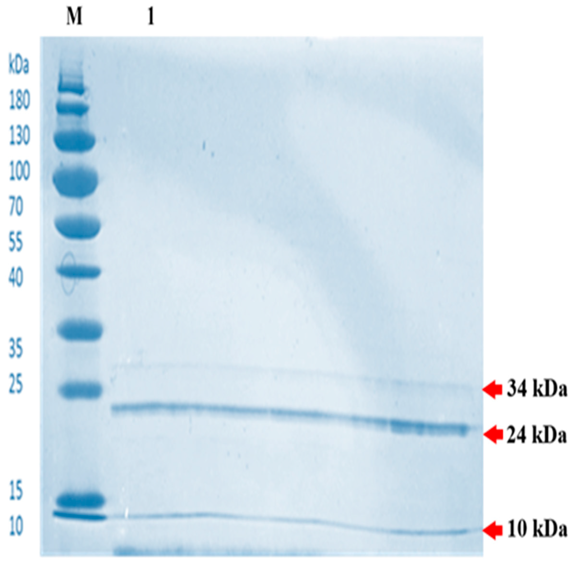
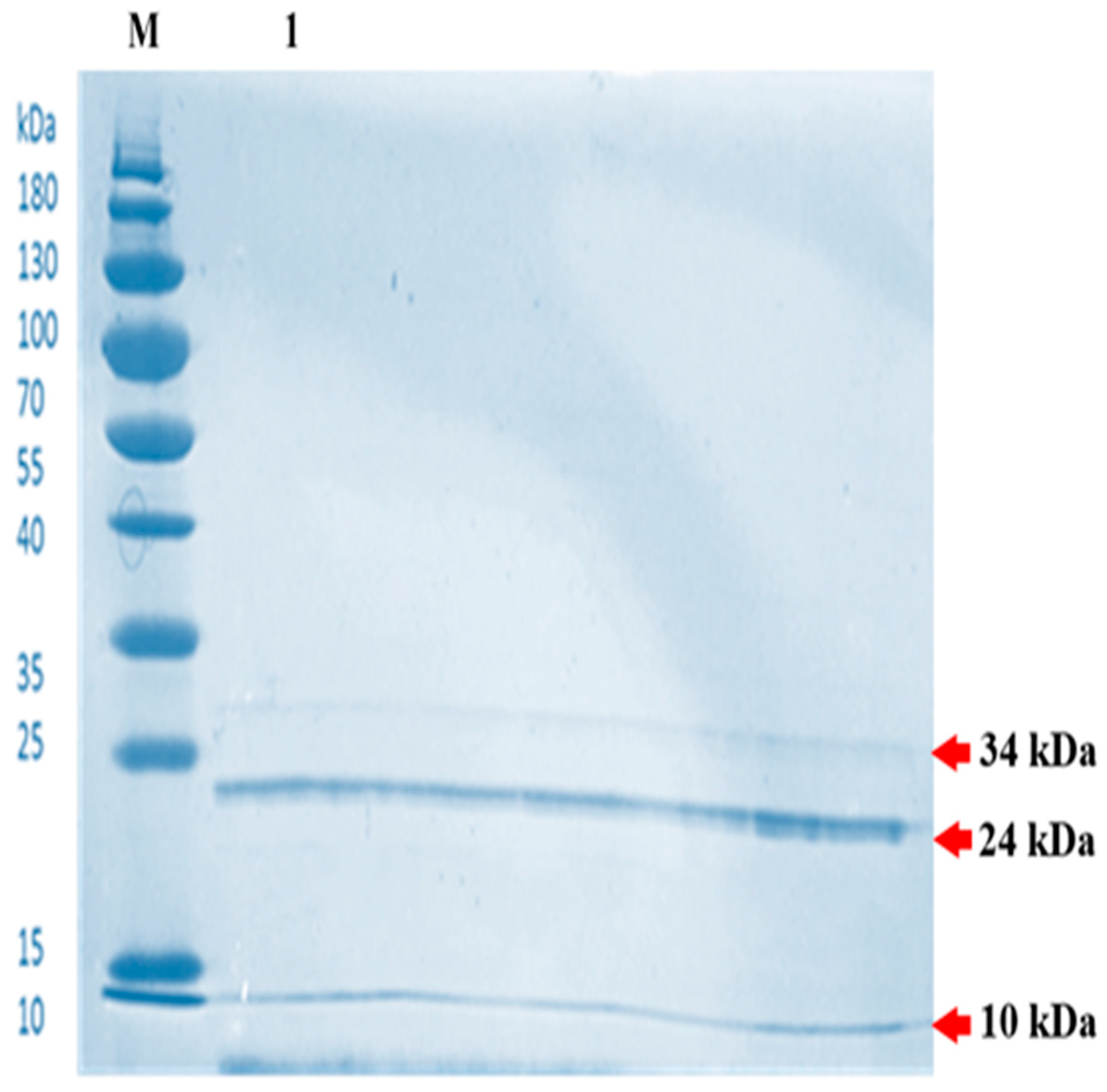
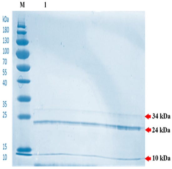
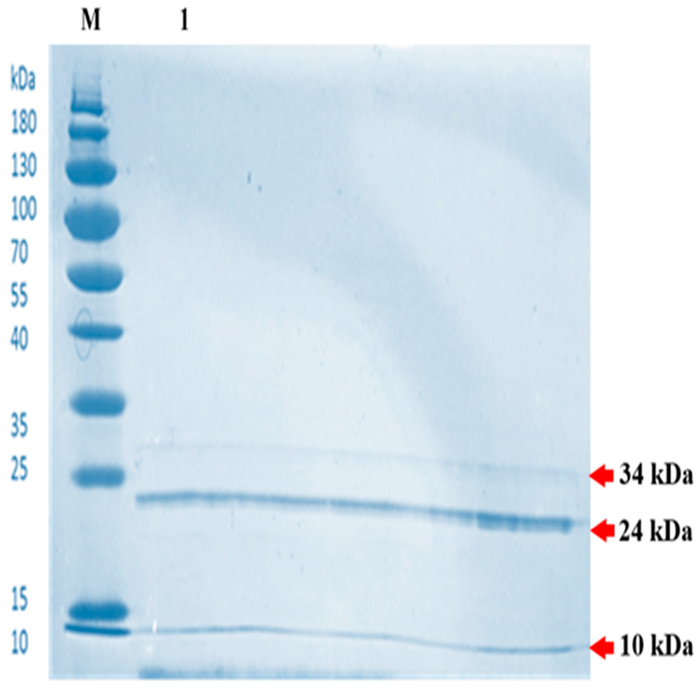
Correction: Naveed et al. Purification, Characterization and Bactericidal Action of Lysozyme, Isolated from Bacillus subtillis BSN314: A Disintegrating Effect of Lysozyme on Gram-Positive and Gram-Negative Bacteria. Molecules 2023, 28, 1058
Error in Figure
Reference
- Naveed, M.; Wang, Y.; Yin, X.; Chan, M.W.H.; Aslam, S.; Wang, F.; Xu, B.; Ullah, A. Purification, Characterization and Bactericidal Action of Lysozyme, Isolated from Bacillus subtillis BSN314: A Disintegrating Effect of Lysozyme on Gram-Positive and Gram-Negative Bacteria. Molecules 2023, 28, 1058. [Google Scholar] [CrossRef] [PubMed]

Disclaimer/Publisher’s Note: The statements, opinions and data contained in all publications are solely those of the individual author(s) and contributor(s) and not of MDPI and/or the editor(s). MDPI and/or the editor(s) disclaim responsibility for any injury to people or property resulting from any ideas, methods, instructions or products referred to in the content. |
© 2025 by the authors. Licensee MDPI, Basel, Switzerland. This article is an open access article distributed under the terms and conditions of the Creative Commons Attribution (CC BY) license (https://creativecommons.org/licenses/by/4.0/).
Share and Cite
Naveed, M.; Wang, Y.; Yin, X.; Chan, M.W.H.; Aslam, S.; Wang, F.; Xu, B.; Ullah, A. Correction: Naveed et al. Purification, Characterization and Bactericidal Action of Lysozyme, Isolated from Bacillus subtillis BSN314: A Disintegrating Effect of Lysozyme on Gram-Positive and Gram-Negative Bacteria. Molecules 2023, 28, 1058. Molecules 2025, 30, 4809. https://doi.org/10.3390/molecules30244809
Naveed M, Wang Y, Yin X, Chan MWH, Aslam S, Wang F, Xu B, Ullah A. Correction: Naveed et al. Purification, Characterization and Bactericidal Action of Lysozyme, Isolated from Bacillus subtillis BSN314: A Disintegrating Effect of Lysozyme on Gram-Positive and Gram-Negative Bacteria. Molecules 2023, 28, 1058. Molecules. 2025; 30(24):4809. https://doi.org/10.3390/molecules30244809
Chicago/Turabian StyleNaveed, Muhammad, Yadong Wang, Xian Yin, Malik Wajid Hussain Chan, Sadar Aslam, Fenghuan Wang, Baocai Xu, and Asad Ullah. 2025. "Correction: Naveed et al. Purification, Characterization and Bactericidal Action of Lysozyme, Isolated from Bacillus subtillis BSN314: A Disintegrating Effect of Lysozyme on Gram-Positive and Gram-Negative Bacteria. Molecules 2023, 28, 1058" Molecules 30, no. 24: 4809. https://doi.org/10.3390/molecules30244809
APA StyleNaveed, M., Wang, Y., Yin, X., Chan, M. W. H., Aslam, S., Wang, F., Xu, B., & Ullah, A. (2025). Correction: Naveed et al. Purification, Characterization and Bactericidal Action of Lysozyme, Isolated from Bacillus subtillis BSN314: A Disintegrating Effect of Lysozyme on Gram-Positive and Gram-Negative Bacteria. Molecules 2023, 28, 1058. Molecules, 30(24), 4809. https://doi.org/10.3390/molecules30244809

