Development of Automatic Method for Glucose Detection Based on Platinum Octaethylporphyrin Sol–Gel Film with Long-Term Stability
Abstract
1. Introduction
2. Materials and Methods
2.1. Reagents and Materials
2.2. Sample Preparation
2.3. Instruments and Characterization
3. Results and Discussion
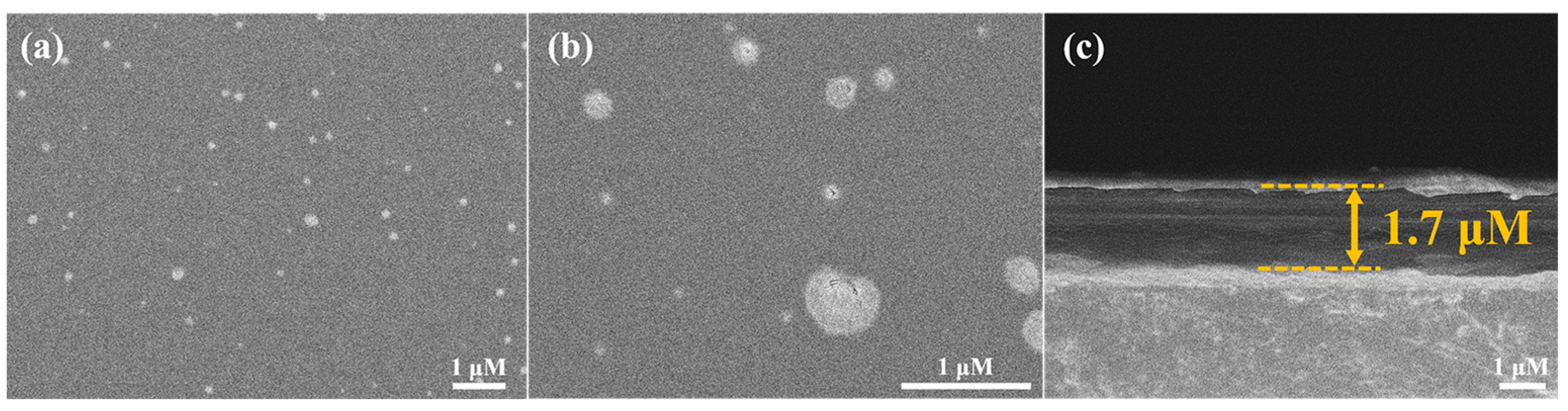
3.1. Morphology and Contact Angle of the Pt/TE-MTS Film
3.2. Optical Properties of the Pt/TE-MTS Film
3.3. The Theoretical Relationship Between OP and GC
3.4. The Relationship Between OP and GC Based on Pt/TE-MTS Film
3.5. Equilibrium Time for the Pt/TE-MTS Film
3.6. Photobleaching Resistance of the Pt/TE-MTS Film
3.7. Effect of Interfering Ions and pH on Pt/TE-MTS Film
3.8. Stability of the Pt/TE-MTS Film
3.9. Glucose Sensing System
3.10. Application of Glucose Sensing System Based on Pt/TE-MTS Film
4. Conclusions
Author Contributions
Funding
Institutional Review Board Statement
Informed Consent Statement
Data Availability Statement
Conflicts of Interest
References
- Saha, T.; Del Cano, R.; Mahato, K.; De la Paz, E.; Chen, C.; Ding, S.; Yin, L.; Wang, J. Wearable Electrochemical Glucose Sensors in Diabetes Management: A Comprehensive Review. Chem. Rev. 2023, 123, 7854–7889. [Google Scholar] [CrossRef] [PubMed]
- Wang, T.Y.; Xu, Z.Q.; Wen, M.Y.; Li, N.; Zhang, L.B.; Xue, Y.M.; Shang, L. Multifunctional gold clusterzymes with distinct glucose depletion and macrophage reprogramming capability towards regulating the regeneration cascade. Chem. Eng. J. 2024, 482, 149068. [Google Scholar] [CrossRef]
- Xue, B.Y.; Yang, Q.; Xia, K.D.; Li, Z.H.; Chen, G.Y.; Zhang, D.Y.; Zhou, X.H. An AuNPs/Mesoporous NiO/Nickel Foam Nanocomposite as a Miniaturized Electrode for Heavy Metal Detection in Groundwater. Engineering 2023, 27, 199–208. [Google Scholar] [CrossRef]
- Passanisi, S.; Piona, C.; Salzano, G.; Marigliano, M.; Bombaci, B.; Morandi, A.; Alibrandi, A.; Maffeis, C.; Lombardo, F. Aiming for the Best Glycemic Control Beyond Time in Range: Time in Tight Range as a New Continuous Glucose Monitoring Metric in Children and Adolescents with Type 1 Diabetes Using Different Treatment Modalities. Diabetes Technol. Ther. 2024, 26, 161–166. [Google Scholar] [CrossRef]
- Bu, F.; Gao, Y.; Zhao, W.B.; Cao, Q.H.; Deng, Y.F.; Chen, J.P.; Pu, J.; Yang, J.Y.; Wang, Y.X.; Yang, N.T.; et al. Bio-Inspired Trace Hydroxyl-Rich Electrolyte Additives for High-Rate and Stable Zn-Ion Batteries at Low Temperatures. Angew. Chem.-Int. Edit. 2024, 63, e202318496. [Google Scholar] [CrossRef] [PubMed]
- Li, Q.-F.; Chen, X.; Wang, H.; Liu, M.; Peng, H.-L. Pt/MXene-Based Flexible Wearable Non-Enzymatic Electrochemical Sensor for Continuous Glucose Detection in Sweat. ACS Appl. Mater. Interfaces 2023, 15, 13290–13298. [Google Scholar] [CrossRef] [PubMed]
- Luo, D.; Sun, H.; Li, Q.; Niu, X.; He, Y.; Liu, H. Flexible Sweat Sensors: From Films to Textiles. ACS Sens. 2023, 8, 465–481. [Google Scholar] [CrossRef]
- Min, J.; Demchyshyn, S.; Sempionatto, J.R.; Song, Y.; Hailegnaw, B.; Xu, C.; Yang, Y.; Solomon, S.; Putz, C.; Lehner, L.E.; et al. An autonomous wearable biosensor powered by a perovskite solar cell. Nat. Electron. 2023, 6, 465–481. [Google Scholar] [CrossRef] [PubMed]
- Zhang, S.; Zhao, W.J.; Liu, C.; Zeng, J.Y.; He, Z.T.; Wang, C.E.; Yuan, W.Y.; Wang, Q.Q. Flower-like CoO nanowire-decorated Ni foam: A non-invasive electrochemical biosensor for glucose detection in human saliva. Appl. Mater. Today 2024, 36, 102083. [Google Scholar] [CrossRef]
- Kim, J.; Campbell, A.S.; de Avila, B.E.F.; Wang, J. Wearable biosensors for healthcare monitoring. Nat. Biotechnol. 2019, 37, 389–406. [Google Scholar] [CrossRef] [PubMed]
- Dong, S.M.; Dong, Y.S.; Liu, B.; Liu, J.; Liu, S.K.; Zhao, Z.Y.; Li, W.T.; Tian, B.S.; Zhao, R.X.; He, F.; et al. Guiding Transition Metal-Doped Hollow Cerium Tandem Nanozymes with Elaborately Regulated Multi-Enzymatic Activities for Intensive Chemodynamic Therapy. Adv. Mater. 2022, 34, 2107054. [Google Scholar] [CrossRef]
- González, P.; Lozano, P.; Ros, G.; Solano, F. Hyperglycemia and Oxidative Stress: An Integral, Updated and Critical Overview of Their Metabolic Interconnections. Int. J. Mol. Sci. 2023, 24, 9352. [Google Scholar] [CrossRef]
- Chadha, U.; Bhardwaj, P.; Agarwal, R.; Rawat, P.; Agarwal, R.; Gupta, I.; Panjwani, M.; Singh, S.; Ahuja, C.; Selvaraj, S.K.; et al. Recent progress and growth in biosensors technology: A critical review. J. Ind. Eng. Chem. 2022, 109, 21–51. [Google Scholar] [CrossRef]
- Shi, J.Y.; Liu, S.Y.; Li, P.Y.; Lin, Y.; Luo, H.; Wu, Y.Y.; Yan, J.; Huang, K.J.; Tan, X.C. Self-powered dual-mode sensing strategy based on graphdiyne and DNA nanoring for sensitive detection of tumor biomarker. Biosens. Bioelectron. 2023, 237, 115557. [Google Scholar] [CrossRef] [PubMed]
- Tang, J.Q.; Liang, Z.Z.; Qin, H.A.; Liu, X.Q.; Zhai, B.B.; Su, Z.; Liu, Q.Q.; Lei, H.T.; Liu, K.Q.; Zhao, C.; et al. Large-area Free-standing Metalloporphyrin-based Covalent Organic Framework Films by Liquid-air Interfacial Polymerization for Oxygen Electrocatalysis. Angew. Chem.-Int. Edit. 2023, 62, e202214449. [Google Scholar]
- Zhang, H.L.; Zhang, Z.G. Ratiometric Sensor Based on PtOEP-C6/Poly (St-TFEMA) Film for Automatic Dissolved Oxygen Content Detection. Sensors 2020, 20, 6175. [Google Scholar] [CrossRef]
- Huang, Y.J.; Ning, L.J.; Zhang, X.M.; Zhou, Q.; Gong, Q.Y.; Zhang, Q.C. Stimuli-fluorochromic smart organic materials. Chem. Soc. Rev. 2024, 53, 1090–1166. [Google Scholar] [CrossRef]
- Zhang, X.Y.; Wang, Y.D.; Zhang, Z.G. Study on temperature-dependent thermal population and non-radiative relaxation process of the triplet states in Platinum(II) octaethylporphyrin. J. Lumines. 2024, 267, 120349. [Google Scholar] [CrossRef]
- Cui, X.M.; Ruan, Q.F.; Zhu, X.L.; Xia, X.Y.; Hu, J.T.; Fu, R.F.; Li, Y.; Wang, J.F.; Xu, H.X. Photothermal Nanomaterials: A Powerful Light-to-Heat Converter. Chem. Rev. 2023, 123, 6891–6952. [Google Scholar] [CrossRef] [PubMed]
- Liang, L.L.; Chen, J.Y.; Shao, K.; Qin, X.; Pan, Z.F.; Liu, X.G. Controlling persistent luminescence in nanocrystalline phosphors. Nat. Mater. 2023, 22, 289–304. [Google Scholar] [CrossRef] [PubMed]
- Peng, M.K.; Tang, X.N.; Xiao, K.; Hu, T.; Yuan, K.; Chen, Y.W. Polycation-Regulated Electrolyte and Interfacial Electric Fields for Stable Zinc Metal Batteries. Angew. Chem.-Int. Edit. 2023, 135, e202302701. [Google Scholar]
- Xie, Z.H.; He, C.S.; Pei, D.N.; Dong, Y.D.; Yang, S.R.; Xiong, Z.K.; Zhou, P.; Pan, Z.C.; Yao, G.; Lai, B. Review of characteristics, generation pathways and detection methods of singlet oxygen generated in advanced oxidation processes (AOPs). Chem. Eng. J. 2023, 468, 143778. [Google Scholar] [CrossRef]
- Harish, V.; Ansari, M.M.; Tewari, D.; Yadav, A.B.; Sharma, N.; Bawarig, S.; García-Betancourt, M.L.; Karatutlu, A.; Bechelany, M.; Barhoum, A. Cutting-edge advances in tailoring size, shape, and functionality of nanoparticles and nanostructures: A review. J. Taiwan Inst. Chem. Eng. 2023, 149, 105010. [Google Scholar] [CrossRef]
- Sun, L.F.; Zhou, Z.H.; Wu, Y.M.; Meng, Z.Y.; Huang, H.; Li, T.; Wang, Z.L.; Yang, Y.Q. A novel colormetric and light-up fluorescent sensor from flavonol derivative grafted cellulose for rapid and sensitive detection of Hg 2+and its applications in biological and environmental system. Int. J. Biol. Macromol. 2024, 266, 131209. [Google Scholar] [CrossRef] [PubMed]
- Xiong, S.; Xiong, Y.; Wang, D.; Pan, Y.; Chen, K.; Zhao, Z.; Wang, D.; Tang, B.Z. Achieving Tunable Organic Afterglow and UV-Irradiation-Responsive Ultralong Room-Temperature Phosphorescence from Pyridine-Substituted Triphenylamine Derivatives. Adv. Mater. 2023, 35, e2301874. [Google Scholar] [CrossRef] [PubMed]
- Zhang, H.H.; Wang, X.; Liao, Q.; Xu, Z.Z.; Li, H.Y.; Zheng, L.M.; Fu, H.B. Embedding Perovskite Nanocrystals into a Polymer Matrix for Tunable Luminescence Probes in Cell Imaging. Adv. Funct. Mater. 2017, 27, 1604382. [Google Scholar] [CrossRef]
- Qi, Y.; Song, L.; Ouyang, S.; Liang, X.; Ning, S.; Zhang, Q.; Ye, J. Photoinduced Defect Engineering: Enhanced Photothermal Catalytic Performance of 2D Black In2O3-x Nanosheets with Bifunctional Oxygen Vacancies. Adv. Mater. 2020, 32, 1903915. [Google Scholar] [CrossRef] [PubMed]
- Liu, Q.; Zhu, W.J.; Kong, Y.; Chu, C.; Shen, X.D. New insights into the resistance of hydrophobic silica aerogel composite to water, moisture, temperature and heat-stress coupling. Ceram. Int. 2024, 50, 38189–38199. [Google Scholar] [CrossRef]
- Wang, Y.D.; Qin, F.; Zhang, H.L.; Kou, M.; Zhang, Z.G. A high-performance optical trace oxygen sensor based on the room-temperature phosphorescence from palladium (II) octaethylporphyrin. Measurement 2023, 206, 112275. [Google Scholar] [CrossRef]
- Jiang, Y.; Lian, J.S.; Jiang, Z.H.; Li, Y.C.; Wen, C. Thermodynamic analysis on wetting states and wetting state transitions of rough surfaces. Adv. Colloid Interface Sci. 2020, 278, 102136. [Google Scholar] [CrossRef]
- Gan, N.; Yao, X.L.; Su, B.; Cui, X.W. Study on the dynamic behaviors of a near wall ventilated bubble using OpenFOAM. Ocean Eng. 2022, 257, 111650. [Google Scholar] [CrossRef]
- Xu, P.J.; Wen, C.C.; Gao, C.J.; Liu, H.H.; Li, Y.S.; Guo, X.L.; Shen, X.C.; Liang, H. Near-Infrared-II-Activatable Self-Assembled Manganese Porphyrin-Gold Heterostructures for Photoacoustic Imaging-Guided Sonodynamic-Augmented Photothermal/Photodynamic Therapy. ACS Nano 2023, 18, 713–727. [Google Scholar] [CrossRef]
- Yella, A.; Mai, C.L.; Zakeeruddin, S.M.; Chang, S.N.; Hsieh, C.H.; Yeh, C.Y.; Grätzel, M. Molecular Engineering of Push-Pull Porphyrin Dyes for Highly Efficient Dye-Sensitized Solar Cells: The Role of Benzene Spacers. Angew. Chem.-Int. Edit. 2014, 53, 2973–2977. [Google Scholar] [CrossRef] [PubMed]
- Imahori, H.; Umeyama, T.; Ito, S. Large π-Aromatic Molecules as Potential Sensitizers for Highly Efficient Dye-Sensitized Solar Cells. Accounts Chem. Res. 2009, 42, 1809–1818. [Google Scholar] [CrossRef]
- Zhao, Z.N.; Yan, S.K.; Ren, Z.J. Regulating the Nature of Triplet Excited States of Thermally Activated Delayed Fluorescence Emitters. Accounts Chem. Res. 2023, 56, 1942–1952. [Google Scholar] [CrossRef]
- Gehlen, M.H. The centenary of the Stern-Volmer equation of fluorescence quenching: From the single line plot to the SV quenching map. Photochem. Photobiol. C-Photochem. Rev. 2020, 42, 100338. [Google Scholar] [CrossRef]
- Tong, P.H.; Wang, J.J.; Hu, X.L.; James, T.D.; He, X.P. Metal-organic framework (MOF) hybridized gold nanoparticles as a bifunctional nanozyme for glucose sensing. Chem. Sci. 2023, 14, 7762–7769. [Google Scholar] [CrossRef] [PubMed]
- Hao, R.; Zhang, G.W.; Zhang, J.H.; Zeng, L.Y. Ultrasmall Au/Pt-loaded biocompatible albumin nanospheres to enhance photodynamic/catalytic therapy via triple amplification of glucose-oxidase/catalase/peroxidase. J. Colloid Interface Sci. 2024, 654, 212–223. [Google Scholar] [CrossRef] [PubMed]
- Valdés-Ramírez, G.; Galicia, L. Glucose Oxidase Captured into Electropolymerized p-Coumaric Acid towards the Development of a Glucose Biosensor. Chemosensors 2023, 11, 345. [Google Scholar] [CrossRef]
- Pan, Z.B.; Wang, Y.C.; Chakkaradhari, G.; Zhu, J.F.; He, R.Y.; Liu, Y.C.; Hsu, C.H.; Koshevoy, I.O.; Chou, P.T.; Pan, S.W.; et al. A silver metal complex as a luminescent probe for enzymatic sensing of glucose in blood plasma and urine. Dalton Trans. 2018, 47, 8346–8355. [Google Scholar] [CrossRef] [PubMed]
- Melendo, I.; Camacho-Aguayo, J.; Paziresh, S.; Fuertes, S.; Martín, A.; de Marcos, S.; Galbán, J.; Sicilia, V. A cyclometalated N-heterocyclic carbene and acetylacetonate ligands in a phosphorescent Pt(II) dye for sensing glucose. Dye. Pigment. 2023, 219, 111630. [Google Scholar] [CrossRef]
- Duong, H.D.; Rhee, J.I. Ratiometric Fluorescent Biosensors for Glucose and Lactate Using an Oxygen-Sensing Membrane. Biosensors 2021, 11, 208. [Google Scholar] [CrossRef] [PubMed]
- Hlaing, T.T.; Hummel, J.P.; Montgomery, R. Some studies of glucose oxidase. Arch. Biochem. Biophys. 1961, 93, 321–327. [Google Scholar] [CrossRef]














| [G] of Samples (μM) | OP Value | Tested [G] (μM) | Errors (%) |
|---|---|---|---|
| 100 | 0.91 | 98 | 2.3 |
| 250 | 0.79 | 256 | 2.7 |
| 400 | 0.68 | 407 | 1.9 |
| 550 | 0.58 | 538 | 2.5 |
| 700 | 0.47 | 695 | 2.8 |
Disclaimer/Publisher’s Note: The statements, opinions and data contained in all publications are solely those of the individual author(s) and contributor(s) and not of MDPI and/or the editor(s). MDPI and/or the editor(s) disclaim responsibility for any injury to people or property resulting from any ideas, methods, instructions or products referred to in the content. |
© 2024 by the authors. Licensee MDPI, Basel, Switzerland. This article is an open access article distributed under the terms and conditions of the Creative Commons Attribution (CC BY) license (https://creativecommons.org/licenses/by/4.0/).
Share and Cite
Niu, Y.; Wang, Y.; Li, L.; Zhang, X.; Liu, T. Development of Automatic Method for Glucose Detection Based on Platinum Octaethylporphyrin Sol–Gel Film with Long-Term Stability. Sensors 2025, 25, 186. https://doi.org/10.3390/s25010186
Niu Y, Wang Y, Li L, Zhang X, Liu T. Development of Automatic Method for Glucose Detection Based on Platinum Octaethylporphyrin Sol–Gel Film with Long-Term Stability. Sensors. 2025; 25(1):186. https://doi.org/10.3390/s25010186
Chicago/Turabian StyleNiu, Yujie, Yongda Wang, Lu Li, Xiyu Zhang, and Ting Liu. 2025. "Development of Automatic Method for Glucose Detection Based on Platinum Octaethylporphyrin Sol–Gel Film with Long-Term Stability" Sensors 25, no. 1: 186. https://doi.org/10.3390/s25010186
APA StyleNiu, Y., Wang, Y., Li, L., Zhang, X., & Liu, T. (2025). Development of Automatic Method for Glucose Detection Based on Platinum Octaethylporphyrin Sol–Gel Film with Long-Term Stability. Sensors, 25(1), 186. https://doi.org/10.3390/s25010186
