Sign in to use this feature.

Years

Between: -

Subjects

remove_circle_outline
remove_circle_outline
remove_circle_outline
remove_circle_outline
remove_circle_outline
remove_circle_outline
remove_circle_outline
remove_circle_outline
remove_circle_outline

Journals

remove_circle_outline
remove_circle_outline
remove_circle_outline
remove_circle_outline
remove_circle_outline
remove_circle_outline

Article Types

Countries / Regions

Search Results (202)

Search Parameters:
Keywords = pig bone

Order results
Result details
Results per page
Select all
Export citation of selected articles as:
10 pages, 653 KB  
Case Report
Multidrug-Resistant Escherichia coli Causing Respiratory and Systemic Infection in a Guinea Pig (Cavia porcellus) in Romania: A Case Report
by Alexandru Gligor, Vlad Iorgoni, Paula Nistor, Sebastian Alexandru Popa, Ionela Popa, Ionica Iancu, Ileana Nichita, Kalman Imre, Emil Tîrziu and Viorel Herman
Vet. Sci. 2026, 13(4), 370; https://doi.org/10.3390/vetsci13040370 - 11 Apr 2026
Viewed by 190
Abstract
Background/Objectives: Multidrug-resistant (MDR) Escherichia coli has increasingly been recognized as a pathogen capable of causing severe systemic infections in various animal species. However, reports describing respiratory and septicemic infections caused by MDR E. coli in guinea pigs remain scarce. The objective of this [...] Read more.
Background/Objectives: Multidrug-resistant (MDR) Escherichia coli has increasingly been recognized as a pathogen capable of causing severe systemic infections in various animal species. However, reports describing respiratory and septicemic infections caused by MDR E. coli in guinea pigs remain scarce. The objective of this report was to describe the clinical, pathological, and microbiological findings associated with a fatal infection in a domestic guinea pig. Case Study: A 10-month-old female guinea pig (Cavia porcellus), kept as a companion animal in a household environment, presented with acute respiratory distress, lethargy, and anorexia, progressing rapidly to death within approximately 36 h of onset. Post-mortem examination revealed severe pulmonary congestion, diffuse inflammatory lesions in the trachea, and generalized vascular congestion in multiple organs. Bacteriological cultures obtained from lung and bone marrow samples yielded pure growth of Escherichia coli. Identification was confirmed using MALDI-TOF mass spectrometry. Antimicrobial susceptibility testing demonstrated resistance to several antibiotic classes, including β-lactams, fluoroquinolones, tetracyclines, sulfonamides, and phenicols, while susceptibility was retained only to aminoglycosides. Molecular analysis revealed the presence of virulence genes involved in adhesion and iron acquisition, supporting the pathogenic potential of the isolate. Conclusions: This report highlights the ability of MDR E. coli to cause severe respiratory and systemic infections in guinea pigs. The findings underline the importance of early diagnosis, appropriate antimicrobial stewardship, and improved husbandry conditions in preventing such infections. From a One Health perspective, the circulation of resistant strains in companion animals may represent a potential risk for both environmental and human health. Full article
Show Figures

Figure 1

17 pages, 2915 KB  
Article
The Efficacy of Mesenchymal Stem Cell Therapy in Large Animal Models of Acute Liver Failure: A Meta-Analysis
by Yuxin Zhang, Yun Yu, Shanwei Yang, Yechao Lu and Xiaoping Pan
Int. J. Mol. Sci. 2026, 27(7), 3175; https://doi.org/10.3390/ijms27073175 - 31 Mar 2026
Viewed by 249
Abstract
Mesenchymal stem cells (MSCs) show therapeutic effects for acute liver failure (ALF), as demonstrated in small animal models of ALF, which showed improved survival and liver function. Nevertheless, small animal models are limited by their simplified immune systems and lower pathophysiological complexity, which [...] Read more.
Mesenchymal stem cells (MSCs) show therapeutic effects for acute liver failure (ALF), as demonstrated in small animal models of ALF, which showed improved survival and liver function. Nevertheless, small animal models are limited by their simplified immune systems and lower pathophysiological complexity, which prevent them from fully capturing the key features of human ALF. Large animal models offer better physiological similarity; however, the effectiveness of MSC therapy on large animal models of ALF, such as pigs and monkeys, remains unclear. In this study, we performed a meta-analysis to comprehensively evaluate the therapeutic effect and safety of MSC therapy in large animal models of ALF. A comprehensive search was conducted across PubMed/Medline, Web of Science, Embase, and the Cochrane Library for studies published prior to 3 March 2025. Of the 609 identified studies, 13 were included, with the majority showing a low or unclear risk of bias. The results of the meta-analysis indicated that MSC therapy was associated with a higher survival rate and lower levels of alanine aminotransferase (ALT) and aspartate aminotransferase (AST) in large animal models with ALF, compared with the control groups. Subgroup analyses showed efficacy in both pig and monkey models. Furthermore, they showed that bone marrow-derived mesenchymal stem cells and the deep vein transplantation route were each linked to a significantly higher survival rate and to lower ALT and AST levels after treatment in pigs with ALF. Additionally, a dose of (3.0–3.3) × 106/kg was associated with a significantly higher survival rate, as well as a lower AST level after treatment. In summary, the findings suggest MSC therapy is a safe and potential therapeutic option for large animals with ALF, although randomized controlled trials (RCTs) are needed for further validation. Full article
(This article belongs to the Section Molecular Pathology, Diagnostics, and Therapeutics)
Show Figures

Figure 1

24 pages, 1707 KB  
Article
Effects of Host-Specific Multi-Lactic Acid Bacterial Probiotics on Performance, Carcass Traits, Meat Quality, and Gut Microbiome in Fattening Pigs
by Katatikarn Sahatsanon, Kamon Chaweewan, Korawan Sringarm, Chaiwat Arjin, Patipan Hnokaew, Apinya Satsook, Premsuda Saman, Hyun-Wook Kim, Pattraphorn Patthararangsarith, Pasin Busayakanit, Kazeem Dauda Adeyemi, Panneepa Sivapirunthep and Chanporn Chaosap
Vet. Sci. 2026, 13(4), 322; https://doi.org/10.3390/vetsci13040322 - 26 Mar 2026
Viewed by 349
Abstract
This study evaluated the effects of a host-specific multi-lactic acid bacterial (MLAB) probiotic and sex on performance, carcass traits, meat quality, and gut microbiota in fattening pigs. Thirty-two crossbred pigs (10 ± 0.80 weeks; 23.43 ± 0.17 kg) were assigned to a 2 [...] Read more.
This study evaluated the effects of a host-specific multi-lactic acid bacterial (MLAB) probiotic and sex on performance, carcass traits, meat quality, and gut microbiota in fattening pigs. Thirty-two crossbred pigs (10 ± 0.80 weeks; 23.43 ± 0.17 kg) were assigned to a 2 × 2 factorial design with diet (control or MLAB probiotics) and sex (barrow or female). The MLAB supplement consisted of seven lactic acid bacterial strains mixed in equal proportions (≈14.3% each)—Lactobacillus brevis, Lactobacillus reuteri, Weissella cibaria, Lactobacillus paraplantarum, Lactococcus lactis, Lactobacillus pentosus, and Pediococcus pentosaceus—administered at 1 × 109 CFU/kg feed for 12 weeks. MLAB probiotic supplementation reduced bone proportion while increasing skin and fat content (p < 0.05), with a treatment × sex interaction for loin eye area (p < 0.05). Meat quality improved in the MLAB group, showing higher ultimate pH and lower cooking loss (p < 0.05), indicating improved water-holding capacity. Female pigs exhibited higher early postmortem pH and protein content (p < 0.05). Microbiome analysis revealed increased abundances of Oxalobacteraceae and Paludibacteraceae and reduced Clostridium sensu stricto 6 (p < 0.05). These results suggest that host-adapted probiotics may support gut microbial balance and improve certain pork quality traits. Full article
Show Figures

Figure 1

12 pages, 399 KB  
Article
Effects of Dietary 25-Hydroxycholecalciferol Alone or in Combination with Vitamin D3 on Growth Performance, Blood Vitamin D Status, Immune Response, Bone Integrity, and Antioxidant Capacity of Nursery Pigs
by Chan Ho Kwon, Eva S. Safaie, Jannell A. Torres, Zhaohui Yang, Xi Chen, Pengcheng Xue and Young Dal Jang
Animals 2026, 16(5), 771; https://doi.org/10.3390/ani16050771 - 1 Mar 2026
Viewed by 321
Abstract
This study evaluated the effects of dietary 25-hydroxycholecalciferol alone or in combination with vitamin D3 (VD3) on growth performance, vitamin D status, immune parameters, bone integrity, and antioxidant capacity in nursery pigs. Sixty weanling piglets (5.63 ± 0.98 kg initial [...] Read more.
This study evaluated the effects of dietary 25-hydroxycholecalciferol alone or in combination with vitamin D3 (VD3) on growth performance, vitamin D status, immune parameters, bone integrity, and antioxidant capacity in nursery pigs. Sixty weanling piglets (5.63 ± 0.98 kg initial body weight) were assigned to three treatments for a 28 d feeding trial. The treatments were a basal diet supplemented with 2000 IU/kg VD3, a combination of 1000 IU/kg VD3 and 1000 IU/kg 25-hydroxycholecalciferol (25-OHD3), and 2000 IU/kg 25-OHD3. Pigs fed diets containing 25-OHD3 tended to have greater feed intake during d 14–28 (p = 0.06). Plasma 25-OHD3 concentrations were greater in pigs fed diets containing 25-OHD3 than in those fed VD3 alone on d 14 and 28 (p < 0.05), with greater values observed in pigs fed 2000 IU/kg 25-OHD3 than in those fed a combination of 1000 IU/kg VD3 and 1000 IU/kg 25-OHD3 on d 14 (p < 0.05). Pigs fed diets supplemented with 25-OHD3 had lower plasma malondialdehyde concentrations at d 28 (p < 0.05), while immune parameters and bone mineralization indicators were unaffected. In the broken-line analysis, the estimated plasma 25-OHD3 concentration for plasma malondialdehyde concentrations to reach the minimum level was 32.5 ng/mL (p < 0.05). In conclusion, supplementing 25-OHD3 in nursery diets improved blood vitamin D status and could help reduce oxidative stress during the late nursery period. Full article
Show Figures

Figure 1

22 pages, 3576 KB  
Article
Using Chromatographic Methods to Assess the Stability of Decomposition Training Aids Under Freezing Storage Conditions for Canine Training Applications
by Andrea Celeste Medrano, Chris Holleyman and Paola A. Prada-Tiedemann
AppliedChem 2026, 6(1), 13; https://doi.org/10.3390/appliedchem6010013 - 25 Feb 2026
Viewed by 1434
Abstract
Human remains detection (HRD) canines are a class of odor detection canines trained with training aids representative of distinctive stages of putrefaction. This is necessary for canines to detect the whole spectrum of decomposition products, which is encountered in operational deployments. Understanding the [...] Read more.
Human remains detection (HRD) canines are a class of odor detection canines trained with training aids representative of distinctive stages of putrefaction. This is necessary for canines to detect the whole spectrum of decomposition products, which is encountered in operational deployments. Understanding the definition of the cadaveric profile can help better train canine detection teams and assist with technological developments. This study aimed to (1) monitor chemical odor profiles utilizing two containment vessels, and (2) monitor two preservation methods on chemical odor profile changes as a function of freezing to thawing cycles. Instrumental analysis used solid phase microextraction- gas chromatography/mass spectrometry (SPME-GC/MS) for identification of volatile organic compounds (VOCs) from tissue/bone samples of pig carcasses at various decomposition stages. Samples were analyzed weekly for six (6) weeks to monitor chemical odor profiles as a function of time. Clear vials provided slightly better storage stability for the fresh stage compared to amber vials. However, amber vials were more suitable for the advanced decay and skeletal stages, helping to preserve the chemical odor profile. Regarding the preservation methods, a continuous preservation method portrayed better reproducibility of the original odor profile throughout the 6-week period, as depicted from higher Spearman correlation values. This study is the first to explore simulated training aids under freezing conditions, uncovering the dynamic and complex nature of odor over time. The results highlight that understanding these shifting odor profiles is essential for canine handlers aiming to optimize the realism and effectiveness of maintenance training. Full article
Show Figures

Graphical abstract

13 pages, 4823 KB  
Article
Comparative Elemental Signatures of Full Metal Jacket (FMJ) and Lead Round Nose (LRN) Projectiles on Complex Biological Targets Using Micro-XRF and Portable XRF
by Suthisa Leasen, Panida Lorwongtragool, Sittichoke Chaiwan and Montri Donphoongpri
Forensic Sci. 2026, 6(1), 11; https://doi.org/10.3390/forensicsci6010011 - 2 Feb 2026
Viewed by 570
Abstract
Background: In forensic ballistics, identifying ammunition types on physical evidence is critical, particularly when metallic residues are minimal. This study comparatively analyzes the elemental signatures deposited by two common projectiles—Full Metal Jacket (FMJ) (Cu/Zn jacket) and Lead Round Nose (LRN) (exposed Pb core)—on [...] Read more.
Background: In forensic ballistics, identifying ammunition types on physical evidence is critical, particularly when metallic residues are minimal. This study comparatively analyzes the elemental signatures deposited by two common projectiles—Full Metal Jacket (FMJ) (Cu/Zn jacket) and Lead Round Nose (LRN) (exposed Pb core)—on complex targets, including pig bone/tissue and mango wood. Methods: Using a semi-automatic handgun at an intermediate range of 5.0 m, residues were examined through high-resolution benchtop Micro-XRF (M4 Tornado) for micro-spatial analysis and Portable XRF (Elio) for rapid field characterization. Additionally, fresh pork leg samples were subjected to a 3-month environmental degradation period to assess trace persistence. Results: Observations indicated that LRN projectiles exhibit markedly elevated Lead (Pb) concentrations along the wound track in bone, hence confirming Pb as a reliable indicator for unjacketed ammunition; specifically, the median Pb concentrations at bullet wiping were 10.39 wt% for M4 and 7.34 wt% for Elio. Conversely, FMJ traces remain strictly confined to the surface bullet wipe area, with median concentrations of Pb, Cu, and Zn being 2.21 wt%, 0.24 wt%, and 0.59 wt% via M4, respectively. Statistical analysis showed a strong correlation for high-concentration elements on tissue, but significantly greater variance on wooden surfaces where FMJ traces exhibited a very weak negative correlation (r = −0.2774) due to minimal and irregular metal transfer. Taphonomic evaluation revealed that the Pb signature from LRN is exceptionally stable (r ≈ 0.9999) even after decomposition, while FMJ signatures are highly sensitive to environmental exposure. Conclusions: This research underscores the necessity of high-sensitivity Micro-XRF (M4) for definitive ammunition verification, providing a refined analytical framework for shooting incident reconstruction even involving degraded remains or complex environmental scenes. Full article
(This article belongs to the Special Issue Feature Papers in Forensic Sciences)
Show Figures

Figure 1

22 pages, 11050 KB  
Article
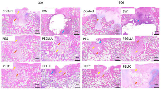
Polyethylene Glycol (PEG)-Based Wet-Adhesive Absorbable Bone Wax for Osseous Hemostasis and Repair
by Huiqiang Cheng, Aiping Yang, Guoyu Lv, Heng Zheng and Hong Li
Int. J. Mol. Sci. 2026, 27(1), 276; https://doi.org/10.3390/ijms27010276 - 26 Dec 2025
Cited by 2 | Viewed by 1503
Abstract
The non-absorbability and biological inertia of traditional bone wax often result in foreign body retention, inhibit bone healing, and increase the risk of infection. Herein, a novel absorbable bone wax was developed by mixing polyethylene glycol (PEG), tannic acid (TA), sodium carboxymethyl cellulose [...] Read more.
The non-absorbability and biological inertia of traditional bone wax often result in foreign body retention, inhibit bone healing, and increase the risk of infection. Herein, a novel absorbable bone wax was developed by mixing polyethylene glycol (PEG), tannic acid (TA), sodium carboxymethyl cellulose (CMC), and low-molecular-weight poly-L-lactic acid (PLLA) via one-pot method. Among them, PEG functions as the matrix, endowing it with plasticity and hydrophilicity, thereby facilitating its facile, close fit to the surface of bone defects. TA, with its profusion of phenolic hydroxyl groups, bestows the material with exceptional adhesion properties. The hydroxyl and carboxyl groups in the CMC molecular structure are capable of forming hydrogen bond networks with PEG and TA. Concurrently, hydrophobic PLLA reinforces the hydrogen bond network structure. Absorbable bone wax maintains excellent adhesion in water. The obtained wax shows an adhesion strength of 27.07 kPa and can maintain adhesion to pig bone for 6.0 h in an aqueous environment. In particular, after being soaked in water for 24 h, the bone wax only dissolves on the surface, while the core remains intact. The results of the porcine sternum implantation experiment showed that the hemostatic performance of this bone wax was comparable to that of non-absorbable bone wax. Furthermore, the absorbable bone wax was gradually absorbed, leading to better bone tissue healing. This absorbable formulation could eliminate the 5–15% infection rate associated with traditional bone wax. Full article
(This article belongs to the Section Materials Science)
Show Figures

Figure 1

14 pages, 1644 KB  
Article
Sex-Related Shape Variation and Right–Left Asymmetry in the Stylopodium and Zeugopodium of Guinea Pigs
by Edyta Pasicka, Iliana Stefanova Ruzhanova-Gospodinova, Seven Mustafa, Ana Pesic, Ebuderda Günay, Nicoleta Manuta, Barış Can Güzel, Ebru Eravci Yalin and Ozan Gündemir
Animals 2025, 15(24), 3636; https://doi.org/10.3390/ani15243636 - 17 Dec 2025
Viewed by 789
Abstract
The aim of this study was to identify the presence and magnitude of right–left asymmetry in the fore- and hindlimb long bones of adult guinea pigs (Cavia porcellus), and, in parallel, to evaluate sex-related differences in shape and size in the [...] Read more.
The aim of this study was to identify the presence and magnitude of right–left asymmetry in the fore- and hindlimb long bones of adult guinea pigs (Cavia porcellus), and, in parallel, to evaluate sex-related differences in shape and size in the same bones. For this purpose, the stylopodium and zeugopodium bones were analyzed together. Computed tomography data were obtained from all animals under a standard protocol, three-dimensional bone models were generated from these datasets, and these models formed the basis for the geometric morphometric analyses. The analyses showed that sex accounted for a small but consistent proportion of shape variation (approximately 5–7%) in the antebrachium, femur and crus, whereas this effect was more limited in the humerus. Asymmetry analysis based on paired right–left data revealed that directional asymmetry was generally low, whereas fluctuating asymmetry varied across bones. The highest asymmetry was detected in the antebrachium, the crus showed an intermediate level, and the stylopodial elements, humerus and femur, were comparatively more symmetrical. This pattern is consistent with the biomechanical expectation that small right–left deviations tend to accumulate in distal and functionally more active forelimb segments that are positioned farther from the trunk. In conclusion, the findings indicate that asymmetry arises gradually as a function of bone position and functional use rather than from a single growth error, and that distal forelimb elements should therefore be given particular attention in asymmetry studies. Full article
Show Figures

Figure 1

16 pages, 4211 KB  
Article
Bone Growth and Development in Different Breeds of Piglets at the Early Age Is Associated with Mineral Deposition
by Md. Abul Kalam Azad, Chenjian Li, Yating Cheng, Bo Song, Sujuan Ding, Zhenlei Zhou, Qian Zhu and Xiangfeng Kong
Animals 2025, 15(24), 3536; https://doi.org/10.3390/ani15243536 - 8 Dec 2025
Viewed by 1253
Abstract
The growth and development of skeletal structures in young animals are important for their overall health and productivity. Deciphering variations in bone growth among pig breeds can optimize breeding strategies and improve animal welfare. This study explored differences in the bone growth and [...] Read more.
The growth and development of skeletal structures in young animals are important for their overall health and productivity. Deciphering variations in bone growth among pig breeds can optimize breeding strategies and improve animal welfare. This study explored differences in the bone growth and development of different pig breeds at the early growth stages. A total of 120 newborn piglets from Taoyuan black (TB), Xiangcun black (XB), and Duroc piglets, from 30 sows (litter sizes 9–11), were selected to assess their bone growth and development at four different ages (including at 1, 10, 21, and 24 days old). The results showed that the bone length and weight of femur, tibia, rib, and lumbar vertebrae among different pig breeds increased with age. Compared to Duroc piglets, XB and TB piglets exhibited a shorter bone length and lighter bone weight of those four bones at different ages (p < 0.05). XB piglets showed shorter bone length of femur, tibia, and lumbar vertebrae at weaning (21 days old), and a lighter bone weight and lower bone mineral content of those three bones at weaning and three days after weaning (24 days old) compared to TB piglets (p < 0.05). Bone breaking load increased with age, with Duroc piglets exhibiting higher bone breaking load at 10 days old (p < 0.05). Bone mineral density, ash content, and Ca and P deposition varied by breed and age, and TB piglets had a higher bone mineral density at 21 days old compared to XB piglets. In summary, Chinese native piglets have slower bone growth than Duroc piglets, but TB piglets exhibit higher mineral deposition compared to XB piglets. Full article
(This article belongs to the Special Issue Advances in Pig Reproductive Endocrinology)
Show Figures

Figure 1

14 pages, 1160 KB  
Article
Excess Dietary Manganese Impairs Iron Nutrition via Modulating Duodenal Transporters in Weaned Pigs
by Maolian Wei, Yuhuai Xie, Ruonan Yan, Jiming Liu, Wenli Tang, Yuming Zhan, Li Qiang, Zhiqiang Yang, Lingling Gong, Shuzhen Jiang and Weiren Yang
Vet. Sci. 2025, 12(12), 1118; https://doi.org/10.3390/vetsci12121118 - 25 Nov 2025
Cited by 1 | Viewed by 504
Abstract
Despite manganese’s essential role as a cofactor for multiple enzymes, its potential to disrupt iron homeostasis when supplemented in excess remains a critical knowledge gap in swine nutrition. This study evaluated the effects of Mn (manganese)-supplemented diets on growth, hematology, mineral accumulation, digestibility, [...] Read more.
Despite manganese’s essential role as a cofactor for multiple enzymes, its potential to disrupt iron homeostasis when supplemented in excess remains a critical knowledge gap in swine nutrition. This study evaluated the effects of Mn (manganese)-supplemented diets on growth, hematology, mineral accumulation, digestibility, and intestinal iron transporter expression in weaned pigs. A total of 128 crossbred pigs (Duroc × Landrace × Largewhite) with an average body weight of 9.82 ± 0.15 kg were randomly allotted to four dietary treatments comprising a basal diet supplemented with 0, 20, 40, or 80 mg MnSO4 per kg diet for 28 days. Blood samples were collected from 16 weaned pigs (1 pig per pen, 4 per treatment), after which animals were euthanized for tissue sampling. No differences were observed in growth performance. However, Mn concentrations in serum, liver, heart, kidney, pancreas, and metatarsal bones increased both linearly and quadratically with increasing dietary Mn (p < 0.05), and Fe (iron) concentrations in serum, hemoglobin, liver, and metatarsal bone decreased (p < 0.05). Apparent digestibility data further revealed that Mn absorption peaked at 20 mg/kg, while Fe digestibility declined linearly with increasing Mn levels. Moreover, duodenal DMT1 (divalent metal transporter 1) mRNA expression was decreased, whereas FPN1 (ferroportin 1) was upregulated. These findings demonstrate that excessive Mn supplementation impairs dietary Fe absorption and homeostasis in weaned pigs, suggesting that the antagonism occurs at both the transcriptional and intestinal absorption levels, providing critical insights for dietary formulation in swine. Full article
(This article belongs to the Special Issue Nutritional Health of Monogastric Animals)
Show Figures

Figure 1

12 pages, 1734 KB  
Article
The Effect of Strain Rate on Bone Fragility and Clinical Applications
by Marijo Bekić, Petra Bagavac, Nenad Šešić, Marijana Kulić and Antun Bekić
Bioengineering 2025, 12(12), 1295; https://doi.org/10.3390/bioengineering12121295 - 24 Nov 2025
Viewed by 739
Abstract
The loading rate influences the fracture mechanics of bone. The effect of strain rate on bone tissue was studied. Two sets of dynamic tests were performed, where the impact energy E = 70 J was kept as a constant value. In the first [...] Read more.
The loading rate influences the fracture mechanics of bone. The effect of strain rate on bone tissue was studied. Two sets of dynamic tests were performed, where the impact energy E = 70 J was kept as a constant value. In the first set, the impact velocity of the striker was set to 5.15 m/s, and in the second set of dynamic tests, the impact velocity was set to 7.84 m/s. In each set, four pig femurs were tested, resulting in a total of eight femurs tested. In order to maintain the same impact energy, when testing at a lower velocity, a set of weights (+3 kg) was added to the impactor. The ductility index evaluates the propagation behaviour of brittle versus ductile fracture based on direct force measurements from a force/time diagram. Full article
(This article belongs to the Special Issue Biomechanics and Mechanobiology in Cell and Tissue Engineering)
Show Figures

Figure 1

15 pages, 1249 KB  
Review
Regenerative Applications and Performance of Periodontal Ligament Stem Cells: A Comprehensive Review of In Vivo Studies
by Romain Podembski, Isabel Barahona, Catarina Izidoro, Alexis Romero and Paulo Mascarenhas
Appl. Sci. 2025, 15(21), 11444; https://doi.org/10.3390/app152111444 - 26 Oct 2025
Viewed by 2449
Abstract
Periodontal ligament stem cells (PDLSCs) represent a promising cell source for true periodontal regeneration due to their ability to form bone, cementum, and functional ligament. This review critically synthesised twelve in vivo studies (rats = 5, pigs = 2, dogs = 2, sheep [...] Read more.
Periodontal ligament stem cells (PDLSCs) represent a promising cell source for true periodontal regeneration due to their ability to form bone, cementum, and functional ligament. This review critically synthesised twelve in vivo studies (rats = 5, pigs = 2, dogs = 2, sheep = 2, one human trial) evaluating PDLSC transplantation for periodontal defects. A comprehensive search of PubMed, Web of Science, Embase, and the Cochrane Library (to May 2025) identified 358 records, of which 12 met predefined inclusion criteria. Data extraction encompassed cell source, scaffold, dose, follow-up, and quantitative regenerative outcomes. Nine studies reported cell doses (5 × 105–2 × 107 cells) and six PDLSC regeneration rates (33–100%). After normalisation for host mass, effective delivery ranged from 105 to 106 cells·kg−1, with optimal outcomes typically above 105 cells·kg−1. PDLSC transplantation consistently enhanced alveolar bone, cementum, and periodontal-ligament regeneration compared with scaffold-alone or untreated controls, with the highest outcomes obtained using biocompatible scaffolds such as Hydroxyapatite/Tricalcium Phosphate (HA/TCP), Gelfoam, or amniotic membrane. Both autologous and allogeneic PDLSC achieved equivalent performance and excellent safety, while xenogeneic models confirmed immune tolerance. Despite encouraging results, the evidence remains preliminary—most studies were short-term and small-scale, and only one randomised human trial has been published. Standardisation of cell preparation, scaffold selection, dosing (absolute and mass-normalised), and follow-up is urgently needed. Future research should include Good Manufacturing Practice (GMP)-compliant clinical trials and mechanistic studies on PDLSC differentiation, paracrine signalling, and exosome-mediated effects to consolidate their translational potential for predictable periodontal regeneration. Full article
Show Figures

Figure 1

15 pages, 2361 KB  
Review
Animal Models as Foundational Tools in Preclinical Orthopedic Implant Research
by Renata Maria Varut, Diana-Maria Trasca, George Alin Stoica, Carmen Sirbulet, Cristian Cosmin Arsenie and Cristina Popescu
Biomedicines 2025, 13(10), 2468; https://doi.org/10.3390/biomedicines13102468 - 10 Oct 2025
Cited by 3 | Viewed by 1429
Abstract
Orthopedic implants have a critical role in modern medical practice, being useful in bone regeneration, joint arthroplasty, and healing fractures. The success of osseointegration depends on implant properties (composition, stability, geometry, biocompatibility) and host factors (local reactivity, comorbidities). Preclinical evaluation in animal models [...] Read more.
Orthopedic implants have a critical role in modern medical practice, being useful in bone regeneration, joint arthroplasty, and healing fractures. The success of osseointegration depends on implant properties (composition, stability, geometry, biocompatibility) and host factors (local reactivity, comorbidities). Preclinical evaluation in animal models is essential before clinical application. In orthopedic implantology, the selection and real utility of a range of animals are important, with an emphasis placed on bone–implant interface, biomechanical function, and long-term integration. Smaller animals such as rabbits and rats have widespread use in early biocompatibility and osseointegration testing, but larger animals such as pigs, sheep, and canines have a larger physiological bone similarity and can, therefore, be utilized for bearing loads in testing. Considering the utility and disadvantages of certain species—including suitability for new biomaterials, coatings, and biomechanical function—this article discusses testing methodologies such as push-out/pull-out tests, histomorphometry, and micro-CT and their utility in testing the integration of implants and regeneration of bone. Conclusions confirm a multi-species model in use in preclinical testing for the development of implants and improvements in clinical success. Unlike previous reviews, this article emphasizes translational strategies, integrates ethical perspectives in model selection, and discusses the synergistic use of imaging modalities with biomechanical tests for comprehensive assessment. Full article
(This article belongs to the Section Molecular and Translational Medicine)
Show Figures

Graphical abstract

17 pages, 13481 KB  
Article
Luopan Mountain Pig Bone Marrow Mesenchymal Stem Cells Promote Liver Regeneration in D-Galactosamine-Induced Acute Liver Failure Rats by Regulating the PTEN-PI3K/Akt/mTOR Pathway
by Minjuan Li, Zhongfa Wang, Xingxing Yan, Yanchen Liu, Yunan He, Bianying Zhang and Weijun Guan
Biology 2025, 14(10), 1363; https://doi.org/10.3390/biology14101363 - 5 Oct 2025
Viewed by 983
Abstract
Treatment for acute liver failure (ALF) is constrained by shortages of liver transplant donors and immune rejection. Porcine bone marrow mesenchymal stem cells (pBMSCs) demonstrate clinical potential in xenotransplantation due to their abundant availability, low immunogenicity, and strong proliferative activity. This study is [...] Read more.
Treatment for acute liver failure (ALF) is constrained by shortages of liver transplant donors and immune rejection. Porcine bone marrow mesenchymal stem cells (pBMSCs) demonstrate clinical potential in xenotransplantation due to their abundant availability, low immunogenicity, and strong proliferative activity. This study is the first to investigate the reparative effects and mechanisms of pBMSCs derived from Luopan Mountain pigs in a D-galactosamine (D-GalN)-induced ALF rat model. The results demonstrated that tail-vein transplantation of pBMSCs significantly improved survival rates in ALF rats; reduced serum ALT, AST, and TBIL levels; enhanced hepatic glycogen metabolism; and mitigated histopathological liver damage. Additionally, pBMSC transplantation upregulated serum HGF, IGF-1, and VEGF levels while inhibiting hepatocyte apoptosis. Mechanistic studies indicate that pBMSCs promote liver function recovery and regeneration by activating the PI3K/Akt/mTOR signaling pathway and suppressing its key negative regulator, PTEN, by regulating the expression of key genes involved in inflammation, fibrosis, proliferation, and apoptosis. This study provides crucial experimental evidence for the use of pBMSCs in treating acute liver failure (ALF) and lays the groundwork for its clinical translation in the field of xenotransplantation. Full article
(This article belongs to the Section Cell Biology)
Show Figures

Figure 1

22 pages, 4896 KB  
Article
Ritual Kitchens and Communal Feasting: Excavating the Southeastern Sector of the Ataruz Temple Courtyard, Jordan
by Chang-Ho Ji, Choong-Ryeol Lee and Vy Cao
Religions 2025, 16(10), 1272; https://doi.org/10.3390/rel16101272 - 5 Oct 2025
Viewed by 1182
Abstract
This paper presents the results of the 2010–23 excavations of the southeastern sector of the Iron II temple at Khirbat Ataruz, Jordan, revealing a purpose-built kitchen complex and a rock-cut libation and animal slaughter feature. Abundant animal bones were collected from the eastern [...] Read more.
This paper presents the results of the 2010–23 excavations of the southeastern sector of the Iron II temple at Khirbat Ataruz, Jordan, revealing a purpose-built kitchen complex and a rock-cut libation and animal slaughter feature. Abundant animal bones were collected from the eastern section of the area. Zooarchaeological analysis reveals that faunal remains are dominated by sheep and goats—species central to sacrificial rites—with smaller yet consistent contributions from deer and cattle, and a notable absence of pig bones. Together, these exceptionally well-preserved remains provide rare evidence of integrated cultic architecture, encompassing culinary, sacrificial, and communal feasting, and shed new light on the design of sacred space, religious practices, and temple meals in the southern Levant during the 9th–8th centuries BCE. Full article
Show Figures

Figure 1

Back to TopTop