripp, A.H.; Ringstad, G. Magnetic resonance imaging biomarkers of cerebrospinal fluid tracer dynamics in idiopathic normal pressure hydrocephalus. Brain Commun. 2020, 2, fcaa187. [Google Scholar] [CrossRef] [PubMed]
- Hashimoto, M.; Ishikawa, M.; Mori, E.; Kuwana, N. Diagnosis of idiopathic normal pressure hydrocephalus is supported by MRI-based scheme: A prospective cohort study. Cerebrospinal Fluid. Res. 2010, 7, 18. [Google Scholar] [CrossRef] [PubMed]
- Park, H.Y.; Park, C.R.; Suh, C.H.; Kim, M.J.; Shim, W.H.; Kim, S.J. Prognostic Utility of Disproportionately Enlarged Subarachnoid Space Hydrocephalus in Idiopathic Normal Pressure Hydrocephalus Treated with Ventriculoperitoneal Shunt Surgery: A Systematic Review and Meta-analysis. Am. J. Neuroradiol. 2021, 42, 1429–1436. [Google Scholar] [CrossRef]
- Kazui, H.; Miyajima, M.; Mori, E.; Ishikawa, M. Lumboperitoneal shunt surgery for idiopathic normal pressure hydrocephalus (SINPHONI-2): An open-label randomised trial. Lancet Neurol. 2015, 14, 585–594. [Google Scholar] [CrossRef]
- Feletti, A.; d’Avella, D.; Wikkelsø, C.; Klinge, P.; Hellström, P.; Tans, J.; Kiefer, M.; Meier, U.; Lemcke, J.; Paternò, V.; et al. Ventriculoperitoneal shunt complications in the European idiopathic normal pressure hydrocephalus multicenter study. Oper. Neurosurg. 2019, 17, 97–102. [Google Scholar] [CrossRef]
- Mori, E.; Ishikawa, M.; Kato, T.; Kazui, H.; Miyake, H.; Miyajima, M.; Nakajima, M.; Hashimoto, M.; Kuriyama, N.; Tokuda, T.; et al. Guidelines for management of idiopathic normal pressure hydrocephalus: Second edition. Neurol. Med. Chir. 2012, 52, 775–809. [Google Scholar] [CrossRef]
- Hellwig, D.; Grotenhuis, J.A.; Tirakotai, W.; Riegel, T.; Schulte, D.M.; Bauer, B.L.; Bertalanffy, H. Endoscopic third ventriculostomy for obstructive hydrocephalus. Neurosurg. Rev. 2005, 28, 1–34. [Google Scholar] [CrossRef]
- Buxton, N.; Vloeberghs, M.; Punt, J. Liliequist’s membrane in minimally invasive endoscopic neurosurgery. Clin. Anat. 1998, 11, 187–190. [Google Scholar] [CrossRef]
- Schwartz, T.H.; Solomon, R.A. Perimesencephalic nonaneurysmal subarachnoid hemorrhage: Review of the literature. Neurosurgery 1996, 39, 433–440. [Google Scholar]
- Thakur, J.D.; Sonig, A.; Chittiboina, P.; Khan, I.S.; Wadhwa, R.; Nanda, A. Humphrey Ridley (1653–1708): 17th century evolution in neuroanatomy and selective cerebrovascular injections for cadaver dissection. Neurosurg. Focus. 2012, 33, E3. [Google Scholar] [CrossRef] [PubMed]
- Almohaimede, K.; Alibrahim, Y.; Butt, A.B.; Maralani, P.; Heyn, C.; Kapadia, A. Assessing the subarachnoid space anatomy on clinical imaging: Utilizing normal and pathology to understand compartmentalization of the subarachnoid space. Acta Neurochir. 2025, 167, 20. [Google Scholar] [CrossRef] [PubMed]
- Lusic, H.; Grinstaff, M.W. X-ray-computed tomography contrast agents. Chem. Rev. 2013, 113, 1641–1666. [Google Scholar] [CrossRef] [PubMed]
- Yan, G.P.; Robinson, L.; Hogg, P. Magnetic resonance imaging contrast agents: Overview and perspectives. Radiography 2007, 13, e5–e19. [Google Scholar] [CrossRef]
- Fujita, S. Computed tomographic grading with hounsfield number related to delayed vasospasm in cases of reptured cerebral aneurysm. Neurosurgery 1985, 17, 609–612. [Google Scholar] [CrossRef]
- Ohkawa, M.; Tanabe, M.; Toyama, Y.; Kimura, N.; Mino, S.; Takayama, K.; Satoh, G. CT angiography with helical CT in the assessment of acute stage of subarachnoid hemorrhage. Radiat. Med. 1998, 16, 91–97. [Google Scholar]
- Gosalakkal, J.A. Intracranial arachnoid cysts in children: A review of pathogenesis, clinical features, and management. Pediatr. Neurol. 2002, 26, 93–98. [Google Scholar] [CrossRef]
- Rogers, M.A.; Klug, G.L.; Siu, K.H. Middle fossa arachnoid cysts in association with subdural haematomas. A review and recommendations for management. Br. J. Neurosurg. 1990, 4, 497–502. [Google Scholar] [CrossRef]
- Bright, R. Serous cysts in the arachnoid. In Reports of Medical Cases Selected with a View of Illustrating the Symptoms and Cure of Diseases by a Reference to Morbid Anatomy; Longman: London, UK, 1831. [Google Scholar]
- Pomeranz, S.; Constantini, S.; Lubetzki-Korn, I.; Amir, N. Familial intracranial arachnoid cysts. Childs Nerv. Syst. 1991, 7, 100–102. [Google Scholar] [CrossRef]
- Handa, J.; Okamoto, K.; Sato, M. Arachnoid cyst of the middle cranial fossa: Report of bilateral cysts in siblings. Surg. Neurol. 1981, 16, 127–130. [Google Scholar] [CrossRef]
- Heier, L.A.; Zimmerman, R.D.; Amster, J.L.; Gandy, S.E.; Deck, M.D. Magnetic resonance imaging of arachnoid cysts. Clin. Imaging 1989, 13, 281–291. [Google Scholar] [CrossRef]
- Rengachary, S.S.; Watanabe, I. Ultrastructure and pathogenesis of intracranial arachnoid cysts. J. Neuropathol. Exp. Neurol. 1981, 40, 61–83. [Google Scholar] [CrossRef] [PubMed]
- Lutcherath, V.; Waaler, P.E.; Jellum, E.; Wester, K. Children with bilateral temporal arachnoid cysts may have glutaric aciduria type 1 (GAT1); operation without knowing that may be harmful. Acta Neurochir. 2000, 142, 1025–1030. [Google Scholar] [CrossRef] [PubMed]
- Martinez-Lage, J.F.; Casas, C.; Fernandez, M.A.; Puche, A.; Rodriguez Costa, T.; Poza, M. Macrocephaly, dystonia, and bilateral temporal arachnoid cysts: Glutaric aciduria type 1. Childs. Nerv. Syst. 1994, 10, 198–203. [Google Scholar] [CrossRef] [PubMed]
- Tatli, M.; Guzel, A. Bilateral temporal arachnoid cysts associated with tuberous sclerosis complex. J. Child Neurol. 2007, 22, 775–779. [Google Scholar] [CrossRef]
- Martinez-Lage, J.F.; Poza, M.; Rodriguez Costa, T. Bilateral temporal arachnoid cysts in neurofibromatosis. J. Child Neurol. 1993, 8, 383–385. [Google Scholar] [CrossRef]
- Robinson, R.G. Congenital cysts of the brain: Arachnoid malformations. Prog. Neurol. Surg. 1971, 4, 133–174. [Google Scholar]
- Miyagami, M.; Tsubokawa, T. Histological and ultrastructural finding of benign intracranial cysts. Noshuyo Byori 1993, 10, 151–160. [Google Scholar]
- Schachenmayr, W.; Friede, R.L. The origin of subdural neomembranes: I. Fine structure of the dura-arachnoid interface in man. Am. J. Pathol. 1978, 92, 53–68. [Google Scholar]
- Starkman, S.P.; Brown, T.C.; Linell, E.A. Cerebral arachnoid cysts. J. Neuropathol. Exp. Neurol. 1958, 17, 484–500. [Google Scholar] [CrossRef]
- Shaw, C.M. “Arachnoid cysts” of the sylvian fissure versus “temporal lobe agenesis” syndrome. Ann. Neurol. 1979, 5, 483–485. [Google Scholar] [CrossRef] [PubMed]
- Choi, J.U.; Kim, D.S. Pathogenesis of arachnoid cyst: Congenital or traumatic? Pediatr. Neurosurg. 1998, 29, 260–266. [Google Scholar] [CrossRef] [PubMed]
- Kim, T.G.; Kim, D.S.; Choi, J.U. Are arachnoid cysts localized hydrocephali? Pediatr. Neurosurg. 2010, 46, 362–367. [Google Scholar] [CrossRef] [PubMed]
- Galassi, E.; Piazza, G.; Gaist, G.; Frank, F. Arachnoid cysts of the middle cranial fossa: A clinical and radiological study of 25 cases treated surgically. Surg. Neurol. 1980, 14, 211–219. [Google Scholar]
- Galassi, E.; Tognetti, F.; Gaist, G.; Fagioli, L.; Frank, F.; Frank, G. CT scan and metrizamide CT cisternography in arachnoid cysts of the middle cranial fossa: Classification and pathophysiological aspects. Surg. Neurol. 1982, 17, 363–369. [Google Scholar] [CrossRef]
- Galassi, E.; Gaist, G.; Giuliani, G.; Pozzati, E. Arachnoid cysts of the middle cranial fossa: Experience with 77 cases treated surgically. Acta Neurochir. Suppl. 1988, 42, 201–204. [Google Scholar]
- Pollock, H.; Hutchings, M.; Weller, R.O.; Zhang, E.T. Perivascular spaces in the basal ganglia of the human brain: Their relationship to lacunes. J. Anat. 1997, 191, 337–346. [Google Scholar] [CrossRef]
- Kwee, R.M.; Kwee, T.C. Virchow-Robin spaces at MR imaging. Radiographics 2007, 27, 1071–1086. [Google Scholar] [CrossRef]
- Groeschel, S.; Chong, W.K.; Surtees, R.; Hanefeld, F. Virchow-Robin spaces on mag-netic resonance images: Normative data, their dilatation, and a review of the literature. Neuroradiology 2006, 48, 745–754. [Google Scholar] [CrossRef]
- Barisano, G.; Lynch, K.M.; Sibilia, F.; Lan, H.; Shih, N.C.; Sepehrband, F.; Choupan, J. Imaging perivascular space structure and function using brain MRI. Neuroimage 2022, 257, 119329. [Google Scholar] [CrossRef]
- Zhu, Y.-C.; Dufouil, C.; Mazoyer, B.; Soumaré, A.; Ricolfi, F.; Tzourio, C.; Chabriat, H. Frequency and location of dilated Virchow-Robin spaces in elderly peo-ple: A population-based 3D MR imaging study. Am. J. Neuroradiol. 2011, 32, 709–713. [Google Scholar] [CrossRef]
- Zhu, Y.-C.; Dufouil, C.; Soumaré, A.; Mazoyer, B.; Chabriat, H.; Tzourio, C. High degree of dilated Virchow-Robin spaces on MRI is associated with increased risk of dementia. J. Alzheimer Dis. 2010, 22, 663–672. [Google Scholar] [CrossRef] [PubMed]
- Zhu, Y.-C.; Tzourio, C.; Soumaré, A.; Mazoyer, B.; Dufouil, C.; Chabriat, H. Sever-ity of dilated Virchow-Robin spaces is associated with age, blood pressure, and MRI markers of small vessel disease: A population-based study. Stroke 2010, 41, 2483–2490. [Google Scholar] [CrossRef] [PubMed]
- Heier, L.A.; Bauer, C.J.; Schwartz, L.; Zimmerman, R.D.; Morgello, S.; Deck, M.D. Large Virchow-Robin spaces: mR-clinical correlation. Am. J. Neuroradiol. 1989, 10, 929–936. [Google Scholar] [PubMed]
- Carare, R.O.; Bernardes-Silva, M.; Newman, T.A.; Page, A.M.; Nicoll, J.A.R.; Perry, V.H.; Weller, R.O. Solutes, but not cells, drain from the brain parenchyma along basement membranes of capillaries and arteries: Significance for cerebral amyloid angiopathy and neuroimmunology. Neuropathol. Appl. Neurobiol. 2008, 34, 131–144. [Google Scholar] [CrossRef]
- Troili, F.; Cipollini, V.; Moci, M.; Morena, E.; Palotai, M.; Rinaldi, V.; Romano, C.; Ristori, G.; Giubilei, F.; Salvetti, M.; et al. Perivascular unit: This must Be the place. The anatomical crossroad be-tween the immune, vascular and nervous system. Front. Neuroanat. 2020, 14, 17. [Google Scholar] [CrossRef]
- Zong, X.; Lian, C.; Jimenez, J.; Yamashita, K.; Shen, D.; Lin, W. Morphology of perivascular spaces and enclosed blood vessels in young to middle-aged healthy adults at 7T: Dependences on age, brain region, and breathing gas. Neuroimage 2020, 218, 116978. [Google Scholar] [CrossRef]
- Hilal, S.; Tan, C.S.; Adams, H.H.H.; Habes, M.; Mok, V.; Venketasubramanian, N.; Hofer, E.; Ikram, M.K.; Abrigo, J.; Vernooij, M.W.; et al. Enlarged perivascular spaces and cog-nition: A meta-analysis of 5 population-based studies. Neurology 2018, 91, e832–e842. [Google Scholar] [CrossRef]
- Zieman, S.J.; Melenovsky, V.; Kass, D.A. Mechanisms, pathophysiology, and therapy of arterial stiffness. Arterioscler. Thromb. Vasc. Biol. 2005, 25, 932–943. [Google Scholar] [CrossRef]
- Zhang, X.; Ding, L.; Yang, L.; Qin, W.; Yuan, J.; Li, S.; Hu, W. Brain atrophy corre-lates with severe enlarged perivascular spaces in basal ganglia among lacunar stroke patients. PLoS ONE 2016, 11, e0149593. [Google Scholar] [CrossRef]
- Yang, G.; Deng, N.; Liu, Y.; Gu, Y.; Yao, X. Evaluation of glymphatic system using diffusion MR technique in T2DM cases. Front. Hum. Neurosci. 2020, 14, 300. [Google Scholar] [CrossRef] [PubMed]
- Del Brutto, O.H.; Mera, R.M.; Del Brutto, V.J.; Castillo, P.R. Enlarged basal ganglia perivascular spaces and sleep parameters. A population-based study. Clin. Neurol. Neurosurg. 2019, 182, 53–57. [Google Scholar] [CrossRef] [PubMed]
- Duering, M.; Biessels, G.J.; Brodtmann, A.; Chen, C.; Cordonnier, C.; de Leeuw, F.-E.; Debette, S.; Frayne, R.; Jouvent, E.; Rost, N.S.; et al. Neuroimaging standards for research into small vessel disease-advances since 2013. Lancet Neurol. 2023, 22, 602–618, Erratum in Lancet Neurol. 2023, 22, e10. [Google Scholar] [CrossRef] [PubMed]
- Charidimou, A.; Boulouis, G.; Frosch, M.P.; Baron, J.-C.; Pasi, M.; Albucher, J.F.; Banerjee, G.; Barbato, C.; Bonneville, F.; Brandner, S.; et al. The Boston criteria version 2.0 for cerebral amyloid angiopathy: A multicentre, retrospective, MRI-neuropathology diagnostic accuracy study. Lancet Neurol. 2022, 21, 714–725. [Google Scholar] [CrossRef]
- Zedde, M.; Piazza, F.; Pascarella, R. Clinical and Neuroradiological Manifestations of Cerebral Amyloid Angiopathy: A Closer Look into the Natural History of a Frequent Disease. J. Clin. Med. 2025, 14, 1697. [Google Scholar] [CrossRef]
- Martinez-Ramirez, S.; Pontes-Neto, O.M.; Dumas, A.P.; Auriel, E.; Halpin, A.; Quimby, M.; Gurol, M.E.; Greenberg, S.M.; Viswanathan, A. Topography of dilated perivas-cular spaces in subjects from a memory clinic cohort. Neurology 2013, 80, 1551–1556. [Google Scholar] [CrossRef]
- Patankar, T.F.; Mitra, D.; Varma, A.; Snowden, J.; Neary, D.; Jackson, A. Dilatation of the Virchow-Robin space is a sensitive indicator of cerebral microvascular disease: Study in elderly patients with dementia. AJNR Am. J. Neuroradiol. 2005, 26, 1512–1520. [Google Scholar]
- Zeng, Q.; Li, K.; Luo, X.; Wang, S.; Xu, X.; Jiaerken, Y.; Liu, X.; Hong, L.; Hong, H.; Li, Z.; et al. The association of enlarged perivascular space with microglia-related inflammation and Alzheimer’s pathology in cognitively normal elderly. Neurobiol. Aging 2022, 170, 105755. [Google Scholar] [CrossRef]
- Adachi, M.; Hosoya, T.; Haku, T.; Yamaguchi, K. Dilated Virchow-Robin spaces: MRI pathological study. Neuroradiology 1998, 40, 27–31. [Google Scholar] [CrossRef]
- Potter, G.M.; Chappell, F.M.; Morris, Z.; Wardlaw, J.M. Cerebral perivas-cular spaces visible on magnetic resonance imaging: Development of a quali-tative rating scale and its observer reliability. Cerebrovasc. Dis. 2015, 39, 224–231. [Google Scholar] [CrossRef]
- Ballerini, L.; Lovreglio, R.; Valdés Hernández, M.D.C.; Ramirez, J.; MacIntosh, B.J.; Black, S.E.; Wardlaw, J.M. Perivascular spaces segmentation in brain MRI using optimal 3D filtering. Sci. Rep. 2018, 8, 2132. [Google Scholar] [CrossRef] [PubMed]
- Sepehrband, F.; Barisano, G.; Sheikh-Bahaei, N.; Cabeen, R.P.; Choupan, J.; Law, M.; Toga, A.W. Image processing approaches to enhance perivas-cular space visibility quantification using, MRI. Sci. Rep. 2019, 9, 12351. [Google Scholar] [CrossRef] [PubMed]
- Barisano, G.; Sheikh-Bahaei, N.; Law, M.; Toga, A.W.; Sepehrband, F. Body mass index time of day genetics affect perivascular spaces in the white matter. J. Cereb. Blood Flow Metab. 2021, 41, 1563–1578. [Google Scholar] [CrossRef] [PubMed]
- González-Castro, V.; Valdés Hernández, M.C.; Chappell, F.M.; Armitage, P.A.; Makin, S.; Wardlaw, J.M. Reliability of an automatic classifier for brain enlarged perivas-cular spaces burden and comparison with human performance. Clin. Sci. 2017, 131, 1465–1481. [Google Scholar] [CrossRef]
- Sepehrband, F.; Cabeen, R.P.; Barisano, G.; Sheikh-Bahaei, N.; Choupan, J.; Law, M.; Toga, A.W. Nonparenchymal fluid is the source of increased mean diffusivity in preclinical Alzheimer’s disease. Alzheimer Dement. Diagn. Assess. Dis. Monit. 2019, 11, 348–354. [Google Scholar] [CrossRef]
- Iliff, J.J.; Lee, H.; Yu, M.; Feng, T.; Logan, J.; Nedergaard, M.; Benveniste, H. Brain-wide pathway for waste clearance captured by contrast-enhanced. MRIJ Clin. Investig. 2013, 123, 1299–1309. [Google Scholar] [CrossRef]
- Dreha-Kulaczewski, S.; Joseph, A.A.; Merboldt, K.D.; Ludwig, H.C.; Gärtner, J.; Frahm, J. Inspiration is the major regulator of human CSFflow. J. Neurosci. 2015, 35, 2485–2491. [Google Scholar] [CrossRef]
- Sakhare, A.R.; Barisano, G.; Pa, J. Assessing test–retest reliability of phase con-trast MRI for measuring cerebrospinal fluid and cerebral blood flow dynamics. Magn. Reson. Med. 2019, 82, 658–670. [Google Scholar] [CrossRef]
- Taoka, T.; Masutani, Y.; Kawai, H.; Nakane, T.; Matsuoka, K.; Yasuno, F.; Kishi-moto, T.; Naganawa, S. Evaluation of glymphatic system activity with the diffusion MRtechnique: Diffusion tensor image analysis along the perivascu-lar space (DTI-ALPS) in Alzheimer’s disease cases. Jpn. J. Radiol. 2017, 35, 172–178. [Google Scholar] [CrossRef]
- Taoka, T.; Naganawa, S.; Kawai, H.; Nakane, T.; Murata, K. Can low b value diffu-sion weighted imaging evaluate the character of cerebrospinal fluid dynamics? Jpn.J. Radiol. 2019, 37, 135–144. [Google Scholar] [CrossRef]
- Piantino, J.; Boespflug, E.L.; Schwartz, D.L.; Luther, M.; Morales, A.M.; Lin, A.; Fos-sen, R.V.; Silbert, L.; Nagel, B.J. Characterization of MRimaging-visible perivascular spaces in the white matter of healthy adolescents at 3T. Am. J. Neu-roradiol. 2020, 41, 2139–2145. [Google Scholar] [CrossRef]
- Laveskog, A.; Wang, R.; Bronge, L.; Wahlund, L.O.; Qiu, C. Perivascular spaces in old age: Assessment distribution correlation with white matter hyperintensities. Am. J. Neuroradiol. 2018, 39, 70–76. [Google Scholar] [CrossRef]
- Huang, P.; Zhu, Z.; Zhang, R.; Wu, X.; Jiaerken, Y.; Wang, S.; Yu, W.; Hong, H.; Lian, C.; Li, K.; et al. Factors associ-ated with the dilation of perivascular space in healthy elderly subjects. Front. Aging Neurosci. 2021, 13, 624732. [Google Scholar] [CrossRef]





| Aspect | Description |
|---|---|
| CSF Production | Primarily produced by the choroid plexus in the ventricles at a rate of approximately 20 mL/h. |
| CSF Volume | Total volume in adults is about 130 mL, distributed as follows: |
| - Ventricles: approximately 30 mL | |
| - Subarachnoid space around the brain: around 25 mL | |
| - Subarachnoid space around the spinal cord: approximately 75 mL | |
| Flow Pathway | 1. CSF flows from the choroid plexus into the ventricles. |
| 2. Exits the ventricles via the foramina of Luschka and Magendie into the subarachnoid space. | |
| 3. Moves through the basal cisterns and over the brain’s convexities, flowing down the spinal cord. | |
| Driving Forces | - Hydrostatic pressure gradients from the choroid plexus to arachnoid villi. |
| - Pulsations from the choroid plexus, respiratory, and cardiac rhythms contributing to pulsatile flow. | |
| Clearance Mechanisms | - Absorption into the blood of the cerebral venous sinuses through arachnoid villi. |
| - Involves drainage pathways to cervical and spinal lymph nodes. | |
| Glymphatic System | - CSF enters perivascular spaces, mixing with interstitial fluid (ISF) for waste clearance. |
| - Movement driven by arterial pulsations and astrocytic endfeet enriched with aquaporin-4 (AQP4). | |
| Pathological Implications | - Impairments in CSF dynamics linked to conditions such as idiopathic normal pressure hydrocephalus (iNPH) and neurodegenerative diseases. |
| Role | Functions |
|---|---|
| SLYM Structure | Outer Superficial Compartment: Contains CSF and is involved in waste clearance. Inner Deep Compartment: Lines the brain and restricts the movement of larger molecules. |
| Functions of SLYM | Compartmentalization: Divides the subarachnoid space into two distinct compartments, facilitating CSF dynamics. Barrier Function: Limits the passage of molecules greater than 3 kDa, including neurotoxic substances like amyloid-β and tau. Fluid Regulation: Facilitates the movement of CSF and ISF for nutrient delivery and waste removal. |
| Pathophysiological Implications | Impact on CSF Dynamics: Disruptions in the SLYM can lead to conditions such as NPH and other neurodegenerative diseases. Role in Immune Surveillance: The SLYM may also serve as a barrier for immune cell migration, affecting the brain’s response to injury and disease. |
| Imaging and Research Techniques | In Vivo Imaging: Utilizes techniques like two-photon microscopy to visualize the SLYM and assess its role in CSF dynamics. Contrast Agents: Challenges in using traditional contrast agents (e.g., gadolinium) due to size limitations but using blood as a natural contrast agent in acute aSAH. |
| Clinical Significance | Potential for Therapeutic Targets: Understanding the SLYM’s function may lead to novel treatment options for various neurological disorders. |
Disclaimer/Publisher’s Note: The statements, opinions and data contained in all publications are solely those of the individual author(s) and contributor(s) and not of MDPI and/or the editor(s). MDPI and/or the editor(s) disclaim responsibility for any injury to people or property resulting from any ideas, methods, instructions or products referred to in the content. |
© 2025 by the authors. Licensee MDPI, Basel, Switzerland. This article is an open access article distributed under the terms and conditions of the Creative Commons Attribution (CC BY) license (https://creativecommons.org/licenses/by/4.0/).
Share and Cite
Zedde, M.; Pascarella, R. Leptomeninges: Anatomy, Mechanisms of Disease and Neuroimaging. Neurol. Int. 2025, 17, 203. https://doi.org/10.3390/neurolint17120203
Zedde M, Pascarella R. Leptomeninges: Anatomy, Mechanisms of Disease and Neuroimaging. Neurology International. 2025; 17(12):203. https://doi.org/10.3390/neurolint17120203
Chicago/Turabian StyleZedde, Marialuisa, and Rosario Pascarella. 2025. "Leptomeninges: Anatomy, Mechanisms of Disease and Neuroimaging" Neurology International 17, no. 12: 203. https://doi.org/10.3390/neurolint17120203
APA StyleZedde, M., & Pascarella, R. (2025). Leptomeninges: Anatomy, Mechanisms of Disease and Neuroimaging. Neurology International, 17(12), 203. https://doi.org/10.3390/neurolint17120203

