Abstract
Sudden death, especially at a young age, may be caused by an underlying genetic cause. Hereditary conditions with an increased risk of sudden death at a young age include cardiomyopathies, arrhythmia syndromes, and hereditary thoracic aortic aneurysms and dissections. The identification of a genetic cause allows for genetic testing and cardiological surveillance in at-risk relatives. Three sudden death cases from our hospital illustrate the value of autopsy, genetic, and cardiological screening in relatives following a sudden death. On autopsy, histology consistent with hereditary cardiomyopathy is a reason for the referral of relatives. In addition, in the absence of an identifiable cause of death by autopsy in young sudden death patients, arrhythmia syndrome should be considered as a potential genetic cause.
1. Introduction
Sudden death is defined as a nontraumatic, unexpected fatal event occurring within one hour of the onset of symptoms in an apparently healthy subject or, if death is not witnessed, the definition applies when the victim was in good health 24 h before the event [1]. Sudden cardiac death, especially at a young age, warrants consideration of an underlying genetic cause. On autopsy, histological observations consistent with hereditary cardiac disease, such as myocardial disarray, are an indication to discuss genetic testing and cardiological screening with relatives irrespective of the age and circumstances at demise. Examples of histologically recognizable disorders, with an often identifiable genetic cause, include cardiomyopathies and dissections of the thoracic aorta [2,3]. In the absence of an identifiable cause of sudden cardiac death at a young age, which is termed sudden arrhythmic death syndrome (SADS), hereditary arrhythmia syndromes must be considered as a potential cause.
In a recent study among 302 cases of SADS in the young, next-generation sequencing of an extended gene panel revealed a genetic cause in 13% of cases, mainly in genes associated with long QT syndrome (LQTS, KCNQ1, KCNH2, and SCN5A), catecholaminergic, polymorphic ventricular tachycardia (CPVT, RYR2 gene) and, to a lesser extent, genes associated with cardiomyopathies. Combining genetic testing with cardiological screening in the first degree relatives resulted in an increase to 39% of cases [4]. It is important that pathologists and other health care providers involved in the care for patients with sudden cardiac death are aware of the increasing possibilities of genetic testing in these disorders [5]. Postmortem genetic testing in these patients may be lifesaving for their relatives when a pathogenic variant in a high-risk gene is identified. In this report, we present three recent cases illustrating the diverse clinical presentations of hereditary cardiac diseases and the value of DNA testing in these patients.
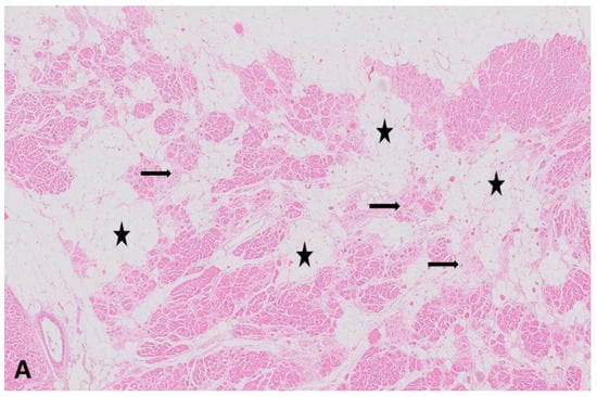
Case 1. An autopsy was performed on a 60-year-old woman that died due to progressive bilateral pulmonary vein thrombosis of unknown cause. Her cardiovascular history was negative for syncope or palpitations. Family history was negative for sudden cardiac death. Extensive bilateral pulmonary vein thrombosis was confirmed on autopsy. In addition, in the right ventricle of the heart extensive fatty changes of the myocardium were observed, partly subendocardial with minor fibrosis (Figure 1).
Figure 1.
Hematoxylin- and Eosin-stained section of the right ventricle of the heart with extensive fatty changes of the myocardium, partly subendocardial, with only minor fibrosis. Asterisk indicates fatty tissue.
The histology was consistent with arrhythmogenic cardiomyopathy (ACM), a hereditary heart disease [6]. Following the recommendation by the pathologist in the autopsy report, a first-degree relative was referred for genetic counselling by the treating pulmonary physician of the patient. DNA was isolated from paraffin-embedded tissue and 56 cardiomyopathy associated genes (ACTC1, ACTN2, ALPK3, ANKRD1, BAG3, CALR3, CAV3, CDH2, CRYAB, CSRP3, CTNNA3, DES, DSC2, DSG2, DSP, EMD, FHL1, FHL2, FKRP, FLNC, GLA, HCN4, JPH2, JUP, LAMA4, LAMP2, LDB3, LMNA, MIB1, MYBPC3, MYH6, MYH7, MYL2, MYLK3, MYL3, MYOZ2, MYPN, NEXN, PKP2, PLN, PPA2, PRDM16, PRKAG2, RBM20, SCN5A, TAZ, TCAP, TMEM43, TNNC1, TNNI3, TNNI3K, TNNT2, TPM1, TTN, TTR, VCL) were analysed using next-generation sequencing on the MiSeq (in solution capture of candidate genes (SeqCap EZ Choice, Nimblegen) were paired-end sequenced (2 × 150 bp) on the MiSeq and mapped to GRCh37/hg19 reference genome using BWA-MEM (0.7.12-r1039). Variants were identified using the HaplotypeCaller from GATK version 3.8 (Genome Analysis Toolkit, Broad Institute, Cambridge, MA, USA) along with Picard tools version 1.89 and Alissa Interpret v.5.2.4). A pathogenic (class 5) variant, c.2265+5G>A in the FLNC gene (NM_001458.4) was identified. No other (likely) pathogenic variants were found. The FLNC variant was previously identified in a patient with dilated cardiomyopathy in our lab. RNA analysis in blood showed altered splicing because intron 14 was not spliced out, resulting in a truncated protein p.(Asn757Argfs*51). The variant is rare in the general population (2/247,832 gnomAD alleles see http://gnomad.broadinsitute.org). Truncating variants in this gene are a known cause of dilated cardiomyopathy and ACM associated with an increased risk of ventricular arrhythmias [6,7]. Several relatives carried the FLNC variant and were referred for cardiological screening. One of them was recently diagnosed with ACM. Nonsymptomatic carriers were recommended to remain under cardiological surveillance.
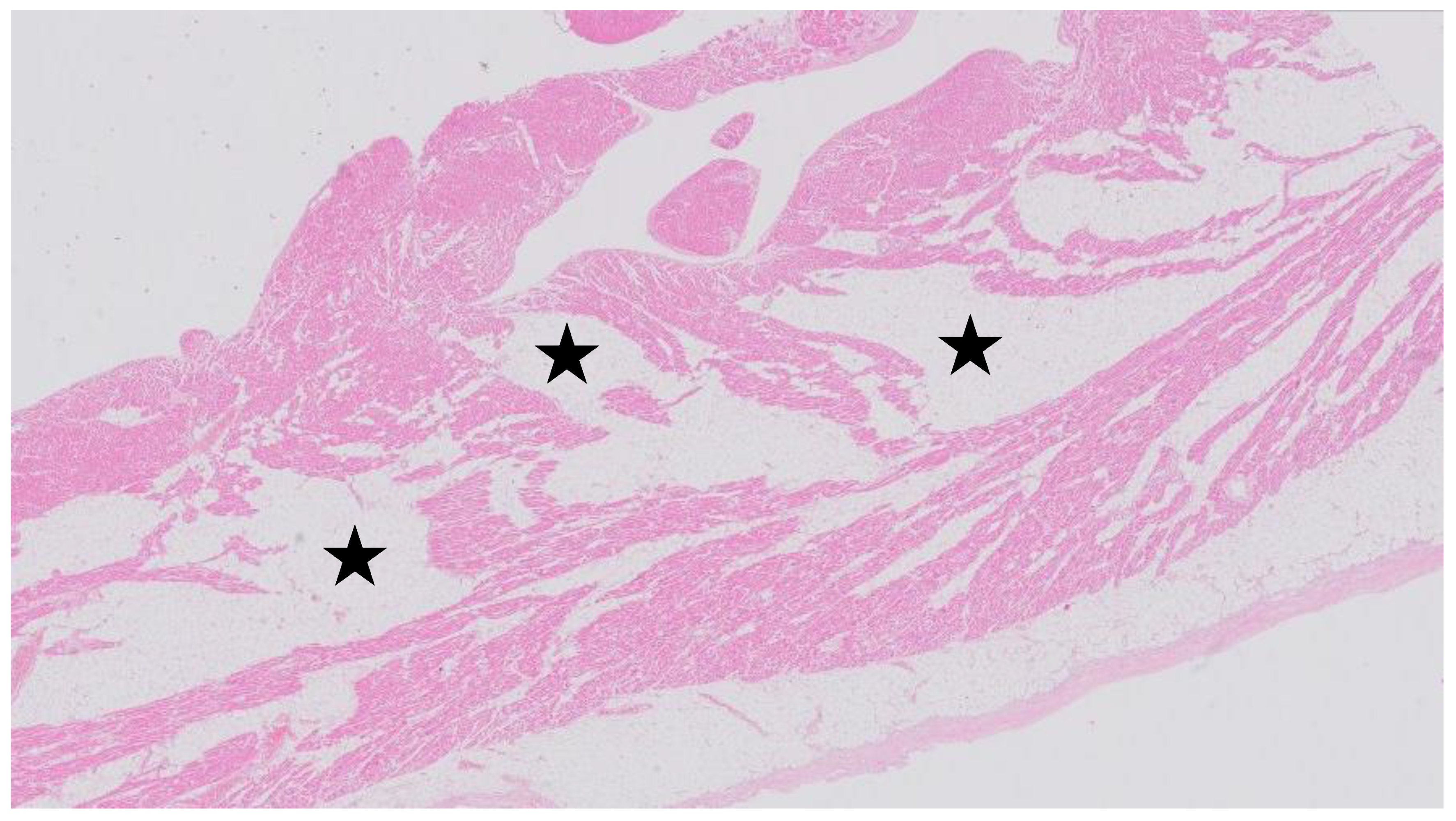
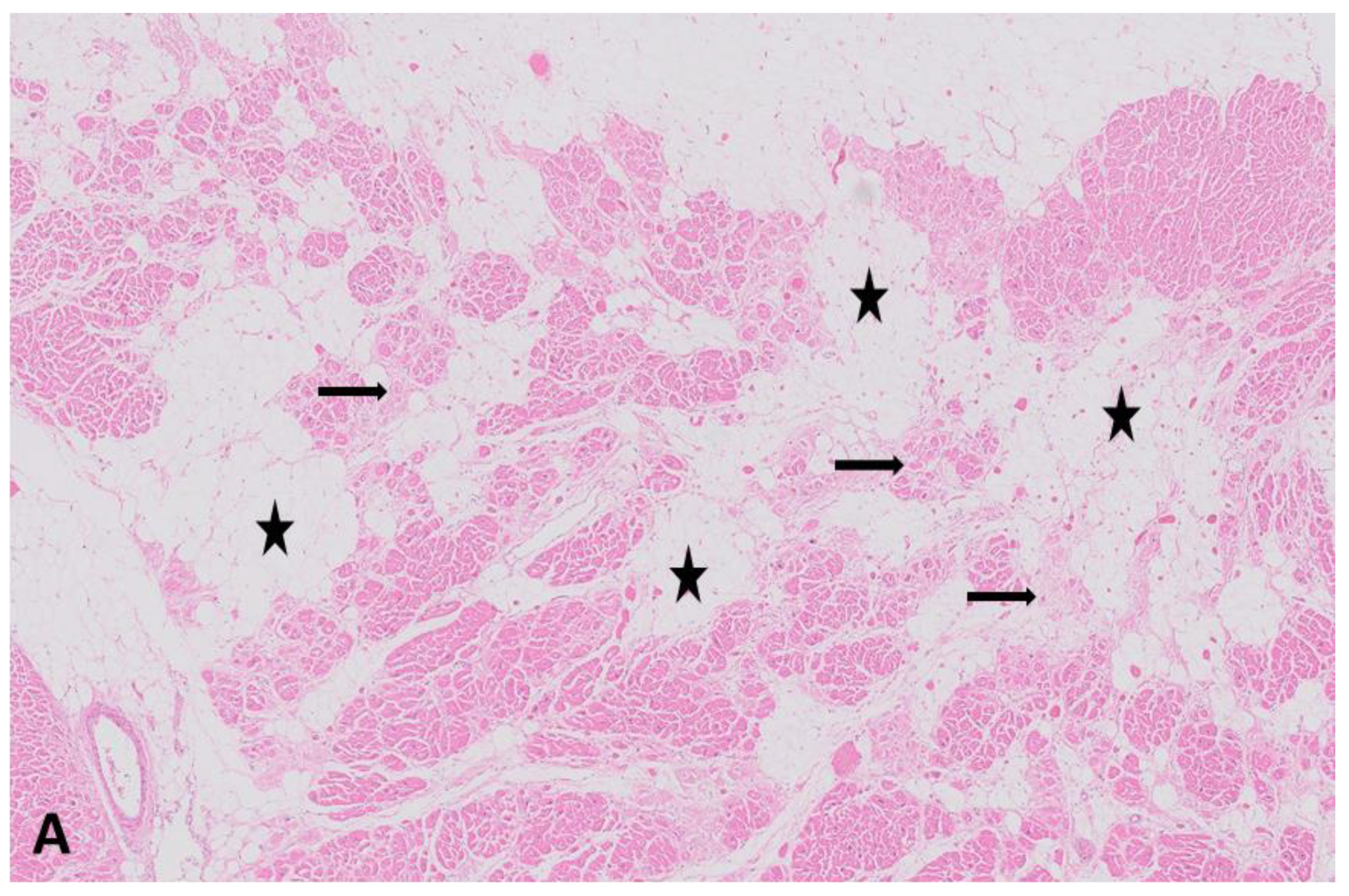
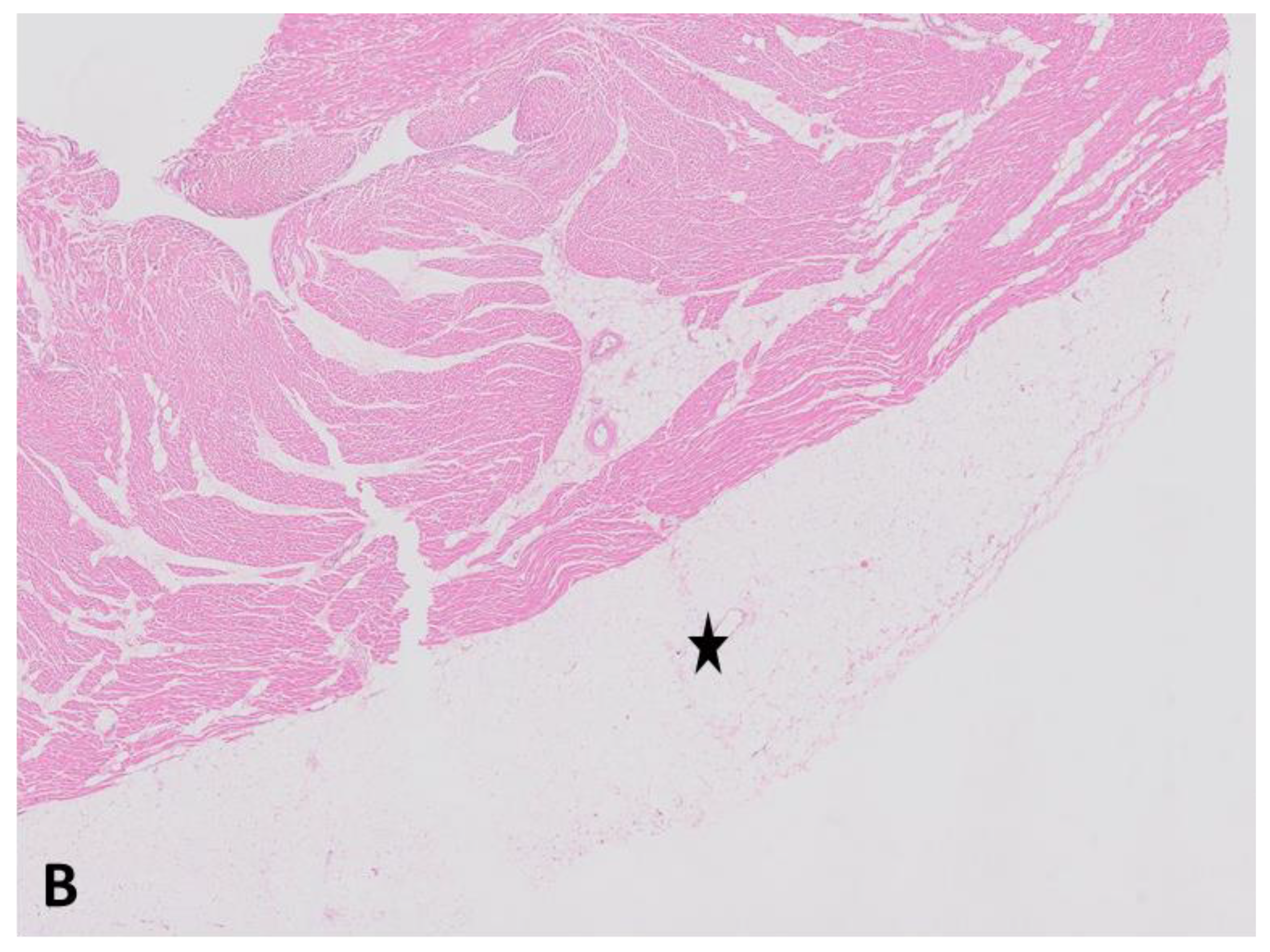
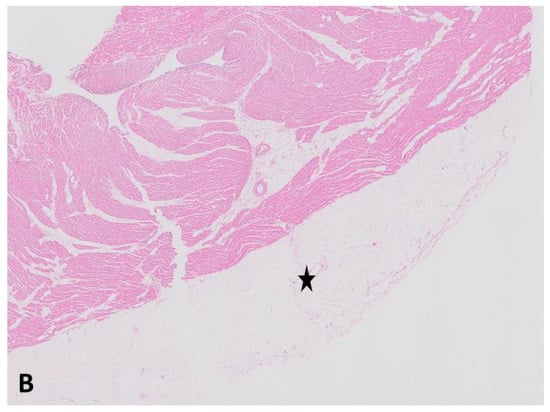
Case 2. A previously healthy 33 years old male presented with out-of-hospital cardiac arrest due to persistent ventricular fibrillation. Resuscitation was unsuccessful. Health and family history of the mother were uneventful. The biological father of the patient was unknown. On autopsy, extensive fatty and fibrotic changes of the myocardium of the left ventricle were observed (Figure 2A,B).

Figure 2.
Hematoxylin- and Eosin-stained sections of the left ventricle of the heart (A) with extensive fatty and fibrotic changes of the myocardium and the right ventricle of the heart and (B) with only epicardial fat. Asterisk indicates fatty tissue. Arrows indicate fibrosis.
DNA isolated from material derived from autopsy was sequenced on the MiSeq using the above-mentioned 56 cardiomyopathy panel. This revealed a causal, pathogenic (class 5) variant in the FLNC gene, c.554G>A p. (Trp185*). No other (likely) pathogenic variants were detected. The variant was not found in gnomAD alleles. The observations are consistent with reports of predominant left ventricular involvement in FLNC associated ACM [8].
Case 3. A 41-year-old woman was found dead at home. She was diagnosed with severe, therapy-resistant, (tonic–clonic) atypical epilepsy from the age of 14 years on. Seizures were often at night and were characterised by apnea with discoloration. Apart from a benign cyst on the pituitary gland, cerebral MRI revealed no abnormalities. She had sometimes fainted and suffered from cardiac palpitations, but cardiological evaluation had not yet been performed. She used venlafaxine for episodes of depression which had been increased in dosage (from 75 mg/day to 150 mg/day) a few weeks prior to her death. This drug is associated with QTc prolongation when serum levels exceed the therapeutic range [9]. Postmortal toxicological examination showed elevated plasma levels of venlafaxine, a QTc prolonging drug (1137 µg/L, upper limit of 1000 µg/L). The autopsy revealed diffuse cerebral ischemia possibly associated with her epilepsy, but no clear cause of death was identified. Histological evaluation of cardiac tissue showed no abnormalities. Given the young age, genetic counselling of relatives was recommended by the general practitioner. DNA was isolated from paraffin-embedded tissue and the 54 arrhythmia associated genes (ABCC9, AKAP9, ANK2, ASPH, CACNA1C, CACNA1D, CACNA2D1, CACNB2, CALM1, CALM2, CALM3, CASQ2, CAV3, DPP6 (NM_001936, only position c.-340), GJA5, GNB2, GPD1L, HCN4, JPH2, KCNA5, KCND3, KCNE1, KCNE5, KCNE2, KCNE3, KCNH2, KCNJ2, KCNJ5, KCNJ8, KCNQ1, LAMP2, LMNA, MYL4, NKX2-5, NPPA, PKP2, PLN, PPA2, PRKAG2, RANGRF, RYR2, SCN1B, SCN2B, SCN3B, SCN4B, SCN5A, SCN10A, SLMAP, SNTA1, TECRL, TNNI3K, TNNT2, TRDN, TRPM4) were sequenced on the MiSeq using the method, described above. A known pathogenic (class 5) variant, c.2467C > T p.(Arg823Trp), in the KCNH2 gene (NM_000238.3), associated with long QT syndrome type 2 (LQTS 2), was identified. No other (likely) pathogenic variants were found. The causal KCNH2 variant is rare in gnomAD (allele frequency of 1/251,454), has often been reported in LQT patients (PMID: 10973849, 11854117, 16831322, 19695459, 19716085, 23158531, 23631430) and functional studies showed inactivation of the potassium channel ((PMID: 11741928, 16432067, 11278781, 23303164). It is likely that the ‘atypical epileptic seizures’ were caused by cardiac arrhythmias. Genetic testing in relatives revealed that the variant was de novo.
2. Conclusions
With the description of three cases, the authors hope to have pointed out how the multidisciplinary approach in a specialised centre aids in diagnosing rare inherited cardiac diseases in sudden unexpected death in the young. All diagnoses were made by use of gene panels. In case of negative findings in sudden unexpected death in children, trio-whole-exome sequencing (WES) may be considered after counselling by a clinical geneticist.
Author Contributions
Conceptualization, S.N.v.d.C., A.C.H., A.M.C.V., C.v.d.W.; writing—original draft preparation, all authors; writing—review and editing, all authors. All authors have read and agreed to the published version of the manuscript.
Funding
This research received no external funding.
Institutional Review Board Statement
Not applicable.
Informed Consent Statement
The study was conducted according to the guidelines of the Declaration of Helsinki. Written informed consent was obtained from the families presented in the paper.
Acknowledgments
The authors would like to thank A.A.M. Wilde for critically reading the manuscript.
Conflicts of Interest
The authors declare no conflict of interest.
References
- Priori, S.G.; Blomström-Lundqvist, C.; Mazzanti, A.; Blom, N.; Borggrefe, M.; Camm, J.; Elliott, P.M.; Fitzsimons, D.; Hatala, R.; Hindricks, G.; et al. 2015 ESC Guidelines for the management of patients with ventricular arrhythmias and the prevention of sudden cardiac death: The Task Force for the Management of Patients with Ventricular Arrhythmias and the Prevention of Sudden Cardiac Death of the European Society of Cardiology (ESC). Endorsed by: Association for European Paediatric and Congenital Cardiology (AEPC). Eur. Heart J. 2015, 36, 2793–2867. [Google Scholar] [PubMed]
- Bagnall, R.D.; Ingles, J.; Dinger, M.E.; Cowley, M.J.; Ross, S.B.; Minoche, A.E.; Lal, S.; Turner, C.; Colley, A.; Rajagopalan, S.; et al. Whole Genome Sequencing Improves Outcomes of Genetic Testing in Patients with Hypertrophic Cardiomyopathy. J. Am. Coll Cardiol. 2018, 72, 419–429. [Google Scholar] [CrossRef] [PubMed]
- Overwater, E.; Marsili, L.; Baars, M.J.; Baas, A.F.; van de Beek, I.; Dulfer, E.; van Hagen, J.M.; Hilhorst-Hofstee, Y.; Kempers, M.; Krapels, I.P.; et al. Results of next-generation sequencing gene panel diagnostics including copy-number variation analysis in 810 patients suspected of heritable thoracic aortic disorders. Hum. Mutat. 2018, 39, 1173–1192. [Google Scholar] [CrossRef] [PubMed]
- Lahrouchi, N.; Raju, H.; Lodder, E.M.; Papatheodorou, E.; Ware, J.S.; Papadakis, M.; Tadros, R.; Cole, D.; Skinner, J.R.; Crawford, J.; et al. Utility of Post-Mortem Genetic Testing in Cases of Sudden Arrhythmic Death Syndrome. J. Am. Coll Cardiol. 2017, 69, 2134–2145. [Google Scholar] [CrossRef] [PubMed]
- Stiles, M.K.; Wilde, A.A.; Abrams, D.J.; Ackerman, M.J.; Albert, C.M.; Behr, E.R.; Chugh, S.S.; Cornel, M.C.; Gardner, K.; Ingles, J.; et al. 2020 APHRS/HRS expert consensus statement on the investigation of decedents with sudden unexplained death and patients with sudden cardiac arrest, and of their families. Heart Rhythm 2020, 18, e1–e50. [Google Scholar] [CrossRef] [PubMed]
- Towbin, J.A.; McKenna, W.J.; Abrams, D.J.; Ackerman, M.J.; Calkins, H.; Darrieux, F.C.; Daubert, J.P.; de Chillou, C.; DePasquale, E.C.; Desai, M.Y.; et al. 2019 HRS expert consensus statement on evaluation, risk stratification, and management of arrhythmogenic cardiomyopathy: Executive summary. Heart Rhythm 2019, 16, e373–e407. [Google Scholar] [CrossRef] [PubMed]
- Verdonschot, J.A.J.; Vanhoutte, E.K.; Claes, G.R.; Helderman-van den Enden, A.T.; Hoeijmakers, J.G.; Hellebrekers, D.M.; de Haan, A.; Christiaans, I.; Lekanne Deprez, R.H.; Boen, H.M.; et al. A mutation update for the FLNC gene in myopathies and cardiomyopathies. Hum. Mutat. 2020, 41, 1091–1111. [Google Scholar] [CrossRef] [PubMed]
- Hall, C.L.; Akhtar, M.M.; Sabater-Molina, M.; Futema, M.; Asimaki, A.; Protonotarios, A.; Dalageorgou, C.; Pittman, A.M.; Suarez, M.P.; Aguilera, B.; et al. Filamin C variants are associated with a distinctive clinical and immunohistochemical arrhythmogenic cardiomyopathy phenotype. Int. J. Cardiol. 2020, 307, 101–108. [Google Scholar] [CrossRef] [PubMed]
- Hefner, G.; Hahn, M.; Hohner, M.; Roll, S.C.; Klimke, A.; Hiemke, C. QTc Time Correlates with Amitriptyline and Venlafaxine Serum Levels in Elderly Psychiatric Inpatients. Pharmacopsychiatry 2019, 52, 38–43. [Google Scholar] [CrossRef] [PubMed]
Publisher’s Note: MDPI stays neutral with regard to jurisdictional claims in published maps and institutional affiliations. |
© 2021 by the authors. Licensee MDPI, Basel, Switzerland. This article is an open access article distributed under the terms and conditions of the Creative Commons Attribution (CC BY) license (https://creativecommons.org/licenses/by/4.0/).


