Sign in to use this feature.

Years

Between: -

Subjects

remove_circle_outline
remove_circle_outline
remove_circle_outline
remove_circle_outline
remove_circle_outline
remove_circle_outline
remove_circle_outline

Journals

Article Types

Countries / Regions

Search Results (124)

Search Parameters:
Keywords = porcine intestinal model

Order results
Result details
Results per page
Select all
Export citation of selected articles as:
21 pages, 1492 KB  
Article
Intestinal Tissue Damage Reduction After Distal Perfusion for Aortic Arch Surgery in a Neonatal Porcine Model
by Kristin Klaeske, Sabine Meier, Jana Lammers, Susann Ossmann, Mia Bovet, Michael A. Borger, Maja-Theresa Dieterlen, Martin Kostelka and Marcel Vollroth
Biomedicines 2026, 14(2), 355; https://doi.org/10.3390/biomedicines14020355 - 3 Feb 2026
Abstract
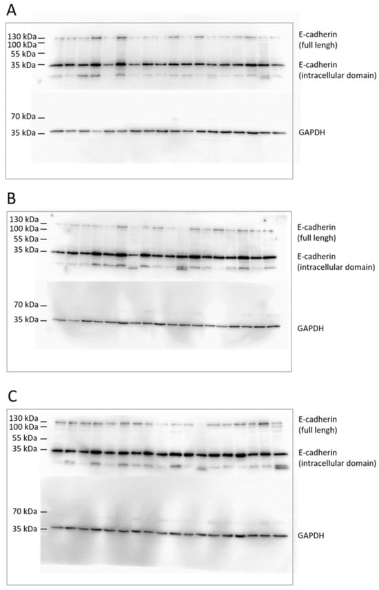
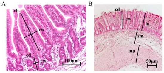
Background: Aortic arch reconstruction in neonates is often challenging, owning its surgical complexity and postoperative complication risk. To assess intestinal damage, we compared selective anterograde cerebral perfusion (SACP) and SACP with additional distal perfusion (SACP + DP) used in aortic arch surgery [...] Read more.
Background: Aortic arch reconstruction in neonates is often challenging, owning its surgical complexity and postoperative complication risk. To assess intestinal damage, we compared selective anterograde cerebral perfusion (SACP) and SACP with additional distal perfusion (SACP + DP) used in aortic arch surgery in a neonatal piglet model. Methods: Piglets underwent cardiac arrest for 60 min with SACP (n = 9) or SACP + DP (n = 9), followed by a 120 min recovery. Hemodynamic parameters, blood gases and electrolytes were monitored. Biopsies of the small intestine and colon were analyzed for histopathological changes, intestinal barrier function, and oxidative stress. Results: Hemodynamic measurements and electrolyte concentrations were comparable between SACP and SACP + DP (p > 0.05), except for potassium levels during cardiac arrest (p = 0.03). Blood lactate (p < 0.01) and pH (p < 0.01) were higher in the SACP group during cardiac arrest. Morphometric analysis of the intestinal tissue revealed longer crypts (p = 0.02) and a thicker mucosal layer (p = 0.05) of colonic structures in the SACP group. Compared to SACP, the mRNA expression of cytoprotective Parkinson’s disease protein DJ-1 (p = 0.02) and hypoxia-inducible nuclear factor erythroid 2-related factor 2 (p = 0.04) were higher in the small intestine of the SACP + DP group. The marker of epithelial barrier function, E-cadherin, showed lower mRNA expression in the colon of the SACP + DP group (p = 0.02). Conclusions: Our study results showed that SACP + DP revealed less intestinal tissue damage and loss of structural integrity, as well as an upregulation of cytoprotective molecules and anti-oxidative stress mechanisms. Therefore, SACP + DP is a reliable procedure in our model for aortic arch surgery that can contribute to better postoperative outcomes by reducing intestinal damage. Full article
(This article belongs to the Section Molecular and Translational Medicine)
Show Figures

Figure 1

17 pages, 4848 KB  
Article
Effects of Bovine Milk-Derived Extracellular Vesicles on a 3D Intestinal Stromal Compartment
by Georgia Pennarossa, Sharon Arcuri, Madhusha Prasadani, Fulvio Gandolfi, Alireza Fazeli and Tiziana A. L. Brevini
Cells 2026, 15(3), 242; https://doi.org/10.3390/cells15030242 - 27 Jan 2026
Viewed by 366
Abstract
Milk is an essential component of the diet. Among its diverse molecular constituents, it contains nanoscale entities, known as extracellular vesicles (EVs), which play a pivotal role in intercellular communication. In particular, milk-derived EVs (MEVs) influence intestinal homeostasis by mitigating inflammatory responses, modulating [...] Read more.
Milk is an essential component of the diet. Among its diverse molecular constituents, it contains nanoscale entities, known as extracellular vesicles (EVs), which play a pivotal role in intercellular communication. In particular, milk-derived EVs (MEVs) influence intestinal homeostasis by mitigating inflammatory responses, modulating gut microbiota composition, and contributing to epithelial integrity preservation and restoration. Currently, there are no information regarding their impact on intestinal connective tissue. Here, we investigate bovine MEV effects on the porcine gut stromal compartment, exposing intestinal decellularized bio-scaffolds repopulated with primary intestinal stromal fibroblasts, to different MEV concentrations (106, 108, and 1010 particles/mL). We observed a dose-dependent effect of MEVs on stromal fibroblast proliferation rate at concentrations higher than 106 particles/mL. In addition, when MEVs were used to pre-condition the decellularized intestinal bio-scaffolds prior to cell repopulation, fibroblast growth was further boosted. Overall, these findings suggest that MEVs may play a significant role in promoting tissue remodeling and repair. This activity appears particularly relevant for enhancing intestinal homeostasis and resilience, as stromal fibroblasts contribute to the maintenance of gut integrity, barrier function, and immune balance. Moreover, the data here presented suggests the possibility of using MEVs to develop serum-free, chemically defined culture media for the generation of advanced three-dimensional (3D) models and intestinal artificial organs. Full article
(This article belongs to the Section Tissues and Organs)
Show Figures

Figure 1

20 pages, 825 KB  
Article
A Probiotic Bacillus velezensis Consortium Exhibits Superior Efficacy over Two Alternative Probiotics in Suppressing Swine Pathogens and Modulating Intestinal Barrier Function and Immune Responses In Vitro
by Josh Walker, Katrine Bie Larsen, Steffen Yde Bak, Niels Cristensen, Nicolas Chubbs, Weiqing Zeng, Adrian Schwarzenberg and Chong Shen
Microorganisms 2026, 14(1), 249; https://doi.org/10.3390/microorganisms14010249 - 21 Jan 2026
Viewed by 174
Abstract
Despite increasing interest in probiotics as antibiotic alternatives in swine production, few studies have directly compared the functional efficacy of different commercial probiotic formulations under controlled conditions. We conducted an in vitro study using porcine intestinal epithelial (IPEC-J2) and macrophage-like (3D4/21) cell models [...] Read more.
Despite increasing interest in probiotics as antibiotic alternatives in swine production, few studies have directly compared the functional efficacy of different commercial probiotic formulations under controlled conditions. We conducted an in vitro study using porcine intestinal epithelial (IPEC-J2) and macrophage-like (3D4/21) cell models to compare the efficacy of three commercial probiotic consortia (C1: three strains of Bacillus velezensis; C2: B. licheniformis + B. subtilis; C3: Clostridium butyricum). Treatments were evaluated for their ability to inhibit pathogenic Escherichia coli, Clostridium perfringens, and Salmonella spp., enhance epithelial barrier integrity, and modulate immune responses. Experimental endpoints included pathogen inhibition assays, adhesion to IPEC-J2 cells, transepithelial electrical resistance (TEER), tight junction protein expression, and cytokine profiling via RT-qPCR and proteomics. Data were analyzed using the Kruskal–Wallis test with false discovery rate (FDR) control at 5%. C1 cell-free supernatant (CFS) strongly inhibited pathogen growth (84.8 ± 5.3% inhibition of ETEC F4+F18 vs. medium control; p < 0.05), whereas C2 had no effect, and C3 inhibited only one isolate. The coculture of IPEC-J2 cells with C1 CFS increased the expression of TJ proteins ZO-1, MUC13, and MUC20 (+12.9–46.6% vs. control; p < 0.001) and anti-inflammatory TGF-β; reduced pro-inflammatory IL-6 in LPS-stimulated 3D4/21 cells. In comparison, C2 and C3 showed minimal impact on epithelial barrier integrity and immune modulation, as indicated by negligible changes in TEER values, tight junction protein expression (ZO-1, MUC13, MUC20), and cytokine profiles relative to the control. In conclusion, C1 demonstrated greater in vitro efficacy than C2 (B. licheniformis + B. subtilis) and C3 (Clostridium butyricum), including pathogen inhibition assays, epithelial adhesion, TEER measurements, and cytokine modulation, suggesting its potential as a leading candidate for functional probiotic applications. Full article
(This article belongs to the Special Issue The Role of Probiotics in Animal Health)
Show Figures

Figure 1

15 pages, 2775 KB  
Article
Transcriptome-Wide Identification and Analysis Reveals m6A Regulation of Porcine Intestinal Epithelial Cells Under TGEV Infection
by Ying Liu, Gang Zhou, Guolian Wang and Zhengchang Wu
Vet. Sci. 2026, 13(1), 10; https://doi.org/10.3390/vetsci13010010 - 21 Dec 2025
Viewed by 380
Abstract
Transmissible gastroenteritis virus (TGEV) represents a critical intestinal pathogen responsible for acute enteritis in pigs, posing significant challenges to global swine production biosecurity. N6-methyladenosine (m6A), the most abundant epitranscriptomic mark in eukaryotic messenger RNA, has emerged as a regulatory [...] Read more.
Transmissible gastroenteritis virus (TGEV) represents a critical intestinal pathogen responsible for acute enteritis in pigs, posing significant challenges to global swine production biosecurity. N6-methyladenosine (m6A), the most abundant epitranscriptomic mark in eukaryotic messenger RNA, has emerged as a regulatory factor in host–virus interactions. Despite its recognized importance, the functional significance of m6A modifications during TGEV infection of porcine jejunal epithelial (IPEC-J2) cells remains unexplored. Here, we established a TGEV-infected IPEC-J2 cell model and we employed methylated RNA immunoprecipitation sequencing (MeRIP-seq) to comprehensively profile the m6A epitranscriptomic landscape and identify N6-methyladenosine-bearing transcripts in IPEC-J2 cells following TGEV challenge. A total of 14,813 m6A peaks were identified in the IPEC-J2, distributed in 7728 genes, mainly enriched in the CDS and 3′-UTRs. After TGEV infection, we identified 832 m6A peaks and 1660 genes with significant changes. Integrative analysis revealed a direct positive relationship between N6-methyladenosine modification abundance and transcript expression levels. Through integrated examination of MeRIP-Seq and RNA-Seq datasets, we identified 105 transcripts bearing m6A modifications, which were mainly enriched in the mTOR signaling pathway. Protein–protein interaction (PPI) network and RT-qPCR analysis demonstrated that SOS2 probably acts an important moderator in TGEV infection. This work contributes to understanding the m6A modification landscape in the TGEV-swine model and suggests SOS2 as potential target for future antiviral strategies. Full article
(This article belongs to the Special Issue Emerging Viral Pathogens in Domestic and Wild Animals)
Show Figures

Figure 1

20 pages, 1558 KB  
Review
Swine-Derived Probiotics and Their Metabolites as an Alternative to Veterinary Antibiotics
by Mengshi Zhao, Bihong Chen, Song Peng, Guiheng Mei, Meiqin Li, Fengqiang Lin, Tiecheng Sun and Zhaolong Li
Vet. Sci. 2025, 12(11), 1100; https://doi.org/10.3390/vetsci12111100 - 18 Nov 2025
Viewed by 1083
Abstract
The intensive development of livestock and poultry farming has heavily relied on antibiotics, leading to widespread antimicrobial resistance and posing serious threats to food safety and public health. As the industry transitions towards reduced antibiotic use and sustainable animal production, probiotics and their [...] Read more.
The intensive development of livestock and poultry farming has heavily relied on antibiotics, leading to widespread antimicrobial resistance and posing serious threats to food safety and public health. As the industry transitions towards reduced antibiotic use and sustainable animal production, probiotics and their metabolites have garnered attention as functional alternatives. Probiotics are typically administered in the form of microecological preparations by mixing them into feed or water, offering advantages in cost-effectiveness and ease of use, with demonstrated efficacy in promoting animal health. Swine-derived probiotics, in particular, demonstrate host-specific advantages due to their natural adaptation to the porcine gastrointestinal environment, which improves intestinal colonization, pathogen inhibition, and immune modulation. Their metabolites, including short-chain fatty acids, bacteriocins, and exopolysaccharides, further contribute to these benefits through antimicrobial, anti-inflammatory, and barrier-strengthening effects. Recent studies have demonstrated improvements in average daily gain (18–22%) and feed conversion ratio (12–15%), along with a reduction in diarrhea incidence (up to 40–45%) in weaned piglets supplemented with certain probiotic consortia. It should be noted, however, that part of the supporting evidence is derived from in vitro or non-porcine models, and practical outcomes in swine may vary depending on husbandry conditions, probiotic strain, and husbandry conditions. This review systematically summarizes the isolation and identification of swine-derived probiotics, the active components and functions of their metabolites, and the mechanisms of action and application effects of these metabolites as antibiotic-alternative feed additives. It primarily focuses on innovative research advances in probiotic metabolites for enhancing antibacterial activity and improving pig growth performance. Furthermore, the review discusses the prospects for commercial applications and future research directions, aiming to provide theoretical foundations and technical references for green and healthy farming practices. Full article
Show Figures

Figure 1

12 pages, 2612 KB  
Article
A Novel Liposomal Palmitoylethanolamide (PEA) with Enhanced Gastrointestinal Permeating Properties
by Giada Ceccarelli, Chiara Pennetta, Francesco Montalbano, Mariano Licciardi, Valentina Melfi and Rossana G. Iannitti
Nutraceuticals 2025, 5(4), 34; https://doi.org/10.3390/nutraceuticals5040034 - 20 Oct 2025
Viewed by 2029
Abstract
Palmitoylethanolamide (PEA) is a naturally occurring fatty acid amide and an endocannabinoid-related lipid that has been extensively studied for its analgesic, immunomodulatory, antimicrobial, and anti-inflammatory properties. It has demonstrated efficacy in various applications and is currently utilized as a nutraceutical for its antinociceptive, [...] Read more.
Palmitoylethanolamide (PEA) is a naturally occurring fatty acid amide and an endocannabinoid-related lipid that has been extensively studied for its analgesic, immunomodulatory, antimicrobial, and anti-inflammatory properties. It has demonstrated efficacy in various applications and is currently utilized as a nutraceutical for its antinociceptive, neuroprotective, and immunomodulatory effects, particularly in supporting brain and joint health and in mitigating inflammatory processes. Background/Objectives: Despite its significant therapeutic potential, the clinical effectiveness of PEA is limited by its poor water solubility and, consequently, low oral bioavailability. Additionally, degradation in the acidic gastrointestinal environment further compromises its absorption. To address these challenges, several technological strategies have been explored to improve its pharmacokinetic profile, including conventional micronization and ultra-micronization techniques. The objective of this study was to characterize a novel liposomal formulation based on PEA and evaluate its intestinal permeation and absorption. Methods: Comparative permeation studies of PEA were conducted using ex vivo models to evaluate its absorption characteristics across gastrointestinal mucosae. The experiments were performed in a Franz diffusion cell system using a porcine colon mucosa in two physiologically relevant media: Simulated Gastric Fluid (SGF) and Fasted State Simulated Intestinal Fluid (FaSSIF). Results: Liposomal PEA showed a more efficient and continuous release over time, reaching higher concentrations of PEA permeated through the membrane. Conclusions: Our findings demonstrate a significant improvement in PEA’s permeability and absorption in an ex vivo simulated gastrointestinal environment. Liposomal PEA appears to be more affine to biological membranes. These results suggest that liposomal PEA may represent a promising therapeutic strategy for managing chronic pain and inflammatory conditions such as chronic pelvic pain. Full article
(This article belongs to the Special Issue New Insights into Nano Nutraceuticals)
Show Figures

Figure 1

13 pages, 1734 KB  
Article
Chimeric Fimbrial Multiepitope Antigen Fused to Double-Mutant LT (dmLT) Induces Antibodies That Inhibit Enterotoxigenic E. coli Adhesion in Porcine IPEC-J2 Cells
by Jinxin He, Hongrui Liu, Yuexin Li, Jiashu Chang, Yayun Yang and Shaopeng Gu
Animals 2025, 15(19), 2858; https://doi.org/10.3390/ani15192858 - 30 Sep 2025
Viewed by 583
Abstract
This study focused on utilizing the double-mutant heat-labile toxin (R192G/L211A) (dmLT) as a backbone protein, into which neutralizing epitopes of ETEC (FaeG, FedF, FanC, FasA, and Fim41a) were embedded. A combination of computational modeling and immunogenicity analysis was conducted to evaluate the dmLT [...] Read more.
This study focused on utilizing the double-mutant heat-labile toxin (R192G/L211A) (dmLT) as a backbone protein, into which neutralizing epitopes of ETEC (FaeG, FedF, FanC, FasA, and Fim41a) were embedded. A combination of computational modeling and immunogenicity analysis was conducted to evaluate the dmLT(R192G/L211A) multiepitope fusion antigen (MEFA). Both the computational modeling and experimental results confirmed that all relevant epitopes were clearly exposed on the surface of the MEFA. Subcutaneous immunizations of rabbits with the MEFA protein yielded the development of IgG antibodies that targeted all five fimbriae. Furthermore, these antibodies demonstrated significant inhibition of adhesion for K88+, K99+, 987P+, F18+, and F41+ ETEC strains to porcine small intestinal epithelial cell line IPEC-J2 cells. These results indicated that the dmLT toxoid-based MEFA protein effectively elicits high-titer, functional antibodies capable of neutralizing the attachment of multiple prevalent ETEC fimbrial types, highlighting its potential as a broad-spectrum vaccine candidate. Consequently, it shows promising potential as a broad and effective vaccine against ETEC. Full article
(This article belongs to the Section Pigs)
Show Figures

Figure 1

24 pages, 7021 KB  
Article
Goblet Cells and Mucus Composition in Jejunum and Ileum Containing Peyer’s Patches and in Colon: A Study in Pigs
by Vladimir Ginoski, José Luis Cortés Sánchez, Stefan Kahlert, Johannes Schulze Holthausen, Łukasz Grześkowiak, Jürgen Zentek and Hermann-Josef Rothkötter
Animals 2025, 15(19), 2852; https://doi.org/10.3390/ani15192852 - 29 Sep 2025
Viewed by 3638
Abstract
The intestinal mucus layer is a dynamic protective barrier that maintains gut homeostasis, supports immune defense, and regulates host–microbiota interactions. Rodent models have yielded valuable insights, but their intestinal structure and physiology differ from those of humans and pigs. By contrast, the omnivorous [...] Read more.
The intestinal mucus layer is a dynamic protective barrier that maintains gut homeostasis, supports immune defense, and regulates host–microbiota interactions. Rodent models have yielded valuable insights, but their intestinal structure and physiology differ from those of humans and pigs. By contrast, the omnivorous pig shares closer anatomical and immunological features with humans, making it a relevant large-animal model in translational studies. In this study, we established a histological workflow for porcine intestine by combining Carnoy’s fixation with Alcian Blue–Periodic Acid–Schiff and Mucicarmine staining. This enabled accurate visualization and quantification of goblet-cell density and mucus thickness across intestinal segments, with a particular focus on Peyer’s patches—key sites of immune surveillance. Both stains produced consistent results. We observed a clear proximal-to-distal gradient, from jejunum to colon, in mucus thickness: the colon displayed the thickest layer (~100 μm), whereas the follicle-associated epithelium over Peyer’s patches in the jejunum and ileum showed a markedly thinner layer (<12 μm) and fewer goblet cells. Immunofluorescence further revealed strong cytokeratin-18 expression in goblet cells, delineating their morphology and polarity. These findings demonstrate region-specific differences in mucus architecture and goblet-cell distribution that likely reflect specialized immune functions, advancing our understanding of the intestinal barrier and informing future strategies to support gut health and immunity. Full article
(This article belongs to the Section Pigs)
Show Figures

Figure 1

15 pages, 10820 KB  
Article
Wnt/β-Catenin Pathway Activation Confers Fumonisin B1 Tolerance in Chicken Intestinal Organoid Monolayers by Enhancing Intestinal Stem Cell Function
by Shuai Zhang, Yanan Cao, Yiyi Shan, Xueli Zhang, Liangxing Xia, Haifei Wang, Shenglong Wu and Wenbin Bao
Animals 2025, 15(19), 2850; https://doi.org/10.3390/ani15192850 - 29 Sep 2025
Viewed by 908
Abstract
Fumonisin B1 (FB1) is a prevalent mycotoxin in moldy grains and feeds, highly toxic to livestock and compromising product quality while threatening food safety. Poultry exhibit low susceptibility to FB1, but the underlying tolerance mechanisms remain unclear. Traditional 3D chicken intestinal organoid models [...] Read more.
Fumonisin B1 (FB1) is a prevalent mycotoxin in moldy grains and feeds, highly toxic to livestock and compromising product quality while threatening food safety. Poultry exhibit low susceptibility to FB1, but the underlying tolerance mechanisms remain unclear. Traditional 3D chicken intestinal organoid models cannot simulate direct interaction between the epithelial monolayer and FB1, limiting the study of FB1–chicken intestinal crosstalk. Here, we established a 2D chicken intestinal organoid monolayer model, derived from intestinal crypts of 18-day-old specific pathogen-free chicken embryos, to systematically explore poultry’s resistance mechanisms against FB1. Using this model, we compared FB1-induced effects with those in a porcine intestinal epithelial cell model. Results showed that FB1 exposure did not reduce transepithelial electrical resistance, induce abnormal expression of tight junction genes, or cause significant fluctuations in inflammatory factor levels in chicken intestinal organoid monolayers. Mechanistically, FB1 enhances chicken intestinal stem cell function by activating the Wnt/β-catenin pathway, thereby promoting epithelial regeneration and renewal to increase FB1 resistance and decrease toxin sensitivity in chickens. This study reveals a strategy for enhancing FB1 tolerance in poultry by promoting intestinal stem cell function, providing a new perspective for developing mycotoxin prevention and control strategies. Full article
(This article belongs to the Section Poultry)
Show Figures

Figure 1

14 pages, 2068 KB  
Article
Integrative Analysis of Metabolome and Transcriptome Identifies the Role of γ-Glutamylcysteine in Mitigating Deoxynivalenol-Induced Toxicity
by Xiaocheng Bao, Xiaolei Chen, Shuai Chen, Ming-An Sun and Hairui Fan
Toxins 2025, 17(9), 457; https://doi.org/10.3390/toxins17090457 - 12 Sep 2025
Viewed by 822
Abstract
Deoxynivalenol (DON), a prevalent environmental toxin produced by Fusarium fungi, frequently contaminates feed and food products. However, the critical metabolites and regulatory factors involved in DON toxicity remain poorly understood. Building upon our established DON-induced porcine intestinal epithelial cells (IPEC-J2) injury model, this [...] Read more.
Deoxynivalenol (DON), a prevalent environmental toxin produced by Fusarium fungi, frequently contaminates feed and food products. However, the critical metabolites and regulatory factors involved in DON toxicity remain poorly understood. Building upon our established DON-induced porcine intestinal epithelial cells (IPEC-J2) injury model, this study employed liquid chromatography-tandem mass spectrometry (LC-MS/MS) to conduct metabolomic analysis, and integrated analysis with transcriptomic data from DON-exposed IPEC-J2. Results identified 1524 differentially expressed metabolites, and revealed significant enrichment in Glutathione metabolism and Mucin-type O-glycan biosyn-thesis pathways. Notably, γ-glutamylcysteine (γGC), the rate-limiting precursor for glutathione synthesis, showed significant reduction following DON exposure. To explore the biological function of γGC, this study found through exogenous supplementation experiments that γGC pretreatment could significantly alleviate the inhibition of IPEC-J2 cell viability, effectively reduce intracellular ROS accumulation and inhibit DON-induced apoptosis in IPEC-J2 cells. These results indicated that the severe oxidative stress induced by DON is closely related to the blockage of glutathione synthesis caused by the exhaustion of intracellular γGC, and revealed the application potential of γGC as an exogenous supplement in the prevention and treatment of DON exposure. In conclusion, this study offers valuable insights into the metabolic and transcriptional alterations, along with the key metabolites and regulators involved in the cellular response to DON pollution. It also lays a theoretical foundation for more effective prevention and treatment strategies against DON pollution. Full article
(This article belongs to the Special Issue Alleviation of Mycotoxin-Induced Toxicity)
Show Figures

Figure 1

19 pages, 6160 KB  
Article
Modeling Sepsis: Establishment and Validation of a 72-Hour Swine Model of Penetrating Abdominal Trauma
by Catharina Gaeth, Travis R. Madaris, Jamila Duarte, Alvaro Rodriguez, Matthew D. Wegner, Amber Powers and Randolph Stone
Medicina 2025, 61(9), 1523; https://doi.org/10.3390/medicina61091523 - 25 Aug 2025
Cited by 1 | Viewed by 1420
Abstract
Background/Objectives: Fecal peritonitis following penetrating abdominal trauma is a serious condition that often results in sepsis and organ failure. The aim of our study was to develop a novel conscious porcine model of sepsis and organ dysfunction caused by multiple penetrating injuries to [...] Read more.
Background/Objectives: Fecal peritonitis following penetrating abdominal trauma is a serious condition that often results in sepsis and organ failure. The aim of our study was to develop a novel conscious porcine model of sepsis and organ dysfunction caused by multiple penetrating injuries to the small and large intestines. Methods: Twelve female Yorkshire pigs (average weight 50.6 ± 6.5 kg) were divided into two groups: Penetrating Abdominal Trauma (PAT) (n = 8) and Control (n = 4). All surgical procedures were performed under anesthesia with adequate analgesia. In the PAT group, the small and large intestines were punctured, and feces mixed with saline were introduced into the abdominal cavity to induce peritonitis. The Control group received sham surgery with only saline solution. The animals were observed in a conscious state over a period of 72 h, vital parameters were recorded, and blood samples were taken regularly. We adapted a pig-specific SOFA score and developed pig-specific SIRS criteria and NEWS2 score to assess organ function. The model was validated by independent investigators. Results: The survival rate in the PAT group was 75%, with an average survival time of 58.5 h, while all animals in the Control group survived to euthanasia. Monitoring showed pathophysiological changes, such as tachycardia, leucopenia, and thrombocytopenia, indicative of sepsis and organ dysfunction. Blinded investigators independently confirmed the model’s validity. Conclusions: A new swine model of penetrating abdominal trauma and sepsis has been successfully developed that demonstrates significant physiological and immunologic changes comparable to human sepsis. This new model provides a realistic platform for future research into sepsis, its diagnostics, and the evaluation of therapeutic strategies. Full article
(This article belongs to the Section Translational Medicine)
Show Figures

Figure 1

23 pages, 4589 KB  
Article
Curcumin and Selenium Synergistically Alleviate Oxidative Stress in IPEC-J2 Cells and ICR Mice
by Yu Zheng, Jiali Liu, Junxin Li, Bohan Zheng, Qinjin Li, Xiaohong Huang and Zhaoyan Lin
Biology 2025, 14(9), 1117; https://doi.org/10.3390/biology14091117 - 23 Aug 2025
Cited by 1 | Viewed by 1146
Abstract
Oxidative stress is closely associated with diarrhea in piglets, and alleviating intestinal oxidative stress may emerge as an effective strategy for porcine diarrhea. Curcumin (Cur) and selenium (Se) are both well recognized for their potent antioxidant effects. This study established in vitro (IPEC-J2 [...] Read more.
Oxidative stress is closely associated with diarrhea in piglets, and alleviating intestinal oxidative stress may emerge as an effective strategy for porcine diarrhea. Curcumin (Cur) and selenium (Se) are both well recognized for their potent antioxidant effects. This study established in vitro (IPEC-J2 cells) and in vivo (ICR mice) intestinal oxidative stress models to investigate the effects and mechanisms of Cur combined with Se in alleviating oxidative stress. The results showed that Cur and Se exhibited synergistic antioxidant effects in vitro, outperforming individual treatments. Additionally, pretreatment with Cur and Se significantly attenuated dextran sulfate sodium (DSS)-induced colitis in ICR mice and improved serum antioxidant indices. Specifically, the mRNA levels of Nrf2, HO-1, and NQO-1 were upregulated, while the mRNA levels of NF-κB, IL-1β, and TNF-α were downregulated in colonic tissues. Finally, the 16S rRNA sequencing showed that DSS reduced alpha diversity and increased Simpson indices, while Cur and Se restored diversity indices and normalized beta diversity. To summarize, Cur and Se synergistically alleviate oxidative stress in IPEC-J2 cells and ICR mice, demonstrating therapeutic potential for intestinal disorders in pigs. Full article
(This article belongs to the Section Physiology)
Show Figures

Figure 1

17 pages, 2436 KB  
Article
Integrated Cytotoxicity and Metabolomics Analysis Reveals Cell-Type-Specific Responses to Co-Exposure of T-2 and HT-2 Toxins
by Weihua He, Zuoyin Zhu, Jingru Xu, Chengbao Huang, Jianhua Wang, Qinggong Wang, Xiaohu Zhai and Junhua Yang
Toxins 2025, 17(8), 381; https://doi.org/10.3390/toxins17080381 - 30 Jul 2025
Viewed by 1291
Abstract
T-2 toxin and HT-2 toxin are commonly found in agricultural products and animal feed, posing serious effects to both humans and animals. This study employed combination index (CI) modeling and metabolomics to assess the combined cytotoxic effects of T-2 and HT-2 on four [...] Read more.
T-2 toxin and HT-2 toxin are commonly found in agricultural products and animal feed, posing serious effects to both humans and animals. This study employed combination index (CI) modeling and metabolomics to assess the combined cytotoxic effects of T-2 and HT-2 on four porcine cell types: intestinal porcine epithelial cells (IPEC-J2), porcine Leydig cells (PLCs), porcine ear fibroblasts (PEFs), and porcine hepatocytes (PHs). Cell viability assays revealed a dose-dependent reduction in viability across all cell lines, with relative sensitivities in the order: IPEC-J2 > PLCs > PEFs > PHs. Synergistic cytotoxicity was observed at low concentrations, while antagonistic interactions emerged at higher doses. Untargeted metabolomic profiling identified consistent and significant metabolic perturbations in four different porcine cell lines under co-exposure conditions. Notably, combined treatment with T-2 and HT-2 resulted in a uniform downregulation of LysoPC (22:6), LysoPC (20:5), and LysoPC (20:4), implicating disruption of membrane phospholipid integrity. Additionally, glycerophospholipid metabolism was the most significantly affected pathway across all cell lines. Ether lipid metabolism was markedly altered in PLCs and PEFs, whereas PHs displayed a unique metabolic response characterized by dysregulation of tryptophan metabolism. This study identified markers of synergistic toxicity and common alterations in metabolic pathways across four homologous porcine cell types under the combined exposure to T-2 and HT-2 toxins. These findings enhance the current understanding of the molecular mechanisms underlying mycotoxin-induced the synergistic toxicity. Full article
Show Figures

Graphical abstract

9 pages, 581 KB  
Communication
Porcine Small Intestinal Submucosa Extracellular Matrix: A Meta-Analysis of Composition, Processing Techniques, and Biomedical Applications
by Tamas Toth, Radu-Alexandru Prisca, Noemi Ballo, Ana-Maria Prisca, Emoke Andrea Szasz and Angela Borda
Int. J. Mol. Sci. 2025, 26(13), 6276; https://doi.org/10.3390/ijms26136276 - 29 Jun 2025
Viewed by 1830
Abstract
Porcine small intestinal submucosa (SIS) extracellular matrix (ECM) has emerged as a widely researched biological scaffold in regenerative medicine. This meta-analysis examines 205 peer-reviewed studies published from 1993 to 2025, emphasizing the biochemical composition, decellularization techniques, biomedical applications, and validation methods associated with [...] Read more.
Porcine small intestinal submucosa (SIS) extracellular matrix (ECM) has emerged as a widely researched biological scaffold in regenerative medicine. This meta-analysis examines 205 peer-reviewed studies published from 1993 to 2025, emphasizing the biochemical composition, decellularization techniques, biomedical applications, and validation methods associated with SIS-ECM. Findings reveal a dominant focus on wound healing and cardiovascular repair, reflecting the scaffold’s mechanical adaptability and bioactivity. Research has evolved from basic compositional analyses to complex, application-specific investigations that incorporate in vivo models and functional outcome measures. Decellularization methods vary significantly, trending toward hybrid, multi-step protocols that preserve ECM integrity while ensuring cellular clearance. While the results are encouraging, a notable transparency issue persists, with only a third of studies providing full methodological details, which restricts reproducibility. Frequently utilized validation methods encompass mechanical testing, histology, DNA quantification, and growth factor retention. This review emphasizes the critical requirement for standardized guidelines in preparation and reporting to guarantee the safe and effective clinical application of SIS-ECM. Through continuous refinement and collaboration among various disciplines, SIS-ECM has the potential to serve as a next-generation scaffold for a range of regenerative uses. Full article
(This article belongs to the Section Molecular Pathology, Diagnostics, and Therapeutics)
Show Figures

Figure 1

17 pages, 4187 KB  
Article
Lactobacillus fermentum ZC529 Protects Intestinal Epithelial Barrier Integrity by Activating the Keap1-Nrf2 Signaling Pathway and Inhibiting the NF-κB Signaling Pathway
by Zian Yuan, Lang Huang, Zhenguo Hu, Junhao Deng, Yehui Duan, Qian Jiang, Bi’e Tan, Xiaokang Ma, Chen Zhang and Xiongzhuo Tang
Antioxidants 2025, 14(6), 732; https://doi.org/10.3390/antiox14060732 - 14 Jun 2025
Cited by 2 | Viewed by 1184
Abstract
The probiotic bacteria Lactobacillus fermentum ZC529 (L.f ZC529) has been identified from the colon of the Diannan small-ear (DSE) pig, but its intestinal protective function still lacks investigation. Here, we established a dextran sodium sulfate (DSS)-induced intestinal oxidative stress model in both [...] Read more.
The probiotic bacteria Lactobacillus fermentum ZC529 (L.f ZC529) has been identified from the colon of the Diannan small-ear (DSE) pig, but its intestinal protective function still lacks investigation. Here, we established a dextran sodium sulfate (DSS)-induced intestinal oxidative stress model in both Drosophila and porcine small intestinal epithelial (IPEC-J2) cell lines to explore the anti-oxidative and anti-inflammatory effects of L.f ZC529. The data showed that the intestinal colonization of L.f ZC529 counteracted DSS-induced intestinal oxidative stress and excessive reactive oxygen species (ROS) generation by activation of the CncC pathway, a homology of the nuclear factor erythroid 2-related factor 2 (Nrf2) in mammalian systems. Moreover, L.f ZC529 supplementation prevented flies from DSS-induced intestinal barrier damage, inflammation, abnormal excretory function, and shortened lifespan. Finally, L.f ZC529 also attenuated DSS-induced intestinal injury in the IPEC-J2 cell line by activating the Keap1-Nrf2 signaling and inhibiting the NF-κB signaling pathways. Together, this study unraveled the profound intestinal protective function of L.f ZC529 and provides its potential application as a new antioxidant in improving animal intestinal health as well as in developing a new probiotic in the food industry. Full article
(This article belongs to the Special Issue Natural Antioxidants in Animal Nutrition)
Show Figures

Figure 1

Back to TopTop