Sign in to use this feature.

Years

Between: -

Subjects

remove_circle_outline
remove_circle_outline
remove_circle_outline
remove_circle_outline
remove_circle_outline
remove_circle_outline
remove_circle_outline
remove_circle_outline
remove_circle_outline

Journals

remove_circle_outline
remove_circle_outline
remove_circle_outline
remove_circle_outline
remove_circle_outline
remove_circle_outline

Article Types

Countries / Regions

remove_circle_outline
remove_circle_outline
remove_circle_outline
remove_circle_outline
remove_circle_outline

Search Results (569)

Search Parameters:
Keywords = rosacea

Order results
Result details
Results per page
Select all
Export citation of selected articles as:
13 pages, 986 KB  
Article
Systemic Inflammatory and Oxidative–Metabolic Alterations in Rosacea: A Cross-Sectional Case–Control Study
by Mustafa Esen, Abdullah Demirbaş, Esin Diremsizoglu and Revşa Evin Canpolat Erkan
Diagnostics 2026, 16(2), 246; https://doi.org/10.3390/diagnostics16020246 - 12 Jan 2026
Abstract
Background/Objectives: Rosacea increasingly appears to involve systemic immune and metabolic disturbances rather than isolated cutaneous inflammation. To evaluate inflammatory, platelet, and oxidative–metabolic biomarkers in rosacea and explore their interrelations. Methods: 90 patients with rosacea and 90 healthy controls were evaluated for hematologic inflammatory [...] Read more.
Background/Objectives: Rosacea increasingly appears to involve systemic immune and metabolic disturbances rather than isolated cutaneous inflammation. To evaluate inflammatory, platelet, and oxidative–metabolic biomarkers in rosacea and explore their interrelations. Methods: 90 patients with rosacea and 90 healthy controls were evaluated for hematologic inflammatory indices—neutrophil-to-lymphocyte ratio (NLR), platelet-to-lymphocyte ratio (PLR), systemic immune–inflammation index (SII), pan-immune–inflammation value (PIV), mean platelet volume (MPV), and C-reactive protein (CRP)—along with oxidative–metabolic regulators including sirtuin 1 (SIRT1), sirtuin 3 (SIRT3), visfatin, and irisin. Logistic regression and receiver operating characteristic (ROC) analyses were used to identify independent predictors of rosacea, while inter-marker associations were evaluated using Spearman’s rank correlation. Results: Rosacea patients showed higher NLR, PLR, SII, PIV, MPV, CRP, and LDL cholesterol (p < 0.05) and lower SIRT1, SIRT3, visfatin, and irisin (p < 0.01). MPV independently predicted rosacea (OR = 7.24; AUC = 0.827), whereas SIRT1 inversely correlated with disease risk. SIRT1, SIRT3, and visfatin showed inverse correlations with HbA1c and waist-to-height ratio, while fasting glucose and HOMA-IR remained within normal ranges. Conclusions: Rosacea exhibits dual systemic activation, an inflammatory–platelet and an oxidative–metabolic axis bridging immune dysregulation, mitochondrial stress, and vascular dysfunction. Recognition of these pathways highlights the potential of redox-targeted and metabolic interventions beyond symptomatic treatment. Full article
(This article belongs to the Section Clinical Laboratory Medicine)
Show Figures

Figure 1

15 pages, 1912 KB  
Article
Dermofunctional Vehicle Downregulates LL-37 and MMPs and Upregulates IGFBP-3
by Hudson Polonini, Fabiana Regina da Silva Olímpio and Carlos Rocha Oliveira
Curr. Issues Mol. Biol. 2026, 48(1), 54; https://doi.org/10.3390/cimb48010054 - 31 Dec 2025
Viewed by 235
Abstract
Background: Functional dermatological bases can contribute more than just delivery—they may actively modulate cutaneous homeostasis. Cleoderm™ is a dermofunctional base containing a patented Cleome gynandra extract, palmitoyl tripeptide-8, bisabolol, hyaluronic acid, and functional oils, rationally designed to provide anti-inflammatory, antioxidant, and barrier-supportive properties. [...] Read more.
Background: Functional dermatological bases can contribute more than just delivery—they may actively modulate cutaneous homeostasis. Cleoderm™ is a dermofunctional base containing a patented Cleome gynandra extract, palmitoyl tripeptide-8, bisabolol, hyaluronic acid, and functional oils, rationally designed to provide anti-inflammatory, antioxidant, and barrier-supportive properties. Objective: To determine whether Cleoderm™ exhibits intrinsic immunomodulatory and matrix-protective effects in a physiologically relevant skin co-culture and to clarify the biomarkers most impacted, with translational relevance to acne and rosacea. Methods: Human keratinocytes and fibroblasts were maintained in a transwell co-culture. Non-cytotoxic concentrations of Cleoderm™ (1.0% and 10.0%, v/v) were tested with or without LPS stimulation (1 μg/mL). Viability was assessed by MTT and Trypan Blue. Cytokines (IL-6, TNF-α, IL-10, TGF-β) and MMPs (MMP-1, -3, -13) were quantified by ELISA and RT-qPCR. LL-37, IGFBP-3, and TGF-β protein levels were evaluated by Western blot. Results: Cleoderm™ showed no cytotoxicity up to 10% (v/v). It significantly reduced pro-inflammatory mediators (IL-6, TNF-α) and matrix-degrading enzymes (MMP-1, MMP-3, MMP-13) while increasing anti-inflammatory/reparative cytokines (IL-10, TGF-β). A dual, biomarker-level modulation was observed: (i) LL-37 was reduced, with a particularly pronounced decrease in secreted levels; and (ii) IGFBP-3 was markedly upregulated, indicating potential attenuation of the IGF-1 axis relevant to sebaceous lipogenesis. Collectively, these effects indicate immunoregulatory and matrix-protective activity consistent with improved cutaneous homeostasis. Conclusion: In a dermo-epidermally relevant in vitro model, Cleoderm™ functions as an active dermofunctional base, not merely a vehicle simultaneously tempering inflammatory signaling, preserving extracellular matrix integrity, and modulating mechanistic nodes (LL-37 and IGFBP-3) linked to rosacea and acne. These findings is consistent with the use of Cleoderm™ as a biologically supportive base for personalized compounding and justify controlled clinical evaluation. Full article
(This article belongs to the Section Molecular Pharmacology)
Show Figures

Figure 1

15 pages, 4257 KB  
Article
Assessment of the Degree of Erythema Reduction in Rosacea After Polychromatic Light Treatments
by Anna Deda, Aleksandra Lipka-Trawińska, Dominika Wcisło-Dziadecka, Bartosz Miziołek, Magdalena Hartman-Petrycka and Sławomir Wilczyński
J. Clin. Med. 2026, 15(1), 302; https://doi.org/10.3390/jcm15010302 - 31 Dec 2025
Viewed by 338
Abstract
Background: Rosacea is a chronic facial skin disease in which persistent erythema is a significant clinical problem, often resistant to standard therapies. Intensive pulsating light (IPL) has become a recognised and effective method of treating erythema and telangiectasia. The latest recommendations emphasise the [...] Read more.
Background: Rosacea is a chronic facial skin disease in which persistent erythema is a significant clinical problem, often resistant to standard therapies. Intensive pulsating light (IPL) has become a recognised and effective method of treating erythema and telangiectasia. The latest recommendations emphasise the advantage of combining subjective clinical assessments with objective imaging analyses in monitoring therapy effects. Methods: A total of 20 patients with rosacea qualified for this study. They were subjected to three polychromatic light procedures (Lumecca, Inmode; wavelength of 515–1200 nm) at 21-day intervals. The skin condition was documented photographically, and the degree of erythema was assessed on the basis of the Clinician Erythema Assessment (CEA) scale and objective analysis of the skin texture, using the parameters of contrast and homogeneity of the grey level co-occurrence matrix (GLCM). Results: A series of three polychromatic light treatments yielded a significant clinical improvement in all patients. The mean CEA value decreased by 61.11%, whereas the GLCM contrast in all the analysed facial areas dropped by about 17%, and homogeneity increased by 4–5%. The effects persisted for at least three months after the treatments. A high correlation of CEA scale results with GLCM parameters (R = 0.81–0.94 for contrast; R = −0.77 to −0.83 for homogeneity) was observed. Conclusions: Three polychromatic light treatments proved to be a very effective method of reducing erythema in rosacea, confirmed by both clinical evaluation and objective imaging analysis. The effects of therapy were durable and clear. Integration of the subjective method (CEA) with GLCM analysis can be a path for future research and clinical practice in the assessment of erythematous skin lesions. Full article
(This article belongs to the Section Dermatology)
Show Figures

Figure 1

11 pages, 681 KB  
Article
Artificial Intelligence in Cosmetic Dermatology with Regard to Laser Treatments: A Comparative Analysis of AI and Dermatologists’ Decision-Making
by Alexandra Junge, Ali Mokhtari, Simone Cazzaniga, Ashraf Badawi, Flurin Brand, Simone Böll, Laurence Feldmeyer, Cindy Franklin, Hans-Joachim Laubach, Mathias Lehmann, Zora Martignoni, Sammy Murday, Dominik Obrist, Antonia Reimer-Taschenbrecker, Basil Signer, Roberta Vasconcelos-Berg, Charlotte Vogel, Nikhil Yawalkar, Kristine Heidemeyer and Seyed Morteza Seyed Jafari
Cosmetics 2026, 13(1), 5; https://doi.org/10.3390/cosmetics13010005 - 26 Dec 2025
Viewed by 813
Abstract
Introduction: Artificial intelligence (AI) has developed into an increasingly important tool in dermatology. While new technologies integrated within laser devices are emerging, there is a lack of data on the applicability of publicly available AI models. Methods: The prospective study used an online [...] Read more.
Introduction: Artificial intelligence (AI) has developed into an increasingly important tool in dermatology. While new technologies integrated within laser devices are emerging, there is a lack of data on the applicability of publicly available AI models. Methods: The prospective study used an online questionnaire where participants evaluated diagnosis and treatment for 25 dermatological cases shown as pictures. The same questions were given to AI models: ChatGPT-4o, Claude Sonnet 4, Gemini 2.5 Flash, and Grok-3. Results: Dermatologists outperformed AI in diagnostic accuracy (suspected primary diagnosis-SD 75.6%) in pooled dermatologists vs. pooled AI (SD 57.0%), with laser specialists achieving the highest accuracy (SD 82.0%) and residents the lowest (SD 66.0%). There was a high heterogeneity across AI models. Gemini approached dermatologist performance (SD 72.0%), while Claude showed a low accuracy (SD 40.0%). While AI models reached near 100% accuracy in some classic/common diagnoses (e.g., acne, rosacea, spider angioma, infantile hemangioma), their accuracy dropped to near 0% on rare or context-dependent cases (e.g., blue rubber bleb nevus syndrome, angiosarcoma, hirsutism, cutaneous siderosis). Inter-rater agreement was high among laser experts in terms of diagnostic accuracy and treatment choice. Agreement between residents and AI models was highest for diagnostic accuracy and treatment choice, while it was lowest between experts and AI models. Conclusions: Before AI-based tools can be integrated into daily practice, particularly regarding diagnosis and appropriate laser treatment recommendations, specific supervised medical training of the AI model is necessary, as open-source platforms currently lack the ability to contextualize presented data. Full article
(This article belongs to the Special Issue Feature Papers in Cosmetics in 2025)
Show Figures

Figure 1

10 pages, 2453 KB  
Article
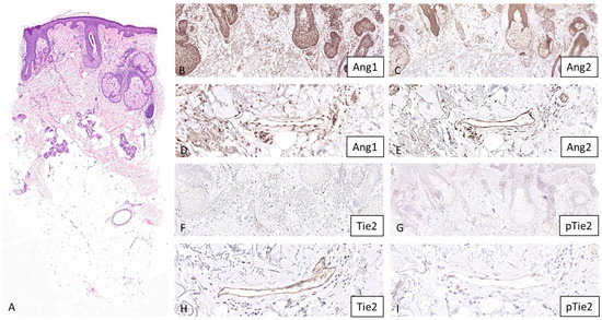
Increased Expression of Angiopoietin 2 and Tie2 in Rosacea
by Aysin Kaya, Jean-Hilaire Saurat, Nathalie Satta and Gürkan Kaya
Dermatopathology 2026, 13(1), 2; https://doi.org/10.3390/dermatopathology13010002 - 25 Dec 2025
Viewed by 308
Abstract
In this study we evaluated the expression of Angiopoietin 1, Angiopoietin 2, and Tie2 by immunohistochemistry in the skin of 10 patients with erythemato telangiectatic and papulopustular rosacea. Significantly increased expression of Tie2 and Angiopoietin 2 in the endothelial cells of the dermal [...] Read more.
In this study we evaluated the expression of Angiopoietin 1, Angiopoietin 2, and Tie2 by immunohistochemistry in the skin of 10 patients with erythemato telangiectatic and papulopustular rosacea. Significantly increased expression of Tie2 and Angiopoietin 2 in the endothelial cells of the dermal vessels in rosacea skin vs. non-lesional skin (100% and 33.3% for Tie2, and 100% and 50% for Angiopoietin 2) was observed. There was no difference in the expression of Angiopoietin 1 and phosphorylated Tie2 (pTie2) between the lesional skin of rosacea and non-lesional skin. Full article
Show Figures

Figure 1

14 pages, 500 KB  
Article
Directional Association Between Irritable Bowel Syndrome and Dermatological Disease: A Large-Scale Retrospective Study
by Alex Y. Liu, Naomi T. Matsuno, Houston Nelson, David Johnson and David Pariser
Gastroenterol. Insights 2026, 17(1), 1; https://doi.org/10.3390/gastroent17010001 - 19 Dec 2025
Viewed by 356
Abstract
Background/Objectives: Microbial dysbiosis is implicated with a pathogenic role in both irritable bowel syndrome (IBS) and several dermatological conditions. Yet, few studies have assessed a potential overlapping epidemiologic association. We aimed to assess the 1-year prevalence of common dermatologic conditions following an [...] Read more.
Background/Objectives: Microbial dysbiosis is implicated with a pathogenic role in both irritable bowel syndrome (IBS) and several dermatological conditions. Yet, few studies have assessed a potential overlapping epidemiologic association. We aimed to assess the 1-year prevalence of common dermatologic conditions following an initial IBS diagnosis and to evaluate the reverse association using reciprocal analyses. Methods: We conducted a retrospective study using TriNetX. Patients aged 18–50 with no history of inflammatory bowel disease, celiac disease, or infectious intestinal disease were matched 1:1 to healthy controls by demographics and comorbidities. The primary outcome was the prevalence of acne vulgaris, psoriasis, atopic dermatitis, hidradenitis suppurativa, rosacea, vitiligo, alopecia areata, and urticaria 1 year after IBS diagnosis, measured using Odds Ratios (ORs) and 95% confidence intervals. To confirm bidirectionality, reciprocal analyses were performed. Results: Over a 1-year period, IBS patients were less likely to have acne vulgaris (OR: 0.78, CIs: 0.75–0.80) and vitiligo (OR: 0.78, CIs: 0.64–0.95) compared to those without. IBS patients were more likely to have psoriasis (OR: 1.14, CIs: 1.08–1.21), hidradenitis suppurativa (OR: 1.11, CIs: 1.03–1.20), rosacea (OR: 1.10, CIs: 1.03–1.18), and urticaria (OR: 1.27, CIs: 1.21–1.34) compared to healthy controls. No association was found for atopic dermatitis or alopecia areata. In the reciprocal analysis, alopecia areata patients (OR: 0.76, CIs: 0.64–0.90) had a lower prevalence of IBS compared to healthy controls. IBS was shown to occur more frequently in patients with psoriasis (OR: 1.15, CIs: 1.07–1.23), rosacea (OR: 1.23, CIs: 1.15–1.31), and urticaria (OR: 1.06, CIs: 1.01–1.12) compared to healthy controls. No association was seen in patients with acne, atopic dermatitis, hidradenitis suppurativa, and vitiligo. Conclusions: IBS shows a bilateral positive overlapping association with psoriasis, rosacea, and urticaria. Hidradenitis suppurativa showed a positive association only among IBS patients, with no reciprocal relationship. Moreover, our findings suggest that acne and vitiligo were inversely associated with IBS; however, this was not supported in our reciprocal analysis. Although no association was initially found between IBS and alopecia areata, the reciprocal analysis suggests a potential inverse association. No association was seen with atopic dermatitis bilaterally. Clinicians who treat these disorders should be aware of the potential bidirectional association. Full article
(This article belongs to the Section Gastrointestinal Disease)
Show Figures

Figure 1

12 pages, 838 KB  
Article
Clinical Manifestations and Treatment Outcomes of Pediatric Rosacea Patients: A Retrospective Study
by Yoon Jae Kim, Jung Min Park, Hyun Mo Lee, Dai Hyun Kim, Soo Hong Seo and Hyo Hyun Ahn
J. Clin. Med. 2025, 14(24), 8783; https://doi.org/10.3390/jcm14248783 - 11 Dec 2025
Viewed by 537
Abstract
Background: Rosacea is a chronic inflammatory skin disorder with limited research in pediatric populations. The study aims to characterize the clinical features and evaluate treatment outcomes in Korean pediatric patients with rosacea. Method: We retrospectively reviewed the medical records of 22 pediatric patients [...] Read more.
Background: Rosacea is a chronic inflammatory skin disorder with limited research in pediatric populations. The study aims to characterize the clinical features and evaluate treatment outcomes in Korean pediatric patients with rosacea. Method: We retrospectively reviewed the medical records of 22 pediatric patients with rosacea who visited a tertiary hospital in Korea (2013–2023). Results: A total of 22 patients (F:M = 1.75:1) were included. The mean age at presentation was 14 ± 3.3 years. Papulopustular rosacea (PPR) was the most common subtype (72.7%), followed by ocular (45.5%) and erythrotelangiectatic rosacea (ETR) (27.3%). PPR was more frequently associated with nose involvement, while ETR predominantly affected the cheek. The mean duration of systemic treatment was 16.8 weeks, with 63.6% achieving favorable responses; however, 54.5% experienced recurrence, particularly females and those with PPR. The average symptom-free duration after discontinuing systemic treatment was 16.8 months. Conclusions: In Korean pediatric patients with rosacea, clinical features and treatment outcomes were similar to the results of previous studies conducted in Western populations. However, in terms of epidemiology, a female predominance and adolescent onset were notable, which differ from previous studies. Additionally, the study presented the clinical differences between ETR and PPR and suggested potential predictors of recurrence in pediatric rosacea. Full article
(This article belongs to the Special Issue Skin Disease and Inflammation)
Show Figures

Graphical abstract

13 pages, 1570 KB  
Article
Molecular Networking Reveals Antioxidant Properties and Phenolic Profiles of Four Rosaceae Seeds
by Mi Jeong Lim, Jinyoung Park, Min Sung Lee, Seong Yeon Choi, Heejung Yang, Taewan Kim and Chae Sun Na
Plants 2025, 14(24), 3749; https://doi.org/10.3390/plants14243749 - 9 Dec 2025
Viewed by 386
Abstract
For centuries, four Rosaceae species—Malus sieboldii, Sorbus commixta, Duchesnea indica, and Prunus sargentii—have been prized for their pharmacological properties. In this study, solvent extracts from the seeds of these species were prepared, and their total polyphenol and flavonoid [...] Read more.
For centuries, four Rosaceae species—Malus sieboldii, Sorbus commixta, Duchesnea indica, and Prunus sargentii—have been prized for their pharmacological properties. In this study, solvent extracts from the seeds of these species were prepared, and their total polyphenol and flavonoid contents were measured. Antioxidant capacity was evaluated using 1,1-diphenyl-2-picrylhydrazyl (DPPH) and 2,2′-azino-bis(3-ethylbenzothiazoline-6-sulfonic acid) (ABTS) radical scavenging assays, as well as ferric reducing antioxidant power (FRAP) and Fe2+ chelation tests. Compounds in the extracts were identified through molecular networking with the Global Natural Products Social Molecular Networking (GNPS) platform. Among all samples, D. indica extract contained the highest polyphenol and flavonoid concentrations (335.63 ± 0.03 mg gallic acid equivalents (GAE) per gram of extract and 230.14 ± 2.90 mg rutin equivalents (RE) per gram of extract, respectively). It also exhibited the strongest antioxidant activity in DPPH, ABTS, and FRAP assays, with statistically significant outcomes. Liquid chromatography/mass spectrometry analysis and molecular networking revealed a diverse metabolite profile corresponding to seven biosynthetic pathways in the extracts. Notably, D. indica extract was rich in shikimates, phenylpropanoids, and ellagic acid derivatives, which have potent antioxidant effects. These results suggest a strong relationship between the extract’s chemical profile and its biological activity, offering promising opportunities to use D. indica seeds as functional ingredients across various fields. Full article
Show Figures

Figure 1

8 pages, 934 KB  
Proceeding Paper
Comparative Assessment of Fruit Quality Attributes and Bioactive Compounds of Apple (Malus domestica) Genotypes Grown in Gilgit-Baltistan
by Feroz Ahmed Tipu, Muhammad Tahir Akram, Muhammad Azam Khan, Umer Habib, Muhammad Ahsan Khatana, Rashad Qadri, Muhammad Mumtaz Khan, Hina Nawaz, Muhammad Nisar Jabbar and Muhammad Hashir Khan
Biol. Life Sci. Forum 2025, 51(1), 4; https://doi.org/10.3390/blsf2025051004 - 8 Dec 2025
Viewed by 316
Abstract
Apple (Malus domestica) is a deciduous perennial tree that belongs to the family “Rosaceae”. Due to the highly suitable agro-climatic conditions for apple cultivation, it is among the widely cultivated fruits in Gilgit-Baltistan (GB). This study aims to evaluate elite apple [...] Read more.
Apple (Malus domestica) is a deciduous perennial tree that belongs to the family “Rosaceae”. Due to the highly suitable agro-climatic conditions for apple cultivation, it is among the widely cultivated fruits in Gilgit-Baltistan (GB). This study aims to evaluate elite apple genotypes in GB based on morphological and biochemical traits. Five- to six-year-old plants were selected for this study. The research employed a completely randomized design (CRD) with three replications, and mean differences were analyzed using the LSD test. In this study, five genotypes were assessed based on morphological (fruit weight, fruit length, fruit width, and firmness) and biochemical attributes (TSS, TA, ascorbic acid, total phenolic content, and flavonoid content). The results revealed significant variation among apple cultivars in both phytochemical and fruit quality attributes. The cultivar ‘Red Delicious’ exhibited the highest fruit weight (146.18 g), total soluble solids (TSS) (15.4 °Brix), and flavonoid content (105.75 mg 100 g−1 FW). In contrast, ‘Red Full Star’ demonstrated superior firmness (7.19 kg cm−2), along with the highest total phenolic content (TPC) (4.00 mg GAE g−1 FW) and ascorbic acid content (26.45 mg 100 g−1 FW). Although the indigenous variety ‘Nus Khushu’ exhibited lower values in commercial traits, it holds substantial potential for conservation due to its unique local adaptation. The findings indicate that the “Red Delicious” and “Red Full Star” cultivars cultivated in GB are enriched with a variety of bioactive compounds that offer notable health benefits and may be utilized for future crop enhancement and breeding initiatives. Full article
Show Figures

Figure 1

31 pages, 567 KB  
Review
From Skin to Brain: Key Genetic Mediators Associating Cutaneous Inflammation and Neurodegenerative Diseases
by Vasiliki-Sofia Grech, Kleomenis Lotsaris, Vassiliki Kefala and Efstathios Rallis
Genes 2025, 16(12), 1463; https://doi.org/10.3390/genes16121463 - 8 Dec 2025
Viewed by 1193
Abstract
Chronic inflammatory skin diseases and neurodegenerative disorders share overlapping genetic, immunologic, and metabolic pathways that may predispose individuals to cognitive decline. This review synthesizes current human genomic, transcriptomic, and bioinformatic evidence linking psoriasis, rosacea, atopic dermatitis, and bullous pemphigoid with Alzheimer’s and Parkinson’s [...] Read more.
Chronic inflammatory skin diseases and neurodegenerative disorders share overlapping genetic, immunologic, and metabolic pathways that may predispose individuals to cognitive decline. This review synthesizes current human genomic, transcriptomic, and bioinformatic evidence linking psoriasis, rosacea, atopic dermatitis, and bullous pemphigoid with Alzheimer’s and Parkinson’s disease. Literature from PubMed, IEEE Xplore, and Google Scholar was examined, prioritizing studies integrating genomic, transcriptomic, and proteomic analyses. Among inflammatory dermatoses, psoriasis exhibits the strongest overlap with dementia genetics, with shared susceptibility loci including APOE, IL12B, and HLA-DRB5, and transcriptional regulators such as ZNF384 that converge on IL-17/TNF signaling. Rare-variant and pleiotropy analyses further implicate SETD1A and BC070367 in psoriasis–Parkinson’s comorbidity. Rosacea demonstrates upregulation of neurodegeneration-related proteins SNCA, GSK3B, and HSPA8, together with shared regulatory hubs (PPARG, STAT4, RORA) driving NF-κB/IL-17/TNF-dependent inflammation. In atopic dermatitis, rare FLG variants interacting with BACE1 suggest a mechanistic bridge between barrier dysfunction and amyloidogenic processing. Bullous pemphigoid reveals an HLA-DQB1*03:01-mediated immunogenetic link hypothesis and cross-reactive autoantibodies targeting BP180 (collagen XVII) and BP230, highlighting an autoimmune route of neurocutaneous interaction. Other inflammatory and neurodegenerative diseases with currently weak or limited genetic evidence are also discussed, as they may represent emerging biological pathways or potential therapeutic targets within the skin–brain connection in the future. The aim of this work is to help clarify these genetic links and to advocate for the routine cognitive assessment of affected patients, enabling early detection, improved long-term quality of life, and the potential for timely therapeutic intervention. Full article
(This article belongs to the Special Issue Genetics and Treatment in Neurodegenerative Diseases)
Show Figures

Figure 1

35 pages, 66686 KB  
Article
Reassessing the Evolutionary Relationships of Eriobotrya and Rhaphiolepis (Rosaceae): Evidence from Micromorphology, Complete Nuclear Ribosomal DNA and Mitochondrial Genomic Data
by Muhammad Idrees, Zhiyong Zhang, Yunyun Lv, Meng Li, Hui Wang, Nan Zhang, Fajun Chen and Julian M. H. Shaw
Biology 2025, 14(12), 1740; https://doi.org/10.3390/biology14121740 - 4 Dec 2025
Viewed by 489
Abstract
Eriobotrya and Rhaphiolepis are two closely related genera within the Maleae tribe of Rosaceae, and delineation of the boundary between these genera requires clarification. This study aims to reassess the phylogeny of two genera by integrating data from nuclear ribosomal DNA (nrDNA), mitochondrial [...] Read more.
Eriobotrya and Rhaphiolepis are two closely related genera within the Maleae tribe of Rosaceae, and delineation of the boundary between these genera requires clarification. This study aims to reassess the phylogeny of two genera by integrating data from nuclear ribosomal DNA (nrDNA), mitochondrial DNA (mtDNA), and the micromorphological features of leaves, petioles, fruits, and fruit apical sepals from 53 accessions, including 16 nrDNA and one mtDNA sequences acquired from NCBI, representing 25 Eriobotrya, and 14 Rhaphiolepis species. Prior taxonomic investigations have often relied on either morphological or molecular methods; however, resolving the complex evolutionary background of these genera benefits from the application of molecular data with in-depth micromorphological analysis. Our findings indicate that molecular phylogeny derived from nrDNA sequences and leaf micromorphology elucidates the relationship between Eriobotrya and Rhaphiolepis, supporting the monophyly of Rhaphiolepis (with high support) and Eriobotrya (with moderate to low support). Supplementary micromorphological features (petioles, fruits, fruit apical sepals) support their classification as separate genera and aid in identification. Nevertheless, the mtDNA gene tree derived from 52 protein-coding genes offered restricted evolutionary insights due to low sequence variability, and displayed incongruence with the robust nuclear and morphological topologies. Furthermore, the mtDNA gene tree exhibited incongruent placements for four Eriobotrya species (E. hookeriana, E. laoshanica, E. deflexa, and E. fragrans) which clustered within the Rhaphiolepis clade, with support values ranging from low to high confidence. The observed topological incongruences, mito-nuclear discordance, and the congruent patterns of micromorphological and nrDNA sequences indicate a reticulate history. Further research employing whole genome sequencing may shed further light on the complex evolutionary history of this key clade. Full article
(This article belongs to the Section Conservation Biology and Biodiversity)
Show Figures

Figure 1

19 pages, 13853 KB  
Article
Establishment of an In Vitro Culture and Genetic Transformation System of Callus in Japanese Apricot (Prunus mume Sieb. et Zucc.)
by Yin Wu, Pengyu Zhou, Ximeng Lin, Chengdong Ma, Siqi Guo, Zhaojun Ni, Faisal Hayat, Xiao Huang and Zhihong Gao
Forests 2025, 16(12), 1812; https://doi.org/10.3390/f16121812 - 3 Dec 2025
Viewed by 305
Abstract
Japanese apricot (Prunus mume Sieb. et Zucc.) is a dicotyledonous plant from the Rosaceae family that originated in China. Functional genomic studies in Japanese apricot are essential to elucidate the molecular mechanisms underlying key agronomic traits and to accelerate crop improvement. However, [...] Read more.
Japanese apricot (Prunus mume Sieb. et Zucc.) is a dicotyledonous plant from the Rosaceae family that originated in China. Functional genomic studies in Japanese apricot are essential to elucidate the molecular mechanisms underlying key agronomic traits and to accelerate crop improvement. However, the lack of an efficient genetic transformation system has hindered gene function analysis and impeded molecular breeding efforts. Agrobacterium rhizogenes-mediated transformation has emerged as a robust tool for functional gene validation and studying root-specific processes across diverse plant species, due to its simple protocol and rapid turnaround time. Notably, Agrobacterium-mediated transformation remains notoriously recalcitrant in Rosaceae species, particularly in Japanese apricot. Through screening of ten Japanese apricot varieties, we identified ‘Muguamei’ (MGM) as the optimal cultivar for tissue culture. Using its genotype, we established an Agrobacterium rhizogenes-mediated transformation system for Japanese apricot via an in vitro approach. The binary vector incorporated the RUBY reporter for visual selection and eYGFPuv for fluorescent validation of transformation events. Furthermore, CRISPR/Cas9-mediated knockout of PmPDS in ‘Muguamei’ calli generated albino phenotypes, confirming successful genome editing. Through optimization of antibiotics, the study achieved an 80% explant survival rate using Woody Plant Medium (WPM) supplemented with 6-BA (0.5 mg/L) and TDZ (0.05 mg/L). For in vitro micropropagation, we found that ‘Muguamei’ exhibited optimal shoot growth in the presence of 6-BA (0.06 mg/L) and TDZ (0.1 mg/L), and up to 8 bud proliferation lines could be reached under 4.0 mg/L 6-BA. During the rooting of micro shoots, ½MS medium performed better and reached the optimum root length (35.70 ± 4.56 mm) and number (6.00 ± 1.00) under IAA (0.5 mg/L) and IBA (0.4 mg/L). Leaf explants were cultured on WPM supplemented with TDZ (4.0 mg/L) and NAA (0.2 mg/L). 50 mg/L kanamycin concentrations were the suitable screening concentration. Full article
(This article belongs to the Section Genetics and Molecular Biology)
Show Figures

Figure 1

16 pages, 1441 KB  
Article
Ellagitannins and Other Polyphenols Along with Dietary Components of the Rosaceae Medicinal Plants
by Monika Kosmala, Joanna Milala and Elżbieta Karlińska
Molecules 2025, 30(23), 4574; https://doi.org/10.3390/molecules30234574 - 27 Nov 2025
Viewed by 493
Abstract
The edible medicinal plants Sanguisorba officinalis L. (great burnet), Geum urbanum L. (wood avens), and Agrimonia procera Wallr. (fragrant agrimony) of the Rosaceae family are a several times richer source of tannins, especially ellagitannins, than berries containing 3.0, 2.1, and 3.4 g/100 g [...] Read more.
The edible medicinal plants Sanguisorba officinalis L. (great burnet), Geum urbanum L. (wood avens), and Agrimonia procera Wallr. (fragrant agrimony) of the Rosaceae family are a several times richer source of tannins, especially ellagitannins, than berries containing 3.0, 2.1, and 3.4 g/100 g phenolics in fresh matter. The herbs are traditionally used as anti-bacterial, anti-diarrheal, and anti-inflammatory agents for the intestines. As a source of phenolics, mostly ellagitannins, the herbs have a potentially beneficial effect on the lipid profile of the blood by reducing total cholesterol, LDL-cholesterol, and triglycerides. They are also a good source of dietary fiber (6.5 for Sanguisorba, 8.2 for Geum, and 11.1 g/100 g fresh matter for Agrimonia) and vitamin C, all 0.1 g/100 g fresh matter. Due to their resistance to fungal diseases and pathogens, the medicinal plants are free from pesticide residues. Sanguisorba, Geum, and Agrimonia are tasty and aromatic and can be the basis of dishes, salads, or beverages. Full article
Show Figures

Figure 1

22 pages, 2819 KB  
Article
Bio-Assay-Guided Study of Chaenomeles japonica–Cytokine Modulation by Fruit Aqueous Extract In Vitro in Connection with Its Processing with Enzymatic and Microbial Additives
by Agata J. Olędzka, Aleksandra Sirak, Dariia Hovtvian, Oleh Koshovyi and Monika E. Czerwińska
Nutrients 2025, 17(23), 3716; https://doi.org/10.3390/nu17233716 - 27 Nov 2025
Viewed by 407
Abstract
Background/Objectives: Phytochemicals from Chaenomeles japonica (CJ) (Thunb.) Lindl. ex Spach, a plant belonging to the Rosaceae family, are recognized for their potential to inhibit enzymes associated with diabetes, obesity, neurodegeneration, and inflammation. However, the influence of constituents from different plant parts on [...] Read more.
Background/Objectives: Phytochemicals from Chaenomeles japonica (CJ) (Thunb.) Lindl. ex Spach, a plant belonging to the Rosaceae family, are recognized for their potential to inhibit enzymes associated with diabetes, obesity, neurodegeneration, and inflammation. However, the influence of constituents from different plant parts on cytokine secretion has not yet been explored or comparatively analyzed. Methods: This study aimed to evaluate the anti-inflammatory potential of CJ by assessing its effects on chemokine and cytokine secretion, including interleukin (IL)-8, IL-1β, TNF-α, IL-6, and IL-10. Extracts from various plant parts (fruit, seed, flower, and leaf) were examined for their ability to modulate cytokine production in human neutrophils (PMNs). Among them, the aqueous fruit extract exhibited the strongest activity and was subsequently tested on peripheral blood mononuclear cells (PBMCs) and the human intestinal epithelial cell line Caco-2. The extract was also subjected to in vitro gastrointestinal digestion to assess the stability and bioactivity of its metabolites. The phytochemical composition of CJ preparations was characterized by ultra-high-performance liquid chromatography coupled with diode-array detection and tandem mass spectrometry (UHPLC-DAD-MS/MS). Results: The aqueous fruit extract significantly reduced the secretion of pro-inflammatory cytokines across all tested models. Fractions obtained after in vitro digestion also inhibited IL-8 release in Caco-2 cells. Conclusions: The most active fractions were rich in flavan-3-ols and proanthocyanidins. These findings indicate that CJ fruit possesses notable anti-cytokine properties and may serve as a promising natural source for developing functional food. Full article
(This article belongs to the Special Issue Anti-Inflammatory Diet and Chronic Disease)
Show Figures

Graphical abstract

36 pages, 49859 KB  
Article
Significance of Morpho-Palynological Diversity in Melliferous Plants in the Anzer Region (Türkiye) with Regard to Honey Authentication
by Zeynep Türker, Kamil Coşkunçelebi, Esra Demir Kanbur and Mutlu Gültepe
Plants 2025, 14(23), 3600; https://doi.org/10.3390/plants14233600 - 25 Nov 2025
Viewed by 583
Abstract
Morpho-palynological studies are essential to distinguish the botanical and geographical origins of honey, ensuring its authenticity, quality, and commercial value. This study examined 64 melliferous plant species (including 6 endemics) from the Anzer Valley to characterize pollen morphology using light and scanning electron [...] Read more.
Morpho-palynological studies are essential to distinguish the botanical and geographical origins of honey, ensuring its authenticity, quality, and commercial value. This study examined 64 melliferous plant species (including 6 endemics) from the Anzer Valley to characterize pollen morphology using light and scanning electron microscopy. Of these, 26 taxa were analyzed morphologically for the first time. The evaluation of the results revealed that among the 21 flowering plant families identified, Fabaceae is represented by the highest number of taxa, followed by Asteraceae, Lamiaceae, and Rosaceae. Palynological findings showed that plants with medium-sized pollen grains are the most dominant, followed by those with small-sized pollen grains, while plants with large-sized pollen grains are present in the lowest proportion. At the same time, tricolporate (59% species) was represented by more than half of the examined species. Also, the microechinate–perforate type was the most dominating exine ornamentation, contributing 13% of the total ornamentation, while reticulate–perforate and striate–perforate represented 11% each, respectively. A generalized linear mixed-effects model (the polar axis as the response, the equatorial diameter as the predictor, the taxon as a random intercept) revealed that pollen size variation was primarily species-specific. While 41 species showed a positive trend, four exhibited a negative one, and 19 showed no clear association. The overall fixed-effect slope was moderately positive and statistically significant (β = 0.50 ± 0.02 SE, p < 0.001). These results emphasize the morphological diversity among taxa rather than a single allometric pattern. Full article
(This article belongs to the Section Plant Development and Morphogenesis)
Show Figures

Figure 1

Back to TopTop