Sign in to use this feature.

Years

Between: -

Subjects

remove_circle_outline
remove_circle_outline
remove_circle_outline
remove_circle_outline
remove_circle_outline
remove_circle_outline
remove_circle_outline
remove_circle_outline
remove_circle_outline

Journals

remove_circle_outline
remove_circle_outline
remove_circle_outline
remove_circle_outline
remove_circle_outline
remove_circle_outline
remove_circle_outline
remove_circle_outline
remove_circle_outline
remove_circle_outline
remove_circle_outline
remove_circle_outline
remove_circle_outline
remove_circle_outline
remove_circle_outline
remove_circle_outline
remove_circle_outline
remove_circle_outline
remove_circle_outline
remove_circle_outline
remove_circle_outline
remove_circle_outline
remove_circle_outline
remove_circle_outline
remove_circle_outline
remove_circle_outline

Article Types

Countries / Regions

remove_circle_outline
remove_circle_outline
remove_circle_outline
remove_circle_outline
remove_circle_outline
remove_circle_outline

Search Results (1,555)

Search Parameters:
Keywords = remnant

Order results
Result details
Results per page
Select all
Export citation of selected articles as:
13 pages, 555 KB  
Review
Mammals of Eastern Old-Growth Forests in the United States
by Carolyn G. Mahan and Laura K. Palmer
Forests 2026, 17(2), 155; https://doi.org/10.3390/f17020155 - 23 Jan 2026
Abstract
Many native mammal species rely on the habitat elements provided by old-growth forests in the eastern United States (U.S.). Today, old-growth forests persist as remnant stands in the landscape. Historically, they included a mosaic of eastern forest types including mixed mesophytic, oak–hickory, southeastern [...] Read more.
Many native mammal species rely on the habitat elements provided by old-growth forests in the eastern United States (U.S.). Today, old-growth forests persist as remnant stands in the landscape. Historically, they included a mosaic of eastern forest types including mixed mesophytic, oak–hickory, southeastern evergreen, and hemlock-white pine-northern hardwood forests. Due to the rapid (<250 years) and almost complete (99% loss) removal of old-growth forests from eastern U.S. landscapes, research regarding the current and historic relationship between native mammals and old-growth forests is lacking. Using comparisons with better-studied old-growth forests in the western U.S., historical accounts of mammal distribution, and the habitat elements of eastern old-growth forest types, we aim to describe the mammals currently and historically supported by these rare forests in this scoping review. Full article
(This article belongs to the Section Forest Biodiversity)
23 pages, 6703 KB  
Article
The Role of Urban Gardening in the Maintenance of Rural Landscape Heritage in a Large City: Case Study of Brno Metropolitan Area, Czech Republic
by Jaromír Kolejka, Eva Novakova and Jana Zapletalova
Land 2026, 15(1), 192; https://doi.org/10.3390/land15010192 - 21 Jan 2026
Viewed by 86
Abstract
The territorial development of the city of Brno during the 19th–21st centuries meant not only the growth of built-up areas (residential, industrial, commercial), but also the absorbing of segments of the ancient rural agricultural landscape. Within the current borders of the city of [...] Read more.
The territorial development of the city of Brno during the 19th–21st centuries meant not only the growth of built-up areas (residential, industrial, commercial), but also the absorbing of segments of the ancient rural agricultural landscape. Within the current borders of the city of Brno, a number of green areas have been preserved, which have spontaneously developed from the original agricultural landscape, without being the result of urban planning. In half of the cases (17 out of a total of 34), they have still preserved the traditional small-scale division of land. Among the 10 medium-sized Moravian cities (between 30,000 and 400,000 inhabitants) in the historical region of Moravia in the east of the Czech Republic, the presence of 34 remnants of the ancient rural landscape in the city of Brno is quite exceptional (in Ostrava only 1; in other cities 0). The subject of the research is the inventory of such segments within the city borders and an attempt to explain their location in the city, state, focusing on the role of natural factors, land ownership and personal and recreational interests of residents. Segments of the ancient rural cultural landscape were identified by comparing the current landscape on aerial photographs with the landscape image on cadastral maps from the 1820s–1830s. Additional data on their natural and cultural properties were obtained through archival and field research. The segments were classified according to their degree of preservation and forms of threat. The results show that the remains of the ancient rural cultural landscape in the city of Brno have generally been preserved in locations that, due to the slope of the slopes, unsuitable building subsoil and poor soil, but locally on warm southern slopes, were not suitable for construction for the time being. Urban gardening contributes to their preservation and these areas are part of the city’s greenery. However, urban gardening also contributes to the destruction of these remnants. In 17 cases, the land was completely re-divided, built up with recreational facilities and overgrown with trees due to poor care. Another 17 locations are threatened by this process due to ignorance of their historical value, although this is essentially a positive development in terms of benefits for the city’s residents—land users. Although the Master Plan of the city of Brno foresees the existence of garden colonies in the future, it does not address the importance of the best-preserved segments as historical heritage. Community agriculture can play a positive role in maintaining segments of rural heritage within the city. Full article
(This article belongs to the Special Issue Heritage Landscapes, Their Inventory, Management and Future)
Show Figures

Figure 1

14 pages, 2074 KB  
Article
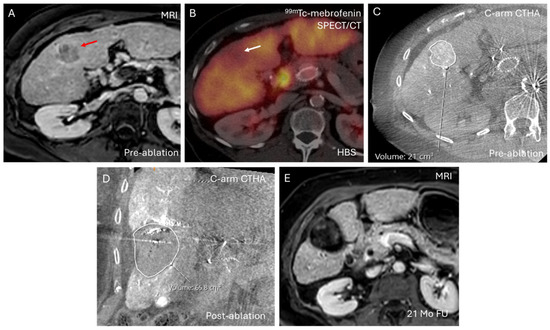
Is There a Role for Hepatobiliary Scintigraphy in Thermal Ablation of Hepatocellular Carcinoma?
by Niek Wijnen, Joep de Bruijne, Rutger C. G. Bruijnen, Emma Ruijs, Hugo W. A. M. de Jong, Marnix G. E. H. Lam and Maarten L. J. Smits
Cancers 2026, 18(2), 322; https://doi.org/10.3390/cancers18020322 - 20 Jan 2026
Viewed by 80
Abstract
Purpose: Hepatobiliary scintigraphy (HBS) provides quantitative assessment of (future remnant) liver function, aiding clinical decision-making for surgical resection and radioembolization of hepatocellular carcinoma (HCC). However, its role for thermal ablation remains unexplored. This pilot study aimed to explore the potential role of [...] Read more.
Purpose: Hepatobiliary scintigraphy (HBS) provides quantitative assessment of (future remnant) liver function, aiding clinical decision-making for surgical resection and radioembolization of hepatocellular carcinoma (HCC). However, its role for thermal ablation remains unexplored. This pilot study aimed to explore the potential role of HBS in guiding patient selection and risk stratification for thermal ablation. Methods: All HCC patients who underwent thermal ablation between January 2021 and August 2025 and had HBS performed prior to ablation were retrospectively reviewed. Ablated non-tumor liver volumes (i.e., volume of ablated healthy parenchyma) were quantified using 3D segmentation. Absolute ablated liver function (i.e., the proportion of total HBS-derived liver function ablated) was also assessed. Clinical outcomes included changes in clinical scores (e.g., Child–Pugh) and the occurrence of hepatic decompensation after ablation. Results: Nine patients (13 tumors) were included. Median global HBS-derived liver function was 3.2%/min/m2 (range 1.6–6.8%/min/m2). Three patients developed hepatic decompensation > 3 months after ablation, unlikely related to thermal ablation itself. The patient with the lowest baseline function (1.6%/min/m2) tolerated ablation without hepatic decompensation. Median ablated non-tumor liver volume was 14.4 cm3 (range 3.1–46.7 cm3), corresponding to a median of 0.9% (range 0.2–3.6%) of total liver volume ablated per lesion. Median absolute ablated function was 0.05%/min/m2 (range 0.02–0.21%/min/m2). Conclusions: Thermal ablation was feasible and well tolerated even in patients with severely impaired liver function. Routine pre-ablation HBS does not appear necessary for thermal ablation of HCC, as only a small percentage of total functional liver volume is ablated. Full article
Show Figures

Figure 1

20 pages, 5273 KB  
Article
Investigation of the Vertical Microphysical Characteristics of Rainfall in Guangzhou Based on Phased-Array Radar
by Jingxuan Zhu, Jun Zhang, Duanyang Ji, Qiang Dai and Changjun Liu
Remote Sens. 2026, 18(2), 322; https://doi.org/10.3390/rs18020322 - 18 Jan 2026
Viewed by 180
Abstract
The accurate retrieval of the raindrop size distribution (DSD) is a longstanding objective in meteorology because it underpins reliable quantitative precipitation estimation. Among remote sensors, weather radars are the primary tool for mapping DSD over wide areas, and phased-array systems in particular have [...] Read more.
The accurate retrieval of the raindrop size distribution (DSD) is a longstanding objective in meteorology because it underpins reliable quantitative precipitation estimation. Among remote sensors, weather radars are the primary tool for mapping DSD over wide areas, and phased-array systems in particular have demonstrated unique advantages owing to their high temporal and spatial resolution together with agile beam steering. Exploiting the underused high-resolution capability of an X-band phased-array radar, this study induced a Rainfall Regression Model (RRM). The RRM assumes a normalized gamma DSD model and retrieves its three parameters. It was then applied to a rain event influenced by the remnant circulation of Typhoon Haikui that affected Guangzhou on 8 September 2023. First, collocated disdrometer observations and T-matrix scattering simulations are used to build polynomial regressions between DSD parameters (D0, Nw, μ) and the polarimetric variables. Validation against independent disdrometer samples yields Nash–Sutcliffe efficiencies of 0.93 for D0 and 0.91 for log10Nw. The RRM is then applied to the full volumetric radar data. Horizontal maps reveal that the surface elevation angle consistently exhibited the largest standard deviation for all three parameters. A vertical profile analysis shows that large-drop cores (D0 > 2 mm) can reside above 2 km and that iso-value contours tilt rather than align vertically, implying an appreciable horizontal drift of raindrops within the complex remnant typhoon–monsoon wind field. By demonstrating the ability of X-band phased-array radar to resolve the three-dimensional microphysical structure of remnant typhoon precipitation, this study advances our understanding of the vertical characteristics of raindrops and provides high-resolution DSD information that can be directly ingested into severe weather monitoring and nowcasting systems. Full article
(This article belongs to the Section Environmental Remote Sensing)
Show Figures

Figure 1

22 pages, 2026 KB  
Article
Evolutionary Relationships and Genetic Diversity in the Southern Siberian Populations of the Saker Falcon (Falco cherrug), a Young and Endangered Species
by Daria Nikolaevna Rozhkova, Elena Pavlovna Shnayder, Valentina Georgievna Tambovtseva, Igor Vyacheslavovich Karyakin, Alla Veniaminovna Blekhman, Oleg Evgenievich Lazebny, Svetlana Yuryevna Sorokina, Ludmila Sergeevna Zinevich and Alexey Mikhailovich Kulikov
Diversity 2026, 18(1), 50; https://doi.org/10.3390/d18010050 - 18 Jan 2026
Viewed by 187
Abstract
Studying intraspecific differentiation in closely related species is essential to clarify the phylogenetic relationships and mechanisms of early stage speciation, particularly in evolutionarily young lineages affected by human-driven population declines. The endangered saker falcon (Falco cherrug), with its ambiguous phylogenetic links [...] Read more.
Studying intraspecific differentiation in closely related species is essential to clarify the phylogenetic relationships and mechanisms of early stage speciation, particularly in evolutionarily young lineages affected by human-driven population declines. The endangered saker falcon (Falco cherrug), with its ambiguous phylogenetic links to the gyrfalcon (F. rusticolus), exemplifies this scenario. This study presents a comprehensive genetic analysis of F. cherrug and F. rusticolus using mtDNA markers and microsatellite loci, focusing on the diversity of southern Siberian saker falcon populations. The genotyping results for these populations were correlated with phenotypic data obtained from long-term monitoring (1999–2021). Our findings provide novel insights into the current subspecific differentiation and the remnants of a nascent subspecies structure that existed before the recent demographic collapse. Furthermore, our results support the hypothesis of the gyrfalcon’s origin as a descendant species of the Asian saker falcon, i.e., an evolutionarily young lineage undergoing divergence. Our data contribute to the understanding of the Hierofalco evolutionary history, particularly through the analysis of heterogeneous mutation rates among mitochondrial haplogroups. This study underscores the critical importance of conservation efforts for wild endangered populations through long-term monitoring integrated with combined genetic approaches. Full article
(This article belongs to the Special Issue Avian Genetic Diversity)
Show Figures

Graphical abstract

33 pages, 19417 KB  
Article
Multiscale Dynamics Organizing Heavy Precipitation During Tropical Cyclone Hilary’s (2023) Remnant Passage over the Southwestern U.S.
by Jackson T. Wiles, Michael L. Kaplan and Yuh-Lang Lin
Atmosphere 2026, 17(1), 82; https://doi.org/10.3390/atmos17010082 - 14 Jan 2026
Viewed by 166
Abstract
The Weather Research and Forecasting Model (WRF-ARW) version 4.5 was used to simulate the synoptic to mesoscale evolving atmosphere of Tropical Cyclone (TC) Hilary’s (2023) remnant passage over the southwestern United States. The atmospheric dynamic processes conducive to the precursor rain events were [...] Read more.
The Weather Research and Forecasting Model (WRF-ARW) version 4.5 was used to simulate the synoptic to mesoscale evolving atmosphere of Tropical Cyclone (TC) Hilary’s (2023) remnant passage over the southwestern United States. The atmospheric dynamic processes conducive to the precursor rain events were extensively studied to determine the effects of mid-level jetogenesis. Concurrently, the dynamics of mesoscale processes related to the interaction of TC Hilary over the complex topography of the western United States were studied with several sensitivity simulations on a nested 2 km × 2 km grid. The differential surface heating between the cloudy California coast and clear/elevated Great Basin plateau had a profound impact on the lower-mid-tropospheric mass field resulting in mid-level jetogenesis. Diagnostic analyses of the ageostrophic flow support the importance of both isallobaric and inertial advective forcing of the mid-level jetogenesis in response to differential surface sensible heating. This ageostrophic mesoscale jet ultimately transported tropical moisture in multiple plumes more than 1000 km poleward beyond the location of the extratropical transition of the storm, resulting in anomalous flooding precipitation within a massive arid western plateau. Full article
(This article belongs to the Section Meteorology)
Show Figures

Graphical abstract

16 pages, 7117 KB  
Article
Morphological Description and Physiological Changes in the Hindgut of Female Asiophrida xanthospilota (Chrysomelidae, Coleoptera) Across Reproductive Stages
by Jacob M. Muinde, Ze-Qun Dong, Caren A. Ochieng, Wei Wang, Esther N. Kioko, Le Zong, Wen-Jie Li, Cong-Qiao Li, Si-Pei Liu, Zheng-Zhong Huang and Si-Qin Ge
Insects 2026, 17(1), 97; https://doi.org/10.3390/insects17010097 - 14 Jan 2026
Viewed by 365
Abstract
Fecal retention is a distinctive reproductive strategy in certain leaf beetles, which enables females to use accumulated fecal material to protect their eggs and enhance offspring survival. The adult flea beetle Asiophrida xanthospilota (Baly, 1881) is a specialist herbivore that feeds on the [...] Read more.
Fecal retention is a distinctive reproductive strategy in certain leaf beetles, which enables females to use accumulated fecal material to protect their eggs and enhance offspring survival. The adult flea beetle Asiophrida xanthospilota (Baly, 1881) is a specialist herbivore that feeds on the leaves of Cotinus coggygria Scop. (Anacardiaceae). Using light microscopy, scanning electron microscopy, and micro-computed tomography, we described and illustrated the hindgut anatomy of adult female A. xanthospilota during the pre-mated and post-mated reproductive phases. We further examined the physiological changes in the hindgut associated with fecal retention, and assessed hindgut muscle activity across these two reproductive stages. The hindgut of adult A. xanthospilota consists of three regions: ileum, colon, and rectum. The ileum is a thin, straight or coiled, tube enclosed by malpighian tubules and supported by circular and longitudinal muscles. The colon lies between the ileum and rectum, possesses a chitinized cuticle, and is externally covered with tracheae and tracheoles. A rectal valve separates the colon from the rectum, which forms the posterior end of the alimentary canal and is characterized by intimal spines and robust circular muscles. During the post-mated phase, fecal retention causes pronounced dilation of the hindgut, substantially increasing the volume occupied by food remnants. Electromyographic recordings revealed high hindgut muscle activity in pre-mated females, characterized by short and variable bursts, whereas post-mated females exhibited reduced activity with longer and more sustained bursts. The functional implications of these specialized structural features are discussed. Overall, these morphological and physiological adaptations enhance the fecal retention strategy by increasing fecal capacity, regulating hindgut motility, and enabling the formation of a protective fecal case around the egg mass. Full article
(This article belongs to the Section Insect Physiology, Reproduction and Development)
Show Figures

Figure 1

13 pages, 4044 KB  
Case Report
A Stepwise Integrative Approach to Managing a Refractory Recurrent Cervical Sialocele in a Dog
by Suhyun Lee, Sang-Kun Jang, Duwhan Park and Hwi-Yool Kim
Animals 2026, 16(2), 240; https://doi.org/10.3390/ani16020240 - 13 Jan 2026
Viewed by 151
Abstract
Recurrent canine cervical sialocele is most often caused by incomplete excision of the mandibular–sublingual gland complex, leading to anatomical distortion and concealment of residual tissue. This case describes the multimodal management of a repeatedly recurrent cervical sialocele in a young, small-breed dog following [...] Read more.
Recurrent canine cervical sialocele is most often caused by incomplete excision of the mandibular–sublingual gland complex, leading to anatomical distortion and concealment of residual tissue. This case describes the multimodal management of a repeatedly recurrent cervical sialocele in a young, small-breed dog following multiple previous revision surgeries. A stepwise bridging strategy was adopted before definitive salvage surgery. Oral phenobarbital was instituted, resulting in partial reduction in fluid accumulation and improved comfort. Ultrasound-guided intracavitary sclerotherapy with OK-432 was then performed, inducing a localized fibrotic response but without durable cure. Final resolution was achieved only after salvage ventral paramedian (VPM) sialoadenectomy, which provided wide exposure for complete excision of deeply concealed sublingual remnant tissue within a fibrotic pseudocapsule. Histology confirmed a cervical sialocele. Transient neuropraxia resolved within 3 weeks, and no recurrence was observed at 6 months postoperatively. To the authors’ knowledge, this is the first report describing intracavitary OK-432 sclerotherapy as part of a staged multimodal strategy for canine cervical sialocele. This case illustrates the feasibility of integrating medical salivary suppression and minimally invasive sclerotherapy as bridging measures before salvage VPM surgery for refractory cervical sialocele. Full article
(This article belongs to the Section Veterinary Clinical Studies)
Show Figures

Figure 1

16 pages, 1108 KB  
Article
Association of Remnant Cholesterol Inflammatory Index with Stroke, Heart Disease and All-Cause Mortality Across Cardiovascular–Kidney–Metabolic Syndrome Stages 0–3: A National Cohort Study
by Huan Chen, Jing-Yun Wu, Hao Yan, Jian Gao, Chuan Li, Jia-Hao Xie, Xiao-Lin Wang, Ji-Long Huang, Dan Liu, Zhi-Hao Li and Chen Mao
Nutrients 2026, 18(2), 205; https://doi.org/10.3390/nu18020205 - 8 Jan 2026
Viewed by 247
Abstract
Background: The Remnant Cholesterol Inflammatory index (RCII) has been proposed as a marker of insulin resistance and systemic inflammation. However, its associations with incident stroke, incident heart disease, and all-cause mortality among individuals with cardiovascular–kidney–metabolic (CKM) syndrome stages 0–3 remain uncertain. Methods: This [...] Read more.
Background: The Remnant Cholesterol Inflammatory index (RCII) has been proposed as a marker of insulin resistance and systemic inflammation. However, its associations with incident stroke, incident heart disease, and all-cause mortality among individuals with cardiovascular–kidney–metabolic (CKM) syndrome stages 0–3 remain uncertain. Methods: This longitudinal cohort study used data from the China Health and Retirement Longitudinal Study (CHARLS). The remnant cholesterol inflammatory index (RCII) was calculated as [RC (mg/dL) × hs-CRP (mg/L)]/10. Outcomes included incident stroke, incident heart disease, and all-cause mortality. Covariates were prespecified based on established risk factors. Cox proportional hazards models and restricted cubic spline (RCS) analyses were used to evaluate associations between RCII and each outcome. Long-term RCII patterns were identified using k-means clustering. Robustness was assessed using subgroup and sensitivity analyses. Results: The final study involved 6994 participants in the stroke and heart disease cohort and 7245 participants in the all-cause mortality cohort, all within CKM syndrome stages 0–3. Higher baseline RCII was associated with increased risks of stroke (HR = 1.55, 95% CI: 1.14–2.12) and all-cause mortality (HR = 1.67, 95% CI: 1.37–2.04) compared with the lowest quantile. Cumulative RCII showed a stronger association with all-cause mortality (HR for Q3 = 2.18, 95% CI: 1.54–3.11). RCS analysis suggested a J-shaped, non-linear association between cumulative RCII and all-cause mortality. (p for non-linearity < 0.05). K-means clustering further indicated that, relative to the reference group, cluster 2 (high-to-higher) had the highest risk of incident heart disease, whereas cluster 3 (high-to-moderate) had the highest risk of all-cause mortality. Conclusions: Higher RCII levels were associated with higher risks of stroke, heart disease, and all-cause mortality among individuals with CKM stages 0–3. RCII may serve as a promising biomarker for early risk stratification in clinic and prevention efforts in this population. Full article
(This article belongs to the Section Clinical Nutrition)
Show Figures

Figure 1

30 pages, 4811 KB  
Article
On the Cooling of Compact Stars in Light of the HESS J1731-347 Remnant
by Dimitrios G. Nanopoulos, Pavlos Laskos-Patkos and Charalampos C. Moustakidis
Universe 2026, 12(1), 18; https://doi.org/10.3390/universe12010018 - 8 Jan 2026
Viewed by 141
Abstract
Recent analyses on the central compact object in the HESS J1731-347 supernova remnant reported not only surprising structural properties (mass M and radius R), but also an interesting thermal evolution. More precisely, it has been estimated that [...] Read more.
Recent analyses on the central compact object in the HESS J1731-347 supernova remnant reported not only surprising structural properties (mass M and radius R), but also an interesting thermal evolution. More precisely, it has been estimated that M=0.770.17+0.20M and R=10.40.78+0.86 km (at the 1σ level), while a redshited surface temperature of 1532+4 keV at an age of 2–6 kyrs has been reported. In the present work, we conduct an in-depth investigation on the possible nature (hadronic, hybrid, quark) of this compact object by attempting to not only explain its mass and radius but also the corresponding estimations for its temperature and age. In the case of hybrid stars we also examine possible effects of the symmetry energy on the activation of different neutrino emitting process, and hence on the resulting cooling curves. We found that the reported temperature and age may be compatible to hadronic stellar configurations regardless of whether pairing effects are included. In the scenario of hybrid stars, we found that the strange quark matter core has to be in a superconducting state in order to reach an agreement with the observational constraints. In addition, the hadronic phase must be soft enough so that the direct Urca process is not activated. Furthermore, we have shown that the considered cooling constraints can be reconciled within the framework of strange stars. However, quark matter has to be in a superconducting state and the quark direct Urca process needs to be blocked. Full article
(This article belongs to the Special Issue Universe: Feature Papers 2024 – Compact Objects)
Show Figures

Figure 1

10 pages, 772 KB  
Article
Lipoprotein Lipase Genetic Variants rs258 and rs326 Differentially Affect Lipid Profiles and Leptin Levels in Prepubertal Spanish Caucasian Children
by Olga Pomares, Iris Pérez-Nadador, Francisco J. Mejorado-Molano, Alejandro Parra-Rodríguez, Leandro Soriano-Guillén and Carmen Garcés
J. Clin. Med. 2026, 15(2), 493; https://doi.org/10.3390/jcm15020493 - 8 Jan 2026
Viewed by 125
Abstract
Background/Objectives: Variants in the lipoprotein lipase (LPL) gene have been associated with lipid level variability and obesity; however, their role in energy homeostasis remains unclear. The aim of this study was to investigate the association of LPL single-nucleotide variants (SNVs) with [...] Read more.
Background/Objectives: Variants in the lipoprotein lipase (LPL) gene have been associated with lipid level variability and obesity; however, their role in energy homeostasis remains unclear. The aim of this study was to investigate the association of LPL single-nucleotide variants (SNVs) with lipid parameters and leptin concentrations in a cohort of prepubertal children. The sample population comprised 635 boys and 631 girls, with available information on lipid profiles and leptin levels. Methods: Five LPL SNVs (rs258, rs316, rs326, rs320, and rs328) were genotyped by Real-Time PCR using predesigned TaqMan™ Genotyping Assays. Results: An association of the LPL SNV rs258 was found with non-esterified fatty acid (NEFA) levels in males and with leptin concentrations in both sexes. On the other hand, an association of the LPL SNV rs326 was observed with low-density lipoprotein cholesterol (LDL-C) and apolipoprotein B (Apo-B) levels, displaying opposite trends in males and females. No significant associations with any of the parameters under study were observed for the remaining LPL SNVs. Conclusions: These results suggest that functional differences among LPL SNVs may either be related to an enhancement of catalytic activity or modulation of lipoprotein binding affinity, influencing the efficiency of remnant lipoprotein clearance. Full article
(This article belongs to the Section Clinical Pediatrics)
Show Figures

Figure 1

21 pages, 7832 KB  
Article
Application of Ground Penetrating Radar (GPR) in the Survey of Historical Metal Ore Mining Sites in Lower Silesia (Poland)
by Maciej Madziarz and Danuta Szyszka
Appl. Sci. 2026, 16(2), 638; https://doi.org/10.3390/app16020638 - 7 Jan 2026
Viewed by 384
Abstract
This study presents the application of ground-penetrating radar (GPR) in the investigation of historical metal ore mining sites in the Lower Silesia region of Poland. The paper outlines the principles of the GPR method and details the measurement procedures used during fieldwork. GPR [...] Read more.
This study presents the application of ground-penetrating radar (GPR) in the investigation of historical metal ore mining sites in the Lower Silesia region of Poland. The paper outlines the principles of the GPR method and details the measurement procedures used during fieldwork. GPR has proven to be an effective, non-invasive tool for identifying inaccessible or previously unknown underground mining structures, such as shafts, tunnels, and remnants of mining infrastructure. This capability is particularly valuable in the context of extensive and complex post-mining landscapes characteristic of Lower Silesia. The research presents findings from selected sites, demonstrating how GPR surveys facilitated the detection and subsequent archaeological exploration of historical workings. In several cases, the method enabled the recovery of access to underground features, which were then subjected to detailed documentation and preservation efforts. Following necessary safety and adaptation measures, some of these sites have been successfully opened to the public as part of regional tourism initiatives. The study confirms the utility of GPR as a key instrument in post-mining archaeology and mining heritage conservation, offering a rapid and reliable means of mapping subsurface structures without disturbing the terrain. Full article
(This article belongs to the Special Issue Surface and Underground Mining Technology and Sustainability)
Show Figures

Figure 1

25 pages, 392 KB  
Review
Genes and Genetic Pathways Regarding the Etiology and Pathogenesis of Ameloblastoma
by Vasileios Zisis, Petros Papadopoulos, Stylianos Papadopoulos, Konstantinos Poulopoulos, Christina Charisi, Dimitrios Parlitsis and Athanasios Poulopoulos
Genes 2026, 17(1), 65; https://doi.org/10.3390/genes17010065 - 6 Jan 2026
Viewed by 322
Abstract
Background/Objectives: Ameloblastoma is a benign odontogenic neoplasm characterized by locally aggressive behavior and frequent recurrences despite surgical treatment. It originates from odontogenic epithelium, including the cell rests of the dental lamina, remnants of the enamel organ, epithelial cell rests of Malassez, or the [...] Read more.
Background/Objectives: Ameloblastoma is a benign odontogenic neoplasm characterized by locally aggressive behavior and frequent recurrences despite surgical treatment. It originates from odontogenic epithelium, including the cell rests of the dental lamina, remnants of the enamel organ, epithelial cell rests of Malassez, or the basal cell layer of the oral mucosa. Investigation of the etiopathogenesis of ameloblastoma has gained critical relevance due to the need for extensive surgical procedures, high recurrence rates, and its malignant potential. Accordingly, the aim of the present narrative review is to summarize current evidence regarding key aspects of ameloblastoma etiopathogenesis, with emphasis on signaling pathways, mutations, epigenetics, and epithelial–stromal interactions. Methods: An extensive literature search was conducted using the PubMed, Scopus, and Google Scholar databases, employing the keywords: “etiology”, “pathogenesis”, “molecular”, “biomarkers”, “cellular”, “epigenetic”, “mutation”, “pathway”, and “ameloblastoma”. In vitro studies, clinical studies, case reports, and narrative and systematic reviews published in English were included, without restriction on publication year. Results: Current evidence indicates that ameloblastoma pathogenesis is driven by dysregulation of multiple signaling pathways, particularly the MAPK and Sonic Hedgehog pathways, through recurrent activating BRAF and SMO mutations. In addition, alterations affecting the WNT/β-Catenin and PI3K/AKT signaling cascades, epigenetic modifications, and epithelial–stromal interactions, contribute to tumor behavior. Conclusions: Despite significant advances, genotype–phenotype correlations, mutation frequencies and coexistence, clonality, and other associations remain incompletely understood. Larger tumor cohorts and robust meta-analyses are required to clarify these associations and to leverage the development of personalized therapeutic strategies. Full article
(This article belongs to the Section Human Genomics and Genetic Diseases)
25 pages, 1902 KB  
Article
Biosorption Potential of Ganoderma lucidum Biomass for Cd(II) Remediation: Adsorption Kinetics and Isotherm Studies
by Tia Kralj, Andrej Gregori, Miha Lukšič and Gregor Marolt
Sustainability 2026, 18(1), 448; https://doi.org/10.3390/su18010448 - 2 Jan 2026
Viewed by 724
Abstract
Heavy metals release in the environment represents a growing threat to human health and nature, particularly due to industrial activities contributing to soil and water contamination. In this study, Ganoderma lucidum heteropolysaccharides (GLHP) were evaluated as a biosorbent for cadmium removal. The biomass [...] Read more.
Heavy metals release in the environment represents a growing threat to human health and nature, particularly due to industrial activities contributing to soil and water contamination. In this study, Ganoderma lucidum heteropolysaccharides (GLHP) were evaluated as a biosorbent for cadmium removal. The biomass was acquired following the production of Ganoderma lucidum fruiting bodies and consisted of remnants from the fungus and cultivation substrate. Cd(II) and elemental analysis were carried out by atomic adsorption spectrometry (AAS) and inductively coupled plasma mass spectroscopy (ICP-MS), respectively. The biosorption efficiency was critically evaluated, optimizing physical adsorption parameters for batch, column, and percolation configuration, as well as application in real environmental water. Utilizing a simple pre-rinsing step, completely omitting any chemical pretreatment, the Cd(II) removal efficiency was improved from 41.2% to 78.4% in a batch system and up to 98.4% in a fixed-bed column, making it suitable not only for wastewater treatment but also for drinking water purification. The adsorption kinetics were described by a pseudo-second-order (PSO) model and further analyzed using a revised PSO (rPSO) model, which explicitly accounts for adsorbate and adsorbent concentrations. A global fit to the PSO model demonstrated that the rate constant was independent of the adsorbent concentration, supporting its application as a robust descriptor of the adsorption process. GLHP showed good adsorption performance, following the Sips adsorption isotherm and Thomas model for batch and column setup, respectively, demonstrating the potential as a scalable, low-cost biosorbent for fast and efficient Cd(II) removal from contaminated waters. Full article
(This article belongs to the Special Issue Sustainable Research Progress on Treatment of Wastewater)
Show Figures

Figure 1

32 pages, 23534 KB  
Review
Chelmos Vouraikos UNESCO Global Geopark: Links Between Geological and Landscape Diversity with Biodiversity in the Context of Geotourism
by George Iliopoulos, Penelope Papadopoulou, Vasilis Golfinopoulos, Eleni Koumoutsou, Ioannis P. Kokkoris, Irena Pappa and Panayotis Dimopoulos
Geographies 2026, 6(1), 4; https://doi.org/10.3390/geographies6010004 - 1 Jan 2026
Viewed by 577
Abstract
Chelmos Vouraikos UNESCO Global Geopark is located in North Peloponnesus, Greece. As a member of the Global Geoparks Network, it is valued for its rich geoheritage in combination with its natural and cultural wealth. Several different landforms of international value are located in [...] Read more.
Chelmos Vouraikos UNESCO Global Geopark is located in North Peloponnesus, Greece. As a member of the Global Geoparks Network, it is valued for its rich geoheritage in combination with its natural and cultural wealth. Several different landforms of international value are located in the area. The scope of this work is to present an overview of its geomorphological features, link them with biodiversity and highlight their value for geotourism. Its geology is complicated due to intense tectonism. Three geotectonic units of the Alpine Orogeny can be found along with post-Alpine sediments related to the Corinth Gulf rifting. The area is highly covered by limestone creating important karst landforms. High peaks surround river valleys and deep gorges create breathtaking landscapes. Some of them cut through high and steep conglomerate slopes. Remnants of past glaciation have been preserved on Mt Chelmos. The exceptional geodiversity of the area is linked with rich vegetation and high endemism. The many identified geomorphological sites highlight the Geopark’s strong commitment to geomorphology and its importance as a key geomorphological destination. Highly visible geomorphological sites with ecological value can also promote environmental awareness and contribute to the protection of biodiversity. Full article
Show Figures

Figure 1

Back to TopTop