Intestinal Tissue Damage Reduction After Distal Perfusion for Aortic Arch Surgery in a Neonatal Porcine Model
Abstract
1. Introduction
2. Materials and Methods
2.1. Animals and Anesthesia Management
2.2. Surgical Technique, Extracorporeal Circulation Strategy, and Perfusion
2.3. Preparation of Specimens
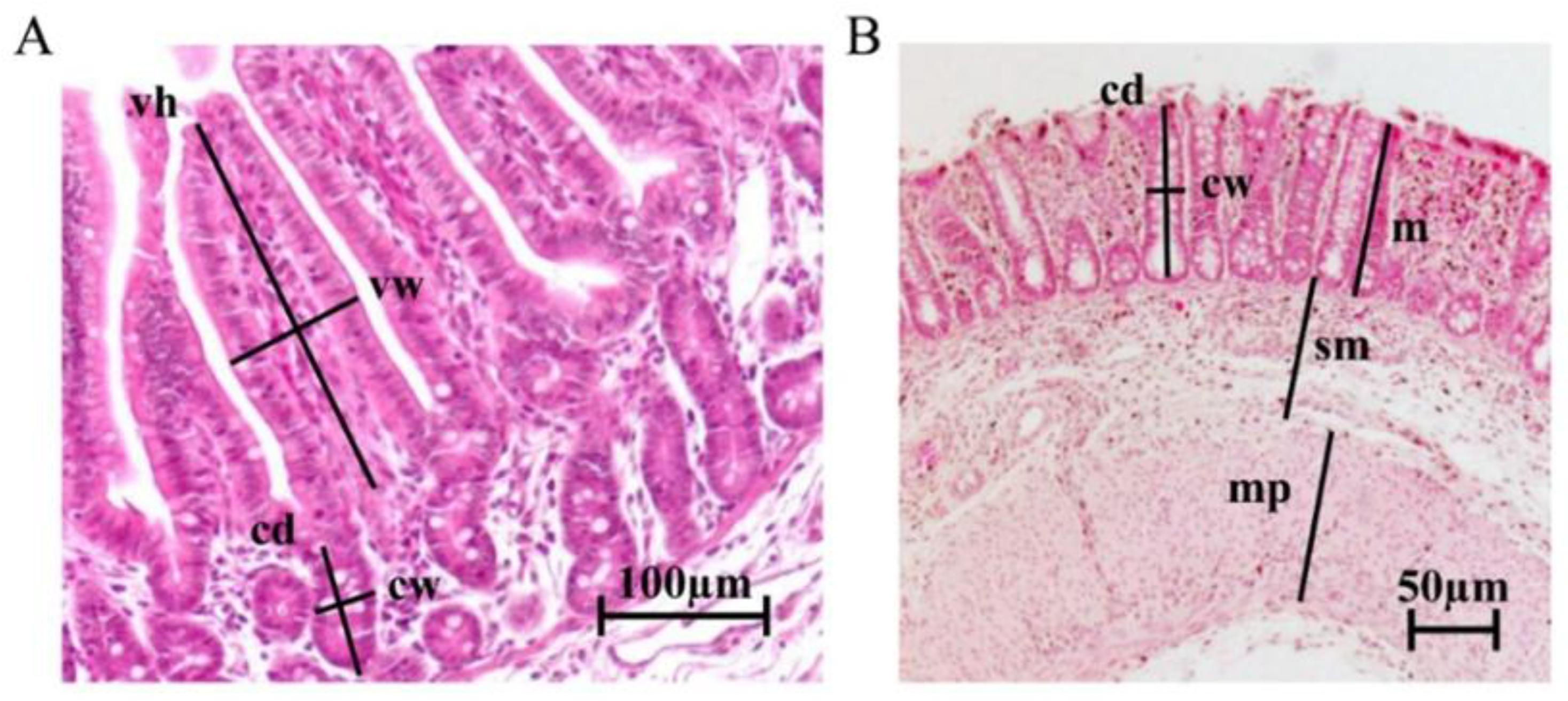
2.4. Histological Measurement of Intestinal Tissue
2.5. Statistical Analysis
3. Results
3.1. Hemodynamic Measurement, Blood Gas Analyses and Oxygen Saturation
3.2. Histopathological Assessment of Intestinal Tissue
3.3. Chiu Score Classification
3.4. Gene Expression of Hypoxia-Inducible Factors, Cytoprotective Protein, Cell Adhesion Junction, and Tight Junctions
3.5. Oxidative Stress in Intestinal Tissue
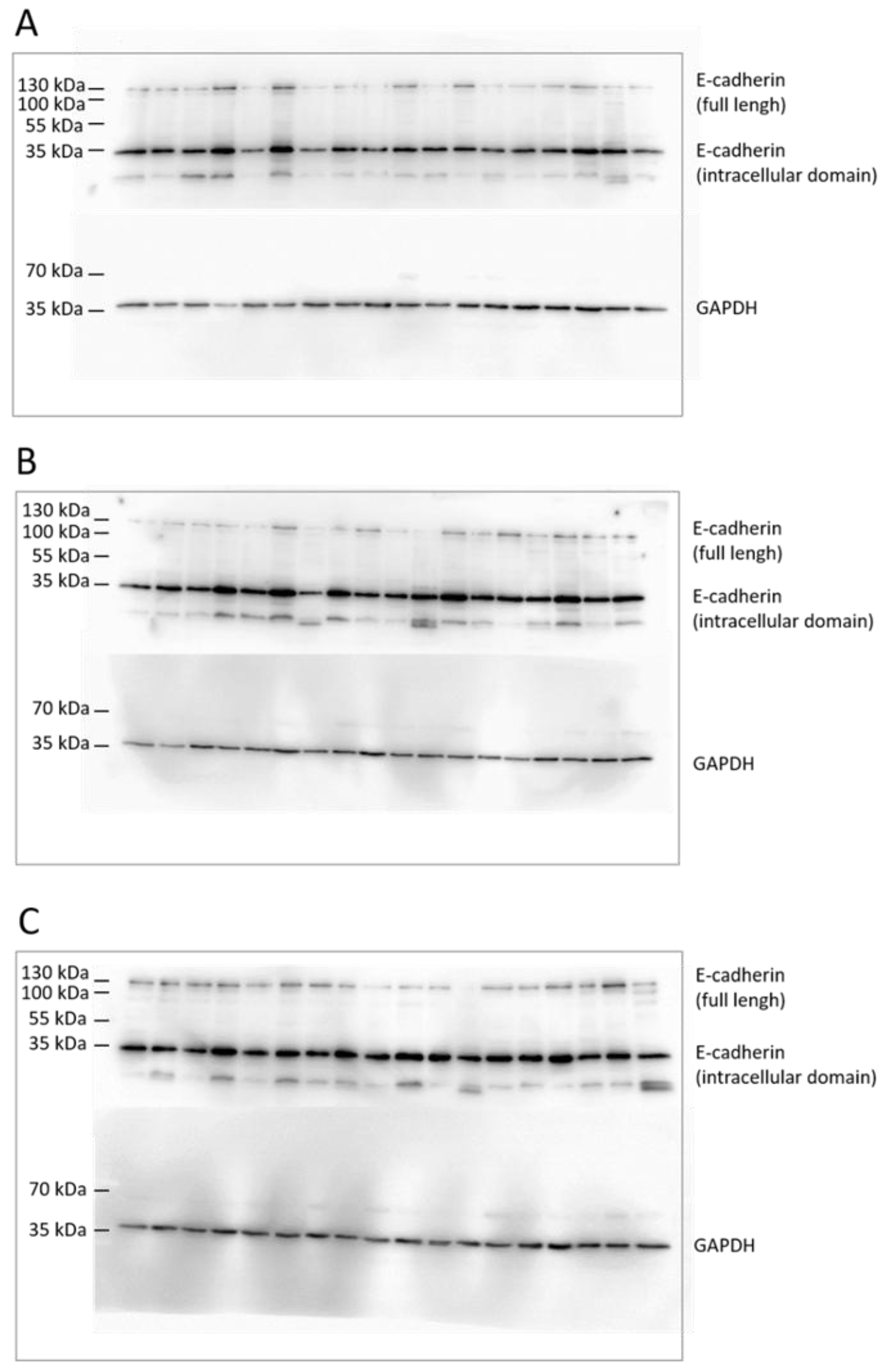
3.6. Protein Expression of E-Cadherin
3.7. Apoptosis Induction in Intestinal Tissue
4. Discussion
5. Conclusions
Author Contributions
Funding
Institutional Review Board Statement
Informed Consent Statement
Data Availability Statement
Acknowledgments
Conflicts of Interest
Abbreviations
| AIF | apoptosis-inducing factor |
| CO | cardiac output |
| CPB | cardiopulmonary bypass |
| CVP | central venous pressure |
| DJ-1 | Parkinson’s disease protein |
| HIF-1α | hypoxia-induced factor-1α |
| HR | heart rate |
| IR | ischemia-reperfusion |
| MAP | mean arterial pressure |
| NOX | NADPH oxidase |
| NRF2 | nuclear factor erythroid 2-related factor 2 |
| PBS | phosphate-buffered saline |
| ROS | reactive oxygen species |
| RRsys/dias | systolic/diastolic blood pressure |
| SACP | selective anterograde cerebral perfusion |
| SACP + DP | SACP with additional distal perfusion |
| SOD | superoxide dismutase |
Appendix A
Appendix A.1. Animals and Anesthesia Management
Appendix A.2. Randomization and Blinding
Appendix A.3. Blood and Tissue Sampling
Appendix A.4. RNA Isolation and Quantitative Real-Time PCR (RT-qPCR)
| Target Gene | Forward Primer 5′-3′ | Reverse Primer 5′-3′ |
|---|---|---|
| HIF-1α | CACACAGAAATGGCCTTGTGAA | TGTTCATAGTTCTCCCCCTGC |
| DJ-1 | AAGTTACGACGCACCCACTT | GCAAACTCGAAGCTGGTTCC |
| CDH1 | CCCCAACACTTCTCCCTTCA | ACTCGAGGGTTTTCTTTGGCT |
| NRF2 | AGGTAGACGACATGCAACAGG | TGGACTTGGAACCGTGCTAG |
| CLDN1 | TCATTGACACTGAGATCTTCGACT | TGAAAATGGCTTCCCTCCTGT |
| OCDN | CTGTGAAAACTCGAAGCAAGATGT | GAGGAGGCATGTCTTGGGTG |
| RPL4 | AACCCGTATGCAAAGACAATG | ACCCCCTTCTCACCTGATTT |
Appendix A.5. Enzyme Activity Measurements
Appendix A.6. Histopathological Assessment of Intestinal Tissue


Appendix A.7. Western Blot Analysis

Appendix A.8. Enzyme-Linked Immunosorbent Assay (ELISA)
References
- Cesnjevar, R.A.; Purbojo, A.; Muench, F.; Juengert, J.; Rueffer, A. Goal-directed-perfusion in neonatal aortic arch surgery. Transl. Pediatr. 2016, 5, 134–141. [Google Scholar] [CrossRef]
- Karavas, A.N.; Deschner, B.W.; Scott, J.W.; Mettler, B.A.; Bichell, D.P. Three-region perfusion strategy for aortic arch reconstruction in the Norwood. Ann. Thorac. Surg. 2011, 92, 1138–1140. [Google Scholar] [CrossRef]
- Li, Z.Q.; Zhang, W.; Guo, Z.; Du, X.W.; Wang, W. Risk factors of gastrointestinal bleeding after cardiopulmonary bypass in children: A retrospective study. Front. Cardiovasc. Med. 2023, 10, 1224872. [Google Scholar] [CrossRef]
- Kashif, H.; Abuelgasim, E.; Hussain, N.; Luyt, J.; Harky, A. Necrotizing enterocolitis and congenital heart disease. Ann. Pediatr. Cardiol. 2021, 14, 507–515. [Google Scholar] [CrossRef] [PubMed]
- Salomon, J.; Ericsson, A.; Price, A.; Manithody, C.; Murry, D.J.; Chhonker, Y.S.; Buchanan, P.; Lindsey, M.L.; Singh, A.B.; Jain, A.K. Dysbiosis and Intestinal Barrier Dysfunction in Pediatric Congenital Heart Disease Is Exacerbated Following Cardiopulmonary Bypass. JACC Basic Transl. Sci. 2021, 6, 311–327. [Google Scholar] [CrossRef] [PubMed]
- Chang, J.X.; Chen, S.; Ma, L.P.; Jiang, L.Y.; Chen, J.W.; Chang, R.M.; Wen, L.Q.; Wu, W.; Jiang, Z.P.; Huang, Z.T. Functional and morphological changes of the gut barrier during the restitution process after hemorrhagic shock. World J. Gastroenterol. 2005, 11, 5485–5491. [Google Scholar] [CrossRef] [PubMed]
- Kulyabin, Y.Y.; Gorbatykh, Y.N.; Soynov, I.A.; Zubritskiy, A.V.; Voitov, A.V.; Bogachev-Prokophiev, A.V. Selective Antegrade Cerebral Perfusion with or Without Additional Lower Body Perfusion During Aortic Arch Reconstruction in Infants. World J. Pediatr. Congenit. Heart Surg. 2020, 11, 49–55. [Google Scholar] [CrossRef]
- Margetson, T.; Mainwaring, R.D.; Hanley, F.L. Overview of Cardiopulmonary Bypass Techniques and the Incidence of Postoperative Complications in Pediatric Patients Undergoing Complex Pulmonary Artery Reconstruction. J. ExtraCorpor. Technol. 2022, 54, 330–337. [Google Scholar] [CrossRef]
- El-Sayed Ahmad, A.; Papadopoulos, N.; Risteski, P.; Moritz, A.; Zierer, A. The Standardized Concept of Moderate-to-Mild (≥28 °C) Systemic Hypothermia During Selective Antegrade Cerebral Perfusion for All-Comers in Aortic Arch Surgery: Single-Center Experience in 587 Consecutive Patients Over a 15-Year Period. Ann. Thorac. Surg. 2017, 104, 49–55. [Google Scholar] [CrossRef]
- Zierer, A.; El-Sayed Ahmad, A.; Papadopoulos, N.; Moritz, A.; Diegeler, A.; Urbanski, P.P. Selective antegrade cerebral perfusion and mild (28–30 °C) systemic hypothermic circulatory arrest for aortic arch replacement: Results from 1002 patients. J. Thorac. Cardiovasc. Surg. 2012, 144, 1042–1049. [Google Scholar] [CrossRef]
- Miyamoto, Y.; Fukui, S.; Kajiyama, T.; Mitsuno, M.; Yamamura, M.; Tanaka, H.; Ryomoto, M.; Nishi, H. Analysis of collateral blood flow to the lower body during selective cerebral perfusion: Is three-vessel perfusion better than two-vessel perfusion? Eur. J. Cardiothorac. Surg. 2009, 35, 684–688. [Google Scholar] [CrossRef]
- Lodge, A.J.; Andersen, N.D.; Turek, J.W. Recent Advances in Congenital Heart Surgery: Alternative Perfusion Strategies for Infant Aortic Arch Repair. Curr. Cardiol. Rep. 2019, 21, 13. [Google Scholar] [CrossRef]
- Algra, S.O.; Schouten, A.N.; van Oeveren, W.; van der Tweel, I.; Schoof, P.H.; Jansen, N.J.; Haas, F. Low-flow antegrade cerebral perfusion attenuates early renal and intestinal injury during neonatal aortic arch reconstruction. J. Thorac. Cardiovasc. Surg. 2012, 144, 1323–1328. [Google Scholar] [CrossRef] [PubMed]
- Fernández-Doblas, J.; Ortega-Loubon, C.; Pérez-Andreu, J.; Linés, M.; Fernández-Molina, M.; Abella, R.F. Selective visceral perfusion improves renal flow and hepatic function in neonatal aortic arch repair. Interact. Cardiovasc. Thorac. Surg. 2018, 27, 395–401. [Google Scholar] [CrossRef]
- Soynov, I.A.; Gorbatikh, Y.N.; Kulyabin, Y.Y.; Manukian, S.N.; Rzaeva, K.A.; Velyukhanov, I.A.; Nichay, N.R.; Kornilov, I.A.; Arkhipov, A.N. Evaluation of end-organ protection in newborns and infants after surgery of aortic arch hypoplasia: A prospective randomized study. Perfusion 2025, 40, 1013–1022. [Google Scholar] [CrossRef]
- Sandoval Boburg, R.; Berger, R.; Mustafi, M.; Faust, C.; Magunia, H.; Neunhoeffer, F.; Hofbeck, M.; Rosenberger, P.; Schlensak, C. Whole-body perfusion improves intraoperative transfusions in neonatal aortic arch surgery. Interdiscip. Cardiovasc. Thorac. Surg. 2023, 36, ivad065. [Google Scholar] [CrossRef]
- Wang, J.; Wang, S.; Song, Y.; Huang, M.; Cao, W.; Liu, S.; Chen, S.; Li, X.; Liu, M.; He, Y. The Preventive Effect of Distal Perfusion Catheters on Vascular Complications in Patients Undergoing Venous Artery Extracorporeal Membrane Oxygenation. J. Multidiscip. Healthc. 2023, 16, 963–970. [Google Scholar] [CrossRef] [PubMed] [PubMed Central]
- Meier, S.; Dieterlen, M.T.; Klaeske, K.; Oßmann, S.; Bovet, M.; Borger, M.A.; Kostelka, M.; Vollroth, M. Distal perfusion during complex aortic arch procedure reduces kidney injury in newborn piglets at moderate hypothermia. Eur. J. Cardio-Thorac. Surg. 2025, 67, ezaf117. [Google Scholar] [CrossRef]
- Chiu, C.J.; McArdle, A.H.; Brown, R.; Scott, H.J.; Gurd, F.N. Intestinal mucosal lesion in low-flow states. I. A morphological, hemodynamic, and metabolic reappraisal. Arch. Surg. 1970, 101, 478–483. [Google Scholar] [CrossRef] [PubMed]
- Cao, Q.; Wei, W.; Wang, H.; Wang, Z.; Lv, Y.; Dai, M.; Tan, C.; Chen, H.; Wang, X. Cleavage of E-cadherin by porcine respiratory bacterial pathogens facilitates airway epithelial barrier disruption and bacterial paracellular transmigration. Virulence 2021, 12, 2296–2313. [Google Scholar] [CrossRef] [PubMed]
- Chen, R.; Li, W.; Qiu, Z.; Zhou, Q.; Zhang, Y.; Li, W.Y.; Ding, K.; Meng, Q.T.; Xia, Z.Y. Ischemic Postconditioning-Mediated DJ-1 Activation Mitigate Intestinal Mucosa Injury Induced by Myocardial Ischemia Reperfusion in Rats Through Keap1/Nrf2 Pathway. Front. Mol. Biosci. 2021, 8, 655619. [Google Scholar] [CrossRef]
- Halstead, J.C.; Meier, M.; Wurm, M.; Zhang, N.; Spielvogel, D.; Weisz, D.; Bodian, C.; Griepp, R.B. Optimizing selective cerebral perfusion: Deleterious effects of high perfusion pressures. J. Thorac. Cardiovasc. Surg. 2008, 135, 784–791. [Google Scholar] [CrossRef] [PubMed]
- Dieterlen, M.T.; Kang, J.; Schütte, P.; Klaeske, K.; Oßmann, S.; Kiefer, P.; Vollroth, M.; Borger, M.A.; Hoyer, A. Comparable renal effects of histidine-tryptophan-ketoglutarate and DelNido cardioplegia in a porcine model of cardiac arrest. Ren Fail. 2025, 47, 2563672. [Google Scholar] [CrossRef]
- Feirer, N.; Dieterlen, M.T.; Klaeske, K.; Kiefer, P.; Oßmann, S.; Salameh, A.; Borger, M.A.; Hoyer, A. Impact of Custodiol-N cardioplegia on acute kidney injury after cardiopulmonary bypass. Clin. Exp. Pharmacol. Physiol. 2020, 47, 640–649. [Google Scholar] [CrossRef]
- Ozdogan, M.; Topal, E.; Paksuz, E.P.; Kirkan, S. Effect of different levels of crude glycerol on the morphology and some pathogenic bacteria of the small intestine in male broilers. Animal 2014, 8, 36–42. [Google Scholar] [CrossRef] [PubMed]
- Nagatomo, Y.; Tang, W.H. Intersections Between Microbiome and Heart Failure: Revisiting the Gut Hypothesis. J. Card. Fail. 2015, 21, 973–980. [Google Scholar] [CrossRef]
- Lehnhardt, A.; Kemper, M.J. Pathogenesis, diagnosis and management of hyperkalemia. Pediatr. Nephrol. 2011, 26, 377–384. [Google Scholar] [CrossRef]
- Taschetto, P.M.; Pradella, G.D.; Berlingieri, M.A.; Leiria, P.A.T.; Skupien, J.A.; Lübeck, I.; Duarte, C.A. Using peritoneal and blood lactate as predictor of condition type, surgical referral and prognosis in equine colic cases. Arq. Bras. Med. Veterinária Zootec. 2023, 75, 591–598. [Google Scholar] [CrossRef]
- Gonzalez, L.M.; Moeser, A.J.; Blikslager, A.T. Animal models of ischemia-reperfusion-induced intestinal injury: Progress and promise for translational research. Am. J. Physiol. Gastrointest. Liver Physiol. 2015, 308, G63–G75. [Google Scholar] [CrossRef]
- Wang, Y.; Chen, Y.; Zhang, X.; Lu, Y.; Chen, H. New insights in intestinal oxidative stress damage and the health intervention effects of nutrients: A review. J. Funkt. Foods 2020, 75, 104248. [Google Scholar] [CrossRef]
- Singh, M.H.; Brooke, S.M.; Zemlyak, I.; Sapolsky, R.M. Evidence for caspase effects on release of cytochrome c and AIF in a model of ischemia in cortical neurons. Neurosci. Lett. 2010, 469, 179–183. [Google Scholar] [CrossRef] [PubMed]
- Guzmán-de la Garza, F.J.; Cámara-Lemarroy, C.R.; Alarcón-Galván, G.; Cordero-Pérez, P.; Muñoz-Espinosa, L.E.; Fernández-Garza, N.E. Different patterns of intestinal response to injury after arterial, venous or arteriovenous occlusion in rats. World J. Gastroenterol. 2009, 15, 3901–3907. [Google Scholar] [CrossRef]
- Hundscheid, I.H.; Grootjans, J.; Lenaerts, K.; Schellekens, D.H.; Derikx, J.P.; Boonen, B.T.; von Meyenfeldt, M.F.; Beets, G.L.; Buurman, W.A.; Dejong, C.H. The Human Colon Is More Resistant to Ischemia-reperfusion-induced Tissue Damage Than the Small Intestine: An Observational Study. Ann. Surg. 2015, 262, 304–311. [Google Scholar] [CrossRef]
- Quaedackers, J.S.; Beuk, R.J.; Bennet, L.; Charlton, A.; oude Egbrink, M.G.; Gunn, A.J.; Heineman, E. An evaluation of methods for grading histologic injury following ischemia/reperfusion of the small bowel. Transplant. Proc. 2000, 32, 1307–1310. [Google Scholar] [CrossRef]
- Baumgärtner, W.; Gruber, A.D. Allgemeine Pathologie für Die Tiermedizin, 3rd ed.; Thieme: Stuttgart, Deutschland, 2020; pp. 122–156. [Google Scholar]
- Zachary, J.F. Vascular disorders and thrombosis. In Pathologic Basis of Veterinary Disease, 6th ed.; Elsevier: St. Louis, MO, USA, 2017; pp. 44–72. [Google Scholar]
- Berlin, P.; Reiner, J.; Wobar, J.; Bannert, K.; Glass, Ä.; Walter, M.; Bastian, M.; Willenberg, H.S.; Vollmar, B.; Klar, E.; et al. Villus Growth, Increased Intestinal Epithelial Sodium Selectivity, and Hyperaldosteronism Are Mechanisms of Adaptation in a Murine Model of Short Bowel Syndrome. Dig. Dis. Sci. 2019, 64, 1158–1170. [Google Scholar] [CrossRef]
- Schneider, M.R.; Dahlhoff, M.; Horst, D.; Hirschi, B.; Trülzsch, K.; Müller-Höcker, J.; Vogelmann, R.; Allgäuer, M.; Gerhard, M.; Steininger, S.; et al. A key role for E-cadherin in intestinal homeostasis and Paneth cell maturation. PLoS ONE 2010, 5, e14325. [Google Scholar] [CrossRef]
- Chang, M.; Kistler, E.B.; Schmid-Schönbein, G.W. Disruption of the mucosal barrier during gut ischemia allows entry of digestive enzymes into the intestinal wall. Shock 2012, 37, 297–305. [Google Scholar] [CrossRef] [PubMed]
- Lechuga, S.; Ivanov, A.I. Disruption of the epithelial barrier during intestinal inflammation: Quest for new molecules and mechanisms. Biochim. Biophys. Acta Mol. Cell Res. 2017, 1864, 1183–1194. [Google Scholar] [CrossRef] [PubMed]
- De Lazzari, F.; Prag, H.A.; Gruszczyk, A.V.; Whitworth, A.J.; Bisaglia, M. DJ-1: A promising therapeutic candidate for ischemia-reperfusion injury. Redox Biol. 2021, 41, 101884. [Google Scholar] [CrossRef]
- Barta, B.P.; Onhausz, B.; Egyed-Kolumbán, A.; Al Doghmi, A.; Balázs, J.; Szalai, Z.; Ferencz, Á.; Hermesz, E.; Bagyánszki, M.; Bódi, N. Intestinal Region-Dependent Impact of NFκB-Nrf Crosstalk in Myenteric Neurons and Adjacent Muscle Cells in Type 1 Diabetic Rats. Biomedicines 2024, 12, 2347. [Google Scholar] [CrossRef]
- Gonzalez, L.M.; Moeser, A.J.; Blikslager, A.T. Porcine models of digestive disease: The future of large animal translational research. Transl. Res. 2015, 166, 12–27. [Google Scholar] [CrossRef] [PubMed]
- Leenarts, C.A.; Grootjans, J.; Hundscheid, I.H.; Schellekens, D.H.; Lenaerts, K.; Buurman, W.A.; Dejong, C.H.; Derikx, J.P. Histopathology of human small intestinal and colonic ischemia-reperfusion: Experiences from human IR-models. Histol. Histopathol. 2019, 34, 711–722. [Google Scholar] [CrossRef] [PubMed]
- Hildebrandt, L.; Dieterlen, M.T.; Klaeske, K.; Haunschild, J.; Saeed, D.; Eifert, S.; Borger, M.A.; Jawad, K. Myostatin/AKT/FOXO Signaling Is Altered in Human Non-Ischemic Dilated Cardiomyopathy. Life 2022, 12, 1418. [Google Scholar] [CrossRef] [PubMed]

| SACP (n = 9) | SACP + DP (n = 9) | p Value | |
|---|---|---|---|
| HR [bpm] | |||
| equilibration | 160 [125–196] | 147 [124–170] | 0.24 |
| 120 min recovery | 150 [121–180] | 158 [140–177] | 0.31 |
| CO [L/min] | |||
| equilibration | 1.15 [0.9–1.4] | 1.63 [0.1–3.2] | 0.25 |
| aorta cross-clamp | 2.17 [−1.0–5.3] | 1.43 [−0.5–3.3] | 0.32 |
| 60 min cardiac arrest | 1.02 [−0.2–2.3] | 2.35 [−0.1–5.2] | 0.08 |
| 120 min recovery | 0.87 [0.6–1.1] | 1.52 [0.5–2.6] | 0.09 |
| MAP [mmHg] | |||
| equilibration | 57 [47–67] | 65 [50–80] | 0.17 |
| aorta cross-clamp | 45 [19–70] | 45 [31–59] | 0.50 |
| 60 min cardiac arrest | 62 [24–101] | 50 [41–59] | 0.25 |
| 120 min recovery | 48 [41–56] | 61 [27–94] | 0.21 |
| CVP [mmHg] | |||
| equilibration | 11.6 [4.9–18.2] | 6.2 [5.5–7.0] | 0.05 |
| aorta cross-clamp | 6.4 [3.3–9.6] | 6.7 [2.9–10.5] | 0.46 |
| 60 min cardiac arrest | 7.4 [3.8–11.1] | 7.1 [0.1–14.1] | 0.46 |
| 120 min recovery | 11.4 [5.7–17.2] | 7.0 [5.6–8.4] | 0.06 |
| RRsys [mmHg] | |||
| equilibration | 77 [69–85] | 79 [59–100] | 0.39 |
| aorta cross-clamp | 49 [20–78] | 49 [33–65] | 0.49 |
| 60 min cardiac arrest | 68 [27–110] | 54 [43–65] | 0.23 |
| 120 min recovery | 73 [60–86] | 77 [46–108] | 0.40 |
| RRdias [mmHg] | |||
| equilibration | 47 [36–57] | 53 [39–66] | 0.21 |
| aorta cross-clamp | 40 [17–62] | 42 [29–55] | 0.42 |
| 60 min cardiac arrest | 55 [22–88] | 44 [39–50] | 0.23 |
| 120 min recovery | 37 [30–44] | 52 [16–87] | 0.18 |
| SACP (n = 9) | SACP + DP (n = 9) | p Value | |
|---|---|---|---|
| Hemoglobin [mmol/L] | |||
| equilibration | 5.26 [4.86–5.65] | 5.49 [5.25–5.72] | 0.13 |
| aorta cross-clamp | 4.40 [3.92–4.88] | 4.22 [3.83–4.61] | 0.52 |
| 60 min cardiac arrest | 6.16 [5.81–6.50] | 5.98 [5.56–6.39] | 0.46 |
| 120 min recovery | 5.89 [5.24–6.54] | 5.89 [4.83–6.82] | 0.90 |
| Hematokrit | |||
| equilibration | 25.9 [23.9–27.9] | 27.1 [26.0–28.3] | 0.12 |
| aorta cross-clamp | 21.7 [19.3–24.2] | 20.9 [18.9–22.8] | 0.26 |
| 60 min cardiac arrest | 29.9 [28.6–31.2] | 29.6 [27.5–31.6] | 0.37 |
| 120 min recovery | 29.1 [25.9–32.3] | 28.8 [23.8–33.7] | 0.45 |
| lactate [mmol/L] | |||
| equilibration | 1.28 [1.02–1.54] | 1.01 [0.83–1.19] | 0.03 |
| aorta cross-clamp | 1.60 [1.23–1.97] | 1.81 [1.15–2.47] | 0.26 |
| 60 min cardiac arrest | 6.26 [4.34–8.17] | 2.64 [1.45–3.84] | <0.01 |
| 120 min recovery | 3.71 [2.90–4.53] | 2.40 [1.25–3.55] | 0.03 |
| pH value | |||
| equilibration | 7.35 [7.28–7.42] | 7.36 [7.31–7.42] | 0.38 |
| aorta cross-clamp | 7.38 [7.29–7.46] | 7.36 [7.27–7.45] | 0.40 |
| 60 min cardiac arrest | 7.15 [7.04–7.26] | 7.31 [7.22–7.39] | <0.01 |
| 120 min recovery | 7.25 [7.17–7.33] | 7.29 [7.26–7.32] | 0.16 |
| sodium [mmol/L] | |||
| equilibration | 137 [134–141] | 139 [137–140] | 0.26 |
| aorta cross-clamp | 135 [132–139] | 137 [136–138] | 0.08 |
| 60 min cardiac arrest | 137 [132–142] | 140 [139–142] | 0.09 |
| 120 min recovery | 137 [132–142] | 139 [135–143] | 0.24 |
| chloride [mmol/L] | |||
| equilibration | 107 [103–110] | 108 [106–110] | 0.23 |
| aorta cross-clamp | 110 [108–113] | 111 [109–112] | 0.41 |
| 60 min cardiac arrest | 107 [104–111] | 110 [108–112] | 0.06 |
| 120 min recovery | 110 [106–113] | 112 [109–114] | 0.18 |
| calcium [mmol/L] | |||
| equilibration | 1.36 [1.28–1.44] | 1.37 [1.34–1.41] | 0.35 |
| aorta cross-clamp | 1.38 [1.31–1.45] | 1.41 [1.36–1.45] | 0.23 |
| 60 min cardiac arrest | 1.35 [1.28–1.42] | 1.40 [1.30–1.50] | 0.18 |
| 120 min recovery | 1.35 [1.24–1.46] | 1.49 [1.33–1.65] | 0.06 |
| potassium [mmol/L] | |||
| equilibration | 4.44 [4.11–4.78] | 4.16 [3.81–4.50] | 0.09 |
| aorta cross-clamp | 7.76 [6.16–9.35] | 6.43 [5.53–7.34] | 0.06 |
| 60 min cardiac arrest | 5.83 [4.88–6.79] | 4.91 [4.51–5.31] | 0.03 |
| 120 min recovery | 5.02 [4.40–5.64] | 4.79 [4.17–5.40] | 0.27 |
| Tissue | Parameter | SACP (n = 9) | SACP + DP (n = 9) | p Value |
|---|---|---|---|---|
| small intestine | villi height | 225.7 [190.8–260.7] | 254.3 [206.4–302.1] | 0.15 |
| villi width | 94.9 [87.6–102.2] | 99.3 [93.2–105.4] | 0.15 | |
| crypts depth | 137.6 [117.3–157.9] | 141.5 [126.0–156.9] | 0.36 | |
| crypts width | 32.7 [29.4–35.9] | 32.9 [27.8–38.0] | 1.00 | |
| colon | enterocyte height | 17.22 [14.3–20.2] | 15.2 [13.0–17.3] | 0.37 |
| crypts depth | 294.1 [233.6–354.6] | 228.4 [194.1–262.8] | 0.02 | |
| crypts width | 55.2 [41.3–69.0] | 49.1 [44.1–54.0] | 0.67 | |
| colonic layers | mucosa | 339.0 [291.9–386.2] | 298.4 [268.4–328.5] | 0.05 |
| submucosa | 211.5 [119.8–303.2] | 251.7 [168.4–335.0] | 0.23 | |
| muscularis propria | 255.8 [160.2–351.4] | 304.3 [211.6–397.0] | 0.24 |
| Groups | Grade 0 | Grade 1 | Grade 2 | Grade 3 | Grade 4 | Grade 5 |
|---|---|---|---|---|---|---|
| SACP (n = 9) | 0 (%) | 0 (%) | 2 (22%) | 1 (11%) | 3 (33%) | 2 (22%) |
| SACP + DP (n = 9) | 1 (11%) | 0 (%) | 1 (11%) | 5 (55%) | 2 (22%) | 0 (%) |
| Parameter | SACP (n = 9) | SACP + DP (n = 9) | p Value |
|---|---|---|---|
| tissue erosion | 0.05 | ||
| no | 2 (22%) | 2 (22%) | |
| low grade | 0 (0%) | 4 (44%) | |
| moderate grade | 0 (0%) | 1 (11%) | |
| high grade | 7 (78%) | 2 (22%) | |
| hyperemia | 0.09 | ||
| no | 0 (0%) | 1 (11%) | |
| low grade | 2 (22%) | 4 (44%) | |
| moderate grade | 0 (0%) | 2 (22%) | |
| high grade | 7 (78%) | 2 (22%) | |
| edema | 0.77 | ||
| no | 1 (11%) | 0 (0%) | |
| low grade | 3 (33%) | 3 (33%) | |
| moderate grade | 3 (33%) | 4 (44%) | |
| high grade | 2 (22%) | 2 (22%) | |
| villus stunting | 0.39 | ||
| no | 1 (11%) | 2 (22%) | |
| low grade | 5 (56%) | 3 (33%) | |
| moderate grade | 0 (0%) | 2 (22%) | |
| high grade | 3 (33%) | 2 (22%) |
| Parameter | Tissue | SACP (n = 9) | SACP + DP (n = 9) | p-Value |
|---|---|---|---|---|
| HIF-1α | small intestine | 4.2 [3.4–5.1] | 3.7 [3.1–4.3] | 0.12 |
| colon | 3.1 [2.7–3.5] | 3.4 [3.0–3.8] | 0.09 | |
| NRF2 | small intestine | 3.1 [2.3–3.9] | 2.3 [1.6–2.9] | 0.04 |
| colon | 2.4 [1.8–2.9] | 2.1 [1.6–2.6] | 0.19 | |
| DJ-1 | small intestine | 8.4 [7.2–9.6] | 6.9 [6.2–7.6] | 0.02 |
| colon | 7.5 [6.5–8.5] | 7.2 [6.7–7.7] | 0.27 | |
| E-cadherin | small intestine | 2.0 [0.89–3.1] | 1.6 [0.7–2.5] | 0.29 |
| colon | 0.1 [−0.4–0.6] | 0.7 [0.3–1.2] | 0.04 | |
| claudin-1 | small intestine | 11.3 [9.4–13.1] | 10.7 [9.3–12.0] | 0.27 |
| colon | 9.9 [7.8–12.1] | 9.0 [8.1–9.9] | 0.18 | |
| occludin | small intestine | 4.5 [3.7–5.3] | 4.2 [3.1–5.3] | 0.80 |
| colon | 4.5 [3.8–5.1] | 4.4 [3.7–5.0] | 0.40 |
| Parameter | Tissue | SACP (n = 9) | SACP + DP (n = 9) | p-Value |
|---|---|---|---|---|
| NOX [∆µU/mg] | small intestine | 13.4 [8.7–18.2] | 11.4 [4.7–18.1] | 0.29 |
| colon | 16.4 [13.0–19.8] | 14.6 [11.9–17.4] | 0.18 | |
| SOD [∆µU/mg] | small intestine | 0.03 [0.00–0.05] | 0.01 [−0.01–0.03] | 0.30 |
| colon | 0.15 [0.13–0.17] | 0.14 [0.09–0.18] | 0.55 | |
| Catalase [∆µU/mg] | small intestine | 30.8 [26.8–34.8] | 28.1 [21.8–34.5] | 0.21 |
| colon | 37.8 [31.0–44.5] | 36.7 [31.8–41.6] | 0.80 |
Disclaimer/Publisher’s Note: The statements, opinions and data contained in all publications are solely those of the individual author(s) and contributor(s) and not of MDPI and/or the editor(s). MDPI and/or the editor(s) disclaim responsibility for any injury to people or property resulting from any ideas, methods, instructions or products referred to in the content. |
© 2026 by the authors. Licensee MDPI, Basel, Switzerland. This article is an open access article distributed under the terms and conditions of the Creative Commons Attribution (CC BY) license.
Share and Cite
Klaeske, K.; Meier, S.; Lammers, J.; Ossmann, S.; Bovet, M.; Borger, M.A.; Dieterlen, M.-T.; Kostelka, M.; Vollroth, M. Intestinal Tissue Damage Reduction After Distal Perfusion for Aortic Arch Surgery in a Neonatal Porcine Model. Biomedicines 2026, 14, 355. https://doi.org/10.3390/biomedicines14020355
Klaeske K, Meier S, Lammers J, Ossmann S, Bovet M, Borger MA, Dieterlen M-T, Kostelka M, Vollroth M. Intestinal Tissue Damage Reduction After Distal Perfusion for Aortic Arch Surgery in a Neonatal Porcine Model. Biomedicines. 2026; 14(2):355. https://doi.org/10.3390/biomedicines14020355
Chicago/Turabian StyleKlaeske, Kristin, Sabine Meier, Jana Lammers, Susann Ossmann, Mia Bovet, Michael A. Borger, Maja-Theresa Dieterlen, Martin Kostelka, and Marcel Vollroth. 2026. "Intestinal Tissue Damage Reduction After Distal Perfusion for Aortic Arch Surgery in a Neonatal Porcine Model" Biomedicines 14, no. 2: 355. https://doi.org/10.3390/biomedicines14020355
APA StyleKlaeske, K., Meier, S., Lammers, J., Ossmann, S., Bovet, M., Borger, M. A., Dieterlen, M.-T., Kostelka, M., & Vollroth, M. (2026). Intestinal Tissue Damage Reduction After Distal Perfusion for Aortic Arch Surgery in a Neonatal Porcine Model. Biomedicines, 14(2), 355. https://doi.org/10.3390/biomedicines14020355

