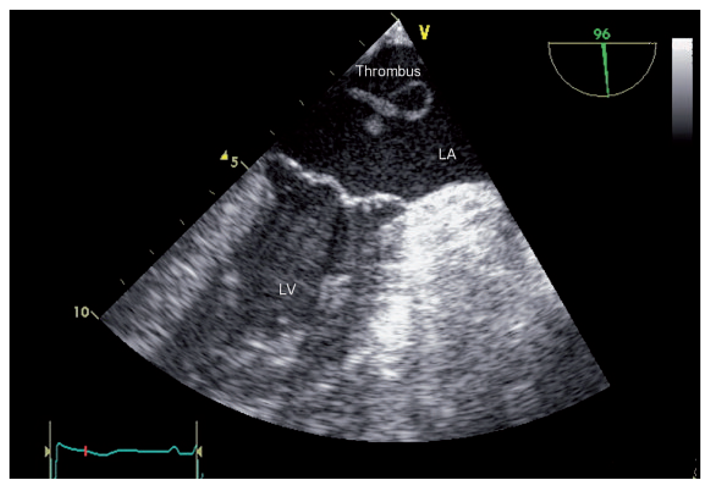
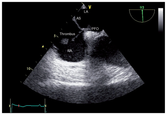
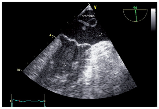
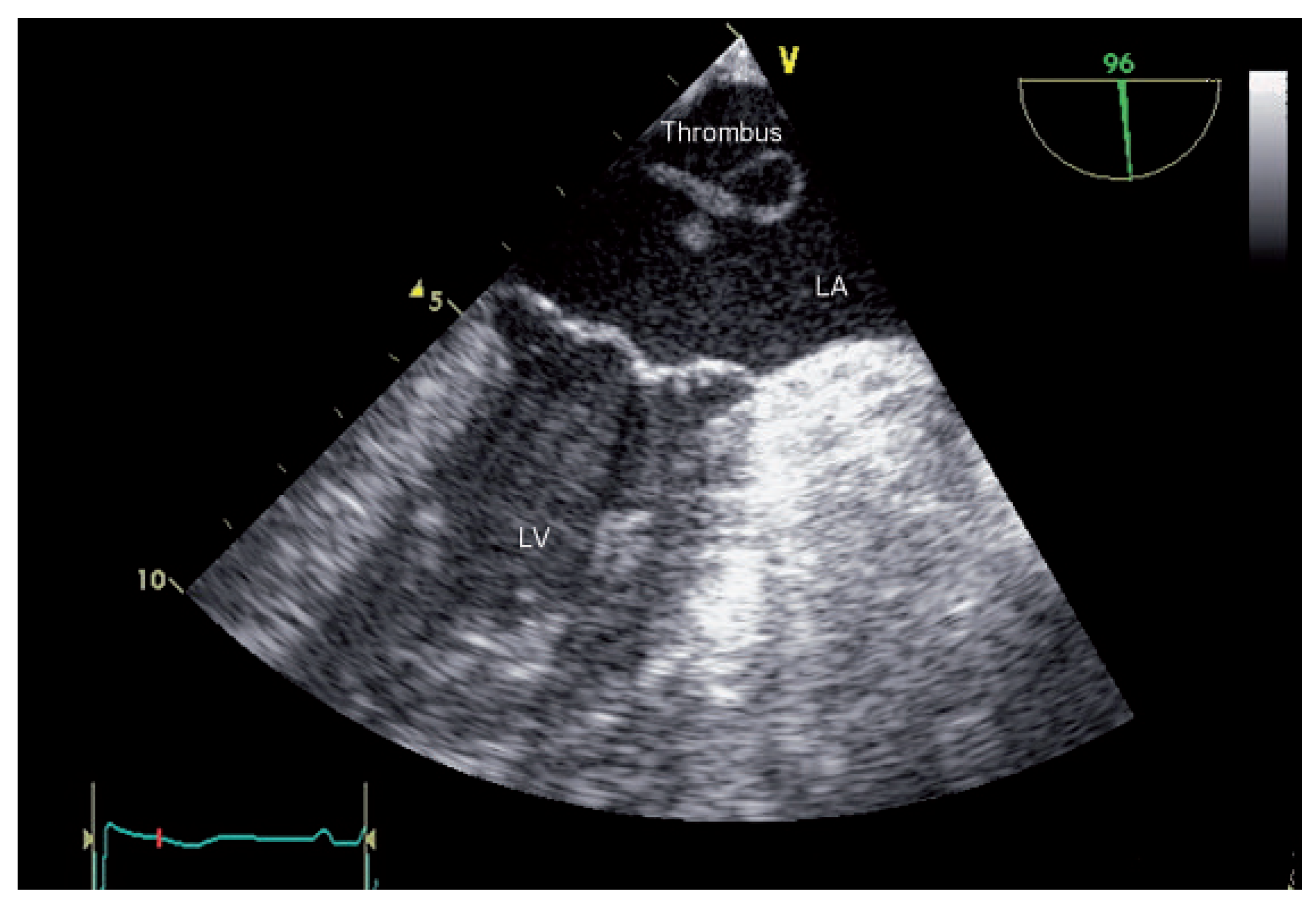
Trapped Thrombus in the Open Foramen Ovale


Funding/Potential Competing Interests
© 2011 by the author. Attribution - Non-Commercial - NoDerivatives 4.0.
Share and Cite
Spethmann, S.; Knebel, F.; Borges, A.C. Trapped Thrombus in the Open Foramen Ovale. Cardiovasc. Med. 2011, 14, 229. https://doi.org/10.4414/cvm.2011.01602
Spethmann S, Knebel F, Borges AC. Trapped Thrombus in the Open Foramen Ovale. Cardiovascular Medicine. 2011; 14(7):229. https://doi.org/10.4414/cvm.2011.01602
Chicago/Turabian StyleSpethmann, Sebastian, Fabian Knebel, and Adrian Constantin Borges. 2011. "Trapped Thrombus in the Open Foramen Ovale" Cardiovascular Medicine 14, no. 7: 229. https://doi.org/10.4414/cvm.2011.01602
APA StyleSpethmann, S., Knebel, F., & Borges, A. C. (2011). Trapped Thrombus in the Open Foramen Ovale. Cardiovascular Medicine, 14(7), 229. https://doi.org/10.4414/cvm.2011.01602
