Revascularization After Removal of Broken Catheter from Left Circumflex Coronary Artery
Abstract
Introduction
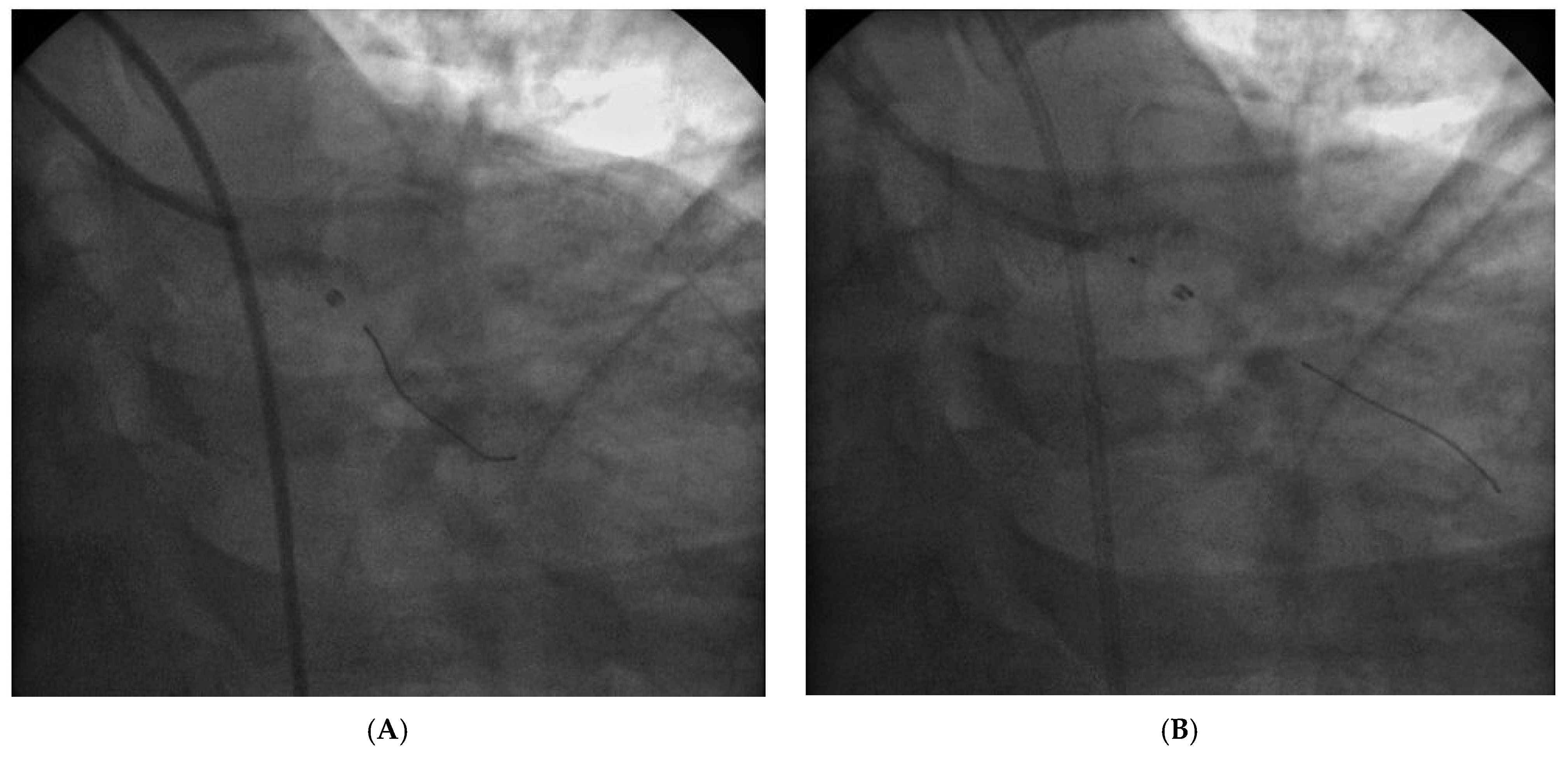
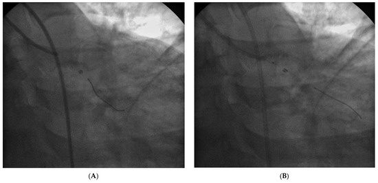
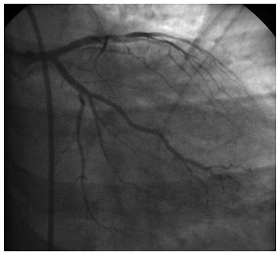
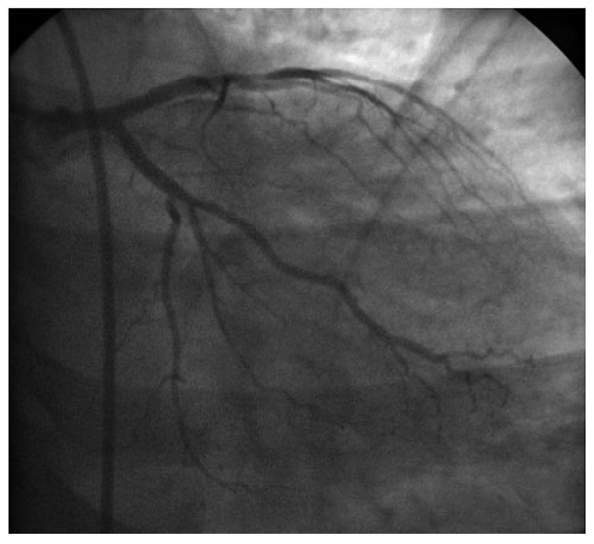
Case report
Discussion
Conclusion
Funding/Potential Competing Interests
References
- Chen, Y.; Fang, C.C.; Yu, C.L.; Jao, Y.T.; Wang, S.P. Intracoronary retrieval of the dehisced radiopaque ring of a guiding catheter: an unusual complication of coronary angioplasty. Catheter Cardiovasc Interv. 2002, 55, 262–264. [Google Scholar] [CrossRef] [PubMed]
- Rosario, P.G.; Donahoo, J.S. Coronary artery endarterectomy for retrieval of entrapped percutaneous angioplasty catheter. Ann Thorac Surg. 1996, 61, 218–219. [Google Scholar] [CrossRef] [PubMed]
- El Ghamry Sabe, A.A.; Ettinger, S.M. Retrieval of directional coronary atherectomy guiding catheter with angioplasty balloon catheter. Cathet Cardiovasc Diagn. 1995, 35, 237–239. [Google Scholar] [CrossRef]
- Ghosh, P.K.; Alber, G.; Schistek, R.; Unger, F. Rupture of guide during percutaneous transluminal coronary angioplasty. J Thorac Cardiovasc Surg. 1989, 97, 467–469. [Google Scholar] [CrossRef] [PubMed]
- Rozenman, Y.; Burstein, M.; Hasin, Y.; Gotsman, M.S. Retrieval of occluding unexpanded Palmaz-Schatz stent from a saphenous aorto-coronary vein graft. Cathet Cardiovasc Diagn. 1995, 34, 159–161. [Google Scholar] [CrossRef]
- Hartzler, G.O.; Rutherford, B.D.; McConahay, D.R. Retained percutaneous transluminal coronary angioplasty equipment components a nd their management. Am J Cardiol. 1987, 60, 1260–1264. [Google Scholar] [CrossRef] [PubMed]
- Reddy, C.V.; Khan, R.; Feit, A.; Gordon, D.; El Sherif, N. Catheter separation during coronary angiography. Cathet Cardiovasc Diagn. 1983, 9, 417–419. [Google Scholar] [CrossRef] [PubMed]
- Kyriakides, Z.S.; Bellenis, I.P.; Caralis, D.G. Catheter separation during cardiac catheterization and coronary angiography. A report of four incidents and review of the literature. Angiology 1986, 37, 762–765. [Google Scholar] [CrossRef]
- Yazicioglu, D.L.; Kaya, D.K.; Aral, D.A.; Ozyurda, D.ü. Surgical removal of entrapped broken coronary angioplasty catheter in left main and circumflex coronary artery. Gulhane Med J. 2003, 45, 361–362. [Google Scholar]
- Schneider, R.M.; Fornes, R.E.; Stuckey, W.C.; Gilbert, R.D.; Peter, R.H. Fracture of a polyurethane cardiac catheter in the aortic arch: a complication related to polymer aging. Cathet Cardiovasc Diagn. 1983, 9, 197–207. [Google Scholar] [CrossRef] [PubMed]
- Trehan, V.; Mukhopadhyay, S.; Yusuf, J.; CRamgasetty, U.; Mukherjee, S.; Arora, R. Intracoronary fracture and embolization of a coronary angioplasty balloon catheter: retrieval by a simple technique. Catheter Cardiovasc Interv. 2003, 58, 473–477. [Google Scholar] [CrossRef] [PubMed]



© 2011 by the author. Attribution - Non-Commercial - NoDerivatives 4.0.
Share and Cite
Nanjappa, M.C.; Bhat, P.; Panneerselvam, A. Revascularization After Removal of Broken Catheter from Left Circumflex Coronary Artery. Cardiovasc. Med. 2011, 14, 222. https://doi.org/10.4414/cvm.2011.01603
Nanjappa MC, Bhat P, Panneerselvam A. Revascularization After Removal of Broken Catheter from Left Circumflex Coronary Artery. Cardiovascular Medicine. 2011; 14(7):222. https://doi.org/10.4414/cvm.2011.01603
Chicago/Turabian StyleNanjappa, Manjunath C., Prabhavathi Bhat, and Arunkumar Panneerselvam. 2011. "Revascularization After Removal of Broken Catheter from Left Circumflex Coronary Artery" Cardiovascular Medicine 14, no. 7: 222. https://doi.org/10.4414/cvm.2011.01603
APA StyleNanjappa, M. C., Bhat, P., & Panneerselvam, A. (2011). Revascularization After Removal of Broken Catheter from Left Circumflex Coronary Artery. Cardiovascular Medicine, 14(7), 222. https://doi.org/10.4414/cvm.2011.01603
