Characterization of Alginate Utilization Strategy in a Novel Marine Bacteroidetes: Insights from Roseihalotalea indica gen. nov. sp. nov. TK19036T
Abstract
1. Introduction
2. Results
2.1. Analysis of Alginate Utilization in Roseihalotalea indica gen. nov. sp. nov. TK19036T
2.2. Sequence Analysis of RiAlyPL6 and RiAlyPL17
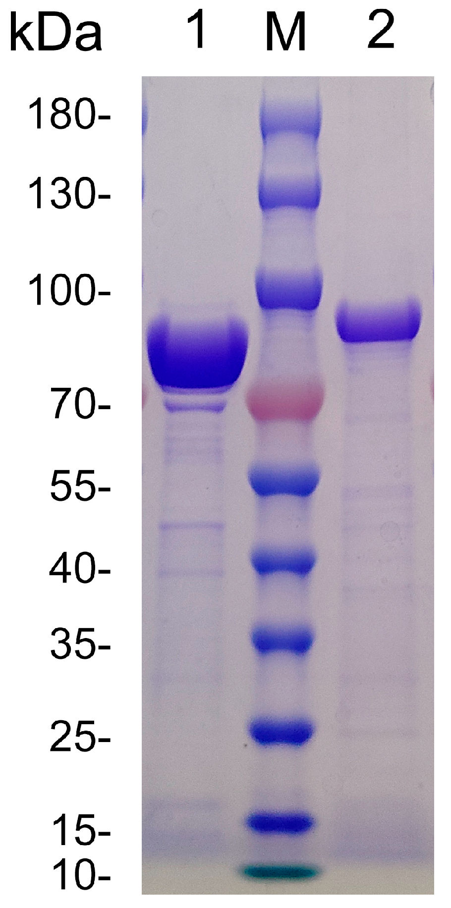
2.3. Recombinant Expression of RiAlyPL6 and RiAlyPL17
2.4. Functional Characterization of RiAlyPL6 and RiAlyPL17
3. Discussion
- (i)
- With the help of the SusC/SusD-like transporter, which is located on the outer membrane and delivered into the periplasm, the produced AOS from other microorganisms is converted into monomers via Oals, RiAlyPL6, and RiAlyPL17, regardless of the M/G ratio. RiAlyPL6 cleaves the GG blocks first via an endo-mode, and then RiAlyPL17 cuts on the MM blocks via an exo-mode, while the MG blocks may be degraded relatively slowly.
- (ii)
- Monomers are transported into the cytoplasm through the MFS transporter, form DEH by KdgF, and are converted into the final product KDPG via multiple downstream enzymes (DehR, KdgK, and KdgA), which are eventually assimilated by the central metabolic cycle.
4. Materials and Methods
4.1. Materials and Strains
4.2. Prediction of Alginate-PUL in Roseihalotalea indica gen. nov. sp. nov. TK19036T
4.3. Sole-Carbon-Source Cultivation of Roseihalotalea indica gen. nov. sp. nov. TK19036T
4.4. Sequence Analysis of Alginate-Lyase-Encoding Gene
4.5. Cloning, Expression, and Purification of RiAlyPL6 and RiAlyPL17
4.6. Enzymatic Activity Assay of RiAlyPL6 and RiAlyPL17
4.7. Biochemical Characterization of RiAlyPL6 and RiAlyPL17
4.8. Analysis of Reaction Pattern and End Products of RiAlyPL6 and RiAlyPL17
5. Conclusions
Author Contributions
Funding
Institutional Review Board Statement
Data Availability Statement
Conflicts of Interest
References
- Fernández-Gómez, B.; Richter, M.; Schüler, M.; Pinhassi, J.; Acinas, S.G.; González, J.M.; Pedrós-Alió, C. Ecology of marine Bacteroidetes: A comparative genomics approach. ISME J. 2013, 7, 1026–1037. [Google Scholar] [CrossRef]
- Lapébie, P.; Lombard, V.; Drula, E.; Terrapon, N.; Henrissat, B. Bacteroidetes use thousands of enzyme combinations to break down glycans. Nat. Commun. 2019, 10, 2043. [Google Scholar] [CrossRef]
- Wang, H.; Zhu, B. Directed preparation of algal oligosaccharides with specific structures by algal polysaccharide degrading enzymes. Int. J. Biol. Macromol. 2024, 277 Pt 1, 134093. [Google Scholar] [CrossRef]
- Lee, K.Y.; Mooney, D.J. Alginate: Properties and biomedical applications. Prog. Polym. Sci. 2012, 37, 106–126. [Google Scholar] [CrossRef]
- He, X.; Zhang, Y.; Wang, X.; Zhu, X.; Chen, L.; Liu, W.; Lyu, Q.; Ran, L.; Cheng, H.; Zhang, X.H. Characterization of Multiple Alginate Lyases in a Highly Efficient Alginate-Degrading Vibrio Strain and Its Degradation Strategy. Appl. Environ. Microbiol. 2022, 88, e0138922. [Google Scholar] [CrossRef]
- Li, Q.; Zheng, L.; Guo, Z.; Tang, T.; Zhu, B. Alginate degrading enzymes: An updated comprehensive review of the structure, catalytic mechanism, modification method and applications of alginate lyases. Crit. Rev. Biotechnol. 2021, 41, 953–968. [Google Scholar] [CrossRef]
- Lombard, V.; Golaconda Ramulu, H.; Drula, E.; Coutinho, P.M.; Henrissat, B. The carbohydrate-active enzymes database (CAZy) in 2013. Nucleic Acids Res. 2014, 42, D490–D495. [Google Scholar] [CrossRef] [PubMed]
- Helbert, W.; Poulet, L.; Drouillard, S.; Mathieu, S.; Loiodice, M.; Couturier, M.; Lombard, V.; Terrapon, N.; Turchetto, J.; Vincentelli, R.; et al. Discovery of novel carbohydrate-active enzymes through the rational exploration of the protein sequences space. Proc. Natl. Acad. Sci. USA 2019, 116, 6063–6068. [Google Scholar] [CrossRef]
- Sun, X.K.; Gong, Y.; Shang, D.D.; Liu, B.T.; Du, Z.J.; Chen, G.J. Degradation of Alginate by a Newly Isolated Marine Bacterium Agarivorans sp. B2Z047. Mar. Drugs 2022, 20, 254. [Google Scholar] [CrossRef] [PubMed]
- Zhang, L.; Li, X.; Zhang, X.; Li, Y.; Wang, L. Bacterial alginate metabolism: An important pathway for bioconversion of brown algae. Biotechnol. Biofuels 2021, 14, 158. [Google Scholar] [CrossRef] [PubMed]
- Hobbs, J.K.; Lee, S.M.; Robb, M.; Hof, F.; Barr, C.; Abe, K.T.; Hehemann, J.H.; McLean, R.; Abbott, D.W.; Boraston, A.B. KdgF, the missing link in the microbial metabolism of uronate sugars from pectin and alginate. Proc. Natl. Acad. Sci. USA 2016, 113, 6188–6193. [Google Scholar] [CrossRef]
- Maruyama, Y.; Hashimoto, W.; Murata, K. Structural studies on bacterial system used in the recognition and uptake of the macromolecule alginate. Biosci. Biotechnol. Biochem. 2019, 83, 794–802. [Google Scholar] [CrossRef]
- Chen, B.; Zhang, M.; Lin, D.; Ye, J.; Tang, K. Roseihalotalea indica gen. nov., sp. nov., a halophilic Bacteroidetes from mesopelagic Southwest Indian Ocean with higher carbohydrate metabolic potential. Antonie Van Leeuwenhoek 2024, 117, 66. [Google Scholar] [CrossRef]
- Chen, B.; Liu, G.; Chen, Q.; Wang, H.; Liu, L.; Tang, K. Discovery of a novel marine Bacteroidetes with a rich repertoire of carbohydrate-active enzymes. Comput. Struct. Biotechnol. J. 2024, 23, 406–416. [Google Scholar] [CrossRef] [PubMed]
- Xu, F.; Wang, P.; Zhang, Y.Z.; Chen, X.L. Diversity of Three-Dimensional Structures and Catalytic Mechanisms of Alginate Lyases. Appl. Environ. Microbiol. 2018, 84, e02040-17. [Google Scholar] [CrossRef] [PubMed]
- Hehemann, J.H.; Arevalo, P.; Datta, M.S.; Yu, X.; Corzett, C.H.; Henschel, A.; Preheim, S.P.; Timberlake, S.; Alm, E.J.; Polz, M.F. Adaptive radiation by waves of gene transfer leads to fine-scale resource partitioning in marine microbes. Nat. Commun. 2016, 7, 12860. [Google Scholar] [CrossRef] [PubMed]
- Reintjes, G.; Arnosti, C.; Fuchs, B.; Amann, R. Selfish, sharing and scavenging bacteria in the Atlantic Ocean: A biogeographical study of bacterial substrate utilisation. ISME J. 2019, 13, 1119–1132. [Google Scholar] [CrossRef]
- Reintjes, G.; Arnosti, C.; Fuchs, B.M.; Amann, R. An alternative polysaccharide uptake mechanism of marine bacteria. ISME J. 2017, 11, 1640–1650. [Google Scholar] [CrossRef]
- Fu, Z.; Zhang, F.; Wang, H.; Tang, L.; Yu, W.; Han, F. A “Pro-Asp-Thr” Amino Acid Repeat from Vibrio sp. QY108 Alginate Lyase Exhibits Alginate-Binding Capacity and Enhanced Soluble Expression and Thermostability. Int. J. Mol. Sci. 2024, 25, 5801. [Google Scholar] [CrossRef]
- Brettin, T.; Davis, J.J.; Disz, T.; Edwards, R.A.; Gerdes, S.; Olsen, G.J.; Olson, R.; Overbeek, R.; Parrello, B.; Pusch, G.D.; et al. RASTtk: A modular and extensible implementation of the RAST algorithm for building custom annotation pipelines and annotating batches of genomes. Sci. Rep. 2015, 5, 8365. [Google Scholar] [CrossRef]
- Mistry, J.; Chuguransky, S.; Williams, L.; Qureshi, M.; Salazar, G.A.; Sonnhammer, E.L.L.; Tosatto, S.C.E.; Paladin, L.; Raj, S.; Richardson, L.J.; et al. Pfam: The protein families database in 2021. Nucleic Acids Res. 2021, 49, D412–D419. [Google Scholar] [CrossRef]
- Zheng, J.; Ge, Q.; Yan, Y.; Zhang, X.; Huang, L.; Yin, Y. dbCAN3: Automated carbohydrate-active enzyme and substrate annotation. Nucleic Acids Res. 2023, 51, W115–W121. [Google Scholar] [CrossRef] [PubMed]
- Nielsen, H.; Teufel, F.; Brunak, S.; von Heijne, G. SignalP: The Evolution of a Web Server. In Protein Bioinformatics; Lisacek, F., Ed.; Springer: New York, NY, USA, 2024; pp. 331–367. [Google Scholar]
- Yu, N.Y.; Wagner, J.R.; Laird, M.R.; Melli, G.; Rey, S.; Lo, R.; Dao, P.; Sahinalp, S.C.; Ester, M.; Foster, L.J.; et al. PSORTb 3.0: Improved protein subcellular localization prediction with refined localization subcategories and predictive capabilities for all prokaryotes. Bioinformatics 2010, 26, 1608–1615. [Google Scholar] [CrossRef] [PubMed]
- Wang, J.; Chitsaz, F.; Derbyshire, M.K.; Gonzales, N.R.; Gwadz, M.; Lu, S.; Marchler, G.H.; Song, J.S.; Thanki, N.; Yamashita, R.A.; et al. The conserved domain database in 2023. Nucleic Acids Res. 2023, 51, D384–D388. [Google Scholar] [CrossRef] [PubMed]
- Sievers, F.; Higgins, D.G. Clustal omega. Curr. Protoc. Bioinform. 2014, 48, 3–13. [Google Scholar] [CrossRef]
- Robert, X.; Gouet, P. Deciphering key features in protein structures with the new ENDscript server. Nucleic Acids Res. 2014, 42, W320–W324. [Google Scholar] [CrossRef]
- Kumar, S.; Stecher, G.; Li, M.; Knyaz, C.; Tamura, K. MEGA X: Molecular Evolutionary Genetics Analysis across Computing Platforms. Mol. Biol. Evol. 2018, 35, 1547–1549. [Google Scholar] [CrossRef]
- Iwamoto, Y.; Araki, R.; Iriyama, K.; Oda, T.; Fukuda, H.; Hayashida, S.; Muramatsu, T. Purification and characterization of bifunctional alginate lyase from Alteromonas sp. strain no. 272 and its action on saturated oligomeric substrates. Biosci. Biotechnol. Biochem. 2001, 65, 133–142. [Google Scholar] [CrossRef]
- Cao, S.; Li, L.; Li, Q.; Jiang, L.; Zhu, B.; Yao, Z. A novel alginate lyase and its domain functions for the preparation of unsaturated monosaccharides. Appl. Microbiol. Biotechnol. 2023, 107, 1737–1749. [Google Scholar] [CrossRef]
- Li, L.; Cao, S.; Zhu, B.; Yao, Z.; Zhu, B.; Qin, Y.; Jiang, J. Efficient Degradation of Alginate and Preparation of Alginate Oligosaccharides by a Novel Biofunctional Alginate Lyase with High Activity and Excellent Thermophilic Features. Mar. Drugs 2023, 21, 180. [Google Scholar] [CrossRef]









| Sample | Total Protein (mg) | Total Activity (U) | Specific Activity (U/mg) | Fold | Recovery (%) | |
|---|---|---|---|---|---|---|
| RiAlyPL6 | Crude enzyme | 393.50 | 22.70 | 0.58 | 1.00 | 100 |
| Affinity chromatography | 53.24 | 12.56 | 1.18 | 2.05 | 53.30 | |
| RiAlyPL17 | Crude enzyme | 331.95 | 48.68 | 0.147 | 1.00 | 100 |
| Affinity chromatography | 84.86 | 20.74 | 0.233 | 1.59 | 42.60 | |
| Primers | Sequence (5′ to 3′) | Usage |
|---|---|---|
| RiAlyPL6-F | gtgccgcgcggcagccatatgGATAGTGCCGGCCCCAAT | Expression of RiAlyPL6 |
| RiAlyPL6-R | gtggtggtggtggtgctcgagATCGCTTATAACTTTAACATCTTCTTTATCA | Expression of RiAlyPL6 |
| RiAlyPL17-F | gtgccgcgcggcagccatatgCAGGTGCACCCCAACCTTATT | Expression of RiAlyPL17 |
| RiAlyPL17-R | gtggtggtggtggtgctcgagTTTCTGTCCATTGTCCTTGTGTTT | Expression of RiAlyPL17 |
Disclaimer/Publisher’s Note: The statements, opinions and data contained in all publications are solely those of the individual author(s) and contributor(s) and not of MDPI and/or the editor(s). MDPI and/or the editor(s) disclaim responsibility for any injury to people or property resulting from any ideas, methods, instructions or products referred to in the content. |
© 2025 by the authors. Licensee MDPI, Basel, Switzerland. This article is an open access article distributed under the terms and conditions of the Creative Commons Attribution (CC BY) license (https://creativecommons.org/licenses/by/4.0/).
Share and Cite
Fu, Z.; You, S.; Wu, D.; Zeng, R.; Tang, K.; Chan, Z. Characterization of Alginate Utilization Strategy in a Novel Marine Bacteroidetes: Insights from Roseihalotalea indica gen. nov. sp. nov. TK19036T. Mar. Drugs 2025, 23, 334. https://doi.org/10.3390/md23090334
Fu Z, You S, Wu D, Zeng R, Tang K, Chan Z. Characterization of Alginate Utilization Strategy in a Novel Marine Bacteroidetes: Insights from Roseihalotalea indica gen. nov. sp. nov. TK19036T. Marine Drugs. 2025; 23(9):334. https://doi.org/10.3390/md23090334
Chicago/Turabian StyleFu, Zheng, Shunqin You, Defang Wu, Runying Zeng, Kai Tang, and Zhuhua Chan. 2025. "Characterization of Alginate Utilization Strategy in a Novel Marine Bacteroidetes: Insights from Roseihalotalea indica gen. nov. sp. nov. TK19036T" Marine Drugs 23, no. 9: 334. https://doi.org/10.3390/md23090334
APA StyleFu, Z., You, S., Wu, D., Zeng, R., Tang, K., & Chan, Z. (2025). Characterization of Alginate Utilization Strategy in a Novel Marine Bacteroidetes: Insights from Roseihalotalea indica gen. nov. sp. nov. TK19036T. Marine Drugs, 23(9), 334. https://doi.org/10.3390/md23090334

