Modeling Sepsis: Establishment and Validation of a 72-Hour Swine Model of Penetrating Abdominal Trauma
Abstract
1. Introduction
2. Materials and Methods
2.1. Animals
2.2. Anesthesia and Analgesics
2.3. Surgical Instrumentation
2.4. Abdominal Injury and Fecal Peritonitis
2.5. Establishment of SIRS Criteria for Yorkshire Pigs
2.6. Sequential Organ Failure Assessment (SOFA) Score for Yorkshire Pig
2.7. National Early Warning Score 2 (NEWS2) for Yorkshire Pigs
2.8. Blood Work, Pathology, and Imaging
2.9. Penetrating Abdominal Trauma Model Validation
2.10. Statistical Analysis
3. Results
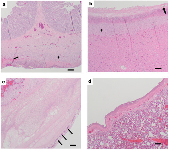
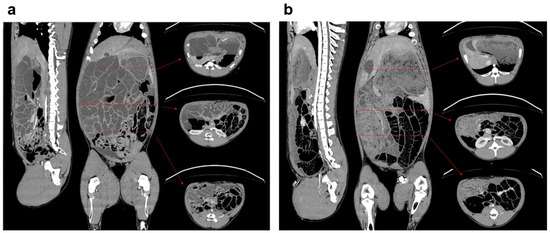
3.1. General Model Characteristics and Pathology
3.2. Diagnostic Scoring
3.2.1. SIRS Parameters
3.2.2. SOFA Parameters
3.2.3. Comparison of Diagnostic Scoring
3.3. Blood Biochemistry Laboratory and Protein Results
3.4. Model Validation
4. Discussion
4.1. Model Establishment and Validation
4.2. Organ Dysfunction, Biochemical and Immune Responses
4.3. Comparison to Other Animal Models
4.4. Diagnostic Scoring Systems
4.5. Limitations of This Study
5. Conclusions
Supplementary Materials
Author Contributions
Funding
Institutional Review Board Statement
Informed Consent Statement
Data Availability Statement
Acknowledgments
Conflicts of Interest
Abbreviations
| AST | Aspartate Transaminase |
| BP | Blood Pressure |
| bpm | Breaths per Minute |
| BUN | Blood Urea Nitrogen |
| CT | Computed Tomography |
| DSI | Data Sciences International |
| HR | Heart Rate |
| IL | Interleukin |
| IM | Intramuscular |
| MAP | Mean Arterial Pressure |
| NEWS | National Early Warning Score |
| PAT | Penetrating Abdominal Trauma |
| SIRS | Systemic Inflammatory Response Syndrome |
| SNORT | Swine Neurological Observed Response Test |
| SOFA | Sequential Organ Failure Assessment |
| WBC | White Blood Cell |
References
- Gumeniuk, K.; Lurin, I.A.; Tsema, I.; Malynovska, L.; Gorobeiko, M.; Dinets, A. Gunshot injury to the colon by expanding bullets in combat patients wounded in hybrid period of the Russian-Ukrainian war during 2014–2020. BMC Surg. 2023, 23, 23. [Google Scholar] [CrossRef] [PubMed]
- Glasgow, S.C.; Steele, S.R.; Duncan, J.E.; Rasmussen, T.E. Epidemiology of modern battlefield colorectal trauma: A review of 977 coalition casualties. J. Trauma Acute Care Surg. 2012, 73 (Suppl. S5), S503–S508. [Google Scholar] [CrossRef] [PubMed]
- Watson, J.D.; Aden, J.K.; Engel, J.E.; Rasmussen, T.E.; Glasgow, S.C. Risk factors for colostomy in military colorectal trauma: A review of 867 patients. Surgery 2014, 155, 1052–1061. [Google Scholar] [CrossRef] [PubMed]
- Cardi, M.; Ibrahim, K.; Alizai, S.W.; Mohammad, H.; Garatti, M.; Rainone, A.; Di Marzo, F.; La Torre, G.; Paschetto, M.; Carbonari, L.; et al. Injury patterns and causes of death in 953 patients with penetrating abdominal war wounds in a civilian independent non-governmental organization hospital in Lashkargah, Afghanistan. World J. Emerg. Surg. 2019, 14, 51. [Google Scholar] [CrossRef]
- Stockinger, Z.T.; Turner, C.A.; Gurney, J.M. Abdominal trauma surgery during recent US combat operations from 2002 to 2016. J. Trauma Acute Care Surg. 2018, 85 (Suppl. S2), S122–S128. [Google Scholar] [CrossRef]
- Turner, C.A.; Stockinger, Z.T.; Gurney, J.M. Combat surgical workload in Operation Iraqi Freedom and Operation Enduring Freedom: The definitive analysis. J. Trauma Acute Care Surg. 2017, 83, 77–83. [Google Scholar] [CrossRef]
- Rignault, D.P. Abdominal trauma in war. World J. Surg. 1992, 16, 940–946. [Google Scholar] [CrossRef]
- Seymour, C.W.; Gesten, F.; Prescott, H.C.; Friedrich, M.E.; Iwashyna, T.J.; Phillips, G.S.; Lemeshow, S.; Osborn, T.; Terry, K.M.; Levy, M.M. Time to Treatment and Mortality during Mandated Emergency Care for Sepsis. N. Engl. J. Med. 2017, 376, 2235–2244. [Google Scholar] [CrossRef]
- Coleman, J.J.; Zarzaur, B.L. Surgical Management of Abdominal Trauma: Hollow Viscus Injury. Surg. Clin. N. Am. 2017, 97, 1107–1117. [Google Scholar] [CrossRef]
- Riha, G.M.; Kiraly, L.N.; Diggs, B.S.; Cho, S.D.; Fabricant, L.J.; Flaherty, S.F.; Kuehn, R.; Underwood, S.J.; Schreiber, M.A. Management of the open abdomen during the global war on terror. JAMA Surg. 2013, 148, 59–64. [Google Scholar] [CrossRef]
- Jang, J.H.; Choi, E.; Kim, T.; Yeo, H.J.; Jeon, D.; Kim, Y.S.; Cho, W.H. Navigating the Modern Landscape of Sepsis: Advances in Diagnosis and Treatment. Int. J. Mol. Sci. 2024, 25, 7396. [Google Scholar] [CrossRef]
- Maier, S. Pathophysiologie des akuten Abdomens. In Akutes Abdomen: Diagnose—Differenzialdiagnose—Erstversorgung—Therapie; Hauser, H., Buhr, H.J., Mischinger, H.-J., Eds.; Springer: Vienna, Austria, 2016; pp. 53–58. [Google Scholar]
- Mullen, P.G.; Windsor, A.C.; Walsh, C.J.; Fowler, A.A., 3rd; Sugerman, H.J. Tumor necrosis factor-alpha and interleukin-6 selectively regulate neutrophil function in vitro. J. Surg. Res. 1995, 58, 124–130. [Google Scholar] [CrossRef]
- Damas, P.; Reuter, A.; Gysen, P.; Demonty, J.; Lamy, M.; Franchimont, P. Tumor necrosis factor and interleukin-1 serum levels during severe sepsis in humans. Crit. Care Med. 1989, 17, 975–978. [Google Scholar] [CrossRef] [PubMed]
- Chousterman, B.G.; Swirski, F.K.; Weber, G.F. Cytokine storm and sepsis disease pathogenesis. Semin. Immunopathol. 2017, 39, 517–528. [Google Scholar] [CrossRef] [PubMed]
- Bone, R.C.; Balk, R.A.; Cerra, F.B.; Dellinger, R.P.; Fein, A.M.; Knaus, W.A.; Schein, R.M.; Sibbald, W.J. Definitions for sepsis and organ failure and guidelines for the use of innovative therapies in sepsis. The ACCP/SCCM Consensus Conference Committee. American College of Chest Physicians/Society of Critical Care Medicine. Chest 1992, 101, 1644–1655. [Google Scholar] [CrossRef] [PubMed]
- Kaukonen, K.M.; Bailey, M.; Pilcher, D.; Cooper, D.J.; Bellomo, R. Systemic inflammatory response syndrome criteria in defining severe sepsis. N. Engl. J. Med. 2015, 372, 1629–1638. [Google Scholar] [CrossRef]
- Vincent, J.L.; Sakr, Y.; Sprung, C.L.; Ranieri, V.M.; Reinhart, K.; Gerlach, H.; Moreno, R.; Carlet, J.; Le Gall, J.R.; Payen, D. Sepsis in European intensive care units: Results of the SOAP study. Crit. Care Med. 2006, 34, 344–353. [Google Scholar] [CrossRef]
- Singer, M.; Deutschman, C.S.; Seymour, C.W.; Shankar-Hari, M.; Annane, D.; Bauer, M.; Bellomo, R.; Bernard, G.R.; Chiche, J.D.; Coopersmith, C.M.; et al. The Third International Consensus Definitions for Sepsis and Septic Shock (Sepsis-3). JAMA 2016, 315, 801–810. [Google Scholar] [CrossRef]
- Lambden, S.; Laterre, P.F.; Levy, M.M.; Francois, B. The SOFA score-development, utility and challenges of accurate assessment in clinical trials. Crit. Care 2019, 23, 374. [Google Scholar] [CrossRef]
- Royal College of Physicians. National Early Warning Score (NEWS) 2: Standardising the Assessment of Acute-Illness Severity in the NHS; Royal College of Physicians: London, UK, 2017. [Google Scholar]
- Qiu, X.; Yu-Peng, L.; Zhou, R.-X. SIRS, SOFA, qSOFA, and NEWS in the diagnosis of sepsis and prediction of adverse outcomes: A systematic review and meta-analysis. Expert Rev. Anti-Infect. Ther. 2023, 21, 891–900. [Google Scholar] [CrossRef]
- O’Connell, R.L.; Wakam, G.K.; Siddiqui, A.; Williams, A.M.; Graham, N.; Kemp, M.T.; Chtraklin, K.; Bhatti, U.F.; Shamshad, A.; Li, Y.; et al. Development of a large animal model of lethal polytrauma and intra-abdominal sepsis with bacteremia. Trauma Surg. Acute Care Open 2021, 6, e000636. [Google Scholar] [CrossRef]
- Hildebrand, F.; Andruszkow, H.; Huber-Lang, M.; Pape, H.-C.; van Griensven, M. Combined Hemorrhage/Trauma Models in Pigs—Current State and Future Perspectives. Shock 2013, 40, 247–273. [Google Scholar] [CrossRef]
- Dejager, L.; Pinheiro, I.; Dejonckheere, E.; Libert, C. Cecal ligation and puncture: The gold standard model for polymicrobial sepsis? Trends Microbiol. 2011, 19, 198–208. [Google Scholar] [CrossRef] [PubMed]
- Zurek-Leffers, F.M.; Lehmann, F.; Brabenec, L.; Kintrup, S.; Hellenthal, K.E.M.; Mersjann, K.; Kneifel, F.; Hessler, M.; Arnemann, P.H.; Kampmeier, T.G.; et al. A model of porcine polymicrobial septic shock. Intensive Care Med. Exp. 2023, 11, 31. [Google Scholar] [CrossRef] [PubMed]
- de Azevedo, L.C.; Park, M.; Noritomi, D.T.; Maciel, A.T.; Brunialti, M.K.; Salomão, R. Characterization of an animal model of severe sepsis associated with respiratory dysfunction. Clinics 2007, 62, 491–498. [Google Scholar] [CrossRef]
- Ji, M.H.; Yang, J.J.; Wu, J.; Li, R.Q.; Li, G.M.; Fan, Y.X.; Li, W.Y. Experimental sepsis in pigs--effects of vasopressin on renal, hepatic, and intestinal dysfunction. Ups. J. Med. Sci. 2012, 117, 257–263. [Google Scholar] [CrossRef]
- Park, I.; Lee, J.H.; Jang, D.H.; Kim, D.; Chang, H.; Kwon, H.; Kim, S.; Kim, T.S.; Jo, Y.H. Characterization of Fecal Peritonitis-Induced Sepsis in a Porcine Model. J. Surg. Res. 2019, 244, 492–501. [Google Scholar] [CrossRef]
- Barker, S.J.; Gamel, D.M.; Tremper, K.K. Cardiovascular effects of anesthesia and operation. Crit. Care Clin. 1987, 3, 251–268. [Google Scholar] [CrossRef]
- Cicero, L.; Fazzotta, S.; Palumbo, V.D.; Cassata, G.; Lo Monte, A.I. Anesthesia protocols in laboratory animals used for scientific purposes. Acta Biomed. 2018, 89, 337–342. [Google Scholar] [CrossRef]
- Pluschke, A.M.; Simmons, G.S.; Keates, H.L.; Cameron, R.D.A.; Zhang, D.; Wright, J.D.; Williams, B.A. An updated method for the jugular catheterization of grower pigs for repeated blood sampling following an oral glucose tolerance test. Lab. Anim. 2017, 51, 397–404. [Google Scholar] [CrossRef]
- Burmeister, D.M.; McIntyre, M.K.; Baker, B.A.; Rizzo, J.A.; Brown, A.; Natesan, S.; Chung, K.K.; Christy, R.J. Impact of Isolated Burns on Major Organs: A Large Animal Model Characterized. Shock 2016, 46 (Suppl. S1), 137–147. [Google Scholar] [CrossRef]
- Waterhouse, A.; Leslie, D.C.; Bolgen, D.E.; Lightbown, S.L.; Dimitrakakis, N.; Cartwright, M.J.; Seiler, B.T.; Lightbown, K.R.; Smith, K.P.; Lombardo, P.; et al. Modified Clinical Monitoring Assessment Criteria for Multi-Organ Failure during Bacteremia and Sepsis Progression in a Pig Model. Advan Crit. Care Med. 2018, 1, 2. [Google Scholar]
- Fukuda, S.; Ihara, K.; Bohannon, J.K.; Hernandez, A.; Patil, N.K.; Luan, L.; Stothers, C.; Stark, R.; Prough, D.S.; Herndon, D.N.; et al. Monophosphoryl Lipid a Attenuates Multiorgan Dysfunction During Post-Burn Pseudomonas Aeruginosa Pneumonia in Sheep. Shock 2020, 53, 307–316. [Google Scholar] [CrossRef] [PubMed]
- Prytherch, D.R.; Smith, G.B.; Schmidt, P.E.; Featherstone, P.I. ViEWS—Towards a national early warning score for detecting adult inpatient deterioration. Resuscitation 2010, 81, 932–937. [Google Scholar] [CrossRef] [PubMed]
- Gaeth, C.; Duarte, J.; Rodriguez, A.; Powers, A.; Stone, R. Observational Analysis of Point-of-Care Lactate Plus™ Meter in Preclinical Trauma Models. Diagnostics 2024, 14, 2641. [Google Scholar] [CrossRef]
- Seymour, C.W.; Liu, V.X.; Iwashyna, T.J.; Brunkhorst, F.M.; Rea, T.D.; Scherag, A.; Rubenfeld, G.; Kahn, J.M.; Shankar-Hari, M.; Singer, M.; et al. Assessment of Clinical Criteria for Sepsis: For the Third International Consensus Definitions for Sepsis and Septic Shock (Sepsis-3). JAMA 2016, 315, 762–774. [Google Scholar] [CrossRef]
- Hayase, N.; Doi, K. How Do We Bridge the Gap Between Animal Models of Sepsis and Patients? Kidney360 2024, 5, 637–638. [Google Scholar] [CrossRef]
- Angus, D.C.; van der Poll, T. Severe sepsis and septic shock. N. Engl. J. Med. 2013, 369, 840–851. [Google Scholar] [CrossRef]
- Woźnica, E.A.; Inglot, M.; Woźnica, R.K.; Łysenko, L. Liver dysfunction in sepsis. Adv. Clin. Exp. Med. 2018, 27, 547–551. [Google Scholar] [CrossRef]
- Rawal, R.; Kharangarh, P.R.; Dawra, S.; Tomar, M.; Gupta, V.; Pundir, C.S. A comprehensive review of bilirubin determination methods with special emphasis on biosensors. Process Biochem. 2020, 89, 165–174. [Google Scholar] [CrossRef]
- Van Cromphaut, J.S.; Vanhorebeek, I.; den Berghe, G.V. Glucose Metabolism and Insulin Resistance in Sepsis. Curr. Pharm. Des. 2008, 14, 1887–1899. [Google Scholar] [CrossRef]
- Kato, T.; Hussein, M.H.; Sugiura, T.; Suzuki, S.; Fukuda, S.; Tanaka, T.; Kato, I.; Togari, H. Development and characterization of a novel porcine model of neonatal sepsis. Shock 2004, 21, 329–335. [Google Scholar] [CrossRef]
- Rittirsch, D.; Huber-Lang, M.S.; Flierl, M.A.; Ward, P.A. Immunodesign of experimental sepsis by cecal ligation and puncture. Nat. Protoc. 2009, 4, 31–36. [Google Scholar] [CrossRef]
- Kieslichova, E.; Rocen, M.; Merta, D.; Kudla, M.; Splichal, I.; Cap, J.; Viklicky, O.; Gürlich, R. The effect of immunosuppression on manifestations of sepsis in an animal model of cecal ligation and puncture. Transplant. Proc. 2013, 45, 770–777. [Google Scholar] [CrossRef] [PubMed]
- Goldfarb, R.D.; Marton, A.; Szabó, É.; Virág, L.; Salzman, A.L.; Glock, D.; Akhter, I.; McCarthy, R.; Parrillo, J.E.; Szabó, C. Protective effect of a novel, potent inhibitor of poly(adenosine 5′-diphosphate-ribose) synthetase in a porcine model of severe bacterial sepsis. Crit. Care Med. 2002, 30, 974–980. [Google Scholar] [CrossRef] [PubMed]
- Goldfarb, R.D.; Parker, T.S.; Levine, D.M.; Glock, D.; Akhter, I.; Alkhudari, A.; McCarthy, R.J.; David, E.M.; Gordon, B.R.; Saal, S.D.; et al. Protein-free phospholipid emulsion treatment improved cardiopulmonary function and survival in porcine sepsis. Am. J. Physiol. Regul. Integr. Comp. Physiol. 2003, 284, R550–R557. [Google Scholar] [CrossRef] [PubMed]
- Hyun, H.; Lee, M.S.; Park, I.; Ko, H.S.; Yun, S.; Jang, D.H.; Kim, S.; Kim, H.; Kang, J.H.; Lee, J.H.; et al. Analysis of Porcine Model of Fecal-Induced Peritonitis Reveals the Tropism of Blood Microbiome. Front. Cell Infect. Microbiol. 2021, 11, 676650. [Google Scholar] [CrossRef]
- Al-Obeidallah, M.; Jarkovská, D.; Valešová, L.; Horák, J.; Jedlička, J.; Nalos, L.; Chvojka, J.; Švíglerová, J.; Kuncová, J.; Beneš, J.; et al. SOFA Score, Hemodynamics and Body Temperature Allow Early Discrimination between Porcine Peritonitis-Induced Sepsis and Peritonitis-Induced Septic Shock. J. Pers. Med. 2021, 11, 164. [Google Scholar] [CrossRef]
- Jarkovska, D.; Markova, M.; Horak, J.; Nalos, L.; Benes, J.; Al-Obeidallah, M.; Tuma, Z.; Sviglerova, J.; Kuncova, J.; Matejovic, M.; et al. Cellular Mechanisms of Myocardial Depression in Porcine Septic Shock. Front. Physiol. 2018, 9, 726. [Google Scholar] [CrossRef]
- Ljungdahl, M.; Rasmussen, I.; Haglund, U. Intestinal blood flow and intramucosal pH in experimental peritonitis. Shock 1999, 11, 44–50. [Google Scholar] [CrossRef]
- Hauser, B.; Barth, E.; Bassi, G.; Simon, F.; Gröger, M.; Öter, S.; Speit, G.; Ploner, F.; Möller, P.; Wachter, U.; et al. Hemodynamic, metabolic, and organ function effects of pure oxygen ventilation during established fecal peritonitis-induced septic shock. Crit. Care Med. 2009, 37, 2465–2469. [Google Scholar] [CrossRef]
- Garcia, B.; Su, F.; Dewachter, L.; Favory, R.; Khaldi, A.; Moiroux-Sahraoui, A.; Annoni, F.; Vasques-Nóvoa, F.; Rocha-Oliveira, E.; Roncon-Albuquerque, R.; et al. Myocardial effects of angiotensin II compared to norepinephrine in an animal model of septic shock. Crit. Care 2022, 26, 281. [Google Scholar] [CrossRef]
- Ferrario, M.; Brunelli, L.; Su, F.; Herpain, A.; Pastorelli, R. The Systemic Alterations of Lipids, Alanine-Glucose Cycle and Inter-Organ Amino Acid Metabolism in Swine Model Confirms the Role of Liver in Early Phase of Septic Shock. Front. Physiol. 2019, 10, 11. [Google Scholar] [CrossRef]
- Marx, G.; Cobas Meyer, M.; Schuerholz, T.; Vangerow, B.; Gratz, K.F.; Hecker, H.; Sümpelmann, R.; Rueckoldt, H.; Leuwer, M. Hydroxyethyl starch and modified fluid gelatin maintain plasma volume in a porcine model of septic shock with capillary leakage. Intensive Care Med. 2002, 28, 629–635. [Google Scholar] [CrossRef] [PubMed]
- Simon, F.; Giudici, R.; Scheuerle, A.; Gröger, M.; Asfar, P.; Vogt, J.A.; Wachter, U.; Ploner, F.; Georgieff, M.; Möller, P.; et al. Comparison of cardiac, hepatic, and renal effects of arginine vasopressin and noradrenaline during porcine fecal peritonitis: A randomized controlled trial. Crit. Care 2009, 13, R113. [Google Scholar] [CrossRef] [PubMed]
- Laroye, C.; Lemarié, J.; Boufenzer, A.; Labroca, P.; Cunat, L.; Alauzet, C.; Groubatch, F.; Cailac, C.; Jolly, L.; Bensoussan, D.; et al. Clinical-grade mesenchymal stem cells derived from umbilical cord improve septic shock in pigs. Intensive Care Med. Exp. 2018, 6, 24. [Google Scholar] [CrossRef] [PubMed]
- Horak, J.; Nalos, L.; Martinkova, V.; Tegl, V.; Vistejnova, L.; Kuncova, J.; Kohoutova, M.; Jarkovska, D.; Dolejsova, M.; Benes, J.; et al. Evaluation of Mesenchymal Stem Cell Therapy for Sepsis: A Randomized Controlled Porcine Study. Front. Immunol. 2020, 11, 126. [Google Scholar] [CrossRef]
- Kassasseya, C.; Torsin, L.I.; Musset, C.; Benhamou, M.; Chaudry, I.H.; Cavaillon, J.M.; Grall, N.; Monteiro, R.; de Chaisemartin, L.; Longrois, D.; et al. Divergent effects of tumor necrosis factor (TNF) in sepsis: A meta-analysis of experimental studies. Crit. Care 2024, 28, 293. [Google Scholar] [CrossRef]
- Wilske, F.; Skorup, P.; Hanslin, K.; Janols, H.; Larsson, A.; Lipcsey, M.; Sjölin, J. Enhanced bacterial clearance in early secondary sepsis in a porcine intensive care model. Sci. Rep. 2023, 13, 1964. [Google Scholar] [CrossRef]
- Ebdrup, L.; Krog, J.; Granfeldt, A.; Larsen, P.; Vestergaard, C.; Hokland, M.; Tønnesen, E. Leukocyte, plasma, and organ-associated cytokine profiles in an animal model of acute inflammation. APMIS 2008, 116, 352–360. [Google Scholar] [CrossRef]
- Castello, L.M.; Gavelli, F. Sepsis scoring systems: Mindful use in clinical practice. Eur. J. Intern. Med. 2024, 125, 32–35. [Google Scholar] [CrossRef]
- Oduncu, A.F.; Kıyan, G.S.; Yalçınlı, S. Comparison of qSOFA, SIRS, and NEWS scoring systems for diagnosis, mortality, and morbidity of sepsis in emergency department. Am. J. Emerg. Med. 2021, 48, 54–59. [Google Scholar] [CrossRef]
- Usman, O.A.; Usman, A.A.; Ward, M.A. Comparison of SIRS, qSOFA, and NEWS for the early identification of sepsis in the Emergency Department. Am. J. Emerg. Med. 2019, 37, 1490–1497. [Google Scholar] [CrossRef] [PubMed]
- Poli-de-Figueiredo, L.F.; Garrido, A.G.; Nakagawa, N.; Sannomiya, P. Experimental models of sepsis and their clinical relevance. Shock 2008, 30 (Suppl. S1), 53–59. [Google Scholar] [CrossRef] [PubMed]
- Chalupova, M.; Horak, J.; Kramna, L.; Nalos, L.; Stengl, M.; Chudejova, K.; Kraftova, L.; Cinek, O.; Klein, P.; Matejovic, M.; et al. Gut microbiome diversity of porcine peritonitis model of sepsis. Sci. Rep. 2022, 12, 17430. [Google Scholar] [CrossRef] [PubMed]
- Osuchowski, M.F.; Ayala, A.; Bahrami, S.; Bauer, M.; Boros, M.; Cavaillon, J.M.; Chaudry, I.H.; Coopersmith, C.M.; Deutschman, C.S.; Drechsler, S.; et al. Minimum Quality Threshold in Pre-Clinical Sepsis Studies (MQTiPSS): An International Expert Consensus Initiative for Improvement of Animal Modeling in Sepsis. Shock 2018, 50, 377–380. [Google Scholar] [CrossRef]







| Parameter | Time of Day | Average | SD | SIRS (+2 SD) | SIRS (−2 SD) |
|---|---|---|---|---|---|
| HR [bpm] | Day | 100 | 15.1 | 130 | 70 |
| Night | 92 | 12.0 | 116 | 68 | |
| RR [bpm] | Day | 22 | 3.9 | 29 | 14 |
| Night | 16 | 3.1 | 23 | 10 | |
| Temp [°C] | Day | 38.5 | 0.69 | 39.9 | 37.1 |
| Night | 38.8 | 0.47 | 39.7 | 37.8 | |
| WBC [103/µL] | 19.1 | 3.5 | 26.2 | 12.1 |
| Sequential Organ Failure Assessment (SOFA) Score | ||||||
|---|---|---|---|---|---|---|
| Organ System | Score (0–24) | |||||
| 0 | 1 | 2 | 3 | 4 | ||
| Respiratory | PaO2/FiO2 ratio | ≥400 | <400 | <300 | <200 | <100 |
| Renal * | Creatine [mg/dL] | 0.3–1.4 | 1.5–2.4 | 2.5–3.4 | 3.5–4.9 | ≥5.0 |
| Hepatic * | Bilirubin [mg/dL] | 0.3–0.6 | 0.7–2.0 | 2.1–5.0 | 5.1–10.0 | >10.0 |
| Hematological ** | Platelet count [103/µL] | >150 | ≤150 | ≤100 | ≤50 | ≤20 |
| Cardiovascular * | MAP [mmHg] | >70 | 60–70 | 50–59 | 40–49 | <40 |
| Neurological ** | SNORT | 11–10 | 9–8 | 7–6 | 5–4 | 3–2 |
| Sepsis = suspected or documented infection + SOFA score increase of ≥2 from baseline (indicates organ dysfunction) | ||||||
| Parameter | Time of Day | 3 | 2 | 1 | 0 | 1 | 2 | 3 |
|---|---|---|---|---|---|---|---|---|
| RR [bpm] | D | 6 | 14 | 18–26 | 33 | 37 | ||
| N | 4 | 10 | 13–20 | 26 | 29 | |||
| SpO2 [%] | ≤91 | 92–93 | 94–95 | ≥96 | ≤91 | |||
| Systolic BP [mmHg] | D | 85 | 99 | 113 | 126–154 | 196 | ||
| N | 83 | 95 | 108 | 120–145 | 183 | |||
| HR [bpm] | D | 40 | 70 | 85–115 | 130 | 145 | 161 | |
| N | 45 | 68 | 80–104 | 116 | 128 | 140 | ||
| SNORT | <10 | |||||||
| Temp [°C] | D | 35.7 | 37.1 | 37.8–39.2 | 39.9 | 40.5 | ||
| N | 36.9 | 37.8 | 38.3–39.2 | 39.7 | 40.2 | |||
| A positive NEWS2 score is indicated by a sum of ≥5 or an extreme value variation, as shown by red highlighting [36]. | ||||||||
| Timepoint (Hours) | SIRS | SOFA | NEWS2 | |||
|---|---|---|---|---|---|---|
| CON | PAT | CON | PAT | CON | PAT | |
| 0 | 0% | 100% | 50% | 75% | 25% | 100% |
| 8 | 0% | 100% | 25% | 100% | 0% | 100% |
| 16 | 0% | 86% | 0% | 100% | 0% | 100% |
| 24 | 0% | 43% | 0% | 86% | 0% | 100% |
| 32 | 0% | 100% | 0% | 100% | 0% | 100% |
| 40 | 0% | 17% | 0% | 100% | 0% | 100% |
| 48 | 0% | 33% | 0% | 83% | 0% | 100% |
| 56 | 0% | 50% | 0% | 100% | 0% | 100% |
| 64 | 0% | 17% | 0% | 66% | 0% | 83% |
| 72 | 0% | 17% | 0% | 50% | 0% | 100% |
Disclaimer/Publisher’s Note: The statements, opinions and data contained in all publications are solely those of the individual author(s) and contributor(s) and not of MDPI and/or the editor(s). MDPI and/or the editor(s) disclaim responsibility for any injury to people or property resulting from any ideas, methods, instructions or products referred to in the content. |
© 2025 by the authors. Published by MDPI on behalf of the Lithuanian University of Health Sciences. Licensee MDPI, Basel, Switzerland. This article is an open access article distributed under the terms and conditions of the Creative Commons Attribution (CC BY) license (https://creativecommons.org/licenses/by/4.0/).
Share and Cite
Gaeth, C.; Madaris, T.R.; Duarte, J.; Rodriguez, A.; Wegner, M.D.; Powers, A.; Stone, R., II. Modeling Sepsis: Establishment and Validation of a 72-Hour Swine Model of Penetrating Abdominal Trauma. Medicina 2025, 61, 1523. https://doi.org/10.3390/medicina61091523
Gaeth C, Madaris TR, Duarte J, Rodriguez A, Wegner MD, Powers A, Stone R II. Modeling Sepsis: Establishment and Validation of a 72-Hour Swine Model of Penetrating Abdominal Trauma. Medicina. 2025; 61(9):1523. https://doi.org/10.3390/medicina61091523
Chicago/Turabian StyleGaeth, Catharina, Travis R. Madaris, Jamila Duarte, Alvaro Rodriguez, Matthew D. Wegner, Amber Powers, and Randolph Stone, II. 2025. "Modeling Sepsis: Establishment and Validation of a 72-Hour Swine Model of Penetrating Abdominal Trauma" Medicina 61, no. 9: 1523. https://doi.org/10.3390/medicina61091523
APA StyleGaeth, C., Madaris, T. R., Duarte, J., Rodriguez, A., Wegner, M. D., Powers, A., & Stone, R., II. (2025). Modeling Sepsis: Establishment and Validation of a 72-Hour Swine Model of Penetrating Abdominal Trauma. Medicina, 61(9), 1523. https://doi.org/10.3390/medicina61091523

