Die kardiovaskuläre Medizin betreut ein breites Spektrum von Krankheitsbildern, Syndromen und Risikofaktoren. Mit Abstand die häufigste Erkrankung ist neben der Hypertonie die koronare Herzkrankheit, gefolgt von der Herzinsuffizienz. Bei Auftreten der typischen Symptome der koronaren Herzkrankheit, d.h. Thoraxschmerzen, müssen neben pulmonalen Erkrankungen wie Lungenembolie, Pleuritis und anderem mehr, vor allem auch Aortenerkrankungen in Betracht gezogen werden (Figure 1). Die Erfahrung zeigt, dass diese Erkrankungen nicht selten spät, manchmal zu spät, in die Differentialdiagnose aufgenommen werden. Vor allem im Notfall wird nicht selten bei Thoraxschmerzen ohne EKGoder Enzym-Veränderungen zunächst abgewartet, was bei Vorliegen z.B. einer akuten Aortendissektion Typ A nach Stanford fatale Folgen haben kann. In der Tat liegt die Mortalität beim akuten Aortensyndrom (AAS) hoch und beträgt bei der Dissektion 1% pro Stunde während der ersten 24 Stunden. Entsprechend ist eine verpasste Aortendissektion auch ein nicht seltener Grund für Kunstfehlerverfahren. Die im Vergleich zum akuten Koronarsyndrom deutlich geringere Häufigkeit (Inzidenz 2,9/ 100 000/Jahr) [1] und die nicht selten atypische Präsentation und die diagnostischen Schwierigkeiten machen dies verständlich. Um so wichtiger ist es, in der Weiterund Fortbildung immer wieder auf diese Erkrankungsgruppe hinzuweisen.
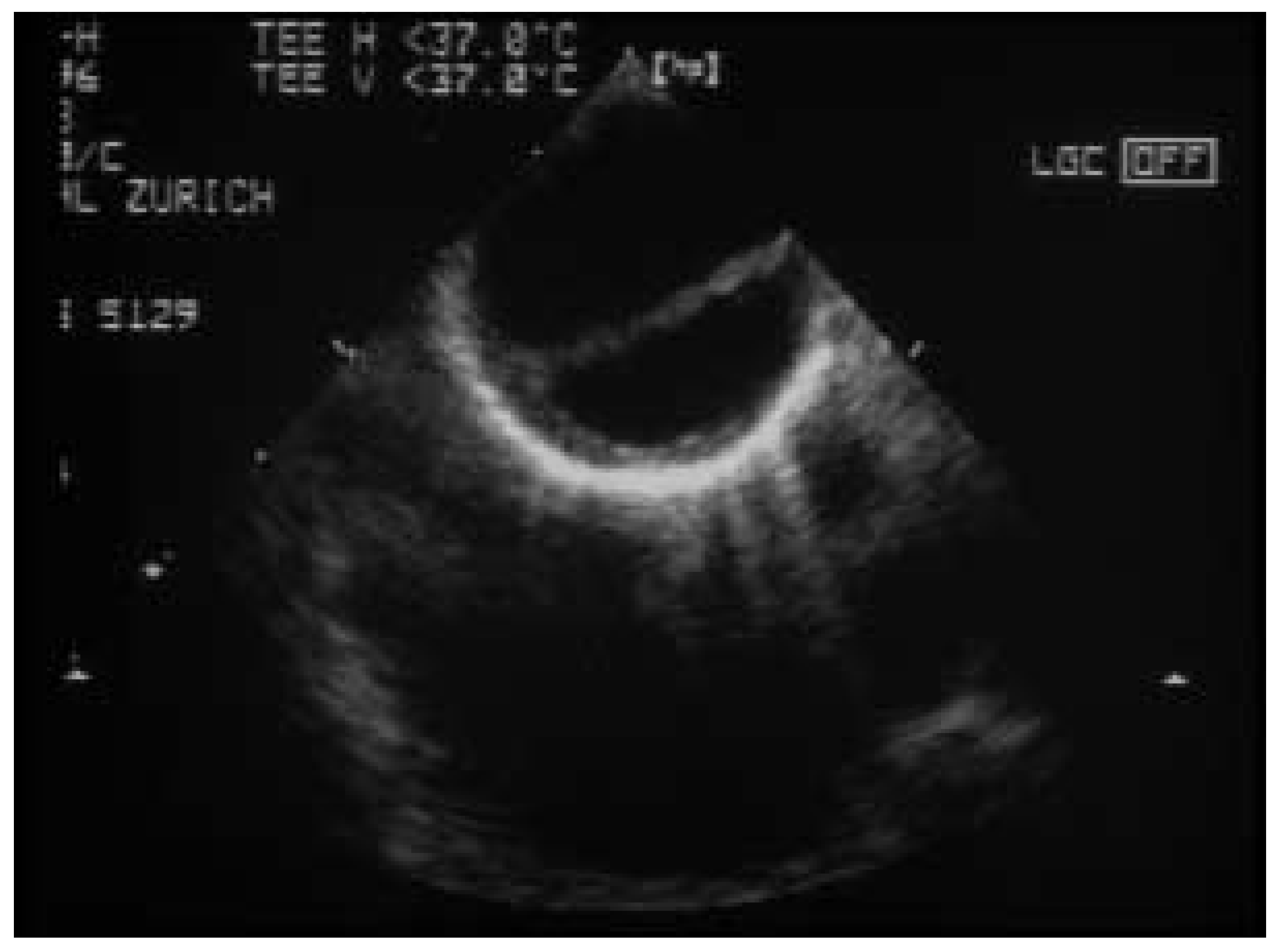
Figure 1.
Dissektion der thorakalen Aorta. Darstellung der Dissektionsmembran in der transösophagealen Echokardiographie.
Das akute Aortensyndrom umfasst neben der klassischen Dissektion der Aorta als häufigster, aber eben prognostisch ungünstigster Variante, die intramuralen Hämatome der Aortenwand sowie durch Plaque-Ruptur penetrierende Aortenulzera [2]. Ferner gehören die Aortitis (Wandverdickung) sowie der intraluminale Thrombus zu den unter dem Oberbegriff des akuten Aortensyndroms zusammengefassten akuten Aortenpathologien (Figure 2) [3]. Zum Teil existieren überlappende Charakteristika der Pathogenese. Diese Syndromgruppe wurde erst vor kurzem definiert und hat sich in der Differentialdiagnostik als sehr nützlich erwiesen, da ein zunehmend einheitliches diagnostisches und therapeutisches Management dadurch möglich wird. Für den praktisch tätigen Arzt liegt der Nutzen nämlich vor allem darin, dass nach Ausschluss eines akuten Koronarsyndroms (und natürlich auch von akuten Lungenerkrankungen, z.B. Lungenembolie) nach verschiedenen Aspekten aortaler Erkrankungen systematisch gefahndet wird, bevor der Patient entlassen wird.
Figure 2.
Das akute Aortensyndrom mit den ihm zugeordneten, verschiedenen Erkrankungen der intrathorakalen Aorta. Die Pfeile kennzeichnen die mögliche Progression jeder der bezeichneten aortalen Läsionen. Nach [3].
Wichtigster Risikofaktor ist die arterielle Hypertonie, die bei etwa zwei Drittel aller Patienten mit akutem Aortensyndrom vorliegt. Weitere z.T. recht selten vorzufindende Risikofaktoren sind das Marfan-Syndrom, eine bikuspide Aortenklappe, ein Status nach Aortenklappenersatz-Operation sowie Aortenisthmusstenosen.
Die Behandlung von Aortenerkrankungen war bisher ausschliesslich eine Domäne der Herzund Gefässchirurgie. In der Tat sind die aortalen Eingriffe besonders schwierig, zeitaufwendig und komplex. Entsprechend ist es ein Krankengut, welches vor allem erfahrene Zentren betreuen und auch betreuen müssen. Die Eingriffe sind mit einer erheblichen Komplikationsrate, vor allem auch im neurologischen Bereich, verbunden, welche für den Patienten zum Teil erhebliche Langzeitfolgen beinhalten können. Andererseits ist eine erfolgreiche Operation in dieser Situation häufig lebensrettend und spiegelt auch den enormen Fortschritt der kardiovaskulären Chirurgie wider.
Es überrascht aber nicht, dass angesichts der Komplexität der chirurgischen Interventionen immer wieder auch kathetertechnische Alternativen gesucht wurden. Bei den Bauchaortenaneurysmata hat sich daher die Behandlung mit Stentgrafts in den letzten Jahren gegenüber den offenen Operationen immer mehr durchgesetzt (Figure 3). Vorteile sind ein kürzerer Spitalaufenthalt sowie eine geringere Mortalität und Morbidität bei den endovaskulär behandelten Patienten [4], wobei hier ältere und multimorbide Patienten am meisten profitieren werden. Offensichtlich handelt es sich, zumindest in Modellrechnungen, auch um eine kostengünstige Alternative [5]. Langzeitresultate, die die exzellenten Frühund Mid-term-Resultate bezüglich Effizienz und Sicherheit bestätigen, müssen noch abgewartet werden.
Figure 3.
Versorgung eines infrarenalen Bauchaortenaneurysmas mittels endoaortaler Prothese (EAP).
Nach ersten Berichten über Stentgrafting thorakaler Aneurysmata Anfang der 1990er Jahre und erfolgversprechenden Resultaten vor allem der Stanford-Gruppe [6] mit Grafts der ersten Generation bei Aneurysmata der thorakalen Aorta descendens werden vermehrt nun auch thorakale Aortenaneurysmata (TAA) und Typ-B-Aortendissektionen kathetertechnisch angegangen. Langzeiterfahrungen und Erfahrungen an grossen Patientenkollektiven stehen natürlich noch aus. Follow-up-Daten an kleineren Patientenkollektiven zeigen jedoch, dass die endoluminale Technik sicher, effektiv und mit einer geringeren Morbidität und Mortalität als bei der konventionellen offenen Operationstechnik verbunden ist [7, 8]. Im beiliegenden Artikel von Rehders et al. wird die Erfahrung mit Kathetertechniken bei Erkrankungen der thorakalen Aorta besprochen und diskutiert [9]. Wenn dieses Gebiet auch erst dabei ist, sich als «work in progress» zu entwickeln und noch viele Probleme ungelöst sind, zeigt diese Arbeit doch, dass sich hier neue Möglichkeiten auftun, welche sehr vielversprechend sind.
Auch bei primär chirurgisch zu versorgenden Patienten mit komplexen Situationen, vor allem im Aortenbogen, haben sich neue Entwicklungen ergeben. In einem ebenfalls in diesem Heft publizierten Artikel von Schmidli et al. wird ein Hybrideingriff bei Patienten mit Erkrankungen des Aortenbogens beschrieben, das sogenannte «partial» oder «complete debranching» der supraaortalen Gefässe, welches gemeinsam von Angiologen, Radiologen und Herzgefässchirurgen im Operationssaal durchgeführt wird [10].
Wir hoffen sehr, dass wir mit diesem Heft wieder die Aufmerksamkeit etwas auf aortale Erkrankungen lenken können und nicht nur neue Möglichkeiten der Behandlung dieser komplexen Erkrankungen unseren Lesern näher bringen können, sondern Sie auch wieder daran erinnern konnten, dass bei jedem Thoraxschmerz auch an diese eher seltenen, daher oft unterschätzten, aber doch sehr schwerwiegenden Krankheitsbilder gedacht werden soll.
References
- Meszaros, I.; Morocz, J.; Szlavi, J.; et al. Epidemiology and clinicpathology of aortic dissection. A population-based longitudinal study over 27 years. Chest 2000, 117, 1271–1278. [Google Scholar] [CrossRef] [PubMed]
- Vilacosta, I.; San Roman, J.A. Acute aortic syndrome. Heart 2001, 85, 365–368. [Google Scholar] [CrossRef] [PubMed]
- Van der Loo, B.; Jenni, R. Acute aortic syndrome: proposal for a novel classification. Heart 2003, 89, 928. [Google Scholar] [CrossRef] [PubMed][Green Version]
- Adraensen, M.E.; Bosch, J.L.; Halpern, E.F.; Hunink, M.G.; Gazelle, G.S. Elective endovascular versus open surgical repair of abdominal aortic aneurysms: systematic review of shortterm results. Radiology 2002, 224, 739–747. [Google Scholar] [CrossRef] [PubMed]
- Bosch, J.L.; Kaufman, J.A.; Beinfeld, M.T.; Adriaensen, M.E.; Brewster, D.C.; Gazelle, G.S. Abdominal aortic aneurysms: cost-effectiveness of elective endovascular and open surgical repair. Radiology 2002, 225, 337–344. [Google Scholar] [CrossRef] [PubMed]
- Dake, M.D.; Miller, D.C.; Semba, C.P.; Mitchell, R.S.; Walker, P.J.; Liddell, R.P. Transluminal placement of endovascular stentgrafts for the treatment of descending thoracic aortic aneurysms. N Engl J Med 1994, 331, 1729–1734. [Google Scholar] [CrossRef] [PubMed]
- Criado, F.J.; Clark, N.S.; Barnatan, M.F. Stent graft repair in the aortic arch and descending thoracic aorta: a four-year experience. J Vasc Surg 2002, 36, 1121–1128. [Google Scholar] [CrossRef] [PubMed]
- Scharrer-Pamler, R.; Kotsis, T.; Kapfer, X.; Görich, J.; Orend, K.H.; Sunder-Plassmann, L. Complications after endovasculat treatment of thoracic aortic aneurysms. J Endovasc Ther 2003, 10, 711–718. [Google Scholar] [CrossRef] [PubMed]
- Rehders, T.C.; Chatterjee, T.; Ince, H.; Petzsch, M.; Kische, S.; Nienaber, C.A. Endovascular therapy for pathology of the descending thoracic aorta: current status and indications. Kardiovaskuläre Medizin 2005, 8, 89–96. [Google Scholar]
- Schmidli, J.; Do, D.; Triller, J.; Baumgartner, I.; Berdat, P.; Widmer, F.; et al. Aless invasive approach to repair the aortic arch using a “partial” or “complete debranching” of the supraaortic vessels. Kardiovaskuläre Medizin 2005, 8, 82–88. [Google Scholar]
Publisher’s Note: MDPI stays neutral with regard to jurisdictional claims in published maps and institutional affiliations. |
© 2005 by the author. Attribution - Non-Commercial - NoDerivatives 4.0.


