Sign in to use this feature.

Years

Between: -

Subjects

remove_circle_outline
remove_circle_outline
remove_circle_outline
remove_circle_outline
remove_circle_outline
remove_circle_outline
remove_circle_outline
remove_circle_outline
remove_circle_outline

Journals

remove_circle_outline
remove_circle_outline
remove_circle_outline
remove_circle_outline
remove_circle_outline
remove_circle_outline
remove_circle_outline
remove_circle_outline
remove_circle_outline
remove_circle_outline
remove_circle_outline
remove_circle_outline
remove_circle_outline
remove_circle_outline
remove_circle_outline
remove_circle_outline

Article Types

Countries / Regions

remove_circle_outline
remove_circle_outline
remove_circle_outline
remove_circle_outline
remove_circle_outline
remove_circle_outline
remove_circle_outline
remove_circle_outline
remove_circle_outline

Search Results (1,213)

Search Parameters:
Keywords = skull

Order results
Result details
Results per page
Select all
Export citation of selected articles as:
20 pages, 1807 KB  
Article
Kinematic Analysis of the Temporomandibular Joints for Different Head Positions—A Reliability Study
by Gaël Bescond, Céline De Passe, Véronique Feipel, Joe Abi Nader, Fedor Moiseev and Serge Van Sint Jan
Biomechanics 2026, 6(1), 11; https://doi.org/10.3390/biomechanics6010011 - 10 Jan 2026
Viewed by 48
Abstract
Background/Objectives: Considering that the kinematics of the temporomandibular joints (TMJs) is concomitant with head movements and that temporomandibular joint disorders (TMDs) are frequently associated with neck pain in clinics but seldom or never investigated, the aim of this study was to develop [...] Read more.
Background/Objectives: Considering that the kinematics of the temporomandibular joints (TMJs) is concomitant with head movements and that temporomandibular joint disorders (TMDs) are frequently associated with neck pain in clinics but seldom or never investigated, the aim of this study was to develop a reliable in vivo measurement protocol of the simultaneous amplitudes of the mandible and of the skull. The development of such a protocol is part of a project to build an accurate kinematic assessment tool for clinicians in the orofacial field who treat patients suffering from TMD. Methods: Mouth opening, laterotrusion and protrusion movements for three different positions of the head (neutral, slouched and military) on 12 asymptomatic voluntary subjects (5 men and 7 women, mean 33.6 yo +/− 11.1) were recorded using 20 markers palpated and taped and 14 optoelectronic cameras. The acquisition frequency was set at 150 hertz. The inter- and intra-examiner reliability of marker palpation in mm was calculated using standard deviation (SD), mean difference (MD) and standard error (SE). Amplitudes of movement according to axes defined by the International Society of Biomechanics (ISB) are given for the mandible and skull segments. The propagation of error on the amplitudes was calculated with the root mean square propagation error (RMSPE) in degrees. Repeated-measures ANOVA or Friedman tests were used to assess the influence of the position of the head on the amplitudes of the jaw. Power analysis of the sample size was estimated with Cohen’s f3 size effect test. Steady-state plots (SSPs) and normalized motion graphs between the skull and the mandible motion were performed to study the coordination of their maximum amplitude over time. Results: The protocol demonstrated good intra-examiner reliability (1.5 < MD < 5.8; 2.6 < SD < 7.8; 2.0 < SE < 3.8), good inter-examiner reproducibility (0.2 < MD < 4.0; 3.5 < SD < 4.6; 2.0 < SE < 2.5) and small error propagation (0.0 < RMSPE intra < 2.8; 0.0 < RMSPE inter < 1.0). The amplitudes of the jaw and head found during the three types of movements correspond to the values reported in the literature. Head positions did not appear to significantly influence the amplitudes of jaw movements, which could be explained by the power estimation of our sample (Type II error β = 0.692). The participation of head movements in those of the jaw, for all motions and in all positions, was demonstrated and discussed in detail. Conclusions: The accuracy, test–retest reliability, and intra-individual variability of the TMJ kinematic analysis, including head movements, was ensured. The small sample size and the absence of standardized head positions for the subjects limit the scope of the intra- and inter-group analysis results. Given the natural biological and complex coordination of jaw–head movement, the authors consider its evaluation useful in clinical intervention and would like to further develop the present protocol. The next step should be to test the feasibility of its clinical application with a larger group of asymptomatic subjects compared to patients suffering from TMD. Full article
(This article belongs to the Section Injury Biomechanics and Rehabilitation)
Show Figures

Figure 1

17 pages, 1110 KB  
Case Report
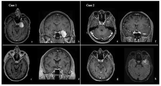
Giant Right Sphenoid Wing Meningioma as a Reversible Frontal Network Lesion: A Pseudo-bvFTD Case with Venous-Sparing Skull-Base Resection
by Valentin Titus Grigorean, Octavian Munteanu, Felix-Mircea Brehar, Catalina-Ioana Tataru, Matei Serban, Razvan-Adrian Covache-Busuioc, Corneliu Toader, Cosmin Pantu, Alexandru Breazu and Lucian Eva
Diagnostics 2026, 16(2), 224; https://doi.org/10.3390/diagnostics16020224 - 10 Jan 2026
Viewed by 75
Abstract
Background and Clinical Significance: Giant sphenoid wing meningiomas are generally viewed as skull base masses that compress frontal centers and their respective pathways gradually enough to cause a dysexecutive–apathetic syndrome, which can mimic primary neurodegenerative disease. The aim of this report is [...] Read more.
Background and Clinical Significance: Giant sphenoid wing meningiomas are generally viewed as skull base masses that compress frontal centers and their respective pathways gradually enough to cause a dysexecutive–apathetic syndrome, which can mimic primary neurodegenerative disease. The aim of this report is to illustrate how bedside phenotyping and multimodal imaging can disclose similar clinical presentations as surgically treatable network lesions. Case Presentation: An independent, right-handed older female developed an incremental, two-year decline of her ability to perform executive functions, extreme apathy, lack of instrumental functioning, and a frontal-based gait disturbance, culminating in a first generalized seizure and a newly acquired left-sided upper extremity pyramidal sign. Standardized neuropsychological evaluation revealed a predominant frontal-based dysexecutive profile with intact core language skills, similar to behavioral-variant frontotemporal dementia (bvFTD). MRI demonstrated a large, right fronto-temporo-basal extra-axial tumor attached to the sphenoid wing with homogeneous postcontrast enhancement, significant vasogenic edema within the frontal projection pathways, and a marked midline displacement of structures with an open venous pathway. With the use of a skull-base flattening pterional craniotomy with early devascularization followed by staged internal debulking, arachnoid preserving dissection, and conservative venous preservation, the surgeon accomplished a Simpson Grade I resection. Sequential improvements in the patient’s frontal “re-awakening” were demonstrated through postoperative improvements on standardized stroke, cognitive and functional assessment scales that correlated well with persistent decompression and symmetric ventricles on follow-up images. Conclusions: This case illustrates the possibility of a non-dominant sphenoid wing meningioma resulting in a pseudo-degenerative frontal syndrome and its potential for reversal if recognized as a network lesion and treated with tailored, venous-sparing skull-base surgery. Contrast-enhanced imaging and routine frontal testing in atypical “dementia” presentations may aid in identifying additional patients with potentially surgically remediable cases. Full article
(This article belongs to the Special Issue Brain/Neuroimaging 2025–2026)
Show Figures

Figure 1

26 pages, 6213 KB  
Article
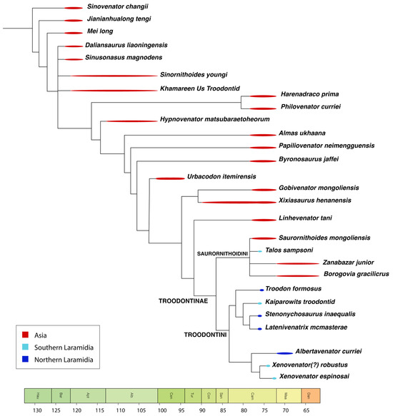
A Thick-Skulled Troodontid Theropod from the Late Cretaceous of Mexico
by Hector E. Rivera-Sylva, Martha C. Aguillón-Martinez, Jose Flores-Ventura, Ivan E. Sánchez-Uribe, Jose Ruben Guzman-Gutierrez and Nicholas R. Longrich
Diversity 2026, 18(1), 38; https://doi.org/10.3390/d18010038 - 9 Jan 2026
Viewed by 1970
Abstract
Dinosaurs repeatedly evolved adaptations for sexual selection over their 150-million year history, including adaptations for display and intraspecific combat. Adaptations for intraspecific combat have not previously been described in non-avian maniraptorans. We report a troodontid from the Campanian Cerro del Pueblo Formation of [...] Read more.
Dinosaurs repeatedly evolved adaptations for sexual selection over their 150-million year history, including adaptations for display and intraspecific combat. Adaptations for intraspecific combat have not previously been described in non-avian maniraptorans. We report a troodontid from the Campanian Cerro del Pueblo Formation of Coahuila, Mexico, showing a thickened and domed skull roof. The cranium is domed and bones are extremely thick, a morphology convergent on that of Pachycephalosauridae. Referred specimens show less thickening or doming, suggesting ontogenetic changes or perhaps sexual dimorphism. The holotype shows fusion of the frontal midline suture and tightly interdigitating sutures between skull bones, and a rugose skull roof. The specializations seen here suggest adaptation for intraspecific combat, specifically head-butting as hypothesized for pachycephalosaurids and pachyrhinosaurin ceratopsids. Repeated evolution of elaborate weapons and display features in the Cretaceous suggests that sexual selection became increasingly important in dinosaur evolution during the Cretaceous. Full article
(This article belongs to the Section Animal Diversity)
Show Figures

Figure 1

12 pages, 23169 KB  
Technical Note
A Simple and Cost-Effective Retractor for Transorbital Neurosurgery: Technical Note and Application in Lacrimal Keyhole Approaches
by Luca Ferlendis, Arianna Fava, Thibault Passeri, Rosaria Abbritti and Sebastien Froelich
J. Clin. Med. 2026, 15(2), 482; https://doi.org/10.3390/jcm15020482 - 7 Jan 2026
Viewed by 193
Abstract
Background: Transorbital approaches (TOAs) provide minimally invasive access to anterior and middle cranial fossa lesions. However, orbital retraction remains a challenge, as narrow corridors limit maneuverability and excessive retraction increase complication risk. Conventional rigid or malleable retractors may obstruct the corridor or [...] Read more.
Background: Transorbital approaches (TOAs) provide minimally invasive access to anterior and middle cranial fossa lesions. However, orbital retraction remains a challenge, as narrow corridors limit maneuverability and excessive retraction increase complication risk. Conventional rigid or malleable retractors may obstruct the corridor or exert uneven pressure on delicate tissues. We present a handmade, semi-rigid plastic retractor as a low-cost, effective solution to optimize orbital retraction in TOAs. Methods: The retractor was fashioned from a cylindrical plastic drill bit container, cut into two semicircular pieces with rounded edges. Its application is described within the transorbital eyebrow lacrimal keyhole approach (TELKA). During the bony phase, one piece is placed on the orbital roof for periorbital retraction and protection, while a second may be positioned laterally to protect the temporalis muscle when required. Once adequate working space is achieved, the lateral retractor is removed and the medial one maintained throughout the procedure. Technical details are illustrated through representative clinical cases, supported by anatomical dissection and an operative video. Results: Across thirteen TELKA procedures, the semi-rigid retractor provided stable, low-intensity retraction with even pressure distribution, minimizing corridor obstruction and facilitating both microscopic and endoscopic maneuverability. No orbital or visual complications related to retraction were observed; periorbital structures were preserved, with no postoperative proptosis or aesthetic defects. Conclusions: This handmade, semi-rigid retractor is a safe, customizable, and reproducible tool that enhances surgical freedom while minimizing orbital morbidity in TOAs. It is particularly advantageous in keyhole procedures such as TELKA, representing a promising alternative to conventional retraction systems. Full article
Show Figures

Figure 1

15 pages, 2848 KB  
Article
Tomographic Characterization of the European Shorthair Cat Orbital and Infraorbital Regions
by João Filipe Requicha, Ana Rita Sousa, Nuno Proença, Ana Válega and Sofia Alves-Pimenta
Animals 2026, 16(1), 147; https://doi.org/10.3390/ani16010147 - 5 Jan 2026
Viewed by 134
Abstract
Accurate knowledge of orbital and infraorbital regions and their relation to pterygopalatine fossa is essential for improving safety and effectiveness of infraorbital and maxillary nerve blocks and for guiding surgical procedures in dentistry. Previous studies relied on multiplanar or three-dimensional reconstructions of computed [...] Read more.
Accurate knowledge of orbital and infraorbital regions and their relation to pterygopalatine fossa is essential for improving safety and effectiveness of infraorbital and maxillary nerve blocks and for guiding surgical procedures in dentistry. Previous studies relied on multiplanar or three-dimensional reconstructions of computed tomographic (CT) images, requiring additional processing and expertise. Scans from 24 European Shorthair cats were analyzed retrospectively, to provide anatomical landmarks and reference values for orbital and infraorbital regions, using a simplified approach based on linear measurements taken directly from sagittal, transverse and dorsal CT planes. Repeatability of measurements was confirmed, with all parameters showing strong agreement across sessions. Significant differences were observed between mean infraorbital canal length in females (5.02 ± 0.42) and males (5.46 ± 0.46), and skull length in females (88.06 ± 3.16) and males (94.54 ± 4.52). Males exhibited 0.42 mm larger infraorbital major axis. After adjustment for skull size, only selected differences persisted, reflecting proportionally longer skulls in males. This study contributes practical reference data to support the limited safe depth for infraorbital/maxillary nerve blocks and the associated risk of globe penetration if instruments are advanced too far into the infraorbital canal. By proposing this simplified and clinic-ready workflow, our results provide foundation for standardization of feline orbital and infraorbital morphometry. Full article
(This article belongs to the Special Issue Stomatology of Companion Animals—Second Edition)
Show Figures

Figure 1

15 pages, 7348 KB  
Case Report
When Cancer Mimics Pain: Maxillary Primary Intraosseous Carcinoma Misdiagnosed as Trigeminal Neuralgia
by Coșarcă Adina Simona, Száva Daniel, Gherman Mircea Bogdan, Mocanu Simona, Petrovan Cecilia, Mihai-Vlad Golu and Ormenişan Alina
Dent. J. 2026, 14(1), 28; https://doi.org/10.3390/dj14010028 - 4 Jan 2026
Viewed by 105
Abstract
Background: Primary intraosseous carcinoma (PIOC) is a rare and aggressive odontogenic malignancy that originates within the jaw bones without initial mucosal involvement. Its atypical and nonspecific symptoms frequently lead to diagnostic delays, especially in maxillary presentations. Methods: A 74-year-old male presented [...] Read more.
Background: Primary intraosseous carcinoma (PIOC) is a rare and aggressive odontogenic malignancy that originates within the jaw bones without initial mucosal involvement. Its atypical and nonspecific symptoms frequently lead to diagnostic delays, especially in maxillary presentations. Methods: A 74-year-old male presented with persistent trigeminal-like neuralgic pain along the ophthalmic branch, initially misdiagnosed as secondary trigeminal neuralgia. MRI revealed a 45 × 46 × 34 mm mass occupying the right maxillary sinus with orbital wall destruction and dural invasion. Following histopathological confirmation of malignancy, a multidisciplinary team performed total maxillectomy with orbital exenteration and dural resection, followed by reconstruction using a temporoparietal flap. Adjuvant radiotherapy was administered. Results: Histopathology revealed invasive odontogenic carcinoma with atypical squamous features, dentinoid deposition, and perineural invasion. Postoperative recovery was uneventful, with complete pain resolution. MRI and PET surveillance over 2.5 years demonstrated no local recurrence. Conclusions: Maxillary PIOC may present exclusively with neuropathic pain, mimicking trigeminal neuralgia and leading to delayed diagnosis. In cases of unexplained facial pain with sinus or skull base involvement, odontogenic malignancies should be considered in the differential diagnosis. Early imaging and multidisciplinary management are key to achieving timely diagnosis, effective treatment, and improved quality of life. Full article
Show Figures

Figure 1

15 pages, 2570 KB  
Case Report
Immediate 3D Skull Changes Following 3D-Guided Midpalatal Piezocorticotomy-Assisted MARPE: Case Report
by Svitlana Koval, Viktoriia Kolesnyk and Daria Chepanova
Dent. J. 2026, 14(1), 24; https://doi.org/10.3390/dj14010024 - 4 Jan 2026
Viewed by 389
Abstract
Background/Objectives: Mini-Screw-Assisted Rapid Skeletal Expansion (MARPE) appliances have been widely used for maxillary skeletal expansion in non-growing subjects and adolescents with a fused midpalatal suture. The current case report describes the immediate 3D cephalometric changes in the skeletal and soft tissue parameters, [...] Read more.
Background/Objectives: Mini-Screw-Assisted Rapid Skeletal Expansion (MARPE) appliances have been widely used for maxillary skeletal expansion in non-growing subjects and adolescents with a fused midpalatal suture. The current case report describes the immediate 3D cephalometric changes in the skeletal and soft tissue parameters, along with upper airway volume, shape, and dimensions, in a patient with Skeletal Class I anterior underbite. Methods: The pre- and post-expansion full-face Cone-Beam Computed Tomograms (CBCTs) of a 19-year-old patient who underwent 3D-guided midpalatal piezocorticotomy-assisted MARPE were compared and analyzed using 3D cephalometric software. Both CBCT volumes were re-oriented relative to the Frankfurt horizontal plane (FHP) to accommodate postural changes. Results: The total upper airway volume and minimum upper airway cross-section increased after expansion. The nasal base plane (ANS–PNS) rotated in all three spatial planes, including the sagittal plane (anterior downward and posterior upward rotation, with the center of rotation around the maxillary center of rotation) and the vertical plane (upward rotation on the left side). The maxillary canine and molar cant planes rotated around the center of rotation in the midface, with left upward and right downward rotation. The orientation of the ANS–PNS plane changed due to the leftward rotation of the ANS, with the center of rotation approaching the PNS. Cervical curvature improved from kyphotic to lordotic immediately following expansion. Conclusions: Three-dimensionally guided midpalatal piezocorticotomy-assisted MARPE has been shown to produce midfacial changes in all three spatial planes when evaluated via 3D cephalometric analysis. Comprehensive observational studies are necessary to analyze these changes and their effects for different skeletal classifications. Full article
Show Figures

Figure 1

11 pages, 5552 KB  
Article
Association of Skull Type, Diet, and Chronic Gingivostomatitis with Tooth Resorption in Cats Receiving Dental Treatment
by Pitak Anusorn, Chakkarin Satthathum, Pollawat Jariyarangsrirattana, Emmita Mongkholdej, Doungnapa Onnom and Naris Thengchaisri
Animals 2026, 16(1), 135; https://doi.org/10.3390/ani16010135 - 3 Jan 2026
Viewed by 454
Abstract
Tooth resorption (TR) is a common and painful dental disease in cats. The contributions of skull type, diet, and chronic gingivostomatitis (CGS) to its development remain unclear. We retrospectively reviewed 166 cats with TR confirmed radiographically to evaluate these associations. Brachycephalic cats ( [...] Read more.
Tooth resorption (TR) is a common and painful dental disease in cats. The contributions of skull type, diet, and chronic gingivostomatitis (CGS) to its development remain unclear. We retrospectively reviewed 166 cats with TR confirmed radiographically to evaluate these associations. Brachycephalic cats (N = 33) were significantly younger than non-brachycephalic cats (7.1 ± 2.6 vs. 8.7 ± 3.8 years, p = 0.026) and had a higher prevalence of advanced Stage 4 TR lesions (p = 0.018). There was no significant difference between two groups of cats in sex distribution, diet type or wet food consumption. CGS occurred more often in non-brachycephalic cats (57.9% vs. 21.2%, p < 0.001) but was not associated with TR severity. In both skull groups, mandibular premolars and molars were most commonly affected (p < 0.01). Cats with owner-reported premium diets had more Stage 4 lesions (p = 0.013), particularly in non-brachycephalic cats but not in brachycephalic cats. These findings suggest that TR severity is associated with younger age and advanced lesions in brachycephalic breeds, as well as diet-related differences in non-brachycephalic cats. Further studies are warranted to evaluate early dental screening and targeted nutritional strategies to mitigate the progression of tooth resorption in cats. Full article
(This article belongs to the Special Issue Advances in Small Animal Gastrointestinal and Hepatic Diseases)
Show Figures

Figure 1

16 pages, 2885 KB  
Case Report
Precision in Complexity: A Protocol-Driven Quantitative Anatomic Strategy for Giant Olfactory Groove Meningioma Resection in a High-Risk Geriatric Patient
by Valentin Titus Grigorean, Cosmin Pantu, Alexandru Breazu, George Pariza, Octavian Munteanu, Mugurel Petrinel Radoi and Adrian Vasile Dumitru
Diagnostics 2026, 16(1), 127; https://doi.org/10.3390/diagnostics16010127 - 1 Jan 2026
Viewed by 269
Abstract
Background/Objectives: Managing large midline olfactory groove meningiomas is especially difficult in elderly patients who have limited physiological reserves. Here we describe a unique and dangerous geriatric case where we used new quantifiable anatomical measurements and developed a structured multidisciplinary preoperative and postoperative [...] Read more.
Background/Objectives: Managing large midline olfactory groove meningiomas is especially difficult in elderly patients who have limited physiological reserves. Here we describe a unique and dangerous geriatric case where we used new quantifiable anatomical measurements and developed a structured multidisciplinary preoperative and postoperative protocol to assist in all aspects of surgery. Case Presentation: A 68-year-old male with fronto-lobe syndrome and disability (astasia-abasia; Tinetti Balance Score of 4/16 and Gait Score of 0/12) as well as cognitive dysfunction (MoCA score of 12/30) and blindness bilaterally. Imaging prior to surgery demonstrated a very large olfactory groove meningioma which severely compressed both optic pathways at the level of the optic canals (up to 71% reduction in cross-sectional area of the optic nerves) and had complex vascular relationships with the anterior cerebral artery complex (210° contact surface). Due to significant cardiovascular disease and liver disease, his care followed a coordinated optimization protocol for the perioperative period. He underwent bifrontal craniotomy, initial early devascularization and then staged ultrasonic internal decompression (approximately 70% reduction in tumor volume) and finally microsurgical dissection of the tumor under multi-modal monitoring of neurophysiology. Discussion: We analyzed his imaging data prior to surgery using a standardized measurement protocol to provide quantitative measures of the degree of compression of the optic pathways (traction-stretch index = 1.93; optic angulation = 47.3°). These quantitative measures allowed us to make a risk-based evaluation of the anatomy and to guide our choices of corridors through which to dissect and remove the tumor. Following surgery, imaging studies demonstrated complete removal of the tumor with significant relief of the frontal lobe and optic apparatus from compression. His pathology showed that he had a WHO Grade I meningioma with an AKT1(E17K) mutation identified on molecular profiling. Conclusions: This case is intended to demonstrate the feasibility of integrating quantitative anatomical measurements into a multidisciplinary, protocol-based perioperative pathway to maximize the safety and effectiveness of the surgical removal of a complex and high-risk skull-base tumor. While the proposed quantitative indices are experimental and require additional validation, the use of a systematic approach such as this may serve as a useful paradigm for other complex skull-base cases. Full article
(This article belongs to the Special Issue Advancing Diagnostics in Neuroimaging)
Show Figures

Figure 1

17 pages, 12851 KB  
Article
The Fenestras Elisabeth Complex (Nova Structura) in the Parietal Bone of Plecotus auritus: Morphology, Topography, and Functional Significance
by Grzegorz Kłys and Paweł Socha
Animals 2026, 16(1), 109; https://doi.org/10.3390/ani16010109 - 30 Dec 2025
Viewed by 134
Abstract
Fenestrations of mammalian skull bones are rare and poorly understood, particularly within the parietal bone. In bats—a group characterised by advanced sensory specialisation and echolocation—superficial modifications of the cranial vault may have functional significance, yet their occurrence and organisation remain insufficiently documented. In [...] Read more.
Fenestrations of mammalian skull bones are rare and poorly understood, particularly within the parietal bone. In bats—a group characterised by advanced sensory specialisation and echolocation—superficial modifications of the cranial vault may have functional significance, yet their occurrence and organisation remain insufficiently documented. In this study, we describe an exceptional fenestrated complex in the posterolateral parietal bone of Plecotus auritus, comprising structural elements not previously recorded within Vespertilionidae. The aim of the study was to characterise in detail the morphology, topography, and variability of the surface structure termed Fenestras Elisabeth (nova structura), with particular emphasis on its relationship with the auditory region and its potential biomechanical–acoustic significance. The material consisted of ten skulls of P. auritus, examined using micro-CT scanning, 3D reconstruction, and qualitative analysis of fenestrated structures and their topographic relationships. Within the posterolateral parietal region, we identified an extensive and repeatable fenestrated complex comprising numerous fenestrae parietales Elisabeth, paired fenestrula Elisabeth, a central depression (recessus acousticus parietalis), and a bordering fissure (fissura occipitalis mastoidea, nova structura topographica). The complex exhibited a stable spatial organisation despite individual variation in the number and shape of the openings. All fenestrations were confined to the posterolateral zone, and the contact between the fenestrae and the fissura occipitalis mastoidea represented a diagnostic feature. Our analysis suggests that the Fenestras Elisabeth complex may be associated with combined biomechanical and acoustic constraints: (1) a biomechanical role—reducing strain in the parietal lamina during movements of the extremely mobile and elongated pinnae; and (2) an acoustic role—modulating micro-vibrations transmitted to the inner-ear structures. Individual variability and lateral asymmetry of fenestration patterns indicate a high degree of adaptive plasticity in this region of the skull. This study provides the first documentation of a large, structurally organised parietal-bone fenestration complex in Plecotus auritus, expanding current knowledge of bat cranial morphology and suggesting a likely functional significance for these previously unknown bony structures. Full article
(This article belongs to the Section Mammals)
Show Figures

Figure 1

9 pages, 226 KB  
Article
Postoperative Nasal Symptoms and Emergency Department Visits Following Endoscopic Skull Base Surgery
by Roee Noy, Natalia Gvozdeva, Jacob T. Cohen, Gill E. Sviri, Rachel Grossman and Dmitry Ostrovsky
J. Otorhinolaryngol. Hear. Balance Med. 2026, 7(1), 1; https://doi.org/10.3390/ohbm7010001 - 26 Dec 2025
Viewed by 246
Abstract
Objective: This study aims to examine the frequency of emergency department (ED) visits and the occurrence of postoperative nasal symptoms (PNSs) following endonasal skull base surgery (EESBS). Methods: A retrospective cohort study of patients who underwent EESBS at a tertiary referral center. The [...] Read more.
Objective: This study aims to examine the frequency of emergency department (ED) visits and the occurrence of postoperative nasal symptoms (PNSs) following endonasal skull base surgery (EESBS). Methods: A retrospective cohort study of patients who underwent EESBS at a tertiary referral center. The primary outcome was the frequency of ED visits within 30 days following surgery. Secondary outcomes included the incidence of PNS, readmissions, reoperations, and mortality. Results: A total of 307 patients (143 [46.6%] males, mean age: 58.03 years [interquartile range: 47–70.5]) were included in this analysis. Within 30 days following surgery, 89 patients (29%) presented to the ED, and 32 (10.4%) were readmitted. PNSs were the primary complaint in 60 (67.4%) patients, including nasal discharge in 42 (70%), epistaxis in 14 (23.3%), and obstruction in 4 (6.7%). Twenty-four (26.9%) patients had more than one PNS. Among patients presenting with nasal discharge, two were confirmed to have cerebrospinal fluid rhinorrhea. In both univariate and multivariable analyses, PNSs were not associated with nasoseptal flap harvesting, extended (beyond sella) approach, skull base reconstruction, readmissions, or reoperation. The 30-day mortality rate was 0.6%, with no association with PNS. Results remained consistent whether PNSs were analyzed as a composite outcome or as individual symptoms. Conclusions: Nearly one-third of patients visited the ED after EESBS, with two-thirds due to PNS. Most PNSs are self-limited but cause morbidity and prompt medical visits. Full article
(This article belongs to the Section Laryngology and Rhinology)
16 pages, 735 KB  
Article
Multidimensional Morphology of the Ethmoid Roof and Anterior Ethmoidal Artery: A CT-Based Analysis and Proposal of the Akcan Classification
by Abdullah Belada, Fatih Alper Akcan, Derya Güçlü, Ender Güçlü, İlhan Ünlü, Buğra Subaşı, Mehmet Ali Özel, Ethem İlhan, Derya Cebeci and Mehmet Ali Sungur
Diagnostics 2026, 16(1), 81; https://doi.org/10.3390/diagnostics16010081 - 25 Dec 2025
Viewed by 284
Abstract
Background/Objectives: Anatomical variation in the ethmoid roof and lateral lamella play an important role in anatomical vulnerability during endoscopic sinus and skull base surgery. However, widely used classifications, including the Keros system, primarily focus on vertical depth and may not fully reflect [...] Read more.
Background/Objectives: Anatomical variation in the ethmoid roof and lateral lamella play an important role in anatomical vulnerability during endoscopic sinus and skull base surgery. However, widely used classifications, including the Keros system, primarily focus on vertical depth and may not fully reflect the complex geometric relationship between the ethmoid roof, lateral lamella, and the anterior ethmoidal artery (AEA). This study aimed to characterize ethmoid roof and lateral lamella anatomy using high-resolution CT and to propose a descriptive radiological framework—the Akcan Classification—that integrates AEA exit patterns with multiple morphometric parameters. Given the complexity of thin skull base structures, interobserver reproducibility of all morphometric parameters was additionally assessed to ensure measurement robustness. Methods: High-resolution paranasal sinus CT scans from 175 adults (350 sides) were retrospectively evaluated. Measurements included ethmoid roof width, lateral lamella depth, anterior–posterior length, lamellar angle, AEA–lamella distance, and sinonasal anatomical variations. Interobserver reliability was quantified using ICCs. AEA morphology was categorized as in-canal (Type 1), partially suspended (Type 2), or fully suspended (Type 3) based on radiological appearance of bony canalization. Appropriate statistical tests were used to compare morphometric features across groups. Results: Suspended AEA configurations demonstrated progressively wider ethmoid roofs, deeper lateral lamellae, steeper lamellar inclination, and shorter AEA–lamella distances (all p < 0.001). Supraorbital ethmoid cells were more frequently observed in Type 3 cases (p < 0.001). Other anatomical variations showed no significant association with ethmoid roof morphology. Interobserver reliability was excellent for all measurements (ICC range 0.87–0.94). Conclusions: The findings suggest that AEA configuration is associated with broader patterns of ethmoid roof and lateral lamella morphology. Rather than serving as a validated predictor of surgical outcomes, the Akcan Classification provides a structured anatomical and radiological descriptor that complements depth-based systems such as the Keros classification. The high reproducibility of measurements supports its potential utility for standardized anatomical assessment and preoperative radiological interpretation, while further studies incorporating surgical correlation are required. Full article
(This article belongs to the Section Medical Imaging and Theranostics)
Show Figures

Figure 1

17 pages, 10178 KB  
Article
Basis Cranii Interna in Metopism: A Comparative Geometric Morphometric Study
by Silviya Nikolova and Diana Toneva
Biology 2026, 15(1), 36; https://doi.org/10.3390/biology15010036 - 25 Dec 2025
Viewed by 129
Abstract
The cranium is a highly integrated structure composed of partially independent yet interrelated modules with different origin and developmental pathways. Throughout growth, these modules interact extensively in response to various intrinsic and extrinsic factors, ultimately forming a cohesive and functionally unified structure. Consequently, [...] Read more.
The cranium is a highly integrated structure composed of partially independent yet interrelated modules with different origin and developmental pathways. Throughout growth, these modules interact extensively in response to various intrinsic and extrinsic factors, ultimately forming a cohesive and functionally unified structure. Consequently, morphological changes in one cranial unit are expected to influence the development and shape of others. Considering the known vault alterations associated with metopism, we assume that the cranial base is also modified in metopic skulls. To test this hypothesis, we compared shape and size of the internal cranial base in metopic (46) and control (183) dry crania of contemporary adult Bulgarian males using geometric morphometric techniques. The crania were scanned using an industrial µCT system. Three-dimensional coordinates of 37 (9 midsagittal and 14 bilateral) landmarks were recorded on the endocranial surface. The landmarks were grouped into four configurations outlining the internal cranial base and its compartments: anterior cranial fossa, middle cranial fossa, and posterior cranial fossa. No significant size differences were observed between the metopic and control series. Shape comparisons revealed significant differences in all configurations except the posterior cranial fossa. However, Principal Component Analysis did not demonstrate clear separation between the groups, indicating that the observed shape variation cannot be attributed solely to the persistence of the metopic suture. Full article
(This article belongs to the Section Developmental and Reproductive Biology)
Show Figures

Figure 1

14 pages, 590 KB  
Article
Impact of Anatomical Extent and Combined Surgical–Medical Therapy on Survival in Sinonasal and Rhino-Orbito-Cerebral Mucormycosis: A 14-Year Retrospective ENT Cohort
by Günay Kozan, Serkan Dedeoğlu, Muhammed Ayral and Mehmet Akdağ
J. Clin. Med. 2026, 15(1), 127; https://doi.org/10.3390/jcm15010127 - 24 Dec 2025
Viewed by 217
Abstract
Background/Objectives: Mucormycosis is a rapidly progressive invasive fungal infection that commonly involves the sinonasal region and skull base in patients with systemic comorbidities, yet robust ENT data from middle-income settings are scarce. Methods: We performed a single-center retrospective review of all [...] Read more.
Background/Objectives: Mucormycosis is a rapidly progressive invasive fungal infection that commonly involves the sinonasal region and skull base in patients with systemic comorbidities, yet robust ENT data from middle-income settings are scarce. Methods: We performed a single-center retrospective review of all patients with histopathologically confirmed mucormycosis treated in the Otorhinolaryngology Department of Dicle University between 2010 and 2023, covering a 14-year period. Eligible patients had paranasal sinus computed tomography at presentation and received surgical and/or systemic antifungal therapy. Demographic data, comorbidities, disease subtype, radiological extent, treatment modality and survival were extracted from records. Survival was estimated using Kaplan–Meier analysis, and group differences were tested with chi-square statistics (p ≤ 0.05). Results: Fifty-two patients met the inclusion criteria (mean age 56.5 ± 15.2 years; 57.7% male); 73.1% had at least one systemic comorbidity, most frequently diabetes mellitus (65.4%) and hematological malignancy (19.2%). Disease was sinonasal in 42.3%, rhino-orbital in 28.8% and rhino-orbito-cerebral in 28.8%. Baseline CT showed intracranial extension in 26.9%. Overall survival was 59.6% and differed markedly by subtype, highest in isolated sinonasal disease (81.8%) and lowest in rhino-orbito-cerebral disease (26.7%). Intracranial extension was associated with higher mortality (71.4% vs. 28.9%). Combined surgical debridement plus systemic antifungal therapy, used in 84.6% of patients, yielded lower mortality than antifungal therapy alone (31.8% vs. 87.5%). Conclusions: In this ENT cohort, prognosis was mainly determined by anatomical extent and treatment strategy. Our findings suggest that timely combined surgical and antifungal management, when feasible and in appropriately selected patients, is associated with improved survival outcomes. Full article
(This article belongs to the Special Issue New Insights into Head and Neck Surgery—2nd Edition)
Show Figures

Figure 1

8 pages, 188 KB  
Brief Report
Predictors, Complications, and Clinical Outcomes of Cerebrospinal Fluid Leak Post Endoscopic Endonasal Skull Base Surgery
by Alejandro Vargas-Moreno, Sami Khairy, Mouaz Saymeh, Damanpreet Kaur Lang, Sara K. Dabbour, Jessica Rabski, Shaun Kilty and Fahad Alkherayf
Brain Sci. 2026, 16(1), 19; https://doi.org/10.3390/brainsci16010019 - 24 Dec 2025
Viewed by 321
Abstract
Background: Postoperative cerebrospinal fluid (CSF) leakage remains a significant complication following endoscopic endonasal skull base surgery (EES), leading to increased morbidity. This study aimed to identify factors and interventions predicting postoperative CSF leaks after EES for intradural skull base tumors and their clinical [...] Read more.
Background: Postoperative cerebrospinal fluid (CSF) leakage remains a significant complication following endoscopic endonasal skull base surgery (EES), leading to increased morbidity. This study aimed to identify factors and interventions predicting postoperative CSF leaks after EES for intradural skull base tumors and their clinical outcomes. Methods: We retrospectively reviewed data from 542 patients who underwent EES for intradural skull base pathology at the Ottawa Hospital between October 2001 and October 2023. Patient demographics, pre-operative, intraoperative (including reconstruction type), postoperative data, and patient outcomes were collected. Results: A total of 40 patients (7.4%) developed a postoperative CSF leak. The highest rate was in patients with suprasellar lesions (5.9%), followed by anterior cranial fossa lesions (1.1%). Significant predictors included a higher mean Body Mass Index (BMI) (30.4 vs. 26.1, p = 0.001). The use of a nasoseptal flap for reconstruction was associated with a significantly lower incidence of CSF leaks (p = 0.001). Tumor location, approach type, and dural sealants were not independent factors for the development of CSF leaks. Patients with CSF leaks had significantly longer lengths of stay (16.7 vs. 9.21 days, p < 0.001), higher 30-day readmission rates (p < 0.001), and increased postoperative sepsis (p = 0.021) and diabetes insipidus (p < 0.001). Conclusion: This retrospective study shows that higher preoperative BMI is associated with a significant risk of postoperative CSF leaks after EES. Conversely, using a pedicled vascularized flap reduces the risk. Postoperative CSF leaks are linked to increased morbidity, including diabetes insipidus and sepsis, prolonged hospitalization, and higher readmission rates. Full article
(This article belongs to the Special Issue Current Research in Neurosurgery)
Back to TopTop