Myocardial Work Brings New Insights into Left Ventricular Remodelling in Cardio-Oncology Patients
Abstract
:1. Introduction
2. Materials and Methods
2.1. Study Participants
2.2. Echocardiographic Acquisition and Processing
2.3. CTRCD Definition
2.4. Statistical Analysis
3. Results
3.1. Baseline Characteristics of Participants and Cancer Therapy
3.2. CTRCD on Anthracyclines and Anti-HER2 Therapy
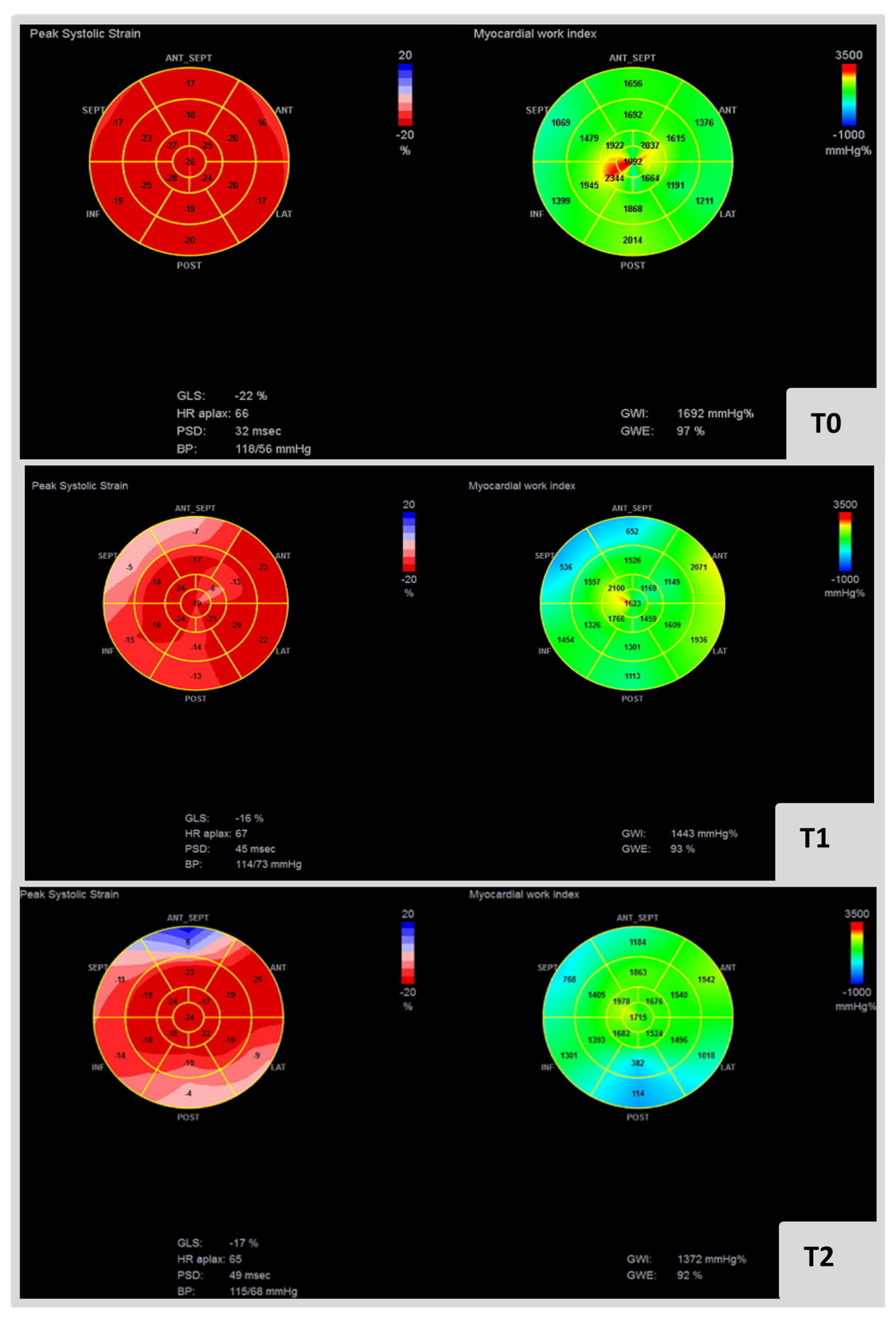
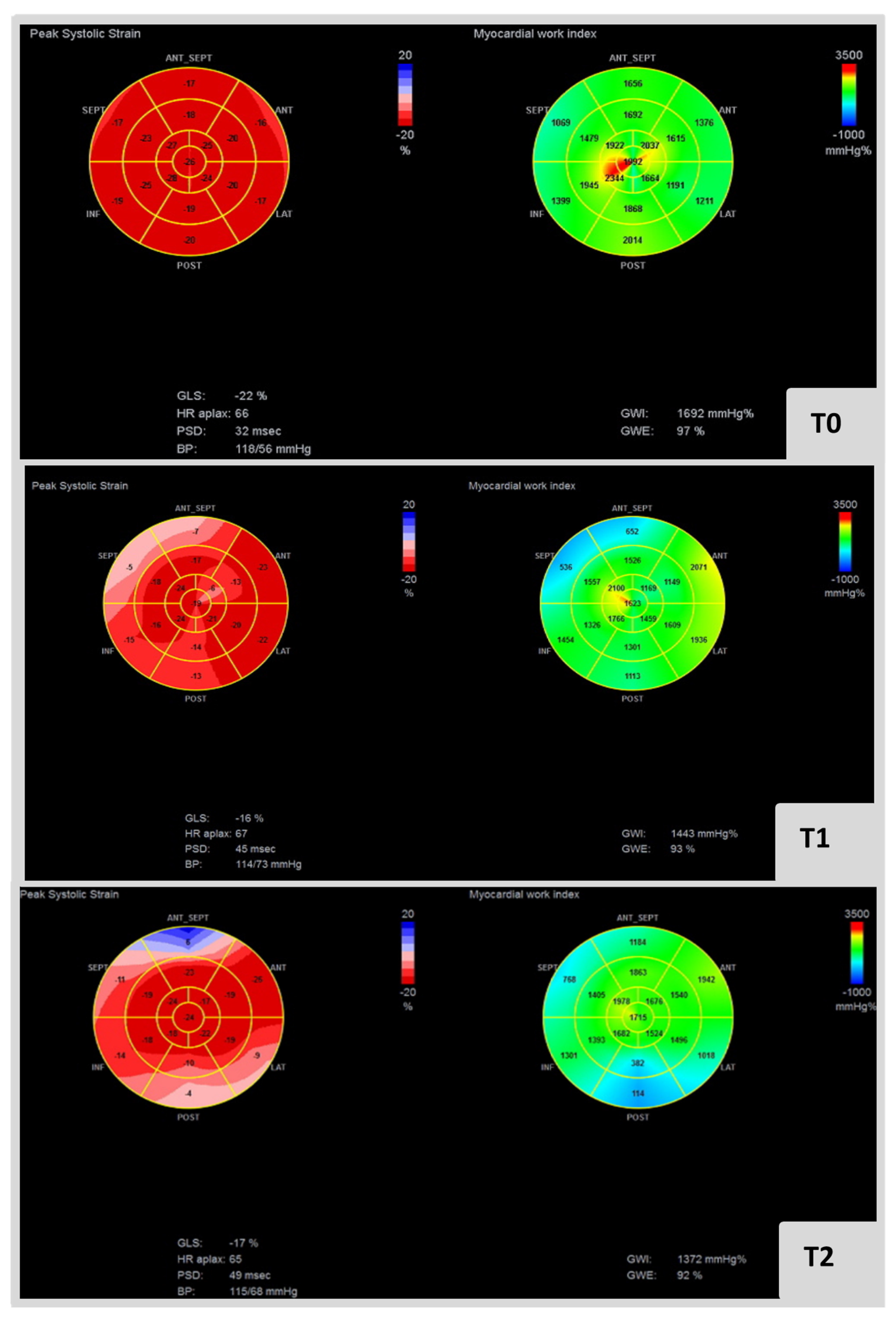
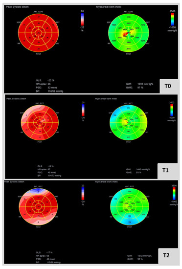
3.3. MW Indices
3.4. Comparison of Patients with and without CTRCD
3.5. Predictors of MW Worsening
4. Discussion
- Breast cancer patients under cancer therapy showed impaired values of global LV myocardial work parameters—GWI, GCW, GWW and GWE—compared to baseline;
- Twelve months after starting therapy, MW indices tended to return to baseline values, although not completely;
- More than one cardiovascular risk factor, obesity and baseline LA volume were predictors of MW parameters variation.
5. Study Limitations
6. Conclusions
Supplementary Materials
Author Contributions
Funding
Institutional Review Board Statement
Informed Consent Statement
Data Availability Statement
Conflicts of Interest
References
- Sung, H.; Ferlay, J.; Siegel, R.L.; Laversanne, M.; Soerjomataram, I.; Jemal, A.; Bray, F. Global Cancer Statistics 2020: GLOBOCAN Estimates of Incidence and Mortality Worldwide for 36 Cancers in 185 Countries. CA Cancer J. Clin. 2021, 71, 209–249. [Google Scholar] [CrossRef] [PubMed]
- Zamorano, J.L.; Lancellotti, P.; Rodriguez Muñoz, D.; Aboyans, V.; Asteggiano, R.; Galderisi, M.; Habib, G.; Lenihan, D.J.; Lip, G.Y.H.; Lyon, A.R.; et al. 2016 ESC Position Paper on cancer treatments and cardiovascular toxicity developed under the auspices of the ESC Committee for Practice Guidelines. Eur. Heart J. 2016, 37, 2768–2801. [Google Scholar] [CrossRef]
- Aapro, M.; Bernard-Marty, C.; Brain, E.G.C.; Batist, G.; Erdkamp, F.; Krzemieniecki, K.; Leonard, R.; Lluch, A.; Monfardini, S.; Ryberg, M.; et al. Anthracycline cardiotoxicity in the elderly cancer patient: A SIOG expert position paper. Ann. Oncol. 2011, 22, 257–267. [Google Scholar] [CrossRef] [PubMed]
- Swain, S.M.; Whaley, F.S.; Ewer, M.S. Congestive heart failure in patients treated with doxorubicin: A retrospective analysis of three trials. Cancer 2003, 97, 2869–2879. [Google Scholar] [CrossRef] [PubMed]
- Serrano, C.; Cortés, J.; De Mattos-Arruda, L.; Bellet, M.; Gómez, P.; Saura, C.; Pérez, J.; Vidal, M.; Muñoz-Couselo, E.; Carreras, M.J.; et al. Trastuzumab-related cardiotoxicity in the elderly: A role for cardiovascular risk factors. Ann. Oncol. 2012, 23, 897–902. [Google Scholar] [CrossRef] [PubMed]
- Tarantini, L.; Gori, S.; Faggiano, P.; Pulignano, G.; Simoncini, E.; Tuccia, F.; Ceccherini, R.; Bovelli, D.; Lestuzzi, C.; Cioffi, G. Adjuvant trastuzumab cardiotoxicity in patients over 60 years of age with early breast cancer: A multicenter cohort analysis. Ann. Oncol. 2012, 23, 3058–3063. [Google Scholar] [CrossRef]
- Thavendiranathan, P.; Grant, A.D.; Negishi, T.; Plana, J.C.; Popović, Z.B.; Marwick, T.H. Reproducibility of echocardiographic techniques for sequential assessment of left ventricular ejection fraction and volumes: Application to patients undergoing cancer chemotherapy. J. Am. Coll. Cardiol. 2013, 61, 77–84. [Google Scholar] [CrossRef] [Green Version]
- Lang, R.M.; Badano, L.P.; Mor-Avi, V.; Afilalo, J.; Armstrong, A.; Ernande, L.; Flachskampf, F.A.; Foster, E.; Goldstein, S.A.; Kuznetsova, T.; et al. Recommendations for cardiac chamber quantification by echocardiography in adults: An update from the American society of echocardiography and the European association of cardiovascular imaging. Eur. Heart J. Cardiovasc. Imaging 2015, 16, 233–271. [Google Scholar] [CrossRef] [PubMed]
- Armstrong, G.T.; Plana, J.C.; Zhang, N.; Srivastava, D.; Green, D.M.; Ness, K.K.; Donovan, F.D.; Metzger, M.L.; Arevalo, A.; Durand, J.B.; et al. Screening adult survivors of childhood cancer for cardiomyopathy: Comparison of echocardiography and cardiac magnetic resonance imaging. J. Clin. Oncol. 2012, 30, 2876–2884. [Google Scholar] [CrossRef]
- Drafts, B.C.; Twomley, K.M.; D’Agostino, R.; Lawrence, J.; Avis, N.; Ellis, L.R.; Thohan, V.; Jordan, J.; Melin, S.A.; Torti, F.M.; et al. Low to moderate dose anthracycline-based chemotherapy is associated with early noninvasive imaging evidence of subclinical cardiovascular disease. JACC Cardiovasc. Imaging 2013, 6, 877–885. [Google Scholar] [CrossRef] [Green Version]
- Plana, J.C.; Galderisi, M.; Barac, A.; Ewer, M.S.; Ky, B.; Scherrer-Crosbie, M.; Ganame, J.; Sebag, I.A.; Agler, D.A.; Badano, L.P.; et al. Expert consensus for multimodality imaging evaluation of adult patients during and after cancer therapy: A report from the American society of echocardiography and the European association of cardiovascular imaging. J. Am. Soc. Echocardiogr. 2014, 27, 911–939. [Google Scholar] [CrossRef] [PubMed] [Green Version]
- Stoodley, P.W.; Richards, D.A.B.; Hui, R.; Boyd, A.; Harnett, P.R.; Meikle, S.R.; Clarke, J.; Thomas, L. Two-dimensional myocardial strain imaging detects changes in left ventricular systolic function immediately after anthracycline chemotherapy. Eur. J. Echocardiogr. 2011, 12, 945–952. [Google Scholar] [CrossRef] [PubMed] [Green Version]
- Yu, A.F.; Raikhelkar, J.; Zabor, E.C.; Tonorezos, E.S.; Moskowitz, C.S.; Adsuar, R.; Mara, E.; Huie, K.; Oeffinger, K.C.; Steingart, R.M.; et al. Two-Dimensional Speckle Tracking Echocardiography Detects Subclinical Left Ventricular Systolic Dysfunction among Adult Survivors of Childhood, Adolescent, and Young Adult Cancer. BioMed Res. Int. 2016, 2016, 9363951. [Google Scholar] [CrossRef] [Green Version]
- Kang, Y.; Xiao, F.; Chen, H.; Wang, W.; Shen, L.; Zhao, H.; Shen, X.; Chen, F.; He, B. Subclinical anthracycline-induced cardiotoxicity in the long- term follow-up of lymphoma survivors: A multi-layer speckle tracking analysis. Arq. Bras. Cardiol. 2018, 110, 219–228. [Google Scholar] [CrossRef]
- Eschenhagen, T.; Force, T.; Ewer, M.S.; De Keulenaer, G.W.; Suter, T.M.; Anker, S.D.; Avkiran, M.; De Azambuja, E.; Balligand, J.L.; Brutsaert, D.L.; et al. Cardiovascular side effects of cancer therapies: A position statement from the Heart Failure Association of the European Society of Cardiology. Eur. J. Heart Fail. 2011, 13, 1–10. [Google Scholar] [CrossRef] [PubMed]
- Urheim, S.; Edvardsen, T.; Torp, H.; Angelsen, B.; Smiseth, O.A. Myocardial strain by Doppler echocardiography: Validation of a new method to quantify regional myocardial function. Circulation 2000, 102, 1158–1164. [Google Scholar] [CrossRef] [PubMed] [Green Version]
- Russell, K.; Eriksen, M.; Aaberge, L.; Wilhelmsen, N.; Skulstad, H.; Remme, E.W.; Haugaa, K.H.; Opdahl, A.; Fjeld, J.G.; Gjesdal, O.; et al. A novel clinical method for quantification of regional left ventricular pressurestrain loop area: A non-invasive index of myocardial work. Eur. Heart J. 2012, 33, 724–733. [Google Scholar] [CrossRef] [PubMed] [Green Version]
- Minotti, G.; Menna, P.; Salvatorelli, E.; Cairo, G.; Gianni, L. Anthracyclines: Molecular advances and pharmacologie developments in antitumor activity and cardiotoxicity. Pharmacol. Rev. 2004, 56, 185–229. [Google Scholar] [CrossRef] [PubMed] [Green Version]
- Williams, B.; Mancia, G.; Spiering, W.; Agabiti, R.E.; Azizi, M.; Burnier, M.; Clement, D.L.; Coca, A.; de Simone, G.; Dominiczak, A.; et al. ESC Scientific Document Group. 2018 ESC/ESH Guidelines for the management of arterial hypertension. Eur. Heart J. 2018, 39, 3021–3104. [Google Scholar] [CrossRef]
- Cosentino, F.; Grant, P.J.; Aboyans, V.; Bailey, C.J.; Ceriello, A.; Delgado, V.; Federici, M.; Filippatos, G.; Grobbee, D.E.; Hansen, T.B.; et al. ESC Scientific Document Group. 2019 ESC Guidelines on diabetes, pre-diabetes, and cardiovascular diseases developed in collaboration with the EASD. Eur. Heart J. 2020, 41, 255–323. [Google Scholar] [CrossRef] [PubMed] [Green Version]
- Lang, R.M.; Badano, L.P.; Tsang, W.; Adams, D.H.; Agricola, E.; Buck, T.; Faletra, F.F.; Franke, A.; Hung, J.; Peŕez De Isla, L.; et al. EAE/ASE recommendations for image acquisition and display using three-dimensional echocardiography. Eur. Heart J. Cardiovasc. Imaging 2012, 13, 1–46. [Google Scholar] [CrossRef]
- Manganaro, R.; Marchetta, S.; Dulgheru, R.; Ilardi, F.; Sugimoto, T.; Robinet, S.; Cimino, S.; Go, Y.Y.; Bernard, A.; Kacharava, G.; et al. Echocardiographic reference ranges for normal non-invasive myocardial work indices: Results from the EACVI NORRE study. Eur. Heart J. Cardiovasc. Imaging 2019, 20, 582–590. [Google Scholar] [CrossRef] [PubMed]
- Čelutkienė, J.; Pudil, R.; López-Fernández, T.; Grapsa, J.; Nihoyannopoulos, P.; Bergler-Klein, J.; Cohen-Solal, A.; Farmakis, D.; Tocchetti, C.G.; von Haehling, S.; et al. Role of cardiovascular imaging in cancer patients receiving cardiotoxic therapies: A position statement on behalf of the Heart Failure Association (HFA), the European Association of Cardiovascular Imaging (EACVI) and the Cardio-Oncology Council of the European Society of Cardiology (ESC). Eur. J. Heart Fail. 2020, 22, 1504–1524. [Google Scholar] [CrossRef] [PubMed]
- Thavendiranathan, P.; Negishi, T.; Somerset, E.; Negishi, K.; Penicka, M.; Lemieux, J.; Aakhus, S.; Miyazaki, S.; Shirazi, M.; Galderisi, M.; et al. Strain-Guided Management of Potentially Cardiotoxic Cancer Therapy. J. Am. Coll. Cardiol. 2021, 77, 392–401. [Google Scholar] [CrossRef] [PubMed]
- Doyle, J.J.; Neugut, A.I.; Jacobson, J.S.; Grann, V.R.; Hershman, D.L. Chemotherapy and cardiotoxicity in older breast cancer patients: A population-based study. J. Clin. Oncol. 2005, 23, 8597–8605. [Google Scholar] [CrossRef]
- Mele, D.; Nardozza, M.; Spallarossa, P.; Frassoldati, A.; Tocchetti, C.G.; Cadeddu, C.; Madonna, R.; Malagù, M.; Ferrari, R.; Mercuro, G. Current views on anthracycline cardiotoxicity. Heart Fail. Rev. 2016, 21, 621–634. [Google Scholar] [CrossRef]
- Ewer, M.S.; Lippman, S.M. Type II chemotherapy-related cardiac dysfunction: Time to recognize a new entity. J. Clin. Oncol. 2005, 23, 2900–2902. [Google Scholar] [CrossRef]
- Cardinale, D.; Colombo, A.; Lamantia, G.; Colombo, N.; Civelli, M.; De Giacomi, G.; Rubino, M.; Veglia, F.; Fiorentini, C.; Cipolla, C.M. Anthracycline-Induced Cardiomyopathy. Clinical Relevance and Response to Pharmacologic Therapy. J. Am. Coll. Cardiol. 2010, 55, 213–220. [Google Scholar] [CrossRef] [Green Version]
- Ohtani, K.; Fujino, T.; Ide, T.; Funakoshi, K.; Sakamoto, I.; Hiasa, K.I.; Higo, T.; Kamezaki, K.; Akashi, K.; Tsutsui, H. Recovery from left ventricular dysfunction was associated with the early introduction of heart failure medical treatment in cancer patients with anthracycline-induced cardiotoxicity. Clin. Res. Cardiol. 2019, 108, 600–611. [Google Scholar] [CrossRef]
- Seidman, A.; Hudis, C.; Pierri, M.K.; Shak, S.; Paton, V.; Ashby, M.; Murphy, M.; Stewart, S.J.; Keefe, D. Cardiac dysfunction in the trastuzumab clinical trials experience. J. Clin. Oncol. 2002, 20, 1215–1221. [Google Scholar] [CrossRef]
- Cardinale, D.; Colombo, A.; Bacchiani, G.; Tedeschi, I.; Meroni, C.A.; Veglia, F.; Civelli, M.; Lamantia, G.; Colombo, N.; Curigliano, G.; et al. Early detection of anthracycline cardiotoxicity and improvement with heart failure therapy. Circulation 2015, 131, 1981–1988. [Google Scholar] [CrossRef] [PubMed] [Green Version]
- López-Sendón, J.; Álvarez-Ortega, C.; Zamora Auñon, P.; Buño Soto, A.; Lyon, A.R.; Farmakis, D.; Cardinale, D.; Canales Albendea, M.; Feliu Batlle, J.; Rodríguez Rodríguez, I.; et al. Classification, prevalence, and outcomes of anticancer therapy-induced cardiotoxicity: The CARDIOTOX registry. Eur. Heart J. 2020, 41, 1720–1729. [Google Scholar] [CrossRef] [PubMed]
- Chen, J.; Long, J.B.; Hurria, A.; Owusu, C.; Steingart, R.M.; Gross, C.P. Incidence of heart failure or cardiomyopathy after adjuvant trastuzumab therapy for breast cancer. J. Am. Coll. Cardiol. 2012, 60, 2504–2512. [Google Scholar] [CrossRef] [Green Version]
- De Azambuja, E.; Procter, M.J.; Van Veldhuisen, D.J.; Agbor-Tarh, D.; Metzger-Filho, O.; Steinseifer, J.; Untch, M.; Smith, I.E.; Gianni, L.; Baselga, J.; et al. Trastuzumab-associated cardiac events at 8 years of median follow-up in the herceptin adjuvant trial (BIG 1-01). J. Clin. Oncol. 2014, 32, 2159–2165. [Google Scholar] [CrossRef]
- Ho, E.; Brown, A.; Barrett, P.; Morgan, R.B.; King, G.; Kennedy, M.J.; Murphy, R.T. Subclinical anthracycline- and trastuzumab-induced cardiotoxicity in the long-term follow-up of asymptomatic breast cancer survivors: A speckle tracking echocardiographic study. Heart 2010, 96, 701–707. [Google Scholar] [CrossRef] [PubMed]
- Thavendiranathan, P.; Poulin, F.; Lim, K.D.; Plana, J.C.; Woo, A.; Marwick, T.H. Use of myocardial strain imaging by echocardiography for the early detection of cardiotoxicity in patients during and after cancer chemotherapy: A systematic review. J. Am. Coll. Cardiol. 2014, 63, 2751–2768. [Google Scholar] [CrossRef] [PubMed] [Green Version]
- Stoodley, P.W.; Richards, D.A.B.; Boyd, A.; Hui, R.; Harnett, P.R.; Meikle, S.R.; Byth, K.; Stuart, K.; Clarke, J.L.; Thomas, L. Left ventricular systolic function in HER2/neu negative breast cancer patients treated with anthracycline chemotherapy: A comparative analysis of left ventricular ejection fraction and myocardial strain imaging over 12 months. Eur. J. Cancer 2013, 49, 3396–3403. [Google Scholar] [CrossRef] [PubMed]
- Tan, T.C.; Bouras, S.; Sawaya, H.; Sebag, I.A.; Cohen, V.; Picard, M.H.; Passeri, J.; Kuter, I.; Scherrer-Crosbie, M. Time trends of left ventricular ejection fraction and myocardial deformation indices in a cohort of women with breast cancer treated with anthracyclines, taxanes, and trastuzumab. J. Am. Soc. Echocardiogr. 2015, 28, 509–514. [Google Scholar] [CrossRef] [PubMed]
- Morimont, P.; Lambermont, B. Left Ventricular Ejection Fraction Depends on Loading Conditions. ASAIO J. 2019, 65, E64. [Google Scholar] [CrossRef]
- Galli, E.; Vitel, E.; Schnell, F.; Le Rolle, V.; Hubert, A.; Lederlin, M.; Donal, E. Myocardial constructive work is impaired in hypertrophic cardiomyopathy and predicts left ventricular fibrosis. Echocardiography 2019, 36, 74–82. [Google Scholar] [CrossRef] [PubMed] [Green Version]
- Galli, E.; Leclercq, C.; Fournet, M.; Hubert, A.; Bernard, A.; Smiseth, O.A.; Mabo, P.; Samset, E.; Hernandez, A.; Donal, E. Value of Myocardial Work Estimation in the Prediction of Response to Cardiac Resynchronization Therapy. J. Am. Soc. Echocardiogr. 2018, 31, 220–230. [Google Scholar] [CrossRef]
- Vecera, J.; Penicka, M.; Eriksen, M.; Russell, K.; Bartunek, J.; Vanderheyden, M.; Smiseth, O.A. Wasted septal work in left ventricular dyssynchrony: A novel principle to predict response to cardiac resynchronization therapy. Eur. Heart J. Cardiovasc. Imaging 2016, 17, 624–632. [Google Scholar] [CrossRef] [Green Version]
- Van Der Bijl, P.; Vo, N.M.; Kostyukevich, M.V.; Mertens, B.; Ajmone Marsan, N.; Delgado, V.; Bax, J.J. Prognostic implications of global, left ventricular myocardial work efficiency before cardiac resynchronization therapy. Eur. Heart J. Cardiovasc. Imaging 2019, 20, 1388–1394. [Google Scholar] [CrossRef]
- Chan, J.; Edwards, N.F.A.; Khandheria, B.K.; Shiino, K.; Sabapathy, S.; Anderson, B.; Chamberlain, R.; Scalia, G.M. A new approach to assess myocardial work by non-invasive left ventricular pressure-strain relations in hypertension and dilated cardiomyopathy. Eur. Heart J. Cardiovasc. Imaging 2019, 20, 31–39. [Google Scholar] [CrossRef] [Green Version]
- El Mahdiui, M.; van der Bijl, P.; Abou, R.; Ajmone Marsan, N.; Delgado, V.; Bax, J.J. Global Left Ventricular Myocardial Work Efficiency in Healthy Individuals and Patients with Cardiovascular Disease. J. Am. Soc. Echocardiogr. 2019, 32, 1120–1127. [Google Scholar] [CrossRef] [PubMed]
- Gonçalves, A.V.; Rosa, S.A.; Branco, L.; Galrinho, A.; Fiarresga, A.; Lopes, L.R.; Thomas, B.; Baquero, L.; Carmo, M.M.; Ferreira, R.C. Myocardial work is associated with significant left ventricular myocardial fibrosis in patients with hypertrophic cardiomyopathy. Int. J. Cardiovasc. Imaging 2021, 37, 2237–2244. [Google Scholar] [CrossRef] [PubMed]
- Bergamini, C.; Dolci, G.; Truong, S.; Zanolla, L.; Benfari, G.; Fiorio, E.; Rossi, A.; Ribichini, F.L. Role of Speckle Tracking Echocardiography in the Evaluation of Breast Cancer Patients Undergoing Chemotherapy: Review and Meta-analysis of the Literature. Cardiovasc. Toxicol. 2019, 19, 485–492. [Google Scholar] [CrossRef]
- Coutinho Cruz, M.; Moura Branco, L.; Portugal, G.; Galrinho, A.; Timóteo, A.T.; Rio, P.; Ilhão Moreira, R.; Mendonça, T.; Leal, A.; Gameiro, F.; et al. Three-dimensional speckle-tracking echocardiography for the global and regional assessments of left ventricle myocardial deformation in breast cancer patients treated with anthracyclines. Clin. Res. Cardiol. 2020, 109, 673–684. [Google Scholar] [CrossRef] [PubMed]
- Santoro, C.; Arpino, G.; Esposito, R.; Lembo, M.; Paciolla, I.; Cardalesi, C.; De Simone, G.; Trimarco, B.; De Placido, S.; Galderisi, M. 2D and 3D strain for detection of subclinical anthracycline cardiotoxicity in breast cancer patients: A balance with feasibility. Eur. Heart J. Cardiovasc. Imaging 2017, 18, 930–936. [Google Scholar] [CrossRef] [PubMed]
- Zhang, K.W.; Finkelman, B.S.; Gulati, G.; Narayan, H.K.; Upshaw, J.; Narayan, V.; Plappert, T.; Englefield, V.; Smith, A.M.; Zhang, C.; et al. Abnormalities in 3-Dimensional Left Ventricular Mechanics with Anthracycline Chemotherapy Are Associated With Systolic and Diastolic Dysfunction. JACC Cardiovasc. Imaging 2018, 11, 1059–1068. [Google Scholar] [CrossRef]
- Tadic, M.; Genger, M.; Baudisch, A.; Kelle, S.; Cuspidi, C.; Belyavskiy, E.; Burkhardt, F.; Venneri, L.; Attanasio, P.; Pieske, B. Left Ventricular Strain in Chemotherapy-Naive and Radiotherapy-Naive Patients With Cancer. Can. J. Cardiol. 2018, 34, 281–287. [Google Scholar] [CrossRef] [PubMed]
- Laufer-Perl, M.; Arnold, J.H.; Mor, L.; Amrami, N.; Derakhshesh, M.; Moshkovits, Y.; Sadeh, B.; Arbel, Y.; Topilsky, Y.; Rozenbaum, Z. The association of reduced global longitudinal strain with cancer therapy-related cardiac dysfunction among patients receiving cancer therapy. Clin. Res. Cardiol. 2020, 109, 255–262. [Google Scholar] [CrossRef] [PubMed]


| Baseline Characteristics | N = 122 |
|---|---|
| Clinical history | |
| Age (years) | 54.7 ± 12.0 |
| Hypertension | 41 (33.6%) |
| Diabetes mellitus | 9 (7.4%) |
| Hypercholesterolemia | 37 (30.3%) |
| Smoking history | 30 (24.6%) |
| Obesity | 20 (17.4%) |
| Body mass index (kg/m2) | 26.7 ± 4.2 |
| Cardiovascular risk factors | |
| None | 40 (32.7%) |
| 1 | 42 (34.4%) |
| ≥2 | 40 (32.7%) |
| Previous medication with ACE inhibitors/ARBs | 30 (24.8%) |
| Previous medication with beta-blocker | 15 (12.4%) |
| Subtypes of breast cancer | |
| ER + HER2- | 20 (16.4%) |
| ER + HER2+ | 56 (45.9%) |
| ER-HER2- | 10 (8.2%) |
| ER-HER2+ | 36 (29.5%) |
| Therapy regimen | |
| Neoadjuvant chemotherapy | 47 (38.5%) |
| Adjuvant chemotherapy | 81 (66.4%) |
| Anthracyclines | 94 (77.0%) |
| Doxorubicin | 60 (49.2%) |
| Epirubicin | 34 (27.9%) |
| Cumulative dose (mg/m2) | 268.6 ± 71.8 |
| Anti-HER2 | 92 (75.4%) |
| Trastuzumab | 91 (74.6%) |
| Pertuzumab | 32 (26.2%) |
| T-DM1 | 14 (11.5%) |
| Cyclophosphamide | 93 (76.9%) |
| Taxane | 114 (93.4%) |
| Anthracyclines and anti-HER2 | 63 (51.6%) |
| Median chemotherapy time (months) | 4.9 (3.5–5.4) |
| Median Anti-HER2 time (months) | 12.6 (11.9–16.7) |
| Chest radiation therapy | 94 (77.0%) |
| Median total dose (Gy) | 50 (50–60) |
| TTE Variable | T0 | T1 | T2 | p-Value (T0 vs. T1) | p-Value (T1 vs. T2) | p-Value (T0 vs. T2) |
|---|---|---|---|---|---|---|
| 2D parameters | ||||||
| LV end-diastolic volume (mL) | 75.1 ± 19.0 | 82.9 ± 20.2 | 78.9 ± 18.6 | 0.005 | 0.122 | 0.137 |
| LV end-systolic volume (mL) | 27.0 ± 10.0 | 32.5 ± 12.2 | 30.5 ± 11.2 | 0.001 | 0.204 | 0.019 |
| LVEF (%) | 64.2 ± 7.6 | 61.1 ± 8.2 | 61.6 ± 8.0 | 0.006 | 0.656 | 0.016 |
| GLS (%) | −19.8 ± 2.7 | −18.5 ± 3.0 | −18.7 ± 3.1 | 0.003 | 0.686 | 0.012 |
| LV stroke volume (mL) | 68.8 ± 15.0 | 70.6 ± 18.6 | 66.1 ± 14.6 | 0.538 | 0.019 | 0.292 |
| LV cardiac output (L/min) | 5.3 ± 1.5 | 5.3 ± 1.4 | 4.9 ± 1.2 | 0.943 | 0.082 | 0.091 |
| LA diameter (mm) | 36.2 ± 4.6 | 33.3 ± 4.9 | 37.0 ± 5.4 | 0.892 | 0.355 | 0.280 |
| LA volume (mL) | 44.4 ± 14.8 | 50.3 ± 14.1 | 48.6 ± 15.1 | 0.007 | 0.424 | 0.049 |
| Transmitral E/A ratio | 1.1 ± 0.4 | 1.0 ± 0.4 | 1.0 ± 0.3 | 0.711 | 0.289 | 0.139 |
| Mitral E/e’ ratio | 8.1 ± 2.5 | 8.3 ± 2.6 | 8.6 ± 2.9 | 0.683 | 0.491 | 0.277 |
| TAPSE (mm) | 22.5 ± 3.7 | 22.5 ± 3.5 | 22.9 ± 4.0 | 0.990 | 0.532 | 0.546 |
| Tricuspid S’ (cm/s) | 12.7 ± 2.6 | 12.4 ± 2.5 | 12.2 ± 2.6 | 0.394 | 0.729 | 0.232 |
| 3D parameters | ||||||
| LV end-diastolic volume (mL) | 81.8 ± 18.5 | 91.4 ± 18.8 | 84,2 ± 18.8 | 0.017 | 0.079 | 0.545 |
| LV end-systolic volume (mL) | 32.8 ± 10.6 | 39.8 ± 11.7 | 34.9 ± 9.8 | 0.005 | 0.046 | 0.332 |
| LVEF (%) | 60.2 ± 6.7 | 56.9 ± 6.3 | 58.7 ± 5.5 | 0.022 | 0.166 | 0.271 |
| Myocardial work indices | ||||||
| GWI (mmHg%) | 1756.9 ± 319.2 | 1614.3 ± 338.5 | 1650.6 ± 357.5 | 0.005 | 0.465 | 0.035 |
| GCW (mmHg%) | 2105.6 ± 352.0 | 1970.5 ± 376.2 | 2013.3 ± 379.3 | 0.015 | 0.427 | 0.086 |
| GWW (mmHg%) | 121.1 ± 66.6 | 161.1 ± 84.1 | 148.0 ± 85.0 | 0.001 | 0.281 | 0.02 |
| GWE (%) | 93.5 ± 3.1 | 91.1 ± 4.5 | 92.0 ± 4.7 | 0.001 | 0.171 | 0.012 |
| Systolic blood pressure (mmHg) | 120.9 ± 14.6 | 120.0 ± 14.4 | 121.8 ± 15.5 | 0.669 | 0.403 | 0.690 |
| MW Indices Reference Values | Limits of Normality | Below at T0 (%) | Below at T1 (%) |
|---|---|---|---|
| GWI (mmHg%) | <1310 | 11.4 | 20.2 |
| GCW (mmHg%) | <1543 | 10.5 | 15.5 |
| GWW (mmHg%) | >278 | 5.7 | 10.7 |
| GWE (%) | <90 | 17.1 | 36.9 |
| TTE Variable | No CTRCD | CTRCD | p-Value |
|---|---|---|---|
| GWI T1-T0 (%) | 1.8 ± 21.6 | −14.2 ± 18.5 | 0.004 |
| GWI T2-T0 (%) | −1.9 ± 19.5 | −14.9 ± 20.6 | 0.010 |
| GCW T1-T0 (%) | −0.7 ± 19.8 | −8.6 ± 17.9 | 0.099 |
| GCW T2-T0 (%) | −3.0 ± 16.9 | −8.4 ± 19.2 | 0.194 |
| GWW T1-T0 (%) | 27.6 ± 76.3 | 64.1 ± 68.0 | 0.057 |
| GWW T2-T0 (%I | −3.1 ± 50.9 | 10.1 ± 62.3 | 0.105 |
| GWE T1-T0 (%) | −1.0 ± 3.0 | −3.6 ± 3.9 | 0.005 |
| GWE T2-T0 (%) | −0.86 ± 3.1 | −3.2 ± 6.7 | 0.053 |
Publisher’s Note: MDPI stays neutral with regard to jurisdictional claims in published maps and institutional affiliations. |
© 2022 by the authors. Licensee MDPI, Basel, Switzerland. This article is an open access article distributed under the terms and conditions of the Creative Commons Attribution (CC BY) license (https://creativecommons.org/licenses/by/4.0/).
Share and Cite
Vaz Ferreira, V.; Mano, T.B.; Cardoso, I.; Coutinho Cruz, M.; Moura Branco, L.; Almeida-Morais, L.; Timóteo, A.; Galrinho, A.; Castelo, A.; Garcia Brás, P.; et al. Myocardial Work Brings New Insights into Left Ventricular Remodelling in Cardio-Oncology Patients. Int. J. Environ. Res. Public Health 2022, 19, 2826. https://doi.org/10.3390/ijerph19052826
Vaz Ferreira V, Mano TB, Cardoso I, Coutinho Cruz M, Moura Branco L, Almeida-Morais L, Timóteo A, Galrinho A, Castelo A, Garcia Brás P, et al. Myocardial Work Brings New Insights into Left Ventricular Remodelling in Cardio-Oncology Patients. International Journal of Environmental Research and Public Health. 2022; 19(5):2826. https://doi.org/10.3390/ijerph19052826
Chicago/Turabian StyleVaz Ferreira, Vera, Tania Branco Mano, Isabel Cardoso, Madalena Coutinho Cruz, Luísa Moura Branco, Luís Almeida-Morais, Ana Timóteo, Ana Galrinho, Alexandra Castelo, Pedro Garcia Brás, and et al. 2022. "Myocardial Work Brings New Insights into Left Ventricular Remodelling in Cardio-Oncology Patients" International Journal of Environmental Research and Public Health 19, no. 5: 2826. https://doi.org/10.3390/ijerph19052826
APA StyleVaz Ferreira, V., Mano, T. B., Cardoso, I., Coutinho Cruz, M., Moura Branco, L., Almeida-Morais, L., Timóteo, A., Galrinho, A., Castelo, A., Garcia Brás, P., Simão, D., Sardinha, M., Gonçalves, A., & Cruz Ferreira, R. (2022). Myocardial Work Brings New Insights into Left Ventricular Remodelling in Cardio-Oncology Patients. International Journal of Environmental Research and Public Health, 19(5), 2826. https://doi.org/10.3390/ijerph19052826

