Pulmonary Toxicity and Proteomic Analysis in Bronchoalveolar Lavage Fluids and Lungs of Rats Exposed to Copper Oxide Nanoparticles
Abstract
1. Introduction
2. Results
2.1. Characterizations of CuO NPs
2.2. Total Cell Count and the Percentages of PMNs, Lymphocytes, Eosinophils, and Macrophages in BALF of Rats Exposed to CuO NPs
2.3. LDH Activity, Total Proteins and Inflammatory Cytokines in BALF of Rats Exposed to CuO NPs
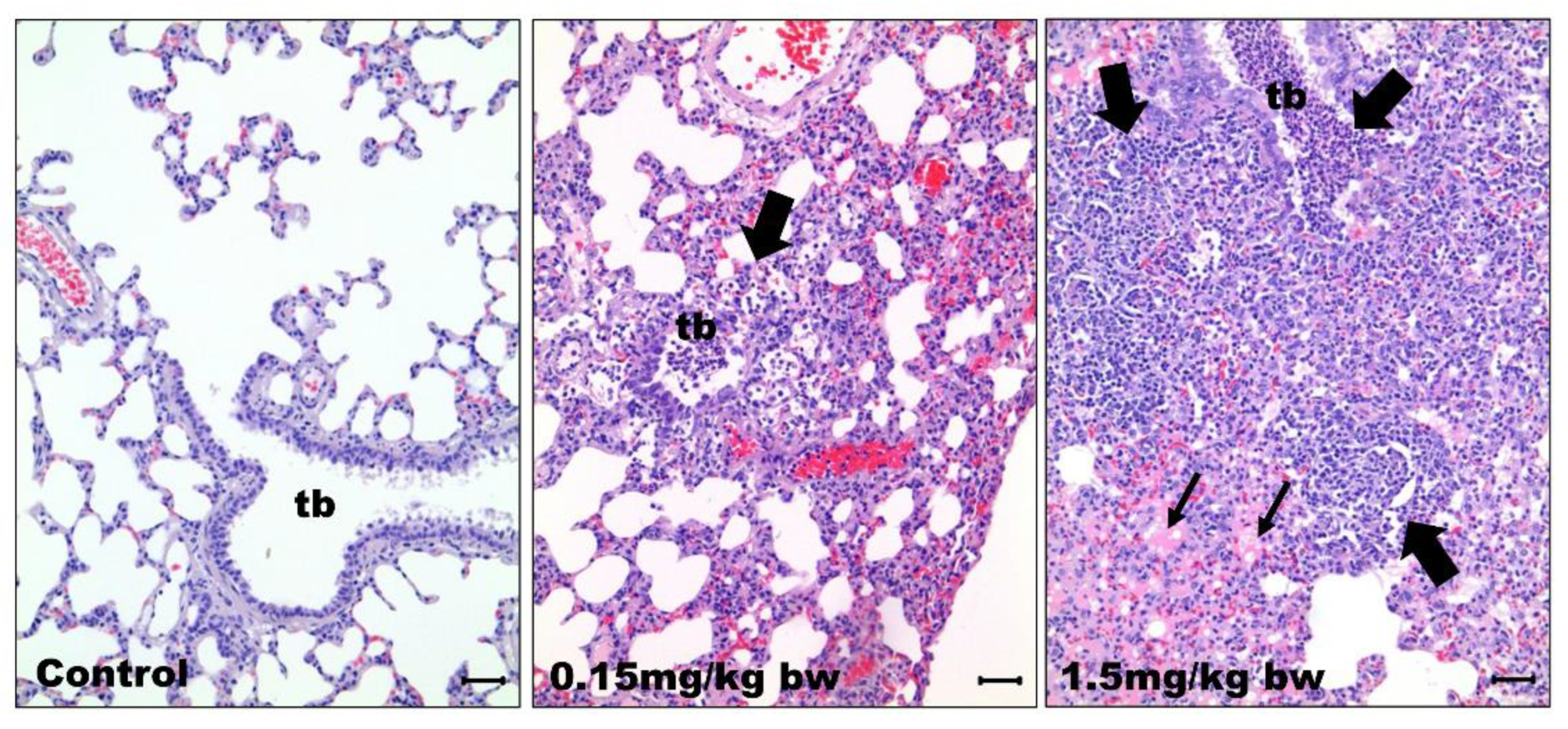
2.4. Histopathology of Lungs in Rats Exposed to CuO NPs
2.5. Expression of Antioxidant Enzymes in Lung Tissues of Rats Exposed to CuO NPs
2.6. Expression of HSP in Lung Tissues of Rats Exposed to CuO NPs
2.7. 2-DE of Expressed Proteins in Lung Tissues Exposed to CuO NPs
2.8. Protein Identification and Validation
3. Discussion
4. Materials and Methods
4.1. Chemicals
4.2. Characterization and Preparation of CuO NPs
4.3. Intratracheal Instillation of CuO NPs and Sample Preparation
4.4. Determination of Total Cell Count and Percentages of PMNs, Lymphocytes, Eosinophils, and Macrophages in BALF
4.5. Determination of LDH, Total Protein Levels, and Inflammatory Cytokines in BALF
4.6. Histopathological Analysis
4.7. Sample Preparation and 2-DE Large Gel Polyacrylamide Gel Electrophoresis (PAGE)
4.8. Visualization and Image Analysis
4.9. Identification of Proteins via UPLC-ESI-MSE
4.10. Western Blot Assay
4.11. Statistical Analysis
Supplementary Materials
Author Contributions
Funding
Institutional Review Board Statement
Informed Consent Statement
Data Availability Statement
Acknowledgments
Conflicts of Interest
References
- Bahadar, H.; Maqbool, F.; Niaz, K.; Abdollahi, M. Toxicity of Nanoparticles and an Overview of Current Experimental Models. Iran. Biomed. J. 2016, 20, 1–11. [Google Scholar] [PubMed]
- Chaudhary, R.G.; Bhusari, G.S.; Tiple, A.D.; Rai, A.R.; Somkuvar, S.R.; Potbhare, A.K.; Lambat, T.L.; Ingle, P.P.; Abdala, A.A. Metal/Metal Oxide Nanoparticles: Toxicity, Applications, and Future Prospects. Curr. Pharm. Des. 2019, 25, 4013–4029. [Google Scholar] [CrossRef] [PubMed]
- Osman, N.M.; Sexton, D.; Saleem, I.Y. Toxicological assessment of nanoparticle interactions with the pulmonary system. Nanotoxicology 2019, 14, 21–58. [Google Scholar] [CrossRef] [PubMed]
- Zafar, N.; Madni, A.; Khalid, A.; Khan, T.; Kousar, R.; Naz, S.S.; Wahid, F. Pharmaceutical and Biomedical Applications of Green Synthesized Metal and Metal Oxide Nanoparticles. Curr. Pharm. Des. 2020, 26, 5844–5865. [Google Scholar] [CrossRef] [PubMed]
- Yang, W.; Wang, L.; Mettenbrink, E.M.; DeAngelis, P.L.; Wilhelm, S. Nanoparticle Toxicology. Annu. Rev. Pharmacol. Toxicol. 2021, 61, 269–289. [Google Scholar] [CrossRef] [PubMed]
- Harish, V.; Ansari, M.; Tewari, D.; Gaur, M.; Yadav, A.B.; García-Betancourt, M.-L.; Abdel-Haleem, F.M.; Bechelany, M.; Barhoum, A. Nanoparticle and Nanostructure Synthesis and Controlled Growth Methods. Nanomaterials 2022, 12, 3226. [Google Scholar] [CrossRef] [PubMed]
- Kapoor, V.; Phan, D.; Pasha, A.B.M.T. Effects of metal oxide nanoparticles on nitrification in wastewater treatment systems: A systematic review. J. Environ. Sci. Heal. Part A 2018, 53, 659–668. [Google Scholar] [CrossRef]
- Naz, S.; Gul, A.; Zia, M. Toxicity of copper oxide nanoparticles: A review study. IET Nanobiotechnology 2019, 14, 1–13. [Google Scholar] [CrossRef]
- Edelmann, M.J.; Shack, L.A.; Naske, C.D.; Walters, K.B.; Nanduri, B. SILAC-Based Quantitative Proteomic Analysis of Human Lung Cell Response to Copper Oxide Nanoparticles. PLoS ONE 2014, 9, e114390. [Google Scholar] [CrossRef]
- Karlsson, H.L.; Cronholm, P.; Gustafsson, J.; Möller, L. Copper Oxide Nanoparticles Are Highly Toxic: A Comparison between Metal Oxide Nanoparticles and Carbon Nanotubes. Chem. Res. Toxicol. 2008, 21, 1726–1732. [Google Scholar] [CrossRef]
- Ameh, T.; Sayes, C.M. The potential exposure and hazards of copper nanoparticles: A review. Environ. Toxicol. Pharmacol. 2019, 71, 103220. [Google Scholar] [CrossRef] [PubMed]
- Madl, A.K.; Pinkerton, K.E. Health effects of inhaled engineered and incidental nanoparticles. Crit. Rev. Toxicol. 2009, 39, 629–658. [Google Scholar] [CrossRef]
- Thomas, T.; Thomas, K.; Sadrieh, N.; Savage, N.; Adair, P.; Bronaugh, R. Research Strategies for Safety Evaluation of Nanomaterials, Part VII: Evaluating Consumer Exposure to Nanoscale Materials. Toxicol. Sci. 2006, 91, 14–19. [Google Scholar] [CrossRef]
- Yao, Y.; Zang, Y.; Qu, J.; Tang, M.; Zhang, T. The Toxicity Of Metallic Nanoparticles On Liver: The Subcellular Damages, Mechanisms, And Outcomes. Int. J. Nanomed. 2019, 14, 8787–8804. [Google Scholar] [CrossRef] [PubMed]
- Li, J.J.; Muralikrishnan, S.; Ng, C.-T.; Yung, L.-Y.L.; Bay, B.-H. Nanoparticle-induced pulmonary toxicity. Exp. Biol. Med. 2010, 235, 1025–1033. [Google Scholar] [CrossRef] [PubMed]
- Armstead, A.L.; Li, B. Nanotoxicity: Emerging concerns regarding nanomaterial safety and occupational hard metal (WC-Co) nanoparticle exposure. Int. J. Nanomed. 2016, 11, 6421–6433. [Google Scholar] [CrossRef] [PubMed]
- Pohanka, M. Copper and copper nanoparticles toxicity and their impact on basic functions in the body. Bratisl. Med. J. 2019, 120, 397–409. [Google Scholar] [CrossRef]
- Wyman, A.E.; Hines, S.E. Update on metal-induced occupational lung disease. Curr. Opin. Allergy Clin. Immunol. 2018, 18, 73–79. [Google Scholar] [CrossRef]
- Boyles, M.S.; Ranninger, C.; Reischl, R.; Rurik, M.; Tessadri, R.; Kohlbacher, O.; Duschl, A.; Huber, C.G. Copper oxide nanoparticle toxicity profiling using untargeted metabolomics. Part. Fibre Toxicol. 2016, 13, 49. [Google Scholar] [CrossRef]
- Cho, W.S.; Duffin, R.; Poland, C.A.; Duschl, A.; Oostingh, G.J.; Macnee, W.; Bradley, M.; Megson, I.L.; Donaldson, K. Differential pro-inflammatory effects of metal oxide nanoparticles and their soluble ions in vitro and in vivo; zinc and copper nanoparticles, but not their ions, recruit eosinophils to the lungs. Nanotoxicology 2012, 6, 22–35. [Google Scholar] [CrossRef]
- Hanagata, N.; Zhuang, F.; Connolly, S.; Li, J.; Ogawa, N.; Xu, M. Molecular Responses of Human Lung Epithelial Cells to the Toxicity of Copper Oxide Nanoparticles Inferred from Whole Genome Expression Analysis. ACS Nano 2011, 5, 9326–9338. [Google Scholar] [CrossRef] [PubMed]
- Hufnagel, M.; Neuberger, R.; Wall, J.; Link, M.; Friesen, A.; Hartwig, A. Impact of Differentiated Macrophage-Like Cells on the Transcriptional Toxicity Profile of CuO Nanoparticles in Co-Cultured Lung Epithelial Cells. Int. J. Mol. Sci. 2021, 22, 5044. [Google Scholar] [CrossRef] [PubMed]
- Martin, A.; Sarkar, A. Overview on biological implications of metal oxide nanoparticle exposure to human alveolar A549 cell line. Nanotoxicology 2017, 11, 1–12. [Google Scholar] [CrossRef] [PubMed]
- Wang, Z.; Li, N.; Zhao, J.; White, J.C.; Qu, P.; Xing, B. CuO Nanoparticle Interaction with Human Epithelial Cells: Cellular Uptake, Location, Export, and Genotoxicity. Chem. Res. Toxicol. 2012, 25, 1512–1521. [Google Scholar] [CrossRef]
- Cho, W.S.; Duffin, R.; Poland, C.A.; Howie, S.E.; MacNee, W.; Bradley, M.; Megson, I.L.; Donaldson, K. Metal oxide nanoparticles induce unique inflammatory footprints in the lung: Important implications for nanoparticle testing. Environ. Health Perspect. 2010, 118, 1699–1706. [Google Scholar] [CrossRef]
- Costa, P.M.; Gosens, I.; Williams, A.; Farcal, L.; Pantano, D.; Brown, D.M.; Stone, V.; Cassee, F.R.; Halappanavar, S.; Fadeel, B. Transcriptional profiling reveals gene expression changes associated with inflammation and cell proliferation following short-term inhalation exposure to copper oxide nanoparticles. J. Appl. Toxicol. 2017, 38, 385–397. [Google Scholar] [CrossRef]
- Gosens, I.; Cassee, F.R.; Zanella, M.; Manodori, L.; Brunelli, A.; Costa, A.L.; Bokkers, B.G.; de Jong, W.H.; Brown, D.; Hristozov, D.; et al. Organ burden and pulmonary toxicity of nano-sized copper (II) oxide particles after short-term inhalation exposure. Nanotoxicology 2016, 10, 1084–1095. [Google Scholar] [CrossRef]
- Lee, S.; Lee, D.-K.; Jeon, S.; Kim, S.-H.; Jeong, J.; Kim, J.S.; Cho, J.H.; Park, H.; Cho, W.-S. Combination effect of nanoparticles on the acute pulmonary inflammogenic potential: Additive effect and antagonistic effect. Nanotoxicology 2021, 15, 276–288. [Google Scholar] [CrossRef]
- Ndika, J.; Ilves, M.; Kooter, I.M.; Gröllers-Mulderij, M.; Duistermaat, E.; Tromp, P.C.; Kuper, F.; Kinaret, P.; Greco, D.; Karisola, P.; et al. Mechanistic Similarities between 3D Human Bronchial Epithelium and Mice Lung, Exposed to Copper Oxide Nanoparticles, Support Non-Animal Methods for Hazard Assessment. Small 2020, 16, e2000527. [Google Scholar] [CrossRef]
- Rani, V.S.; Kumar, A.K.; Kumar, C.P.; Reddy, A.R.N. Pulmonary Toxicity of Copper Oxide (CuO) Nanoparticles in Rats. J. Med. Sci. 2013, 13, 571–577. [Google Scholar] [CrossRef]
- Yokohira, M.; Hashimoto, N.; Yamakawa, K.; Suzuki, S.; Saoo, K.; Kuno, T.; Imaida, K. Lung Carcinogenic Bioassay of CuO and TiO2 Nanoparticles with Intratracheal Instillation Using F344 Male Rats. J. Toxicol. Pathol. 2009, 22, 71–78. [Google Scholar] [CrossRef] [PubMed]
- Zhang, H.; Ji, Z.; Xia, T.; Meng, H.; Low-Kam, C.; Liu, R.; Pokhrel, S.; Lin, S.; Wang, X.; Liao, Y.-P.; et al. Use of Metal Oxide Nanoparticle Band Gap To Develop a Predictive Paradigm for Oxidative Stress and Acute Pulmonary Inflammation. ACS Nano 2012, 6, 4349–4368. [Google Scholar] [CrossRef] [PubMed]
- Adam, N.; Vergauwen, L.; Blust, R.; Knapen, D. Gene transcription patterns and energy reserves in Daphnia magna show no nanoparticle specific toxicity when exposed to ZnO and CuO nanoparticles. Environ. Res. 2015, 138, 82–92. [Google Scholar] [CrossRef] [PubMed]
- Gosens, I.; Costa, P.M.; Olsson, M.; Stone, V.; Costa, A.L.; Brunelli, A.; Badetti, E.; Bonetto, A.; Bokkers, B.G.H.; de Jong, W.H.; et al. Pulmonary toxicity and gene expression changes after short-term in-halation exposure to surface-modified copper oxide nanoparticles. NanoImpact 2021, 22, 100313. [Google Scholar] [CrossRef] [PubMed]
- Gomes, T.; Gomes, T.; Chora, S.; Pereira, C.G.; Cardoso, C.; Bebianno, M.J. Proteomic response of mussels Mytilus galloprovincialis exposed to CuO NPs and Cu²⁺: An exploratory biomarker discovery. Aquat. Toxicol. 2014, 155, 327–336. [Google Scholar] [CrossRef] [PubMed]
- Moon, Y.-S.; Park, E.-S.; Kim, T.-O.; Lee, H.-S.; Lee, S.-E. SELDI-TOF MS-based discovery of a biomarker in Cucumis sativus seeds exposed to CuO nanoparticles. Environ. Toxicol. Pharmacol. 2014, 38, 922–931. [Google Scholar] [CrossRef]
- Semisch, A.; Ohle, J.; Witt, B.; Hartwig, A. Cytotoxicity and genotoxicity of nano- and microparticulate copper oxide: Role of solubility and intracellular bioavailability. Part. Fibre Toxicol. 2014, 11, 10. [Google Scholar] [CrossRef]
- Grommes, J.; Soehnlein, O. Contribution of Neutrophils to Acute Lung Injury. Mol. Med. 2010, 17, 293–307. [Google Scholar] [CrossRef]
- Holter, J.F.; E Weiland, J.; Pacht, E.R.; E Gadek, J.; Davis, W.B. Protein permeability in the adult respiratory distress syndrome. Loss of size selectivity of the alveolar epithelium. J. Clin. Investig. 1986, 78, 1513–1522. [Google Scholar] [CrossRef]
- Lindquist, S.; Craig, E.A. The heat-shock proteins. Annu. Rev. Genet. 1988, 22, 631–677. [Google Scholar] [CrossRef]
- Xiao, H.Z.; Zhou, X.; Dai, Q.; Huang, X. Neutrophils in acute lung injury. Front. Biosci. 2012, 17, 2278–2283. [Google Scholar] [CrossRef]
- Jeong, J.; Lee, S.; Kim, S.-H.; Han, Y.; Lee, D.-K.; Yang, J.-Y.; Roh, C.; Huh, Y.S.; Cho, W.-S. Evaluation of the dose metric for acute lung inflammogenicity of fast-dissolving metal oxide nanoparticles. Nanotoxicology 2016, 10, 1448–1457. [Google Scholar] [CrossRef] [PubMed]
- Canli, E.G.; Atli, G.; Canli, M. Response of the antioxidant enzymes of the erythrocyte and alterations in the serum biomarkers in rats following oral administration of nanoparticles. Environ. Toxicol. Pharmacol. 2017, 50, 145–150. [Google Scholar] [CrossRef] [PubMed]
- An, L.; Liu, S.; Yang, Z.; Zhang, T. Cognitive impairment in rats induced by nano-CuO and its possible mechanisms. Toxicol. Lett. 2012, 213, 220–227. [Google Scholar] [CrossRef] [PubMed]
- Mohamed Mowafy, S.; Awad Hegazy, A.; Mandour, D.A.; Salah Abd El-Fatah, S. Impact of copper oxide nanoparticles on the cerebral cortex of adult male albino rats and the potential protective role of crocin. Ultrastruct. Pathol. 2021, 30, 307–318. [Google Scholar] [CrossRef]
- Strauch, B.M.; Niemand, R.K.; Winkelbeiner, N.L.; Hartwig, A. Comparison between micro- and nanosized copper oxide and water soluble copper chloride: Interrelationship between intracellular copper concentrations, oxidative stress and DNA damage response in human lung cells. Part. Fibre Toxicol. 2017, 14, 1–17. [Google Scholar] [CrossRef]
- A Hajjar, K. The Biology of Annexin A2: From Vascular Fibrinolysis to Innate Immunity. Trans. Am. Clin. Clim. Assoc. 2015, 126, 144–155. [Google Scholar]
- Wang, C.-Y.; Lin, C.-F. Annexin A2: Its Molecular Regulation and Cellular Expression in Cancer Development. Dis. Markers 2014, 2014, 1–10. [Google Scholar] [CrossRef]
- Dallacasagrande, V.; Hajjar, K.A. Annexin A2 in Inflammation and Host Defense. Cells 2020, 9, 1499. [Google Scholar] [CrossRef]
- Li, Z.; Yu, L.; Hu, B.; Chen, L.; Jv, M.; Wang, L.; Zhou, C.; Wei, M.; Zhao, L. Advances in cancer treatment: A new therapeutic target, Annexin A2. J. Cancer 2021, 12, 3587–3596. [Google Scholar] [CrossRef]
- Madureira, P.A.; Hill, R.; Miller, V.A.; Giacomantonio, C.; Lee, P.W.K.; Waisman, D.M. Annexin A2 is a novel Cellular Redox Regulatory Protein involved in Tumorigenesis. Oncotarget 2011, 2, 1075–1093. [Google Scholar] [CrossRef] [PubMed]
- COMeRA, C.; Rothhut, B.; Russo-Marie, F. Identification and characterization of phospholipase A2 inhibitory proteins in human mononuclear cells. JBIC J. Biol. Inorg. Chem. 1990, 188, 139–146. [Google Scholar] [CrossRef] [PubMed]
- Swisher, J.F.; Burton, N.; Bacot, S.M.; Vogel, S.N.; Feldman, G.M. Annexin A2 tetramer activates human and murine macrophages through TLR4. Blood 2010, 115, 549–558. [Google Scholar] [CrossRef] [PubMed]
- Park, S.K.; Jeon, Y.M.; Son, B.S.; Youn, H.S.; Lee, M.Y. Proteomic analysis of the differentially expressed proteins by airborne nanoparticles. J. Appl. Toxicol. 2011, 31, 463–470. [Google Scholar] [CrossRef]
- Ge, Y.; Bruno, M.; Wallace, K.; Winnik, W.; Prasad, R.Y. Proteome profiling reveals potential toxicity and detoxification pathways following exposure of BEAS-2B cells to engineered nanoparticle titanium dioxide. Proteomics 2011, 11, 2406–2422. [Google Scholar] [CrossRef]
- Nagata, K. Expression and function of heat shock protein 47: A collagen-specific molecular chaperone in the endoplasmic reticulum. Matrix Biol. 1998, 16, 379–386. [Google Scholar] [CrossRef]
- Bellaye, P.-S.; Burgy, O.; Bonniaud, P.; Kolb, M. HSP47: A potential target for fibrotic diseases and implications for therapy. Expert Opin. Ther. Targets 2021, 25, 49–62. [Google Scholar] [CrossRef]
- Kakugawa, T.; Yokota, S.-I.; Ishimatsu, Y.; Hayashi, T.; Nakashima, S.; Hara, S.; Sakamoto, N.; Matsuoka, Y.; Kubota, H.; Mine, M.; et al. Serum heat shock protein 47 levels in patients with drug-induced lung disease. Respir. Res. 2013, 14, 133. [Google Scholar] [CrossRef]
- Dahlmann, B. Mammalian proteasome subtypes: Their diversity in structure and function. Arch. Biochem. Biophys. 2016, 591, 132–140. [Google Scholar] [CrossRef]
- Chen, M.; von Mikecz, A. Nanoparticle-induced cell culture models for degenerative protein aggregation diseases. Inhal. Toxicol. 2009, 21 (Suppl. 1), 110–114. [Google Scholar]
- Wang, S.; Kurepa, J.; Smalle, J.A. Ultra-small TiO2 nanoparticles disrupt microtubular networks in Arabidopsis thaliana. Plant Cell Environ. 2011, 34, 811–820. [Google Scholar] [CrossRef] [PubMed]
- Hegardt, F.G. Mitochondrial 3-hydroxy-3-methylglutaryl-CoA synthase: A control enzyme in ketogenesis. Biochem. J. 1999, 338 Pt 3, 569–582. [Google Scholar] [CrossRef] [PubMed]
- Liao, P.; Wang, H.; Hemmerlin, A.; Nagegowda, D.A.; Bach, T.J.; Wang, M.; Chye, M.L. Past achievements, current status and future perspectives of studies on 3-hydroxy-3-methylglutaryl-CoA synthase (HMGS) in the mevalonate (MVA) pathway. Plant Cell Rep. 2014, 33, 1005–1022. [Google Scholar] [CrossRef] [PubMed]
- Zhao, M.; Li, H.; Bu, X.; Lei, C.; Fang, Q.; Hu, Z. Quantitative Proteomic Analysis of Cellular Resistance to the Nanoparticle Abraxane. ACS Nano 2015, 9, 10099–10112. [Google Scholar] [CrossRef]
- Li, C.; Li, X.; Jigami, J.; Hasegawa, C.; Suzuki, A.K.; Zhang, Y.; Fujitani, Y.; Nagaoka, K.; Watanabe, G.; Taya, K. Effect of nanoparticle-rich diesel exhaust on testosterone biosynthesis in adult male mice. Inhal. Toxicol. 2012, 24, 599–608. [Google Scholar] [CrossRef]
- L’Hôte, D.; Vatin, M.; Auer, J.; Castille, J.; Passet, B.; Montagutelli, X.; Serres, C.; Vaiman, D. Fidgetin-Like1 Is a Strong Candidate for a Dynamic Impairment of Male Meiosis Leading to Reduced Testis Weight in Mice. PLoS ONE 2011, 6, e27582. [Google Scholar] [CrossRef]
- Hu, Z.; Feng, J.; Bo, W.; Wu, R.; Dong, Z.; Liu, Y.; Qiang, L.; Liu, M. Fidgetin regulates cultured astrocyte migration by severing tyrosinated microtubules at the leading edge. Mol. Biol. Cell 2017, 28, 545–553. [Google Scholar] [CrossRef]
- Leo, L.; Yu, W.; D’Rozario, M.; Waddell, E.A.; Marenda, D.R.; Baird, M.A.; Davidson, M.W.; Zhou, B.; Wu, B.; Baker, L.; et al. Vertebrate Fidgetin Restrains Axonal Growth by Severing Labile Domains of Microtubules. Cell Rep. 2015, 12, 1723–1730. [Google Scholar] [CrossRef]
- Li, M.; Rui, Y.; Peng, W.; Hu, J.; Jiang, A.; Yang, Z.; Huang, L. FIGNL1 promotes non-small cell lung cancer cell proliferation. Int. J. Oncol. 2020, 58, 83–99. [Google Scholar] [CrossRef]
- Tao, J.; Feng, C.; Rolls, M.M. The microtubule-severing protein fidgetin acts after dendrite injury to promote their degeneration. J. Cell Sci. 2016, 129, 3274–3281. [Google Scholar] [CrossRef]
- Yuan, J.; Chen, J. FIGNL1-containing protein complex is required for efficient homologous recombination repair. Proc. Natl. Acad. Sci. USA 2013, 110, 10640–10645. [Google Scholar] [CrossRef] [PubMed]
- Lai, X.; Zhao, H.; Zhang, Y.; Guo, K.; Xu, Y.; Chen, S.; Zhang, J. Intranasal Delivery of Copper Oxide Nanoparticles Induces Pulmonary Toxicity and Fibrosis in C57BL/6 mice. Sci. Rep. 2018, 8, 4499. [Google Scholar] [CrossRef] [PubMed]
- Siivola, K.M.; Suhonen, S.; Hartikainen, M.; Catalán, J.; Norppa, H. Genotoxicity and cellular uptake of nanosized and fine copper oxide particles in human bronchial epithelial cells in vitro. Mutat. Res. Toxicol. Environ. Mutagen. 2020, 856-857, 503217. [Google Scholar] [CrossRef] [PubMed]
- Choi, S.; Lim, J.-Y.; Kim, Y.; Song, M.J.; Jung, W.-W.; Seo, J.B.; Lee, J.; Sul, D. Plasma proteomic analysis of patients infected with H1N1 influenza virus. Proteomics 2014, 14, 1933–1942. [Google Scholar] [CrossRef]









| Spot No. | Accession No. | Protein Name | Fold Change (mg/kg bw) | Matched Peptides | Sequence Coverage (%) | |
|---|---|---|---|---|---|---|
| 0.15 | 1.5 | |||||
| 1 | P17425 | Hydroxymethylglutaryl CoA synthase cytoplasmic | +2.11 | +2.22 | 3 | 10.2 |
| 2 | F7FIH7 | Protein LOC100909412 | +1.10 | −2.43 | 11 | 37 |
| 3 | Q6GX84 | Fidgetin like protein 1 | +1.77 | +2.23 | 4 | 7.8 |
| 4 | M0RBF1 | Complement C3 | −1.04 | −2.05 | 138 | 30.1 |
| 5 | D3ZDK8 | Uncharacterized protein | +1.71 | +1.38 | 4 | 23.5 |
| 6 | P02091 | Hemoglobin subunit beta 1 | +1.63 | +1.27 | 10 | 47.6 |
| 7 | F1LZT6 | Protein Asap2 Fragment | +2.50 | +1.83 | 6 | 6.6 |
| 8 | F1LWD5 | Protein 1700056E22Rik | +1.58 | +1.42 | 3 | 9.4 |
| 9 | M3ZCQ3 | Protein LOC100910765 | −1.78 | −1.60 | 14 | 79.3 |
| 10 | Q3B8N7 | TSC22 domain family protein 4 | +2.50 | +2.10 | 6 | 13.2 |
| 11 | O35817 | A kinase anchor protein 14 | −1.70 | −1.21 | 7 | 4.8 |
| 12 | D3Z8I7 | Protein Gstt3 | +1.13 | +1.88 | 8 | 19.5 |
| 13 | P01946 | Hemoglobin subunit alpha 1 2 | +1.57 | +2.14 | 19 | 48.6 |
| 14 | F1LQ93 | Collagen alpha 1 IX chain | +1.14 | +1.86 | 5 | 11.2 |
| 15 | P29457 | Serpin H1 | +1.13 | −1.21 | 9 | 22.5 |
| 16 | Q07936 | Annexin A2 | +1.13 | −1.79 | 19 | 45.1 |
| 17 | P18420 | Proteasome subunit alpha type 1 | +1.41 | −1.46 | 12 | 31.9 |
Publisher’s Note: MDPI stays neutral with regard to jurisdictional claims in published maps and institutional affiliations. |
© 2022 by the authors. Licensee MDPI, Basel, Switzerland. This article is an open access article distributed under the terms and conditions of the Creative Commons Attribution (CC BY) license (https://creativecommons.org/licenses/by/4.0/).
Share and Cite
Kwon, J.-T.; Kim, Y.; Choi, S.; Yoon, B.-l.; Kim, H.-S.; Shim, I.; Sul, D. Pulmonary Toxicity and Proteomic Analysis in Bronchoalveolar Lavage Fluids and Lungs of Rats Exposed to Copper Oxide Nanoparticles. Int. J. Mol. Sci. 2022, 23, 13265. https://doi.org/10.3390/ijms232113265
Kwon J-T, Kim Y, Choi S, Yoon B-l, Kim H-S, Shim I, Sul D. Pulmonary Toxicity and Proteomic Analysis in Bronchoalveolar Lavage Fluids and Lungs of Rats Exposed to Copper Oxide Nanoparticles. International Journal of Molecular Sciences. 2022; 23(21):13265. https://doi.org/10.3390/ijms232113265
Chicago/Turabian StyleKwon, Jung-Taek, Yoonjin Kim, Seonyoung Choi, Byung-ll Yoon, Hyun-Sook Kim, Ilseob Shim, and Donggeun Sul. 2022. "Pulmonary Toxicity and Proteomic Analysis in Bronchoalveolar Lavage Fluids and Lungs of Rats Exposed to Copper Oxide Nanoparticles" International Journal of Molecular Sciences 23, no. 21: 13265. https://doi.org/10.3390/ijms232113265
APA StyleKwon, J.-T., Kim, Y., Choi, S., Yoon, B.-l., Kim, H.-S., Shim, I., & Sul, D. (2022). Pulmonary Toxicity and Proteomic Analysis in Bronchoalveolar Lavage Fluids and Lungs of Rats Exposed to Copper Oxide Nanoparticles. International Journal of Molecular Sciences, 23(21), 13265. https://doi.org/10.3390/ijms232113265

