A Basic Study for Predicting Dysphagia in Panoramic X-ray Images Using Artificial Intelligence (AI)—Part 1: Determining Evaluation Factors and Cutoff Levels
Abstract
1. Introduction
2. Materials and Methods
2.1. Study Design
2.2. Participants
2.3. Panoramic Radiography
2.4. Image Assessment and Measurements
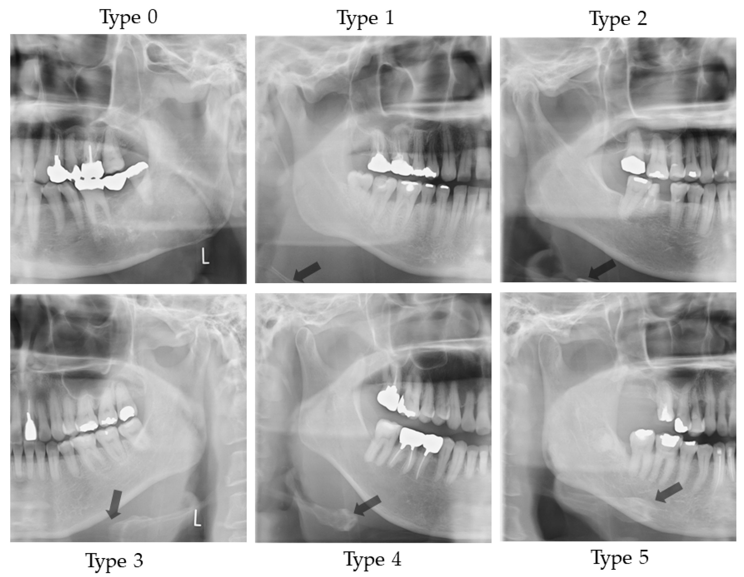
2.4.1. Vertical Hyoid Bone Position
- The bilateral mandible line: A simulated line connecting the right and left sides of the angles of the mandible.
- The mandibular border line: The line that moved the bilateral mandibular line parallel to the lowest point of the lower border of the mandible.
2.4.2. Horizontal Hyoid Bone Position
- The mesial premolar line is the point between the mesial interproximal surface of the first premolar and the vertical border of the mandible until the end of the image. When the first premolar was missing, the distal surface of the canine was used.
- The distal premolar line is the point between the distal interproximal surface of the second premolar and the vertical border of the mandible until the end of the image. When the second premolar was missing, the mesial surface of the first molar was used.
- The premolar area is the area between the mesial premolar line and the distal premolar line.
- The distal molar line is the perpendicular line from the distal interproximal surface of the second molar or the mesial interproximal surface of the third molar to the edge of the image through the lower border of the mandible. When the second molar was missing, the mesial surface of the third molar was used.
- The molar area is the area between the distal premolar line and the distal molar line.
- The posterior area is the area posterior to the distal molar line.
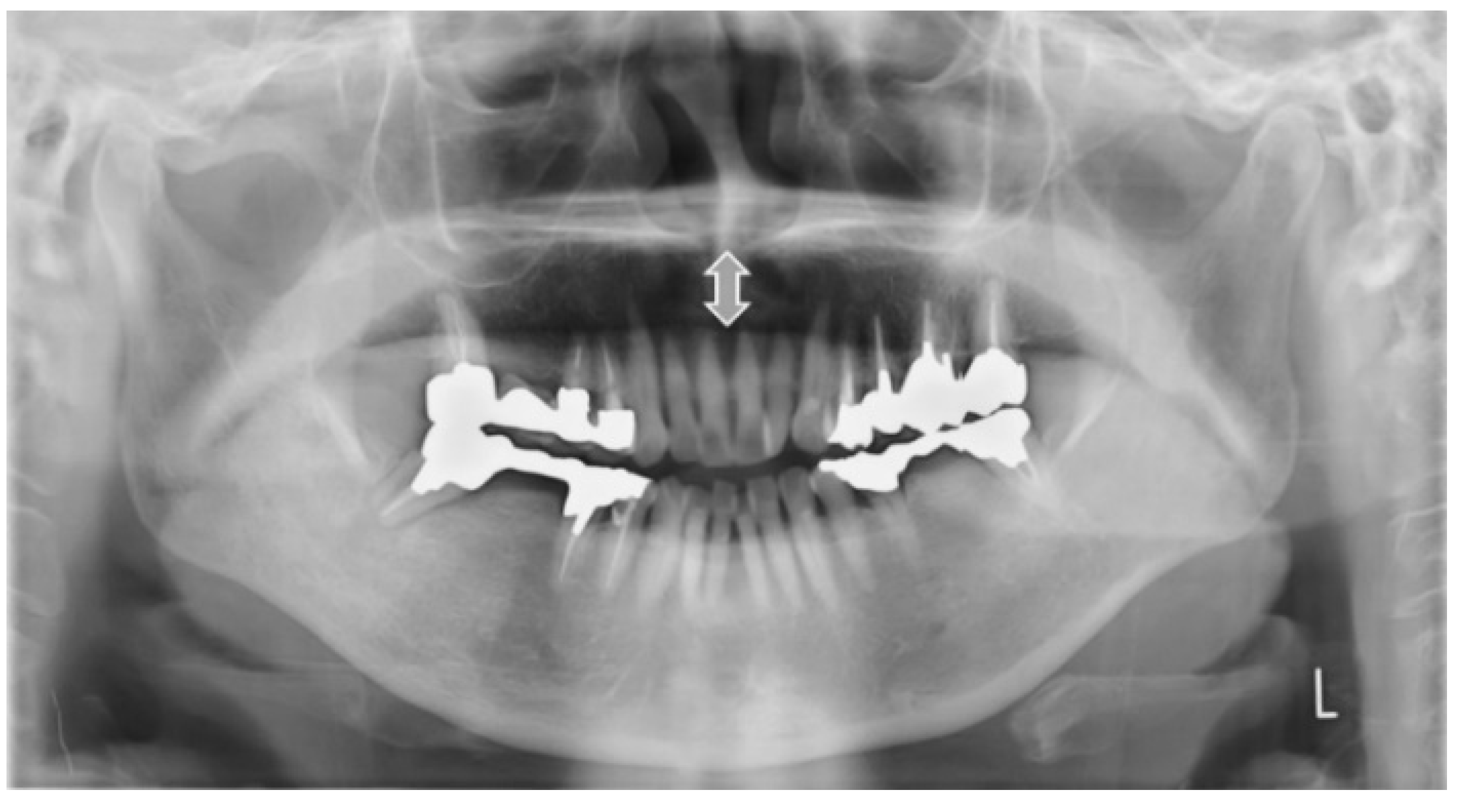
2.4.3. Measurement from the Tongue to the Palate on the Midline (mm)
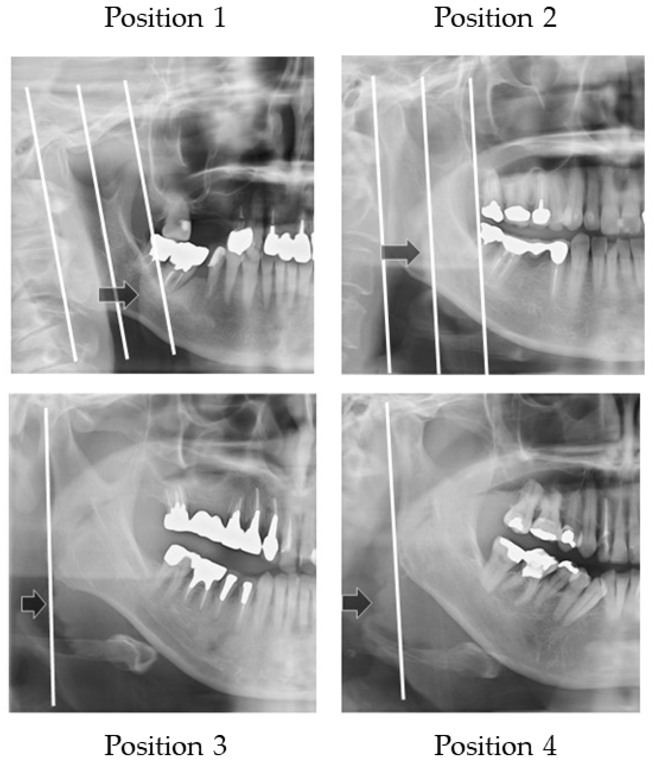
2.4.4. Width of Tongue
- The distal border of the mandible line is a simulated line, which is defined between the posterior point of the mandibular condyle and posterior point of the angle of the mandible.
- The mesial border of the mandible line is defined as the line that is the distal border line moved in parallel to the coronoid process.
- The midline of the border of the mandible line is defined as the midline of the distal border of the mandible line and the mesial border of the mandible line.
2.5. Classified Dysphagia (+) and Dysphagia (−) Groups
2.6. Statistical Analysis
2.6.1. Logistic Regression Analysis
2.6.2. Decision of Cutoff Level
3. Results
4. Discussion
4.1. Hyoid Bone Position
4.2. Size of Tongue
4.3. Sample Size
4.4. Limitations of This Study
5. Conclusions
Author Contributions
Funding
Institutional Review Board Statement
Informed Consent Statement
Data Availability Statement
Acknowledgments
Conflicts of Interest
References
- Tuzoff, D.V.; Tuzova, L.N.; Bornstein, M.M.; Krasnov, A.S.; Kharchenko, M.A.; Nikolenko, S.I.; Sveshnikov, M.M.; Bednenko, G.B. Tooth detection and numbering in panoramic radiographs using convolutional neural networks. Dentomaxillofac. Radiol. 2019, 48, 4. [Google Scholar] [CrossRef] [PubMed]
- Ohashi, Y.; Ariji, Y.; Katsumata, A.; Fujita, H.; Nakayama, M.; Fukuda, M.; Nozawa, M.; Ariji, E. Utilization of computer-aided detection system in diagnosing unilateral maxillary sinusitis on panoramic radiographs. Dentomaxillofac. Radiol. 2016, 45, 3. [Google Scholar] [CrossRef] [PubMed]
- Nurtanio, I.; Astuti, E.R.; Pumama, I.K.E.; Hariadi, M.; Purnomo, M.H. Classifying cyst and tumor lesion using support vector machine based on dental panoramic images texture features. IAENG Int. J. Comput. Sci. 2013, 40, 29–37. [Google Scholar]
- Nakamoto, T.; Taguchi, A.; Ohtsuka, M.; Suei, Y.; Fujita, M.; Tsuda, M.; Sanada, M.; Kudo, Y.; Asano, A.; Tanimoto, K. A computer-aided diagnosis system to screen for osteoporosis using dental panoramic radiographs. Dentomaxillofac. Radiol. 2008, 37, 274–281. [Google Scholar] [CrossRef]
- Sawagashira, T.; Hayashi, T.; Hara, T.; Katsumata, A.; Muramatsu, C.; Zhou, X.; Iida, Y.; Katagi, K.; Fujita, H. An automatic detection method for carotid artery calcifications using top-hat filter on dental panoramic radiographs. IEICE Trans. Inf. Syst. 2013, 96, 1878–1881. [Google Scholar] [CrossRef]
- Hou, R.; Zhou, H.; Hu, K.; Ding, Y.; Yang, X.; Xu, G.; Xue, P.; Shan, C.; Jia, S.; Ma, Y. Thorough documentation of the accidental aspiration and ingestion of foreign objects during dental procedure is necessary: Review and analysis of 617 cases. Head Face Med. 2016, 12, 23. [Google Scholar] [CrossRef]
- Kuroda, M.; Matsuda, Y.; Ito, E.; Araki, K. Potential of panoramic radiography as a screening method for oral hypofunction in the evaluation of hyoid bone position. Showa Univ. J. Med. Sci. 2019, 31, 227–235. [Google Scholar] [CrossRef][Green Version]
- Izzetti, R.; Nisi, M.; Aringhieri, G.; Crocetti, L.; Graziani, F.; Nardi, C. Basic Knowledge and New Advances in Panoramic Radiography Imaging Techniques: A Narrative Review on What Dentists and Radiologists Should Know. Appl. Sci. 2021, 11, 7858. [Google Scholar] [CrossRef]
- Ito, E.; Matsuda, Y.; Kuroda, M.; Araki, K. A novel dysphagia screening method using panoramic radiography. Showa Univ. J. Med. Sci. 2021, 33, 74–81. [Google Scholar] [CrossRef]
- Logemann, J.A.; Pauloski, B.R.; Rademaker, A.W.; Kharilas, P.J. Oropharyngeal swallow in younger and older women; videofluoroscopic analysis. J. Speech Lang. Hear. Res. 2002, 45, 434–445. [Google Scholar] [CrossRef]
- Logemann, J.A.; Pauloski, B.R.; Rademaker, A.W.; Colangelo, L.A.; Kahrilas, P.J.; Smith, C.H. Temporal and biomechanical characteristics of oropharyngeal swallow in younger and older men. J. Speech Lang. Hear. Res. 2000, 43, 1264–1274. [Google Scholar] [CrossRef] [PubMed]
- Perlman, A.L.; Booth, B.M.; Grayhack, J.P. Videofluoroscopic predictors of aspiration in patients with oropharyngeal dysphagia. Dysphagia 1994, 9, 90–95. [Google Scholar] [CrossRef] [PubMed]
- Matsuda, Y.; Ito, E.; Kimura, Y.; Araki, K. Hyoid bone position related to gender and aging using lateral cephalometric radiographs. Orthod. Waves 2018, 77, 226–231. [Google Scholar] [CrossRef]
- Korkmaz, Y.N.; Buyuk, S.K.; Genc, E. Comparison of hyoid bone positions and pharyngeal airway dimensions in different body mass index percentile adolescent subjects. Cranio 2020, 38, 286–291. [Google Scholar] [CrossRef] [PubMed]
- Kim, Y.; McCullough, G.H. Maximum hyoid displacement in normal swallowing. Dysphagia 2008, 23, 274–279. [Google Scholar] [CrossRef] [PubMed]
- Uraguchi, K.; Makihara, S.; ·Kariya, S. Dysphagia in a Patient with Asymmetric Elevation of the Hyoid Bone. Dysphagia 2021, 36, 761–763. [Google Scholar] [CrossRef]
- Zhang, Z.; Perera, S.; Donohue, C.; Kurosu, A.; Mahoney, A.S.; Coyle, J.L.; Sejdić, E. The Prediction of Risk of Penetration-Aspiration via Hyoid Bone Displacement Features. Dysphagia 2020, 35, 66–72. [Google Scholar] [CrossRef]
- Paik, N.J.; Kim, S.J.; Lee, H.J.; Jeon, J.Y.; Lim, J.Y.; Han, T.R. Movement of the hyoid bone and the epiglottis during swallowing in patients with dysphagia from different etiologies. J. Electromyogr. Kinesiol. 2008, 18, 329–335. [Google Scholar] [CrossRef]
- Feng, X.; Todd, T.; Hu, Y.; Lintzenich, C.R.; Carr, J.J.; Browne, J.D.; Kritchevsky, S.B.; Butler, S.G. Age-related changes of hyoid bone position in healthy older adults with aspiration. Laryngoscope 2014, 124, E231–E236. [Google Scholar] [CrossRef]
- Nakao, Y.; Yamashita, T.; Honda, K.; Katsuura, T.; Hama, Y.; Nakamura, Y.; Ando, K.; Ishikura, R.; Kodama, N.; Uchiyama, Y.; et al. Association among Age-Related Tongue Muscle Abnormality, Tongue Pressure, and Presbyphagia: A 3D MRI Study. Dysphagia 2021, 36, 483–491. [Google Scholar] [CrossRef]
- Oh, J.C. Effects of Tongue Strength Training and Detraining on Tongue Pressures in Healthy Adults. Dysphagia 2015, 30, 315–320. [Google Scholar] [CrossRef] [PubMed]
- Miyazaki, A.; Mori, H. Frequent Karaoke Training Improves Frontal Executive Cognitive Skills, Tongue Pressure, and Respiratory Function in Elderly People: Pilot Study from a Randomized Controlled Trial. Int. J. Environ. Res. Public Health 2020, 17, 1459. [Google Scholar] [CrossRef] [PubMed]









| Dysphagia (+), n = 47 | Dysphagia (−), n = 30 | |
|---|---|---|
| Age (years) | 77.0 (72.4–81.6) | 68.5 (62.6–74.4) |
| Gender male (%) | 33 (70.0) | 18 (60.0) |
| Number of remaining teeth | 22.0 (19.3–24.7) | 24.0 (20.9–27.1) |
| Distance from hyoid to palate | 12.5 (9.6–15.4) | 11.4 (7.8–5.1) |
| Vertical Hyoid Bone Position | Dysphagia (+) | Dysphagia (−) |
|---|---|---|
| Type 0 | 20 | 2 |
| Type 1 | 10 | 8 |
| Type 2 | 4 | 5 |
| Type 3 | 7 | 10 |
| Type 4 | 3 | 1 |
| Type 5 | 3 | 4 |
| Horizontal Hyoid Bone Position | Dysphagia (+) | Dysphagia (−) |
|---|---|---|
| Grade 1 | 5 | 9 |
| Grade 2 | 15 | 15 |
| Grade 3 | 4 | 3 |
| Outer Border of Tongue | Dysphagia (+) | Dysphagia (−) |
|---|---|---|
| Position 1 | 4 | 3 |
| Position 2 | 18 | 8 |
| Position 3 | 13 | 12 |
| Position 4 | 12 | 7 |
| β–Coefficient | Dysphagia (+) 95% Confidence Intervals | p-Value | |
|---|---|---|---|
| Age | 0.002 | 1.002 (0.779–1.289) | 0.989 |
| Gender | 2.4 | 11.095 (0.653–188.607) | 0.096 |
| Number of remaining teeth | −0.16 | 0.984 (0.899–1.076) | 0.720 |
| Vertical hyoid bone position | 0.694 | 2.002 (1.024–3.912) | 0.042 * |
| Horizontal hyoid bone position | −0.123 | 0.885 (0.385–2.031) | 0.772 |
| Distance hyoid to palate | 0.079 | 1.082 (0.999–1.171) | 0.053 |
| Width of tongue | −0.143 | 0.867 (0.581–1.293) | 0.484 |
| Grade | Prob. | 1 − Spec. | Spec. | Sensi. − (1 − Spec.) | TP | TN | FP | FN |
|---|---|---|---|---|---|---|---|---|
| 0.0000 | 0.0000 | 0.0000 | 0 | 28 | 0 | 49 | ||
| 0 | 0.8052 * | 0.0357 | 0.4286 | 0.3929 * | 21 | 27 | 1 | 28 |
| 1 | 0.7253 | 0.3214 | 0.6327 | 0.3112 | 31 | 19 | 9 | 18 |
| 2 | 0.6277 | 0.4643 | 0.7347 | 0.2704 | 36 | 15 | 13 | 13 |
| 3 | 0.5185 | 0.8214 | 0.8776 | 0.0561 | 43 | 5 | 23 | 6 |
| 4 | 0.4075 | 0.8571 | 0.9388 | 0.0816 | 46 | 4 | 24 | 3 |
| 5 | 0.3052 | 1.0000 | 1.0000 | 0.0000 | 49 | 0 | 28 | 0 |
Publisher’s Note: MDPI stays neutral with regard to jurisdictional claims in published maps and institutional affiliations. |
© 2022 by the authors. Licensee MDPI, Basel, Switzerland. This article is an open access article distributed under the terms and conditions of the Creative Commons Attribution (CC BY) license (https://creativecommons.org/licenses/by/4.0/).
Share and Cite
Matsuda, Y.; Ito, E.; Kuroda, M.; Araki, K. A Basic Study for Predicting Dysphagia in Panoramic X-ray Images Using Artificial Intelligence (AI)—Part 1: Determining Evaluation Factors and Cutoff Levels. Int. J. Environ. Res. Public Health 2022, 19, 4529. https://doi.org/10.3390/ijerph19084529
Matsuda Y, Ito E, Kuroda M, Araki K. A Basic Study for Predicting Dysphagia in Panoramic X-ray Images Using Artificial Intelligence (AI)—Part 1: Determining Evaluation Factors and Cutoff Levels. International Journal of Environmental Research and Public Health. 2022; 19(8):4529. https://doi.org/10.3390/ijerph19084529
Chicago/Turabian StyleMatsuda, Yukiko, Emi Ito, Migiwa Kuroda, and Kazuyuki Araki. 2022. "A Basic Study for Predicting Dysphagia in Panoramic X-ray Images Using Artificial Intelligence (AI)—Part 1: Determining Evaluation Factors and Cutoff Levels" International Journal of Environmental Research and Public Health 19, no. 8: 4529. https://doi.org/10.3390/ijerph19084529
APA StyleMatsuda, Y., Ito, E., Kuroda, M., & Araki, K. (2022). A Basic Study for Predicting Dysphagia in Panoramic X-ray Images Using Artificial Intelligence (AI)—Part 1: Determining Evaluation Factors and Cutoff Levels. International Journal of Environmental Research and Public Health, 19(8), 4529. https://doi.org/10.3390/ijerph19084529

