Abstract
Introduction: Orbital floor fractures occur commonly as a result of blunt trauma to the face and periorbital region. Orbital floor fractures with a “trapdoor” component allow both herniation and incarceration of contents through a bone defect into the maxillary sinus as the bone rebounds faster than the soft tissue, trapping muscle, fat, and fascia in the fracture site. In children, the fractured floor, which is often hinged on one side, tends to return toward its original anatomical position due to the incomplete nature of the fracture and elasticity of the bone. The entrapment of the inferior rectus muscle itself is considered a true surgical emergency—prolonged entrapment frequently leads to muscle ischemia and necrosis leading to permanent limitation of extraocular motility and difficult to correct diplopia. For this reason, prompt surgical intervention is recommended by most surgeons. In adults, true entrapment of the muscle itself is not as common because the orbital floor is not as elastic and fractures are more complete. Methods: We present an adult patient with an isolated orbital floor fracture with clinical and radiologic evidence of true entrapment of the inferior rectus muscle itself. Results: Despite the delayed surgical repair (4 days after the injury), the patient’s inferior rectus muscle function returned to near normal with mild upward gaze diplopia. Conclusions: Inferior rectus entrapment in adults may more likely be associated with immobilization of the muscle without total vascular compression/incarceration significant enough to lead to complete ischemic necrosis.
Introduction
“Trapdoor” fractures occur when an incomplete orbital floor fracture is temporarily displaced before returning to near normal anatomic alignment. Since the rebound velocity of bone is faster than that of the associated soft tissue, the herniated orbital soft tissue is “trapped” following closure of the temporary fracture gap.[1] Gruss and colleagues not only corroborated the mechanisms involved, but in particular emphasized the positive role early operative intervention had in minimizing late sequelae. The bone fragments may exert pressure on entrapped orbital soft tissue structures, potentially creating ischemia and fibrosis of entrapped tissue, especially muscles, leading to permanent gaze restriction. Therefore, early operative intervention is preferred if there is evidence of true muscle entrapment.[1,2,3] In 2002, Grant, Gruss, and colleagues[1] and Manson et al.[2,3] wrote about the experience with early release of the entrapped muscle, leading to improvement in long-term diplopia. Others described their experiences[4,5,6,7,8,9,10,11,12] and in 2007, Matic and colleagues described their experience with the medial rectus muscle.[1,13] Although fractures with true muscle entrapment occur mostly in the pediatric population (due to the elasticity of the immature facial skeleton), trapdoor factures with muscle entrapment occasionally occur in adults.[14,15,16,17,18,19]
This case describes a 25-year-old woman who underwent operative intervention for a trapdoor fracture with inferior rectus entrapment and who had exploration and release 4 days following the orbital injury. Despite severe vertical gaze entrapment on presentation and immediately postoperatively, extraocular movement returned to near normal by postoperative week 10 despite the presence of a retained intraconal bone fragment postoperatively. Similar situations have been described previously,[19,20] however, some controversy still exists regarding the timing and indications for orbital exploration.[19,21]
Case Report
A 25-year-old female presented to the University of Maryland R Adams Cowley Shock Trauma Center 3 days after suffering a blow to the left side of her face. She was previously evaluated at an outside hospital where a computed tomography (CT) revealed fractures of the left orbital floor and medial wall with radiographic evidence of inferior rectus muscle entrapment. At the emergency room, she was instructed to wait 5 to 7 days for “the swelling to subside” before follow-up for operative intervention. She returned to our institution prior to her scheduled appointment because of her worsening condition: severe pain and the lack of upward/downward gaze in her left eye. She did not have nausea or vomiting with attempted eye movement.
On physical examination, a left sided —4 deficit in upgaze and downgaze were present (Table 1). Patient denied nausea or vomiting but complained of extreme left eye pain with attempted upgaze. Diplopia was present in all gazes, and mild enophthalmos was present on the left (Figure 1). Visual acuity, pupillary response, and neurological examination were otherwise normal. Infraorbital ecchymosis and tenderness were noted, however no asymmetries or palpable “step” in the inferior orbital rim were detected. A CT scan revealed herniation of the inferior rectus through an orbital floor defect with true muscle entrapment (Figure 2).
Table 1.
Grading of Limitation of Ocular Movement.
Figure 1.
Preoperative photographs. A, Ecchymosis and periorbital swelling of the left eye. B, Deficit in left upward gaze. C, Enophthalmos of the left eye.
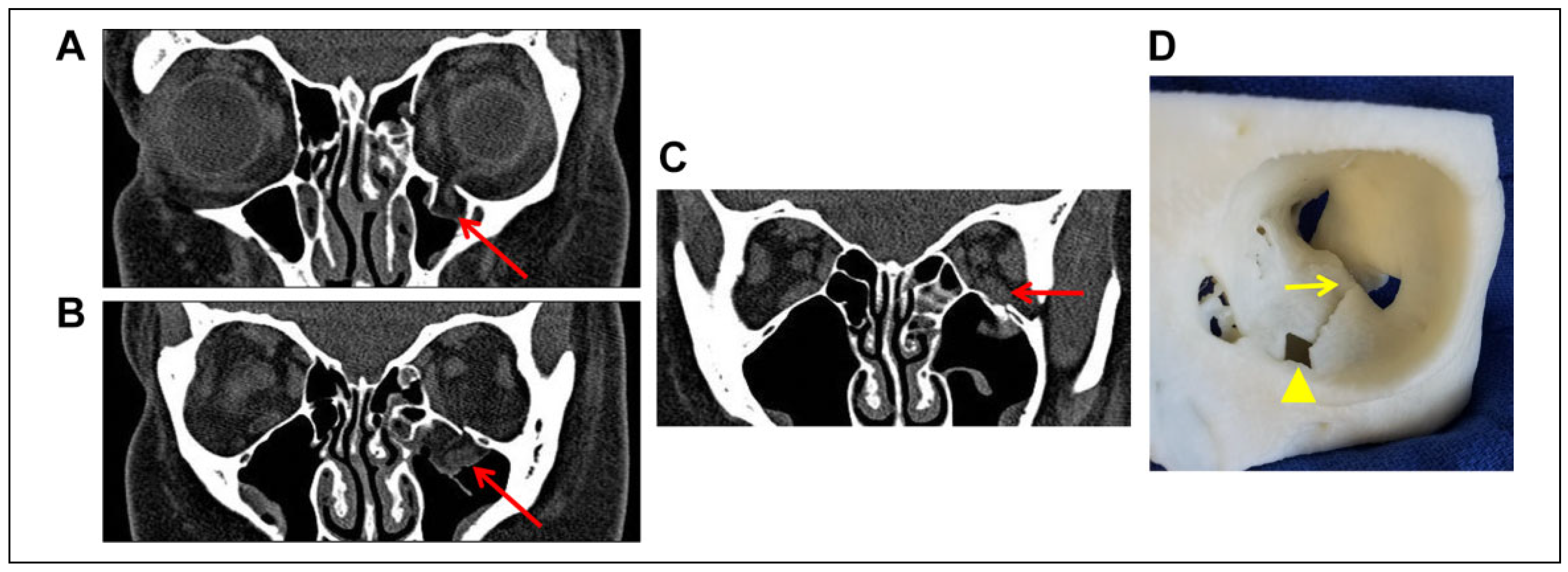
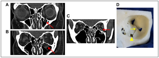
Figure 2.
Coronal CT images at the time of presentation. The inferior rectus (red arrow) is herniating through the orbital floor defect in anterior (A) and mid (B) portions of the floor. C, The inferior rectus is located within the orbit posteriorly. D, Three-dimensional model of the left orbit illustrates the comminuted fracture on the anterior (yellow arrowhead) and posterior (yellow arrow) portions of the floor, connected by a linear fracture pattern. CT indicates computed tomography.
The patient was taken to the operating room for urgent open reduction, release of the entrapped contents including inferior rectus muscle, and replacement of the orbital floor. Dexamethasone was given preoperatively to reduce orbital swelling.
Through a transconjunctival incision and retroseptal dissection, the posterior aspect of the inferior orbital rim was exposed and the orbital floor fracture was identified. The fracture had a trap-door configuration, with soft tissue and the inferior rectus muscle herniating through a narrow bone fissure. The inferior rectus was noted to be swollen and had a bluish discoloration. The technique of Charles Iliff (Figure 3 and Table 2) was utilized, that is, the creation of a larger orbital floor defect in the nonfractured orbital floor lateral to the muscle incarceration, in order to reduce the herniated soft tissue and muscle without any traction or damage to the fragile soft tissue and muscle.
Figure 3.
Charles E. Iliff, MD, 1911 to 1997.
Table 2.
Life and Contributions of Charles Iliff, MD.
An orbital titanium implant was then positioned to cover the orbital floor and medial wall defects. All edges of the implant were completely visualized after placement to ensure that no soft tissues remained incarcerated. A forced duction test at the end of the procedure showed that the globe rotated freely and without any limitation. A postoperative CT showed the orbital floor plate in good position with an enlarged inferior rectus muscle.
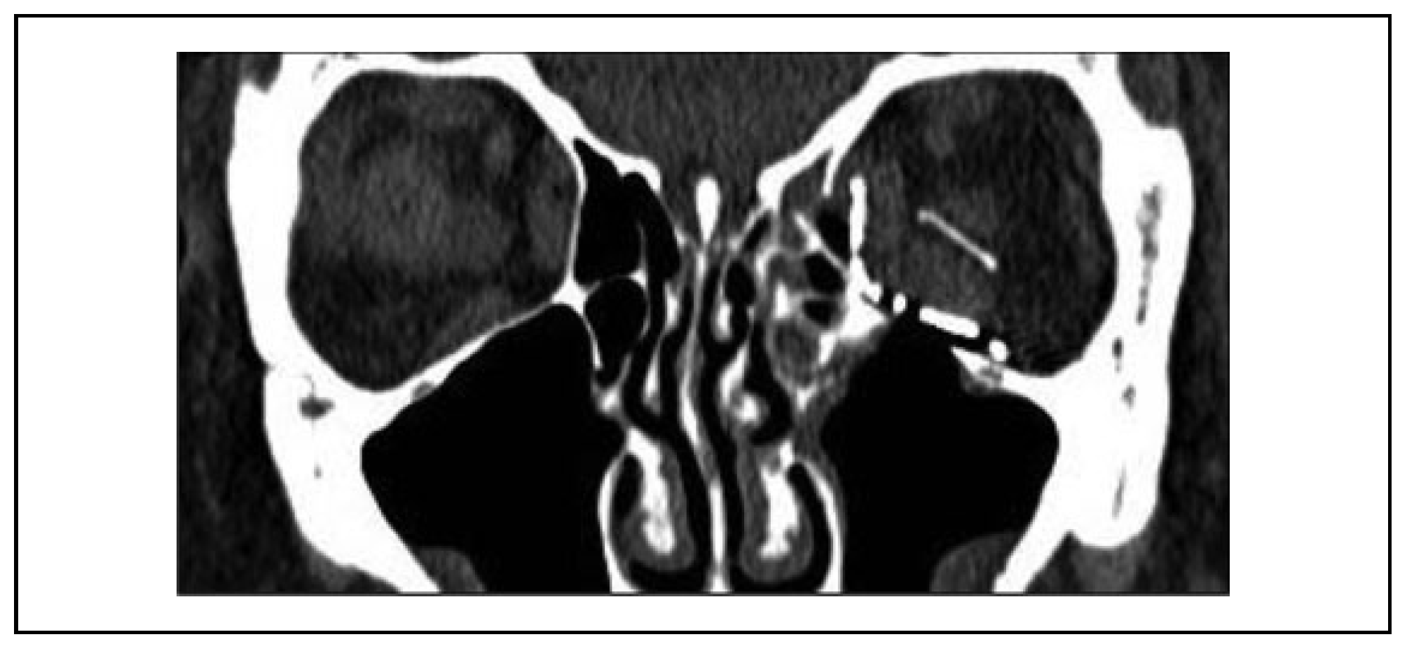
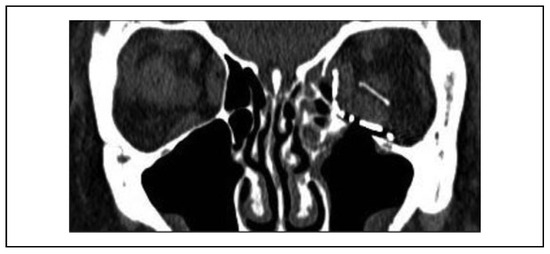
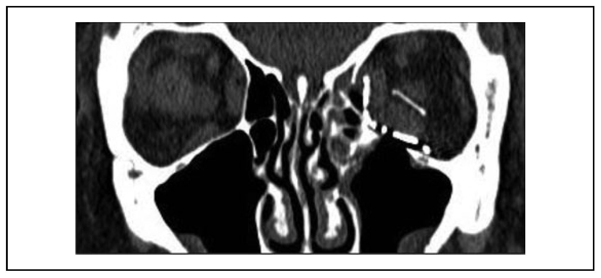
Surprisingly, on CT a free bony fragment from the floor was seen resting between the inferior rectus muscle, the medial rectus muscle, and the optic nerve (Figure 4).[20] Likely, the bony fragment was separated from the orbital floor with the muscle when the inferior rectus muscle and surrounding soft tissue were reduced from the maxillary sinus. In the recovery room, the patient again had —4 deficit in downgaze with persistent clinical evidence of entrapment but slightly improved upgaze. The patient was taken back to the operating room for removal of the displaced orbital bone fragment, however it was not palpable nor was it seen on orbital exploration. The procedure was terminated without further exploration of the intraconal compartment (Figure 5).[20]
Figure 4.
Postoperative CT scan. The orbital floor plate spans the orbital floor and medial wall defects. The inferior rectus is enlarged due to soft tissue swelling and hematoma within the muscle. A fragment of orbital floor bone abuts the medial rectus muscle and located between the inferior rectus muscle and the optic nerve. CT indicates computed tomography.
Figure 5.
Postoperative CT scan after attempted retrieval of the intraconal bony fragment. The bony fragment was not seen nor palpated in the operating room, and the procedure was terminated.
Both procedures were well tolerated. In the immediate postoperative period, the patient had —4 deficit of downgaze and had continued superior and inferior vertical diplopia but had —2 deficit of upgaze and resolution of pain.
In the clinic on postoperative day 6, her vertical diplopia and ocular motility had improved. She had left hyperglobus with approximately 2 mm of scleral show and persistent difficulty with complete vertical gaze (Figure 6). At 2 weeks postoperatively, the patient was noted to have —1 restriction of downgaze and —2 restriction of upgaze.
Figure 6.
Extraocular movements at postoperative day 6. A, Primary gaze. B, Upward gaze is limited. C, Downward gaze remains impaired.
She was last seen 10 weeks postoperatively at which time she was pleased with her vision and described no difficulty looking down. Diplopia persisted on extreme upgaze. At that time, the left eye demonstrated full downward gaze and only a slight restriction in upward gaze (Figure 7) and she had resolution of enophthalmos.
Figure 7.
Extraocular movements at 10 weeks postoperatively. A, Primary gaze. B, Persistent mild restriction in upward gaze. C, Complete recovery of downward gaze. D, Corrected enophthalmos resulting in symmetric globe position.
Discussion
In orbital trauma, a distinction is made between immediate (within hours), early (within 2 weeks), and late surgical intervention. Immediate surgical intervention is considered ideal when there is evidence of true muscle entrapment, however circumstances can modify intended urgent provision of treatment. The best course of action beyond the immediate period is not well defined.[1,2,3,4,16,17,18,19,20] True muscular entrapment may lead to ischemia and fibrosis[2,18,19,22]; therefore some advocate early intervention, hoping to prevent persistent diplopia.[21,22] However, one must also consider that if the muscle circulation is truly compromised, muscle death[2,22] occurs within hours of entrapment. Thus, early intervention may provide no benefit over late intervention for saving extraocular muscle function in cases where the muscle has infarcted.[1,2,22,23,24,25,26,27,28,29,30,31,32] Since the state of the muscle circulation cannot be confirmed without operative intervention, clinicians who have faced this situation feel that immediate operative intervention provides the best chance of improved muscle function.[23,24,25,26,27,28,29,30,31,32,33] Partial recovery is frequently documented following intervention beyond the immediate period,[18,19] and explanations other than complete ischemic necrosis may account for muscle injury and diplopia. Other possibilities include muscular hematoma[18] contusion, entrapment of only a portion of the musculofascial network,[34] pneumo-orbita[25] and ongoing muscle death, and damage to the branches of the oculomotor nerve (Figure 8).[2,32,33,34,35]
Figure 8.
Cadaver dissection showing inferior rectus muscle and proximity of the oculomotor nerve branch to the inferior oblique muscle.
Studies have reported inconclusive results regarding early versus late intervention when there is evidence of true muscle entrapment.[24] In the early 90’s, de Man et al.[35] advocated late intervention for adults, recommending surgical treatment when impairment of vertical gaze persisted after the hemorrhage and edema had resolved. Although reduced edema may facilitate late intervention, soft tissue dissection and reduction are often more difficult in these patients.[1] Kwon et al.[14] reviewed 23 adults with extraocular entrapment concluding that early intervention is associated with significant decreases in recovery time compared to late intervention. Ethunandan and Evans[33] reported a benefit to intervention up to 41 days after injury in an adult patient but acknowledged the likely benefit of early intervention due to evidence from the pediatric literature. Kum et al.[15] and Criden and Ellis[16] reported patients who presented with entrapped orbital tissue several weeks after injury. Extraocular motility improved however some limitation in supraduction persisted following release of the entrapped tissue. Most recently, Zavattero et al.[17] reported good outcomes in a 30-year-old patient who underwent operative intervention 3 days after injury. Zavattero et al.[17] argued that early intervention is preferable in an adult if the mechanism of entrapment is similar to that of pediatric trapdoor fractures. One of our authors (MPG) have documented a series of patients from Wilmer, emphasizing the benefits of early versus late intervention (unpublished data).
In the case presented, this patient’s delayed presentation and CT findings followed by the return of partial muscle function after surgical release suggests the pattern of injury did not cause complete segmental muscle death of the inferior rectus. We believe this patient’s findings are best explained by immobilization of the inferior rectus muscle without total vascular compression/incarceration significant enough to lead to complete ischemic necrosis. Following surgical release, an enlarged but mostly viable inferior rectus may have lacked normal contractile ability due to intrafasicular edema and scarring which prevented downward gaze.[18] The minor upward gaze restriction may have been caused by shortening or fibrosis of entrapped musculofascial portions of the inferior rectus causing a tethering effect.[2,19,23,34]
This theory explains the resolution of downward gaze with a persistent deficit in upward gaze. It is unknown whether late intervention would have resulted in an equivalent recovery of extraoccular movements. There is also judgment involved regarding factors favoring early versus late intervention, in cases of clinical and radiological evidence of entrapment. In this case, early intervention at 4 days coincided with improved function—presumably good functional recovery was facilitated by the operative intervention with close to baseline ocular motility obtained by 10 weeks postoperatively.
Funding
The author(s) received no financial support for the research, authorship, and/or publication of this article.
Conflicts of Interest
The author(s) declared no potential conflicts of interest with respect to the research, authorship, and/or publication of this article.
Authors’ Note
This paper salutes Joseph S. Gruss and colleagues for their multiple contributions to the work on orbital fracture pathology and treatment. Joe made major contributions to orbital fracture physiology and treatment, in particular immediate bone grafting, correction of enopthalmos, and release of acutely entrapped muscle. Both he and Charles Iliff are surgical pioneers who improved our care of patients with the described conditions.
References
- Grant, J.H.; Patrinely, J.R.; Weiss, A.H.; Kirney, P.C.; Gruss, J.S. Trapdoor fracture of the orbit in a pediatric population. Plast Reconstr Surg. 2002, 109, 482–489. [Google Scholar] [CrossRef] [PubMed]
- Iliff, N.; Manson, P.; Katz, J. Mechanisms of extraocular muscle injury in orbital fractures. Plast Reconstr Surg. 1999, 103, 787–799. [Google Scholar] [CrossRef]
- Manson, P.; Iliff, N.; Robertson, B. Trapdoor fracture of the orbit in a pediatric population. Plast Reconstr Surg. 2002, 109, 490–495. [Google Scholar]
- Bansagi, Z.C.; Meyer, D.R. Internal orbital fractures in the pediatric age group: characterization and management. Ophthalmology 2000, 107, 829–836. [Google Scholar] [CrossRef] [PubMed]
- Jordan, D.R.; Allen, L.H.; White, J. Intervention within days for some orbital fractures: the white-eyed blowout opthal. Plast Reconstr Surg. 1998, 14, 379–390. [Google Scholar] [CrossRef]
- Egbert, J.E.; May, K.; Kersten, R.C.; Kulwin, D.R. Pediatric orbital floor fracture: direct extraocular muscle involvement. Ophthalmology 2000, 107, 1875–1879. [Google Scholar] [CrossRef]
- Soll, D.B.; Polley, B.J. Trapdor variety of the blowout fracture of the orbital floor. Am J Ophthalmology. 1965, 60, 269–272. [Google Scholar] [CrossRef]
- Erling, B.; Iliff, N.; Robertson, B.; Manson, P. A practical look at the mechanism of orbital blow out fractures, with a revisit to the work of Raymond Pfeiffer. Plast Reconstr Surg. 1999, 103, 1313–1316. [Google Scholar] [CrossRef]
- Fujino, T. Experimental blow out fracture of the orbit. Plast Reconstr Surg. 1974, 54, 81–82. [Google Scholar] [CrossRef]
- Fujino, T.; Makino, K. Entrapment mechanism and ocular injury in orbital blowout fracture. Plast Reconstr Surg. 1980, 65, 571–576. [Google Scholar] [CrossRef]
- Merville, L.C.; Gitton, E. An unusual form of isolated fracture of the orbital floor: “valve fracture”. Therepeutic Problems. Rev Stomatol Chir Maxillofac. 1985, 86, 165–170. [Google Scholar] [PubMed]
- Thiagarajah, C.; Kersten, R.C. Medial blowout fracture. Craniomaxillofac Trauma Reconstr. 2009, 2, 135–139. [Google Scholar] [PubMed]
- Tse, R.; Allen, L.; Matic, D. The white eyed medial blowout fracture. Plas Recon Surg. 2007, 119, 277–286. [Google Scholar]
- Kwon, J.H.; Moon, J.H.; Kwon, M.S.; Cho, J.H. The differences of blowout fracture of the inferior orbital wall between children and adults. Arch Otolaryngol Head Neck Surg. 2005, 131, 723–727. [Google Scholar] [PubMed]
- Kum, C.; McCulley, T.J.; Yoon, M.K.; Hwang, T.N. Adult orbital trapdoor fracture. Ophthal Plast Reconstr Surg. 2009, 25, 486–487. [Google Scholar]
- Criden, M.R.; Ellis, F.J. Linear nondisplaced orbital fractures with muscle entrapment. J AAPOS. 2007, 11, 142–147. [Google Scholar]
- Zavattero, E.; Roccia, F.; Benech, R.; et al. Orbital trapdoor fracture. J Craniofac Surg. 2015, 26, e6–e8. [Google Scholar] [PubMed]
- Kersten, R.C. Persistent upgaze restriction after orbital fracture repair. Craniomaxillofac Trauma Reconstr. 2016, 9, 268–270. [Google Scholar]
- Kersten, R.C.; Vogeli, M.R.; Brantley, G.B. Orbital “Blowout” fractures; time for a new paradigm. Ophthalmology 2018, 125, 796–7698. [Google Scholar]
- Marin, P.; Love, T.; Carpenter, R.; Iliff, N.; Manson, P. Complications of orbital reconstruction: misplacement of bone grafts within the intramuscular cone. Plas Reconst Surg. 1998, 101, 1323–1327. [Google Scholar]
- Alinasab, B.; Ryott, M.; Stjarne, P. Still No reliable consensus in the management of blow-out fractures. Injury 2014, 45, 197–202. [Google Scholar] [PubMed]
- Smith, B.; Lisman, R.D.; Semanta, J.; Della Rocca, R. Volkman’s contracture of the extraocular muscles following blowout fracture. Plast Reconstr Surg. 1984, 74, 200–216. [Google Scholar] [PubMed]
- Sires, B.S.; Stanley, R.B., Jr; Levine, L.M. Oculocardiac reflex caused by orbital floor trapdoor fracture: an indication for urgent repair. Arch Ophthalmol. 1998, 116, 955–956. [Google Scholar]
- Dubois, L.; Steenen, S.A.; Gooris, P.J.J.; et al. Controversies in orbital reconstruction II. timing of post-traumatic orbital reconstruction: a systematic review. Int J Oral Maxillofac Surg. 2015, 44, 433–440. [Google Scholar] [PubMed]
- Burt, B.; Jamieson, M.; Slone, B. Medial wall fracture induced pneumoorbita mimicking inferior rectus entrapment. Am J Emerg Med. 2010, 28, 119. [Google Scholar]
- Coon, D.; Kosztowski, M.; Mahoney, N.R.; Mundinger, G.S.; Grant, M.P.; Redett, R.J. Principles for management of orbital fractures in the pediatric population: a cohort study of 150 patients. Plast Reconstr Surg. 2016, 137, 1234–1240. [Google Scholar]
- Broyles, J.M.; Jones, D.; Bellamy, J.; et al. Pediatric orbital floor fractures: outcome analysis of 72 children with orbital floor fractures. Plast Reconstr Surg. 2015, 136, 822–828. [Google Scholar]
- Losee, J.E.; Afifi, A.; Jiang, S.; et al. Pediatric orbital fractures: classification, management, and early follow-up. Plast Recon Surg. 2008, 122, 886–897. [Google Scholar]
- Hink, E.M.; Wei, L.A.; Durairaj, V.D. Clinical features and treatment of pediatric orbital fractures. Opthal Plas Recon Surg. 2014, 30, 124–131. [Google Scholar]
- Hatton, M.; Watkins, L.M.; Rubin, P.A. Orbital fractures in children opthal. Plas Recon Surg. 2001, 17, 174–179. [Google Scholar]
- Brucoli, M.; Arcuri, F.; Cavenaghi, R.; Benech, A. Analysis of complications after surgical repair of orbital fractures. J Craniofacial Surg. 2011, 22, 1387–1390. [Google Scholar]
- Yang, J.W.; Woo, J.E.; Am, J.H. Surgical outcomes of trapdoor fracture in children and adolescents. J Craniomaxillofac Surg. 2015, 43, 444–447. [Google Scholar] [PubMed]
- Ethunandan, M.; Evans, B.T. Linear trapdoor or “white-eye” blowout fracture of the orbit: Not restricted to children. Br J Oral Maxillofac Surg. 2011, 49, 142–147. [Google Scholar] [PubMed]
- Koornneef, L. New insights in the human orbital connective tissue. Result of a new anatomical approach. Arch Ophthalmol. 1977, 95, 1269–1273. [Google Scholar]
- de Man, K.; Wijngaarde, R.; Hes, J.; de Jong, P.T. Influence of age on the management of blow-out fractures of the orbital floor. Int J Oral Maxillofac Surg. 1991, 20, 330–336. [Google Scholar]
© 2020 by the author. The Author(s) 2020.








