Sign in to use this feature.

Years

Between: -

Subjects

remove_circle_outline
remove_circle_outline
remove_circle_outline
remove_circle_outline
remove_circle_outline
remove_circle_outline
remove_circle_outline
remove_circle_outline
remove_circle_outline

Journals

remove_circle_outline
remove_circle_outline
remove_circle_outline
remove_circle_outline
remove_circle_outline
remove_circle_outline

Article Types

Countries / Regions

remove_circle_outline
remove_circle_outline
remove_circle_outline
remove_circle_outline
remove_circle_outline

Search Results (494)

Search Parameters:
Keywords = redox triggered

Order results
Result details
Results per page
Select all
Export citation of selected articles as:
20 pages, 10204 KB  
Article
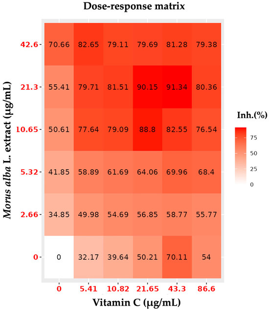
Synergistic Effects of Anthocyanin-Enriched Morus alba L. Extract and Vitamin C: Promising Nutraceutical Ingredients in Functional Food Development for Neuroprotection
by Nootchanat Mairuae, Jinatta Jittiwat, Kwanjit Apaijit, Parinya Noisa, Gang Bai, Yuanyuan Hou and Nut Palachai
Foods 2025, 14(21), 3630; https://doi.org/10.3390/foods14213630 (registering DOI) - 24 Oct 2025
Abstract
Oxidative stress-induced mitochondrial dysfunction and apoptosis are critical factors in the pathogenesis of neurodegenerative diseases. This study investigated the synergistic neuroprotective effects of anthocyanin-enriched Morus alba L. extract combined with vitamin C (MAC) against hydrogen peroxide (H2O2)-induced oxidative stress [...] Read more.
Oxidative stress-induced mitochondrial dysfunction and apoptosis are critical factors in the pathogenesis of neurodegenerative diseases. This study investigated the synergistic neuroprotective effects of anthocyanin-enriched Morus alba L. extract combined with vitamin C (MAC) against hydrogen peroxide (H2O2)-induced oxidative stress in SH-SY5Y neuronal cells. Exposure to H2O2 triggered excessive reactive oxygen species (ROS) production and apoptosis, whereas treatment with MAC markedly alleviated these effects. Biochemical analyses revealed that MAC significantly reduced malondialdehyde (MDA) and enhanced the activities of antioxidant enzymes, including catalase (CAT), superoxide dismutase (SOD), and glutathione peroxidase (GSH-Px), thereby contributing to improved redox balance. Furthermore, MAC modulated apoptosis-related signaling by upregulating extracellular signal-regulated kinase (ERK), cAMP response element-binding protein (CREB), and the anti-apoptotic protein B-cell lymphoma 2 (Bcl-2), while downregulating the pro-apoptotic protein Bcl-2-associated X (BAX) and cleaved caspase-3. Collectively, these findings demonstrate that MAC acts synergistically as a promising nutraceutical ingredient, supporting the development of functional foods for the prevention or mitigation of oxidative stress-related neurodegenerative disorders. Full article
Show Figures

Figure 1

20 pages, 1246 KB  
Review
The Role of Mitochondrial Genome Stability and Metabolic Plasticity in Thyroid Cancer
by Lingyu Ren, Wei Liu, Jiaojiao Zheng, Qiao Wu and Zhilong Ai
Biomedicines 2025, 13(11), 2599; https://doi.org/10.3390/biomedicines13112599 - 23 Oct 2025
Abstract
Mitochondria play a central role in energy metabolism, redox homeostasis, and signal transduction in the thyroid cells. Increasing evidence indicates that mitochondrial DNA (mtDNA) mutations, copy number variations, and haplogroup-specific polymorphisms are closely associated with metabolic reprogramming and malignant progression of thyroid cancer. [...] Read more.
Mitochondria play a central role in energy metabolism, redox homeostasis, and signal transduction in the thyroid cells. Increasing evidence indicates that mitochondrial DNA (mtDNA) mutations, copy number variations, and haplogroup-specific polymorphisms are closely associated with metabolic reprogramming and malignant progression of thyroid cancer. This review summarizes recent advances in the understanding of the impact of mitochondrial genome instability and metabolic plasticity on thyroid tumorigenesis. We discuss how mtDNA alterations disrupt oxidative phosphorylation (OXPHOS), trigger adaptive metabolic rewiring, and interact with key oncogenic pathways, such as HIF-1α, BRAFV600E mutations, and TSHR signaling in thyroid cancer. We also highlight the emerging diagnostic and therapeutic potential of mtDNA in thyroid cancer and outline current challenges and future research directions. Gaining deeper insights into the mitochondria–metabolism axis may provide novel biomarkers and metabolic intervention strategies for precision medicine in thyroid oncology. Full article
16 pages, 6095 KB  
Article
Unveiling the GA4-Ferulic Acid Regulatory Axis: Redox-Mediated Suberization Governs Adventitious Rooting Recalcitrance in Pinus massoniana
by Yin Wang and Ruiling Yao
Plants 2025, 14(21), 3246; https://doi.org/10.3390/plants14213246 - 23 Oct 2025
Abstract
Pinus massoniana, a critically important afforestation species in subtropical China, shows severe adventitious rooting recalcitrance linked to endogenous gibberellin (GA) dysregulation. Our study reveals a GA4-mediated regulatory network that coordinates hormonal crosstalk, redox homeostasis, and cell wall remodeling. Treatment with [...] Read more.
Pinus massoniana, a critically important afforestation species in subtropical China, shows severe adventitious rooting recalcitrance linked to endogenous gibberellin (GA) dysregulation. Our study reveals a GA4-mediated regulatory network that coordinates hormonal crosstalk, redox homeostasis, and cell wall remodeling. Treatment with the GA biosynthesis inhibitor paclobutrazol (PBZ, 100 mg·L−1) shortened rooting time by 32.5% and increased rooting success by 79.5%. We found that PBZ redirected GA flux by upregulating GA3-oxidase (GA3OX), leading to GA4 accumulation. However, elevated GA4 levels impaired root development by triggering suberization through ferulic acid (FA)-mediated redox imbalance. Application of GA4 (100 mg·L−1) reduced caffeoyl alcohol content by 54.4% but increased FA and caffeic acid levels 2.4–3.9-fold, shifting lignin precursors toward suberin biosynthesis. FA modulated H2O2 flux in a dose-dependent manner: 200 mg·L−1 optimized redox homeostasis (93.7% lower H2O2 influx), whereas 1000 mg·L−1 suppressed mitosis. The combination of PBZ (100 mg·L−1) and FA (200 mg·L−1) synergistically enhanced rooting success by 34.4% and achieved 95.8% field survival after two years (vs. 68.5% in controls), challenging the traditional view that lignification alone limits rooting in woody plants. This work provides the first evidence that the GA4-FA axis controls adventitious root formation in conifers via a Reactive oxygen species (ROS)-dependent switch between suberin and lignin metabolism, offering new strategies to overcome rooting barriers. The PBZ + FA protocol enables scalable clonal propagation of recalcitrant conifers, with potential applications in molecular breeding and forest restoration. Full article
Show Figures

Figure 1

49 pages, 8236 KB  
Review
Reactive Oxygen Species Across Death Pathways: Gatekeepers of Apoptosis, Ferroptosis, Pyroptosis, Paraptosis, and Beyond
by Noah Sendtner, Rebecca Seitz, Noah Brandl, Martina Müller and Karsten Gülow
Int. J. Mol. Sci. 2025, 26(20), 10240; https://doi.org/10.3390/ijms262010240 - 21 Oct 2025
Viewed by 104
Abstract
Reactive oxygen species (ROS) are versatile determinants of cell fate, tipping the balance between survival and death. By exceeding critical thresholds or perturbing compartment-specific signaling, ROS can initiate, modulate, or suppress regulated cell death (RCD). Importantly, their influence extends across the full spectrum [...] Read more.
Reactive oxygen species (ROS) are versatile determinants of cell fate, tipping the balance between survival and death. By exceeding critical thresholds or perturbing compartment-specific signaling, ROS can initiate, modulate, or suppress regulated cell death (RCD). Importantly, their influence extends across the full spectrum of currently characterized RCD modalities. 19 distinct forms of cell death—including both long-established and recently described entities—are shaped by ROS, either as triggers, modulators, or inhibitors. Beyond pathway-specific effects, ROS promote crosstalk between death programs, enabling switches from one mode to another and determining whether outcomes are inflammatory or non-inflammatory. By systematically integrating 19 RCD types, the unifying role of ROS emerges as both gatekeeper and connector of diverse death pathways. Such a comprehensive perspective underscores the centrality of redox imbalance in cell fate control and highlights its broader implications for inflammation and disease. Full article
(This article belongs to the Special Issue ROS Signalling and Cell Turnover)
Show Figures

Figure 1

16 pages, 15044 KB  
Article
Effects of Methylcobalamin on Mitochondrial Alterations in Schwann Cells Under Oxidative Stress
by Qicheng Li, Shiyan Liu, Lu Zhang, Tianze Sun and Yuhui Kou
Biomedicines 2025, 13(10), 2565; https://doi.org/10.3390/biomedicines13102565 - 21 Oct 2025
Viewed by 193
Abstract
Background/Objectives: Peripheral neuropathy (PN) triggers early oxidative stress, disrupting Schwann cell homeostasis. In this context, mitochondria serve as a primary source and vulnerable target of reactive oxygen species (ROS). Here, we investigated whether methylcobalamin (MeCbl) mitigates oxidative stress-induced mitochondrial dysfunction. Methods: [...] Read more.
Background/Objectives: Peripheral neuropathy (PN) triggers early oxidative stress, disrupting Schwann cell homeostasis. In this context, mitochondria serve as a primary source and vulnerable target of reactive oxygen species (ROS). Here, we investigated whether methylcobalamin (MeCbl) mitigates oxidative stress-induced mitochondrial dysfunction. Methods: RSC96 cells were exposed to H2O2 to model oxidative injury, then treated with MeCbl. Mitochondrial network integrity was evaluated using super-resolution imaging coupled with quantitative morphometric analysis. RNA-sequencing was performed to identify differentially expressed genes (DEGs) and enriched biological pathways. Additionally, a network-pharmacology approach was employed to intersect the predicted MeCbl targets with the transcriptomic signature. Results: MeCbl treatment alleviated H2O2-induced mitochondrial fragmentation, restoring the interconnected reticulum characterized by increased branch number, total area, and a reduction in punctate mitochondria. Transcriptome analyses revealed the reprogramming of stress-response pathways. The DEGs were significantly enriched in processes including mitochondrial organization and dynamics, redox homeostasis, protein quality control, and pro-survival signaling. Network pharmacology demonstrated convergence between the MeCbl targets and DEGs at core nodes governing mitochondrial quality control and antioxidant defense, thereby providing a mechanistic basis for the imaging phenotypes. Conclusions: MeCbl improved the mitochondrial structure and remodeled the stress-response pathways in Schwann cells under oxidative stress. By linking high-resolution organelle phenotypes to molecular networks, these findings support MeCbl as a rational adjunct to mitigate oxidative stress-driven peripheral neuropathy and identify an intervenable regulatory axis for future targeted therapies. Full article
(This article belongs to the Section Cell Biology and Pathology)
Show Figures

Graphical abstract

31 pages, 6758 KB  
Article
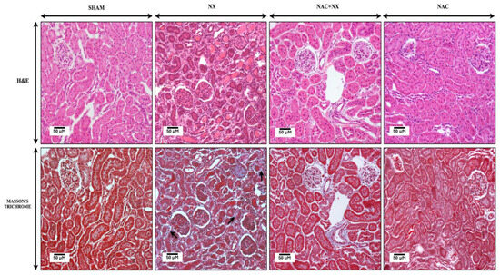
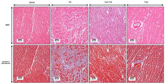
Early Administration of N-Acetylcysteine Provides Renal and Cardiac Mitochondrial and Redox Protection, Preventing the Development of Cardio-Renal Syndrome Type IV Induced by 5/6NX
by Karen Peralta-Buendía, Belén Cuevas-López, Fernando E. García-Arroyo, Miriam Díaz-Rojas, Juan Carlos León-Contreras, Alejandro Silva-Palacios, Guillermo Gonzaga, Edilia Tapia, Emma Saavedra, Rogelio Hernández-Pando, José Pedraza-Chaverri, Laura Gabriela Sánchez-Lozada and Omar Emiliano Aparicio-Trejo
Antioxidants 2025, 14(10), 1241; https://doi.org/10.3390/antiox14101241 - 16 Oct 2025
Viewed by 493
Abstract
Chronic kidney disease (CKD) cardiac impairment is manifested as cardio-renal syndrome type 4 (CRS-IV). The kidneys and heart are highly dependent on mitochondria; thus, bioenergetics and redox and biogenesis alterations are critical in CKD and heart damage. Most previous studies have focused on [...] Read more.
Chronic kidney disease (CKD) cardiac impairment is manifested as cardio-renal syndrome type 4 (CRS-IV). The kidneys and heart are highly dependent on mitochondria; thus, bioenergetics and redox and biogenesis alterations are critical in CKD and heart damage. Most previous studies have focused on the advanced stage of CRS-IV, but mitochondrial impairment onset in the early stages and its pathological pathways are poorly understood. In this work, we characterized mitochondrial bioenergetics, biogenesis and redox impairment in both tissues in the early stages after CKD and analyzed their relationship with CRS-IV in a CKD model with 5/6 nephrectomy (NX). We found the first cardiac mitochondrial alterations 10 days after surgery, together with an increase in plasma cardio-renal connectors, derived from renal mitochondrial damage. Oxidative phosphorylation capacity decreased and uncoupling led to oxidative stress, inflammation, cardiac hypertrophy and ejection fraction reduction, triggering CRS-IV. N-acetylcysteine (NAC) administration prevented mitochondrial alterations in both organs and heart damage. Interestingly, the protective effects of NAC correlated with SIRT1/3-PGC-1α pathway overactivation. These results suggest that mitochondrial biogenesis induction and redox regulation protection in the early stages after renal damage serve as a strategy to prevent bioenergetic alterations in the kidneys and heart, preventing inflammation and CRS-IV development. Full article
(This article belongs to the Special Issue Novel Antioxidant Mechanisms for Health and Diseases, 2nd Edition)
Show Figures

Graphical abstract

28 pages, 1724 KB  
Systematic Review
Proinflammatory Risk Factors in Patients with Ischemic Stroke: A Systematic Review and Meta-Analysis
by Alexandru Gerdanovics, Ioana Cristina Stănescu, Camelia Manuela Mîrza, Gabriela Bombonica Dogaru, Cristina Ariadna Nicula, Paul-Mihai Boarescu, Cezara-Andreea Gerdanovics and Adriana Elena Bulboacă
Antioxidants 2025, 14(10), 1229; https://doi.org/10.3390/antiox14101229 - 14 Oct 2025
Viewed by 887
Abstract
Ischemic stroke is a leading cause of disability worldwide, often triggered by atherothrombotic or embolic events. A growing body of evidence highlights the role of neuroinflammation as a central mechanism in post-stroke damage, influenced by modifiable systemic risk factors. Emerging evidence suggests that [...] Read more.
Ischemic stroke is a leading cause of disability worldwide, often triggered by atherothrombotic or embolic events. A growing body of evidence highlights the role of neuroinflammation as a central mechanism in post-stroke damage, influenced by modifiable systemic risk factors. Emerging evidence suggests that oxidative stress mediates the impact of several modifiable risk factors by activating redox-sensitive pathways (such as NF-κB), impairing nitric oxide bioavailability, and promoting matrix metalloproteinase activity that disrupts vascular integrity and contributes to ischemic injury. In this context, our meta-analysis examined major modifiable risk factors for ischemic stroke, with a particular focus on their shared ability to promote oxidative stress and neuroinflammatory cascades. By emphasizing these redox-dependent mechanisms, our work supports the biological plausibility of exploring antioxidant strategies as complementary approaches to mitigate stroke risk. Hypertension, diabetes, dyslipidemia, smoking, atrial fibrillation, and transient ischemic attacks all contribute to oxidative damage through mechanisms such as endothelial dysfunction, vascular inflammation, and excessive free radical exposure. We searched PubMed, PubMed Central, Web of Science, and Scopus for observational studies published within the last five years, identifying 23 studies (691,524 participants) meeting eligibility criteria. Using a random-effects model, we found significant associations between stroke risk and hypertension (OR = 1.58, 95% CI: 1.28–1.94), smoking (OR = 1.61, 95% CI: 1.13–2.28), type 2 diabetes (OR = 1.53, 95% CI: 1.29–1.81), atrial fibrillation (OR = 1.88, 95% CI: 1.28–2.75), and prior transient ischemic attack (OR = 1.62, 95% CI: 1.24–2.11). These risk factors are known to contribute to systemic inflammation, potentially exacerbating neuroinflammatory cascades post-stroke. Despite limitations such as heterogeneity and low certainty of evidence, our findings reinforce the relevance of targeting inflammation-driven risk factors in stroke prevention strategies and future research. Full article
(This article belongs to the Special Issue Oxidative Stress and Inflammation in Neurologic Diseases)
Show Figures

Figure 1

19 pages, 3257 KB  
Article
Integrated Multi-Omics Analysis Reveals the Survival Strategy of Dongxiang Wild Rice (DXWR, Oryza rufipogon Griff.) Under Low-Temperature and Anaerobic Stress
by Jilin Wang, Cheng Huang, Hongping Chen, Lijuan Tang and Dianwen Wang
Plants 2025, 14(20), 3120; https://doi.org/10.3390/plants14203120 - 10 Oct 2025
Viewed by 374
Abstract
Dongxiang wild rice (DXWR, Oryza rufipogon Griff.), the northernmost known wild rice species, exhibits exceptional tolerance to combined low-temperature and anaerobic stress during seed germination, providing a unique model for understanding plant adaptation to complex environmental constraints. Here, we employed an integrated multi-omics [...] Read more.
Dongxiang wild rice (DXWR, Oryza rufipogon Griff.), the northernmost known wild rice species, exhibits exceptional tolerance to combined low-temperature and anaerobic stress during seed germination, providing a unique model for understanding plant adaptation to complex environmental constraints. Here, we employed an integrated multi-omics approach combining genomic, transcriptomic, and metabolomic analyses to unravel the synergistic regulatory mechanisms underlying this tolerance. Genomic comparative analysis categorized DXWR genes into three evolutionary groups: 18,480 core genes, 15,880 accessory genes, and 6822 unique genes. Transcriptomic profiling identified 10,593 differentially expressed genes (DEGs) relative to the control, with combined stress triggering the most profound changes, specifically inducing the upregulation of 5573 genes and downregulation of 5809 genes. Functional characterization revealed that core genes, including DREB transcription factors, coordinate energy metabolism and antioxidant pathways; accessory genes, such as glycoside hydrolase GH18 family members, optimize energy supply via adaptive evolution; and unique genes, including specific UDP-glycosyltransferases (UDPGTs), confer specialized stress resilience. Widely targeted metabolomics identified 889 differentially accumulated metabolites (DAMs), highlighting significant accumulations of oligosaccharides (e.g., raffinose) to support glycolytic energy production and a marked increase in flavonoids (153 compounds identified, e.g., procyanidins) enhancing antioxidant defense. Hormonal signals, including jasmonic acid and auxin, were reconfigured to balance growth and defense responses. We propose a multi-level regulatory network based on a “core-unique-adaptive” genetic framework, centered on ERF family transcriptional hubs and coordinated through a metabolic adaptation strategy of “energy optimization, redox homeostasis, and growth inhibition relief”. These findings offer innovative strategies for improving rice stress tolerance, particularly for enhancing germination of direct-seeded rice under early spring low-temperature and anaerobic conditions, by utilizing key genes such as GH18s and UDPGTs, thereby providing crucial theoretical and technological support for addressing food security challenges under climate change. Full article
Show Figures

Figure 1

15 pages, 2165 KB  
Article
Screening of Mediterranean Plant-Derived Extracts for Antioxidant Effect in Cell-Free and Human Cell Line Models
by Giuseppe Argentino, Edoardo Giuseppe Di Leo, Chiara Stranieri, Stefano Negri, Mauro Commisso, Flavia Guzzo, Anna Maria Fratta Pasini, Annalisa Castagna and Simonetta Friso
Antioxidants 2025, 14(10), 1217; https://doi.org/10.3390/antiox14101217 - 9 Oct 2025
Viewed by 374
Abstract
Oxidative stress plays a critical role in the development of various chronic diseases, leading to major health problems worldwide. There has been increasing interest in using natural antioxidants as complementary agents for maintaining redox homeostasis and assuring a healthy lifestyle. This study aimed [...] Read more.
Oxidative stress plays a critical role in the development of various chronic diseases, leading to major health problems worldwide. There has been increasing interest in using natural antioxidants as complementary agents for maintaining redox homeostasis and assuring a healthy lifestyle. This study aimed to systematically screen the antioxidant potential and cytotoxicity profiles of 19 plant-derived extracts using both a cell-free Fenton reaction-based assay and human monocytic THP-1 cells in vitro. The radical-scavenging capacity varied markedly among the extracts, with Acalypha virginica Linnaeus (ACALYPHA), Acorus calamus Linnaeus (ACORUS), Actinidia deliciosa (A.Chev.) C.F. Liang & A.R. Ferguson (ACTINIDIA), and Heuchera sanguinea Pursh (HEUCHERA) demonstrating strong activity in the chemical assay. In the cellular model, 15 extracts significantly reduced intracellular reactive oxygen species (ROS) levels without inducing cytotoxicity at effective concentrations. Notably, Acalypha virginica Linnaeus (ACALYPHA), Actinidia deliciosa (A.Chev.) C.F. Liang & A.R. Ferguson (ACTINIDIA), Dianthus superbus Linnaeus subsp. superbus (DIANTHUS), Succisa pratensis Moench (SUCCISA), and Typha laxmannii Lepech (TYPHA) exhibited consistent antioxidant efficacy across multiple doses. At higher concentrations, all extracts triggered apoptosis and/or necrosis, emphasizing the importance of defining safe ranges. These findings provide a comprehensive comparative analysis of Mediterranean plant-based natural antioxidants obtained by an in vitro approach. The selected plant extracts could be considered as promising candidates for the development of strategies targeting oxidative stress-related disorders. Further investigations considering the specific phytochemical composition of each extract and in vivo validation are needed to confirm their efficacy and safety. Full article
(This article belongs to the Section Natural and Synthetic Antioxidants)
Show Figures

Figure 1

17 pages, 3620 KB  
Article
The Mechanism of Fraxetin as a Sustainable Fungicide for Larch Shoot Blight: Lipid Peroxidation and Oxidative Stress in Neofusicoccum laricinum
by Shuang Zhang, Ruizhi Zhang, Rui Xia, Xinyan Chen, Jiarui Chen, Yuchun Yang, Majid Mujtaba, Danlei Li and Feng Wang
J. Fungi 2025, 11(10), 724; https://doi.org/10.3390/jof11100724 - 8 Oct 2025
Viewed by 470
Abstract
Larch shoot blight, caused by Neofusicoccum laricinum, threatens global larch resources, while conventional chemical control is constrained by pollution and resistance. To address this gap, we integrated metabolomics, transcriptomics, and antifungal efficacy assays to identify Fraxetin, a disease-induced phytoalexin, and to elucidate [...] Read more.
Larch shoot blight, caused by Neofusicoccum laricinum, threatens global larch resources, while conventional chemical control is constrained by pollution and resistance. To address this gap, we integrated metabolomics, transcriptomics, and antifungal efficacy assays to identify Fraxetin, a disease-induced phytoalexin, and to elucidate its antifungal activity and mechanism. Metabolomics showed infection-triggered accumulation of Fraxetin in resistant Larix olgensis shoots. Antifungal experiments showed that within the range of 68–1088 μg/mL, the optimal antifungal concentration was 1088 μg/mL. When inoculated larches were treated with 1088 μg/mL Fraxetin, the maximum inhibition rate of pathogen growth reached 66.67% within 12 days, and the symptoms of the treated plants were alleviated. Transcriptomics revealed activation of damage responses, disruption of oxidative homeostasis, and compromised membrane integrity in the pathogen under Fraxetin treatment. Physiological measurements confirmed increased lipid peroxidation, redox collapse, membrane leakage, and reduced fungal viability. These findings indicate a lipid peroxidation–mediated oxidative–membrane mode of action and support the potential of plant-derived Fraxetin for more sustainable management of larch shoot blight. Full article
(This article belongs to the Section Environmental and Ecological Interactions of Fungi)
Show Figures

Figure 1

18 pages, 2470 KB  
Article
6-O-trans-feruloyl Catalpol, a Natural Antioxidant from the Stem Bark of Catalpa ovata, Accelerates Liver Regeneration In Vivo via Activation of Hepatocyte Proliferation Signaling Pathways
by Jiyoung Park, Yun-Seo Kil, Ho Jin Yi, Eun Kyoung Seo and Hyun Ae Woo
Antioxidants 2025, 14(10), 1210; https://doi.org/10.3390/antiox14101210 - 6 Oct 2025
Viewed by 545
Abstract
Background: Liver regeneration is a complex process involving multiple signaling pathways that coordinate hepatocyte proliferation, survival, and tissue repair. Natural compounds like silymarin, ursolic acid, quercetin, and resveratrol have shown regenerative potential, though their precise molecular mechanisms remain unclear. 6-O-trans-feruloyl catalpol [...] Read more.
Background: Liver regeneration is a complex process involving multiple signaling pathways that coordinate hepatocyte proliferation, survival, and tissue repair. Natural compounds like silymarin, ursolic acid, quercetin, and resveratrol have shown regenerative potential, though their precise molecular mechanisms remain unclear. 6-O-trans-feruloyl catalpol (6FC), a major bioactive compound from Catalpa ovata, exhibits anti-inflammatory and potential antioxidant effects via regulation of NF-κB signaling and redox-sensitive pathways such as Akt and MAPK, which are critical for cell survival and proliferation. Moreover, 6FC exhibits peroxynitrite-scavenging activity, suggesting its potential antioxidant properties that may protect hepatocytes from oxidative damage during regeneration. However, the role of 6FC in liver regeneration has not been elucidated, positioning it as a promising natural therapeutic candidate for hepatic repair. Purpose: This study aimed to determine whether 6FC promotes hepatocyte proliferation and liver regeneration in vivo using a 2/3 PHx mouse model, and to validate its proliferative effects in vitro with HGF-stimulated Hep3B cells. Methods: A 2/3 PHx liver regeneration model was used to evaluate 6FC-mediated liver regeneration. Histological and molecular analyses assessed hepatocyte proliferation and signaling activation. HGF-stimulated Hep3B cells were also used to examine 6FC proliferative effects in vitro. Results: 6FC significantly promoted liver regeneration by restoring the liver-to-body weight ratio and reducing serum ALT and AST levels without inducing excessive immune responses. Mechanistic studies revealed that 6FC activates Akt and MAPK pathways, increases the expression of critical growth factors, and upregulates cell cycle regulators. These effects were also observed in HGF-stimulated Hep3B cells, suggesting that 6FC may enhance hepatocyte proliferation without triggering excessive immune responses. Conclusions: 6FC accelerates hepatocyte proliferation and promotes liver regeneration by activating key redox-sensitive signaling pathways, highlighting its potential as a natural antioxidant-based therapeutic agent. Full article
(This article belongs to the Special Issue Antioxidant and Protective Effects of Plant Extracts—2nd Edition)
Show Figures

Figure 1

15 pages, 1196 KB  
Review
Redox Balance, Mitohormesis, and Organ Stress in Type 2 Diabetes Mellitus: Mechanistic Insights and the Therapeutic Role of SGLT2 Inhibitors
by Toshiki Otoda, Ken-ichi Aihara and Tadateru Takayama
Diabetology 2025, 6(10), 111; https://doi.org/10.3390/diabetology6100111 - 3 Oct 2025
Viewed by 389
Abstract
Oxidative stress and chronic low-grade inflammation are recognized key drivers of diabetic complications. Lysosomal dysfunction, cellular senescence, and inter-organ stress signaling further aggravate the Redox–Inflammation–Organ Stress Axis in type 2 diabetes mellitus (T2DM). Recent studies suggest that reactive oxygen species (ROS) are not [...] Read more.
Oxidative stress and chronic low-grade inflammation are recognized key drivers of diabetic complications. Lysosomal dysfunction, cellular senescence, and inter-organ stress signaling further aggravate the Redox–Inflammation–Organ Stress Axis in type 2 diabetes mellitus (T2DM). Recent studies suggest that reactive oxygen species (ROS) are not always harmful. Through mitohormesis, mild and transient increases in ROS levels can trigger antioxidant defenses, strengthen mitochondrial function, and limit chronic inflammation. Evidence from caloric restriction, exercise, and ketone body studies supports this adaptive redox balance, underscoring the importance of maintaining a “hormetic window” rather than indiscriminate antioxidant supplementation. In our prospective study, sodium-glucose cotransporter 2 inhibitor treatment significantly reduced albuminuria and serum levels of inflammatory markers, e.g., tumor necrosis factor receptors 1 and 2, while paradoxically increasing urinary 8-hydroxy-2′-deoxyguanosine levels and biological antioxidant potential (BAP), suggestive of adaptive ROS responses consistent with mitohormesis. Concomitant glucagon-like peptide-1 receptor agonist use emerged as an independent explanatory factor for increased urinary levels of oxidative stress markers, suggesting that multiple metabolic therapies converge on shared hormetic pathways. Emerging evidence that stressed adipocytes can communicate mild ROS signals via extracellular vesicles expands this paradigm to inter-organ mitohormesis. Collectively, these insights caution against indiscriminate antioxidant use and underscore the therapeutic potential of controlled redox modulation to disrupt the vicious cycle of senescence, inflammation, and organ stress. Incorporating redox biomarkers like urinary 8-hydroxy-2′-deoxyguanosine, reactive oxygen metabolite derivatives, and BAP into clinical monitoring, alongside pharmacological and lifestyle interventions, may facilitate the realization of precision metabolic medicine for multi-organ protection in T2DM. Full article
Show Figures

Graphical abstract

19 pages, 5076 KB  
Review
The Convergence of Biology and Material Science: Biomolecule-Driven Smart Drug Delivery Systems
by Yaqin Hou and Xiaolei Yu
Biomolecules 2025, 15(10), 1383; https://doi.org/10.3390/biom15101383 - 28 Sep 2025
Viewed by 566
Abstract
Biomolecule-driven smart materials represent a paradigm shift in pharmacology, transitioning drug delivery from a passive process to an active, programmable, and highly specific intervention. These systems, constructed from or functionalized with biological macromolecules such as nucleic acids, peptides, proteins, and polysaccharides, are engineered [...] Read more.
Biomolecule-driven smart materials represent a paradigm shift in pharmacology, transitioning drug delivery from a passive process to an active, programmable, and highly specific intervention. These systems, constructed from or functionalized with biological macromolecules such as nucleic acids, peptides, proteins, and polysaccharides, are engineered to sense and respond to specific pathophysiological cues or external triggers. This review provides a comprehensive analysis of this rapidly evolving field. We first delineate the fundamental principles of stimuli-responsive actuation, categorizing systems based on their response to endogenous (pH, redox, enzymes, ROS) and exogenous (temperature, light, magnetic fields) triggers. We then conduct an in-depth survey of the primary biomolecular architectures, examining the unique design space offered by DNA nanotechnology, the functional versatility of peptides and proteins, and the biocompatibility of polysaccharides. Key therapeutic applications in oncology, inflammatory diseases, and gene therapy are discussed, highlighting how these intelligent systems are being designed to overcome critical biological barriers and enhance therapeutic efficacy. Finally, we address the formidable challenges—spanning biocompatibility, manufacturing scalability, and regulatory navigation—that constitute the “bench-to-bedside” chasm. We conclude by exploring future perspectives, including the development of multi-stimuli responsive, logic-gated systems and the transformative potential of artificial intelligence in designing the next generation of personalized nanomedicines. Full article
(This article belongs to the Section Bio-Engineered Materials)
Show Figures

Figure 1

27 pages, 827 KB  
Review
The Redox Paradox: Cancer’s Double-Edged Sword for Malignancy and Therapy
by Jyotsna Suresh Ranbhise, Manish Kumar Singh, Songhyun Ju, Sunhee Han, Hyeong Rok Yun, Sung Soo Kim and Insug Kang
Antioxidants 2025, 14(10), 1187; https://doi.org/10.3390/antiox14101187 - 28 Sep 2025
Viewed by 691
Abstract
Reactive oxygen species (ROS) function as critical signaling molecules in cancer biology, promoting proliferation, angiogenesis, and metastasis at controlled levels while inducing lethal damage when exceeding the cell’s buffering capacity. To survive under this state of chronic oxidative stress, cancer cells become dependent [...] Read more.
Reactive oxygen species (ROS) function as critical signaling molecules in cancer biology, promoting proliferation, angiogenesis, and metastasis at controlled levels while inducing lethal damage when exceeding the cell’s buffering capacity. To survive under this state of chronic oxidative stress, cancer cells become dependent on a hyperactive antioxidant shield, primarily orchestrated by the Nrf2, glutathione (GSH), and thioredoxin (Trx) systems. These defenses maintain redox homeostasis and sustain oncogenic signaling, notably through the oxidative inactivation of tumor-suppressor phosphatases, such as PTEN, which drives the PI3K/AKT/mTOR pathway. Targeting this addiction to a rewired redox state has emerged as a compelling therapeutic strategy. Pro-oxidant therapies aim to overwhelm cellular defenses, with agents like high-dose vitamin C and arsenic trioxide (ATO) showing significant tumor-selective toxicity. Inhibiting the master regulator Nrf2 with compounds such as Brusatol or ML385 disrupts the core antioxidant response. Disruption of the GSH system by inhibiting cysteine uptake with sulfasalazine or erastin potently induces ferroptosis, a non-apoptotic cell death driven by lipid peroxidation. Furthermore, the thioredoxin system is targeted by the repurposed drug auranofin, which irreversibly inhibits thioredoxin reductase (TrxR). Extensive preclinical data and ongoing clinical trials support the concept that this reliance on redox adaptation is a cancer-selective vulnerability. Moreover, novel therapeutic strategies, including the expanding field of redox-active metal complexes, such as manganese porphyrins, which strategically leverage the differential redox state of normal versus cancer cells through both pro-oxidant and indirect Nrf2-mediated antioxidative mechanisms (triggered by Keap1 oxidation), with several agents currently in advanced clinical trials, have also been discussed. Essentially, pharmacologically tipping the redox balance beyond the threshold of tolerance offers a rational and powerful approach to eliminate malignant cells, defining a novel frontier for targeted cancer therapy. Full article
(This article belongs to the Special Issue Redox Signaling in Cancer: Mechanisms and Therapeutic Opportunities)
Show Figures

Figure 1

22 pages, 7843 KB  
Article
Integrated Transcriptome–Metabolome Analysis Reveals the Flavonoids Metabolism Mechanism of Maize Radicle in Response to Low Temperature
by Yi Dou, Wenqi Luo, Yifei Zhang, Wangshu Li, Chunyu Zhang, Yanjie Lv, Xinran Liu and Song Yu
Plants 2025, 14(19), 2988; https://doi.org/10.3390/plants14192988 - 26 Sep 2025
Viewed by 429
Abstract
The Northeast region in China is a major maize-producing area; however, low-temperature stress (TS) limits maize (Zea mays L.) seed germination, affecting population establishment and yield. In order to systematically explore the regulation mechanism of maize radicle which is highly sensitive to [...] Read more.
The Northeast region in China is a major maize-producing area; however, low-temperature stress (TS) limits maize (Zea mays L.) seed germination, affecting population establishment and yield. In order to systematically explore the regulation mechanism of maize radicle which is highly sensitive to low-temperature environment response to TS, seeds of ZD958 and DMY1 were used to investigate germination responses under 15 °C (control) and 5 °C (TS) conditions. Phenotypic, physiological, transcriptomic, and metabolomic analyses were conducted on the radicles after 48 h of TS treatment. TS caused reactive oxygen species (ROS) imbalance and oxidative damage in radicle cells, inhibiting growth and triggering antioxidant defenses. Integrated transcriptomic and metabolomic analyses revealed that flavonoid metabolism may play a pivotal role in radicle responses to TS. Compared with the control treatment, ZD958 and DMY1 under TS treatment significantly increased (p < 0.01) the total flavonoid content, total antioxidant capacity, 4-coumarate-CoA ligase activity, and dihydroflavonol 4-reductase activity by 15.99% and 16.01%, 18.41% and 18.54%, 63.54% and 31.16%, and 5.09% and 7.68%, respectively. Despite genotypic differences, both followed a shared regulatory logic of “low-temperature signal-driven—antioxidant redirection—functional synergy.” This enabled ROS scavenging, redox balance, and antioxidant barrier formation, ensuring basal metabolism and radicle development. Full article
(This article belongs to the Section Plant Genetics, Genomics and Biotechnology)
Show Figures

Figure 1

Back to TopTop