Abstract
Verticillium stripe in canola (Brassica napus L.) caused by Verticillium longisporum was first reported in Manitoba in 2014. In this study, Brassica crops including canola, mustard (Brassica juncea) and radish (Raphanus sativus) with visible symptoms of Verticillium stripe were collected from Portage La Prairie, Manitoba, and the pathogens were isolated. Isolates from canola and radish were identified to V. longisporum, which produced longer conidia (7.92–12.00 µm) than Verticillium dahliae (4.32–7.04 µm). An isolate derived from mustard was characterized as V. dahliae. Molecular diagnostics with 18S rDNA, 5.8S rDNA and mating-type marker primers were used to confirm the identification of Verticillium isolates. PCR-RFLP of the mitochondrial small subunit rDNA and the cytochrome b gene were also employed to distinguish V. longisporum isolates from V. dahliae. The multi-gene characterization approach allowed for lineage determination, and V. longisporum isolates from canola and radish were in the A1/D1 group. Isolates of Verticillium longisporum from canola inoculated onto the canola cultivar ‘Westar’ caused symptoms of stem striping, stunting and short plants. Re-isolated fungal strains from infected stems were again inoculated onto canola plants, in order to confirm that V. longisporum was the causal agent of Verticillium stripe disease in the pathogenicity test.
1. Introduction
Canola (Brassica napus L. AACC, 2n = 38) is a relatively young species derived from a spontaneous interspecific hybridization between Brassica rapa L. (AA, 2n = 20) and Brassica oleracea L. (CC, 2n = 18) [1]. Canola is one of the most important oilseed crops worldwide, especially in Canada, where approximately 21.3 million tonnes were produced in 2017 (Canola Council of Canada 2018). Mustard (Brassica juncea L. AABB, 2n = 36) is an amphidiploid derived from the combination of two diploid genomes (B. rapa and B. nigra L. BB, 2n = 16). Radish (Raphanus sativus L. 2n = 2x = 18) is a member of the family Brassicaceae, and is closely related to B. rapa [2]. Verticillium stripe in canola, which is caused by Verticillium longisporum, was first observed and confirmed in Manitoba in 2014 (Canola Council of Canada). A survey conducted by the Canadian Food Inspection Agency and the Canola Council of Canada confirmed the presence of the pathogen in canola stubble from British Columbia, Alberta, Saskatchewan, Ontario and Quebec (http://www.inspection.gc.ca/plants/plant-pests-invasive-species/diseases/verticillium-stripe/eng/1420746212959/1420746213803).
A Verticillium species supposedly representing V. longisporum (but not named so) was first described on Brussel sprouts (isolate 111) in the UK by Isaac in 1957 [3]. Verticillium longisporum (ex. Verticillium dahliae var. longisporum Stark) was first identified from horseradish in Germany in 1961 [4]. The V. longisporum represents a distinct group compared to V. dahliae [4,5], and the distinction of the taxonomic group was confirmed by molecular analysis [6]. Verticillium stripe disease caused by V. longisporum on oilseed rape (canola) has been reported in Europe, specifically in France, Germany, Russia and Sweden [7,8]. Ikeda et al. (2012) found that V. longisporum is the major pathogen on Chinese cabbage in Japan [9].
Verticillium dahliae, a close relative of V. longisporum which causes vascular wilt symptoms in canola, was first reported in North America in 2017 [10]. Verticillium dahliae has an extensive plant host range, and can cause Verticillium wilt disease in more than 200 economically important plant species, including potato (Solanum tuberosum L.), sunflower (Helianthus annuus L.) and canola [8,11,12,13], while V. longisporum is mostly restricted to oilseed rape in Europe [8]. Verticillium longisporum does affect other Brassica crops, including broccoli, cauliflower, cabbage, field mustard, horseradish, radish and turnip in Europe, the United States and Japan [14,15,16]. Verticillium stripe is a monocyclic and soil-borne fungal disease. This pathogen can enter the vascular system directly through the roots, or through hyphal penetration of an open wound in the roots. Hyphae and conidia are produced in the xylem, and move through the vascular system. Peeling off the outer skin of the stem on infected plants reveals blackening on the inside of the stem and multicellular microsclerotia (https://www.canolacouncil.org/canola-encyclopedia/diseases/verticillium/#fnote6, Canola Council of Canada).
Molecular studies indicate that V. longisporum has an unusual evolutionary history. Verticillium longisporum is a diploid derived from the hybridization of at least three different lineages representing different parental species (V. longisporum A1/D1, A1/D2 and A1/D3). The three lineages are hybrids of four ancestral lineages, including the hitherto undescribed Verticillium species A1 and species D1, and two V. dahliae lineages referred to as V. dahliae D2 and D3. The resulting V. longisporum lineages are A1/D1, A1/D2 and A1/D3 [8]. Eynck et al. (2009) indicated that V. longisporum was more virulent on oilseed rape than V. dahliae, due to its hybrid ancestry [17]. Enhanced virulence may result from lineage-specific genetic and epigenetic changes of involved ancestors generated after hybridization [18]. The objectives of this study were to identify and characterize Verticillium isolates from Brassica crops, including canola, mustard and radish, by morphological observation and molecular analysis. The lineages of these characterized isolates were confirmed with a multiplex polymerase chain reaction (PCR) assay. We also performed greenhouse pathogenicity tests of a V. longisporum isolate to understand its potential threat and effects on canola.
2. Results
2.1. Pathogen Isolation
Naturally infected sampled stems exhibited black striping on the stem with microsclerotia. Twenty-nine Verticillium isolates from canola, one isolate from radish and one isolate from mustard were obtained (Table S1).
2.2. Morphological Identification
Verticillium isolate VL-H1 was obtained from canola tissue and grown on potato dextrose agar (PDA) for 14 days, which produced white colored mycelia on the top of cultures (Figure 1a). The V. dahliae isolate displayed greyish colonies with radiating ridges (Figure 1b). The mean length of Verticillium isolate VL-H1 conidia was significantly longer than that of the V. dahliae isolate (Vd1396-9) (Figure 1c,d,i). The Verticillium isolate from canola (VL-H1) produced longer conidia, ranging from 7.92 to 12.00 µm (mean 10.08 µm), while the mean length of V. dahliae isolate conidia was 5.27 µm and ranged from 4.32 to 7.04 µm (Figure 1i). Under the microscope, the Verticillium isolate VL-H1 from canola produced irregularly-shaped microsclerotia (Figure 1e), while colonies of the V. dahliae isolate (Vd1396-9) formed regularly-shaped microsclerotia (Figure 1f). Isolated VL-H1 produced more branched hyphae, while the V. dahliae isolate produced less profusely branched hyphae (Figure 1g,h). Taken together, the colony growth, conidia length, microsclerotia and hyphal traits suggest that the Verticillium isolate VL-H1 was V. longisporum. The other 28 isolates that were derived from canola and the one isolate identified from radish all exhibited similar morphological characteristics, suggesting that they too were V. longisporum. However, one isolate retrieved from mustard displayed morphological traits similar to V. dahliae. These results were further validated through molecular identification.
Figure 1.
Morphological comparison of isolate VL-H1 of Verticillium longisporum (a,c,e,g) with Vd1396-9 of Verticillium dahliae (b,d,f,h). (a,b) Culture characteristics of Verticillium isolates; (c,d) Conidia observation (×40); (e,f) Microsclerotia (×40); and (g,h) Hyphae (×40). (i) Statistical analysis of V. longisporum and V. dahliae conidia length.
2.3. PCR Characterisation
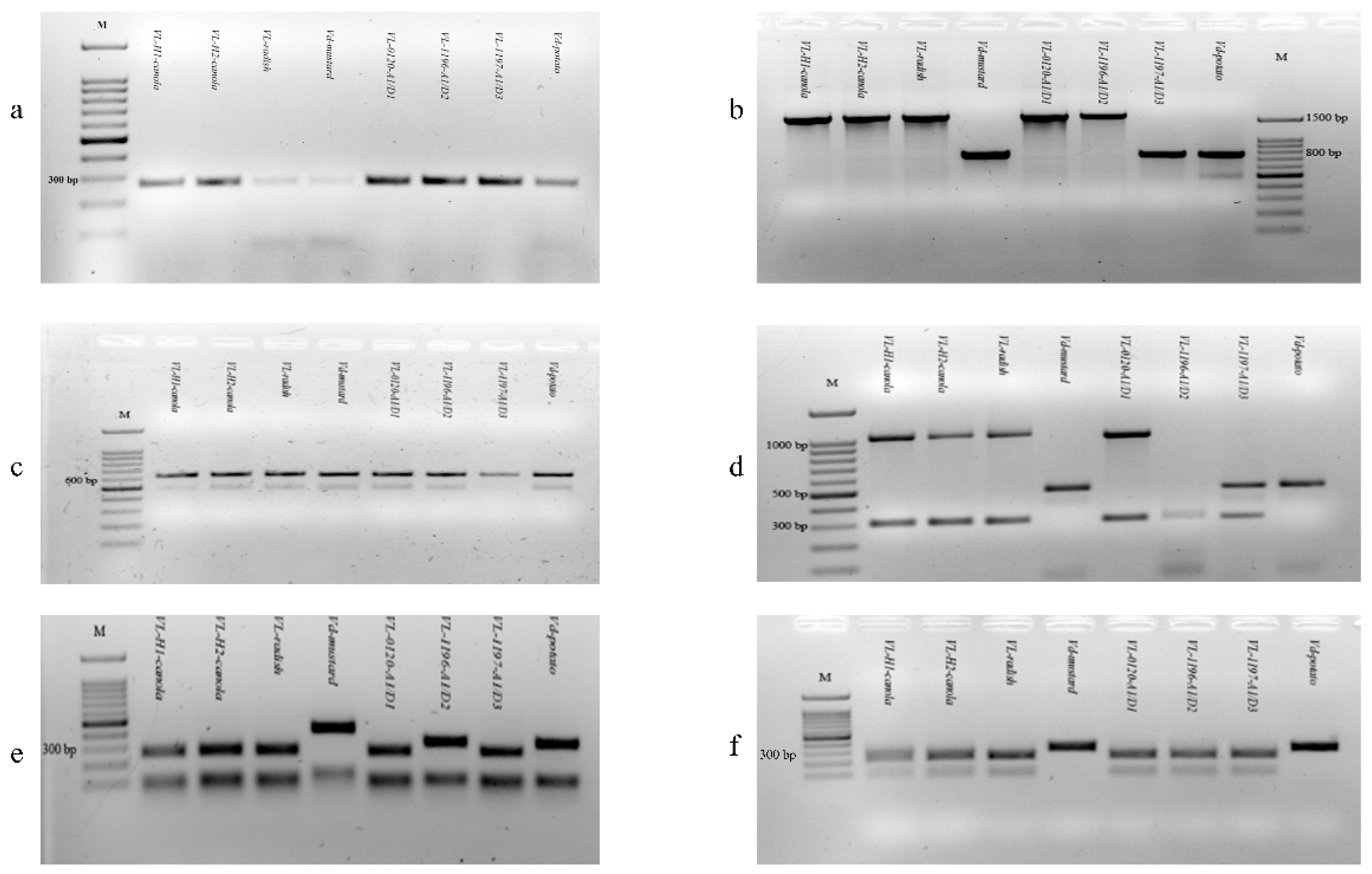
Polymerase chain reaction (PCR) amplification of the 18S rDNA intron region with the primers VlspF1/VlspR4 produced a 275 bp band in all the tested V. longisporum and V. dahliae isolates (Figure 2a). Verticillium longisporum isolates derived from canola and radish produced a 1598 bp band, while the V. dahliae isolates from mustard produced a 757 bp amplicon when amplified with the primers VeruniF2/VeruniR3, designed for the 18S rDNA region. However, the 18S rDNA region cannot be used to distinguish the V. longisporum isolate A1/D3 group from V. dahliae isolates, since both produced the same amplicon (757 bp) (Figure 2b). Nucleotide sequence analysis of 18S rDNA indicated that isolates derived from canola and radish had 99% similarity with V. longisporum, while the sequence identity of an isolate identified from mustard was similar to V. dahliae (data not shown). All isolates were categorized as mating type 1-1, since only the VdMAT1-1-1F01/VdMAT1-1-1-R01 primer designed for mating type1-1 was amplified (Figure 2c).
Figure 2.
PCR amplification of 18S rDNA intron region (a); 18S rDNA (b); and mating type 1-1-1 (c) in Verticillium longisporum and Verticillium dahliae isolates. (d) Multiplex PCR amplification in Verticillium longisporum-Verticilliun dahliae isolates. (e,f) PCR-AFLP analysis of mitochondrial mtSSU-rDNA (e) and cytochrome b gene (f) digested with restriction enzymes MseI and Dde I, respectively. In all agarose gels: Lane 1, DNA ladder (100bp); Lanes 2–3, V. longisporum isolates from VL-H1-canola and VL-H2-canola (VL-H1 and VL-H2); Lane 4, V. longisporum isolate from radish (VL-R); Lane 5, V. dahliae isolate from mustard (Vd-M); Lanes 6–8, control isolates from different lineages of V. longisporum isolates including VL-0120-A1/D1 (PD638), VL-1196-A1/D2 (PD629), and VL-1197-A1/D3 (PD687); Lane 9, V. dahliae isolate from potato (Vd-potato (Vd1396-9)).
Verticillium isolates derived from canola and radish produced 1020 bp ITS and 310 EF -1α gene amplicons, similar to the V. longsiporum control isolates from the A1/D1 group (Figure 2d). The Verticillium isolate from mustard produced a 490 bp GPD gene, similar to the V. dahliae isolate from potato. With this multiplex PCR assay, we were able to differentiate the V. longisporum isolate from the A1/D3 group, which produced both GPD and EF -1α genes with 490 bp and 310 bp bands, from the V. dahliae isolate, which only produced the 490 bp GPD gene (Figure 2d). The V. longisporum isolates from the A1/D2 group yielded only a 310 bp amplicon (EF -1α gene) (Figure 2d). All other Verticillium isolates from canola were characterized as the V. longisporum A1/D1 group.
The Verticillium isolates from canola and radish, as well as the V. longisporum isolates from the A1/D1 or A1/D3 groups, produced a 258 bp mtSSU-rDNA band, and the V. dahliae isolate from potato and V. longisporum isolate from the A1/D2 group produced 317 bp bands (Figure 2e). However, the V. dahliae isolate from mustard produced a 413 bp band, which was different from the V. dahliae potato isolate (Figure 2e). Furthermore, for the cytochrome b gene, all V. longisporum isolates produced a 226 bp band, whereas V. dahliae isolates from mustard and potato both produced a 320 bp band (Figure 2f).
2.4. Disease Assessment
The Westar plants inoculated with V. longisporum showed disease symptoms in the form of yellowing and chlorosis at 7 and 14 days post-inoculation (dpi) (Table 1). The mean scores of disease severity were significantly higher in the plants infected with the V. longisporum isolates identified in this study than in those inoculated with water after 14 and 21 dpi (Table 1). After 35 dpi, the plants inoculated with V. longisporum produced symptoms such as a short height, leaf yellowing, chlorosis, leaf senescence and plant stunting (Figure 3a, Table 1), and approximately 17% of the V. longisporum-inoculated plants were dead. The V. longisporum and V. dahliae isolates, identified from radish and mustard, respectively, caused similar symptoms and disease severity on canola Westar plants (Table 1). After harvest, the stems infected with V. longisporum displayed streaking, striping or blackening, and microsclerotia were observed on the stems (Figure 3b). V. longisporum isolates were recovered and confirmed from the infected stems of the canola plant, showing similar morphological characteristics (Figure 3c). Westar plants were inoculated by the recovered V. longisporum isolates, and showed dwarfed and stunted plant growth, which indicated that the recovered V. longisporum isolate is the causal agent of Verticillium stripe disease in canola (Figure 3d).
Table 1.
Mean disease scores on B. napus susceptible cv. ‘Westar’ plants inoculated with Verticillium isolates compared to ‘Westar’ inoculated with water.
Figure 3.
Pathogenicity test of Verticillium longisporum isolate (VL-H1) on canola susceptible cultivar ‘Westar’. Westar plants inoculated with water were included as controls. (a) Westar plants inoculated with V. longisporum isolate show a shorter height, stunting, leaf yellowing and senescence. (b) After harvest, the infected stems show black striping and microsclerotia. (c) Example of one V. longisporum isolate recovered from an infected canola stem. Isolate was grown on PDA plate, and conidia of isolate was observed under microscope. (d) Disease symptoms of Westar plants inoculated with recovered V. longisporum isolates. Westar plants inoculated with water were set as a non-disease control.
3. Discussion
This study identified and characterized Verticillium isolates from Brassica crops in Manitoba, Canada. A total of 29 isolates derived from canola were identified as the V. longisporum A1/D1 group by morphological and molecular characterization. To the best of our knowledge, this is the first scientific peer-reviewed report on the Verticillium disease in canola and radish caused by V. longisporum in Canada.
As described previously by Tran et al. (2013), V. longisporum A1/D1 strains have an intron within the 18S rDNA region, while V. longisprum A1/D3 strains have the same 18S rDNA and 5.8S rDNA as V. dahliae [19]. Therefore, we could not differentiate the V. longisporum A1/D3 isolates from V. dahliae using the rDNA region. All V. longisporum isolates (30) identified from canola and radish were characterized to the A1/D1 group and carried a MAT1-1 idiomorph. The polymerase chain reaction (PCR) identification of Verticillium isolates indicated that the multiplex PCR was the best assay, since it not only characterized the different V. longisproum lineages, but also differentiated them from the V. dahliae isolate. Verticillium longisporum and Verticillium albo-atrum produced 258 bp mtSSU-rDNA PCR-RFLP, while a 317 bp band was detected in Japanese isolates of V. dahliae [16]. However, the V. dahliae isolate from mustard identified in this study gave a longer digested fragment than the isolate from potato, indicating diversity among V. dahliae isolates from different host plants. As shown in this study, the PCR-RFLP genotyping assay with mtSSU-rDNA cannot differentiate the V. longisporum A1/D2 group from V. dahliae. At the same time, the PCR-RFLP genotyping assay using the cytochrome b gene did successfully differentiate V. longisporum and V. dahliae isolates. Thus, the multiplex PCR assay is recommended for the successful molecular identification of Verticillium species. In addition, the morphological differences between V. longisporum and V. dahliae, e.g., significantly longer conidia, irregular microsclerotia and more branched hyphae in V. longisporum, can assist identification.
Verticillium longisporum caused pale black stripes on the stem, as well as plant stunting, leaf senescence and microsclerotia formation close to harvest (Figure 3b). Pathogenicity testing using a V. longisporum A1/D1 isolate from canola indicated that inoculation with V. longisporum caused significantly greater disease severity after three weeks than the water control (Table 1). Since some of the disease symptoms scored were leaf yellowing or blackening veins, the canola plants experiencing regular leaf senescence were also rated as 2 or 3 in later stages of growth. This likely caused the scoring of the disease at 28 and 35 days post-inoculation (dpi) in canola plants inoculated with water. Verticillium longisporum A1/D1 is considered the most virulent group across Brassicaceae crops, especially on oilseed rape [20]. Verticillium longisporum A1/D1 was identified from cauliflower, eggplant and watermelon in California [20,21]. Verticillium dahliae has limited colonization capacity on canola, and can cause wilting at the seedling stage [10]. Verticillium longisporum is more virulent on Brassicaceae crops, which are its main hosts. Verticillium dahliae generally has a wider host range, and may affect other plant species more severely [8,11]. To the best of our knowledge, this is the first report to show V. longisporum lineage A1/D1 as a pathogen on oilseed rape in a North American field. Verticillium longisporum lineage A1/D2, which is considered the least virulent lineage of V. longisproum, was reported on horseradish in Illinois, in close proximity to the main oilseed rape-growing regions of the United States (Minnesota, North Dakota and Oklahoma) [20]. Canola acreage in the prairies had topped 22 million acres by 2017 (https://www.canolacouncil.org/markets-stats/statistics/harvest-acreage/). Identification of V. longisporum lineage A1/D1 isolates from canola and radish in Canada highlight the potential risk of Verticillium stripe disease in canola fields in the future as a threat to the trade of oil, seed and meal to global markets, especially considering that V. longisporum microsclerotia can survive in soil for up to 15 years, and has a wide range of Brassicaceae host species (https://www.canolacouncil.org/canola-encyclopedia/diseases/verticillium/#fnote6, Canola Council of Canada). Our study indicates that V. longisporum can cause significant yield losses and reduce oil quality. Ancestral species harboring A1 and D1 have not yet been identified, and they may come from non-agricultural hosts or non-pathogenic saprotrophs [8,14]. Since this is the first study to report V. longisporum lineage A1/D1 in canola and radish fields in Canada, surveys of this disease in fields of other Brassicaceae species are warranted. A recent study indicated that the ‘V. longisporum A1/D1 West’ population is genetically more diverse than the ‘A1/D1 East’ isolates, based on their geographic origins in Europe, which caused the sudden emergence of Verticillium stripe disease in the UK [22]. Understanding the genetic and population diversity of V. longisporum isolates derived from Brassica crops from east to west North America will help to identify the origins, the genetic basis of the hybridization process and the host range of V. longisporum lineage A1/D1.
Currently, no effective fungicides are registered to control Verticillium stripe disease in canola. The identified V. longisporum isolates will be used for B. napus resistance screening in both breeding varieties and commercial cultivars. Introducing resistance from Brassica carinata or Brassica oleracea (low susceptibility) is also an option for B. napus breeding programs to overcome Verticillium stripe disease [23,24]. Proper crop rotation, biosecurity practices, new fungicides, weed management, increasing soil fertility and resistance breeding will help to develop a successful control strategy against this soil-borne disease.
4. Materials and Methods
4.1. Sample Collection and Fungal Pathogen Isolation
Stems of Brassica crops such as canola, mustard and radish showing Verticillium disease symptoms were collected in Portage La Prairie, Manitoba in 2016. The striped stems were peeled and cut into small pieces (1 cm long). The small diseased pieces were surface-sterilized by dipping into a bleach solution of 10% NaOCl with 20 µL Tween-20 (Sigma, Toronto, ON, Canada) for 2 min. The sterilized sections were then rinsed in sterile distilled water for 2 min, soaked in 70% ethanol for 2 min and washed again with sterile distilled water for another 2 min. The stem sections were placed in Petri dishes containing potato dextrose agar (PDA) and incubated at room temperature. Fungal colonies growing out of the diseased tissues were purified using the single-spore technique, and cultured on PDA for two weeks. An isolate of V. dahliae from potato (Vd1396-9) was obtained from Dr. Fouad Daayf (Plant Science, University of Manitoba), and included as a reference isolate for this study. To categorize the lineages of V. longisporum, three reference isolates were included, one representing each of the three species A1/D1, A1/D2 and A1/D3. Reference lineages were kindly supplied to us by Drs. A. Tiedemann (Department of Crop Science, University of Gottingen) and K. Subbarao (Department of Plant Pathology, University of California, Davis) (Table S1).
4.2. Morphological Identification of Isolates
A representative isolate of V. longisporum from canola, VL-H1, which was obtained in this study, and a reference isolate of V. dahliae from potato (Vd1396-9) were grown and maintained on PDA at room temperature for two weeks. The colony morphology, conidia shape, microsclerotia and hyphae of isolates were observed under a microscope (Fisher Science Education), and used to differentiate the Verticillium species [5,6]. Each of the 30 conidia from 14-day-old cultures of V. longisporum and V. dahliae, respectively were measured under the microscope, using a micrometer to determine conidia length.
4.3. DNA extraction, PCR Amplification and PCR-Restriction Fragment Length Polymorphism
Genomic DNA from 29 Verticillium isolates obtained from canola, radish and mustard, and reference isolates (Table S1) were extracted from a mixture of mycelia, microsclerotia and conidia suspensions using a modified CTAB method [25]. The extraction buffer was briefly aliquoted to the harvested mixture and homogenized. After incubation at 65 °C for 30 min, DNA was extracted with phenol/chloroform/isoamyl (25:24:1). The supernatant was then precipitated and washed with 95% and 70% ethanol, respectively. Finally, the DNA pellet was dissolved in 100 µL DNase-free water.
To characterize the species of Verticillium isolates, the primer sets VlspF1/VlspR4 and VerniF2/VernR3 were used for amplifying the 18S rDNA intron and 18S rDNA, respectively [9,15]. In addition, two primer sets of VdMAT1-1-1F01/VdMAT1-1-1-R01 and VdMAT1-2-1F02-2/VdMAT1-2-1-R02-2 were used for Verticillium spp. mating type gene amplification [16]. All primers used are listed in Table 2. The polymerase chain reaction (PCR) amplification was conducted in a total volume of 25 µL, with a reaction mixture containing 25 pmol of each primer, 3.75 mM MgCl2, 1.25 mM of each deoxynucleoside triphosphate (dNTPs) and 1.25 U EconoTaq DNA polymerase (Econo Taq DNA polymerase, Lucigen, Middleton, WI) with 2.5 µL supplied 10 × PCR reaction buffer, and a 10 to 50 ng DNA template. The PCR thermocycling began with a 3-min first step at 95 °C for denaturation, and then 35 cycles of amplification at 95 °C for 30 s, annealing temperature for 30 s and extension at 72 °C for 1 min, and then completed with a final extension step at 72 °C for 5 min. The PCR products were separated on a 2.0% agarose gel stained with Redsafe (iNtRON BIOTECHNOLOGY, Seongnam-Si, Korea).
Table 2.
Primers used in PCR assays to confirm the identity of Verticillium species in this study.
A multiplex PCR assay developed by Inderbitzin et al. (2013) was used to identify the lineage of the characterized Verticillium isolates [26]. Briefly, the primer mixture was prepared by adding 6.25 µL each of D1f/AlfD1r (GPD gene, glyceraldehyde-3-phosphate dehydrogenase), 6.25 µL each of A1f/A1r (elongation factor 1-alpha) and 3.25 µL each of Df/Dr (ITS, internal transcribed spacer region) (Table 2), and then finally adding 93.75 µL sterile water to a total volume of 125 µL. The initial concentration of mixed primers was 100 µM. The PCR reaction was conducted in a 25 µL volume, which included 2.5 µL of mixed primers, 2.5 mM dNTPs, 2.5 µL of supplied 10 × PCR reaction buffer, 2U EconoTaq DNA polymerase (Econo Taq DNA polymerase, Lucigen, Middleton, WI, USA) and a 50 ng DNA template. The PCR program comprised a 2-min initial denaturation at 94 °C; 35 cycles of amplification at 94 °C for 10 s, 54 °C for 20 s and 72 °C for 1 min, and a final extension at 72 °C for 7 min.
To further confirm the identification of Verticillium isolates, regions of the mitochondrial small-subunit rRNA gene and the cytochrome b gene were amplified with the primer pairs NMS1/NMS2 and cobF1/cobR1, respectively [9,27] (Table 2). The amplicons of 584 bp for mtSSU-rDNA and 320 bp for the cytochrome b gene were then digested using the restriction enzymes MseI and DdeI (New England BioLabs, Ipswich, MA, USA), respectively. The digested products were separately visualized in 1.5% agarose gels, as described above.
4.4. Pathogenicity Tests of V. longisporum on Canola
Pathogenicity was tested on B. napus cultivar Westar, a spring canola cultivar which is mostly susceptible to fungal pathogens in Canada. To prepare the inoculum, identified Verticillum isolates were grown on a PDA medium for 10 days at room temperature. Five agar discs were transferred to 250 mL flasks of sterile potato dextrose broth, and incubated for two weeks at room temperature with shaking (120 rpm) in the dark. The conidia suspension was harvested by filtering with sterilized Miracloth (Millipore Sigma, Oakville, ON, Canada), and the concentration was adjusted to 1 × 106 conidia mL−1 with sterile distilled water on the day of inoculation. Four-week-old seedlings of cv. Westar were gently uprooted and washed with tap water to clean soil off the roots. The roots of 16 seedlings were then immersed in 250 mL of the conidia suspension for 30 min [16,20], and then transplanted to pots. Controls for the pathogenicity test included 16 seedlings that were dipped in water for 30 min and then transplanted to pots. After treatments, all the plants were placed in a growth chamber at 16 °C (night) and 21 °C (day), with a 16 h photoperiod. The experiment was repeated once in the greenhouse to check data reliability. After maturing, the infected stems of canola were subjected to the same method to recover the isolates from infection sites, as described above. Then, the recovered isolate was inoculated onto the Westar plant again to confirm that the V. longisporum isolate was a causal agent of the disease.
Plant disease severity was scored weekly for 35 days post-inoculation (dpi) using a key based on a 1–9 scale: 1 = no disease symptom; 2 = symptoms of yellowing on lower, older leaves; 3 = slight yellowing on the next youngest leaves; 4 = about 50% of leaves showing symptoms; 5 = > 50% of leaves showing symptoms; 6 = up to 50% of leaves dead; 7 = > 50% of leaves dead; 8 = only apical meristem alive; and 9 = plant dead [28,29].
4.5. Statistical Analysis
Statistical analysis of the conidia length of Verticillium isolates, the disease score of pathogenicity test, the F measurement of the distance between two repeats and canola phenotypes, including plant height, oil content, seed weight and glucosinolate contents, were conducted using SAS version 9.4 (SAS Institute, Inc., Cary, NC, USA).
Supplementary Materials
Supplementary materials can be found at https://www.mdpi.com/1422-0067/21/10/3499/s1. Table S1. Verticillium strains identified from Brassica crops and reference isolates were used in this study.
Author Contributions
Z.Z. and W.G.D.F. designed the experiments; Z.Z. and V.B. performed the experiments; Z.Z. and W.G.D.F. analyzed and interpreted the data; and Z.Z. and W.G.D.F. wrote and revised the manuscript. All authors have read and agreed to the published version of the manuscript.
Funding
This work was supported by grants from a NSERC Discovery, NSERC-CRD and SaskCanola-CAP to W.G.D. Fernando.
Acknowledgments
We thank A. von Tiedemann and K.V. Subbarao from the Department of Crop Science, University of Gottingen, and the Department of Plant Pathology, University of California, Davis, respectively for kindly providing the reference Verticillium longisporum isolates. We also thank Lorne Adam for preparing an isolate of Verticillium dahliae from potato from Daayf’s lab (Department of Plant Science, University of Manitoba), and thank Paula Parks for critically reviewing the manuscript.
Conflicts of Interest
The authors declare no conflict of interest.
References
- Nagaharu, U. Genome analysis in Brassica with special reference to the experimental formation of B. napus and peculiar mode of fertilization. Jpn. J. Bot. 1935, 7, 389–452. [Google Scholar]
- Kaneko, Y.; Kimizuka-Takagi, C.; Bang, S.W.; Matsuzawa, Y. Genome Mapping and Molecular Breeding in Plants; kole, C., Ed.; Springer: New York, NY, USA, 2007; Volume 5, pp. 141–160. [Google Scholar]
- Isaac, I. Verticillium wilt of Brussels Sprout. Ann. Appl. Biol. 1957, 45, 276–283. [Google Scholar] [CrossRef]
- Stark, C. Das Auftreten der Verticillium-Tracheomykosen in Hamburger Gartenbau-kulturen. Gartenbauwissenschaft 1961, 26, 493–528. [Google Scholar]
- Karapapa, V.K.; Bainbridge, B.W.; Heale, J.B. Morphological and molecular characterization of Verticillium longisporum comb. nov., pathogenic to oilseed rape. Mycol. Res. 1997, 101, 1281–1294. [Google Scholar] [CrossRef]
- Steventon, L.; Fahleson, J.; Hu, Q.; Dixelius, C. Identification of the causal agent of Verticillium wilt of winter oilseed rape in Sweden as Verticillium longisporum. Mycol. Res. 2002, 106, 570–578. [Google Scholar] [CrossRef]
- Johansson, A.; Goud, J.K.C.; Dixelius, C. Plant host range of Verticillium longisporum and microsclerotia density in Swedish soils. Eur. J. Plant Pathol. 2006, 114, 139–149. [Google Scholar] [CrossRef]
- Inderbitzin, P.; Davis, R.M.; Bostock, R.M.; Subbarao, K.V. The ascomycete Verticillium longisporum is a hybrid and a plant pathogen with an expanded host range. PLoS ONE 2011, 6, e18260. [Google Scholar] [CrossRef]
- Ikeda, K.; Banno, S.; Watanabe, K.; Fujinaga, M.; Ogiso, H.; Sakai, H.; Tanaka, H.; Miki, S.; Shibata, S.; Shiraishi, T.; et al. Association of Verticillium dahliae and Verticillium longisporum with Chinese cabbage yellows and their distribution in the main production areas of Japan. J. Gen. Plant Pathol. 2012, 78, 331–337. [Google Scholar] [CrossRef]
- Hwang, S.; Strelkov, S.E.; Ahmed, H.U.; Zhou, Q.; Fu, H.; Fredua-Agyeman, R.; Turnbull, G.D. First report of Verticillium dahliae Kleb. Causing wilt symptoms in canola (Brassica napus L.) in North America. Can. J. Plant Pathol. 2017, 39, 514–526. [Google Scholar] [CrossRef]
- Pegg, G.F.; Brady, B.L. Verticillium Wilts; CABI Publishing: Wallingford, Oxfordshire, UK, 2002. [Google Scholar]
- Rashid, K.Y.; Desjardins, M.L. Diseases of sunflower in Manitoba in 2014. Can. Plant Dis. Surv. 2015, 95, 185–187. [Google Scholar]
- Alkher, H.; El Hadrami, A.; Rashid, K.Y.; Adam, L.R.; Daayf, F. Pathogenic variation of Verticillium dahliae after serial passes through potato and sunflower. Can. J. Plant Pathol. 2009, 31, 427–438. [Google Scholar] [CrossRef]
- Inderbitzin, P.; Subbarao, K.V. Verticillium systematics and evolution: How confucion impedes Verticillium wilt management and how to resolve it. Phytopathology 2014, 104, 564–574. [Google Scholar] [CrossRef] [PubMed]
- Banno, S.; Saito, H.; Sakai, H.; Urushibara, T.; Ikeda, K.; Kabe, T.; Kemmoch, I.; Fujimura, M. Quantitative nested real-time PCR detection of Verticillium longisporum and V. dahliae in the soil of cabbage fields. J. Gen. Plant Pathol. 2011, 77, 282–291. [Google Scholar] [CrossRef]
- Banno, S.; Ikeda, K.; Saito, H.; Sakai, H.; Urushibara, T.; Shiraishi, T.; Fujimura, M. Characterization and distribution of two subtypes of Verticillium longisporum isolated from cabbage fields in Japan. J. Gen. Plant Pathol. 2015, 81, 118–126. [Google Scholar] [CrossRef]
- Eynck, C.; Koopmann, B.; Karlovsky, P.; von Tiedemann, A. Internal resistance in winter oilseed rape inhibits systemic spread of vascular pathogen Verticillium longisporum. Phytopathol 2009, 99, 802–811. [Google Scholar] [CrossRef]
- Paun, O.; Fay, M.F.; Soltis, D.E.; Chase, M.W. Genetic and epigenetic alterations after hybridization and genome doubling. Taxon 2007, 56, 649–656. [Google Scholar] [CrossRef]
- Tran, V.T.; Braus-Stromeyer, S.A.; Timpner, C.; Braus, G.H. Molecular diagnosis to discriminate pathogen and a pathogen species of the hybrid Verticillium longisporum on the oilseed crop Brassica napus. Appl. Microbiol. Biotechnol. 2013, 97, 4467–4483. [Google Scholar] [CrossRef]
- Novakazi, F.; Inderbitzin, P.; Sandoya, G.; Hayes, R.J.; von Tiedemann, A.; Subbarao, K.V. The three lineages of the diploid hybrid Verticillium longisporum differ in virulence and pathogenicity. Phytopathology 2015, 105, 662–673. [Google Scholar] [CrossRef]
- Subbarao, K.V.; Hubbard, J.C.; Greathead, A.S.; Spencer, G.A. Compendium of Lettuce Diseases; Davis, R.M., Subbarao, K.V., Raid, R.N., Kurtz, E.A., von Tiedemann, A., Subbarao, K.V., Eds.; The American Phytopathological Society: Saint Paul, MN, USA, 1997; pp. 26–27. [Google Scholar]
- Depotter, J.R.L.; Seidl, M.F.; van de Berg, G.C.M.; Thommma, B.P.H.L. A distinct and genetically diverse lineage of the hybrid fungal pathogen Verticillium longiporum population causes stem striping in British oilseed rape. Environ. Microbiol. 2017, 19, 3997–4009. [Google Scholar] [CrossRef]
- Zeise, K.; Buchmülle, M. Studies on the susceptibility to Verticillium dahliae KLEB. var. longisporum STARK of six related Brassica species. Z. Pflanzenkrankh. Pflanzenschutz 1997, 104, 501–505. [Google Scholar]
- Rygulla, W.; Snowdon, R.J.; Eynck, C.; Koopmann, B.; von Tiedemann, A.; Lühs, W.; Friedt, W. Broadening the genetic basis of Verticillium longisporum resistance in Brassica napus by interspecific hybridization. Phytopathology 2007, 97, 1391–1396. [Google Scholar] [CrossRef] [PubMed]
- Liban, S.H.; Cross, D.J.; Kutcher, H.R.; Peng, G.; Fernando, W.G.D. Race structure and frequency of avirulence genes in the western Canadian Leptosphaeria maculans pathogen population, the causal agent of blackleg in brassica species. Plant Pathol. 2016, 65, 1161–1169. [Google Scholar] [CrossRef]
- Inderbitzin, P.; Davis, R.M.; Bostock, R.M.; Subbarao, K.V. Identification and differentiation of Verticillium species and V. longisporum lineages by simplex and multiplex PCR assays. PLoS ONE 2013, 6, e65990. [Google Scholar] [CrossRef] [PubMed]
- Li, K.N.; Rouse, D.I.; German, T.L. PCR primers that allow intergeneric differentiation of ascomycetes and their application to Verticillium spp. Appl. Environ. Microbio. 1994, 60, 4324–4331. [Google Scholar] [CrossRef]
- Zeise, K. Gewächshaustest zur Resistenzprüfung von Winterraps (Brassica napus L. var. oleifera Metzger) gegen den Erreger der Rapswelke Verticillium dahliae Kleb. Nachrichtenbl Deutscher Pflanzenschutzd 1992, 44, 125–128. [Google Scholar]
- Eynck, C.; Koopmann, B.; Gruenewaldt-Stoecker, G.; Karlovsky, P.; von Tiedemann, A. Differential interactions of Verticillium longisporum and V. dahliae with Brassica napus detected with molecular and histological techniques. Eur. J. Plant Pathol. 2007, 118, 259–274. [Google Scholar] [CrossRef]
© 2020 by the authors. Licensee MDPI, Basel, Switzerland. This article is an open access article distributed under the terms and conditions of the Creative Commons Attribution (CC BY) license (http://creativecommons.org/licenses/by/4.0/).


