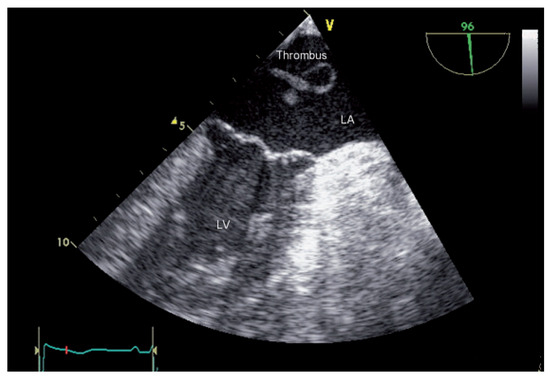
- Interesting Images
Typischer Rhythmus nach Herzoperation?
- Carolin Rogge,
- Martin Vurma and
- Christoph Schmidt
Der 70-jährige Patient wurde uns zugewiesen zur stationären kardialen Rehabilitation bei St. n. mechanischem Aortenklappenersatz wegen schwerer degenerativer Aortenstenose.[...]

