Optimization of Maduramicin Ammonium-Loaded Nanostructured Lipid Carriers Using Box–Behnken Design for Enhanced Anticoccidial Effect against Eimeria tenella in Broiler Chickens
Abstract
:1. Introduction
2. Materials and Methods
2.1. Materials
2.2. Preparation of MAD–NLCs
2.2.1. Screening of Lipids
2.2.2. Screening of Emulsifiers to Mixed Lipids
2.2.3. Preparation of MAD–NLCs
2.2.4. Box–Behnken Response Surface Analysis
2.3. Characterization of MAD–NLCs
2.3.1. Hydrodynamic Diameter, Polydispersity Index, and Zeta Potential of MAD–NLCs
2.3.2. The Morphology of MAD–NLCs
2.3.3. X-ray Diffraction Research
2.3.4. Fourier-Transform Infrared Spectroscopy
2.4. Encapsulation Efficiency and Drug Loading of MAD–NLCs
2.5. In Vitro Release Study
2.6. Evaluation of Anticoccidial Effect
2.6.1. Experimental Design
2.6.2. Evaluation of Anticoccidial Effect
2.7. Statistical Analysis
3. Results and Discussion
3.1. Preparation of MAD–NLCs
3.1.1. Screening of Lipids
3.1.2. Screening of Emulsifiers to Mixed Lipids
3.1.3. Box–Behnken Response Surface Analysis
3.2. Characterization of MAD–NLCs
3.2.1. The HD and ZP of MAD–NLCs
3.2.2. The Morphology of MAD–NLCs
3.2.3. XRD Analysis
3.2.4. FTIR Analysis
3.2.5. EE and DL of MAD–NLCs
3.3. In Vitro Release of MAD from NLCs
3.4. Evaluation of Anticoccidial Effect of MAD–NLCs
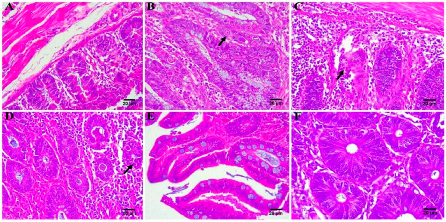
3.4.1. Clinical Symptoms and Pathological Examinations
3.4.2. Evaluation of Anticoccidial Effect
4. Conclusions
Supplementary Materials
Author Contributions
Funding
Institutional Review Board Statement
Data Availability Statement
Conflicts of Interest
References
- Dalloul, R.A.; Lillehoj, H.S. Poultry coccidiosis: Recent advancements in control measures and vaccine development. Expert Rev. Vaccines 2006, 5, 143–163. [Google Scholar] [CrossRef]
- Huang, G.; Tang, X.; Bi, F.; Hao, Z.; Han, Z.; Suo, J.; Zhang, S.; Wang, S.; Duan, C.; Yu, Z. Eimeria tenella infection perturbs the chicken gut microbiota from the onset of oocyst shedding. Vet. Parasitol. 2018, 258, 30–37. [Google Scholar] [CrossRef]
- Noack, S.; Chapman, H.D.; Selzer, P.M. Anticoccidial drugs of the livestock industry. Parasitol. Res. 2019, 118, 2009–2026. [Google Scholar] [CrossRef] [Green Version]
- Sharma, N.; Bhalla, A.; Varma, S.; Jain, S.; Singh, S. Toxicity of maduramicin. Emerg. Med. J. 2005, 22, 880–882. [Google Scholar] [CrossRef]
- Laczay, P.; Simon, F.; Lehel, J. Study of the maduramycin tolerance in broilers. Magy. Allatorv. Lapja 1989, 44, 529–532. [Google Scholar]
- Sobhakumari, A.; Poppenga, R.H.; Tawde, S. Avian Toxicology; Academic Press: Cambridge, MA, USA, 2018; pp. 711–731. [Google Scholar]
- Saif, Y.M. Diseases of Poultry; China Agricultural Press: Beijing, China, 2012. [Google Scholar]
- Kietzmann, M. Drinking water as a medium for drugs. Dtsch. Tierarztl. Wochenschr. 2000, 107, 337–338. [Google Scholar]
- Müller, R.H.; Alexiev, U.; Sinambela, P.; Keck, C.M. Nanostructured Lipid Carriers (NLC): The Second Generation of Solid Lipid Nanoparticles; Springer: Berlin/Heidelberg, Germany, 2016; pp. 161–185. [Google Scholar]
- Riquelme, N.; Zúñiga, R.N.; Arancibia, C. Physical stability of nanoemulsions with emulsifier mixtures: Replacement of tween 80 with quillaja saponin. Food Sci. Technol. 2019, 111, 760–766. [Google Scholar] [CrossRef]
- Naseri, N.; Valizadeh, H.; Zakeri Milani, P. Solid lipid nanoparticles and nanostructured lipid carriers: Structure, preparation and application. Adv. Pharm. Bull. 2015, 5, 305–313. [Google Scholar] [CrossRef] [Green Version]
- Das, S.; Chaudhury, A. Recent advances in lipid nanoparticle formulations with solid matrix for oral drug delivery. AAPS Pharmscitech 2011, 12, 62–76. [Google Scholar] [CrossRef] [Green Version]
- Yao, M.; McClements, D.J.; Xiao, H. Improving oral bioavailability of nutraceuticals by engineered nanoparticle-based delivery systems. Curr. Opin. Food Sci. 2015, 2, 14–19. [Google Scholar] [CrossRef]
- Fathi, M.; Mozafari, M.R.; Mohebbi, M. Nanoencapsulation of food ingredients using lipid based delivery systems. Trends Food Sci. Technol. 2012, 23, 13–27. [Google Scholar] [CrossRef]
- Tiwari, R.; Pathak, K. Nanostructured lipid carrier versus solid lipid nanoparticles of simvastatin: Comparative analysis of characteristics, pharmacokinetics and tissue uptake. Int. J. Pharm. 2011, 415, 232–243. [Google Scholar] [CrossRef]
- Beloqui, A.; Angeles Solinis, M.; Gascon, A.R.; del Pozo Rodriguez, A.; des Rieux, A.; Preat, V. Mechanism of transport of saquinavir-loaded nanostructured lipid carriers across the intestinal barrier. J. Control. Release 2013, 166, 115–123. [Google Scholar] [CrossRef] [Green Version]
- Patil, G.B.; Patil, N.D.; Deshmukh, P.K.; Patil, P.O.; Bari, S.B. Nanostructured lipid carriers as a potential vehicle for Carvedilol delivery: Application of factorial design approach. Artif. Cells Nanomed. Biotechnol. 2016, 44, 12–19. [Google Scholar] [CrossRef]
- Zhou, L.; Chen, Y.; Zhang, Z.; He, J.; Du, M.; Wu, Q. Preparation of tripterine nanostructured lipid carriers and their absorption in rat intestine. Pharmazie 2012, 67, 304–310. [Google Scholar]
- Date, A.A.; Vador, N.; Jagtap, A.; Nagarsenker, M.S. Lipid nanocarriers (GeluPearl) containing amphiphilic lipid Gelucire 50/13 as a novel stabilizer: Fabrication, characterization and evaluation for oral drug delivery. Nanotechnology 2011, 22, 275102. [Google Scholar] [CrossRef]
- Zhang, X.; Qiao, H.; Zhang, T.; Shi, Y.; Ni, J. Enhancement of gastrointestinal absorption of isoliquiritigenin by nanostructured lipid carrier. Adv. Powder Technol. 2014, 25, 1060–1068. [Google Scholar] [CrossRef]
- Iqbal, M.A.; Md, S.; Sahni, J.K.; Baboota, S.; Dang, S.; Ali, J. Nanostructured lipid carriers system: Recent advances in drug delivery. J. Drug Target. 2012, 20, 813–830. [Google Scholar] [CrossRef]
- Gomaa, E.; Fathi, H.A.; Eissa, N.G.; Elsabahy, M. Methods for preparation of nanostructured lipid carriers. Methods 2022, 199, 3–8. [Google Scholar] [CrossRef]
- Kasongo, K.W.; Müller, R.H.; Walker, R.B. The use of hot and cold high pressure homogenization to enhance the loading capacity and encapsulation efficiency of nanostructured lipid carriers for the hydrophilic antiretroviral drug, didanosine for potential administration to paediatric patients. Pharm. Dev. Technol. 2012, 17, 353–362. [Google Scholar] [CrossRef]
- Poonia, N.; Kharb, R.; Lather, V.; Pandita, D. Nanostructured lipid carriers: Versatile oral delivery vehicle. Future Sci. OA 2016, 2, FSO135. [Google Scholar] [CrossRef] [Green Version]
- Zhang, Q.; Yang, H.; Sahito, B.; Li, X.; Peng, L.; Gao, X.; Ji, H.; Wang, L.; Jiang, S.; Guo, D. Nanostructured lipid carriers with exceptional gastrointestinal stability and inhibition of P-gp efflux for improved oral delivery of tilmicosin. Colloids Surf. B Biointerfaces 2020, 187, 110649. [Google Scholar] [CrossRef]
- Johnson, J.; Reid, W.M. Anticoccidial drugs: Lesion scoring techniques in battery and floor-pen experiments with chickens. Exp. Parasitol. 1970, 28, 30–36. [Google Scholar] [CrossRef]
- Hodgson, J.N. Coccidiosis: Oocyst counting technique for coccidiostat evaluation. Exp. Parasitol. 1970, 28, 99–102. [Google Scholar] [CrossRef]
- De Pablos, L.M.; dos Santos, M.F.B.; Montero, E.; Garcia, G.A.; Parra, A.; Osuna, A. Anticoccidial activity of maslinic acid against infection with Eimeria tenella in chickens. Parasitol. Res. 2010, 107, 601–604. [Google Scholar] [CrossRef]
- Tamjidi, F.; Shahedi, M.; Varshosaz, J.; Nasirpour, A. Nanostructured lipid carriers (NLC): A potential delivery system for bioactive food molecules. Innov. Food Sci. Emerg. Technol. 2013, 19, 29–43. [Google Scholar] [CrossRef]
- Hu, F.Q.; Jiang, S.P.; Du, Y.Z.; Yuan, H.; Ye, Y.Q.; Zeng, S. Preparation and characterization of stearic acid nanostructured lipid carriers by solvent diffusion method in an aqueous system. Colloids Surf. B Biointerfaces 2005, 45, 167–173. [Google Scholar] [CrossRef]
- Triplett, M.D.; Rathman, J.F. Optimization of β-carotene loaded solid lipid nanoparticles preparation using a high shear homogenization technique. J. Nanoparticle Res. 2009, 11, 601–614. [Google Scholar] [CrossRef]
- Han, F.; Li, S.; Yin, R.; Liu, H.; Xu, L. Effect of surfactants on the formation and characterization of a new type of colloidal drug delivery system: Nanostructured lipid carriers. Colloids Surf. A-Physicochem. Eng. Asp. 2008, 315, 210–216. [Google Scholar] [CrossRef]
- Pasquali, R.C.; Taurozzi, M.P.; Bregni, C. Some considerations about the hydrophilic-lipophilic balance system. Int. J. Pharm. 2008, 356, 44–51. [Google Scholar] [CrossRef]
- Asfour, M.H.; Kassem, A.A.; Salama, A. Topical nanostructured lipid carriers/inorganic sunscreen combination for alleviation of all-trans retinoic acid-induced photosensitivity: Box-Behnken design optimization, in vitro and in vivo evaluation. Eur. J. Pharm. Sci. 2019, 134, 219–232. [Google Scholar] [CrossRef]
- Kudarha, R.; Dhas, N.L.; Pandey, A.; Belgamwar, V.S.; Ige, P.P. Box–Behnken study design for optimization of bicalutamide-loaded nanostructured lipid carrier: Stability assessment. Pharm. Dev. Technol. 2015, 20, 608–618. [Google Scholar] [CrossRef]
- Aslan, N.; Cebeci, Y. Application of Box–Behnken design and response surface methodology for modeling of some Turkish coals. Fuel 2007, 86, 90–97. [Google Scholar] [CrossRef]
- Lee, D.W.; Marasini, N.; Poudel, B.K.; Kim, J.H.; Cho, H.J.; Moon, B.K.; Choi, H.G.; Yong, C.S.; Kim, J.O. Application of Box–Behnken design in the preparation and optimization of fenofibrate-loaded self-microemulsifying drug delivery system (SMEDDS). J. Microencapsul. 2014, 31, 31–40. [Google Scholar] [CrossRef]
- Chen, C.C.; Tsai, T.H.; Huang, Z.R.; Fang, J.Y. Effects of lipophilic emulsifiers on the oral administration of lovastatin from nanostructured lipid carriers: Physicochemical characterization and pharmacokinetics. Eur. J. Pharm. Biopharm. 2010, 74, 474–482. [Google Scholar] [CrossRef]
- Üner, M. Characterization and imaging of solid lipid nanoparticles and nanostructured lipid carriers. In Handbook of Nanoparticles; Springer: Berlin/Heidelberg, Germany, 2016; pp. 117–141. [Google Scholar]
- Tan, S.W.; Billa, N.; Roberts, C.R.; Burley, J.C. Surfactant effects on the physical characteristics of Amphotericin B-containing nanostructured lipid carriers. Colloids Surf. A Physicochem. Eng. Asp. 2010, 372, 73–79. [Google Scholar] [CrossRef]
- How, C.W.; Rasedee, A.; Manickam, S.; Rosli, R. Tamoxifen-loaded nanostructured lipid carrier as a drug delivery system: Characterization, stability assessment and cytotoxicity. Colloids Surf. B Biointerfaces 2013, 112, 393–399. [Google Scholar] [CrossRef] [Green Version]
- Helgason, T.; Awad, T.S.; Kristbergsson, K.; Decker, E.A.; McClements, D.J.; Weiss, J. Impact of surfactant properties on oxidative stability of β-carotene encapsulated within solid lipid nanoparticles. J. Agric. Food Chem. 2009, 57, 8033–8040. [Google Scholar] [CrossRef]
- Mehnert, W.; Mäder, K. Solid lipid nanoparticles: Production, characterization and applications. Adv. Drug Deliv. Rev. 2012, 64, 83–101. [Google Scholar] [CrossRef]
- Neves, A.R.; Lúcio, M.; Martins, S.; Lima, J.L.C.; Reis, S. Novel resveratrol nanodelivery systems based on lipid nanoparticles to enhance its oral bioavailability. Int. J. Nanomed. 2013, 8, 177–187. [Google Scholar]
- Bunaciu, A.A.; UdriŞTioiu, E.G.; Enein, H.Y. X-ray diffraction: Instrumentation and applications. Crit. Rev. Anal. Chem. 2015, 45, 289–299. [Google Scholar] [CrossRef]
- Moodley, R.; Mashaba, C.; Rakodi, G.H.; Ncube, N.B.; Maphoru, M.V.; Balogun, M.O.; Jordan, A.; Warner, D.F.; Khan, R.; Tukulula, M. New quinoline–urea–benzothiazole hybrids as promising antitubercular agents: Synthesis, in vitro antitubercular activity, cytotoxicity studies, and in silico ADME profiling. Pharmaceuticals 2022, 15, 576. [Google Scholar] [CrossRef]
- Yaser, A.; El-Dahhan, M.; Meshali, M. New Oral Coaxial Nanofibers for Gadodiamide-Prospective Intestinal Magnetic Resonance Imaging and Theranostic. Int. J. Nanomed. 2020, 15, 8933–8943. [Google Scholar]
- Yuniarto, K.; Purwanto, Y.A.; Purwanto, S.; Welt, B.A.; Purwadaria, H.K.; Sunarti, T.C. Infrared and Raman Studies on Polylactide Acid and Polyethylene Glycol-400 Blend; AIP Conference Proceedings; AIP Publishing LLC: Melville, NY, USA, 2016. [Google Scholar]
- Chang, L.; Di, K.; Xu, J.; Chen, Y.; Xi, J.; Wang, D.; Hao, E.Y.; Xu, L.; Chen, H.; Zhou, R. Effect of natural garlic essential oil on chickens with artificially infected Eimeria tenella. Vet. Parasitol. 2021, 300, 109614. [Google Scholar] [CrossRef]
- Blake, D.P.; Marugan Hernandez, V.; Tomley, F.M. Spotlight on avian pathology: Eimeria and the disease coccidiosis. Avian Pathol. 2021, 50, 209–213. [Google Scholar] [CrossRef]
- Song, X.; Li, Y.; Chen, S.; Jia, R.; Huang, Y.; Zou, Y.; Li, L.; Zhao, X.; Yin, Z. Anticoccidial Effect of Herbal Powder “Shi Ying Zi” in Chickens Infected with Eimeria tenella. Animals 2020, 10, 1484. [Google Scholar] [CrossRef]
- Antoszczak, M.; Steverding, D.; Huczyński, A. Anti-parasitic activity of polyether ionophores. Eur. J. Med. Chem. 2019, 166, 32–47. [Google Scholar] [CrossRef] [Green Version]
- Arun, K.; Manjunath, H.; Reddy, K.; Reddy, R.; Kalakumar, B. Effect of subacute doses of maduramicin in broiler chicks. Online J. Vet. Res. 2003, 7, 91–98. [Google Scholar]





| Independent Variables (Factors) | Levels | ||
|---|---|---|---|
| −1 | 0 | 1 | |
| A: SL (%) | 10 | 20 | 30 |
| B: EL (%) | 20 | 30 | 40 |
| C: ML (%) | 30 | 40 | 50 |
| Dependent variables (responses) | Unit | Goal | |
| Y1: HD | nm | Minimize | |
| Y2: ZP | mV | Minimize | |
| Formulation Codes | Independent Variables | Dependent Variables | |||
|---|---|---|---|---|---|
| A | B | C | Y1 | Y2 | |
| 1 | 20 | 30 | 40 | 358.1 | −29.6 |
| 2 | 30 | 30 | 30 | 413.7 | −38.8 |
| 3 | 20 | 30 | 40 | 340.2 | −30.4 |
| 4 | 30 | 30 | 50 | 432.5 | −37.4 |
| 5 | 10 | 30 | 50 | 291.2 | −40.6 |
| 6 | 20 | 30 | 40 | 358.5 | −31.5 |
| 7 | 30 | 40 | 40 | 467.6 | −27.8 |
| 8 | 10 | 20 | 40 | 268.3 | −32.6 |
| 9 | 10 | 40 | 40 | 231.6 | −33.7 |
| 10 | 20 | 20 | 50 | 340.6 | −34.9 |
| 11 | 10 | 30 | 30 | 223.5 | −41.7 |
| 12 | 20 | 40 | 30 | 358.6 | −32.8 |
| 13 | 20 | 30 | 40 | 328.2 | −32.7 |
| 14 | 20 | 40 | 50 | 395.8 | −32.4 |
| 15 | 20 | 30 | 40 | 357.1 | −29.7 |
| 16 | 30 | 20 | 40 | 364.2 | −33.5 |
| 17 | 20 | 20 | 30 | 296.6 | −36.5 |
| Group | Survival Rate (%) | Relative Weight Gain (%) | Cecal Lesion | Oocyst Value | Anticoccidial Index |
|---|---|---|---|---|---|
| 1 | 100 | 100 | 0 | 0 | 200 |
| 2 | 66.67 | 59.07 | 34 | 40 | 51.74 |
| 3 | 90 | 82.33 | 10.3 | 10 | 151.99 |
| 4 | 100 | 84.95 | 8.7 | 10 | 166.29 |
| 5 | 100 | 93.72 | 4 | 1 | 187.78 |
| 6 | 90 | 85.85 | 1.3 | 0 | 174.52 |
Publisher’s Note: MDPI stays neutral with regard to jurisdictional claims in published maps and institutional affiliations. |
© 2022 by the authors. Licensee MDPI, Basel, Switzerland. This article is an open access article distributed under the terms and conditions of the Creative Commons Attribution (CC BY) license (https://creativecommons.org/licenses/by/4.0/).
Share and Cite
Zhang, Y.; Zuo, R.; Song, X.; Gong, J.; Wang, J.; Lin, M.; Yang, F.; Cheng, X.; Gao, X.; Peng, L.; et al. Optimization of Maduramicin Ammonium-Loaded Nanostructured Lipid Carriers Using Box–Behnken Design for Enhanced Anticoccidial Effect against Eimeria tenella in Broiler Chickens. Pharmaceutics 2022, 14, 1330. https://doi.org/10.3390/pharmaceutics14071330
Zhang Y, Zuo R, Song X, Gong J, Wang J, Lin M, Yang F, Cheng X, Gao X, Peng L, et al. Optimization of Maduramicin Ammonium-Loaded Nanostructured Lipid Carriers Using Box–Behnken Design for Enhanced Anticoccidial Effect against Eimeria tenella in Broiler Chickens. Pharmaceutics. 2022; 14(7):1330. https://doi.org/10.3390/pharmaceutics14071330
Chicago/Turabian StyleZhang, Yan, Runan Zuo, Xinhao Song, Jiahao Gong, Junqi Wang, Mengjuan Lin, Fengzhu Yang, Xingxing Cheng, Xiuge Gao, Lin Peng, and et al. 2022. "Optimization of Maduramicin Ammonium-Loaded Nanostructured Lipid Carriers Using Box–Behnken Design for Enhanced Anticoccidial Effect against Eimeria tenella in Broiler Chickens" Pharmaceutics 14, no. 7: 1330. https://doi.org/10.3390/pharmaceutics14071330
APA StyleZhang, Y., Zuo, R., Song, X., Gong, J., Wang, J., Lin, M., Yang, F., Cheng, X., Gao, X., Peng, L., Ji, H., Chen, X., Jiang, S., & Guo, D. (2022). Optimization of Maduramicin Ammonium-Loaded Nanostructured Lipid Carriers Using Box–Behnken Design for Enhanced Anticoccidial Effect against Eimeria tenella in Broiler Chickens. Pharmaceutics, 14(7), 1330. https://doi.org/10.3390/pharmaceutics14071330
