Abstract
Soybean (Glycine max (L.) Merrill) oil is a complex mixture of five fatty acids (palmitic, stearic, oleic, linoleic, and linolenic). The high content of linoleic acid (LA) contributes to the oil having poor oxidative stability. Therefore, soybean seed with a lower LA content is desirable. To investigate the genetic architecture of LA, we performed a genome-wide association study (GWAS) using 510 soybean cultivars collected from China. The phenotypic identification results showed that the content of LA varied from 36.22% to 72.18%. The GWAS analysis showed that there were 37 genes related to oleic acid content, with a contribution rate of 7%. The candidate gene Glyma.04G116500.1 (GmWRI14) on chromosome 4 was detected in three consecutive years. The GmWRI14 showed a negative correlation with the LA content and the correlation coefficient was −0.912. To test whether GmWRI14 can lead to a lower LA content in soybean, we introduced GmWRI14 into the soybean genome. Matrix-assisted laser desorption/ionization time-of-flight imaging mass spectrometry (MALDI-TOF IMS) showed that the overexpression of GmWRI14 leads to a lower LA content in soybean seeds. Meanwhile, RNA-seq verified that GmWRI14-overexpressed soybean lines showed a lower accumulation of GmFAD2-1A and GmFAD2-1B than control lines. Our results indicate that the down-regulation of the FAD2 gene triggered by the transcription factor GmWRI14 is the underlying mechanism reducing the LA level of seed. Our results provide novel insights into the genetic architecture of LA and pinpoint potential candidate genes for further in-depth studies.
1. Introduction
Soybeans (Glycine max (L.) Merrill) are a major oilseed crop that provides edible oil and protein in China [1]. Soybean oil is a complex mixture of five fatty acids: palmitic acid (C16:0), stearic acid (C18:0), oleic acid (C18:1), linoleic acid (LA) (C18:2), and linolenic acid (C18:3) [2]. The fatty acid composition of soybean oil ranges from about 15% to 33% oleic acid, 43% to 56% linoleic acid, 5% to 11% linolenic acid, and 11% to 26% saturated acids acid [3]. As a food commodity, soybean oil has a less-than-desirable fatty acid composition [4]. The quality of soybean oil is determined by its fatty acid composition. Linolenic acid can lower the cholesterol content in the blood [5,6], but it is not resistant to high temperatures, is not easy to preserve, and lowers the nutritional value of soybean oil [7,8,9]. LA belongs to the class of polyunsaturated fatty acids and is known to have beneficial properties for health [9]; however, the oxidative stability values of oil enriched with LA show a poor stability during a frying cycle [10]. Soybean oil with a high LA content has a higher oxidation rate [11]. Decreasing the amount of polyunsaturated fatty acids present through lowering the LA content improves a plant oil’s oxidative stability and brings its acyl composition closer to that of olive oil. As a result, the cultivation of soybean varieties with a low LA content has become an important goal of high-quality soybean breeding [12].
The biosynthesis of LA is highly regulated, involving the spatial separation of biosynthetic steps between different organelle compartments and the careful control of several biosynthetic steps through one or multiple biochemical mechanisms. Based on next-generation sequencing technology and genome-wide association analysis (GWAS), considerable research has gone into genetically reducing the level of LA, and some key genes involved in the development of LA have been identified [13,14,15]. For instance, fatty acid desaturases 2 (FAD2) is a key gene encoding an ER membrane-bound FA desaturase 2, which catalyzes the conversion of oleic acid to LA [16,17]. The RNA interference (RNAi) of FAD2 and b-ketoacyl-acyl carrier protein synthase (KASII) decrease the accumulation of LA [18]. Fatty acid desaturase-3 (FAD3) genes that are responsible for the conversion of LA precursors to linolenic fatty acid precursors have been characterized [19]. Research showed that the loss of function mutations seen in FAD3 resulted in the accumulation of 67% LA in seed oil [20,21].
WRINKLED1 (WRI1) encodes an APETALA2/ethylene responsive element binding protein (AP2/EREBP). WRI1 is the key transcription factor found to directly regulate fatty acid synthesis [22,23]. Further studies have shown that WRI1 plays a role in processes such as lipid assembly, storage, seed development, and photosynthesis [24,25,26]. For example, the overexpression of the maize ZmWRI1 expressed under the embryo-preferred OLE promoter increased the fatty acid content of maize kernels [27]. In addition, the introduction of a seed-specific expression cassette carrying the Arabidopsis transcription factor AtWRI1 into soybean led to seed oil with levels of palmitic acid of up to approximately 20% [28]. Clearly, WRI1 acts as a key regulator of oil biosynthesis, which, when expression is perturbed, translates to changes in the accumulation of different kinds of fatty acids [29,30].
Genome-wide association analysis (GWAS) represents a powerful tool for discovering (single-nucleotide polymorphisms) SNPs associated with complex traits [31]. GWAS has become an affordable and powerful tool for dissecting complex traits in soybean [32,33,34]. Prior to this, GWAS has been performed for the dissection of soybean fatty acids [35]. As factored spectrally transformed linear mixed models (fastlmmc model) run an order of magnitude faster than other efficient algorithms, the fastlmmc model was used for GWAS in many studies [1,2]. In our study, we discovered a candidate gene GmWRI14 that was correlated with LA content by GWAS analyses in three years. GmWRI14 belongs to the plant WRI1 protein family. The overexpression plasmid DNA was transferred into the soybean cultivar Jinong38 (JN38) by agrobacterium-mediated transformation. As a result, we produced novel soybean lines containing only 11% LA content in the seed. The present study could serve as a good reference for future studies on high-quality soybean breeding.
Specifically, 510 soybean cultivars from China (Heilongjiang Province, Shandong Province, and Guangdong Province) were collected as natural populations. The soybean lines were planted in a field belonging to Guangzhou University from 2018 to 2020. Specific-Locus Amplified Fragment sequencing (SLAF-seq) technology was used to sequence the genomes of 510 soybean materials, while GWAS was conducted to find the genomic regions associated with LA. In addition, a total of 37 candidate genes were identified related to LA. A new candidate gene related to LA was discovered by GWAS in three years consistently.
2. Results
2.1. Phenotypic Variation of LA Content in Soybean Seeds
From 2018 to 2020, 510 soybean lines with different fatty acid contents were collected from three different regions and determined by NIRSTM DS 2500 (FOSS, Hillerod, Denmark) (Figure 1A). The variation range of LA was 35.12–71.28%, the standard deviation (SD) of the LA content of soybean seeds was 8.2, and the LA content of seeds approached the normal distribution (Figure 1B). The results indicated that the LA content of different soybean lines was significantly different, which was in accordance with the genetic law of quantitative traits. We used the linear regression model to analyze the relationship between LA and oleic acid. According to the linear regression model, the content of LA was significantly negatively correlated with the content of oleic acid (Figure 1C). The correlation coefficient between oleic acid and LA was −0.750.
Figure 1.
Phenotyping and genotyping of 510 soybean germplasms. (A) A total of 510 soybean germplasms from China (Heilongjiang province, Shandong province, and Guangdong province) were collected as the natural population. (B) The distribution of the LA content of different soybean lines resembled the bell-shaped curve of a normal distribution. (C) The association between the percentages of oleic acid and LA, y = −1.26x + 36.21, is a linear equation, where x represents the LA content and y represents the oleic acid content. (D) Distribution map of SNPs on different chromosomes. The abscissa is the length of the chromosomes. Each band represents one chromosome. (E) Pie chart of SNP annotations. Left panel: SNP percentages generally associated with genes. (F) Genome-wide Manhattan plots of associations for LA content for a 2018–2020 analysis. In the left panel, the x-axis indicates the SNPs along each chromosome; the Y-axis indicates the −log10 (p-value) for the association.
2.2. A New Candidate Gene Related to LA Was Discovered by GWAS in 2018–2020
In our experiments, SLAF-seq technology was used to sequence soybean genomic DNA. A total of 2,423,512 SNP markers were obtained for genetic mapping; the results of the SNP distribution on chromosomes are shown in Figure 1D. The threshold value was set at −log(p) > 4.20 (red). A total of 612 SNPs of LA were detected on chromosomes 1, 4, 9, 13, 14, 15, 16, 19, and 20. Among these, more than 50% of the SNPs were located in the intergenic regions (the stretch of DNA sequences located between genes). In total, 4.98% of the SNP loci were located in protein coding regions. Additionally, 6.34% of the SNP markers were located in introns (Figure 1E). We found that most of the SNPs on chromosome 4 were exactly located at the coding sequence coordinates (CDS): 116,500–122,890. Population structure analysis is a cluster analysis method that is currently widely applied; it is helpful for understanding the evolutionary process of materials based on SNPs. This experiment was used to analyze the soybean population structure based on 2,423,512 SNPs. We analyzed the data with EIGENSTRAT in order to study 510 soybean lines. It was concluded that the samples we collected can be represented as an admixture of two ancestral populations (Figure S1).
Based on the LA content of 510 soybean lines, the fastlmmc model was used for GWAS. SNP markers that were significantly correlated with the LA were detected. The LD distance was set to 8.9 kb and candidate genes related to LA were screened within the LD distance. Manhattan maps showing the LA content across different years (2018–2020) are shown in Figure 1F. In 2018, 17 candidate genes related to soybean LA content were screened using GWAS (Table S1), 10 candidate genes were screened by GWAS in 2019 (Table S1), and 10 candidate genes were screened in 2020 (Table S1). The functional prediction of candidate genes is also shown in Table S1. The first promising candidate gene, Glyma.04G116500.1, was detected by GWAS in three years consistently (Figure 1F). The amino acid sequence encoded by Glyma.04G116500.1 was compared with AtWRI1 (Gene ID:824599), the homology of the amino acid sequences between Glyma.04G116500.1 and AtWRI1 is 62.34%. A multiple alignment showed that Glyma.04G116500.1 contained two (AP2/EREB) DNA-binding domains, which were located at positions 54 to 220 of the amino acid sequence (Figure S2). Therefore, it is speculated that Glyma.04G116500.1 may belong to the AP2/EREBP family. There is no functional report about the candidate genes in the soybean database. According to Swissport annotation, Glyma.04G116500.1 belongs to the plant WRI1 family. The Glyma.04G116500.1 is located on chromosome 4, we named Glyma.04G116500.1 as GmWRI14.
2.3. The Expression of Candidate Gene GmWRI14 in Different Tissues and Developmental Stages of Soybean
To gain further insights into the organ-specific expression profiles of GmWRI14, the expression of the GmWRI14 gene was investigated by qRT-PCR. The results showed that the highest transcript abundance of GmWRI14 was found in soybean seeds. In order to validate its association with LA content, the GmWRI14 expression was measured in different tissues (root, stem, leaf, and seed). The lectin gene (GenBank: A5547-127) was used as a reference gene. The qRT-PCR results showed that the GmWRI14 in soybean seedlings was expressed in different tissues, but the relative expression was significantly different, ranging from 26.12 to 52.32 in seeds, from 0.87 to 4.62 in leaves, from 11.12 to 28.25 in stems, and from 16.60 to 31.12 in roots (Table S2). As a general conclusion, we can say that the correlation coefficient between GmWRI14 expression level and LA content is −0.901~−0.912 (p < 0.01) (Table S2). This result strongly indicates that the candidate gene GmWRI14 is closely related to the LA content, specifically showing a negative effect on the LA content.
2.4. The Generation and Molecular Characterization of Transgenic Soybean Plants Over-Expressing GmWRI14
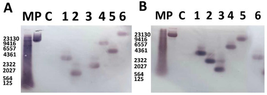
The recombinant plasmid designated pCAMBIA3300-GmWRI14 was introduced into the Agrobacterium tumefaciens strain (Figure S3). About 480 soybean cotyledon calluses were subjected to transformation. A Southern blot assay was used to detect the presence and determine the copy number of the GmWRI14 gene in the six selected putative transgenic lines, with one copy of GmWRI14 being detected in the T0/T1 generation of each line (Figure 2A,B). The full-length original blots are included in the additional files (Figure S4). The fatty acid content of the T2 generation transgenic soybean seeds was determined using a near-infrared grain analyzer. The data revealed the trend of increase in the total oil content in T2 seeds from plants grown under greenhouse conditions. The LA distribution in seeds was detected using matrix-assisted laser desorption/ionization time-of-flight imaging mass spectrometry (MALDI-TOF IMS); however, a significant decrease in LA was detected by MALDI-TOF-MS. The LA content in the positive strain decreased from 52.10% to 11.42% and the oleic acid content increased from 23.21% to 41.02% compared to the content in the JN 38 recipient (Table S3). Meanwhile, the LA content of the GmWRI14 transgenic lines was reduced under field conditions during 2021. The result indicated that GmWRI14 decreases the LA content in soybean seed. The transgenic lines and control varieties were investigated under field conditions. Both the control JN38 and transgenic lines had white flowers, round leaves, and gray hairs. There was no significant difference between the transgenic lines and control varieties. The GmWRI14 gene was highly up-regulated in transgenic soybeans compared to JN38, and its expression has been found to be closely connected to oil accumulation in various soybean plants. It has been proven that the overexpression of GmWRI14 can lead to a significant increase in the oil content (Table S3). Meanwhile, the average value of the results of three 100 grain weight measurements showed that there was an obvious difference in the 100 grains weight due to the different densities owing to the different contents of LA (Table S3). Our result demonstrates the usefulness of the GmWRI14 gene for high-quality soybean breeding.
Figure 2.
Verification of GmWRI14 expression in T0/T1 transgenic soybeans using Southern blot analysis. (A) Southern blot analysis of the copy number of the GmWRI14 expression cassette in T0 plants. (B) Copy number of the GmWRI14 expression cassette in T1 plants. P: positive control. C: control JN38. M: marker. The full-length original blot has been included in the additional files Figure S4.
2.5. The Reduction in LA Triggered by GmWRI14 Expression Is Due to the Down-Regulation of Soybean FAD2
To understand the genetic underpinnings of the variation in LA in soybean seeds, we first analyzed the differentially expressed genes (DEGs) between GmWRI14 transgenic soybeans and control JN38 using the RNA-Seq data. RNA from three biological replicates of six transgenic lines and control JN38 was sequenced; as a result, more than 5.1 × 107 clean reads were obtained for different soybean lines after removing low-quality reads, with the error rate of clean reads ranging from 0.02 to 0.03. A total of 1542 DEGs were screened by transcriptomics after a Kyoto Encyclopedia of Genes and Genomes (KEGG) analysis. The functional information of DEGs was found to contain graphical representations of cellular processes, such as LA metabolism and alpha-linolenic acid metabolism (Figure 3C). In the LA metabolism, a differentially expressed gene Volcano Plot (DEGVP) analysis revealed eight differentially expressed genes to be associated with LA metabolism (Figure 3B). To identify the FAD2 genes present in the soybean genome down-regulated by GmWRI14, we analyzed the expression of FAD2 genes in transgenic soybeans using qRT-PCR to determine whether the expression of this gene was altered. The lectin gene (GenBank: A5547-127) was used as a reference gene. As a result, the expression of GmFAD2-1A and GmFAD2-1B genes in transgenic soybean lines was reduced and the GmFAD2-1A gene was found to be expressed in different tissues. However, the relative expression was significantly lower, ranging from 1.33 to 5.31 in the transgenic soybean leaves, from 10.21 to 19.23 in stems, and from 17.32 to 23.22 in seeds (Table 1). Meanwhile, the relative expression of the GmFAD2-1B gene was significantly lower, ranging from 3.14 to 5.12 in soybean stems, from 5.46 to 9.11 in leaves, and from 21.21 to 27.35 in seeds (Table 1). As a general conclusion, the correlation coefficient between GmFAD2-1A and GmWRI14 is −0.970–−0.982 (p < 0.01) and the correlation coefficient between GmFAD2-1B and GmWRI14 is −0.880–−0.814 (p < 0.01) (Table 1). This result strongly indicates that the candidate gene GmWRI14 plays a negative role in regulating the LA content in the seeds. The LA content triggered by GmWRI14 expression is due to the down-regulation of soybean FAD2 (GmFAD2-1A and GmFAD2-1B).
Figure 3.
DEGs related to LA in GmWRI14 transgenic soybean plants. (A) Analysis of the LA distribution in soybean seed using MALDI-TOF-MS. The red region represents LA. Scale bar, 100 mm. (B) DEGs were screened by transcriptomics. The red dot represents the up-regulated genes, while the blue dot represents the down-regulated differential genes. (C) Functional characterization of GmWRI14 transgenic soybean for a KEGG enrichment analysis. (D) DEGs of a KEGG pathway map. For the GmWRI14 transgenic soybean, the enzyme labeled with a red box was related to the down-regulated gene. The number in the box represents the fatty acid dehydrogenase (enzyme number), which explains the origin of phenotypic differences through the pathway.
Table 1.
Analysis of GmFAD2-1A and GmFAD2-2B expression in different tissues of transgenic soybeans.
3. Discussion
The LA is the shortest-chain n-6 fatty acid and the most common polyunsaturated fatty acid (PUFA) in plant oils and can be present in commercial oils at levels >50% [36]. Overall, 60–70% of fatty acids in soybean oil are unsaturated; they are mainly characterized by high LA contents, which are responsible for the low oxidative stability of the oil. High temperatures cause the oxidative polymerization of LA. Soybean oil has a less than desirable fatty acid composition [37]. Low LA soybeans have a competitive agronomic yield potential, with many candidate genes associated with LA and discovered by GWAS already having been reported [13,14].
WRINKLED1 (WRI1), an APETALA2 (AP2)-type transcription factor, has been shown to be needed for the regulation of carbon partitioning into fatty acid synthesis in plant seeds [38]. In 2018, the introduction of the Arabidopsis transcription factor AtWRI1 into soybean plant led to an increasing level of palmitate up to approximately 20% [28]. In another study, the close correlation between WRI1 and Stearoy-Acyl-Carrier-Protein Desaturase (SAD) expression suggested the regulatory role of WRI1 in LA accumulation [39]. In our study, a new soybean WRINKLED 1 transcription factor GmWRI14 associated with LA in soybean seeds was detected by GWAS. The GmWRI14 is closely related to the LA content, specifically showing a negative effect on the LA content in soybean seeds. In one study, with the overexpression of AtWRI1, the levels of LA decreased from 42.1 ± 0.3% to 4.6 ± 0.3% in transgenic Arabidopsis plants [40]. In our study, transgenic soybean lines harboring GmWRI14 displayed a 5-fold decrease in LA compared to the control soybean line JN38. Under the control of the seed-specific napin promoter, GmWRI1 led to oil accumulation in soybean seed [41]. Similar results were reported from our research, with the overexpression of GmWRI14 in soybean increasing the oil content in soybean seed. To identify GmFAD2-1A and GmFAD2-1B genes present in the soybean genome down-regulated by GmWRI14, a qRT-PCR analysis was conducted. These results indicate that GmWRI14 specifically down-regulates GmFAD2-1A and GmFAD2-1B in transgenic soybean plants, leading to a decrease in LA.
In previous research, candidate SNPs and genes significantly associated with LA were screened by GWAS. The functions of the candidate genes involved in LA metabolism and regulation, such as transcription activator-like effector nucleases (TALENs), acetyl-CoA carboxylase biotin carboxylase subunit, glycosyltransferase group 1, and FAD2, were identified [16,17,18]. In our work, GWAS was used to find potential SNPs and genes correlated with the LA content, with most SNPs on chromosome 4 being found to be exactly located at CDS region 11,65,00–12,28,90, the region identified for the LA is colocalizing with previously studied [1,2]. The candidate gene GmWRI14 was detected in different years. We introduced GmWRI14 into soybean, translated it to an oil with low LA, and noticed discernable changes in the total oil content under a greenhouse or field environment. The transgenic soybean lines also showed the requirement for both seed-specific homologues of FAD2 in soybean to be down-regulated to achieve a lower LA content to be verified. The overexpression of GmWRI14 led to the accumulation of more C18:1 and less C18:2, creating soybean oil with a high oleic acid/linoleic acid ratio. This is the first time that WRI1 had been reported to be associated with LA content in soybean. Our results provide a basis for deciphering the mechanisms underlying the determination of fatty acid composition. The widespread limitation of soybean oil production is due to the rapid development of rancidity during the storage of oil, leading to the generation of off flavors [42,43,44]; therefore, it is necessary to adopt a stabilization step to decrease the content of polyunsaturated fatty acids in soybean seed.
Since WRI1 has been shown to be required for the regulation of carbon partitioning into fatty acid synthesis in plant seeds, many studies to date have focused on identifying genes upregulated by WRI1; several target genes, including Arabidopsis hemoglobin 1 (AtGLB1) and Glycerol-3-Phosphate Acyltransferase (GPAT), have been found. In our study, many rate-limiting genes involved in glycolysis, PPP, and FA synthesis and desaturation, such as SAD, BS, MCMT, TAL, and FAD2, showed an expression correlation with GmWRI14 (Figure 4). In A. thaliana, the WRINKLED transcription factor is known to activate genes that regulate fatty acid biosynthesis in seeds via binding the AW box (Figure 4). While these genes explain some facets of the WRI1 overexpression phenotype, they do not fully account for the WRI1 function, suggesting that additional target genes remain to be discovered. Meanwhile, the repressor functions of WRI1 have been poorly investigated. In this study, we demonstrated a transcriptional repressor function of GmWRI14, showing that GmWRI14 repressed the FAD2, which has not been reported in previous studies. Our results significantly improve our understanding of the transcriptional control exerted by GmWRI14 (Figure 4). The lack of an AW-box-related cis element in the promoter of FAD2 suggests that the GmWRI14-mediated regulation of this gene might be indirect. Thus, it is reasonable to speculate that another trans-acting factor (depicted as “X” in Figure 4) that is specifically associated with repressed target genes converts GmWRI14 into a repressor. Although we mainly focused on the selected target gene in the current study, many potentially interesting target genes are repressed by GmWRI14. An interesting topic for future studies would be testing the relative contribution of the co-repressor functions of GmWRI14 in A. thaliana models.
Figure 4.
The model depicting transcriptional control by GmWRI14. Red arrow lines represent the possible regulatory roles of GmWRI14. Blue bar: GmWRI14 suppresses the expression of FAD2 gene by cooperating with the trans-acting factor (depicted as “X”). Abbreviations: PEPCK, phosphoenolpyruvate carboxykinase; SAD, stearoyl-ACP desaturase; BS, biotin synthase; KAS, ketoacyl-ACP synthase; EAR1, enoyl-ACP reductase 1; KAR, ketoacyl-ACP reductase; MCMT, malonyl-CoA; BC, biotin carboxylase; TAL, transaldolase; FAD2, fatty acid desaturase 2. Black arrow in G-Box/E-Box: G-Box/E-Box elements regulate FAD2 gene transcription; blue bar in G-Box/E-Box: GmWRI14 suppresses the expression of FAD2 genes by interfering with E-Box/G-Box-mediated transcription.
4. Materials and Methods
4.1. The Plant Materials
In total, 510 soybean materials were provided by the Biotechnology Center of Jilin Agricultural University and Guangzhou University of Chinese Medicine. The soybean materials were planted in 2017–2018 in Changchun, China (123.53° E, 23.84° N); in 2018–2019 in Qingdao, China (120.41° E, 36.39° N); and in 2019–2020 in Guangdong, China (113.41° E, 23.31° N). A randomized complete block design was used. The field was divided into three blocks and those were subdivided into eight sections. During late R8 soybean growth stages, the seeds were harvested and then the harvested seeds were used for phenotyping for the LA content.
4.2. Determination of Fatty Acids in Soybean Seeds
The content of LA and four other fatty acids (stearic acid, palmitic acid, oleic acid, and linolenic acid) in 510 soybean cultivars seeds was determined by NIRSTM DS 2500 (FOSS, Hillerod, Denmark). Fresh seeds of the R8 stages were ground into a fine powder in liquid nitrogen and we put the powder into the instrument. The near-infrared spectroscopy mathematical model of soybean fatty acid content was provided by the Beijing Biomarker Biotechnology Company, PR China. The LA distribution in the seed was detected using MALDI-TOF-MS. The matrices were prepared according to the layer method of the instrument maker’s manual using 9-aminoacridines (C13H10N2). The Matrix (1 μL) was spotted onto an MSP 96 target polished steel (Bruker Daltonics, Bremen, Germany) and allowed to air dry for approximately 5 min at room temperature. Each sample (1 μL) was diluted in 50 μL of matrix, and 1–1.5 μL of the sample/matrix mixture was deposited on the top of the matrix thin layer and then dried at room temperature. LA were measured on a MALDI Microflex LT instrument equipped with a 60 Hz nitrogen laser (Bruker Daltonics, Bremen, Germany). Mass spectra were recorded in the linear positive mode and externally calibrated using an LA standard. To increase the detection sensitivity, the following conditions were used: mass range 34,211–52,571 Da, sample rate 1.00 GS/s, laser shots 100, laser power 85%, laser frequency 60, and detector gain 33X. Each extracted sample was analyzed at least three times. The SPSS version 22.0 software (SPSS Inc., Chicago, IL, USA) was used to calculate the correlation coefficient of fatty acid.
4.3. Genotyping of Soybean Germplasms
The total genomic DNA was extracted from the leaves of each soybean line using the CTAB method according to Murray and Thompson [45]. The 510 soybean materials were genotyped by SLAF-seq and SNP molecular markers were developed [1]. The sequencing service was provided by Beijing Biomarker Biotechnology Company, PR China. SNP molecular markers were used for GWAS analysis and a population structure analysis. The restriction endonuclease combination was RsaI-HaeIII. Population structure analysis can be used to quantify the number of ancestors of the studied population and infer the source of each sample. Based on the SNPs, the EIGENSOFT version 5.0 software (Broad Institute of MIT and Harvard, Cambridge, MA, USA) was used to assess the population structure.
4.4. The Genome-Wide Association Analysis (GWAS)
Based on the 2,423,512 SNP markers obtained by SLAF-Seq technology, all the SNP markers obtained from genotyping were used for GWAS. The TASSEL software can calculate the Q matrix of sample population structure according to the K matrix and finally obtain a correlation value for each SNP maker. The threshold value was set at −log(p) > 4.20. In this experiment, Manhattan maps were constructed using the Haploview software (BROAD Inc., Chicago, IL, USA). The Manhattan map was used to represent the correlation between genotypic data and phenotypic data, and correlation values between SNP markers and LA content were obtained. In this study, the fastlmmc model was used for GWAS and the candidate genes were predicted using the Swiss-Prot and NR databases. We evaluated the genome-wide LD in 510 accessions and found that the LD (R2) values decayed to half of the maximum value within 8.9 kb. Using 8.9 kb as the linkage disequilibrium attenuation distance, candidate genes related to soybean linoleic acid traits were screened within the LD distance.
4.5. Quantitative Reverse Transcription-PCR
The total RNA was extracted using the Eastep® Super total RNA extraction Kit (TaKaRa, Vero Beach, FL, USA), then cDNA synthesis was performed using a reverse transcription kit (Omega, Norcross, GA, USA). The qRT-PCR analysis was performed using a Bio-Rad CFX system (Amersham Biosciences, Little Chalfont, Buckinghamshire, UK). Gene-specific primer pairs P3: (5′-TTGCCTGTCTAGATCCACAGCTGGTACCGAT-3′) and P4: (5′-TTGTGACCTCGACCTATTGGCGTTACCAATT-3′) were used to amplify GmWRI14. The lectin gene (GenBank: A5547–127) was used as the reference gene. The reference gene was amplified with primer pairs P5: (5′-GCACTTAAGATACTCTAGGTAC-3′) and P6: (5′-CCACCTCCCTACTATCCATT-3′). The amplification reaction conditions were pre-denaturation at 95 °C for 10 min, with denaturation at 95 °C for 10 s, annealing at 53 °C for 20 s, and extension at 72 °C for 15 s. The amplification reaction conditions for the gene GmWRI14 were pre-denaturation at 95 °C for 10 min, denaturation at 95 °C for 30 s, annealing at 59 °C for 30 s, extension at 72 °C for 35 s, 35 cycles, and extension at 72 °C for 10 min. Three biological replicates were used for each gene.
4.6. Vector Construction and Plant Transformation
The 1815 bp cDNA of the GmWRI14 gene from the cultivar JN38 was ligated into the BamHI-SacI site of pCAMBIA3300 to place the coding region under the regulatory control of the 35S promoter and nos terminator. The recombinant plasmid was named pCAMBIA3300- GmWRI14, and then the recombinant plasmid was introduced into the Agrobacterium tumefaciens strain. We introduced GmWRI14 into the soybean cultivar JN38 (Approval number 2012010) using the Agrobacterium tumefaciens strain LBA4404 [46]. The transformation process was divided into five sequential steps: bacterial inoculation, cocultivation, resting, selection, and plant regeneration. The callus tissue used was originally derived from the cotyledon-nodes of soybean. The seed of JN38 possesses good agronomic characteristics with a normal LA content. T0 plants (primary transformants) established in the green house that grew normally, flowered, and set seeds.
4.7. The RNA-Seq Library Preparation and Sequencing
The plant samples were processed for total RNA extraction using the Eastep® Super total RNA extraction kit (TaKaRa, Vero Beach, FL, USA). The RNA quality was checked using a Nanodrop 2000c (Thermo Scientific, Hudson, OH, USA). RNA-seq library preparation and sequencing were performed using the protocols described previously [47,48,49]. The fold change for gene expression was calculated by normalizing Ct values at each developmental stage against an endogenous control (Gmβ-actin: Gm15g05570) using the 2−ΔΔCt method [50].
4.8. Data Analysis
The phenotypic data were measured and recorded using the Microsoft Excel 2020 software. Each data point was based on three replicates. A differential saliency analysis, analysis of variance, correlation analysis, and descriptiveness analysis were performed using the SPSS 22.0 (SPSS Inc., Chicago, IL, USA) software [50]. The statistical significance at p ≤ 0.01 was calculated. The histograms were constructed using the Graphpad Prism software (Graphpad Company, San Diego, CA, USA).
5. Conclusions
In this study, a genome-wide association study (GWAS) was conducted on a panel of 510 germplasm resources. We combined the GWAS and RNA-seq methods to identify candidate genes for LA metabolism in soybean seeds. A new candidate gene, GmWRI14, was discovered by GWAS in three consecutive years. The RNA-seq results indicated that the down-regulation of the FAD2-1A and FAD2-2B genes triggered by the transcription factor GmWRI14 is the underlying mechanism reducing the LA level of seeds. These results could help geneticists and breeders to better understand the deposition of LA in soybean seeds. Meanwhile, this study also contributes key clues, providing further illumination of the regulatory mechanism of fatty acid accumulation.
Supplementary Materials
The following are available online at https://www.mdpi.com/article/10.3390/ijms23010454/s1.
Author Contributions
Conceptualization, Q.D. and X.L.; Methodology, Q.D.; Software, X.L. and H.L.; project administration, Q.D. and C.M.; Investigation, Q.Z. and A.P.; writing—original draft, Q.D.; Writing—review and editing, Q.D. and X.L. All authors have read and agreed to the published version of the manuscript.
Funding
The project was funded by National Genetically Modified New Varieties of Major Projects of China (2019X8002-002).
Institutional Review Board Statement
Not applicable.
Informed Consent Statement
Not applicable.
Data Availability Statement
The data that support the findings of this study are available from (Beijing Biomarker Biotechnology Co., Ltd., Beijing, China), but restrictions apply regarding the availability of these data, which were used under license for the current study and so are not publicly available. Data are, however, available from the authors upon reasonable request and with the permission of (Beijing Biomarker Biotechnology Co., Ltd., Beijing, China). Other datasets supporting the conclusions of this article are included within the article and its additional files.
Acknowledgments
We are grateful for the generous grant from the Biotechnology Center of Jilin Agricultural University and the Jilin Academy of Agricultural Sciences that made this work possible.
Conflicts of Interest
The authors declare no conflict of interest.
References
- Liu, X.; Qin, D.; Piersanti, A.; Zhang, Q.; Miceli, C.; Wang, P. Genome-wide association study identifies candidate genes related to oleic acid content in soybean seeds. BMC Plant. Biol. 2020, 20, 399–413. [Google Scholar] [CrossRef] [PubMed]
- Zhao, X.; Jiang, H.; Feng, L.; Qu, Y.; Teng, W.; Qiu, L.; Zheng, H.; Han, Y.; Li, W. Genome-wide association and transcriptional studies reveal novel genes for unsaturated fatty acid synthesis in a panel of soybean accessions. BMC Genom. 2019, 20, 68–84. [Google Scholar] [CrossRef] [Green Version]
- Zhang, Y.; He, J.; Wang, H.; Meng, S.; Xing, G.; Li, Y.; Yang, S.; Zhao, J.; Zhao, T.; Gai, J. Detecting the QTL-allele system of seed oil traits using multi-locus genome-wide association analysis for population characterization and optimal cross prediction in soybean. Front. Plant Sci. 2018, 9, 1793. [Google Scholar] [CrossRef] [Green Version]
- Clemente, T.E.; Cahoon, E.B. Soybean oil: Genetic approaches for modification of functionality and total content. Plant. Physiol. 2009, 151, 1030–1040. [Google Scholar] [CrossRef] [Green Version]
- De Groot, R.H.; Hornstra, G.; van Houwelingen, A.C.; Roumen, F. Effect of α-linolenic acid supplementation during pregnancy on maternal and neonatal polyunsaturated fatty acid status and pregnancy outcome. Am. J. Clin. Nutr. 2004, 79, 251–260. [Google Scholar] [CrossRef] [Green Version]
- Chan, J.K.; Bruce, V.M.; McDonald, B.E. Dietary α-linolenic acid is as effective as oleic acid and linoleic acid in lowering blood cholesterol in normolipidemic men. Am. J. Clin. Nutr. 1991, 53, 1230–1234. [Google Scholar] [CrossRef]
- Maskan, M.; Karataş, Ş. Fatty acid oxidation of pistachio nuts stored under various atmospheric conditions and different temperatures. J. Sci. Food Agric. 1998, 77, 334–340. [Google Scholar] [CrossRef]
- Yang, L.; Cao, Y.; Chen, J.-N.; Chen, Z.-Y. Oxidative stability of conjugated linolenic acids. J. Agric. Food Chem. 2009, 57, 4212–4217. [Google Scholar] [CrossRef]
- Tompkins, C.; Perkins, E.G. Frying performance of low-linolenic acid soybean oil. J. Am. Oil Chem. Soc. 2000, 77, 223–229. [Google Scholar] [CrossRef]
- Marangoni, F.; Agostoni, C.; Borgh, C.; Catapano, A.L.; Cena, H.; Ghiselli, A.; La Vecchia, C.; Lercker, G.; Manzato, E.; Pirillo, A. Dietary linoleic acid and human health: Focus on cardiovascular and cardiometabolic effects. Atherosclerosis 2020, 292, 90–98. [Google Scholar] [CrossRef] [Green Version]
- Thomsen, C.; Rasmussen, O.; Lousen, T.; Holst, J.J.; Fenselau, S.; Schrezenmeir, J.; Hermansen, K. Differential effects of saturated and monounsaturated fatty acids on postprandial lipemia and incretin responses in healthy subjects. Am. J. Clin. Nutr. 1999, 69, 1135–1143. [Google Scholar] [CrossRef] [Green Version]
- Do, P.T.; Nguyen, C.X.; Bui, H.T.; Tran, L.T.; Stacey, G.; Gillman, J.D.; Zhang, Z.J.; Stacey, M.G. Demonstration of highly efficient dual gRNA CRISPR/Cas9 editing of the homeologous GmFAD2–1A and GmFAD2–1B genes to yield a high oleic, low linoleic and α-linolenic acid phenotype in soybean. BMC Plant Biol. 2019, 19, 311–325. [Google Scholar] [CrossRef]
- Singh, S.; Thomaeus, S.; Lee, M.; Stymne, S.; Green, A. Transgenic expression of a Δ12-epoxygenase gene in Arabidopsis seeds inhibits accumulation of linoleic acid. Planta 2001, 212, 872–879. [Google Scholar] [CrossRef]
- Sivaraman, I.; Arumugam, N.; Sodhi, Y.S.; Gupta, V.; Mukhopadhyay, A.; Pradhan, A.K.; Burma, P.K.; Pental, D. Development of high oleic and low linoleic acid transgenics in a zero erucic acid Brassica juncea L. (Indian mustard) line by antisense suppression of the FAD2 gene. Mol. Breed. 2004, 13, 365–375. [Google Scholar] [CrossRef]
- Li, H.; Thrash, A.; Tang, J.D.; He, L.; Yan, J.; Warburton, M.L. Leveraging GWAS data to identify metabolic pathways and networks involved in maize lipid biosynthesis. Plant. J. 2019, 98, 853–863. [Google Scholar] [CrossRef] [Green Version]
- Lakhssassi, N.; Zhou, Z.; Liu, S.; Colantonio, V.; AbuGhazaleh, A.; Meksem, K. Characterization of the FAD2 gene family in soybean reveals the limitations of gel-based TILLING in genes with high copy number. Front. Plant Sci. 2017, 8, 324. [Google Scholar] [CrossRef] [Green Version]
- Wen, S.; Liu, H.; Li, X.; Chen, X.; Hong, Y.; Li, H.; Lu, Q.; Liang, X. TALEN-mediated targeted mutagenesis of fatty acid desaturase 2 (FAD2) in peanut (Arachis hypogaea L.) promotes the accumulation of oleic acid. Plant. Mol. Biol. 2018, 97, 177–185. [Google Scholar] [CrossRef]
- Yang, J.; Xing, G.; Niu, L.; He, H.; Guo, D.; Du, Q.; Qian, X.; Yao, Y.; Li, H.; Zhong, X. Improved oil quality in transgenic soybean seeds by RNAi-mediated knockdown of GmFAD2-1B. Transgenic Res. 2018, 27, 155–166. [Google Scholar] [CrossRef]
- Povkhova, L.; Pushkova, E.; Dmitriev, A.; Kezimana, P.; Novakovskiy, R.; Melnikova, N.; Rozhmina, T.; Krasnov, G. Molecular markers based on SNPs in FAD3 genes for determination of linolenic acid content in flax seed. Bioinform. Genome Regul. Struct./Syst. Biol. 2020, 35, 334–335. [Google Scholar]
- Thapa, R.; Carrero-Colón, M.; Addo-Quaye, C.; Held, J.; Dilkes, B.; Hudson, K.A. New alleles of FAD3A lower the linolenic acid content of soybean seeds. Crop. Sci. 2018, 58, 713–718. [Google Scholar] [CrossRef]
- Held, J.P.; Carrero-Colón, M.; Hudson, K.A. Combination of novel mutation in FAD3C and FAD3A for low linolenic acid soybean. Agrosystems Geosci. Environ. 2019, 2, 6–10. [Google Scholar] [CrossRef]
- Kong, Q.; Yuan, L.; Ma, W. Wrinkled1, a “Master Regulator” in transcriptional control of plant oil biosynthesis. Plants 2019, 8, 238. [Google Scholar] [CrossRef] [Green Version]
- Kong, Q.; Yang, Y.; Guo, L.; Yuan, L.; Ma, W. Molecular basis of plant oil biosynthesis: Insights gained from studying the WRINKLED1 transcription factor. Front. Plant Sci. 2020, 291, 11–24. [Google Scholar] [CrossRef] [Green Version]
- Tang, T.; Du, C.; Song, H.; Aziz, U.; Wang, L.; Zhao, C.; Zhang, M. Genome-wide analysis reveals the evolution and structural features of Wrinkled1 in plants. Mol. Genet. Genom. 2019, 294, 329–341. [Google Scholar] [CrossRef]
- Kuczynski, C.; McCorkle, S.; Keereetaweep, J.; Shanklin, J.; Schwender, J. An expanded role for WRINKLED1 metabolic control based on combined phylogenetic and biochemical analyses. Bio Rxiv 2020, 56, 231–242. [Google Scholar]
- Guo, W.; Chen, L.; Chen, H.; Yang, H.; You, Q.; Bao, A.; Chen, S.; Hao, Q.; Huang, Y.; Qiu, D. Overexpression of GmWRI1b in soybean stably improves plant architecture and associated yield parameters, and increases total seed oil production under field conditions. Plant. Biotechnol. J. 2020, 18, 1639–1641. [Google Scholar] [CrossRef] [PubMed]
- Zhang, X.; Hong, M.; Wan, H.; Luo, L.; Yu, Z.; Guo, R. Identification of key genes involved in embryo development and differential oil accumulation in two contrasting maize genotypes. Genes 2019, 10, 993. [Google Scholar] [CrossRef] [PubMed] [Green Version]
- Vogel, P.A.; Bayon de Noyer, S.; Park, H.; Nguyen, H.; Hou, L.; Changa, T.; Khang, H.L.; Ciftci, O.N.; Wang, T.; Cahoon, E.B. Expression of the Arabidopsis WRINKLED 1 transcription factor leads to higher accumulation of palmitate in soybean seed. Plant. Biotechnol. J. 2019, 17, 1369–1379. [Google Scholar] [CrossRef]
- Kong, Q.; Ma, W. Wrinkled1 transcription factor: How much do we know about its regulatory mechanism? Plant. Sci. 2018, 272, 153–156. [Google Scholar] [CrossRef]
- Chen, L.; Zheng, Y.; Dong, Z.; Meng, F.; Sun, X.; Fan, X.; Zhang, Y.; Wang, M.; Wang, S. Soybean (Glycine max) Wrinkled1 transcription factor, GmWRI1a, positively regulates seed oil accumulation. Mol. Genet. Genom. 2018, 293, 401–415. [Google Scholar] [CrossRef]
- Svishcheva, G.R.; Axenovich, T.I.; Belonogova, N.M.; Van Duijn, C.M.; Aulchenko, Y.S. Rapid variance components–based method for whole-genome association analysis. Nat. Genet. 2012, 44, 1166–1170. [Google Scholar] [CrossRef] [PubMed]
- Zeng, A.; Chen, P.; Korth, K.; Hancock, F.; Pereira, A.; Brye, K.; Wu, C.; Shi, A. Genome-wide association study (GWAS) of salt tolerance in worldwide soybean germplasm lines. Mol. Breed. 2017, 37, 30–44. [Google Scholar] [CrossRef]
- Wang, L.; Yang, Y.; Zhang, S.; Che, Z.; Yuan, W.; Yu, D. GWAS reveals two novel loci for photosynthesis-related traits in soybean. Mol. Genet. Genom. 2020, 295, 345–356. [Google Scholar] [CrossRef]
- Yu, Z.; Chang, F.; Lv, W.; Sharmin, R.A.; Wang, Z.; Kong, J.; Bhat, J.A.; Zhao, T. Identification of QTN and candidate gene for seed-flooding tolerance in soybean [Glycine max (L.) Merr.] using genome-wide association study (GWAS). Genes 2019, 10, 957. [Google Scholar] [CrossRef] [Green Version]
- Zhang, T.; Wu, T.; Wang, L.; Jiang, B.; Zhen, C.; Yuan, S.; Hou, W.; Wu, C.; Han, T.; Sun, S. A combined linkage and GWAS analysis identifies QTLs linked to soybean seed protein and oil content. Int. J. Mol. Sci. 2019, 20, 5915. [Google Scholar] [CrossRef] [Green Version]
- Whelan, J.; Fritsche, K. Linoleic acid. Adv. Nutr. 2013, 4, 311–312. [Google Scholar] [CrossRef]
- Hammond, E.G.; Johnson, L.A.; Su, C.; Wang, T.; White, P.J. Soybean oil. Bailey’s Ind. Oil Fat Prod. 2005, 32, 114–124. [Google Scholar]
- Cerna, A.; Benning, C. Wrinkled1 encodes an AP2/EREB domain protein involved in the control of storage compound biosynthesis in Arabidopsis. Plant J. 2004, 40, 575–585. [Google Scholar] [CrossRef]
- An, D.; Suh, M.C. Overexpression of Arabidopsis WRI1 enhanced seed mass and storage oil content in Camelina sativa. Plant Biotechnol. Rep. 2015, 9, 137–148. [Google Scholar] [CrossRef]
- Baud, S.; Wuillème, S.; To, A.; Rochat, C.; Lepiniec, L. Role of WRINKLED1 in the transcriptional regulation of glycolytic and fatty acid biosynthetic genes in Arabidopsis. Plant J. 2009, 60, 933–947. [Google Scholar] [CrossRef] [PubMed]
- Nakagawa, A.C.; Ario, N.; Tomita, Y.; Tanaka, S.; Murayama, N.; Mizuta, C.; Iwaya-Inoue, M.; Ishibashi, Y. High temperature during soybean seed development differentially alters lipid and protein metabolism. Plant Prod. Sci. 2020, 23, 504–512. [Google Scholar] [CrossRef] [Green Version]
- Aladedunye, F.A.; Przybylski, R. Degradation and nutritional quality changes of oil during frying. J. Am. Oil Chem. Soc. 2009, 86, 149–156. [Google Scholar] [CrossRef]
- Robards, K.; Kerr, A.F.; Patsalides, E. Rancidity and its measurement in edible oils and snack foods, A review. Analyst 1988, 113, 213–224. [Google Scholar] [CrossRef]
- Esfarjani, F.; Khoshtinat, K.; Zargaraan, A.; Mohammadi-Nasrabadi, F.; Salmani, Y.; Saghafi, Z.; Hosseini, H.; Bahmaei, M. Evaluating the rancidity and quality of discarded oils in fast food restaurants. Food Sci. Nutr. 2019, 7, 2302–2311. [Google Scholar] [CrossRef] [PubMed]
- Murray, M.; Thompson, W.F. Rapid isolation of high molecular weight plant DNA. Nucleic Acids Res. 1980, 8, 4321–4326. [Google Scholar] [CrossRef] [Green Version]
- Holsters, M.; De Waele, D.; Depicker, A.; Messens, E.; Van Montagu, M.; Schell, J. Transfection and transformation of Agrobacterium tumefaciens. Mol. Gen. Genet. MGG 1978, 163, 181–187. [Google Scholar] [CrossRef]
- Zhong, S.; Joung, J.-G.; Zheng, Y.; Chen, Y.; Liu, B.; Shao, Y.; Xiang, J.Z.; Fei, Z.; Giovannoni, J.J. High-throughput illumina strand-specific RNA sequencing library preparation. Cold Spring Harb. Protoc. 2011, 8, 940. [Google Scholar] [CrossRef] [PubMed] [Green Version]
- Sultan, M.; Dökel, S.; Amstislavskiy, V.; Wuttig, D.; Sültmann, H.; Lehrach, H.; Yaspo, M.-L. A simple strand-specific RNA-Seq library preparation protocol combining the Illumina TruSeq RNA and the dUTP methods. Biochem. Biophys. Res. Commun. 2012, 422, 643–646. [Google Scholar] [CrossRef] [PubMed] [Green Version]
- Kumar, R.; Ichihashi, Y.; Kimura, S.; Chitwood, D.H.; Headland, L.R.; Peng, J.; Maloof, J.N.; Sinha, N.R. A high-throughput method for Illumina RNA-Seq library preparation. Front. Plant Sci. 2012, 3, 202. [Google Scholar] [CrossRef] [Green Version]
- Livak, K.J.; Schmittgen, T.D. Analysis of relative gene expression data using real-time quantitative PCR and the 2−ΔΔCT method. Methods 2001, 25, 402–408. [Google Scholar] [CrossRef]
Publisher’s Note: MDPI stays neutral with regard to jurisdictional claims in published maps and institutional affiliations. |
© 2021 by the authors. Licensee MDPI, Basel, Switzerland. This article is an open access article distributed under the terms and conditions of the Creative Commons Attribution (CC BY) license (https://creativecommons.org/licenses/by/4.0/).



