Trastuzumab-Conjugated pH-Sensitive Micelles Exhibit Antitumor Activity and Induce Mesenchymal-to-Epithelial Transition in Triple-Negative Breast Cancer Cell Lines
Abstract
1. Introduction
2. Materials and Methods
2.1. Functionalized Nanostructures Development
2.1.1. Functionalization of H2N-PEG2K-PHis32-COOH with Sulfo-SMCC
2.1.2. Functionalization of H3CO-PEG2K-PHis32-NH2 with RBITC
2.1.3. Thiolation of Trastuzumab (TZM)
2.1.4. Preparation of PEG-PHis Micelles
2.1.5. Scanning Transmission Electron Microscopy (STEM)of Micelles
2.2. Two-Dimensional Cell Cultures
2.2.1. Cell Viability and Mitochondrial Activity
2.2.2. Migration and Invasion Assay
2.2.3. EdU Assay
2.3. Three-Dimensional Cell Culture Investigations
2.3.1. Three-Dimensional Mammospheres Assays
2.3.2. Three-Dimensional Matrigel Assays
2.4. Tumor Model
2.5. Immunohistochemistry (IHC)
2.6. Western Blot
2.7. Statistics
3. Results
3.1. Synthesis and Morphological Analysis of Micelles
3.2. Anti-Cancer Investigations on Mono Layer (2D) In Vitro Cell Cultures
3.2.1. Cell Viability, Mitochondrial Activity and Cell Proliferation
3.2.2. Migration and Invasion Assays
3.3. Evaluations of Therapeutic Effects on 3D In Vitro Cell Culture
3.3.1. Mammospheres Assay
3.3.2. Three-Dimensional Matrigel Monocultures and Coculture
3.4. Evaluations of In Vivo Anti-Tumor Efficacy
3.4.1. Biodistribution
3.4.2. Immunohistochemistry (IHC) Investigations
3.4.3. Ex Vivo Cell Death Assessment by TUNEL
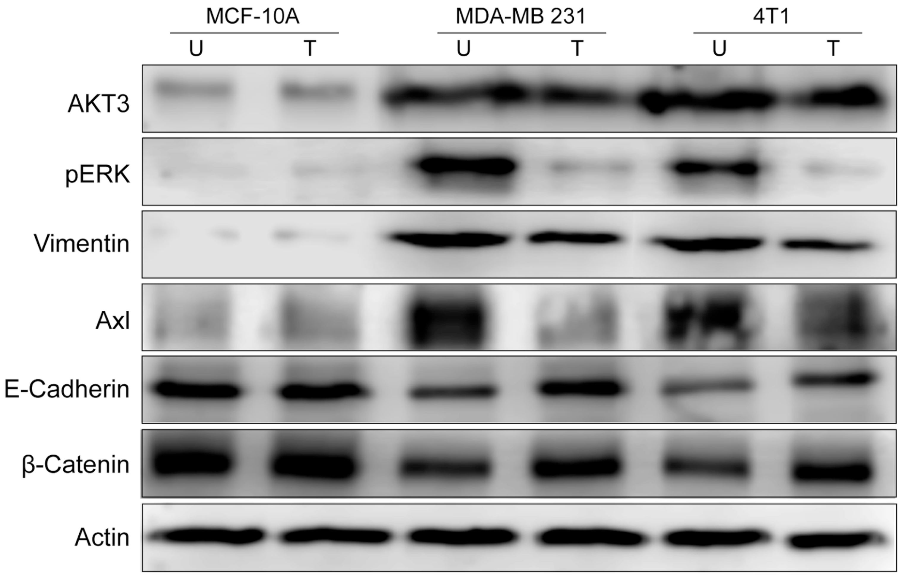
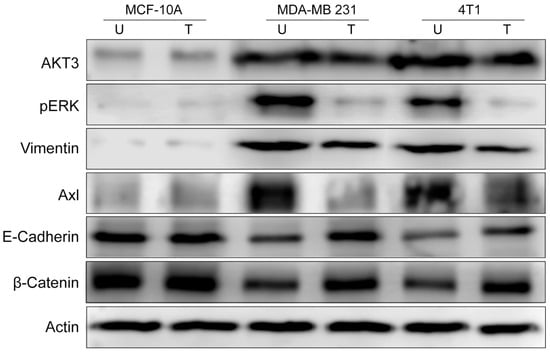
3.5. Western Blot Investigations
4. Discussion
5. Conclusions
Supplementary Materials
Author Contributions
Funding
Institutional Review Board Statement
Informed Consent Statement
Data Availability Statement
Acknowledgments
Conflicts of Interest
Abbreviations
| Tzm | Trastuzumab |
| EMT | epithelial to mesenchymal transition |
| MET | mesenchymal-to-epithelial transition |
| TNBC | triple-negative breast cancer |
| ER | estrogen receptor |
| PR | progesterone receptor |
| Her2 | human epidermal growth factor receptor 2 |
| PEG | poly ethylene glycol |
| PHis | poly histidine |
| STEM | Scanning transmission electron microscopy |
| EDTE | Ethylenediaminetetraacetic acid |
| BSA | bovine serum albumine |
| EDU | 5-ethynyl-2′-deoxyuridine |
| shAxl2 | Axl knockdown |
| BB | blocking buffer |
| TBST | Tris-buffered saline Tween |
| ALDH | aldehyde dehydrogenase |
| CSC | cancer stem cell |
| HUVEC | human umbilical vein endothelial cells |
| RB | rhodamine B |
| PI3K | Phosphoinositide 3-kinase |
| AKT | Protein kinase B |
| mTOR | mammalian target of rapamicyne |
| IHC | immunohistochemistry |
| IF | immunofluorescence |
| RAS | Rat Sarcomas |
| MEK | mitogen-activated protein kinases |
| ERK | extracellular signal-regulated kinases |
| pERK1/2 | phosphorylated ERK |
| TUNEL | Terminal deoxynucleotidyl transferase dUTP nick end labeling |
| EGFR | epidermal growth factor receptor |
| DAPI | diamidino-phenylindole |
References
- Foreman, K.J.; Marquez, N.; Dolgert, A.; Fukutaki, K.; Fullman, N.; McGaughey, M.; Pletcher, M.A.; Smith, A.E.; Tang, K.; Yuan, C.-W.; et al. Forecasting life expectancy, years of life lost, and all-cause and cause-specific mortality for 250 causes of death: Reference and alternative scenarios for 2016-40 for 195 countries and territories. Lancet 2018, 392, 2052–2090. [Google Scholar] [CrossRef]
- Global Burden of Disease 2019 Cancer Collaboration. Cancer Incidence, Mortality, Years of Life Lost, Years Lived With Disability, and Disability-Adjusted Life Years for 29 Cancer Groups From 2010 to 2019: A Systematic Analysis for the Global Burden of Disease Study 2019. JAMA Oncol. 2022, 8, 420–444. [Google Scholar] [CrossRef]
- Sung, H.; Ferlay, J.; Siegel, R.L.; Laversanne, M.; Soerjomataram, I.; Jemal, A.; Bray, F. Global Cancer Statistics 2020: GLOBOCAN Estimates of Incidence and Mortality Worldwide for 36 Cancers in 185 Countries. CA Cancer J. Clin. 2021, 71, 209–249. [Google Scholar] [CrossRef] [PubMed]
- Xu, Y.; Gong, M.; Wang, Y.; Yang, Y.; Liu, S.; Zeng, Q. Global trends and forecasts of breast cancer incidence and deaths. Sci Data 2023, 10, 334. [Google Scholar] [CrossRef] [PubMed]
- Blows, F.M.; Driver, K.E.; Schmidt, M.K.; Broeks, A.; van Leeuwen, F.E.; Wesseling, J.; Cheang, M.C.; Gelmon, K.; Nielsen, T.O.; Blomqvist, C.; et al. Subtyping of breast cancer by immunohistochemistry to investigate a relationship between subtype and short and long term survival: A collaborative analysis of data for 10,159 cases from 12 studies. PLoS Med. 2010, 7, e1000279. [Google Scholar] [CrossRef]
- Masood, S. Breast cancer subtypes: Morphologic and biologic characterization. Womens Health 2016, 12, 103–119. [Google Scholar] [CrossRef] [PubMed] [PubMed Central]
- Horimoto, Y.; Ishizuka, Y.; Ueki, Y.; Higuchi, T.; Arakawa, A.; Saito, M. Comparison of tumors with HER2 overexpression versus HER2 amplification in HER2-positive breast cancer patients. BMC Cancer 2022, 22, 242. [Google Scholar] [CrossRef]
- Ensenyat-Mendez, M.; Llinàs-Arias, P.; Orozco, J.I.J.; Íñiguez-Muñoz, S.; Salomon, M.P.; Sesé, B.; DiNome, M.L.; Marzese, D.M. Current Triple-Negative Breast Cancer Subtypes: Dissecting the Most Aggressive Form of Breast Cancer. Front. Oncol. 2021, 11, 681476. [Google Scholar] [CrossRef] [PubMed] [PubMed Central]
- Xiao, W.; Zheng, S.; Yang, A.; Zhang, X.; Zou, Y.; Tang, H.; Xie, X. Breast Cancer Subtypes and the Risk of Distant Metastasis at Initial Diagnosis: A Population-Based Study. Cancer Manag. Res. 2018, 10, 5329–5338. [Google Scholar] [CrossRef]
- Tsang, J.Y.S.; Tse, G.M. Molecular Classification of Breast Cancer. Adv. Anat. Pathol. 2020, 27, 27–35. [Google Scholar] [CrossRef]
- Zhao, S.; Zuo, W.-J.; Shao, Z.-M.; Jiang, Y.-Z. Molecular subtypes and precision treatment of triple-negative breast cancer. Ann. Transl. Med. 2020, 8, 499. [Google Scholar] [CrossRef]
- Krishnamurti, U.M.D.; Silverman, J.F. HER2 in Breast Cancer: A Review and Update. Adv. Anat. Pathol. 2014, 21, 100–107. [Google Scholar] [CrossRef] [PubMed]
- Swain, S.M.; Shastry, M.; Hamilton, E. Targeting HER2-positive breast cancer: Advances and future directions. Nat. Rev. Drug Discov. 2023, 22, 101–126. [Google Scholar] [CrossRef] [PubMed]
- Nigro, A.; Frattaruolo, L.; Fava, M.; De Napoli, I.; Greco, M.; Comandè, A.; De Santo, M.; Pellegrino, M.; Ricci, E.; Giordano, F.; et al. Bortezomib-Loaded Mesoporous Silica Nanoparticles Selectively Alter Metabolism and Induce Death in Multiple Myeloma Cells. Cancers 2020, 12, 2709. [Google Scholar] [CrossRef] [PubMed]
- Yue, H.; Gou, L.; Tang, Z.; Liu, Y.; Liu, S.; Tang, H. Construction of pH-responsive nanocarriers in combination with ferroptosis and chemotherapy for treatment of hepatocellular carcinoma. Cancer Nano 2022, 13, 4. [Google Scholar] [CrossRef]
- Zhang, Z.; Gao, A.; Sun, C. Tumor pH-Responsive Nanocarriers With Light-Activatable Drug Release for Chemo-Photodynamic Therapy of Breast Cancer. Front. Chem. 2022, 10, 905645. [Google Scholar] [CrossRef] [PubMed] [PubMed Central]
- Ghiarasim, R.; Tiron, C.E.; Tiron, A.; Dimofte, M.-G.; Pinteala, M.; Rotaru, A. Solid-Phase Synthesized Copolymers for the Assembly of pH-Sensitive Micelles Suitable for Drug Delivery Applications. Nanomaterials 2022, 12, 1798. [Google Scholar] [CrossRef]
- Gadaleta, E.; Fourgoux, P.; Pirró, S.; Thorn, G.J.; Nelan, R.; Ironside, A.; Rajeeve, V.; Cutillas, P.R.; Lobley, A.E.; Wang, J.; et al. Characterization of four subtypes in morphologically normal tissue excised proximal and distal to breast cancer. NPJ Breast Cancer 2020, 6, 38. [Google Scholar] [CrossRef] [PubMed] [PubMed Central]
- Burguin, A.; Furrer, D.; Ouellette, G.; Jacob, S.; Diorio, C.; Durocher, F. Trastuzumab effects depend on HER2 phosphorylation in HER2-negative breast cancer cell lines. PLoS ONE 2020, 15, e0234991. [Google Scholar] [CrossRef]
- Modi, S.; Jacot, W.; Yamashita, T.; Sohn, J.; Vidal, M.; Tokunaga, E.; Tsurutani, J.; Ueno, N.T.; Prat, A.; Chae, Y.S.; et al. Trastuzumab deruxtecan in previously treated HER2-low advanced breast cancer. N. Engl. J. Med. 2022, 387, 9–20. [Google Scholar] [CrossRef]
- Ogitani, Y.; Aida, T.; Hagihara, K.; Yamaguchi, J.; Ishii, C.; Harada, N.; Soma, M.; Okamoto, H.; Oitate, M.; Arakawa, S.; et al. DS-8201a, a novel HER2-targeting ADC with a novel DNA topoisomerase I inhibitor, demonstrates a promising antitumor efficacy with differentiation from T-DM1. Clin. Cancer Res. 2016, 22, 5097–5108. [Google Scholar] [CrossRef]
- Ghiarasim, R.; Luta, G.; Dimofte, G.M.; Iversen, T.G.; Pinteala, M.; Rotaru, A. Assembly and stability of trastuzumab-conjugated and unmodified poly(L-histidine)-poly(ethylene glycol) micelles for targeting HER2-positive cells. J. Mol. Liq. 2025, 418, 126689. [Google Scholar] [CrossRef]
- Tiron, A.; Ristescu, I.; Postu, P.A.; Tiron, C.E.; Zugun-Eloae, F.; Grigoras, I. Long-Term Deleterious Effects of Short-term Hyperoxia on Cancer Progression—Is Brain-Derived Neurotrophic Factor an Important Mediator? An Experimental Study. Cancers 2020, 12, 688. [Google Scholar] [CrossRef]
- Dontu, G.; Abdallah, W.M.; Foley, J.M.; Jackson, K.W.; Clarke, M.F.; Kawamura, M.J.; Wicha, M.S. In vitro propagation and transcriptional profiling of human mammary stem/progenitor cells. Genes Dev. 2003, 17, 1253–1270. [Google Scholar] [CrossRef]
- Available online: https://www.herceptin.com/hcp/adjuvant-breast-cancer/dosing-and-administration/dosing.html (accessed on 19 November 2025).
- Zong, W.X.; Rabinowitz, J.D.; White, E. Mitochondria and Cancer. Mol. Cell 2016, 61, 667–676. [Google Scholar] [CrossRef] [PubMed] [PubMed Central]
- Vasan, K.; Werner, M.; Chandel, N.S. Mitochondrial Metabolism as a Target for Cancer Therapy. Cell Metab. 2020, 32, 341–352. [Google Scholar] [CrossRef] [PubMed] [PubMed Central]
- Friedl, P.; Wolf, K. Plasticity of cell migration: A multiscale tuning model. J. Cell Biol. 2010, 188, 11–19. [Google Scholar] [CrossRef] [PubMed]
- Ithimakin, S.; Day, K.C.; Malik, F.; Zen, Q.; Dawsey, S.J.; Bersano-Begey, T.F.; Quraishi, A.A.; Ignatoski, K.W.; Daignault, S.; Davis, A.; et al. HER2 drives luminal breast cancer stem cells in the absence of HER2 amplification: Implications for efficacy of adjuvant trastuzumab. Cancer Res. 2013, 73, 1635–1646. [Google Scholar] [CrossRef] [PubMed] [PubMed Central]
- Schulenburg, A.; Ulrich-Pur, H.; Thurnher, D.; Erovic, B.; Florian, S.; Sperr, W.R.; Kalhs, P.; Marian, B.; Wrba, F.; Zielinski, C.C.; et al. Neoplastic stem cells: A novel therapeutic target in clinical oncology. Cancer 2006, 107, 2512–2520. [Google Scholar] [CrossRef]
- Lan, T.H.P.; Sari, I.N.; Yang, Y.-G.; Lee, S.-H.; Jun, N.; Kim, K.S.; Lee, Y.K.; Kwon, H.Y. Cancer Stem Cells (CSCs) in Drug Resistance and their Therapeutic Implications in Cancer Treatment. Stem Cells Int. 2018, 2018, 5416923. [Google Scholar] [CrossRef]
- Li, Y.; Wang, Z.; Ajani, J.A.; Song, S. Drug resistance and Cancer stem cells. Cell Commun. Signal. 2021, 19, 19. [Google Scholar] [CrossRef]
- Plaster, M.; Sunil, S.; Hossein, T. Fibroblasts Promote Proliferation and Matrix Invasion of Breast Cancer Cells in Co-Culture Models. Adv. Ther. 2019, 2, 1900121. [Google Scholar] [CrossRef]
- Lugo-Cintrón, K.M.; Gong, M.M.; Ayuso, J.M.; Tomko, L.A.; Beebe, D.J.; Virumbrales-Muñoz, M.; Ponik, S.M. Breast Fibroblasts and ECM Components Modulate Breast Cancer Cell Migration through the Secretion of MMPs in a 3D Microfluidic Co-Culture Model. Cancers 2020, 12, 1173. [Google Scholar] [CrossRef]
- Hossein, T.; Gary, D.L. Cancer-associated fibroblasts: Challenges and opportunities. Oncotarget 2023, 14, 211–214. [Google Scholar] [CrossRef]
- Tiron, C.E.; Luta, G.; Butura, M.; Zugun-Eloae, F.; Stan, C.S.; Coroaba, A.; Ursu, E.-L.; Stanciu, G.D.; Tiron, A. NHF-derived carbon dots: Prevalidation approach in breast cancer treatment. Sci. Rep. 2020, 10, 12662. [Google Scholar] [CrossRef] [PubMed]
- Rudkouskaya, A.; Smith, J.T.; Intes, X.; Barroso, M. Quantification of Trastuzumab-HER2 Engagement In Vitro and In Vivo. Molecules 2020, 25, 5976. [Google Scholar] [CrossRef] [PubMed] [PubMed Central]
- Yip, H.Y.K.; Papa, A. Signaling Pathways in Cancer: Therapeutic Targets, Combinatorial Treatments, and New Developments. Cells 2021, 10, 659. [Google Scholar] [CrossRef] [PubMed] [PubMed Central]
- Dong, C.; Wu, J.; Chen, Y.; Nie, J.; Chen, C. Activation of PI3K/AKT/mTOR Pathway Causes Drug Resistance in Breast Cancer. Front. Pharmacol. 2021, 12, 628690. [Google Scholar] [CrossRef] [PubMed] [PubMed Central]
- Hinz, N.; Jücker, M. Distinct functions of AKT isoforms in breast cancer: A comprehensive review. Cell Commun. Signal. 2019, 17, 154. [Google Scholar] [CrossRef]
- Martorana, F.; Motta, G.; Pavone, G.; Motta, L.; Stella, S.; Vitale, S.R.; Manzella, L.; Vigneri, P. AKT Inhibitors: New Weapons in the Fight Against Breast Cancer? Front. Pharmacol. 2021, 12, 662232. [Google Scholar] [CrossRef] [PubMed] [PubMed Central]
- He, Y.; Sun, M.M.; Zhang, G.G.; Yang, J.; Chen, K.S.; Xu, W.W.; Li, B. Targeting PI3K/Akt signal transduction for cancer therapy. Signal Transduct. Target. Ther. 2021, 6, 425. [Google Scholar] [CrossRef] [PubMed]
- Chin, Y.R.; Yoshida, T.; Marusyk, A.; Beck, A.H.; Polyak, K.; Toker, A. Targeting Akt3 signaling in triple-negative breast cancer. Cancer Res. 2014, 74, 964–973. [Google Scholar] [CrossRef] [PubMed] [PubMed Central]
- Wu, N.; Zhang, J.; Zhao, J.; Mu, K.; Zhang, J.; Jin, Z.; Yu, J.; Liu, J. Precision medicine based on tumorigenic signaling pathways for triple-negative breast cancer. Oncol. Lett. 2018, 16, 4984–4996. [Google Scholar] [CrossRef] [PubMed] [PubMed Central]
- Sugiura, R.; Satoh, R.; Takasaki, T. ERK: A Double-Edged Sword in Cancer. ERK-Dependent Apoptosis as a Potential Therapeutic Strategy for Cancer. Cells 2021, 10, 2509. [Google Scholar] [CrossRef] [PubMed] [PubMed Central]
- Grasset, E.M.; Dunworth, M.; Sharma, G.; Loth, M.; Tandurella, J.; Cimino-Mathews, A.; Gentz, M.; Bracht, S.; Haynes, M.; Fertig, E.J.; et al. Triple-negative breast cancer metastasis involves complex epithelial-mesenchymal transition dynamics and requires vimentin. Sci. Transl. Med. 2022, 14, eabn7571. [Google Scholar] [CrossRef] [PubMed] [PubMed Central]
- Yamashita, N.; Tokunaga, E.; Kitao, H.; Hisamatsu, Y.; Taketani, K.; Akiyoshi, S.; Okada, S.; Aishima, S.; Morita, M.; Maehara, Y. Vimentin as a poor prognostic factor for triple-negative breast cancer. J. Cancer Res. Clin. Oncol. 2013, 139, 739–746. [Google Scholar] [CrossRef]
- D’Alfonso, T.M.; Hannah, J.; Chen, Z.; Liu, Y.; Zhou, P.; Shin, S.J. Axl receptor tyrosine kinase expression in breast cancer. J. Clin. Pathol. 2014, 67, 690–696. [Google Scholar] [CrossRef]
- Axelrod, H.; Pienta, K.J. Axl as a mediator of cellular growth and survival. Oncotarget 2014, 5, 8818–8852. [Google Scholar] [CrossRef] [PubMed] [PubMed Central]
- Gjerdrum, C.; Tiron, C.; Høiby, T.; Stefansson, I.; Haugen, H.; Sandal, T.; Collett, K.; Li, S.; McCormack, E.; Gjertsen, B.T.; et al. Axl is an essential epithelial-to-mesenchymal transition-induced regulator of breast cancer metastasis and patient survival. Proc. Natl. Acad. Sci. USA 2010, 107, 1124–1129. [Google Scholar] [CrossRef]
- Zajac, O.; Leclere, R.; Nicolas, A.; Meseure, D.; Marchiò, C.; Vincent-Salomon, A.; Roman-Roman, S.; Schoumacher, M.; Dubois, T. AXL Controls Directed Migration of Mesenchymal Triple-Negative Breast Cancer Cells. Cells 2020, 9, 247. [Google Scholar] [CrossRef] [PubMed] [PubMed Central]
- Houssami, N.; Macaskill, P.; Balleine, R.L.; Bilous, M.; Pegram, M.D. HER2 discordance between primary breast cancer and its paired metastasis: Tumor biology or test artefact? Insights through meta-analysis. Breast Cancer Res. Treat. 2011, 129, 659–674. [Google Scholar] [CrossRef] [PubMed]
- Pellas, U.; Bauer, A.; Baroš, I.V.; Fattorini, C.; Tot, T. HER2-low metastases of HER2-negative primary tumors: A single institution analysis of intertumoral and internodal heterogeneity in node-positive breast cancer. Front. Oncol. 2023, 13, 1167567. [Google Scholar] [CrossRef] [PubMed] [PubMed Central]
- Pestrin, M.; Bessi, S.; Galardi, F.; Truglia, M.; Biggeri, A.; Biagioni, C.; Cappadona, S.; Biganzoli, L.; Giannini, A.; Di Leo, A. Correlation of HER2 status between primary tumors and corresponding circulating tumor cells in advanced breast cancer patients. Breast Cancer Res. Treat. 2009, 118, 523–530. [Google Scholar] [CrossRef] [PubMed]
- Aiello, N.M.; Kang, Y. Context-dependent EMT programs in cancer metastasis. J. Exp. Med. 2019, 216, 1016–1026. [Google Scholar] [CrossRef] [PubMed]
- Li, Q.; Mattingly, R.R. Restoration of E-cadherin cell-cell junctions requires both expression of E-cadherin and suppression of ERK MAP kinase activation in Ras-transformed breast epithelial cells. Neoplasia 2008, 10, 1444–1458. [Google Scholar] [CrossRef] [PubMed] [PubMed Central]
- Nami, B.; Maadi, H.; Wang, Z. Mechanisms Underlying the Action and Synergism of Trastuzumab and Pertuzumab in Targeting HER2-Positive Breast Cancer. Cancers 2018, 10, 342. [Google Scholar] [CrossRef] [PubMed] [PubMed Central]
- Diermeier, S.; Horváth, G.; Knuechel-Clarke, R.; Hofstaedter, F.; Szöllősi, J.; Brockhoff, G. Epidermal growth factor receptor coexpression modulates susceptibility to Herceptin in HER2/neu overexpressing breast cancer cells via specific erbB-receptor interaction and activation. Exp. Cell Res. 2005, 304, 604–619. [Google Scholar] [CrossRef] [PubMed]
- Adam-Artigues, A.; Arenas, E.J.; Martínez-Sabadell, A.; Brasó-Maristany, F.; Cervera, R.; Tormo, E.; Hernando, C.; Martínez, M.T.; Carbonell-Asins, J.; Simón, S.; et al. Targeting HER2-AXL heterodimerization to overcome resistance to HER2 blockade in breast cancer. Sci. Adv. 2022, 8, eabk2746. [Google Scholar] [CrossRef] [PubMed] [PubMed Central]
- Valsala Kumari, R.; Pandya, A.D.; Pettersen, S.J.; Kvalvaag, A.; Myrann, A.G.; Ghiarasim, R.; Rotaru, A.; Dimofte, M.G.; Skotland, T.; Sandvig, K.; et al. Evaluation of HER2 Targeted Poly(Ethylene Glycol)-Poly(L-histidine) Copolymer Micelles in Breast Cancer Models. Macromol. Biosci. 2025, 25, e00047. [Google Scholar] [CrossRef] [PubMed]









Disclaimer/Publisher’s Note: The statements, opinions and data contained in all publications are solely those of the individual author(s) and contributor(s) and not of MDPI and/or the editor(s). MDPI and/or the editor(s) disclaim responsibility for any injury to people or property resulting from any ideas, methods, instructions or products referred to in the content. |
© 2025 by the authors. Licensee MDPI, Basel, Switzerland. This article is an open access article distributed under the terms and conditions of the Creative Commons Attribution (CC BY) license (https://creativecommons.org/licenses/by/4.0/).
Share and Cite
Tiron, C.E.; Luta, G.; Ghiarasim, R.; Tiron, A.; Nastasa, V.; Anita, D.C.; Iversen, T.G.; Skotland, T.; Sandvig, K.; Mares, M.; et al. Trastuzumab-Conjugated pH-Sensitive Micelles Exhibit Antitumor Activity and Induce Mesenchymal-to-Epithelial Transition in Triple-Negative Breast Cancer Cell Lines. Pharmaceutics 2025, 17, 1554. https://doi.org/10.3390/pharmaceutics17121554
Tiron CE, Luta G, Ghiarasim R, Tiron A, Nastasa V, Anita DC, Iversen TG, Skotland T, Sandvig K, Mares M, et al. Trastuzumab-Conjugated pH-Sensitive Micelles Exhibit Antitumor Activity and Induce Mesenchymal-to-Epithelial Transition in Triple-Negative Breast Cancer Cell Lines. Pharmaceutics. 2025; 17(12):1554. https://doi.org/10.3390/pharmaceutics17121554
Chicago/Turabian StyleTiron, Crina Elena, Gabriel Luta, Razvan Ghiarasim, Adrian Tiron, Valentin Nastasa, Dragos Constantin Anita, Tore Geir Iversen, Tore Skotland, Kirsten Sandvig, Mihai Mares, and et al. 2025. "Trastuzumab-Conjugated pH-Sensitive Micelles Exhibit Antitumor Activity and Induce Mesenchymal-to-Epithelial Transition in Triple-Negative Breast Cancer Cell Lines" Pharmaceutics 17, no. 12: 1554. https://doi.org/10.3390/pharmaceutics17121554
APA StyleTiron, C. E., Luta, G., Ghiarasim, R., Tiron, A., Nastasa, V., Anita, D. C., Iversen, T. G., Skotland, T., Sandvig, K., Mares, M., & Dimofte, M.-G. (2025). Trastuzumab-Conjugated pH-Sensitive Micelles Exhibit Antitumor Activity and Induce Mesenchymal-to-Epithelial Transition in Triple-Negative Breast Cancer Cell Lines. Pharmaceutics, 17(12), 1554. https://doi.org/10.3390/pharmaceutics17121554

