Stable Display of Artificially Long Foreign Antigens on Chimeric Bamboo mosaic virus Particles
Abstract
1. Introduction
2. Materials and Methods
2.1. Construction of Chimeric Virus Infectious Clones
2.2. Physicochemical Parameters Prediction of Foreign Peptides
2.3. Plant Inoculation and Detection of Chimeric Virus Accumulation
2.4. Serologically Specific Electron Microscopy (SSEM) of CVPs
2.5. Infected Plant Tissue Protein Analysis and BVP1s Chimera Stability during Sequential Transmission
2.6. Statistical Analysis
3. Results
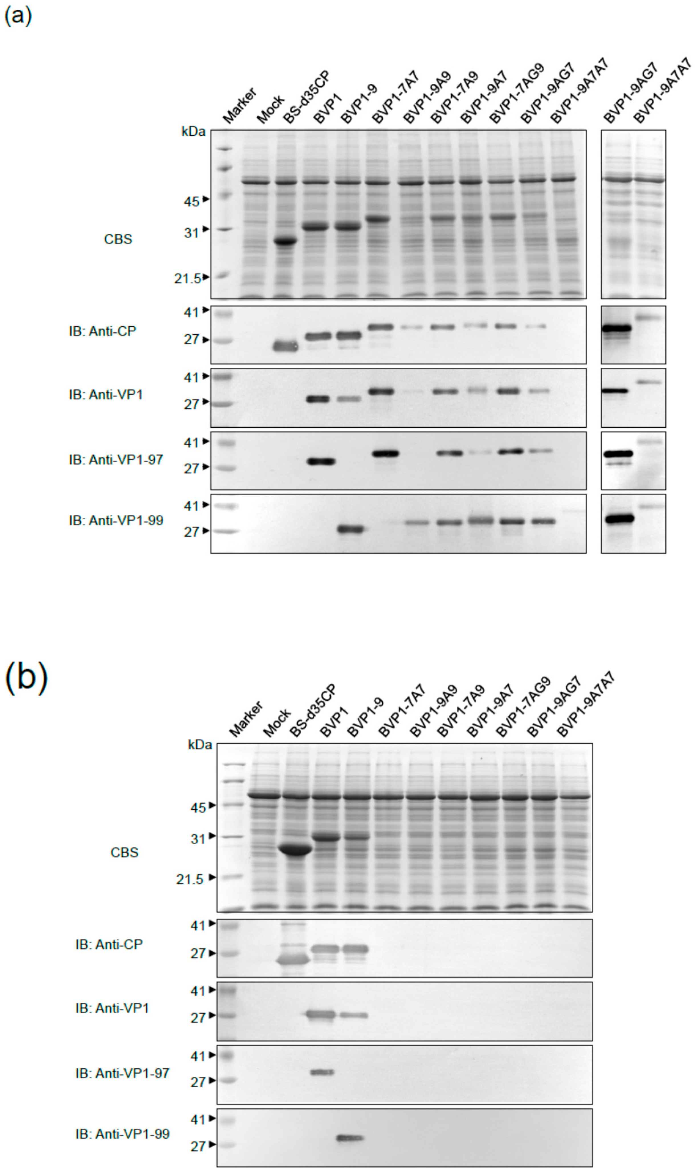
3.1. Expression Efficiency of Chimeras from Different Recombinants Variations
3.2. Effects of Physicochemical Parameters of Heterologous Peptides
3.3. Secondary Structure Prediction
3.4. The N-Terminus Effect of Heterologus Peptides on Chimeras
3.5. Infection and Systemic Movement of the Chimeras with Heterologus Peptides
3.6. Accumulation of the Chimeras with Heterologus Peptides
3.7. Morphology of the Chimeras Particles with Heterologus Peptides
3.8. Chimeras with Heterologus Peptides Are Stable during Successive Passages in Plants
4. Discussion
5. Conclusions
Supplementary Materials
Author Contributions
Funding
Institutional Review Board Statement
Informed Consent Statement
Data Availability Statement
Acknowledgments
Conflicts of Interest
References
- Rybicki, E.P. Plant-made vaccines for humans and animals. Plant. Biotechnol. J. 2010, 8, 620–637. [Google Scholar] [CrossRef]
- Abrahamian, P.; Hammond, R.W.; Hammond, J. Plant Virus-Derived Vectors: Applications in Agricultural and Medical Biotechnology. Annu. Rev. Virol. 2020, 7, 513–535. [Google Scholar] [CrossRef] [PubMed]
- Balke, I.; Zeltins, A. Recent Advances in the Use of Plant Virus-Like Particles as Vaccines. Viruses 2020, 12, 270. [Google Scholar] [CrossRef] [PubMed]
- Ruiz, V.; Mozgovoj, M.V.; Dus Santos, M.J.; Wigdorovitz, A. Plant-produced viral bovine vaccines: What happened during the last 10 years? Plant. Biotechnol. J. 2015, 13, 1071–1077. [Google Scholar] [CrossRef]
- Lei, X.; Cai, X.; Yang, Y. Genetic engineering strategies for construction of multivalent chimeric VLPs vaccines. Expert Rev. Vaccines 2020, 19, 235–246. [Google Scholar] [CrossRef] [PubMed]
- Gerloni, M.; Xiong, S.; Mukerjee, S.; Schoenberger, S.P.; Croft, M.; Zanetti, M. Functional cooperation between T helper cell determinants. Proc. Natl. Acad. Sci. USA 2000, 97, 13269–13274. [Google Scholar] [CrossRef]
- Smith, M.L.; Lindbo, J.A.; Dillard-Telm, S.; Brosio, P.M.; Lasnik, A.B.; McCormick, A.A.; Nguyen, L.V.; Palmer, K.E. Modified tobacco mosaic virus particles as scaffolds for display of protein antigens for vaccine applications. Virology 2006, 348, 475–488. [Google Scholar] [CrossRef]
- Wang, Z.B.; Xu, J. Better Adjuvants for Better Vaccines: Progress in Adjuvant Delivery Systems, Modifications, and Adjuvant-Antigen Codelivery. Vaccines 2020, 8, 128. [Google Scholar] [CrossRef] [PubMed]
- Yang, C.D.; Liao, J.T.; Lai, C.Y.; Jong, M.H.; Liang, C.M.; Lin, Y.L.; Lin, N.S.; Hsu, Y.H.; Liang, S.M. Induction of protective immunity in swine by recombinant bamboo mosaic virus expressing foot-and-mouth disease virus epitopes. BMC Biotechnol. 2007, 7, 62. [Google Scholar] [CrossRef]
- Liew, P.S.; Hair-Bejo, M. Farming of Plant-Based Veterinary Vaccines and Their Applications for Disease Prevention in Animals. Adv. Virol. 2015, 2015, 936940. [Google Scholar] [CrossRef]
- Chen, T.H.; Chen, T.H.; Hu, C.C.; Liao, J.T.; Lee, C.W.; Liao, J.W.; Lin, M.Y.; Liu, H.J.; Wang, M.Y.; Lin, N.S.; et al. Induction of protective immunity in chickens immunized with plant-made chimeric Bamboo mosaic virus particles expressing very virulent Infectious bursal disease virus antigen. Virus Res. 2012, 166, 109–115. [Google Scholar] [CrossRef] [PubMed]
- Chen, T.H.; Hu, C.C.; Liao, J.T.; Lee, Y.L.; Huang, Y.W.; Lin, N.S.; Lin, Y.L.; Hsu, Y.H. Production of Japanese Encephalitis Virus Antigens in Plants Using Bamboo Mosaic Virus-Based Vector. Front. Microbiol. 2017, 8, 788. [Google Scholar] [CrossRef] [PubMed]
- Lico, C.; Chen, Q.; Santi, L. Viral vectors for production of recombinant proteins in plants. J. Cell Physiol. 2008, 216, 366–377. [Google Scholar] [CrossRef] [PubMed]
- Jiang, L.; Li, Q.; Li, M.; Zhou, Z.; Wu, L.; Fan, J.; Zhang, Q.; Zhu, H.; Xu, Z. A modified TMV-based vector facilitates the expression of longer foreign epitopes in tobacco. Vaccine 2006, 24, 109–115. [Google Scholar] [CrossRef] [PubMed]
- Bendahmane, M.; Koo, M.; Karrer, E.; Beachy, R.N. Display of epitopes on the surface of tobacco mosaic virus: Impact of charge and isoelectric point of the epitope on virus-host interactions. J. Mol. Biol. 1999, 290, 9–20. [Google Scholar] [CrossRef] [PubMed]
- Lico, C.; Capuano, F.; Renzone, G.; Donini, M.; Marusic, C.; Scaloni, A.; Benvenuto, E.; Baschieri, S. Peptide display on Potato virus X: Molecular features of the coat protein-fused peptide affecting cell-to-cell and phloem movement of chimeric virus particles. J. Gen. Virol. 2006, 87, 3103–3112. [Google Scholar] [CrossRef]
- Uhde-Holzem, K.; Fischer, R.; Commandeur, U. Genetic stability of recombinant potato virus X virus vectors presenting foreign epitopes. Arch. Virol. 2007, 152, 805–811. [Google Scholar] [CrossRef]
- Betti, C.; Lico, C.; Maffi, D.; D’Angeli, S.; Altamura, M.M.; Benvenuto, E.; Faoro, F.; Baschieri, S. Potato virus X movement in Nicotiana benthamiana: New details revealed by chimeric coat protein variants. Mol. Plant. Pathol. 2012, 13, 198–203. [Google Scholar] [CrossRef]
- Li, Q.; Jiang, L.; Li, M.; Li, P.; Zhang, Q.; Song, R.; Xu, Z. Morphology and stability changes of recombinant TMV particles caused by a cysteine residue in the foreign peptide fused to the coat protein. J. Virol. Methods 2007, 140, 212–217. [Google Scholar] [CrossRef] [PubMed]
- Porta, C.; Spall, V.E.; Findlay, K.C.; Gergerich, R.C.; Farrance, C.E.; Lomonossoff, G.P. Cowpea mosaic virus-based chimaeras. Effects of inserted peptides on the phenotype, host range, and transmissibility of the modified viruses. Virology 2003, 310, 50–63. [Google Scholar] [CrossRef]
- Canizares, M.C.; Nicholson, L.; Lomonossoff, G.P. Use of viral vectors for vaccine production in plants. Immunol. Cell Biol. 2005, 83, 263–270. [Google Scholar] [CrossRef]
- DiMaio, F.; Chen, C.C.; Yu, X.; Frenz, B.; Hsu, Y.H.; Lin, N.S.; Egelman, E.H. The molecular basis for flexibility in the flexible filamentous plant viruses. Nat. Struct. Mol. Biol. 2015, 22, 642–644. [Google Scholar] [CrossRef]
- Lan, P.; Yeh, W.B.; Tsai, C.W.; Lin, N.S. A unique glycine-rich motif at the N-terminal region of Bamboo mosaic virus coat protein is required for symptom expression. Mol. Plant. Microbe Interact. 2010, 23, 903–914. [Google Scholar] [CrossRef] [PubMed]
- Muthamilselvan, T.; Lee, C.W.; Cho, Y.H.; Wu, F.C.; Hu, C.C.; Liang, Y.C.; Lin, N.S.; Hsu, Y.H. A transgenic plant cell-suspension system for expression of epitopes on chimeric Bamboo mosaic virus particles. Plant. Biotechnol. J. 2016, 14, 231–239. [Google Scholar] [CrossRef] [PubMed]
- Ferre, F.; Clote, P. DiANNA 1.1: An extension of the DiANNA web server for ternary cysteine classification. Nucleic Acids Res. 2006, 34, W182–W185. [Google Scholar] [CrossRef]
- McGuffin, L.J.; Bryson, K.; Jones, D.T. The PSIPRED protein structure prediction server. Bioinformatics 2000, 16, 404–405. [Google Scholar] [CrossRef]
- Lin, M.K.; Chang, B.Y.; Liao, J.T.; Lin, N.S.; Hsu, Y.H. Arg-16 and Arg-21 in the N-terminal region of the triple-gene-block protein 1 of Bamboo mosaic virus are essential for virus movement. J. Gen. Virol. 2004, 85, 251–259. [Google Scholar] [CrossRef]
- Lin, N.S.; Chen, C.C. Association of bamboo mosaic virus (BaMV) and BaMV-specific electron-dense crystalline bodies with chloroplasts. Phytopathology 1991, 81, 1551–1555. [Google Scholar] [CrossRef]
- Wang, J.H.; Liang, C.M.; Peng, J.M.; Shieh, J.J.; Jong, M.H.; Lin, Y.L.; Sieber, M.; Liang, S.M. Induction of immunity in swine by purified recombinant VP1 of foot-and-mouth disease virus. Vaccine 2003, 21, 3721–3729. [Google Scholar] [CrossRef]
- Lin, N.S. Gold-IgG complexes improve the detection and identification of viruses in leaf dip preparations. J. Virol. Methods 1984, 8, 181–190. [Google Scholar] [CrossRef]
- Rose, G.D.; Wolfenden, R. Hydrogen bonding, hydrophobicity, packing, and protein folding. Annu. Rev. Biophys. Biomol. Struct. 1993, 22, 381–415. [Google Scholar] [CrossRef]
- Baratova, L.A.; Fedorova, N.V.; Dobrov, E.N.; Lukashina, E.V.; Kharlanov, A.N.; Nasonov, V.V.; Serebryakova, M.V.; Kozlovsky, S.V.; Zayakina, O.V.; Rodionova, N.P. N-Terminal segment of potato virus X coat protein subunits is glycosylated and mediates formation of a bound water shell on the virion surface. Eur. J. Biochem. 2004, 271, 3136–3145. [Google Scholar] [CrossRef]
- Gasteiger, E.; Hoogland, C.; Gattiker, A.; Duvaud, S.; Wilkins, M.R.; Appel, R.D.; Bairoch, A. Protein Identification and Analysis Tools on the ExPASy Server. In The Proteomics Protocols Handbook; Walker, J.M., Ed.; Humana Press: Totowa, NJ, USA, 2005; pp. 571–607. [Google Scholar]
- Grinzato, A.; Kandiah, E.; Lico, C.; Betti, C.; Baschieri, S.; Zanotti, G. Atomic structure of potato virus X, the prototype of the Alphaflexiviridae family. Nat. Chem. Biol. 2020, 16, 564–569. [Google Scholar] [CrossRef] [PubMed]
- Anthony, R.P.; Paredes, A.M.; Brown, D.T. Disulfide bonds are essential for the stability of the Sindbis virus envelope. Virology 1992, 190, 330–336. [Google Scholar] [CrossRef]
- Krondiris, J.V.; Sideris, D.C. Intramolecular disulfide bonding is essential for betanodavirus coat protein conformation. J. Gen. Virol. 2002, 83, 2211–2214. [Google Scholar] [CrossRef] [PubMed]
- Trinh, R.; Gurbaxani, B.; Morrison, S.L.; Seyfzadeh, M. Optimization of codon pair use within the (GGGGS)3 linker sequence results in enhanced protein expression. Mol. Immunol. 2004, 40, 717–722. [Google Scholar] [CrossRef] [PubMed]
- Donson, J.; Kearney, C.M.; Hilf, M.E.; Dawson, W.O. Systemic expression of a bacterial gene by a tobacco mosaic virus-based vector. Proc. Natl. Acad. Sci. USA 1991, 88, 7204–7208. [Google Scholar] [CrossRef] [PubMed]
- Turpen, T.H.; Reinl, S.J.; Charoenvit, Y.; Hoffman, S.L.; Fallarme, V.; Grill, L.K. Malarial epitopes expressed on the surface of recombinant tobacco mosaic virus. Biotechnology (N Y) 1995, 13, 53–57. [Google Scholar]
- Chapman, S.; Kavanagh, T.; Baulcombe, D. Potato virus X as a vector for gene expression in plants. Plant J. 1992, 2, 549–557. [Google Scholar]
- Ooi, A.; Tan, S.; Mohamed, R.; Rahman, N.A.; Othman, R.Y. The full-length clone of cucumber green mottle mosaic virus and its application as an expression system for Hepatitis B surface antigen. J. Biotechnol. 2006, 121, 471–481. [Google Scholar] [CrossRef] [PubMed]
- Sempere, R.N.; Gomez, P.; Truniger, V.; Aranda, M.A. Development of expression vectors based on pepino mosaic virus. Plant Methods 2011, 7, 6. [Google Scholar] [CrossRef]
- Nemykh, M.A.; Efimov, A.V.; Novikov, V.K.; Orlov, V.N.; Arutyunyan, A.M.; Drachev, V.A.; Lukashina, E.V.; Baratova, L.A.; Dobrov, E.N. One more probable structural transition in potato virus X virions and a revised model of the virus coat protein structure. Virology 2008, 373, 61–71. [Google Scholar] [CrossRef] [PubMed]
- Dill, K.A.; Truskett, T.M.; Vlachy, V.; Hribar-Lee, B. Modeling water, the hydrophobic effect, and ion solvation. Annu Rev. Biophys. Biomol. Struct. 2005, 34, 173–199. [Google Scholar] [CrossRef] [PubMed]
- Pace, C.N.; Shirley, B.A.; McNutt, M.; Gajiwala, K. Forces contributing to the conformational stability of proteins. FASEB J. 1996, 10, 75–83. [Google Scholar] [CrossRef] [PubMed]
- Parker, L.; Kendall, A.; Stubbs, G. Surface features of potato virus X from fiber diffraction. Virology 2002, 300, 291–295. [Google Scholar] [CrossRef]
- Kendall, A.; McDonald, M.; Bian, W.; Bowles, T.; Baumgarten, S.C.; Shi, J.; Stewart, P.L.; Bullitt, E.; Gore, D.; Irving, T.C.; et al. Structure of flexible filamentous plant viruses. J. Virol. 2008, 82, 9546–9554. [Google Scholar] [CrossRef]
- Tremblay, M.H.; Majeau, N.; Gagne, M.E.; Lecours, K.; Morin, H.; Duvignaud, J.B.; Bolduc, M.; Chouinard, N.; Pare, C.; Gagne, S.; et al. Effect of mutations K97A and E128A on RNA binding and self assembly of papaya mosaic potexvirus coat protein. FEBS J. 2006, 273, 14–25. [Google Scholar] [CrossRef]
- Koenig, R.; Torrance, L. Antigenic analysis of potato virus X by means of monoclonal antobodies. J. Gen. Virol. 1986, 67, 2145–2151. [Google Scholar] [CrossRef]
- Chen, X.; Zaro, J.L.; Shen, W.C. Fusion protein linkers: Property, design and functionality. Adv. Drug Deliv. Rev. 2013, 65, 1357–1369. [Google Scholar] [CrossRef]
- Chen, C.C.; Chen, T.C.; Raja, J.A.; Chang, C.A.; Chen, L.W.; Lin, S.S.; Yeh, S.D. Effectiveness and stability of heterologous proteins expressed in plants by Turnip mosaic virus vector at five different insertion sites. Virus Res. 2007, 130, 210–227. [Google Scholar] [CrossRef]
- Ahlquist, P.; Schwartz, M.; Chen, J.; Kushner, D.; Hao, L.; Dye, B.T. Viral and host determinants of RNA virus vector replication and expression. Vaccine 2005, 23, 1784–1787. [Google Scholar] [CrossRef] [PubMed]
- Betti, C.; Lico, C.; Iriti, M.; D’Angeli, S.; Benvenuto, E.; Baschieri, S.; Faoro, F. A chimeric Potato virus X encoding a heterologous peptide affects Nicotiana benthamiana chloroplast structure. Plant. Biosyst. 2010, 144, 725–732. [Google Scholar] [CrossRef]
- D’Souza, S.E.; Ginsberg, M.H.; Plow, E.F. Arginyl-glycyl-aspartic acid (RGD): A cell adhesion motif. Trends Biochem. Sci. 1991, 16, 246–250. [Google Scholar] [CrossRef]
- Fox, G.; Parry, N.R.; Barnett, P.V.; McGinn, B.; Rowlands, D.J.; Brown, F. The cell attachment site on foot-and-mouth disease virus includes the amino acid sequence RGD (arginine-glycine-aspartic acid). J. Gen. Virol. 1989, 70 Pt 3, 625–637. [Google Scholar] [CrossRef]
- Mason, P.W.; Rieder, E.; Baxt, B. RGD sequence of foot-and-mouth disease virus is essential for infecting cells via the natural receptor but can be bypassed by an antibody-dependent enhancement pathway. Proc. Natl. Acad. Sci. USA 1994, 91, 1932–1936. [Google Scholar] [CrossRef] [PubMed]
- Lobigs, M.; Usha, R.; Nestorowicz, A.; Marshall, I.D.; Weir, R.C.; Dalgarno, L. Host cell selection of Murray Valley encephalitis virus variants altered at an RGD sequence in the envelope protein and in mouse virulence. Virology 1990, 176, 587–595. [Google Scholar] [CrossRef]
- Porta, C.; Spall, V.E.; Loveland, J.; Johnson, J.E.; Barker, P.J.; Lomonossoff, G.P. Development of cowpea mosaic virus as a high-yielding system for the presentation of foreign peptides. Virology 1994, 202, 949–955. [Google Scholar] [CrossRef]






| Peptide Name | Amino Acid Sequence † | Construct Name | Peptide Length | Peptide Charge | Peptide pI Value ‡ | Accumulation § |
|---|---|---|---|---|---|---|
| F-E | TVYNGSSKYGDTSTNNVRGDLQVLAQKAERTLPTSFN | pBVP1 | 37 | +1 | 8.10 | V |
| F-F | TVYNGNCKYGESPVTNVRGDLQVLAQKAARTLPTSFN | pBVP1-9 | 37 | +2 | 9.10 | V |
| F-EE | TVYNGSSKYGDTSTNNVRGDLQVLAQKAERTLPTSFNAAATVYNGSSKYGDTSTNNVRGDLQVLAQKAERTLPTSFN | pBVP1-7A7 | 77 | +2 | 9.15 | IV |
| F-FF | TVYNGNCKYGESPVTNVRGDLQVLAQKAARTLPTSFNAAATVYNGNCKYGESPVTNVRGDLQVLAQKAARTLPTSFN | pBVP1-9A9 | 77 | +4 | 9.39 | I |
| F-EF | TVYNGSSKYGDTSTNNVRGDLQVLAQKAERTLPTSFNAAATVYNGNCKYGESPVTNVRGDLQVLAQKAARTLPTSFN | pBVP1-7A9 | 77 | +3 | 9.30 | II |
| F-FE | TVYNGNCKYGESPVTNVRGDLQVLAQKAARTLPTSFNAAATVYNGSSKYGDTSTNNVRGDLQVLAQKAERTLPTSFN | pBVP1-9A7 | 77 | +3 | 9.30 | I |
| F-EF1 | TVYNGSSKYGDTSTNNVRGDLQVLAQKAERTLPTSFNAAASGGGGTVYNGNCKYGESPVTNVRGDLQVLAQKAARTLPTSFN | pBVP1-7AG9 | 82 | +3 | 9.30 | III |
| F-FE1 | TVYNGNCKYGESPVTNVRGDLQVLAQKAARTLPTSFNAAASGGGGTVYNGSSKYGDTSTNNVRGDLQVLAQKAERTLPTSFN | pBVP1-9AG7 | 82 | +3 | 9.30 | II |
| F-FEE | TVYNGNCKYGESPVTNVRGDLQVLAQKAARTLPTSFNAAATVYNGSSKYGDTSTNNVRGDLQVLAQKAERTLPTSFNAAATVYNGSSKYGDTSTNNVRGDLQVLAQKAERTLPTSFN | pBVP1-9A7A7 | 117 | +4 | 9.37 | I/0 |
Publisher’s Note: MDPI stays neutral with regard to jurisdictional claims in published maps and institutional affiliations. |
© 2021 by the authors. Licensee MDPI, Basel, Switzerland. This article is an open access article distributed under the terms and conditions of the Creative Commons Attribution (CC BY) license (http://creativecommons.org/licenses/by/4.0/).
Share and Cite
Chen, T.-H.; Hu, C.-C.; Lee, C.-W.; Feng, Y.-M.; Lin, N.-S.; Hsu, Y.-H. Stable Display of Artificially Long Foreign Antigens on Chimeric Bamboo mosaic virus Particles. Viruses 2021, 13, 572. https://doi.org/10.3390/v13040572
Chen T-H, Hu C-C, Lee C-W, Feng Y-M, Lin N-S, Hsu Y-H. Stable Display of Artificially Long Foreign Antigens on Chimeric Bamboo mosaic virus Particles. Viruses. 2021; 13(4):572. https://doi.org/10.3390/v13040572
Chicago/Turabian StyleChen, Tsung-Hsien, Chung-Chi Hu, Chin-Wei Lee, Yu-Min Feng, Na-Sheng Lin, and Yau-Heiu Hsu. 2021. "Stable Display of Artificially Long Foreign Antigens on Chimeric Bamboo mosaic virus Particles" Viruses 13, no. 4: 572. https://doi.org/10.3390/v13040572
APA StyleChen, T.-H., Hu, C.-C., Lee, C.-W., Feng, Y.-M., Lin, N.-S., & Hsu, Y.-H. (2021). Stable Display of Artificially Long Foreign Antigens on Chimeric Bamboo mosaic virus Particles. Viruses, 13(4), 572. https://doi.org/10.3390/v13040572

