Differential Diagnosis of Cysts and Granulomas Supported by Texture Analysis of Intraoral Radiographs
Abstract
:1. Introduction
2. Materials and Methods
2.1. Ethics Approval and Consent to Participate
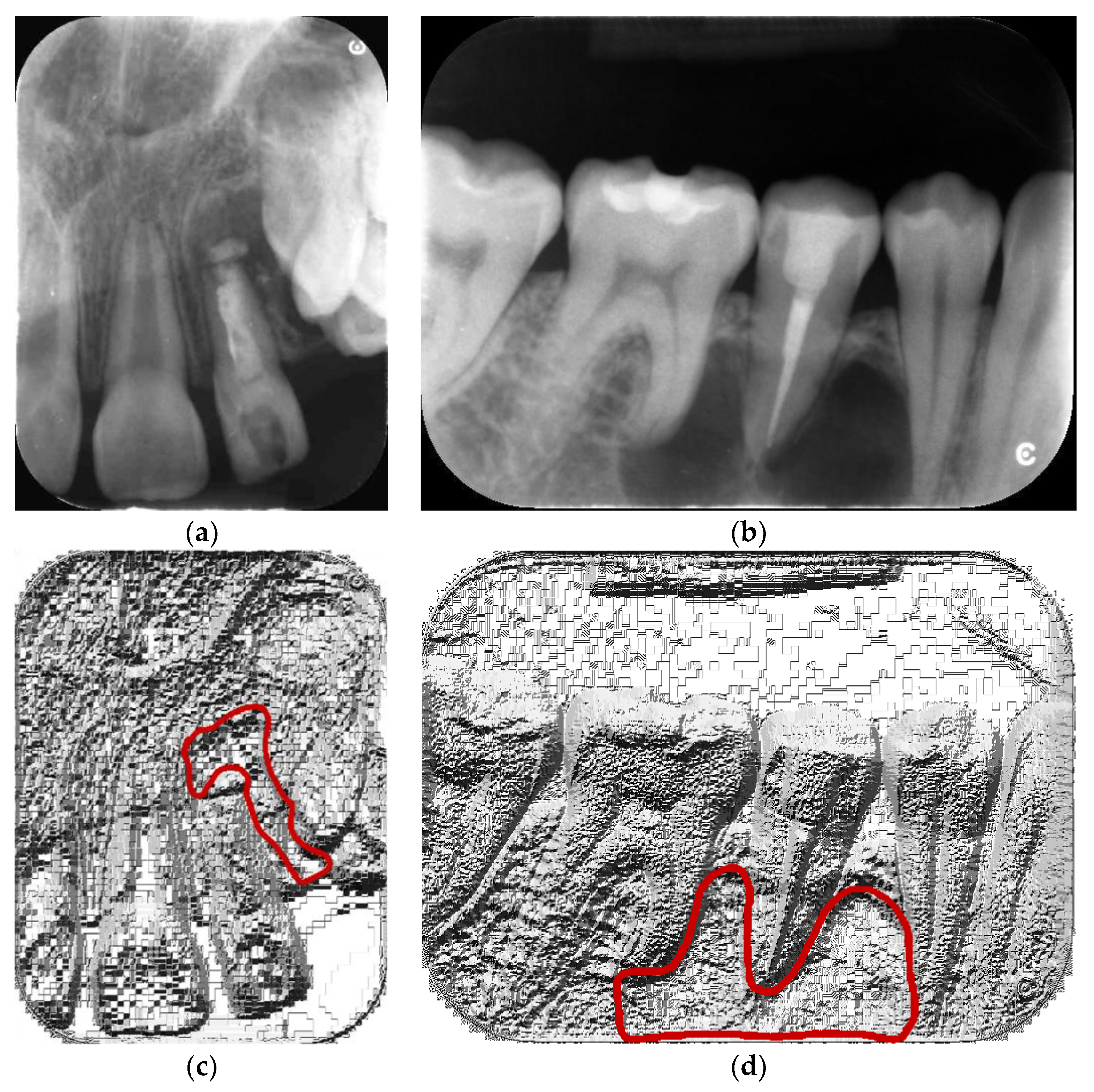
2.2. Image Database
2.3. Image Processing Techniques
2.3.1. First Order Features
2.3.2. Second Order Features
2.3.3. Run Length Matrix
2.3.4. Grey-Tone Difference Matrix
2.3.5. Local Binary Patterns
2.4. Statistics
3. Results
4. Discussion
5. Conclusions
Author Contributions
Funding
Institutional Review Board Statement
Informed Consent Statement
Data Availability Statement
Conflicts of Interest
References
- Nair, P.R.; Schroeder, G.P.H.E. Types and incidence of human periapical lesions obtained with extracted teeth. Oral Surg. Oral Med. Oral Pathol. Oral Radiol. Endodontol. 1996, 81, 93–102. [Google Scholar] [CrossRef]
- Bender, I.B. Factors influencing the radiographic appearance of bony lesions. J. Endod. 1997, 23, 5–14. [Google Scholar] [CrossRef]
- Bender, I.; Seltzer, S. Roentgenographic and direct observation of experimental lesions in bone: I. J. Am. Dent. Assoc. 1961, 62, 152–160. [Google Scholar] [CrossRef]
- Friedman, S.; Abitbol, S.; Lawrence, H.P. Treatment Outcome in Endodontics: The Toronto Study. Phase 1: Initial Treatment. J. Endod. 2003, 29, 787–793. [Google Scholar] [CrossRef] [PubMed]
- Natkin, E.; Oswald, R.J.; Carnes, L.I. The relationship of lesion size to diagnosis, incidence, and treatment of periapical cysts and granulomas. Oral Surg. Oral Med. Oral Pathol. 1984, 57, 82–94. [Google Scholar] [CrossRef]
- Shrout, M.K.; Hall, J.; Hildebolt, C.E. Differentiation of periapical granulomas and radicular cysts by digital radiometric analysis. Oral Surg. Oral Med. Oral Pathol. 1993, 76, 356–361. [Google Scholar] [CrossRef]
- Patel, S.; Dawood, A.; Whaites, E.; Pitt Ford, T. New dimensions in endodontic imaging part 1 conventional and alternative radiographic systems. Int. Endod. J. 2009, 42, 447–462. [Google Scholar] [CrossRef]
- Myciński, P.; Dobroś, K.; Kaczmarzyk, T.; Zarzecka, J. Assessment of conformity between clinical (radiological) and histopathological diagnoses of chronic inflammatory periapical lesions treated with apicoectomy. Clinical and histopathological diagnoses of periapical lesions. Research article. Folia Med. Cracov. 2020, 60, 103–111. [Google Scholar] [PubMed]
- Patel, S.; Dawood, A.; Whaites, E.; Pitt Ford, T. Detection of periapical bone defects in human jaws using cone beam computed tomography and intraoral radiography. Int. Endod. J. 2009, 42, 507–515. [Google Scholar] [CrossRef] [PubMed]
- Huumonen, S.; Ørstavik, D. Radiological aspects of apical periodontitis. Endod. Top. 2002, 1, 3–25. [Google Scholar] [CrossRef]
- Velvart, P.; Hecker, H.; Tillinger, G. Detection of the apical lesion and the mandibular canal in conventional radiography and computed tomography. Oral Surg. Oral Med. Oral Pathol. Oral Radiol. Endodontol. 2001, 92, 682–688. [Google Scholar] [CrossRef]
- Grondahl, H.-G.; Huumonen, S. Radiographic manifestations of periapical inflammatory lesions. How new radiological techniques may improve endodontic diagnosis and treatment planning. Endod. Top. 2004, 8, 55–67. [Google Scholar] [CrossRef]
- De Paula-Silva, F.W.G.; Wu, M.-K.; Leonardo, M.R.; da Silva, L.A.B.; Wesselink, P.R. Accuracy of periapical radiography and cone-beam computed tomography scans in diagnosing apical periodontitis using histopathological findings as a gold standard. J. Endod. 2009, 35, 1009–10012. [Google Scholar] [CrossRef]
- Becconsall-Ryan, K.; Tong, D.; Love, R.M. Radiolucent inflammatory jaw lesions: A twenty-year analysis. Int. Endod. J. 2010, 43, 859–865. [Google Scholar] [CrossRef]
- Campello, A.F.; Gonçalves, L.S.; Guedes, F.R.; Marques, F.V. Cone-beam computed tomography versus digital periapical radiography in the detection of artificially created periapical lesions: A pilot study of the diagnostic accuracy of endodontists using both techniques. Imaging Sci. Dent. 2017, 47, 25–31. [Google Scholar] [CrossRef] [Green Version]
- Ball, R.L.; Barbizam, J.V.; Cohenca, N. Intraoperative Endodontic Applications of Cone-Beam Computed Tomography. J. Endod. 2013, 39, 548–557. [Google Scholar] [CrossRef] [PubMed]
- Iwaszenko, S.; Munk, J.; Baron, S.; Smoliński, A. New Method for Analysis of the Temporomandibular Joint Using Cone Beam Computed Tomography. Sensors 2021, 21, 3070. [Google Scholar] [CrossRef]
- Lin, P.L.; Huang, P.W.; Huang, P.Y.; Hsu, H.C. Alveolar bone-loss area detection in periodontitis radiographs using hybrid of intensity and texture analyzed based on fbm model. Comput. Methods Programs Biomed. 2015, 121, 117–126. [Google Scholar] [CrossRef] [PubMed]
- Borowska, M.; Szarmach, J.; Oczeretko, E. Fractal texture analysis of the healing process after bone loss. Comput. Med. Imaging Graph. 2015, 46, 191–196. [Google Scholar] [CrossRef] [PubMed]
- Girejko, G.; Borowska, M.; Szarmach, J. Statistical Analysis of Radiographic Textures Illustrating Healing Process after the Guided Bone Regeneration Surgery. In Advances in Intelligent Systems and Computing; Springer International Publishing: Berlin/Heidelberg, Germany, 2019; pp. 217–226. [Google Scholar]
- Obuchowicz, R.; Nurzynska, K.; Obuchowicz, B.; Urbanik, A.; Piórkowski, A. Caries detection enhancement using texture feature maps of intraoral radiographs. Oral Radiol. 2018, 36, 275–287. [Google Scholar] [CrossRef] [Green Version]
- Kołaciński, M.; Kozakiewicz, M.; Materka, A. Textural entropy as a potential feature for quantitative assessment of jaw bone healing process. Arch. Med. Sci. 2015, 11, 78–84. [Google Scholar] [CrossRef]
- Borowska, M.; Bbas, E.; Szarmach, J.; Oczeretko, E. Multifractal characterization of healing process after bone loss. Biomed. Signal Process. Control 2019, 2968, 179–186. [Google Scholar] [CrossRef]
- Szczypinski, P.M.; Klepaczko, A. Chapter 11-MaZda-A Framework for Biomedical Image Texture Analysis and Data Exploration, in Biomedical Texture Analysis. In Proceedings of the International Symposium on Information Technology Convergence (ISITC 2007), Jeonju, Korea, 24 November 2007. [Google Scholar]
- Szczypiński, P.M.; Strzelecki, M.; Materka, A.; Klepaczko, A. MaZda—A software package for image texture analysis. Comput. Methods Programs Biomed. 2009, 94, 66–76. [Google Scholar] [CrossRef] [PubMed]
- Haralick, R.M.; Shanmugam, K.; Dinstein, I. Textural Features for Image Classification. IEEE Trans. Syst. Man Cybern. 1973, SMC-3, 610–621. [Google Scholar] [CrossRef] [Green Version]
- Galloway, M.M. Texture analysis using gray level run lengths. Comput. Graph. Image Process. 1975, 4, 172–179. [Google Scholar] [CrossRef]
- Tang, X. Texture information in run-length matrices. IEEE Trans. Image Process. 1998, 7, 1602–1609. [Google Scholar] [CrossRef] [PubMed] [Green Version]
- Amadasun, M.; King, R. Textural features corresponding to textural properties. IEEE Trans. Syst. Man Cybern. 1989, 19, 1264–1274. [Google Scholar] [CrossRef]
- Ojala, T.; Pietikainen, M.; Maenpaa, T. Multiresolution gray-scale and rotation invariant texture classification with local binary patterns. IEEE Trans. Pattern Anal. Mach. Intell. 2002, 24, 971–987. [Google Scholar] [CrossRef]
- Kociołek, M.; Strzelecki, M.; Obuchowicz, R. Does image normalization and intensity resolution impact texture classification? Comput. Med. Imaging Graph. 2020, 81, 101716. [Google Scholar] [CrossRef]
- Bruce, P.; Andrew, B. Practical Statistics for Data Scientists; O’Reilly Media: Sebastopol, CA, USA, 2017. [Google Scholar]
- Roweis, S.; Hinton, E.G. Stochastic neighbor embedding. Adv. Neural Inf. Process. Syst. 2003, 15, 833–840. [Google Scholar]
- Rozylo-Kalinowska, I. Digital radiography density measurements in differentiation between periapical granulomas and radicular cysts. Med. Sci. Monit. 2007, 13, 129–136. [Google Scholar] [PubMed]
- White, S.; Sapp, J.P.; Seto, B.G.; Mankovich, N.J. Absence of radiometric differentiation between periapical cysts and granulomas. Oral Surg. Oral Med. Oral Pathol. 1994, 78, 650–654. [Google Scholar] [CrossRef]
- Yu, Y.-Y.; Chen, H.; Lin, C.-H.; Chen, C.-M.; Oviir, T.; Chen, S.-K.; Hollender, L. Fractal dimension analysis of periapical reactive bone in response to root canal treatment. Oral Surg. Oral Med. Oral Pathol. Oral Radiol. Endodontol. 2009, 107, 283–288. [Google Scholar] [CrossRef]
- Juerchott, A.; Pfefferle, T.; Flechtenmacher, C.; Mente, J.; Bendszus, M.; Heiland, S.; Hilgenfeld, T. Differentiation of periapical granulomas and cysts by using dental MRI a pilot study. Int. J. Oral Sci. 2018, 10, 1–8. [Google Scholar] [CrossRef] [PubMed] [Green Version]
- De Rosa, C.S.; Bergamini, M.L.; Palmieri, M.; Sarmento, D.J.D.; de Carvalho, M.O.; Ricardo, A.L.F.; Hasseus, B.; Jonasson, P.; Braz-Silva, P.H.; Costa, A.L.F. Differentiation of periapical granuloma from radicular cyst using cone beam computed tomography images texture analysis. Heliyon 2020, 6, e05194. [Google Scholar] [CrossRef] [PubMed]




| Variable | Cysts Mean (sd) | Granulomas Mean (sd) | Cysts Median (IQR) | Granulomas Median (IQR) | p-Value | Spearman’s Rho |
|---|---|---|---|---|---|---|
| YD7GlcmH2SumEntrp | 58719.60 (366693.20) | 478553.48 (940850.77) | 1.73 (0.32) | 1.81 (13349.24) | 0.0150 | 0.3125 |
| YD7GlcmV4Contrast | 49449.81 (210805.80) | 430143.48 (870210.86) | 3.95 (2.56) | 8.07 (81594.76) | 0.0006 | 0.4375 |
| YD6GlcmN3Entropy | 17001.70 (106164.69) | 426523.28 (961445.21) | 1.78 (0.48) | 1.89 (0.38) | 0.0372 | 0.2677 |
| YS7HistDomn01 | 52.74 (8.39) | 59.39 (11.25) | 51.00 (11) | 57.00 (14.5) | 0.0155 | 0.3109 |
| YS6GradKurtosis | 147.13 (119.33) | 253.26 (201.87) | 121.20 (155.53) | 262.02 (215.68) | 0.0475 | 0.2546 |
| YS6GlcmZ4Entropy | 2.57 (0.19) | 311306.55 (739638.40) | 2.59 (0.26) | 2.75 (0.32) | 0.0039 | 0.3704 |
| YM4ArmTeta3 | 0.39 (0.06) | 0.35 (0.06) | 0.39 (0.08) | 0.34 (0.06) | 0.0091 | −0.3349 |
| YM4GlcmZ4SumAverg | 204855.85 (568030.58) | 741182.62 (1130874.17) | 13.31 (3.9) | 15.51 (1527485.65) | 0.0011 | 0.4189 |
| YN6GlcmH1AngScMom | 0.01 (<0.001) | 0.01 (<0.001) | 0.01 (0.006) | 0.01 (0.002) | 0.0091 | −0.3349 |
| YLbpOc4n6 | 0.08 (0.02) | 0.09 (0.02) | 0.08 (0.02) | 0.10 (0.03) | 0.0073 | 0.3442 |
| MorMzNi | 58.74 (32.51) | 37.35 (15.74) | 49.00 (44) | 37.00 (24) | 0.0114 | −0.3248 |
| Model | Predictor Variables (Texture) | Estimate | p-Value | OR | CI (95%) | R2 (McFadden) | p-Value for R2 | AIC |
|---|---|---|---|---|---|---|---|---|
| I | YD7GlcmH2SumEntrp | 1.15 × 10−6 | 0.033 | 1 | (1.00, 1.00) | 0.30 | 2.03 × 10−5 2.03 × 10−5 | 65.34 |
| YS6GlcmZ4Entropy | 4.51 | 0.0309 0.031 | 1.57 | (1.115, 2.483) | ||||
| YM4GlcmZ4SumAverg | 8.7 × 10−7 | 0.048 | 1 | (1.000, 1.000) | ||||
| II | YM4GlcmZ4SumAverg | 9.10 × 10−7 | 0.024 | 1 | (1.00, 1.00) | 0.27 | 5.17 × 10−5 | 67.29 |
| YLbpOc4n6 | 40.5 | 0.018 | 57.445 | (2.585, 2467.913) | ||||
| MorMzNi | −4.6 ×10−2 | 0.013 | 0.995 | (0.991, 0.998) | ||||
| III | YS6GradKurtosis | 5.43 × 10−3 | 0.009 | 1.001 | (1.000, 1.001) | 0.26 | 2.45 × 10−5 | 66.54 |
| YS6GlcmZ4Entropy | 3.93 | 0.048 | 1.482 | (1.093, 2.273) | ||||
| IV | YD7GlcmV4Contrast | 1.21 × 10−6 | 0.074 | 1 | (1.000, 1.000) | 0.29 | 3.39 × 10−5 | 66.41 |
| YM4GlcmZ4SumAverg | 8.24 × 10−7 | 0.038 | 1 | (1.000, 1.000)) | ||||
| YS6GlcmZ4Entropy | 3.46 | 0.077 | 1.413 | (1.047, 2.155) |
Publisher’s Note: MDPI stays neutral with regard to jurisdictional claims in published maps and institutional affiliations. |
© 2021 by the authors. Licensee MDPI, Basel, Switzerland. This article is an open access article distributed under the terms and conditions of the Creative Commons Attribution (CC BY) license (https://creativecommons.org/licenses/by/4.0/).
Share and Cite
Pociask, E.; Nurzynska, K.; Obuchowicz, R.; Bałon, P.; Uryga, D.; Strzelecki, M.; Izworski, A.; Piórkowski, A. Differential Diagnosis of Cysts and Granulomas Supported by Texture Analysis of Intraoral Radiographs. Sensors 2021, 21, 7481. https://doi.org/10.3390/s21227481
Pociask E, Nurzynska K, Obuchowicz R, Bałon P, Uryga D, Strzelecki M, Izworski A, Piórkowski A. Differential Diagnosis of Cysts and Granulomas Supported by Texture Analysis of Intraoral Radiographs. Sensors. 2021; 21(22):7481. https://doi.org/10.3390/s21227481
Chicago/Turabian StylePociask, Elżbieta, Karolina Nurzynska, Rafał Obuchowicz, Paulina Bałon, Daniel Uryga, Michał Strzelecki, Andrzej Izworski, and Adam Piórkowski. 2021. "Differential Diagnosis of Cysts and Granulomas Supported by Texture Analysis of Intraoral Radiographs" Sensors 21, no. 22: 7481. https://doi.org/10.3390/s21227481
APA StylePociask, E., Nurzynska, K., Obuchowicz, R., Bałon, P., Uryga, D., Strzelecki, M., Izworski, A., & Piórkowski, A. (2021). Differential Diagnosis of Cysts and Granulomas Supported by Texture Analysis of Intraoral Radiographs. Sensors, 21(22), 7481. https://doi.org/10.3390/s21227481

