Sign in to use this feature.

Years

Between: -

Subjects

remove_circle_outline
remove_circle_outline
remove_circle_outline
remove_circle_outline
remove_circle_outline
remove_circle_outline
remove_circle_outline
remove_circle_outline
remove_circle_outline

Journals

remove_circle_outline
remove_circle_outline
remove_circle_outline
remove_circle_outline
remove_circle_outline
remove_circle_outline

Article Types

Countries / Regions

remove_circle_outline
remove_circle_outline
remove_circle_outline
remove_circle_outline
remove_circle_outline
remove_circle_outline
remove_circle_outline

Search Results (962)

Search Parameters:
Keywords = plaque formation

Order results
Result details
Results per page
Select all
Export citation of selected articles as:
21 pages, 2307 KB  
Review
Selenium-Mediated Rhizosphere Blocking and Control Network: Multidimensional Mechanisms for Regulating Heavy Metal Bioavailability
by Qing Guan, Xiaotong Zhou, Shuqing Jia, Yulong Niu, Linling Li, Hua Cheng, Shuiyuan Cheng and Yingtang Lu
Agronomy 2026, 16(3), 363; https://doi.org/10.3390/agronomy16030363 - 2 Feb 2026
Abstract
Soil heavy metal (HM) pollution poses a severe threat to ecological security and human health. Selenium (Se) is an essential trace element for the human body and can regulate crop growth and development as well as HM uptake in HM-contaminated soils. The regulatory [...] Read more.
Soil heavy metal (HM) pollution poses a severe threat to ecological security and human health. Selenium (Se) is an essential trace element for the human body and can regulate crop growth and development as well as HM uptake in HM-contaminated soils. The regulatory mechanisms of Se on HMs are mainly reflected in four aspects: Geochemical immobilization promotes the formation of metal selenide precipitates and the adsorption of HMs by soil colloids by regulating the rhizosphere redox potential (Eh) and pH value. Rhizosphere microbial remodeling drives the enrichment of functional microorganisms such as Se redox bacteria, plant growth-promoting rhizobacteria (PGPR), and arbuscular mycorrhizal fungi (AMF) through the dual selective pressure of Se toxicity and root exudates, in order to synergistically realize Se speciation transformation and HM adsorption/chelation. Root barrier reinforcement constructs physical and chemical dual defense barriers by inducing the formation of iron plaques on the root surface, remodeling root morphology and strengthening cell wall components such as lignin and polysaccharides. Intracellular transport regulation down-regulates the genes encoding HM uptake transporters, up-regulates the genes encoding HM efflux proteins, and promotes the synthesis of phytochelatins (PCs) to form HM complexes and lastly realizes vacuolar sequestration. Finally, we summarize current research gaps in the interaction mechanisms of different Se species, precise application strategies, and long-term environmental risk assessment, providing a theoretical basis and technical outlook for the green remediation of HM-contaminated farmlands and Se biofortification of crops. Full article
Show Figures

Figure 1

15 pages, 2952 KB  
Article
A Lytic Mosigvirus Phage (GADS24) from a Poultry-Farm Environment: Genome-Resolved Characterization and In Vitro Biocontrol-Relevant Phenotyping Against Escherichia coli
by Jehan Alrahimi, Ghadah Alsubhi, Alia Aldahlawi, Fatemah S. Basingab, Mohammed A. Imam, Hashim Felemban, Najwa Alharbi, Sana Alshaik, Hala S. Sonbol, Kawther Zaher and Esam I. Azhar
Int. J. Mol. Sci. 2026, 27(3), 1276; https://doi.org/10.3390/ijms27031276 - 27 Jan 2026
Viewed by 165
Abstract
Multidrug-resistant (MDR) Escherichia coli (E. coli) at the poultry–human interface motivates evaluating strictly lytic bacteriophages as targeted biocontrol candidates. A lytic E. coli phage (GADS24) was isolated from poultry waste in Saudi Arabia. Plaque formation and host range were assessed against [...] Read more.
Multidrug-resistant (MDR) Escherichia coli (E. coli) at the poultry–human interface motivates evaluating strictly lytic bacteriophages as targeted biocontrol candidates. A lytic E. coli phage (GADS24) was isolated from poultry waste in Saudi Arabia. Plaque formation and host range were assessed against 10 clinical E. coli isolates. Virion morphology was examined by transmission electron microscopy (TEM). Whole-genome sequencing (Illumina) and annotation (Prokka/RAST) were followed by comparative genomics (BLASTn 2.15.0, ANI JSpeciesWS: 2014–2025 Ribocon GmbH—Version: 5.0.3, dDDH GGDC: GGDC 3.0 and phylogenetic/proteomic analyses for taxonomic placement. GADS24 formed clear plaques and lysed 5 of 10 clinical E. coli isolates tested. TEM revealed an icosahedral capsid (~72.6 nm) and a contractile tail (~131.7 nm), consistent with Tevenvirinae/Mosigvirus morphology. The dsDNA genome is 168,896 bp (GC 43.8%) with 268 predicted ORFs and two tRNA genes (tRNA-Arg and tRNA-Met); no lysogeny-related genes were detected. The closest relative was Escherichia phage JN02 (98.44% ANI; 57.8% dDDH), supporting assignment to Mosigvirus while indicating a genome-resolved distinct lineage. The genome is available in GenBank (OQ703618). GADS24 represents a genome-resolved, strictly lytic Mosigvirus with in vitro biocontrol-relevant phenotyping against E. coli, supporting follow-up development for poultry-associated infection control and deeper phage–host interaction studies. Full article
(This article belongs to the Special Issue Applications of Bacteriophages)
Show Figures

Figure 1

12 pages, 1759 KB  
Article
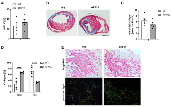
Elevated IL-1 Beta Plasma Levels, Altered Platelet Activation and Cardiac Remodeling Lead to Moderately Decreased LV Function in Alzheimer Transgenic Mice After Myocardial Ischemia and Reperfusion
by Lili Donner, Simone Gorressen, Jens W. Fischer and Margitta Elvers
J. Cardiovasc. Dev. Dis. 2026, 13(2), 64; https://doi.org/10.3390/jcdd13020064 - 26 Jan 2026
Viewed by 98
Abstract
Background: Neurodegeneration and dementia are key factors in Alzheimer’s disease (AD). The deposition of amyloid-ß into senile plaques in the brain parenchyma and in cerebral vessels known as cerebral amyloid angiopathy (CAA) are the main clinical parameters of AD. Acute myocardial infarction (AMI) [...] Read more.
Background: Neurodegeneration and dementia are key factors in Alzheimer’s disease (AD). The deposition of amyloid-ß into senile plaques in the brain parenchyma and in cerebral vessels known as cerebral amyloid angiopathy (CAA) are the main clinical parameters of AD. Acute myocardial infarction (AMI) and AD share a comparable pathophysiology. However, the underlying mechanisms and the consequences of AMI in AD patients are unclear to date. Methods: AD transgenic APP23 mice were analyzed in experimental AMI using the closed-chest model. Results: APP23 mice displayed significantly decreased left ventricular function as detected by FS/MPI (fractional shortening/myocardial performance index) after 24 h and 3 weeks after ligation of the LAD compared to WT controls. No differences have been observed in infarct and scar size. The analysis of cardiac remodeling after 3 weeks showed an altered composition of the collagen tissue of the scar with elevated tight but reduced fine collagen in APP23 mice. Altered scar formation was accompanied by elevated degranulation of platelets following activation of the collagen receptor GPVI. Conclusions: These results suggest that AD patients are at higher risk for cardiac damage after AMI. This implies the need for a personalized therapy of AMI in AD patients. Full article
(This article belongs to the Section Basic and Translational Cardiovascular Research)
Show Figures

Figure 1

18 pages, 6060 KB  
Article
Cerebellar Resistance to Amyloid Plaque Deposition and Elevated Microglial ECM Proteoglycan Uptake in 5xFAD Mice
by Carla Cangalaya, Henning Peter Düsedau, Ildiko Rita Dunay, Alexander Dityatev and Stoyan Stoyanov
Cells 2026, 15(2), 182; https://doi.org/10.3390/cells15020182 - 19 Jan 2026
Viewed by 314
Abstract
In both Alzheimer’s disease (AD) patients and animal models, senile plaques are generally observed in the cerebral cortex rather than the cerebellum. The mechanisms underlying the regional resistance of the cerebellum to amyloid plaque deposition remain poorly understood. We investigated this cerebellar resistance [...] Read more.
In both Alzheimer’s disease (AD) patients and animal models, senile plaques are generally observed in the cerebral cortex rather than the cerebellum. The mechanisms underlying the regional resistance of the cerebellum to amyloid plaque deposition remain poorly understood. We investigated this cerebellar resistance using 5xFAD mice, an amyloidosis model with high expression of mutant human APP and PSEN1 in the cortex and cerebellum. In aged 5xFAD mice, the cerebellum had minimal amyloid-β (Aβ) deposition despite robust transgene expression, correlating with lower expression levels of IBA1, CD68, TREM2, and CD36 (although elevated expression of CD45 and MHC I) compared to the cortex. Consistent with the absence of plaques, cerebellar tissue lacked the dystrophic VGLUT1-positive synaptic accumulations prominent in the cortex. Cerebellar microglia maintained a distinct, less inflammatory phenotype yet displayed efficient clearance activity. Notably, ASC inflammasome specks—capable of seeding Aβ aggregation—were paradoxically more abundant in the cerebellum, implying that rapid Aβ clearance prevents these seeds from driving plaque formation. Furthermore, key extracellular matrix (ECM) proteoglycans brevican and aggrecan were elevated in the 5xFAD cerebellum. Cerebellar microglia showed enhanced internalization of brevican alongside small Aβ aggregates, exceeding that in cortical microglia. These findings indicate that region-specific microglial and ECM interactions—particularly efficient uptake and degradation of ECM–Aβ co-aggregates—may underlie the cerebellum’s resilience to amyloid plaque pathology. Full article
(This article belongs to the Special Issue Targeting Cellular Microenvironment in Aging and Disease)
Show Figures

Figure 1

22 pages, 1873 KB  
Review
Electron Transfer-Mediated Heavy Metal(loid) Bioavailability, Rice Accumulation, and Mitigation in Paddy Ecosystems: A Critical Review
by Zheng-Xian Cao, Zhuo-Qi Tian, Hui Guan, Yu-Wei Lv, Sheng-Nan Zhang, Tao Song, Guang-Yu Wu, Fu-Yuan Zhu and Hui Huang
Agriculture 2026, 16(2), 202; https://doi.org/10.3390/agriculture16020202 - 13 Jan 2026
Viewed by 262
Abstract
Electron transfer (ET) is a foundational biogeochemical process in paddy soils, distinctively molded by alternating anaerobic-aerobic conditions from flooding-drainage cycles. Despite extensive research on heavy metal(loid) (denoted as “HM”, e.g., As, Cd, Cr, Hg) dynamics in paddies, ET has not been systematically synthesized [...] Read more.
Electron transfer (ET) is a foundational biogeochemical process in paddy soils, distinctively molded by alternating anaerobic-aerobic conditions from flooding-drainage cycles. Despite extensive research on heavy metal(loid) (denoted as “HM”, e.g., As, Cd, Cr, Hg) dynamics in paddies, ET has not been systematically synthesized as a unifying regulatory mechanism, and the trade-offs of ET-based mitigation strategies remain unclear. These critical gaps have drastically controlled HMs’ mobility, which further modulates bioavailability and subsequent accumulation in rice (Oryza sativa L., a staple sustaining half the global population), posing substantial food safety risks. Alongside progress in electroactive microorganism (EAM) research, extracellular electron transfer (EET) mechanism delineation, and soil electrochemical monitoring, ET’s role in orchestrating paddy soil HM dynamics has garnered unparalleled attention. This review explicitly focuses on the linkage between ET processes and HM biogeochemistry in paddy ecosystems: (1) elucidates core ET mechanisms in paddy soils (microbial EET, Fe/Mn/S redox cycling, organic matter-mediated electron shuttling, rice root-associated electron exchange) and their acclimation to flooded conditions; (2) systematically unravels how ET drives HM valence transformation (e.g., As(V) to As(III), Cr(VI) to Cr(III)), speciation shifts (e.g., exchangeable Cd to oxide-bound Cd), and mobility changes; (3) expounds on ET-regulated HM bioavailability by modulating soil retention capacity and iron plaque formation; (4) synopsizes ET-modulated HM accumulation pathways in rice (root uptake, xylem/phloem translocation, grain sequestration); (5) evaluates key factors (water management, fertilization, straw return) impacting ET efficiency and associated HM risks. Ultimately, we put forward future avenues for ET-based mitigation strategies to uphold rice safety and paddy soil sustainability. Full article
Show Figures

Figure 1

24 pages, 3255 KB  
Review
Molecular Mechanisms Underlying Atherosclerosis and Current Advances in Targeted Therapeutics
by Bo Zhu
Int. J. Mol. Sci. 2026, 27(2), 634; https://doi.org/10.3390/ijms27020634 - 8 Jan 2026
Viewed by 595
Abstract
Atherosclerosis is a chronic, multifactorial vascular disease and the leading global cause of cardiovascular morbidity. Its development reflects interconnected disturbances in lipid metabolism, endothelial function, inflammation, smooth muscle cell (SMC) phenotypic switching, and extracellular matrix remodeling. Genetic predisposition, including monogenic disorders such as [...] Read more.
Atherosclerosis is a chronic, multifactorial vascular disease and the leading global cause of cardiovascular morbidity. Its development reflects interconnected disturbances in lipid metabolism, endothelial function, inflammation, smooth muscle cell (SMC) phenotypic switching, and extracellular matrix remodeling. Genetic predisposition, including monogenic disorders such as familial hypercholesterolemia and polygenic risk variants, modulates disease susceptibility by altering lipid homeostasis as well as inflammatory and thrombotic pathways. Epigenetic regulators and noncoding RNAs, such as histone modifications, microRNAs, and long noncoding RNAs, further shape gene expression and link environmental cues to vascular pathology. Endothelial injury promotes lipoprotein retention and oxidation, triggering monocyte recruitment and macrophage-driven foam cell formation, cytokine secretion, and necrotic core development. Persistent inflammation, macrophage heterogeneity, and SMC plasticity collectively drive plaque growth and destabilization. Emerging insights into immune cell metabolism, intracellular signaling networks, and novel regulatory RNAs are expanding therapeutic possibilities beyond lipid-lowering. Current and evolving treatments include statins, proprotein convertase subtilisin/kexin type 9 (PCSK9) inhibitors, anti-inflammatory agents targeting interleukin-1 beta (IL-1β) or NOD-, LRR-, and pyrin domain-containing protein 3 (NLRP3), and advanced approaches such as gene editing, siRNA, and nanoparticle-based delivery. Integrating multi-omics, biomarker-guided therapy, and precision medicine promises improved risk stratification and next-generation targeted interventions. This review summarizes recent molecular advances and highlights translational opportunities for enhancing atherosclerosis prevention and treatment. Full article
(This article belongs to the Special Issue Molecular Insights and Therapeutic Advances in Atherosclerosis)
Show Figures

Figure 1

13 pages, 3075 KB  
Article
Inhibition of Streptococcus Biofilm Formation by 6′-Sialyllactose and N-Acetylneuraminic Acid
by Yohei Sato, Yuta Watanabe, Tatsuhiro Ayabe and Takeshi Kokubo
Dent. J. 2026, 14(1), 41; https://doi.org/10.3390/dj14010041 - 7 Jan 2026
Viewed by 371
Abstract
Background/Objectives: Oral hygiene is crucial for maintaining overall health, as poor oral care can lead to various systemic diseases. Although xylitol is widely used to inhibit plaque formation, more effective agents are needed to control oral biofilms. Herein, we evaluated the inhibitory [...] Read more.
Background/Objectives: Oral hygiene is crucial for maintaining overall health, as poor oral care can lead to various systemic diseases. Although xylitol is widely used to inhibit plaque formation, more effective agents are needed to control oral biofilms. Herein, we evaluated the inhibitory effects of sialyllactose (SL), a type of human milk oligosaccharide (HMO), and its partial structure N-acetylneuraminic acid (Neu5Ac) against Streptococcus biofilm. Methods: Under a CO2 atmosphere, Streptococcus mutans and mixed Streptococcus species were each cultivated in vitro, and the inhibitory effects of HMOs [2′-fucosyllactose, 3′-sialyllactose (3′-SL) and 6′-sialyllactose (6′-SL)] and Neu5Ac on biofilm formation were evaluated. Bacterial biofilm formation was quantified using the crystal violet assay. Biofilm architecture and viability were visualized using confocal laser-scanning microscopy (CLSM) with SYTO9/propidium iodide staining. Transcriptomic responses of S. mutans biofilms to the test compounds were analyzed by RNA-Seq. Statistical analysis was performed using one-way analysis of variance followed by Tukey’s test. Results: SLs and Neu5Ac at 100 mM significantly inhibited S. mutans biofilm formation, with stronger effects than those of xylitol. The inhibitory effects varied among HMOs, with 6′-SL being more effective than 3′-SL and Neu5Ac being most effective. These effects were consistent in assays targeting biofilms formed by other S. mutans strains and in a mixed biofilm comprising Streptococcus species. Gene expression analysis suggested that the inhibitory mechanism involves the physical inhibition of surface adhesion and stress-induced regulation of gene expression. Conclusions: This study provides insights into the physiological significance of HMOs in the oral cavities of humans. HMOs exhibited potential as functional foods to control oral biofilm formation and reduce the risk of oral and systemic diseases. Full article
Show Figures

Figure 1

22 pages, 3736 KB  
Article
In Vitro Evaluation of Surface and Mechanical Behavior of 3D-Printed PMMA After Accelerated and Chemical Aging Under Simulated Oral Conditions
by Vlad-Gabriel Vasilescu, Robert Cătălin Ciocoiu, Andreea Mihaela Custură, Lucian Toma Ciocan, Marian Miculescu, Vasile Iulian Antoniac, Ana-Maria Cristina Țâncu, Marina Imre and Silviu Mirel Pițuru
Dent. J. 2026, 14(1), 40; https://doi.org/10.3390/dj14010040 - 7 Jan 2026
Viewed by 351
Abstract
Studying surface energy and permeability offers insights into the relationship between temporary polymers and the oral environment. Variations in contact angle and surface free energy may signify modifications in surface polarity and tendency for plaque buildup, staining, or microcrack formation. Objectives: The [...] Read more.
Studying surface energy and permeability offers insights into the relationship between temporary polymers and the oral environment. Variations in contact angle and surface free energy may signify modifications in surface polarity and tendency for plaque buildup, staining, or microcrack formation. Objectives: The present study aims to evaluate the influence of simulated salivary and chemical aging conditions on the surface and mechanical properties of 3D-printed PMMA provisional materials. Methods: Two 3D-printed polymethyl methacrylate (PMMA) resins were investigated, namely Anycubic White (Anycubic, Shenzhen, China) and NextDent Creo (NextDent, 3D Systems, Soesterberg, The Netherlands), using two aging protocols. Protocol A consisted of chemical aging in an alcohol-based mouthwash, while Protocol B involved thermal aging in artificial saliva. After aging, surface properties (wettability and SFE) and compressive behaviour were analyzed. Statistical analysis was conducted to assess the influence of temperature, immersion duration, and aging medium, with significance established at p < 0.05. Results: In Protocol A, mechanical properties showed a time-dependent decrease, with material-specific stabilization trends. In Protocol B, thermal aging resulted in elastic modulus reductions ranging from 35% to 46% relative to the reference. The yield strength exhibited similar tendencies. In Protocol A, X samples exhibited a consistent decline, while C samples stabilized after 14 days. For Protocol B, the fitted model produced residuals under 2%, confirming temperature as the primary variable. Conclusions: Chemical and thermal aging influence the physical and mechanical properties of the analyzed 3D-printed PMMA. Among the two protocols, thermal aging in artificial saliva resulted in more pronounced material degradation. After chemical aging in mouthwash, the surface free energy remained almost constant. After thermal aging, all samples demonstrated a gradual rise in SFE with prolonged immersion duration. The current study offers valuable insights into the environmental stability of printed PMMA; however, it is an in vitro evaluation. The findings indicate that temperature exposure and prolonged contact with oral hygiene products may affect the mechanical reliability of 3D-printed provisional restorations, which must be considered during material selection for longer temporary usage. Additionally, spectroscopic and microscopic analyses might better clarify the molecular-level chemical alterations linked to aging. Full article
(This article belongs to the Special Issue 3D Printing Technology in Dentistry)
Show Figures

Graphical abstract

48 pages, 1103 KB  
Review
Inflammatory Mechanisms in Acute Coronary Syndromes: From Pathophysiology to Therapeutic Targets
by Daniel Miron Brie, Cristian Mornoș, Ovidiu Adam, Alexandru Tîrziu, Roxana Popescu and Alina Diduța Brie
Cells 2026, 15(1), 72; https://doi.org/10.3390/cells15010072 - 31 Dec 2025
Viewed by 695
Abstract
Inflammation plays a pivotal role in the pathogenesis of acute coronary syndromes (ACS), contributing to plaque instability, thrombosis, and myocardial injury. This review aims to comprehensively examine the inflammatory mechanisms underlying ACS and evaluate current and emerging anti-inflammatory therapeutic strategies. We conducted a [...] Read more.
Inflammation plays a pivotal role in the pathogenesis of acute coronary syndromes (ACS), contributing to plaque instability, thrombosis, and myocardial injury. This review aims to comprehensively examine the inflammatory mechanisms underlying ACS and evaluate current and emerging anti-inflammatory therapeutic strategies. We conducted a comprehensive literature review examining the role of inflammatory pathways in ACS pathophysiology, including innate and adaptive immune responses, key inflammatory mediators, and cellular mechanisms. We analyzed current evidence for anti-inflammatory therapies and their clinical outcomes in ACS management. Inflammatory processes in ACS involve complex interactions between innate immune cells (neutrophils, macrophages, monocytes) and adaptive immune cells (T lymphocytes, B cells). Key mechanisms include neutrophil extracellular trap (NET) formation, macrophage polarization, T cell subset imbalances (Th1/Th17 predominance with regulatory T cell dysfunction), and complement activation. Inflammatory biomarkers such as C-reactive protein, interleukin-6, and NET-specific markers demonstrate prognostic value. Anti-inflammatory therapies including colchicine, canakinumab (IL-1β inhibition), and methotrexate have shown cardiovascular benefits in clinical trials. Emerging targets include NET inhibition, T cell modulation, and precision inflammatory profiling approaches. Inflammation represents a critical therapeutic target in ACS beyond traditional risk factor modification. While colchicine and IL-1β inhibition have demonstrated clinical efficacy, future strategies should focus on precision medicine approaches targeting specific inflammatory pathways based on individual patient profiles. Integration of anti-inflammatory therapy with lipid management and antithrombotic strategies offers promise for improving ACS outcomes through comprehensive targeting of the multifactorial pathophysiology underlying coronary artery disease. Full article
Show Figures

Figure 1

19 pages, 1764 KB  
Article
Dimethylglycine as a Potent Modulator of Catalase Stability and Activity in Alzheimer’s Disease
by Adhikarimayum Priya Devi, Seemasundari Yumlembam, Kuldeep Singh, Akshita Gupta, Kananbala Sarangthem and Laishram Rajendrakumar Singh
Biophysica 2026, 6(1), 2; https://doi.org/10.3390/biophysica6010002 - 30 Dec 2025
Viewed by 301
Abstract
Alzheimer’s disease (AD) is a progressive neurodegenerative disorder characterized by memory loss, cognitive decline, and oxidative stress-driven neuronal damage. Catalase, a key antioxidant enzyme, plays a vital role in decomposing hydrogen peroxide (H2O2) into water and oxygen, thereby protecting [...] Read more.
Alzheimer’s disease (AD) is a progressive neurodegenerative disorder characterized by memory loss, cognitive decline, and oxidative stress-driven neuronal damage. Catalase, a key antioxidant enzyme, plays a vital role in decomposing hydrogen peroxide (H2O2) into water and oxygen, thereby protecting neurons from reactive oxygen species (ROS)-mediated toxicity. In AD, the catalase function is compromised due to reduced enzymatic activity and aggregation, which not only diminishes its protective role but also contributes to amyloid plaque formation through catalase-Aβ co-oligomers. Hence, therapeutic strategies aimed at simultaneously preventing catalase aggregation and enhancing its enzymatic function are of great interest. In this study, we screened twelve naturally occurring metabolites for their ability to modulate catalase aggregation and activity. Among these, dimethylglycine (DMG) emerged as the most potent candidate. DMG significantly inhibited thermally induced aggregation of catalase and markedly enhanced its enzymatic activity in a concentration-dependent manner. Biophysical analyses revealed that DMG stabilizes catalase by promoting its native folded conformation, as evidenced by increased melting temperature (Tm), higher Gibbs free energy of unfolding (ΔG°), and reduced exposure of hydrophobic residues. TEM imaging and Thioflavin T assays further confirmed that DMG prevented amyloid-like fibril formation. Molecular docking and dynamics simulations indicated that DMG binds to an allosteric site on catalase, providing a structural basis for its dual role in stabilization and activation. These findings highlight DMG as a promising therapeutic molecule for restoring catalase function and mitigating oxidative stress in AD. By maintaining catalase stability and activity, DMG offers potential for slowing AD progression. Full article
Show Figures

Graphical abstract

18 pages, 582 KB  
Review
Rodent Models for Atherosclerosis
by Linghong Zeng, Jingshu Chi, Meiqi Zhu, Hong Hao, Shiyin Long, Zhenguo Liu and Caiping Zhang
Int. J. Mol. Sci. 2026, 27(1), 378; https://doi.org/10.3390/ijms27010378 - 29 Dec 2025
Viewed by 807
Abstract
Atherosclerosis, a leading cause of cardiovascular disease, is driven by a complex interplay of dyslipidemia, inflammation, and arterial plaque formation and progression. Animal models are indispensable to elucidate the pathogenesis and develop novel therapies. Rodent models are widely utilized due to their cost-effectiveness, [...] Read more.
Atherosclerosis, a leading cause of cardiovascular disease, is driven by a complex interplay of dyslipidemia, inflammation, and arterial plaque formation and progression. Animal models are indispensable to elucidate the pathogenesis and develop novel therapies. Rodent models are widely utilized due to their cost-effectiveness, reproducibility, and rapid disease progression. However, notable species differences exist in lipoprotein composition and lipid metabolism pathways. Mice and rats exhibit an HDL-dominant profile, whereas Syrian golden hamsters express cholesteryl ester transfer protein (CETP) and display a higher LDL fraction, but lower than that of humans, offering a model closer to human metabolically. Divergent CETP activity across species further complicates the translational relevance of the findings from these models for atherosclerosis and related metabolic disorders. This review systematically examines the key factors in rodent model selection and optimization, with consideration on the roles of sex and age. We focus on three commonly used and well-characterized rodent strains prone to atherosclerosis: C57BL/6J mice, Sprague-Dawley (SD) rats, Wistar rats, and golden hamsters. On Apoe−/− or Ldlr−/− backgrounds, male C57BL/6 mice, owing to their pronounced hypercholesterolemia and extended survival with high-fat diet, are preferentially used in late-stage plaque stability studies. In contrast, male SD or Wistar rats develop atherosclerosis slowly with limited lesion progression, while hamsters, despite their human-like lipid metabolism, exhibit substantial individual variability and lesions that typically arrest at early fatty streaks with poor reproducibility. Therefore, rats and hamsters are better suited for studies focusing on early disease mechanisms and human-mimetic lipid metabolism. Full article
(This article belongs to the Section Molecular Pathology, Diagnostics, and Therapeutics)
Show Figures

Figure 1

16 pages, 304 KB  
Review
The Roles of Incretin Hormones GIP and GLP-1 in Metabolic and Cardiovascular Health: A Comprehensive Review
by Dai Yamanouchi
Int. J. Mol. Sci. 2026, 27(1), 27; https://doi.org/10.3390/ijms27010027 - 19 Dec 2025
Viewed by 1518
Abstract
The incretin hormones glucose-dependent insulinotropic polypeptide (GIP) and glucagon-like peptide-1 (GLP-1) play central roles in metabolic and cardiovascular regulation. GLP-1 receptor agonists (GLP-1RAs) are established therapies for type 2 diabetes mellitus (T2DM) and obesity because of their insulinotropic effects, weight reduction, and proven [...] Read more.
The incretin hormones glucose-dependent insulinotropic polypeptide (GIP) and glucagon-like peptide-1 (GLP-1) play central roles in metabolic and cardiovascular regulation. GLP-1 receptor agonists (GLP-1RAs) are established therapies for type 2 diabetes mellitus (T2DM) and obesity because of their insulinotropic effects, weight reduction, and proven cardiovascular benefit in trial level. In contrast, GIP was historically overlooked due to reduced β-cell responsiveness in T2DM. The development of dual GIP/GLP-1 receptor agonists has reshaped this view. Tirzepatide, the first-in-class co-agonist, an antidiabetic medication to treat type 2 diabetes and for weight loss, provides superior glycemic control and weight loss compared with selective GLP-1RAs in clinical trials, demonstrating synergistic actions between the two incretin pathways. This review summarizes key physiology, pathophysiology, and therapeutic evidence in incretin biology. We describe secretion patterns, receptor distributions, and distinct actions of GIP and GLP-1, as well as alterations in incretin signaling in T2DM and obesity. Cardiovascular protective mechanisms are outlined, including improvements in lipid metabolism, reductions in blood pressure, enhanced endothelial nitric oxide activity, suppression of macrophage inflammation, decreased foam-cell formation, and stabilization of atherosclerotic plaques. At the therapeutic level, emerging directions—such as dual and triple agonists—and unresolved questions regarding long-term vascular effects of GIP and the potential for genotype-guided incretin therapy are also discussed. Collectively, these findings highlight an emerging shift toward integrated incretin-axis modulation as a therapeutic strategy for metabolic and cardiovascular disease. Full article
Show Figures

Graphical abstract

24 pages, 4525 KB  
Article
Dietary Interventions Modulate Cell Competition and Locomotor Decline in an Alzheimer’s Disease Drosophila Model
by Carolina Costa-Rodrigues, Jovin R. Jacobs, Joana Couceiro, Catarina Brás-Pereira and Eduardo Moreno
Cells 2025, 14(24), 2011; https://doi.org/10.3390/cells14242011 - 17 Dec 2025
Viewed by 678
Abstract
Alzheimer’s Disease (AD) is a neurodegenerative disorder characterised by Amyloid-beta 42 (Aβ42) plaque accumulation and cognitive decline, with current treatments focused on symptomatic relief. Emerging therapeutics, such as dietary interventions, can modulate cognitive decline and delay AD progression. Our previous work in Drosophila [...] Read more.
Alzheimer’s Disease (AD) is a neurodegenerative disorder characterised by Amyloid-beta 42 (Aβ42) plaque accumulation and cognitive decline, with current treatments focused on symptomatic relief. Emerging therapeutics, such as dietary interventions, can modulate cognitive decline and delay AD progression. Our previous work in Drosophila melanogaster identified cell competition as a key mechanism that eliminates unfit neurons in an AD model, improving locomotion by removing the unfit neurons expressing flowerLoseB and ahuizotl (azot). Here, we explored how diet influences azot-dependent cell competition and locomotion in the AD model. Flies were fed with either a yeast-based diet (YBD) or a synthetic (SAA) diet for up to 28 days. In contrast to YBD, SAA delayed cell competition activation until day 21, coinciding with locomotion improvement and delayed Aβ formation. The overexpression of the human Flower (hFWE) isoforms in a Drosophila neuronal context revealed functional conservation: hFWE1 acted as the sole loser isoform, and hFWE2 as a winner isoform. With the YBD, forcing cell competition by expressing hFWE2 in the AD model led to an accumulation of unfit cells and promoted worse locomotion phenotypes over time compared to with the SAA diet. Our data highlights the complex interaction between diet, cell competition, and Aβ toxicity, offering new therapeutic insights. Full article
Show Figures

Graphical abstract

23 pages, 5878 KB  
Article
Interleukin-38 Ameliorates Atherosclerosis by Inhibiting Macrophage M1-like Polarization and Apoptosis
by Zhiyang Li, Xuelian Li, Rui Shen, Yue Wang, Jian Yu, Chengliang Pan, Yifan Cai, Qian Dong, Kunwu Yu and Qiutang Zeng
Biomolecules 2025, 15(12), 1741; https://doi.org/10.3390/biom15121741 - 16 Dec 2025
Viewed by 536
Abstract
Objectives: As a novel member of the interleukin(IL)-1 family, IL-38 has shown therapeutic effects in various chronic inflammatory diseases. However, its role and underlying mechanisms in cardiovascular diseases, particularly atherosclerosis, remain unclear. This study aimed to explore the effects of IL-38 on atherosclerosis [...] Read more.
Objectives: As a novel member of the interleukin(IL)-1 family, IL-38 has shown therapeutic effects in various chronic inflammatory diseases. However, its role and underlying mechanisms in cardiovascular diseases, particularly atherosclerosis, remain unclear. This study aimed to explore the effects of IL-38 on atherosclerosis progression and its mechanisms in regulating macrophage function during the atherosclerotic process. Methods: To evaluate the therapeutic potential of IL-38 in atherosclerosis, we performed histopathological examinations and biochemical analyses in vivo. In vitro, we used primary bone marrow-derived macrophages (BMDMs) stimulated with oxidized low-density lipoprotein (ox-LDL) to assess the anti-inflammatory effects of IL-38 and quantified its impact on ox-LDL-induced macrophage polarization. To further elucidate the specific mechanisms by which IL-38 regulates macrophage function, we conducted mRNA sequencing and validated downstream regulatory signaling pathways. Results: IL-38 exhibited therapeutic potential in atherosclerosis by reducing atherosclerotic plaque formation, modulating plaque composition, suppressing the production of proinflammatory cytokines within plaques, and potentially regulating macrophage cholesterol metabolism. Moreover, IL-38 exerted significant anti-inflammatory effects on macrophages both in vivo and in vitro. Notably, it inhibited the polarization of macrophages toward the proinflammatory M1-like phenotype in both settings. Additionally, IL-38 impeded the phosphorylation and nuclear translocation of p65 in BMDMs and reduced ox-LDL-induced macrophage apoptosis. Conclusion: IL-38 holds therapeutic potential for atherosclerosis, as it alleviates disease progression, inhibits macrophage polarization toward the M1-like phenotype, suppresses nuclear factor-κB (NF-κB) signaling activation, and reduces macrophage apoptosis. This study provides new insights into the anti-inflammatory mechanisms by which IL-38 mitigates atherosclerosis. Full article
(This article belongs to the Section Molecular Medicine)
Show Figures

Figure 1

21 pages, 6428 KB  
Article
Whole-Genome Sequencing and Functional Characterization of a Novel Kuravirus Bacteriophage with Antibiofilm Activity Against Multidrug-Resistant Avian Pathogenic Escherichia coli
by Phitchayapak Wintachai, Renuka Thonguppatham, Martha R. J. Clokie and Thotsapol Thomrongsuwannakij
Int. J. Mol. Sci. 2025, 26(24), 11911; https://doi.org/10.3390/ijms262411911 - 10 Dec 2025
Viewed by 458
Abstract
Avian pathogenic Escherichia coli (APEC) infections cause substantial economic losses in the poultry industry, primarily due to high mortality rates, reduced productivity, and increased treatment costs. With the emergence of antibiotic-resistant APEC strains, including multidrug-resistant (MDR) variants, alternative therapeutic strategies have gained increasing [...] Read more.
Avian pathogenic Escherichia coli (APEC) infections cause substantial economic losses in the poultry industry, primarily due to high mortality rates, reduced productivity, and increased treatment costs. With the emergence of antibiotic-resistant APEC strains, including multidrug-resistant (MDR) variants, alternative therapeutic strategies have gained increasing attention. This study reports the isolation and characterization of an Escherichia phage, vB_EcoG_APECPW12 (phage vAPECPW12), which specifically targets MDR APEC. Both antibacterial and antibiofilm activities of the phage were evaluated. Phage vAPECPW12 produced small plaques with halos and exhibited strong lytic activity against MDR APEC. Whole-genome sequencing revealed a genome size of 77,812 base pairs with 123 open reading frames. No tRNA, antibiotic-resistant, or lysogenic genes were identified. Phylogenetic analysis and genome comparison suggest that phage vAPECPW12 is a novel member of the genus Kuravirus within the Gordonclarkvirinae family. It also demonstrated good stability across a range of temperatures and pH levels and remained viable after exposure to UV radiation. Phage vAPECPW12 showed a high adsorption rate, a short latent period of 10 min, and a burst size of 258 plaque-forming units per cell. A depolymerase domain was identified in the genome, prompting investigation of its antibiofilm efficacy. Results showed that vAPECPW12 significantly inhibited biofilm formation and removed preformed biofilms, indicating its potential as an alternative antimicrobial agent for controlling MDR APEC and their biofilms in poultry farming. Full article
(This article belongs to the Special Issue Bacteriophage—Molecular Studies (6th Edition))
Show Figures

Graphical abstract

Back to TopTop