Polyphenol-Rich Citrullus lanatus Rind Extract Mitigates Doxorubicin-Induced Cardiotoxicity: HPLC Profiling and In Vivo Evaluation
Abstract
1. Introduction
2. Materials and Methods
2.1. Reference Standards, Reagents and Chemicals
2.2. Collection and Pretreatment of Plant Material
2.3. Preparation of Extract
2.4. Quantification of Phenolic Acids and Flavonoids on HPLC
2.5. Antioxidant Assay (In Vitro)
2.5.1. Spectrophotometric Determination of Total Phenolic (TP), Total Flavonoid (TF) and Total Flavonol (FOL) Contents of PRCL Rind Extract
2.5.2. Radical Scavenging Assay
2.5.3. Reducing Potential of PRCL Rind Extract
2.5.4. Inhibition of Linoleic Acid per Oxidation
2.6. In Vivo Cardio Protective Effect
2.6.1. Animals
2.6.2. Experimental Design
2.6.3. Model Validation by Measuring Systemic Hemodynamics and Electrocardiogram
2.6.4. Electrocardiogram (ECG) Recordings Under Anesthesia
2.7. Biochemical Investigations
2.7.1. Lipid Profile
2.7.2. Determination of Lipid-Based Cardiovascular Risk Indices and Cardiac Enzymes
2.7.3. Evaluation of Endogenous Antioxidant Levels
2.7.4. Estimation of Liver Functions
2.7.5. Measurements of Inflammatory Biomarkers
2.8. Histopathological Studies
2.9. Statistical Evaluation
3. Results and Discussion
3.1. Extract Yield and Polyphenol Composition
3.2. Antioxidant Activity (In Vitro)
3.2.1. Total Phenolic, Flavonoid and Flavonol Content
3.2.2. Free Radical Scavenging Activity
3.2.3. Reducing Potential of PRCL Rind Extract
3.2.4. Inhibition of Linoleic Acid Peroxidation
3.3. In Vivo Cardioprotective Effect
3.3.1. Changes in Body Weight and Model Validation
Changes in Systemic Hemodynamics and Electrocardiogram (ECG)
3.3.2. Effect of Treatment on Serum Lipid Profile Levels
3.3.3. Effect on Cardiac Enzymes and Lipid-Based Cardiovascular Risk Indices
3.3.4. Impact on Liver Enzyme Serum Levels
3.3.5. Effect on Oxidative Stress Parameters
3.3.6. Effect on Inflammatory Biomarkers
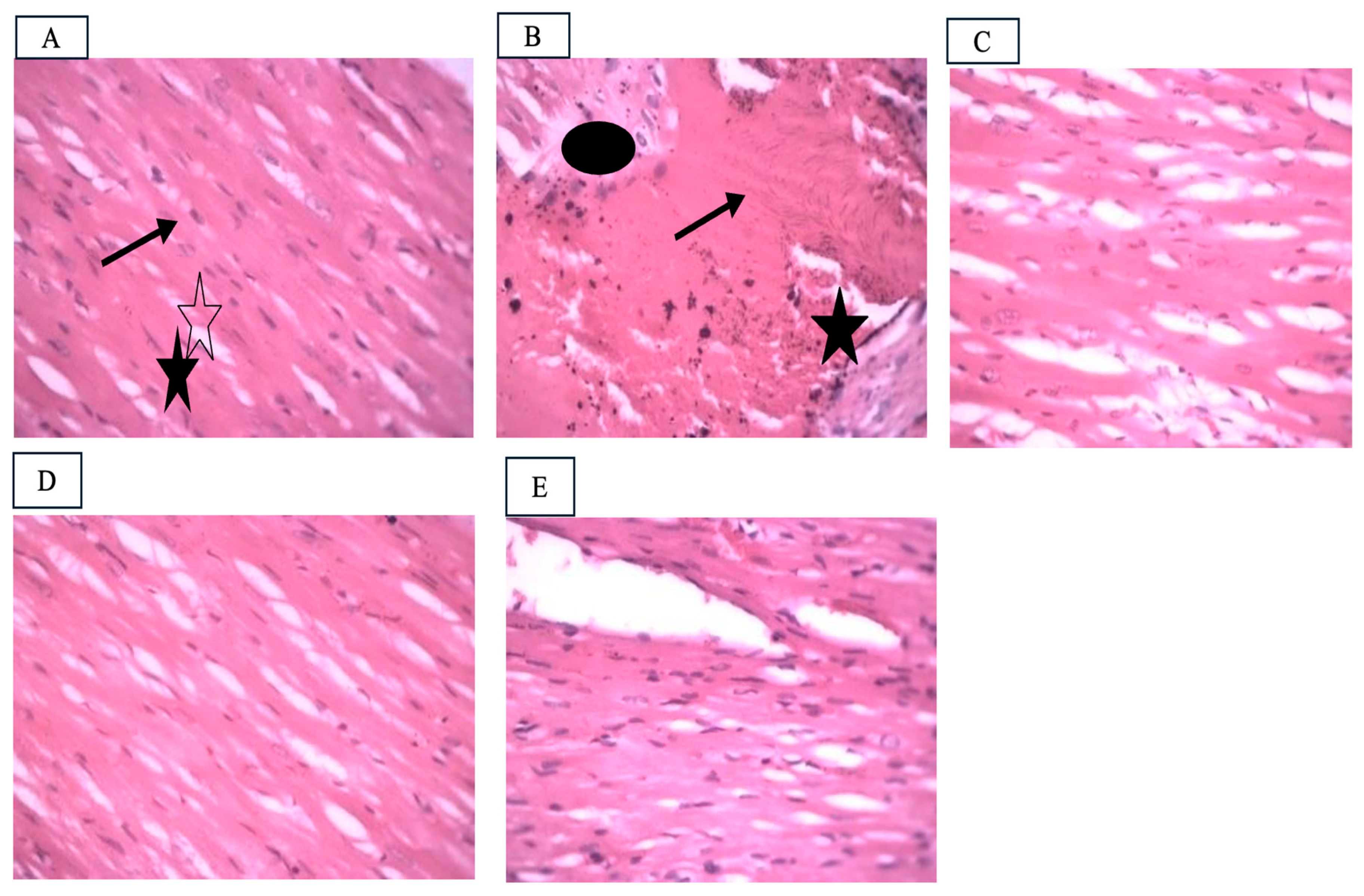
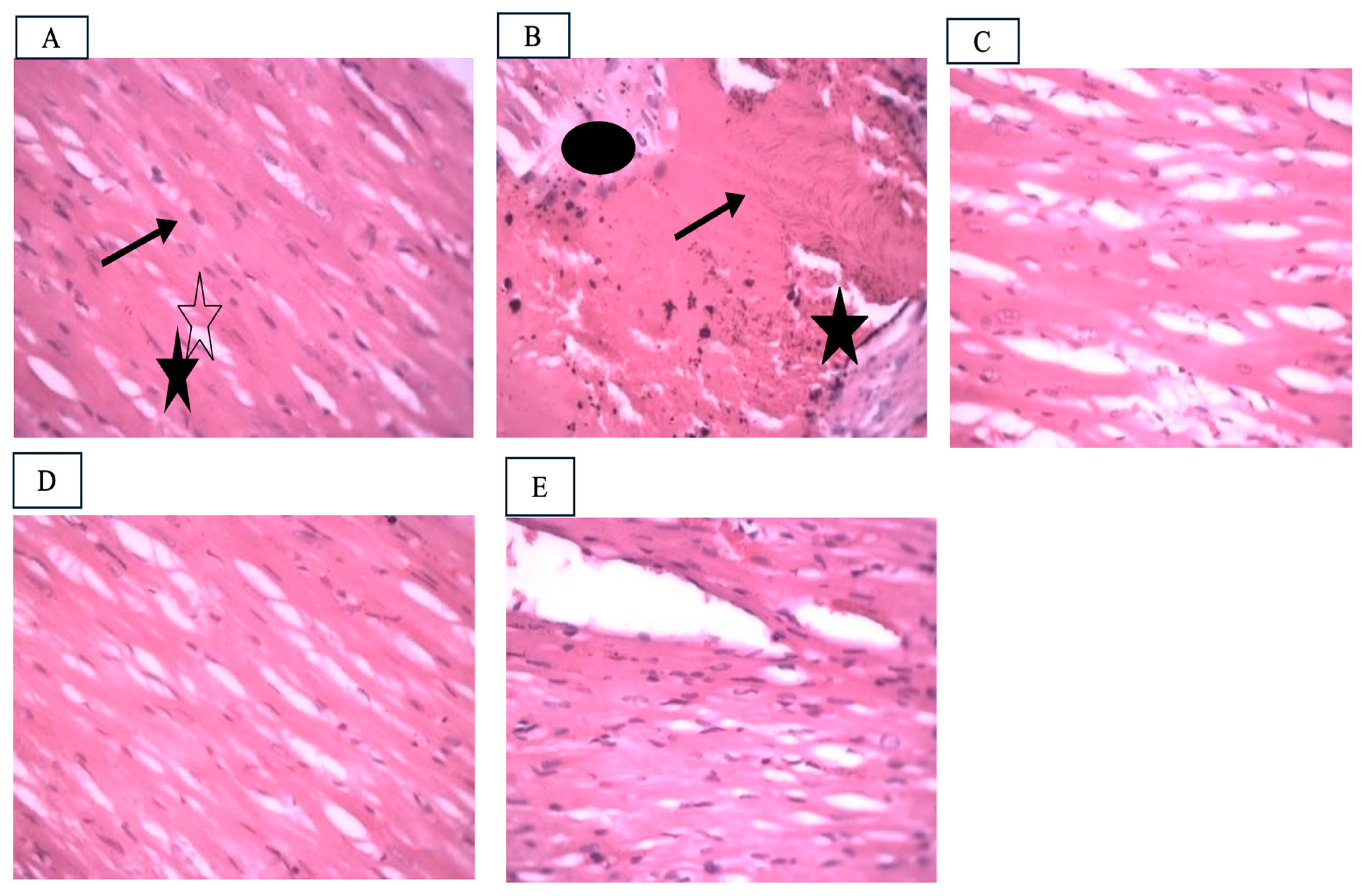
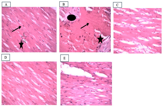
3.4. Histopathology
4. Conclusions
Supplementary Materials
Funding
Institutional Review Board Statement
Informed Consent Statement
Data Availability Statement
Acknowledgments
Conflicts of Interest
Abbreviations
| CVD | Cardiovascular disease |
| PRCL | polyphenol-rich Citrullus lanatus |
| TNF | Tumor necrosis factor |
| PHBA | p-hydroxybenzoic acid |
| MDA | Malondialdehyde |
| IL-6 | Interleukin 6 |
References
- Einarson, T.R.; Acs, A.; Ludwig, C.; Panton, U.H. Economic Burden of Cardiovascular Disease in Type 2 Diabetes: A Systematic Review. Value Health 2018, 21, 881–890. [Google Scholar] [CrossRef]
- Bays, H.E.; Kulkarni, A.; German, C.; Satish, P.; Iluyomade, A.; Dudum, R.; Thakkar, A.; Rifai, M.A.; Mehta, A.; Thobani, A.; et al. Ten things to know about ten cardiovascular disease risk factors—2022. Am. J. Prev. Cardiol. 2022, 10, 100342. [Google Scholar] [CrossRef] [PubMed]
- Flora, G.D.; Nayak, M.K. A Brief Review of Cardiovascular Diseases, Associated Risk Factors and Current Treatment Regimes. Curr. Pharm. Des. 2019, 25, 4063–4084. [Google Scholar] [CrossRef] [PubMed]
- Rittiphairoj, T.; Bulstra, C.; Ruampatana, C.; Stavridou, M.; Grewal, S.; Reddy, C.L.; Atun, R. The economic burden of ischaemic heart diseases on health systems: A systematic review. BMJ Glob. Health 2025, 10, e015043. [Google Scholar] [CrossRef] [PubMed]
- Di Cesare, M.; Perel, P.; Taylor, S.; Kabudula, C.; Bixby, H.; Gaziano, T.A.; McGhie, D.V.; Mwangi, J.; Pervan, B.; Narula, J.; et al. The Heart of the World. Glob. Heart 2024, 19, 11. [Google Scholar] [CrossRef]
- Mishkin, I.A.; Koncevaya, A.V.; Drapkina, O.M. Prediction of cardiovascular events with using proportional risk models and machine learning algorithms: A systematic review. Eur. Phys. J. Spec. Top. 2025, 234, 4505–4526. [Google Scholar] [CrossRef]
- Santos, J.V.; Vandenberghe, D.; Lobo, M.; Freitas, A. Cost of cardiovascular disease prevention: Towards economic evaluations in prevention programs. Ann. Transl. Med. 2020, 8, 512. [Google Scholar] [CrossRef]
- Ahmad, H.; Khan, H.; Haque, S.; Ahmad, S.; Srivastava, N.; Khan, A. Angiotensin-Converting Enzyme and Hypertension: A Systemic Analysis of Various ACE Inhibitors, Their Side Effects, and Bioactive Peptides as a Putative Therapy for Hypertension. J. Renin Angiotensin Aldosterone Syst. 2023, 2023, 7890188. [Google Scholar] [CrossRef]
- Mangalpally, K.K.; Kleiman, N.S. The safety of clopidogrel. Expert. Opin. Drug Saf. 2011, 10, 85–95. [Google Scholar] [CrossRef]
- Reiner, Ž. Statins in the primary prevention of cardiovascular disease. Nat. Rev. Cardiol. 2013, 10, 453–464. [Google Scholar] [CrossRef]
- Musunuru, K. Treating Coronary Artery Disease: Beyond Statins, Ezetimibe, and PCSK9 Inhibition. Annu. Rev. Med. 2021, 72, 447–458. [Google Scholar] [CrossRef]
- Swallah, M.S.; Sun, H.; Affoh, R.; Fu, H.; Yu, H. Antioxidant Potential Overviews of Secondary Metabolites (Polyphenols) in Fruits. Int. J. Food Sci. 2020, 2020, 9081686. [Google Scholar] [CrossRef]
- Watkins, R.; Wu, L.; Zhang, C.; Davis, R.M.; Xu, B. Natural product-based nanomedicine: Recent advances and issues. Int. J. Nanomed. 2015, 10, 6055–6074. [Google Scholar] [CrossRef]
- Alotaibi, B.S.; Ijaz, M.; Buabeid, M.; Kharaba, Z.J.; Yaseen, H.S.; Murtaza, G. Therapeutic Effects and Safe Uses of Plant-Derived Polyphenolic Compounds in Cardiovascular Diseases: A Review. Drug Des. Devel Ther. 2021, 15, 4713–4732. [Google Scholar] [CrossRef] [PubMed]
- Behl, T.; Bungau, S.; Kumar, K.; Zengin, G.; Khan, F.; Kumar, A.; Kaur, R.; Venkatachalam, T.; Tit, D.M.; Vesa, C.M.; et al. Pleotropic Effects of Polyphenols in Cardiovascular System. Biomed. Pharmacother. 2020, 130, 110714. [Google Scholar] [CrossRef] [PubMed]
- Rana, A.; Samtiya, M.; Dhewa, T.; Mishra, V.; Aluko, R.E. Health benefits of polyphenols: A concise review. J. Food Biochem. 2022, 46, e14264. [Google Scholar] [CrossRef] [PubMed]
- Goszcz, K.; Duthie, G.G.; Stewart, D.; Leslie, S.J.; Megson, I.L. Bioactive polyphenols and cardiovascular disease: Chemical antagonists, pharmacological agents or xenobiotics that drive an adaptive response? Br. J. Pharmacol. 2017, 174, 1209–1225. [Google Scholar] [CrossRef]
- Burton-Freeman, B.; Freeman, M.; Zhang, X.; Sandhu, A.; Edirisinghe, I. Watermelon and L-Citrulline in Cardio-Metabolic Health: Review of the Evidence 2000–2020. Curr. Atheroscler. Rep. 2021, 23, 81. [Google Scholar] [CrossRef]
- Mashilo, J.; Shimelis, H.; Ngwepe, R.M.; Thungo, Z. Genetic Analysis of Fruit Quality Traits in Sweet Watermelon (Citrullus lanatus var. lanatus): A Review. Front. Plant Sci. 2022, 13, 834696. [Google Scholar] [CrossRef]
- Guo, S.; Sun, H.; Xu, Y.; Fei, Z. Citrullus lanatus. Trends Genet. 2020, 36, 456–457. [Google Scholar] [CrossRef]
- Manivannan, A.; Lee, E.S.; Han, K.; Lee, H.E.; Kim, D.S. Versatile Nutraceutical Potentials of Watermelon-A Modest Fruit Loaded with Pharmaceutically Valuable Phytochemicals. Molecules 2020, 25, 5258. [Google Scholar] [CrossRef]
- Hussain, A.I.; Rathore, H.A.; Sattar, M.Z.A.; Chatha, S.A.S.; Ahmad, F.U.D.; Ahmad, A.; Johns, E.J. Phenolic profile and antioxidant activity of various extracts from Citrullus colocynthis (L.) from the Pakistani flora. Ind. Crops Prod. 2013, 45, 416–422. [Google Scholar] [CrossRef]
- Iftikhar, N.; Hussain, A.I.; Chatha, S.A.S.; Sultana, N.; Rathore, H.A. Effects of polyphenol-rich traditional herbal teas on obesity and oxidative stress in rats fed a high-fat-sugar diet. Food Sci. Nutr. 2022, 10, 698–711. [Google Scholar] [CrossRef] [PubMed]
- Iftikhar, N.; Hussain, A.I.; Kamal, G.M.; Manzoor, S.; Fatima, T.; Alswailmi, F.K.; Ahmad, A.; Alsuwayt, B.; Abdullah Alnasser, S.M. Antioxidant, Anti-Obesity, and Hypolipidemic Effects of Polyphenol Rich Star Anise (Illicium verum) Tea in High-Fat-Sugar Diet-Induced Obesity Rat Model. Antioxidants 2022, 11, 2240. [Google Scholar] [CrossRef] [PubMed]
- Hussain, A.I.; Anwar, F.; Rasheed, S.; Nigam, P.S.; Janneh, O.; Sarker, S.D. Composition, antioxidant and chemotherapeutic properties of the essential oils from two Origanum species growing in Pakistan. Rev. Bras. De. Farmacogn. 2011, 21, 943–952. [Google Scholar] [CrossRef]
- Nagi, M.N.; Mansour, M.A. Protective Effect of Thymoquinone Against Doxorubicin–Induced Cardiotoxicity in Rats: A Possible Mechanism of Protection. Pharmacol. Res. 2000, 41, 283–289. [Google Scholar] [CrossRef]
- Ahmad, A. Prophylactic Treatment with Hydrogen Sulphide Can Prevent Renal Ischemia-Reperfusion Injury in L-NAME Induced Hypertensive Rats with Cisplatin-Induced Acute Renal Failure. Life 2022, 12, 1819. [Google Scholar] [CrossRef]
- Fatima, T.; Shammari, L.A.; Lazhari, M.I.; Alrohily, W.; Yong Chia, T.; Alsabeelah, N.; Alanazi, E.F.; Almutairi, K.A.; Alhabradi, S.M.; Alharbi, N.S.; et al. Hydrogen Sulfide and Nitric Oxide Improve Renal Function and α-Adrenergic Responsiveness in Rats with Left Ventricular Hypertrophy. Curr. Issues Mol. Biol. 2025, 47, 848. [Google Scholar] [CrossRef]
- Ahmad, A. Physiological, Pathological and Pharmacological Interactions of Hydrogen Sulphide and Nitric Oxide in the Myocardium of Rats with Left Ventricular Hypertrophy. Curr. Issues Mol. Biol. 2022, 44, 433–448. [Google Scholar] [CrossRef]
- Ahmad, A.; Sattar, M.A.; Rathore, H.A.; Abdulla, M.H.; Khan, S.A.; Abdullah, N.A.; Kaur, G.; Johns, E.J. Functional contribution of α1D-adrenoceptors in the renal vasculature of left ventricular hypertrophy induced with isoprenaline and caffeine in Wistar–Kyoto rats. Can. J. Physiol. Pharmacol. 2014, 92, 1029–1035. [Google Scholar] [CrossRef]
- Lopez-Santiago, L.F.; Meadows, L.S.; Ernst, S.J.; Chen, C.; Malhotra, J.D.; McEwen, D.P.; Speelman, A.; Noebels, J.L.; Maier, S.K.; Lopatin, A.N. Sodium channel Scn1b null mice exhibit prolonged QT and RR intervals. J. Mol. Cell. Cardiol. 2007, 43, 636–647. [Google Scholar] [CrossRef]
- Goyal, R.K.; Kadnur, S.V. Beneficial effects of Zingiber officinale on goldthioglucose induced obesity. Fitoterapia 2006, 77, 160–163. [Google Scholar] [CrossRef] [PubMed]
- Friedewald, W.T.; Levy, R.I.; Fredrickson, D.S. Estimation of the Concentration of Low-Density Lipoprotein Cholesterol in Plasma, Without Use of the Preparative Ultracentrifuge. Clin. Chem. 1972, 18, 499–502. [Google Scholar] [CrossRef] [PubMed]
- Muruganandan, S.; Srinivasan, K.; Gupta, S.; Gupta, P.K.; Lal, J. Effect of mangiferin on hyperglycemia and atherogenicity in streptozotocin diabetic rats. J. Ethnopharmacol. 2005, 97, 497–501. [Google Scholar] [CrossRef] [PubMed]
- Kakkar, R.; Kalra, J.; Mantha, S.V.; Prasad, K. Lipid peroxidation and activity of antioxidant enzymes in diabetic rats. Mol. Cell. Biochem. 1995, 151, 113–119. [Google Scholar] [CrossRef]
- Ahmad, A.; Sattar, M.; Rathore, H.; Abdulla, M.; Khan, S.; Abdullah, N.; Johns, E. Enhanced expression of endothelial nitric oxide synthase in the myocardium ameliorates the progression of left ventricular hypertrophy in L-arginine treated Wistar-Kyoto rats. J. Physiol. Pharmacol. 2016, 67, 31–44. [Google Scholar]
- İşeri, S.; Ercan, F.; Gedik, N.; Yüksel, M.; Alican, İ. Simvastatin attenuates cisplatin-induced kidney and liver damage in rats. Toxicology 2007, 230, 256–264. [Google Scholar] [CrossRef]
- Nazar, N.; Hussain, A.I.; Rathore, H.A. Inter-Varietal Variation in Phenolic Profile, Antioxidant, Anti-Inflammatory and Analgesic Activities of Two Brassica rapa Varieties: Influence on Pro-Inflammatory Mediators. Molecules 2023, 29, 117. [Google Scholar] [CrossRef]
- Karale, S.; Yamuna, P.; Kamath, J.V. Protective effect of capsaicin against doxorubicin induced cardiotoxicity in experimental rats. Indian. J. Pharm. Educ. Res. 2020, 54, 95–100. [Google Scholar] [CrossRef]
- Hassanpour Fard, M.; Ghule, A.E.; Bodhankar, S.L.; Dikshit, M. Cardioprotective effect of whole fruit extract of pomegranate on doxorubicin-induced toxicity in rat. Pharm. Biol. 2011, 49, 377–382. [Google Scholar] [CrossRef]
- Ali, H.M.; Dawoud, G.T.; Atef, A.; Ewais, E.A. Comparative Evaluation of the Flavonoids Constituents in Some Verbenaeus Species Cultivated in Egypt. World J. Pharm. Res. 2017, 6, 119–127. [Google Scholar]
- Stoeva, S.; Radeva-Ilieva, M.; Zhelev, I.; Georgiev, K. A HPLC-UV Method for Analysis of Total Plant Extract and Catechin Fraction of Bancha Green Tea. Nat. Prod. J. 2023, 13, 90–97. [Google Scholar] [CrossRef]
- Suwatronnakorn, M.; Issaravanich, S.; Pitakpawasutthi, Y.; Kamlungmak, S.; Prasansuklab, A. Simultaneous quantification of chlorogenic acid, quercetin, and kaempferol in Urceola rosea leaves by CE and HPLC techniques: Method validation and comparative study. Nat. Prod. Res. 2025, 39, 6030–6034. [Google Scholar] [CrossRef] [PubMed]
- Al-Askar, A.A.; Bashir, S.; Mohamed, A.E.; Sharaf, O.A.; Nabil, R.; Su, Y.; Abdelkhalek, A.; Behiry, S.I. Antimicrobial efficacy and HPLC analysis of polyphenolic compounds in a whole-plant extract of Eryngium campestre. Separations 2023, 10, 362. [Google Scholar] [CrossRef]
- Abbas, A.; Sultana, B.; Hussain, A.; Anwar, F.; Ahmad, N. Antioxidant potential, phenolics content and antimicrobial attributes of selected medicinal plants. Pak. J. Anal. Environ. Chem. 2021, 22, 307–319. [Google Scholar] [CrossRef]
- Sultana, B.; Anwar, F.; Przybylski, R. Antioxidant activity of phenolic components present in barks of Azadirachta indica, Terminalia arjuna, Acacia nilotica, and Eugenia jambolana Lam. trees. Food Chem. 2007, 104, 1106–1114. [Google Scholar] [CrossRef]
- Sultana, B.; Hussain, Z.; Hameed, M.; Mushtaq, M. Antioxidant activity among different parts of aubergine (Solanum melongena L.). Pak. J. Bot. 2013, 45, 1443–1448. [Google Scholar]
- Hussain, S.; Rehman, A.U.; Obied, H.K.; Luckett, D.J.; Blanchard, C.L. Extraction, chemical characterization, in vitro antioxidant, and antidiabetic activity of canola (Brassica napus L.) meal. Separations 2022, 9, 38. [Google Scholar] [CrossRef]
- Indrianingsih, A.; Rosyida, V.; Apriyana, W.; Hayati, S.N.; Nisa, K.; Darsih, C.; Kusumaningrum, A.; Ratih, D.; Indirayati, N. Comparisons of antioxidant activities of two varieties of pumpkin (Cucurbita moschata and Cucurbita maxima) extracts. IOP Conf. Ser. Earth Environ. Sci. 2019, 251, 012021. [Google Scholar] [CrossRef]
- Sultana, B.; Anwar, F.; Ashraf, M. Effect of extraction solvent/technique on the antioxidant activity of selected medicinal plant extracts. Molecules 2009, 14, 2167–2180. [Google Scholar] [CrossRef]
- Velioglu, Y.S.; Mazza, G.; Gao, L.; Oomah, B.D. Antioxidant Activity and Total Phenolics in Selected Fruits, Vegetables, and Grain Products. J. Agric. Food Chem. 1998, 46, 4113–4117. [Google Scholar] [CrossRef]
- Younis, N.S. Doxorubicin-Induced Cardiac Abnormalities in Rats: Attenuation via Sandalwood Oil. Pharmacology 2019, 105, 522–530. [Google Scholar] [CrossRef]
- Jing, Z.; Wang, Z.; Li, X.; Li, X.; Cao, T.; Bi, Y.; Zhou, J.; Chen, X.; Yu, D.; Zhu, L. Protective effect of quercetin on posttraumatic cardiac injury. Sci. Rep. 2016, 6, 30812. [Google Scholar] [CrossRef]
- Dulf, P.L.; Coadă, C.A.; Florea, A.; Moldovan, R.; Baldea, I.; Dulf, D.V.; Blendea, D.; Filip, A.G. Mitigating doxorubicin-induced cardiotoxicity through quercetin intervention: An experimental study in rats. Antioxidants 2024, 13, 1068. [Google Scholar] [CrossRef]
- Zhang, W.; Zheng, Y.; Yan, F.; Dong, M.; Ren, Y. Research progress of quercetin in cardiovascular disease. Front. Cardiovasc. Med. 2023, 10, 1203713. [Google Scholar] [CrossRef]
- Oseni, O.; Ogunmoyole, T.; Idowu, K. Lipid profile and cardioprotective effects of aqueous extract of Moringa oleifera (lam) leaf on bromate-induced cardiotoxicity on Wistar albino rats. Eur. J. Adv. Res. Biol. Life Sci. 2015, 3, 52. [Google Scholar]
- Anghel, N.; Herman, H.; Balta, C.; Rosu, M.; Stan, M.; Nita, D.; Ivan, A.; Galajda, Z.; Ardelean, A.; Dinischiotu, A. Acute cardiotoxicity induced by doxorubicin in right ventricle is associated with increase of oxidative stress and apoptosis in rats. Histol. Histopathol. 2017, 33, 365–378. [Google Scholar] [PubMed]
- Adıyaman, M.Ş.; Adıyaman, Ö.A.; Dağlı, A.F.; Karahan, M.Z.; Dağlı, M.N. Prevention of doxorubicin-induced experimental cardiotoxicity by Nigella sativa in rats. Rev. Port. Cardiol. 2022, 41, 99–105. [Google Scholar] [CrossRef] [PubMed]
- Hosseini, A.; Safari, M.-K.; Rajabian, A.; Boroumand-Noughabi, S.; Eid, A.H.; Al Dhaheri, Y.; Gumpricht, E.; Sahebkar, A. Cardioprotective effect of rheum turkestanicum against doxorubicin-induced toxicity in rats. Front. Pharmacol. 2022, 13, 909079. [Google Scholar] [CrossRef]
- Akintunde, O.; Ajibola, E.; Abakpa, S.; Oluwo, B.; Olukunle, J. Cardioprotective effects of Citrullus lanatus rinds in male wistar rats. Niger. J. Anim. Prod. 2017, 44, 123–129. [Google Scholar] [CrossRef]
- Kalender, Y.; Yel, M.; Kalender, S. Doxorubicin hepatotoxicity and hepatic free radical metabolism in rats: The effects of vitamin E and catechin. Toxicology 2005, 209, 39–45. [Google Scholar] [CrossRef]
- El-Moselhy, M.A.; El-Sheikh, A.A. Protective mechanisms of atorvastatin against doxorubicin-induced hepato-renal toxicity. Biomed. Pharmacother. 2014, 68, 101–110. [Google Scholar] [CrossRef] [PubMed]
- Wang, N.; Gao, Z.; Zhan, H.; Jing, L.; Meng, F.; Chen, M. Salidroside alleviates doxorubicin-induced hepatotoxicity via Sestrin2/AMPK-mediated pyroptotic inhibition. Food Chem. Toxicol. 2025, 199, 115335. [Google Scholar] [CrossRef] [PubMed]
- Naderi, Y.; Khosraviani, S.; Nasiri, S.; Hajiaghaei, F.; Aali, E.; Jamialahmadi, T.; Banach, M.; Sahebkar, A. Cardioprotective effects of minocycline against doxorubicin-induced cardiotoxicity. Biomed. Pharmacother. 2023, 158, 114055. [Google Scholar] [CrossRef] [PubMed]
- Sheibani, M.; Nezamoleslami, S.; Faghir-Ghanesefat, H.; Emami, A.H.; Dehpour, A.R. Cardioprotective effects of dapsone against doxorubicin-induced cardiotoxicity in rats. Cancer Chemother. Pharmacol. 2020, 85, 563–571. [Google Scholar] [CrossRef]
- Alherz, F.A.; El-Masry, T.A.; Negm, W.A.; El-Kadem, A.H. Potential cardioprotective effects of Amentoflavone in doxorubicin-induced cardiotoxicity in mice. Biomed. Pharmacother. 2022, 154, 113643. [Google Scholar] [CrossRef]
- Viswanatha Swamy, A.H.; Wangikar, U.; Koti, B.C.; Thippeswamy, A.H.; Ronad, P.M.; Manjula, D.V. Cardioprotective effect of ascorbic acid on doxorubicin-induced myocardial toxicity in rats. Indian J. Pharmacol. 2011, 43, 507–511. [Google Scholar] [CrossRef]
- Baniahmad, B.; Safaeian, L.; Vaseghi, G.; Rabbani, M.; Mohammadi, B. Cardioprotective effect of vanillic acid against doxorubicin-induced cardiotoxicity in rat. Res. Pharm. Sci. 2020, 15, 87–96. [Google Scholar] [CrossRef]
- Aziz, T.A. Cardioprotective Effect of Quercetin and Sitagliptin in Doxorubicin-Induced Cardiac Toxicity in Rats. Cancer Manag. Res. 2021, 13, 2349–2357. [Google Scholar] [CrossRef]





| Compounds No. | Compounds Name | RT (Minutes) | C. lanatus Rind Extract | References | |
|---|---|---|---|---|---|
| Peak Area (%) | Concentration (mg/g of Extract) | ||||
| 1 | Hespertin | 46.4 | 257.9 | 9.60 ± 0.39 | [41] |
| 2 | Catechin | 3.0 | 1377 | 7.18 ± 0.41 | [42] |
| 3 | Chlorogenic acid | 3.1 | 78 | 0.38 ± 0.03 | [43] |
| 4 | Caffeic acid | 3.8 | 370 | 0.95 ± 0.04 | [44] |
| Antioxidant Assays | Extract | BHT |
|---|---|---|
| TPC (mg/g of dry plant material, measured as gallic acid equivalent) | 35.6 ± 1.7 | --- |
| TFC (mg/g of dry plant material, measured as catechin equivalent) | 12.8 ± 0.6 | --- |
| TOF (mg/g of dry plant material, measured as rutin equivalent) | 17.6 ± 0.5 | --- |
| DPPH radical scavenging activity (SC50, µg/mL) | 13.6 ± 0.7 b | 6.10 ± 0.4 a |
| Inhibition of linoleic acid peroxidation (%) | 86.9 ± 3.8 a | 89.3 ± 3.3 a |
| Groups | Body Weight (g) | Weight Increase (%) | Heart Weight (gm) | Heart Index (%) | |
|---|---|---|---|---|---|
| Initial | Final | ||||
| NC | 150.5 ± 5 | 198 ± 5 | 31.8 | 0.80 ± 0.002 | 0.40 ± 0.00 |
| DOX | 168.0 ± 5 | 200.1 ± 6 | 19.1 * | 0.72 ± 0.01 | 0.36 ± 0.00 * |
| PC | 164.3 ± 6 | 203.7 ± 5 | 27.6 # | 0.81 ± 0.002 # | 0.40 ± 0.00 # |
| PRCL-250 | 159.0 ± 5 | 190.9 ± 6 | 20.1 # | 0.71 ± 0.003 # | 0.37 ± 0.00 # |
| PRCL-500 | 170.0 ± 6 | 210.2 ± 7 | 23.6 # | 0.81 ± 0.003 # | 0.39 ± 0.00 # |
| Groups | SBP | MAP | HR | R-R Interval (s) | R-Amplitude (mV) | QRS (s) |
|---|---|---|---|---|---|---|
| NC | 132 ± 2 | 119 ± 1 | 390 ± 16 | 0.16 ± 0.002 | 0.54 ± 0.01 | 0.017 ± 0.0001 |
| DOX | 119 ± 2 | 93 ± 5 * | 360 ± 5 * | 0.20 ± 0.001 * | 0.45 ± 0.01 * | 0.023 ± 0.002 * |
| PC | 130 ± 3 | 120 ± 1 # | 400 ± 10 # | 0.16 ± 0.001 # | 0.55 ± 0.01 # | 0.017 ± 0.0001 # |
| PRCL-250 | 122 ± 2 | 94 ± 1 # | 370 ± 5 # | 0.19 ± 0.001 # | 0.45 ± 0.01 # | 0.021 ± 0.0001 # |
| PRCL-500 | 128 ± 1 | 96 ± 1 # | 375 ± 5 # | 0.18 ± 0.001 # | 0.50 ± 0.01 # | 0.020 ± 0.0001 # |
| Groups | Cardiac Enzyme | Cardio Specific Markers | |||
|---|---|---|---|---|---|
| Troponin I (cTnI) (ng/mL) | LDH (U/L) | CRR | AIS | AC | |
| NC | 0.20 ± 0.05 # | 130 ± 10 # | 2.20 ± 0.25 # | 0.06 ± 0.01 # | 1.40 ± 0.06 # |
| DOX | 1.50 ± 0.25 * | 300 ± 5 * | 4.91 ± 0.22 * | 0.12 ± 0.01 * | 3.93 ± 0.33 * |
| PC | 0.18 ± 0.05 *# | 110 ± 15 *# | 2.50 ± 0.13 *# | 0.07 ± 0.01 # | 1.61 ± 0.17 *# |
| PRCL-250 | 1.10 ± 0.25 *# | 240 ± 5 *# | 3.72 ± 0.26 *# | 0.09 ± 0.01 # | 2.33 ± 0.27 *# |
| PRCL-500 | 0.80 ± 0.25 *# | 200 ± 5 *# | 2.60 ± 0.23 *# | 0.07 ± 0.01 # | 1.62 ± 0.23 *# |
| Groups | Liver Parameters | |
|---|---|---|
| ALT (u/L) | AST (u/L) | |
| NC | 69.3 ± 3.2 # | 63.1 ± 3.8 # |
| DOX | 89.4 ± 4.2 * | 110.3 ± 6.7 * |
| PC | 69.5 ± 3.7 # | 63.8 ± 4.0 # |
| PRCL-250 (DOX + PRCL-250) | 78.3.0 ± 2.9 *# | 86.7 ± 3.3 *# |
| PRCL-500 (DOX + PRCL-500) | 76.7 ± 3.3 *# | 72.6 ± 2.8 *# |
| Groups | MDA (nmol/L) | SOD (NU/mL) | GSH (mg/L) | GPX (NU/mL) | CAT (NU/mL) |
|---|---|---|---|---|---|
| NC | 2.87 ± 0.17 # | 6.60 ± 0.30 # | 4.67 ± 0.108 # | 7.03 ± 0.33 # | 9.89 ± 0.50 # |
| DOX | 8.23 ± 0.39 * | 3.24 ± 0.27 * | 3.01 ± 0.19 * | 5.23 ± 0.22 * | 6.38 ± 0.34 * |
| PC | 4.12 ± 0.15 # | 6.05 ± 0.33 # | 4.36 ± 0.22 # | 6.44 ± 0.24 *# | 8.66 ± 0.49 # |
| PRCL-250 | 5.61 ± 0.29 *# | 4.97 ± 0.27 *# | 3.92 ± 0.12 * | 5.98 ± 0.20 *# | 7.97 ± 0.30 *# |
| PRCL-500 | 4.01 ± 0.22 *# | 5.94 ± 0.30 *# | 4.20 ± 0.11 * | 6.71 ± 0.212 *# | 8.68 ± 0.31 *# |
| Groups | TNF-α (pg/mL) | IL-6 (pg/mL) |
|---|---|---|
| NC | 242.3 ± 12.0 # | 279.2 ± 12.0 # |
| DOX | 690.2 ± 25.1 * | 912.6 ± 40.8 * |
| PC | 272.4 ± 10.0 # | 297.8 ± 13.4 # |
| PRCL-250 | 399.5 ± 15.6 *# | 387.9 ± 15.1 *# |
| PRCL-500 | 286.8 ± 17.0 *# | 311.1 ± 12.0 *# |
Disclaimer/Publisher’s Note: The statements, opinions and data contained in all publications are solely those of the individual author(s) and contributor(s) and not of MDPI and/or the editor(s). MDPI and/or the editor(s) disclaim responsibility for any injury to people or property resulting from any ideas, methods, instructions or products referred to in the content. |
© 2025 by the author. Licensee MDPI, Basel, Switzerland. This article is an open access article distributed under the terms and conditions of the Creative Commons Attribution (CC BY) license (https://creativecommons.org/licenses/by/4.0/).
Share and Cite
Alsuwayt, B. Polyphenol-Rich Citrullus lanatus Rind Extract Mitigates Doxorubicin-Induced Cardiotoxicity: HPLC Profiling and In Vivo Evaluation. Pharmaceutics 2025, 17, 1469. https://doi.org/10.3390/pharmaceutics17111469
Alsuwayt B. Polyphenol-Rich Citrullus lanatus Rind Extract Mitigates Doxorubicin-Induced Cardiotoxicity: HPLC Profiling and In Vivo Evaluation. Pharmaceutics. 2025; 17(11):1469. https://doi.org/10.3390/pharmaceutics17111469
Chicago/Turabian StyleAlsuwayt, Bader. 2025. "Polyphenol-Rich Citrullus lanatus Rind Extract Mitigates Doxorubicin-Induced Cardiotoxicity: HPLC Profiling and In Vivo Evaluation" Pharmaceutics 17, no. 11: 1469. https://doi.org/10.3390/pharmaceutics17111469
APA StyleAlsuwayt, B. (2025). Polyphenol-Rich Citrullus lanatus Rind Extract Mitigates Doxorubicin-Induced Cardiotoxicity: HPLC Profiling and In Vivo Evaluation. Pharmaceutics, 17(11), 1469. https://doi.org/10.3390/pharmaceutics17111469
