Next Article in Journal
Die Wirtschaftlichkeit Beschichteter Stents in der Interventionellen Kardiologie—Eine Gesamtschweizerische Analyse
Previous Article in Journal
Aortenerkrankungen—Ein Vernachlässigtes Krankheitsbild der Kardiovaskulären Medizin
 
 
Cardiovascular Medicine is published by MDPI from Volume 28 Issue 1 (2025). Previous articles were published by another publisher in Open Access under a CC-BY (or CC-BY-NC-ND) licence, and they are hosted by MDPI on mdpi.com as a courtesy and upon agreement with Editores Medicorum Helveticorum (EMH).
Font Type:
Arial Georgia Verdana
Font Size:
Aa Aa Aa
Line Spacing:
Column Width:
Background:
Editorial

Endovascular Therapy for Pathology of the Descending Thoracic Aorta: Current Status and Indications

by
Tim C. Rehders
,
Tushar Chatterjee
*,
Hüseyin Ince
,
Michael Petzsch
,
Stephan Kische
and
Christoph A. Nienaber
Division of Cardiology, Department of Internal Medicine, University Hospital Rostock, Rostock, Germany
*
Author to whom correspondence should be addressed.
Cardiovasc. Med. 2005, 8(3), 89; https://doi.org/10.4414/cvm.2005.01081 (registering DOI)
Submission received: 30 December 2004 / Revised: 30 January 2005 / Accepted: 28 February 2005 / Published: 30 March 2005

Summary

Interventional management of aortic dissection and other pathologies of the descending aorta by use of stent-grafts evolved slowly in anticipation of the risk of paraplegia from spinal artery occlusion, a complication known to occur in up to 18% after surgery. With ongoing technical improvement a large series of type B dissection cases has now been successfully treated by endovascular stent-graft placement using the concept of sealing the most proximal entry tears to the dissecting process without neurological sequelae. Recent studies have demonstrated that closure of the entry tear is essential to depressurise the false lumen, reconstruct the aortic wall and reduce total aortic diameter. Entry tear closure promotes both thrombus formation in the false lumen and remodeling of the entire aorta. Various observational studies and registries have shown that the use of a customised stent-graft is an effective method to exclude an enlarging and aneurysmal dilated false lumen by sealing of the proximal entry tear. The absence of a distal reentry tear is desirable but not a prerequisite. Besides dissection, however, focal true (or false) aneurysm of the descending thoracic aorta represents another interesting target for endovascular repair instead of open surgical repair.
Similarly, penetrating aortic ulcers, often originating from a localised intramural haematoma of the aorta, is evolving as a new attractive indication for stent-grafting, both in emergency and elective scenarios.
Moreover, partial or complete rupture occuring as a result of deceleration trauma appears to be amenable to either emergent or delayed endovascular management. Stabilisation of the disrupted aorta with stent-graft has proven beneficial, with reconstruction of the inner lining by virtue of the endoprothesis to prevent enlargement, aneurysm formation and eventual rupture.

Background

Conventional treatment of Stanford type A (De Bakey type I, II) dissection consists of surgical reconstruction of the ascending aorta with complete or partial resection of the dissected aortic segment; thus in type A dissections interventional endovascular strategies have no clinical application except to relieve critical malperfusion prior to surgery by distal fenestration in cases of thoracoabdominal extension (De Bakey type I) and ischaemic complications. Various scenarios of malperfusion syndrome are amenable to endovascular management. These include static or dynamic (by intima invagination) collapse of the aortic true lumen, static or dynamic occlusion of one or more vital side branches, or enlarging false aneurysm due to patent proximal entry tear. Stent-graft placement aims at remodeling of the thoracic descending aorta by sealing one (or multiple) proximal entry tears with a Dacron-covered stent, thus initiating thrombosis of the false lumen [1,2,3,4]. In addition reconstruction of a collapsed true lumen might result in reestablishment of sidebranch flow (Figure 1).
Although peripheral pulse deficits can be acutely reversed with surgical repair of the dissected thoracic aorta in approximately 90%, patients with mesenteric or renal ischaemia do not fare well. Mortality of patients with renal ischaemia is 50 to 70% and as high as 87% with mesenteric ischaemia [5,6,7]. The surgical mortality rates in patients with peripheral vascular ischaemic complications are similar to those with mesenteric ischaemia, reaching an 89% in-hospital mortality rate [8,9,10,11]. Operative mortality of surgical fenestration varies form 21 to 61%, which encouraged percutaneous interventional management by endovascular balloon fenestration of a dissecting aortic membrane to treat mesenteric ischaemia, a concept discussed as a niche indication in such complicated cases of malperfusion [10,11,12].
The interventional management of Stanford type B (De Bakey type III) dissection and the use of stent-grafts evolved slowly in anticipation of the risk of paraplegia from spinal artery occlusion as seen in up to 18% after open surgery [11,12]. However, with further technical improvement a large series of cases has now been successfully treated by endovascular stent-graft placement covering entry tears in the descending aorta and even in the aortic arch. Recent studies have demonstrated that closure of proximal entry tears is essential to reconstruct the aortic wall and reduce total aortic diameter. Entry tear closure promotes depressurisation of false lumen, thrombus formation in the false lumen (Figure 2) and remodeling of the entire aorta [2,3,12]. In the near future combined surgical and interventional procedures even for proximal dissection are on the horizon [13,14,15].

Indications for fenestration and stent-graft placement

The exact role of percutaneous fenestration and stent-grafting in the treatment of aortic dissection continues to evolve. There appears to be a role for stent-graft placement in the treatment of static or dynamic obstruction of aortic branch arteries, because static obstruction of a branch can be overcome by placing endovascular stents in the ostium of the compromised side branch, and dynamic obstruction may benefit from stents in the aortic true lumen with or without additional balloon fenestration or sidebranch stenting. In classic aortic dissection, successful fenestration leaves true lumen pressure unchanged [16]. Sometimes bare stents must be deployed from the true lumen into side branches in order to buttress the flap in a stable position [17]. In chronic dissection where fenestration of a fibrosed dissecting membrane may result in collapse of the connection between true and false lumen, a stent may be necessary to keep the fenestration open. A rare use of fenestration is to create a reentry tear for the dead-end false lumen back into the true lumen with the aim to prevent thrombosis of the false lumen and compromise of branches fed exclusively from the false lumen or jointly from the false and true lumen, a concept, however, that lacks clinical proof of benefit. Conversely, fenestration may increase the long-term risk of aortic rupture because a large reentry tear promotes flow in the false lumen and provides the basis for aneurysmal expansion of the false lumen. There is also a risk of peripheral embolism from a patent but partly thrombosed false lumen [17,18].
The most effective method to exclude an enlarging and aneurysmal dilated false lumen is the sealing of proximal entry tears with a customised stent-graft; the absence of a distal reentry tear is desirable for optimal results but not a prerequisite. Adjunctive treatment by fenestration and/or ostial bare stents may help establish flow to compromised aortic branches. Compression of the true aortic lumen cranial to the main abdominal branches with distal malperfusion (so called pseudo-coarctation) may also be corrected by stent-grafts that enlarge the compressed true lumen and improve distal blood flow [2,3,10,12]. Depressurisation and shrinking of the false lumen is the most beneficial result to be gained, ideally followed by complete thrombosis of the false lumen and remodeling of the entire dissected aorta, and in rare occasions even in retrograde type A dissection [14]. Similar to previously accepted indications for surgical intervention in type B dissection, scenarios such as intractable pain with descending dissection, rapidly expanding false lumen diameter, extraaortic blood collection as a sign of imminent rupture or distal malperfusion syndrome are accepted indications for emergent stent-graft placement [15,17,18,19]. Moreover, late onset of complications such as malperfusion of vital aortic side branches may justify endovascular stent-grafting of an occlusive lamella (or fenestration) to improve distal true lumen flow as a first option. Only after an unsuccessful attempt surgery may still be employed considering that surgical repair failed to prove superiority over interventional treatment even in uncomplicated cases; in complicated cases the concept of endoluminal treatment is currently replacing open surgery in advanced experienced centers [1,2,3,17,18,19,20]. A summary of treatment options is listed in Table 1.
Besides dissection, focal true (or false) aneurysm of the descending thoracic aorta represents another interesting target for endovascular repair instead of open surgical repair. A number of studies have not only documented feasibility and safety, but also favorable shortand midterm outcomes especially in multimorbid patients subjected to elective stentgraft treatment with circumscript thoracic aneurysm that are considered surgical candidates based on pathoanatomical features [21,22,23,24]. With the most recent technical refinements of endovascular devices previous shortcomings of homemade stent-grafts are likely to be overcome [25]. Treatment of descending thoracic aneurysms—if anatomically suitable—by endovascular stent-grafting is the primary management consideration today [26].
Penetrating aortic ulcers, often originating from a localised intramural haematoma of the aorta, currently evolve as a new attractive and benevolent indication for stent-grafting, both in emergency and elective scenarios. Few reports have documented successful sealing of ulcers by use of commercial stent-grafts in an endovascular approach. While aortic ulcers may only occasionally progress rapidly to generate a medical emergency, traumatic aortic rupture or partial or even complete transection of the descending thoracic aorta is always a truely emergent life-threatening condition.
Partial or complete rupture almost always occurs as a result of deceleration trauma usually as a result of a car accident or fall from height. The aorta ruptures at the fixation points and may just be contained by the adventitia. Emergent or better delayed (but timely) endovascular management by stabilisation of the disrupted aorta with a suitable stent-graft is considered beneficial, with reconstruction of the thoracic aorta (Figure 3) by virtue of a new inner lining (by the endoprothesis) that prevented enlargement, aneurysm formation and eventual rupture, and enabled self healing of the transected aortic tissues [27,28,29].
  • Technique of percutaneous balloon fenestration
The technical goal in percutaneous balloon fenestration is to create a new tear in the dissection flap between the true and false lumen. Fenestration is performed from the smaller (usually the true lumen) into the larger or false lumen. Most commonly a Roesch-Uchida, Brockenborough or Colopinto needle is used for fenestration close to the compromised side branches. After the needle and a stiff wire are advanced from the true into the false lumen at the desired location, a balloon catheter of 12–15 mm diameter and 20–40 mm length is advanced and pulled back after inflation to create a transverse tear. If intravascular ultrasound (IVUS) is not available, a pulmonary balloon catheter can be used as a targeting object for piercing the dissecting membrane with the needle [16].
  • Technique of aortic stent-graft placement
Aortic stent-grafts are primarily used to correct compression of the supplying true lumen cranial to major aortic branches and to increase distal flow. Moreover, proximal communications should be sealed to depressurise the false lumen, direct flow to the true lumen and induce thrombosis in the false lumen with fibrotic transformation and subsequent remodeling of the aortic wall. Stent-graft placement across the origin of the celiac, superior mesenteric and renal arteries is strongly discouraged for empiric reasons.
Based on the measurements obtained during angiography, TEE, CT, MRI, or IVUS, customised stent-grafts should be used in covering up to 16 cm of dissected aorta and the major tear. The procedure is best performed in the catheterisation laboratory using digital angiography and under general anesthesia. The femoral artery is the most popular access-site and can usually accommodate a 24 F stentgraft system. Using the Seldinger technique a 260 cm stiff wire is placed over a pigtail catheter navigated with a soft wire in the true lumen under both fluoroscopic and transoesophageal ultrasound guidance. In complex cases with multiple reentries in the abdominal aorta the “embracement-technique” with the use of two pig-tail catheters is useful. Apig-tail catheter which has been installed in the true aortic lumen via the left brachial artery, picks up the femoral pig-tail catheter in the true lumen of the abdominal aorta and pulls it up into the aortic arch (Figure 4). This procedure ensures definite positioning of the stiff guide wire in the true lumen, which is essential for correct deployment of the stent-graft. Carefully advanced over the stiff wire the launching of the stent-graft is performed with blood pressure briefly lowered to 50–60 mm Hg by infusing sodium nitroprusside to prevent dislodgement. After deployment short inflation of a latex balloon may be used to improve apposition of the stent struts to the aortic wall, but only if proximal sealing of thoracic communications is incomplete. Both Doppler-ultrasound and contrast fluoroscopy are instrumental for documenting the immediate result or initiating adjunctive maneuvers. For thoracic aortic aneurysm or ulcers the navigation of wires and instruments is markedly easier, but meticulous imaging with ultrasound and fluoroscopy is equally important.
A frequent anatomical consideration is the close vicinity between the origin of the left subclavian artery (LSA) and the degenerative aneurysm or the primary tear (in type B dissections). For this reason complete coverage of the ostium to the LSA has to be accepted at times to utilise endovascular devices in aortic pathologies adjacent to the LSA. According to observational evidence prophylactic surgical maneuvers are not imperatively required for safety reasons, but may be relegated to an elective measure after an endovascular aortic intervention when intolerable signs or symptoms of ischaemia occur [30]. However, prior to intentional LSA occlusion attention has to be paid to potential supra-aortic variants and pathologies during pre-interventional imaging and vascular staging.
  • Results of interventional therapy
With both fenestration maneuvers and bare stents in sidebranches compromised flow can be restored in more than 90% (range 92 to 100%) of vessels obstructed from aortic dissection. The average 30 day mortality rate is 10% (range 0 to 25%) and additional surgical revascularisation is rarely needed [31]. Most patients remain asymptomatic over a mean follow-up time of about one year. Fatalities related to the interventional procedure may occur as a result of nonreversible ischaemic complications, progression of the dissection or complications of additional reconstructive surgical procedures on the thoracic aorta [1,2,3,17,20,31]. Potential problems may arise from unpredictable haemodynamic alterations in the true and false lumen after fenestration and side branch stenting. These alterations can result in loss of previously well perfused arteries, or in loss of initially salvaged side branches.
Recent reports suggest that percutaneous stent-graft placement in the dissected aorta is safer and produces better results than surgery for type B dissection. Paraplegia may occur after use of multiple stent-grafts but still appears to be a rare phenomenon, especially when the stented segment does not exceed 16 cm. Results of short-term follow-up are excellent with a 1-year survival rate of >90%; tears can be readapted and aortic diameters generally decrease with complete thrombosis of the false lumen. This suggests that stent placement may facilitate healing of the dissection, sometimes of the entire aorta, including abdominal segments (Figure 1). However, late reperfusion of the false lumen has been observed occasionally underlining the need for stringent follow-up imaging. In some patients, follow-up imaging has revealed tears that had initially been overlooked, but required additional stents.
Both acute and midterm results in patients with thoracic aortic aneurysm, ulcers and traumatic aortic lesion are encouraging; although lifetime is more or less a matter of comorbidities. While the endovascular maneuvers usually ensure complete occlusion of the aneurysmal sac or ulcer, selected patients are usually older with various comorbidities that are more likely to limit life expectancy [25,26]. However, better patient selection, avoidance of endoleak and further technical refinement will improve outcomes even for those patients that would never be accepted for open surgical repair.
  • Complications of interventional therapy
In view of the fact that post-procedural mortality rate seems largely dependent on the severity and duration of ischaemia before the interventional procedures (eg, in one report half of the 30 day mortalities were due to irreversible damage sustained before the endovascular treatment) timely percutaneous stent treatment seems highly desirable [32]. Considering the excess mortality of acute type A dissection with malperfusion of peripheral branches, percutaneous intervention for relief of malperfusion has been suggested before surgical repair, a concept, however, not settled yet. In addition, patients can develop a systemic inflammatory reaction after stent-graft implantation. This may present as an elevated C-reactive protein in concert with fever. Both signs disappear within days or weeks spontaneously or with transient non-steroidal treatment as aortic remodeling progresses.

Long-term follow-up and adjunctive treatment

The long-term approach to patients with successful initial treatment of acute aortic dissection or aneurysm begins with an appreciation that such patients have a systemic illness which variably predisposes their entire aorta and potentially its larger branches to dissection, aneurysm and rupture. Systemic hypertension, advanced age, aortic size, and presence of patent false lumen are all factors of higher risk, as is the entire spectrum of connective tissue diseases (most importantly the Marfan syndrome). All post-stent patients merit extremely aggressive medical therapy, follow-up visits, and serial imaging. It has been estimated that nearly a third of patients surviving initial treatment for acute dissection will experience dissection extension, aortic rupture, or require surgery for aortic aneurysm formation within 5 years of presentation. Furthermore, this risk is substantial in the first few months after initial therapy [33].
Treatment with effective beta blockade is the cornerstone of medical therapy. By lowering both blood pressure and contractility, beta blockers have been shown to retard aortic expansion in Marfan’s syndrome [34] and prevent expansion of chronic abdominal aortic aneurysms [35]. Observational studies suggest similar unique benefits in aortic dissection when compared to other antihypertensive agents; guidelines recommend progressive uptitration of dosage to achieve a blood pressure <135/80 mm Hg in usual patients and <130/ 75 mm Hg in those with Marfan’s syndrome [35,36,37].
Serial imaging of the aorta is an essential component of long-term surveillance and follow-up of patients with aortic aneurysm (before and after surgery or stent-graft placement) in Marfan’s disease and in all cases of chronic dissection. Choice of imaging modality is dependent on institutional availability and expertise as well as extent of aortic involvement, and the age of the patient. Previous recommendations suggest follow-up imaging and examination at 1, 3, 6, 9, and 12 months following discharge, and annually thereafter [38,39]. This aggressive strategy underlines the observation that both hypertension and aortic expansion/dissection are common and not easily predicted in the first months following hospital discharge. Further, imaging is not confined simply to the region of initial involvement since both dissection and aneurysm formation may occur anywhere along the entire length of the aorta.
Progression to an ascending aortic diameter of 4.5 cm is an indication for elective surgical repair in patients with Marfan’s syndrome. For non-Marfan patients, aorta’s exceeding 5.5 to 6.0 cm warrant repair, as does distal aortic expansion to >6.0 cm in any patient. As with non-dissecting aneurysms, rate of growth and size of the aorta are both important factors to consider when it comes to prophylactic vascular surgery. While an ascending aortic aneurysm of 5.0 cm may merit urgent repair in a young patient with Marfan’s syndrome [40], an aneurysm stable at 5.0 cm for 3 years in an elderly person with well controlled blood pressure is unlikely to rupture.
Patients who have been treated with surgery and/or endovascular stent grafting warrant similar follow-up to those whose initial treatment was limited to medical treatment. Aortic expansion, dissection, and rupture both at surgical suture site and at a distance are common in survivors of type A dissection. Meticulous attention to blood pressure control and serial imaging are just as relevant to operative survivors as for patients in early stages of aortic pathology.

Conclusions

Considering both the aging patient population in Western societies with prolonged survival despite hypertension and the better diagnostic strategies available to more patients, both cardiology and the cardiovascular community face an increasing incidence of acute and chronic aortic problems such as dissection, aneurysm, intramural haematoma, ulcerations, and traumatic lesions, that desperately need to be stratified using both early biomarkers of a dissecting process and functional imaging of the aortic wall. At this pivotal point in time, an elevated level of awareness in clinical cardiology and the availability of modern imaging technology should trigger the interest in diagnosing and treating the complex of acute aortic syndromes similar to previous efforts in acute coronary syndromes. Cardiologists should improve diagnostic pathways and vascular staging in acute and chronic aortic diseases, form regional referral networks and allocation systems, and utilize uniform follow-up programs. Moreover precise definitions of pathology using clear semantics should be integrated into prospective registries of aortic diseases by a multidisciplinary team of physicians in an attempt to validate previous retrospective observations and to make the best use of evolving diagnostic and endovascular treatment strategies. Finally, cardiologists are in need of credible prognostic models that can support decisions for individual patient care independent of investigators, at different times, and in worldwide locations.

References

  1. Ince, H.; Nienaber, C.A. The concept of interventional therapy in acute aortic syndrome. J Card Surg 2002, 17, 135–142. [Google Scholar] [CrossRef]
  2. Nienaber, C.A.; Fattori, R.; Lund, G.; et al. Nonsurgical reconstruction of thoracic aortic dissection by stent-graft placement. N Engl J Med 1999, 340, 1539–1545. [Google Scholar] [CrossRef]
  3. Dake, M.D.; Kato, N.; Mitchell, R.S.; et al. Endovascular stentgraft placement for the treatment of acute aortic dissection. N Engl J Med 1999, 340, 1546–1552. [Google Scholar] [CrossRef] [PubMed]
  4. Walkers, P.J.; Miller, D.C. Aneurysmal and ischemic complications of type B (type III) aortic dissections. Semin Vasc Surg 1992, 5, 198–214. [Google Scholar]
  5. Bossone, E.; Rampoldi, V.; Nienaber, C.A.; et al. Usefulness of pulse deficit to predict in-hospital complications and mortality in patients with acute type A aortic dissection. Am J Cardiol 2002, 89, 851–855. [Google Scholar] [CrossRef]
  6. Cambria, R.P.; Brewster, D.C.; Gertler, J.; et al. Vascular complications associated with spontaneous aortic dissection. J Vasc Surg 1988, 7, 199–209. [Google Scholar] [CrossRef]
  7. Laas, J.; Heinemann, M.; Schaefers, H.J.; et al. Management of thoracoabdominal malperfusion in aortic dissection. Circulation 1991, 84, III20–III24. [Google Scholar]
  8. Miller, D.C. The continuing dilemma concerning medical versus surgical management of patients with acute type B dissections. Semin Thorac Cardiovasc Surg 1993, 5, 33–46. [Google Scholar] [PubMed]
  9. Miller, D.C.; Mitchell, R.S.; Oyer, P.E.; et al. Independent determinants of operative mortality for patients with aortic dissections. Circulation 1984, 70, I153–64. [Google Scholar] [PubMed]
  10. Elefteriades, J.A.; Hartleroad, J.; Gusberg, R.J.; et al. Long-term experience with descending aortic dissection: the complication-specific approach. Ann Thorac Surg 1992, 53, 11–20. [Google Scholar] [CrossRef]
  11. Walker, P.J.; Dake, M.D.; Mitchell, R.S.; et al. The use of endovascular techniques for the treatment of complications of aortic dissection. J Vasc Surg 1993, 18, 1042–1051. [Google Scholar] [CrossRef]
  12. Fann, J.I.; Sarris, G.E.; Mitchell, R.S.; et al. Treatment of patients with aortic dissection presenting with peripheral vascular complications. Ann Surg 1990, 212, 705–713. [Google Scholar] [CrossRef] [PubMed]
  13. Yano, H.; Ishimaru, S.; Kawaguchi, S.; et al. Endovascular stentgrafting of the descending thoracic aorta after arch repair in acute type A dissection. Ann Thorac Surg 2002, 73, 288–291. [Google Scholar] [CrossRef]
  14. Kato, N.; Shimono, T.; Hirano, T.; et al. Transluminal placement of endovascular stent-grafts for the treatment of type A aortic dissection with an entry tear in the descending thoracic aorta. J Vasc Surg 2001, 34, 1023–1028. [Google Scholar] [CrossRef] [PubMed][Green Version]
  15. Iannelli, G.; Piscione, F.; Di Tommaso, L.; et al. Thoracic aortic emergencies: impact of endovascular surgery. Ann Thorac Surg 2004, 77, 591–596. [Google Scholar] [CrossRef]
  16. Saito, S.; Arai, H.; Kim, K.; et al. Percutaneous fenestration of dissecting intima with a transseptal needle. Anew therapeutic technique for visceral ischemia complicating acute aortic dissection. Cathet Cardiovasc Diagn 1992, 26, 130–135. [Google Scholar]
  17. Nienaber, C.A.; Ince, H.; Petzsch, M.; et al. Endovascular treatment of thoracic aortic dissection and its variants. Acta Chir Belg 2002, 102, 292–298. [Google Scholar] [CrossRef]
  18. Nienaber, C.A.; Ince, H.; Weber, F.; et al. Emergency stent-graft placement in thoracic aortic dissection and evolving rupture. J Card Surg 2003, 18, 464–470. [Google Scholar] [CrossRef] [PubMed]
  19. Beregi, J.P.; Haulon, S.; Otal, P.; et al. Endovascular treatment of acute complications associated with aortic dissection: midterm results from a multicenter study. J Endovasc Ther 2003, 10, 486–493. [Google Scholar] [CrossRef]
  20. Bortone, A.S.; Schena, S.; D’Agostino, D.; et al. Immediate versus delayed endovascular treatment of post-traumatic aortic pseudoaneurysms and type B dissections: retrospective analysis and premises to the upcoming European trial. Circulation 2002, 106 (Suppl. SI), I234–I240. [Google Scholar] [CrossRef]
  21. Dake, M.D.; Miller, D.C.; Semba, C.P.; et al. Transluminal placement of endovascular stent-grafts for the treatment of descending thoracic aortic aneurysms. N Engl J Med 1994, 331, 1729–1734. [Google Scholar] [CrossRef] [PubMed]
  22. Heijmen, R.H.; Deblier, I.G.; Moll, F.L.; et al. Endovascular stentgrafting for descending thoracic aortic aneurysms. Eur J Cardiothorac Surg 2002, 21, 5–9. [Google Scholar] [CrossRef]
  23. Lepore, V.; Lonn, L.; Delle, M.; et al. Treatment of descending thoracic aneurysms by endovascular stent grafting. J Card Surg 2003, 18, 436–443. [Google Scholar] [CrossRef]
  24. Ince, H.; Petzsch, M.; Rehders, T.; et al. Percutaneous endovascular repair of aneurysm after previous coarctation surgery. Circulation 2003, 108, 2967–2970. [Google Scholar] [CrossRef]
  25. Demers, P.; Miller, D.C.; Mitchell, R.S.; et al. Midterm results of endovascular repair of descending thoracic aortic aneurysms with first-generation stent grafts. J Thorac Cardiovasc Surg 2004, 127, 664–673. [Google Scholar] [CrossRef]
  26. Nienaber, C.A.; Erbel, R.; Ince, H. Nihil nocere on the rocky road to endovascular stent-graft treatment. J Thorac Cardiovasc Surg 2004, 127, 620–621. [Google Scholar] [CrossRef][Green Version]
  27. Fattori, R.; Napoli, G.; Lovato, L.; et al. Indications for timing of and results of catheter-based treatment of traumatic injury to the aorta. Am J Roentgenol 2002, 179, 603–609. [Google Scholar] [CrossRef]
  28. Lachat, M.; Pfammatter, T.; Witzke, H.; et al. Acute traumatic aortic rupture: early stent-graft repair. Eur J Cardiothorac Surg 2002, 21, 959–963. [Google Scholar] [CrossRef][Green Version]
  29. Scheinert, D.; Krankenberg, H.; Schmidt, A.; et al. Endoluminal stent-graft placement for acute rupture of the descending thoracic aorta. Eur Heart J 2004, 25, 694–700. [Google Scholar] [CrossRef] [PubMed]
  30. Rehders, T.C.; Petzsch, M.; Ince, H.; et al. Intentional occlusion of the left subclavian artery during endovascular stentgraft implantation in the thoracic aorta: risk and relevance. J Endovasc Ther 2004, 11, 659–666. [Google Scholar] [CrossRef] [PubMed]
  31. Slonim, S.M.; Nyman, U.; Semba, C.P.; et al. Aortic dissection: percutaneous management of ischemic complications with endovascular stents and balloon fenestration. J Vasc Surg 1996, 23, 241–251. [Google Scholar] [CrossRef]
  32. Suzuki, T.; Mehta, R.H.; Ince, H.; et al. Clinical profiles and outcomes of acute type B aortic dissection in the current era: lessons from the International Registry of Aortic Dissection (IRAD). Circulation 2003, 108 (Suppl. SII), II312–II317. [Google Scholar] [CrossRef]
  33. Neya, K.; Omoto, R.; Kyo, S.; et al. Outcome of Stanford type B acute aortic dissection. Circulation 1992, 86 (Suppl. SII), II1–II7. [Google Scholar] [PubMed]
  34. Shores, J.; Berger, K.R.; Murphy, E.R.; et al. Progression of aortic dilatation and the benefit of long-term beta-adrenergic blockade in Marfan’s syndrome. N Engl J Med 1994, 330, 1335–41. [Google Scholar] [CrossRef]
  35. Nienaber, C.A.; von Kodolitsch, Y. Therapeutic management of patients with Marfan syndrome: focus on cardiovascular involvement. Cardiology Rev 1999, 7, 332–341. [Google Scholar] [CrossRef]
  36. Finkbohner, R.; Johnston, D.; Crawford, E.S.; et al. Marfan syndrome. Long-term survival and complications after aortic aneurysm repair. Circulation 1995, 91, 728–733. [Google Scholar] [CrossRef]
  37. Silverman, D.I.; Burton, K.J.; Gray, J.; et al. Life expectancy in the Marfan syndrome. Am J Cardiol 1995, 75, 157–160. [Google Scholar] [CrossRef]
  38. Erbel, R.; Alfonso, F.; Boileau, C.; et al. Diagnosis and management of aortic dissection. Eur Heart J 2001, 22, 1642–1681. [Google Scholar] [CrossRef] [PubMed]
  39. Svensson, L.G.; Crawford, E.S.; Hess, K.R.; et al. Dissection of the aorta and dissecting aortic aneurysms. Improving early and long-term surgical results. Circulation 1990, 82, IV24–IV38. [Google Scholar]
  40. Gott, V.L.; Greene, P.S.; Alejo, D.E.; et al. Replacement of the aortic root in patients with Marfan’s syndrome. N Engl J Med 1999, 340, 1307–1313. [Google Scholar] [CrossRef] [PubMed]
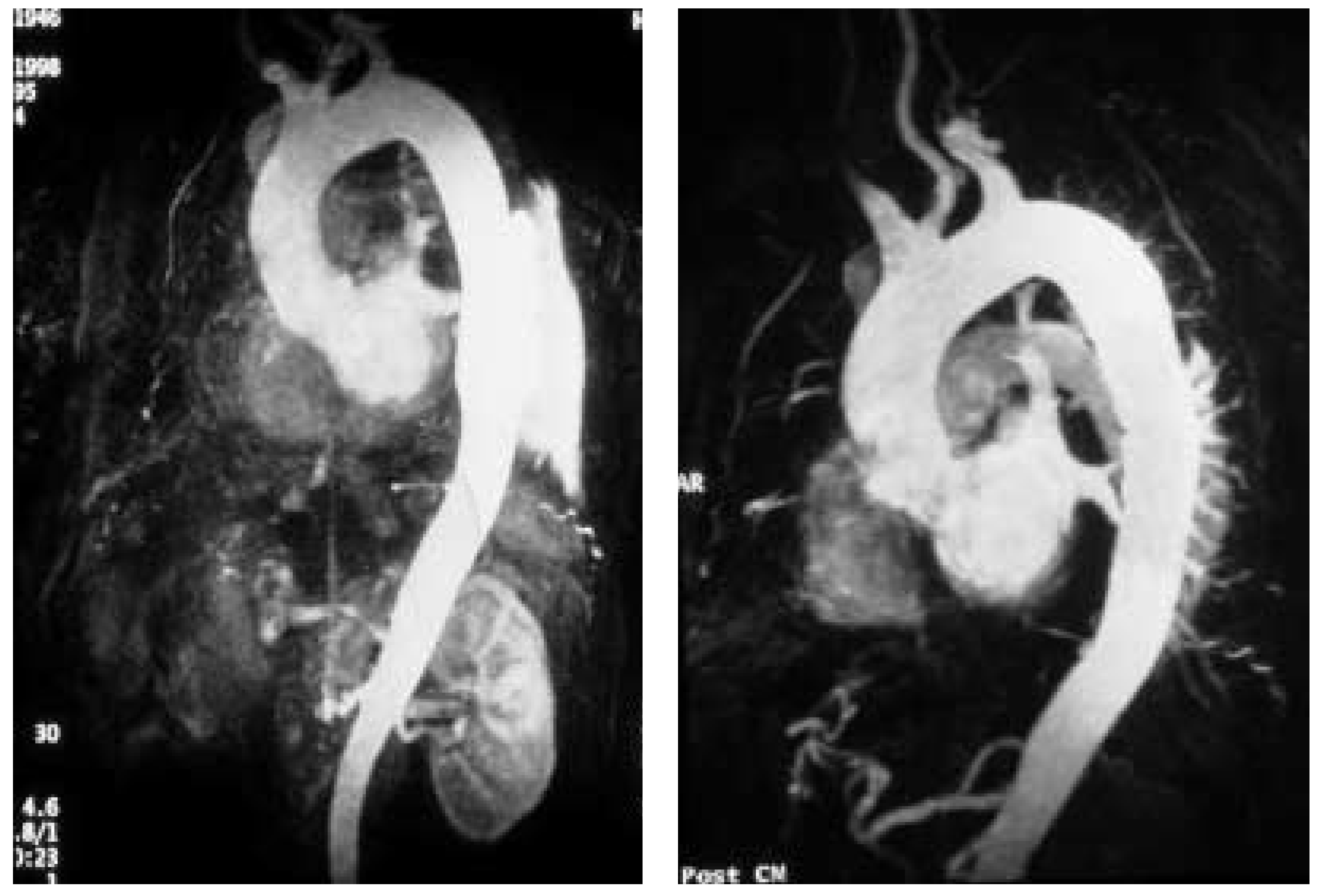
Figure 1. Magnetic resonance angiograms obtained before and after placement of a stent-graft. (A) Three-dimensional, maximum-intensity projection after injection of gadolinium-DTPA. There is a dual, open-lumen type B dissection; the entry to the perfused false lumen (black arrow) is located in the distal arch directly adjacent to the left subclavian artery. The white arrow indicates the false lumen. (B) Three months after successful placement of a TALENT™-stent-graft (Dacron-covered) directly onto the entry of the false lumen. The entry is completely sealed by the stentgraft and the false lumen in the thoracic and abdominal aorta is thrombosed (white arrow). The left subclavian artery is widely patent and the true lumen (black arrow) has widened as evidence of aortic remodeling.
Figure 1. Magnetic resonance angiograms obtained before and after placement of a stent-graft. (A) Three-dimensional, maximum-intensity projection after injection of gadolinium-DTPA. There is a dual, open-lumen type B dissection; the entry to the perfused false lumen (black arrow) is located in the distal arch directly adjacent to the left subclavian artery. The white arrow indicates the false lumen. (B) Three months after successful placement of a TALENT™-stent-graft (Dacron-covered) directly onto the entry of the false lumen. The entry is completely sealed by the stentgraft and the false lumen in the thoracic and abdominal aorta is thrombosed (white arrow). The left subclavian artery is widely patent and the true lumen (black arrow) has widened as evidence of aortic remodeling.
Cardiovascmed 08 00089 g001
Figure 2. Entry tear closure promotes depressurisation of false lumen, thrombus formation in the false lumen and remodeling of the entire aorta.
Figure 2. Entry tear closure promotes depressurisation of false lumen, thrombus formation in the false lumen and remodeling of the entire aorta.
Cardiovascmed 08 00089 g002
Figure 3. Stabilisation of the disrupted aorta with a suitable stent-graft with reconstruction of the thoracic aorta by virtue of a new inner lining by the endoprothesis that prevents enlargement, aneurysm formation and eventual rupture, and enables self healing of the transected aortic tissues. (A) Before stent-graft. (B) After stent-graft.
Figure 3. Stabilisation of the disrupted aorta with a suitable stent-graft with reconstruction of the thoracic aorta by virtue of a new inner lining by the endoprothesis that prevents enlargement, aneurysm formation and eventual rupture, and enables self healing of the transected aortic tissues. (A) Before stent-graft. (B) After stent-graft.
Cardiovascmed 08 00089 g003
Figure 4. A pig-tail catheter which has been installed in the true aortic lumen via the left brachial artery, picks up the femoral pig-tail catheter in the true lumen of the abdominal aorta and pulls it up into the aortic arch. This procedure ensures definite positioning of the stiff guide wire in the true lumen, which is essential for correct deployment of the stent-graft.
Figure 4. A pig-tail catheter which has been installed in the true aortic lumen via the left brachial artery, picks up the femoral pig-tail catheter in the true lumen of the abdominal aorta and pulls it up into the aortic arch. This procedure ensures definite positioning of the stiff guide wire in the true lumen, which is essential for correct deployment of the stent-graft.
Cardiovascmed 08 00089 g004
Table 1. Considerations for surgical, medical and interventional therapy in aortic dissection.
Table 1. Considerations for surgical, medical and interventional therapy in aortic dissection.
Cardiovascmed 08 00089 i001
Publisher’s Note: MDPI stays neutral with regard to jurisdictional claims in published maps and institutional affiliations.

Share and Cite

MDPI and ACS Style

Rehders, T.C.; Chatterjee, T.; Ince, H.; Petzsch, M.; Kische, S.; Nienaber, C.A. Endovascular Therapy for Pathology of the Descending Thoracic Aorta: Current Status and Indications. Cardiovasc. Med. 2005, 8, 89. https://doi.org/10.4414/cvm.2005.01081

AMA Style

Rehders TC, Chatterjee T, Ince H, Petzsch M, Kische S, Nienaber CA. Endovascular Therapy for Pathology of the Descending Thoracic Aorta: Current Status and Indications. Cardiovascular Medicine. 2005; 8(3):89. https://doi.org/10.4414/cvm.2005.01081

Chicago/Turabian Style

Rehders, Tim C., Tushar Chatterjee, Hüseyin Ince, Michael Petzsch, Stephan Kische, and Christoph A. Nienaber. 2005. "Endovascular Therapy for Pathology of the Descending Thoracic Aorta: Current Status and Indications" Cardiovascular Medicine 8, no. 3: 89. https://doi.org/10.4414/cvm.2005.01081

APA Style

Rehders, T. C., Chatterjee, T., Ince, H., Petzsch, M., Kische, S., & Nienaber, C. A. (2005). Endovascular Therapy for Pathology of the Descending Thoracic Aorta: Current Status and Indications. Cardiovascular Medicine, 8(3), 89. https://doi.org/10.4414/cvm.2005.01081

Article Metrics

Back to TopTop