Purification, Characterization and Bactericidal Action of Lysozyme, Isolated from Bacillus subtillis BSN314: A Disintegrating Effect of Lysozyme on Gram-Positive and Gram-Negative Bacteria
Abstract
1. Introduction
2. Results
2.1. Precipitation of Protein
2.2. Antibacterial Activity of Lysozyme
2.3. Assessment for the Composition of Lysozyme
2.3.1. Native-PAGE and Enzymatic Activities
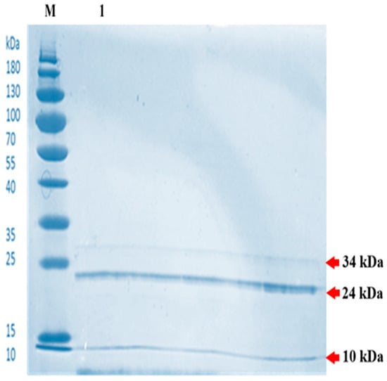
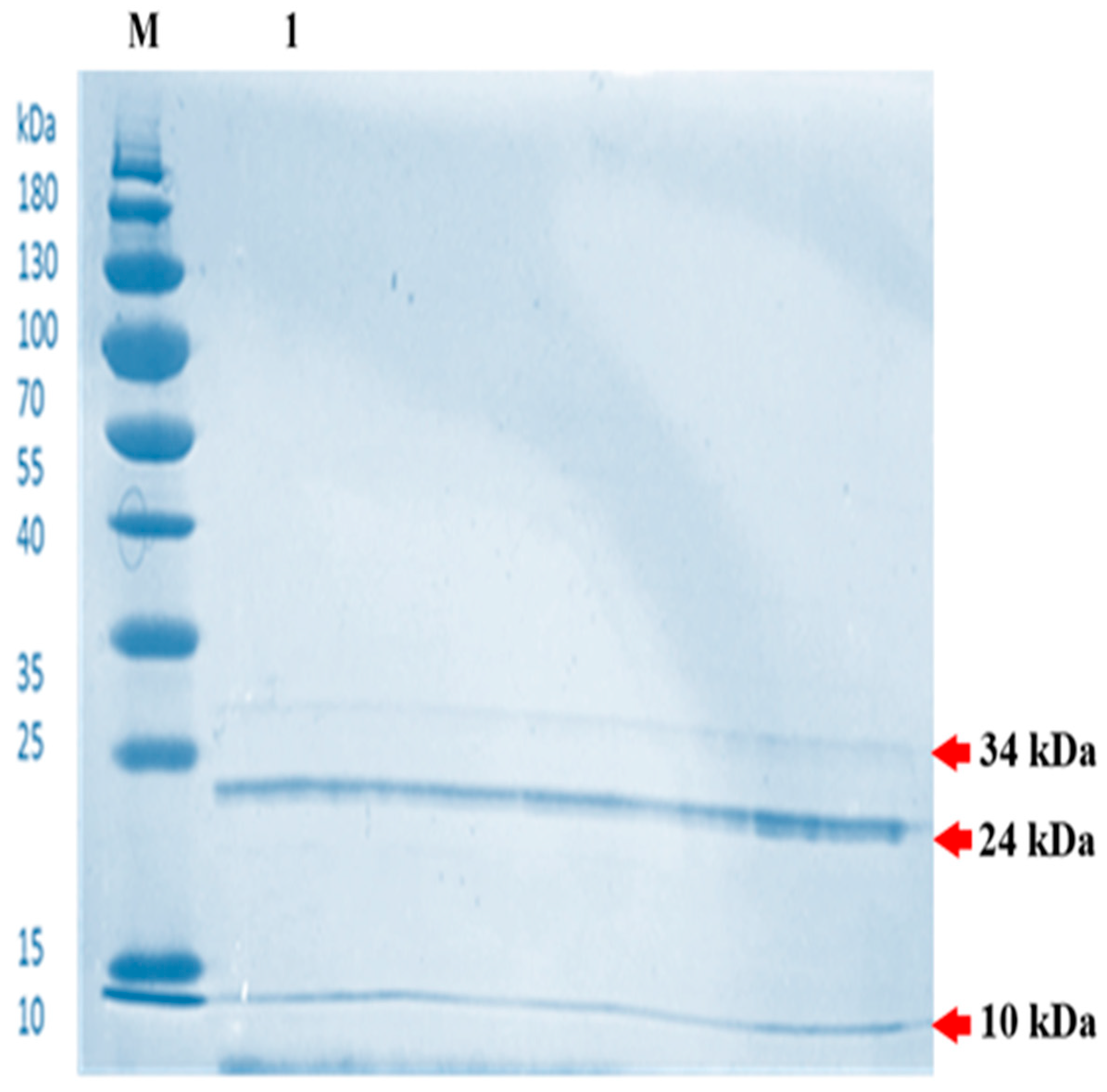
2.3.2. SDS-PAGE (Sodium Dodecyl Sulfate–Polyacrylamide Gel Electrophoresis)
2.3.3. Liquid Chromatography-Mass Spectrometry (LC-MS)
2.3.4. A0A1Q9G213: Protein Sequence
2.3.5. A0A1Q9FRD3: Protein Sequence
3. Discussion
4. Materials and Methods
4.1. Reagents and Chemicals
4.2. Equipment Used
4.3. Common Solutions and Media Preparation
4.4. Strain Activation and Inoculum Preparation
4.5. Isolation and Purification of the Lysozyme Product
4.5.1. Ammonium Sulfate Precipitation
4.5.2. Desalination by Dialysis
4.5.3. Ultrafiltration (UF) Tube (10 KD)
4.6. Gel Column Chromatography
4.7. Quantification of the Total Protein
4.8. Polyacrylamide Gel Electrophoresis (PAGE)
4.8.1. Native-PAGE (Native Polyacrylamide Gel Electrophoresis)
4.8.2. SDS-PAGE (Sodium Dodecyl Sulfate–Polyacrylamide Gel Electrophoresis)
4.9. Liquid Chromatography-Mass Spectrometry (LC-MS)
4.9.1. Sample Preparation
4.9.2. Digested
4.9.3. Desalination
4.9.4. Conditions for Liquid Chromatography–Mass Spectrometry (LC-MS)
4.10. Antibacterial Assay
4.10.1. Minimum Inhibitory Concentration (MIC) and Minimum Bactericidal Concentration (MBC) Assays
4.10.2. Antimicrobial Index (AMI)
4.10.3. Percentage Activity Index (PAI)
4.10.4. Atomic Force Microscopy (AFM) Analysis
4.11. Assay of Lysozyme Activity
5. Conclusions
Supplementary Materials
Author Contributions
Funding
Institutional Review Board Statement
Informed Consent Statement
Data Availability Statement
Conflicts of Interest
Sample Availability
References
- Naidu, A.S. (Ed.) Natural Food Antimicrobial Systems; CRC Press: Boca Raton, FL, USA, 2000. [Google Scholar]
- Wu, H.; Cao, D.; Liu, T.; Zhao, J.; Hu, X.; Li, N. Purification and characterization of recombinant human lysozyme from eggs of transgenic chickens. PLoS ONE 2015, 10, e0146032. [Google Scholar] [CrossRef] [PubMed]
- Jiang, M.F.; Hu, M.J.; Ren, H.H.; Wang, L. Molecular cloning and characterization of a new C-type lysozyme gene from Yak mammary tissue. Asian-Australas. J. Anim. Sci. 2015, 28, 1774. [Google Scholar] [CrossRef] [PubMed]
- Nawaz, N.; Wen, S.; Wang, F.; Nawaz, S.; Raza, J.; Iftikhar, M.; Usman, M. Lysozyme and Its Application as Antibacterial Agent in Food Industry. Molecules 2022, 27, 6305. [Google Scholar] [CrossRef] [PubMed]
- Kim, Y.K.; Nam, Y.K. Molecular characterization and expression pattern of c-type and g-type lysozyme isoforms in starry flounder Platichthys stellate infected with Streptococcus parauberis. Fish. Sci. 2015, 81, 353–363. [Google Scholar] [CrossRef]
- Höltje, J.V. Bacterial lysozymes. EXS 1996, 75, 65–74. [Google Scholar] [CrossRef]
- Shahmohammadi, A. Lysozyme separation from chicken egg white: A review. Eur. Food Res. Technol. 2018, 244, 577–593. [Google Scholar] [CrossRef]
- Gill, A.O.; Holley, R.A. Inhibition of bacterial growth on ham and bologna by lysozyme, nisin and EDTA. Food Res. Int. 2000, 33, 83–90. [Google Scholar] [CrossRef]
- Ferraboschi, P.; Ciceri, S.; Grisenti, P. Applications of Lysozyme, an Innate Immune Defense Factor, as an Alternative Antibiotic. Antibiotics 2021, 10, 1534. [Google Scholar] [CrossRef]
- Ercan, D.; Demirci, A. Recent advances for the production and recovery methods of lysozyme. Crit. Rev. Biotechnol. 2016, 36, 1078–1088. [Google Scholar] [CrossRef]
- Salazar, O.; Asenjo, J.A. Enzymatic lysis of microbial cells. Biotechnol. Lett. 2007, 29, 985–994. [Google Scholar] [CrossRef]
- Wells, J.E.; Berry, E.D.; Kalchayanand, N.; Rempel, L.A.; Kim, M.; Oliver, W.T. Effect of lysozyme or antibiotics on faecal zoonotic pathogens in nursery pigs. J. Appl. Microbiol. 2015, 118, 1489–1497. [Google Scholar] [CrossRef] [PubMed]
- Silvetti, T.; Morandi, S.; Hintersteiner, M.; Brasca, M. Use of hen egg white lysozyme in the food industry. In Egg Innovations and Strategies for Improvements; Academic Press: Cambridge, MA, USA, 2017; pp. 233–242. [Google Scholar] [CrossRef]
- Fung, F.; Wang, H.S.; Menon, S. Food safety in the 21st century. Biomed. J. 2018, 41, 88–95. [Google Scholar] [CrossRef]
- Coban, H.B. Organic acids as antimicrobial food agents: Applications and microbial productions. Bioprocess Biosyst. Eng. 2020, 43, 569–591. [Google Scholar] [CrossRef] [PubMed]
- Thomas, R.K. The social determinants of health and illness. In Population Health and the Future of Healthcare; Springer: Cham, Switzerland, 2021; pp. 133–165. [Google Scholar] [CrossRef]
- Ullah, A.; Chan, M.W.H.; Aslam, S.; Khan, A.; Abbas, Q.; Ali, S.; Ali, M.; Hussain, A.; Mirani, Z.A.; Sibt-e-Hassan, S.; et al. Banned Sudan dyes in spices available at markets in Karachi, Pakistan. Food Addit. Contam. Part B 2022, 1–8. [Google Scholar] [CrossRef] [PubMed]
- Rahman, M.S. Handbook of Food Preservation; Marcel Dekkers. Inc.: New York, NY, USA, 1999. [Google Scholar]
- Sultana, T.; Rana, J.; Chakraborty, S.R.; Das, K.K.; Rahman, T.; Noor, R. Microbiological analysis of common preservatives used in food items and demonstration of their in vitro anti-bacterial activity. Asian Pac. J. Trop. Dis. 2014, 4, 452–456. [Google Scholar] [CrossRef]
- Ben Said, L.; Gaudreau, H.; Dallaire, L.; Tessier, M.; Fliss, I. Bioprotective culture: A new generation of food additives for the preservation of food quality and safety. Ind. Biotechnol. 2019, 15, 138–147. [Google Scholar] [CrossRef]
- Gokoglu, N. Novel natural food preservatives and applications in seafood preservation: A review. J. Sci. Food Agric. 2019, 99, 2068–2077. [Google Scholar] [CrossRef]
- Bensid, A.; El Abed, N.; Houicher, A.; Regenstein, J.M.; Özogul, F. Antioxidant and antimicrobial preservatives: Properties, mechanism of action and applications in food—A review. Crit. Rev. Food Sci. Nutr. 2022, 62, 2985–3001. [Google Scholar] [CrossRef]
- Pisoschi, A.M.; Pop, A.; Georgescu, C.; Turcuş, V.; Olah, N.K.; Mathe, E. An overview of natural antimicrobials role in food. Eur. J. Med. Chem. 2018, 143, 922–935. [Google Scholar] [CrossRef]
- Zhang, H.; Fu, G.; Zhang, D. Cloning, characterization, and production of a novel lysozyme by different expression hosts. J. Microbiol. Biotechnol. 2014, 24, 1405–1412. [Google Scholar] [CrossRef]
- You, S.J.; Udenigwe, C.C.; Aluko, R.E.; Wu, J. Multifunctional peptides from egg white lysozyme. Food Res. Int. 2010, 43, 848–855. [Google Scholar] [CrossRef]
- Nimalaratne, C.; Wu, J. Hen egg as an antioxidant food commodity: A review. Nutrients 2015, 7, 8274–8293. [Google Scholar] [CrossRef] [PubMed]
- Bayramoglu, G.; Tekinay, T.; Ozalp, V.C.; Arica, M.Y. Fibrous polymer grafted magnetic chitosan beads with strong poly (cation-exchange) groups for single step purification of lysozyme. J. Chromatogr. B 2015, 990, 84–95. [Google Scholar] [CrossRef] [PubMed]
- Dong, H.; Zhang, D. Current development in genetic engineering strategies of Bacillus species. Microb. Cell Factories 2014, 13, 1–11. [Google Scholar] [CrossRef]
- Van Dijl, J.; Hecker, M. Bacillus subtilis: From soil bacterium to super-secreting cell factory. Microb. Cell Factories 2013, 12, 1–6. [Google Scholar] [CrossRef]
- Moharam, M.E.; El-Bendary, M.A.; El-Beih, F.; Easa, S.M.H.; Elsoud, M.M.A.; Azzam, M.I.; Elgamal, N.N. Optimization of fibrinolytic enzyme production by newly isolated Bacillus subtilis Egy using central composite design. Biocatal. Agric. Biotechnol. 2019, 17, 43–50. [Google Scholar] [CrossRef]
- Trabelsi, H.; Dhali, D.; Yaseen, Y.; Leclère, V.; Jacques, P.; Coutte, F. Bacillus subtilis-based microbial cell factories. In Microbial Cell Factories Engineering for Production of Biomolecules; Academic Press: Cambridge, MA, USA, 2021; pp. 139–164. [Google Scholar] [CrossRef]
- Westers, L.; Westers, H.; Quax, W.J. Bacillus subtilis as cell factory for pharmaceutical proteins: A biotechnological approach to optimize the host organism. Biochim. Biophys. Acta (BBA)-Mol. Cell Res. 2004, 1694, 299–310. [Google Scholar] [CrossRef]
- Yeh, C.M.; Yeh, C.K.; Hsu, X.Y.; Luo, Q.M.; Lin, M.Y. Extracellular expression of a functional recombinant Ganoderma lucidium immunomodulatory protein by Bacillus subtilis and Lactococcus lactis. Appl. Environ. Microbiol. 2008, 74, 1039–1049. [Google Scholar] [CrossRef]
- Naveed, M.; Tianying, H.; Wang, F.; Yin, X.; Chan, M.W.H.; Ullah, A.; Xu, B.; Aslam, S.; Ali, N.; Abbas, Q.; et al. Isolation of lysozyme producing Bacillus subtilis Strains, identification of the new strain Bacillus subtilis BSN314 with the highest enzyme production capacity and optimization of culture conditions for maximum lysozyme production. Curr. Res. Biotechnol. 2022, 4, 290–301. [Google Scholar] [CrossRef]
- Otto, A.; Bernhardt, J.; Meyer, H.; Schaffer, M.; Herbst, F.A.; Siebourg, J.; Mäder, U.; Lalk, M.; Hecker, M.; Becher, D. Systems-wide temporal proteomic profiling in glucose-starved Bacillus subtilis. Nat. Commun. 2010, 1, 1–9. [Google Scholar] [CrossRef]
- Tjalsma, H.; Bolhuis, A.; Jongbloed, J.D.; Bron, S.; van Dijl, J.M. Signal peptide-dependent protein transport in Bacillus subtilis: A genome-based survey of the secretome. Microbiol. Mol. Biol. Rev. 2000, 64, 515–547. [Google Scholar] [CrossRef] [PubMed]
- Tjalsma, H.; Antelmann, H.; Jongbloed, J.D.; Braun, P.G.; Darmon, E.; Dorenbos, R.; Dubois, J.Y.F.; Westers, H.; Zanen, G.; Quax, W.J.; et al. Proteomics of protein secretion by Bacillus subtilis: Separating the “secrets” of the secretome. Microbiol. Mol. Biol. Rev. 2004, 68, 207–233. [Google Scholar] [CrossRef] [PubMed]
- Chen, C.; Li, X.; Yue, L.; Jing, X.; Yang, Y.; Xu, Y.; Wu, S.; Liang, Y.; Liu, X.; Zhang, X. Purification and characterization of lysozyme from Chinese Lueyang black-bone Silky fowl egg white. Prep. Biochem. Biotechnol. 2019, 49, 215–221. [Google Scholar] [CrossRef]
- Green, A.A.; Hughes, W.L. [10] Protein fractionation on the basis of solubility in aqueous solutions of salts and organic solvents. Methods Enzymol. 1955, 1, 67–90. [Google Scholar] [CrossRef]
- Wingfield, P.T., Ed.; Protein precipitation using ammonium sulfate. Curr. Protoc. Protein Sci. 2016, 84, A-3F. [Google Scholar] [CrossRef]
- Duong-Ly, K.C.; Gabelli, S.B. Salting out of proteins using ammonium sulfate precipitation. In Methods in Enzymology; Academic Press: Cambridge, MA, USA, 2014; Volume 541, pp. 85–94. [Google Scholar] [CrossRef]
- Seng, Y.Y.; Yun, C.T.; Abdullah, N.; Wong, F.W.F. Lysozymes from natural rubber latex (Hevea brasiliensis): Assay development and recovery using ammonium sulphate and surfactant precipitations. Ind. Crops Prod. 2022, 177, 114470. [Google Scholar] [CrossRef]
- Andrade, F.B.D.; Oliveira, J.C.D.; Yoshie, M.T.; Guimarães, B.M.; Gonçalves, R.B.; Schwarcz, W.D. Antimicrobial activity and synergism of lactoferrin and lysozyme against cariogenic microorganisms. Braz. Dent. J. 2014, 25, 165–169. [Google Scholar] [CrossRef]
- Matouskova, P.; Marova, I.; Bokrova, J.; Benesova, P. Effect of encapsulation on antimicrobial activity of herbal extracts with lysozyme. Food Technol. Biotechnol. 2016, 54, 304–316. [Google Scholar] [CrossRef]
- Shimazaki, Y.; Takahashi, A. Antibacterial activity of lysozyme-binding proteins from chicken egg white. J. Microbiol. Methods 2018, 154, 19–24. [Google Scholar] [CrossRef]
- Lopes, N.A.; Pinilla, C.M.B.; Brandelli, A. Antimicrobial activity of lysozyme-nisin co-encapsulated in liposomes coated with polysaccharides. Food Hydrocoll. 2019, 93, 1–9. [Google Scholar] [CrossRef]
- Morones, J.R.; Elechiguerra, J.L.; Camacho, A.; Holt, K.; Kouri, J.B.; Ramírez, J.T.; Yacaman, M.J. The bactericidal effect of silver nanoparticles. Nanotechnology 2005, 16, 2346. [Google Scholar] [CrossRef] [PubMed]
- Rao, K.; Imran, M.; Jabri, T.; Ali, I.; Perveen, S.; Ahmed, S.; Shah, M.R. Gum tragacanth stabilized green gold nanoparticles as cargos for Naringin loading: A morphological investigation through AFM. Carbohydr. Polym. 2017, 174, 243–252. [Google Scholar] [CrossRef] [PubMed]
- Wang, S.; Ng, T.B.; Chen, T.; Lin, D.; Wu, J.; Rao, P.; Ye, X. First report of a novel plant lysozyme with both antifungal and antibacterial activities. Biochem. Biophys. Res. Commun. 2005, 327, 820–827. [Google Scholar] [CrossRef] [PubMed]
- Wang, Y.; Li, S.; Jin, M.; Han, Q.; Liu, S.; Chen, X.; Han, Y. Enhancing the thermo-stability and anti-bacterium activity of lysozyme by immobilization on chitosan nanoparticles. Int. J. Mol. Sci. 2020, 21, 1635. [Google Scholar] [CrossRef]
- Anastas, P.T.; Rodriguez, A.; de Winter, T.M.; Coish, P.; Zimmerman, J.B. A review of immobilization techniques to improve the stability and bioactivity of lysozyme. Green Chem. Lett. Rev. 2021, 14, 302–338. [Google Scholar] [CrossRef]
- Wu, T.; Jiang, Q.; Wu, D.; Hu, Y.; Chen, S.; Ding, T.; Ye, X.; Liu, D.; Chen, J. What is new in lysozyme research and its application in food industry? A review. Food Chem. 2019, 274, 698–709. [Google Scholar] [CrossRef]
- Van de Merbel, N.C. Protein quantification by LC–MS: A decade of progress through the pages of Bioanalysis. Bioanalysis 2019, 11, 629–644. [Google Scholar] [CrossRef]
- Mine, Y.; Ma, F.; Lauriau, S. Antimicrobial peptides released by enzymatic hydrolysis of hen egg white lysozyme. J. Agric. Food Chem. 2004, 52, 1088–1094. [Google Scholar] [CrossRef]
- Lesnierowski, G.; Kijowski, J. Lysozyme. In Bioactive Egg Compounds; Springer: Berlin/Heidelberg, Germany, 2007; pp. 33–42. [Google Scholar] [CrossRef]
- Thammasirirak, S.; Pukcothanung, Y.; Preecharram, S.; Daduang, S.; Patramanon, R.; Fukamizo, T.; Araki, T. Antimicrobial peptides derived from goose egg white lysozyme. Comp. Biochem. Physiol. Part C Toxicol. Pharmacol. 2010, 151, 84–91. [Google Scholar] [CrossRef]
- Vollmer, W.; Blanot, D.; de Pedro, M.A. Peptidoglycan structure and architecture. FEMS Microbiol. Rev. 2008, 32, 149–167. [Google Scholar] [CrossRef]
- Do, T.; Page, J.E.; Walker, S. Uncovering the activities, biological roles, and regulation of bacterial cell wall hydrolases and tailoring enzymes. J. Biol. Chem. 2020, 295, 3347–3361. [Google Scholar] [CrossRef] [PubMed]
- Gandhi, D.; Chanalia, P.; Bansal, P.; Dhanda, S. Peptidoglycan hydrolases of probiotic Pediococcus acidilactici NCDC 252: Isolation, physicochemical and in silico characterization. Int. J. Pept. Res. Ther. 2020, 26, 2119–2127. [Google Scholar] [CrossRef]
- Kikuchi, H.; Kim, S.; Watanabe, K.; Watarai, M. Brucella abortus D-alanyl-D-alanine carboxypeptidase contributes to its intracellular replication and resistance against nitric oxide. FEMS Microbiol. Lett. 2006, 259, 120–125. [Google Scholar] [CrossRef]
- Alkhalili, R.N.; Bernfur, K.; Dishisha, T.; Mamo, G.; Schelin, J.; Canbäck, B.; Emanuelsson, C.; Hatti-Kaul, R. Antimicrobial protein candidates from the Thermophilic Geobacillus sp. strain ZGt-1: Production, proteomics, and bioinformatics analysis. Int. J. Mol. Sci. 2016, 17, 1363. [Google Scholar] [CrossRef]
- Tarahomjoo, S.; Ghaderi, S. In Silico design of a novel serotype independent vaccine against Streptococcus pneumoniae based on B-cell epitope regions of fibronectin binding protein, choline binding protein D, and D-alanyl-D-alanine Carboxypeptidase. Lett. Drug Des. Discov. 2019, 16, 372–381. [Google Scholar] [CrossRef]
- López-Arvizu, A.; Rocha-Mendoza, D.; Farrés, A.; Ponce-Alquicira, E.; García-Cano, I. Improved antimicrobial spectrum of the N-acetylmuramoyl-L-alanine amidase from Latilactobacillus sakei upon LysM domain deletion. World J. Microbiol. Biotechnol. 2021, 37, 1–11. [Google Scholar] [CrossRef]
- Lopez-Arvizu, A.; Rocha-Mendoza, D.; Ponce-Alquicira, E.; García-Cano, I. Characterization of antibacterial activity of a N-acetylmuramoyl-l-alanine amidase produced by Latilactobacillus sakei isolated from salami. World J. Microbiol. Biotechnol. 2021, 37, 1–13. [Google Scholar] [CrossRef]
- Mustikaningtyas, D.; Widyarti, S.; Rifa’i, M.; Widodo, N. Proposed Mechanism of Antibacterial Activity of Glutathione by Inhibition of the d-Alanyl-d-alanine Carboxypeptidase Enzyme. Int. J. Pept. Res. Ther. 2021, 27, 843–849. [Google Scholar] [CrossRef]
- Bramhall, S.; Noack, N.; Wu, M.; Loewenberg, J.R. A simple colorimetric method for determination of protein. Anal. Biochem. 1969, 31, 146–148. [Google Scholar] [CrossRef]
- Jablonski, J.E.; Fu, T.J.; Jackson, L.S.; Gendel, S.M. Determination of protein levels in soy and peanut oils by colorimetric assay and ELISA. J. AOAC Int. 2010, 93, 213–220. [Google Scholar] [CrossRef]
- Shugar, D. The measurement of lysozyme activity and the ultra-violet inactivation of lysozyme. Biochim. Biophys. 1952, 8, 302–309. [Google Scholar] [CrossRef] [PubMed]
- Toro, T.B.; Nguyen, T.P.; Watt, T.J. An improved 96-well turbidity assay for T4 lysozyme activity. MethodsX 2015, 2, 256–262. [Google Scholar] [CrossRef] [PubMed]
- Chen, Y.; Zhang, W.; Zhao, T.; Li, F.; Zhang, M.; Li, J.; Zou, Y.; Wang, W.; Cobbina, S.J.; Wu, X.; et al. Adsorption properties of macroporous adsorbent resins for separation of anthocyanins from mulberry. Food Chem. 2016, 194, 712–722. [Google Scholar] [CrossRef]
- Yang, B.; Wang, J.; Tang, B.; Liu, Y.; Guo, C.; Yang, P.; Yu, T.; Li, R.; Zhao, J.; Zhang, L.; et al. Characterization of bioactive recombinant human lysozyme expressed in milk of cloned transgenic cattle. PLoS ONE 2011, 6, e17593. [Google Scholar] [CrossRef] [PubMed]
- Wilken, L.R.; Nikolov, Z.L. Factors influencing recombinant human lysozyme extraction and cation exchange adsorption. Biotechnol. Prog. 2006, 22, 745–752. [Google Scholar] [CrossRef] [PubMed]
- Alkotaini, B.; Anuar, N.; Kadhum, A.A.H.; Sani, A.A.A. Isolation and identification of a new intracellular antimicrobial peptide produced by Paenibacillus alvei AN5. World J. Microbiol. Biotechnol. 2014, 30, 1377–1385. [Google Scholar] [CrossRef]
- Rappsilber, J.; Ishihama, Y.; Mann, M. Stop and go extraction tips for matrix-assisted laser desorption/ionization, nanoelectrospray, and LC/MS sample pretreatment in proteomics. Anal. Chem. 2003, 75, 663–670. [Google Scholar] [CrossRef]
- Chan, M.W.H.; Hasan, K.A.; Balthazar-Silva, D.; Asghar, M.; Mirani, Z.A. Surviving under pollution stress: Antibacterial and antifungal activities of the Oyster species (Magallana bilineata and Magallana cuttackensis). Fish Shellfish. Immunol. 2021, 108, 142–146. [Google Scholar] [CrossRef]
- Chan, M.W.H.; Ali, A.; Ullah, A.; Mirani, Z.A.; Balthazar-Silva, D. A Size-dependent Bioaccumulation of Metal Pollutants, Antibacterial and Antifungal Activities of Telescopium telescopium, Nerita albicilla and Lunella coronata. Environ. Toxicol. Pharmacol. 2021, 87, 103722. [Google Scholar] [CrossRef]
- Chikezie, I.O. Determination of minimum inhibitory concentration (MIC) and minimum bactericidal concentration (MBC) using a novel dilution tube method. Afr. J. Microbiol. Res. 2017, 11, 977–980. [Google Scholar] [CrossRef]
- Usmani, Y.; Ahmed, A.; Faizi, S.; Versiani, M.A.; Shamshad, S.; Khan, S.; Simjee, S.U. Antimicrobial and biofilm inhibiting potential of an amide derivative [N-(2′, 4′-dinitrophenyl)-3β-hydroxyurs-12-en-28-carbonamide] of ursolic acid by modulating membrane potential and quorum sensing against colistin resistant Acinetobacter baumannii. Microb. Pathog. 2021, 157, 104997. [Google Scholar] [CrossRef] [PubMed]








| Ammonium Sulfate Conc. | Vol. (mL) | Protein Conc. (mg/mL) | Enzyme Activity (U/mL) |
|---|---|---|---|
| 20% | 6 | 0.24 | 14.3 ± 0.9 |
| 30% | 6 | 0.125 | 0 |
| 40% | 6 | 0.123 | 0 |
| 50% | 6 | 0.131 | 0 |
| 60% | 6 | 0.124 | 0 |
| 70% | 6 | 0.712 | 43 ± 1.5 |
| 80% | 6 | 0.203 | 12.2 ± 1.0 |
| 90% | 6 | 0.251 | 10.5 ± 0.7 |
| 100% | 6 | 0.373 | 15 ± 1.2 |
| Steps | Vol. mL | Total Enzyme Activity U | Protein Conc. mg/mL | Specific Activity U/mg | Yield % |
|---|---|---|---|---|---|
| Ammonium sulfate precipitation | 6 | 258 | 0.712 | 362.36 | 100 |
| Dialysis | 20 | 193.5 | 0.422 | 458.53 | 75 |
| Ultrafiltration | 3 | 153 | 0.318 | 481.13 | 59 |
| Gel column chromatography | 2 | 21.93 | 0.099 | 221.52 | 8.55 |
| Microorganism | CIP | ZOI | MIC | MBC | AMI | PAI |
|---|---|---|---|---|---|---|
| ZOI (mm) | (mm) ± SD | (μg/mL) ± SD | (μg/mL) ± SD | |||
| Bacillus cereus | 13.8 | 14 ± 1.10 | 1.75 ± 0.08 | 1.75 ± 0.08 | 1.01 | 101 |
| Bacillus subtilis 168 | 14.5 | 15 ± 0.85 | 1.50 ± 0.07 | 1.50 ± 0.07 | 1.03 | 103 |
| Micrococcus luteus | 17.3 | 17 ± 1.25 | 1.25 ± 0.04 | 1.25 ± 0.04 | 0.98 | 98 |
| Pseudomonas aeruginosa | 12.5 | 12 ± 0.55 | 2.50 ± 0.20 | 2.50 ± 0.20 | 0.96 | 96 |
| Salmonella typhimurium | 13.0 | 12 ± 0.55 | 2.75 ± 0.07 | 2.75 ± 0.07 | 0.92 | 92 |
| Time/min | Con B/% |
|---|---|
| 0 | 3 |
| 4 | 8 |
| 53 | 35 |
| 57 | 100 |
| 60 | 10 |
| Accession | Exp. q-Value: | Coverage | PSMs | Protein Groups | MW (kDa) |
|---|---|---|---|---|---|
| Combined | (%) | ||||
| A0A1Q9FQ60 | 0 | 68 | 34 | 1 | 24.7 |
| A0A1Q9FUJ0 | 0 | 60 | 117 | 1 | 22.5 |
| A0A1Q9FEN7 | 0 | 42 | 6 | 1 | 22.2 |
| A0A1Q9FY79 | 0 | 26 | 9 | 1 | 56.3 |
| Q65HB3 | 0 | 18 | 7 | 1 | 22.5 |
| A0A1Q9FQG6 | 0 | 13 | 5 | 1 | 34.7 |
| A0A1Q9FZC9 | 0 | 4 | 5 | 1 | 154.2 |
| A0A1Q9FDF5 | 0 | 22 | 5 | 1 | 30.6 |
| A0A1Q9FXL7 | 0 | 26 | 5 | 1 | 16.6 |
| A0A1Q9G001 | 0 | 38 | 45 | 1 | 15.6 |
| A0A1Q9FGV8 | 0 | 12 | 3 | 1 | 27.7 |
| A0A1Q9FFF3 | 0 | 20 | 3 | 1 | 20.7 |
| A0A1Q9FEE0 | 0 | 8 | 3 | 1 | 31.2 |
| A0A1Q9G2J3 | 0 | 16 | 7 | 1 | 20.6 |
| A0A1Q9G213 | 0 | 6 | 2 | 1 | 31.9 |
| A0A1Q9FYJ5 | 0 | 11 | 3 | 1 | 39.6 |
| A0A1Q9FEA7 | 0 | 31 | 2 | 1 | 14.5 |
| A0A1Q9FYR5 | 0 | 10 | 4 | 1 | 43.8 |
| A0A2U9VQ97 | 0 | 11 | 4 | 1 | 20.7 |
| A0A1Q9FMJ6 | 0 | 11 | 2 | 1 | 15.8 |
| A0A1Q9FXQ7 | 0 | 13 | 2 | 1 | 37.4 |
| A0A1Q9FR47 | 0 | 10 | 1 | 1 | 20.1 |
| A0A1Q9FZF7 | 0 | 28 | 2 | 1 | 10.3 |
| A0A1Q9FZX5 | 0 | 33 | 2 | 1 | 8.5 |
| A0A1Q9FXQ3 | 0 | 7 | 2 | 1 | 33.3 |
| A0A1Q9FIV4 | 0 | 1 | 2 | 1 | 154.7 |
| A0A1Q9FSE5 | 0 | 9 | 1 | 1 | 17.1 |
| A0A1Q9G228 | 0 | 5 | 1 | 1 | 35.3 |
| A0A1Q9FME6 | 0 | 11 | 1 | 1 | 14.7 |
| Q65FN0 | 0 | 11 | 1 | 1 | 15.3 |
| A0A1Q9FQE4 | 0 | 12 | 1 | 1 | 11.4 |
| A0A1Q9FIX4 | 0 | 3 | 1 | 1 | 36.9 |
| A0A1Q9G1Z5 | 0 | 3 | 1 | 1 | 45.1 |
| A0A1Q9FRD3 | 0 | 4 | 2 | 1 | 48.6 |
| A0A1Q9FIY1 | 0 | 12 | 2 | 1 | 25.6 |
| A0A1Q9FJ07 | 0 | 5 | 2 | 1 | 65.4 |
| T5HNB6 | 0 | 2 | 1 | 1 | 51.7 |
| A0A1Q9FIQ8 | 0 | 3 | 1 | 1 | 35 |
| A0A1Q9FDA4 | 0 | 2 | 1 | 1 | 53 |
| A0A1Q9FMH1 | 0 | 4 | 1 | 1 | 24.1 |
| A0A1Q9FLM0 | 0 | 4 | 1 | 1 | 25.4 |
| A0A1Q9FSI6 | 0 | 6 | 1 | 1 | 14.9 |
| A0A1Q9FLW4 | 0 | 8 | 1 | 1 | 17.3 |
| A0A1Q9FZZ7 | 0.015 | 2 | 1 | 1 | 50.3 |
| A0A1Q9G206 | 0.015 | 6 | 1 | 1 | 17.7 |
| A0A1Q9FUC1 | 0.015 | 6 | 1 | 1 | 15.2 |
| A0A1Q9FLZ2 | 0.015 | 6 | 1 | 1 | 23.2 |
| A0A1Q9FEC9 | 0.014 | 7 | 1 | 1 | 13.9 |
| A0A1Q9FXG7 | 0.014 | 4 | 1 | 1 | 25.3 |
| A0A1Q9FY38 | 0.014 | 2 | 1 | 1 | 35.8 |
| A0A1Q9FGR1 | 0.014 | 12 | 1 | 1 | 15.9 |
| A0A1Q9FGD6 | 0.013 | 9 | 1 | 1 | 26.2 |
| A0A1Q9G1N8 | 0.013 | 7 | 1 | 1 | 17.5 |
| G4XU89 | 0.013 | 3 | 1 | 1 | 31.8 |
| A0A1Q9FYH0 | 0.013 | 2 | 1 | 1 | 38.1 |
| A0A1Y0YIP0 | 0.012 | 3 | 1 | 1 | 48.1 |
Disclaimer/Publisher’s Note: The statements, opinions and data contained in all publications are solely those of the individual author(s) and contributor(s) and not of MDPI and/or the editor(s). MDPI and/or the editor(s) disclaim responsibility for any injury to people or property resulting from any ideas, methods, instructions or products referred to in the content. |
© 2023 by the authors. Licensee MDPI, Basel, Switzerland. This article is an open access article distributed under the terms and conditions of the Creative Commons Attribution (CC BY) license (https://creativecommons.org/licenses/by/4.0/).
Share and Cite
Naveed, M.; Wang, Y.; Yin, X.; Chan, M.W.H.; Aslam, S.; Wang, F.; Xu, B.; Ullah, A. Purification, Characterization and Bactericidal Action of Lysozyme, Isolated from Bacillus subtillis BSN314: A Disintegrating Effect of Lysozyme on Gram-Positive and Gram-Negative Bacteria. Molecules 2023, 28, 1058. https://doi.org/10.3390/molecules28031058
Naveed M, Wang Y, Yin X, Chan MWH, Aslam S, Wang F, Xu B, Ullah A. Purification, Characterization and Bactericidal Action of Lysozyme, Isolated from Bacillus subtillis BSN314: A Disintegrating Effect of Lysozyme on Gram-Positive and Gram-Negative Bacteria. Molecules. 2023; 28(3):1058. https://doi.org/10.3390/molecules28031058
Chicago/Turabian StyleNaveed, Muhammad, Yadong Wang, Xian Yin, Malik Wajid Hussain Chan, Sadar Aslam, Fenghuan Wang, Baocai Xu, and Asad Ullah. 2023. "Purification, Characterization and Bactericidal Action of Lysozyme, Isolated from Bacillus subtillis BSN314: A Disintegrating Effect of Lysozyme on Gram-Positive and Gram-Negative Bacteria" Molecules 28, no. 3: 1058. https://doi.org/10.3390/molecules28031058
APA StyleNaveed, M., Wang, Y., Yin, X., Chan, M. W. H., Aslam, S., Wang, F., Xu, B., & Ullah, A. (2023). Purification, Characterization and Bactericidal Action of Lysozyme, Isolated from Bacillus subtillis BSN314: A Disintegrating Effect of Lysozyme on Gram-Positive and Gram-Negative Bacteria. Molecules, 28(3), 1058. https://doi.org/10.3390/molecules28031058

