Sign in to use this feature.

Years

Between: -

Subjects

remove_circle_outline
remove_circle_outline
remove_circle_outline
remove_circle_outline
remove_circle_outline
remove_circle_outline
remove_circle_outline

Journals

Article Types

Countries / Regions

Search Results (20)

Search Parameters:
Keywords = phytogenic substances

Order results
Result details
Results per page
Select all
Export citation of selected articles as:
20 pages, 405 KB  
Review
Phytobiotics as Dietary Natural Growth Promoters in Producing High-Quality and Safe Poultry Products—A Narrative Review
by Laurian-Cristian Cojocariu, Marius-Giorgi Usturoi, Alexandru Usturoi, Mircea Lazăr, Ioana Miruna Balmuș, Daniel Simeanu and Răzvan-Mihail Radu-Rusu
Agriculture 2026, 16(4), 443; https://doi.org/10.3390/agriculture16040443 - 14 Feb 2026
Viewed by 991
Abstract
As the demand for poultry meat and eggs is increasing in the world, and the use of antibiotics is forbidden in Europe (since 2006), with countries such as the Philippines, Thailand, Bangladesh and China having imposed restriction or prohibitions, researchers and producers have [...] Read more.
As the demand for poultry meat and eggs is increasing in the world, and the use of antibiotics is forbidden in Europe (since 2006), with countries such as the Philippines, Thailand, Bangladesh and China having imposed restriction or prohibitions, researchers and producers have sought for effective non-antibiotic alternatives. Probiotics, prebiotics, synbiotics and phytobiotics are frequently used as alternatives in the field of poultry production. Phytobiotics, plant-derived substances, also referred to as botanicals or phytogenics, are used as animal diets supplements due to their wide range of bioactive compounds (menthol, curcumin, eugenol, allicin and others) and many advantages. They are classified as herbs, spices, plant extracts and essential oils. Some of the benefits offered by the dietary phytobiotics are antimicrobial, antioxidant, digestion stimulant, anti-inflammatory, immunomodulatory, carminative, antiseptic and appetite stimulant, the modulation of gut microbiota and improvement in the intestinal histology. Some representatives of phytobiotics are turmeric, oregano, sage, thyme, black pepper, ginger, garlic, echinacea, rosemary and others. Despite the significant potential of phytobiotics, their widespread adaptation is currently inhibited by challenges regarding cost-effectiveness (high price for raw materials), scarce regulatory frameworks, and inconsistent biological efficacy. The lack of standardization reflects a dual challenge, enclosing both the inherent chemical variability of raw botanical materials and the technical inconsistencies present throughout the industrial manufacturing, and extraction processes as producers use different machinery for extracting and producing the animal feed. To address these systemic impediments, a joint effort across the entire value chain—from primary producers to regulatory authorities—is essential for the development of unified testing protocols and standardization dosage guidelines that ensure the pharmacological safety and reliability of phytobiotic products. Full article
(This article belongs to the Special Issue Quality Assessment and Processing of Farm Animal Products)
Show Figures

Figure 1

20 pages, 979 KB  
Article
Role of Microencapsulated Essential Oil and Pepper Resin in the Diet of Cows in the Third Lactation Phase on Immunological Pathways
by Karoline Wagner Leal, Marta Lizandra do Rego Leal, Gabriel S. Klein, Andrei Lucas R. Brunetto, Guilherme Luiz Deolindo, Camila Eduarda Justen, Matheus Dellaméa Baldissera, Tainara L. Santos, Daniela Zanini, Rafael C. de Araujo and Aleksandro Schafer da Silva
Vet. Sci. 2025, 12(4), 344; https://doi.org/10.3390/vetsci12040344 - 8 Apr 2025
Cited by 1 | Viewed by 1466
Abstract
The objective was to determine whether dairy cows may activate traditional and alternative inflammatory pathways by consuming a combination of a phytogenic diet (essential oil and pepper resin). Twenty pregnant Jersey cows in the final (third) lactation phase (260 days in milk) were [...] Read more.
The objective was to determine whether dairy cows may activate traditional and alternative inflammatory pathways by consuming a combination of a phytogenic diet (essential oil and pepper resin). Twenty pregnant Jersey cows in the final (third) lactation phase (260 days in milk) were divided into two groups: control, with no additive consumption, and test, with the addition of the phytogenic to the concentrate portion of the diet (150 mg/day/kg dry matter). Blood samples were collected on experimental days 1, 7, 14, 21, 28, 35, and 42 by coccygeal vein puncture to assess the complete blood count, serum biochemistry of levels of total protein, albumin, and globulin, as well as carbohydrate metabolism (glucose), lipid metabolism (cholesterol and triglycerides), protein metabolism (urea), activities of hepatic enzymes (gamma-glutamyl transferase (GGT) and aspartate aminotransferase (AST)), cytokine levels (interleukins IL-1β, IL-6, and IL-10), antioxidant response [thiobarbituric acid reactive substances (TBARS), reactive oxygen species (ROS), total thiol (PSH), and non-protein thiol (NPSH), and glutathione S(GST)], cholinergic system [total cholinesterase (ChE) and acetylcholinesterase (AChE)], purinergic signaling [NTPDase, 5′ectonucleotidase and adenosine deaminase (ADA)], and energetic metabolism enzymes [creatine kinase (CK), pyruvate kinase (PK), and adenylate kinase (AK)]. Productive performance was assessed through feed intake and milk production. The results revealed that the use of phytogenic compounds significantly influenced the cholinergic system and purinergic signaling associated with immunology. The reduction in cholinesterase (ChE) activity and the increase in acetylcholinesterase (AChE) activity in lymphocytes suggest the modulation of the cholinergic system, enhancing the immune response. Furthermore, the elevated activity of adenosine deaminase (ADA) in lymphocytes and platelets, together with increased ATP and ADP hydrolysis in platelets, indicates the beneficial regulation of purinergic signaling, potentially contributing to inflammatory modulation. These effects were accompanied by a lower production of pro-inflammatory cytokines (IL-1β and IL-6) and a higher production of IL-10, reinforcing an anti-inflammatory profile. The reduced leukocyte and lymphocyte counts may reflect a lower inflammatory demand, while the increased levels of NPSH and GST antioxidants suggest cellular protection. Despite these physiological changes, productive performance and milk quality remained unaffected. In summary and practical terms, including this additive in the cows’ diet benefits the cow’s health in the final third of gestation when the animal already has a reduced immune response due to advanced gestation. Full article
(This article belongs to the Special Issue Advancing Ruminant Health and Production: Alternatives to Antibiotics)
Show Figures

Figure 1

16 pages, 303 KB  
Article
Combination of Essential Oils and Extracts Enriched with Tocopherols in Diet of Holstein Steers and Its Effect on Ruminal Fermentation, Antioxidant and Anti-Inflammatory Response, Feed Efficiency and Fatty Acid Profile in Meat
by João Gustavo Weschenfelder Wandscheer, Natalia Turcatto, Guilherme Luiz Deolindo, Mateus Henrique Signor, Alexandro Fritzen, Marcelo Vedovatto, Camila Ten Kathen Jung, Gilberto Vilmar Kozloski, Ana Carolina Hadlich Xavier, Roger Wagner, Bianca Fagan Bissacotti, Priscila Marquezan Copetti and Aleksandro Schafer da Silva
Fermentation 2024, 10(12), 616; https://doi.org/10.3390/fermentation10120616 - 1 Dec 2024
Cited by 2 | Viewed by 1527
Abstract
Background: This experiment evaluated whether the combination of essential oils (thyme, rosemary, orange) with extracts of Cinnamomum and Quillaja saponaria (enriched with tocopherols) in steers’ diet has positive effects on the health, digestibility, growth, oxidative stress, and fatty acid profile of meat. Methods: [...] Read more.
Background: This experiment evaluated whether the combination of essential oils (thyme, rosemary, orange) with extracts of Cinnamomum and Quillaja saponaria (enriched with tocopherols) in steers’ diet has positive effects on the health, digestibility, growth, oxidative stress, and fatty acid profile of meat. Methods: The experiment included 24 Holstein steers, divided into two groups, randomly divided (treated = phytogenic mixture (n = 12); control = monensin (n = 12)), undergoing a growth phase of 120 days and 90 days of finishing in individual pens, with a monthly collection of blood, rumen fluid, feces, and feed. Results: In the finishing phase (days 150 to 210), there was a tendency (p = 0.07) toward more significant average daily weight gain when cattle consumed a phytogenic mixture than monensin. The use of the phytogenic product showed greater feed efficiency in the period from 150 to 240 days (p < 0.05), with higher levels of short-chain fatty acids (SCFAs), without differences in the composition of these SCFAs between the control and treated groups, with a reduction in apparent digestibility in the treated group. In blood parameters, the treated group showed higher erythrocyte counts (p < 0.05) without changes in leukocytes, lymphocytes, granulocytes, monocytes, and platelets. The phytogenic treatment demonstrated higher total protein and globulin levels, with increased glucose levels on days 30 and 210 (p < 0.05). Ceruloplasmin and haptoglobin levels increased in the treated group without changes in ferritin, transferrin, C-reactive protein, IgA, and heavy-chain immunoglobulins (p < 0.05). A reduction in oxidative stress was observed using the phytogenic agent, with a marked decrease in the levels of reactive oxygen species (ROS) and carbonyl proteins, with a tendency to increase glutathione S-transferase (p < 0.05). In meat, the phytogenic reduced saturated fatty acids with increased polyunsaturated fatty acids and increased the omega 6/omega 3 ratio. Lower levels of thiobarbituric acid reactive substances and ROS were detected in the meat combined with a higher concentration of total thiols in the treated group than in the control group. Conclusions: The use of the phytogenic in steers’ diets has shown to be a viable candidate for replacing monensin, presenting equal or superior performance results with systemic modulating effects on oxidative stress, meat quality, and serum and biochemical parameters that contribute to more substantial health and efficiency. Full article
(This article belongs to the Special Issue Fermentation Technologies for the Production of High-Quality Feed)
27 pages, 1233 KB  
Review
Beneficial Effects of Nutraceuticals, Especially Polyphenols on Canine Health
by Domingo Ruiz-Cano and Marino B. Arnao
Pets 2024, 1(3), 228-254; https://doi.org/10.3390/pets1030017 - 28 Sep 2024
Cited by 9 | Viewed by 11717
Abstract
The use of nutraceuticals, mainly phytogenics, is increasingly widespread in animal nutrition, especially in dogs. The materials typically used to provide these very diverse natural compounds come from plants, but lately algae and fungi have also been used. In animal nutrition, these compounds [...] Read more.
The use of nutraceuticals, mainly phytogenics, is increasingly widespread in animal nutrition, especially in dogs. The materials typically used to provide these very diverse natural compounds come from plants, but lately algae and fungi have also been used. In animal nutrition, these compounds are applied to obtain better results in the production and stability of feed and also as biofunctional substances with benefits for animal health. Polyphenols are natural compounds from the secondary metabolism of plant matter present in animal food (e.g., seeds and nuts, fruits, vegetables, herbs/aromatic plants, spices, cereals, and vegetable oils, among others). Most of the biological effects of these compounds associated with health benefits have been attributed to their antioxidant potential because they can protect cellular elements against oxidative injury, reducing the risk of dysfunctions and diseases associated with oxidative processes. Polyphenols are constituted by multiple families of substances with wide applications in pet therapy and nutrition. In this work, we review the most relevant phytogenic polyphenols, exploring their characteristics, sources, and implications for canine health. Our focus includes the effects on gastrointestinal functions and its microbiota, as well as aspects such as obesity, diabetes, and fat metabolism. Additionally, we examine their impact on cardiovascular, neurological, and immunological systems, along with their potential anti-oncogenic role. Finally, we discuss the overall role of polyphenols in dog diets and their future implications. Full article
Show Figures

Figure 1

22 pages, 4601 KB  
Article
Combination of Phytoactives in the Diet of Lactating Jersey Cows: Effects on Productive Efficiency, Milk Composition and Quality, Ruminal Environment, and Animal Health
by Maksuel G. de Vitt, Mateus H. Signor, Natalia G. Corrêa, Michel Breancini, Gabriel J. Wolschick, Bruna Klein, Luiz Eduardo L. Silva, Roger Wagner, Camila T. K. Jung, Gilberto V. Kozloski, Miklos M. Bajay, Gabriela S. Schroeder, Carine F. Milarch and Aleksandro S. Da Silva
Animals 2024, 14(17), 2518; https://doi.org/10.3390/ani14172518 - 29 Aug 2024
Cited by 8 | Viewed by 2242
Abstract
This study’s objective was to evaluate whether adding a combination of phytoactive (microencapsulated essential oils, minerals, turmeric extract, tannin, prebiotic, and probiotic) to the feed of lactating Jersey cows positively affects the production, composition, and quality of milk, rumen environment, and animal health. [...] Read more.
This study’s objective was to evaluate whether adding a combination of phytoactive (microencapsulated essential oils, minerals, turmeric extract, tannin, prebiotic, and probiotic) to the feed of lactating Jersey cows positively affects the production, composition, and quality of milk, rumen environment, and animal health. Fourteen Jersey cows were divided into two groups (control and phytogenic) for an experiment with two lactation phases of 45 days each (early lactation and mid-lactation). During the experiment, milk production was higher at various times in cows that consumed phytoactive, and these animals had the best feed efficiency. In mid-lactation, phytoactive intake increased nutrient digestibility. The number of lymphocytes in the blood is reduced when cows consume phytoactive substances. Globulin levels increased in these cows fed with the additive, which may be related to a higher concentration of immunoglobulins, especially IgA. Cows fed phytoactives had lower ceruloplasmin and haptoglobin concentrations. Lower serum lipid peroxidation, associated with greater glutathione S-transferase activity, is a good health indicator in cows that consume phytoactive substances. The higher concentration of volatile fatty acids was due to the higher proportion of acetic acid in the ruminal fluid combined with lower butyric acid. Somatic cell counts in milk were lower in cows that consumed phytoactives during mid-lactation, as well as the effect of the treatment on Streptococcus spp. (lower in cows that consumed the additive). We conclude that consuming the additive benefits cows’ health modulates rumen fermentation and nutrient digestibility, and positively affects milk production and quality. Full article
(This article belongs to the Section Animal Nutrition)
Show Figures

Figure 1

15 pages, 606 KB  
Article
Effects of a Phytogenic Feed Additive on Redox Status, Blood Haematology, and Piglet Mortality in Primiparous Sows
by Vasileios G. Papatsiros, Georgios I. Papakonstantinou, Eleni Katsogiannou, Dimitrios A. Gougoulis, Nikolaos Voulgarakis, Konstantinos Petrotos, Sofia Braimaki, Dimitrios A. Galamatis, Amr El-Sayed and Labrini V. Athanasiou
Stresses 2024, 4(2), 293-307; https://doi.org/10.3390/stresses4020018 - 12 Apr 2024
Cited by 6 | Viewed by 3176
Abstract
This study aimed to investigate the effects of a polyphenolic phytogenic feed additive (PFA) based on plant extracts, such as Embelia officinalis, Ocimum sanctum and nut fibre, on the redox status, haematological parameters, and piglet mortality in sows. A total of 64 [...] Read more.
This study aimed to investigate the effects of a polyphenolic phytogenic feed additive (PFA) based on plant extracts, such as Embelia officinalis, Ocimum sanctum and nut fibre, on the redox status, haematological parameters, and piglet mortality in sows. A total of 64 primiparous sows were divided into two groups: T1-control group: regular gestation (GF) and lactation feed (LF), T2 group: regular GF and LF supplemented with a PFA (10 g daily) for 14 days before and 7 days after the farrowing. Blood samples were collected 0–3 h after farrowing. Haematological parameters (Packed Cell Volume/PCV, White Blood Cells/WBC, Platelets/PLTs) were counted in blood smears. Thiobarbituric acid reactive substances (TBARS) and protein carbonyls (CARBS) levels were determined in sow plasma. The performance and reproductive parameters of sows at farrowing and weaning days were recorded. The mean numbers of PCV and PLT counts in the T2 group were higher in comparison to the T1 group (p = 0.041, p = 0.033, respectively). In contrast, the mean numbers of WBC and neutrophils were almost significantly higher in the T2 group (p = 0.051). The mean number of stillborn piglets was significantly higher in the T1 group (2.12) compared to the T2 group (1.03). The mean number of alive piglets 24 h after farrowing and the mean number of the weaned piglets were significantly higher in group T2 (13.9 vs. 15.4 and 12.6 vs. 14.3). Sows in group T2 had significantly more backfat at weaning than the sows in group T1 (13.3 vs. 12.7). The mean levels of CARBS (nmol/mL) and TBARS (μmol/L) in group T1 (24.8 and 18.7) were significantly higher in comparison to group T2 (18.3 and 14.9). In conclusion, the use of a polyphenolic PFA in sows has beneficial effects on their welfare and performance due to its antioxidative effects. Furthermore, PFAs appear to exert antithrombotic, anti-inflammatory, and protective effects on PLTs, WBCs, and RBCs, respectively. Full article
(This article belongs to the Collection Feature Papers in Human and Animal Stresses)
Show Figures

Figure 1

16 pages, 1582 KB  
Article
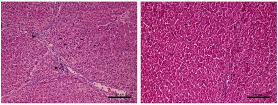
Effects of a Curcumin/Silymarin/Yeast-Based Mycotoxin Detoxifier on Redox Status and Growth Performance of Weaned Piglets under Field Conditions
by Vasileios G. Papatsiros, Georgios I. Papakonstantinou, Nikolaos Voulgarakis, Christos Eliopoulos, Christina Marouda, Eleftherios Meletis, Irene Valasi, Polychronis Kostoulas, Dimitrios Arapoglou, Insaf Riahi, Georgios Christodoulopoulos and Dimitra Psalla
Toxins 2024, 16(4), 168; https://doi.org/10.3390/toxins16040168 - 25 Mar 2024
Cited by 11 | Viewed by 4079
Abstract
The aim of this in vivo study was to investigate the effects of a novel mycotoxin detoxifier whose formulation includes clay (bentonite and sepiolite), phytogenic feed additives (curcumin and silymarin) and postbiotics (yeast products) on the health, performance and redox status of weaned [...] Read more.
The aim of this in vivo study was to investigate the effects of a novel mycotoxin detoxifier whose formulation includes clay (bentonite and sepiolite), phytogenic feed additives (curcumin and silymarin) and postbiotics (yeast products) on the health, performance and redox status of weaned piglets under the dietary challenge of fumonisins (FUMs). The study was conducted in duplicate in the course of two independent trials on two different farms. One hundred and fifty (150) weaned piglets per trial farm were allocated into two separate groups: (a) T1 (control group): 75 weaned piglets received FUM-contaminated feed and (b) T2 (experimental group): 75 weaned piglets received FUM-contaminated feed with the mycotoxin-detoxifying agent from the day of weaning (28 days) until 70 days of age. Thiobarbituric acid reactive substances (TBARSs), protein carbonyls (CARBs) and the overall antioxidant capacity (TAC) were assessed in plasma as indicators of redox status at 45 and 70 days of age. Furthermore, mortality and performance parameters were recorded at 28, 45 and 70 days of age, while histopathological examination was performed at the end of the trial period (day 70). The results of the present study reveal the beneficial effects of supplementing a novel mycotoxin detoxifier in the diets of weaners, including improved redox status, potential hepatoprotective properties and enhanced growth performance. Full article
(This article belongs to the Section Mycotoxins)
Show Figures

Graphical abstract

15 pages, 366 KB  
Article
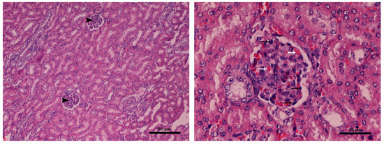
Effects of a Multi-Component Mycotoxin-Detoxifying Agent on Oxidative Stress, Health and Performance of Sows
by Vasileios G. Papatsiros, Christos Eliopoulos, Nikolaos Voulgarakis, Dimitrios Arapoglou, Insaf Riahi, Meritxell Sadurní and Georgios I. Papakonstantinou
Toxins 2023, 15(9), 580; https://doi.org/10.3390/toxins15090580 - 19 Sep 2023
Cited by 11 | Viewed by 4563
Abstract
This in vivo study aimed to investigate the effects of a multi-component mycotoxin-detoxifying agent, containing clays (bentonite, sepiolite), phytogenic feed additives (curcumin, silymarin) and postbiotics (yeast cell wall, hydrolyzed yeast) on the antioxidant capacity, health and reproductive performance of pregnant and lactating sows [...] Read more.
This in vivo study aimed to investigate the effects of a multi-component mycotoxin-detoxifying agent, containing clays (bentonite, sepiolite), phytogenic feed additives (curcumin, silymarin) and postbiotics (yeast cell wall, hydrolyzed yeast) on the antioxidant capacity, health and reproductive performance of pregnant and lactating sows challenged by mycotoxins. Eighty (80) primiparous sows (mean age 366 ± 3 days) per each of the two trial farms were divided into two groups in each farm: a) T1 (control group): 40 sows received the contaminated feed and b) T2 group (experimental group): 40 sows received the contaminated feed plus the mycotoxin-detoxifying agent, one month before farrowing until the end of the lactation period. Thiobarbituric acid reactive substances (TBARS), protein carbonyls (CARBS) and total antioxidant capacity (TAC) were evaluated as biomarkers of oxidative stress. Clinical and reproductive parameters were recorded. Our results indicate that the administration of a multi-component mycotoxin-detoxifying agent’s administration in sow feed has beneficial effects on oxidative stress biomarkers and can improve sows’ health and performance. Full article
Show Figures

Graphical abstract

14 pages, 1619 KB  
Article
Effects of a Natural Polyphenolic Product from Olive Mill Wastewater on Oxidative Stress and Post-Weaning Diarrhea in Piglets
by Georgios I. Papakonstantinou, Eleftherios Meletis, Konstantinos Petrotos, Polychronis Kostoulas, Nikolaos Tsekouras, Maria C. Kantere, Nikolaos Voulgarakis, Dimitrios Gougoulis, Leonidas Filippopoulos, Georgios Christodoulopoulos, Labrini V. Athanasiou and Vasileios G. Papatsiros
Agriculture 2023, 13(7), 1356; https://doi.org/10.3390/agriculture13071356 - 5 Jul 2023
Cited by 10 | Viewed by 2605
Abstract
The present study aimed to investigate the effects of a commercial phytogenic feed additive (PFA) on the prevention of post-weaning diarrhea and oxidative stress in piglets. The concentrations of thiobarbituric acid reactive substances (TBARS) and protein carbonyls (CARBS) were investigated as biomarkers for [...] Read more.
The present study aimed to investigate the effects of a commercial phytogenic feed additive (PFA) on the prevention of post-weaning diarrhea and oxidative stress in piglets. The concentrations of thiobarbituric acid reactive substances (TBARS) and protein carbonyls (CARBS) were investigated as biomarkers for oxidative damage, as were the health and performance parameters of weaned piglets. In total, 100 weaned piglets were divided into two groups: a control group (T1), which was fed regular weaning feed; an experimental group (T2), which was fed regular weaning feed supplemented with a phenolic feed additive (PFA) for 3 weeks. The TBARS and CARBS concentrations in plasma samples from 20 piglets per group were measured at 45 and 65 days of age. Fecal samples were collected from 24 weaned piglets per group using FTA ELUTE cards. Diarrhea score, body weight (BW) at weaning, and average daily weight gain (ADWG) were recorded. The TBARS (p < 0.001) and CARBS (p = 0.001) concentrations were significantly higher in the T1 group compared to those in the T2 group. The lowest diarrhea score was noted in the T2 group for the age groups of 45 (p < 0.001) and 65 days (p = 0.008). In conclusion, the use of a phenolic PFA in the current study had beneficial antioxidative and antimicrobial effects on weaned piglets, which improved their health and growth performance. Full article
Show Figures

Figure 1

11 pages, 254 KB  
Article
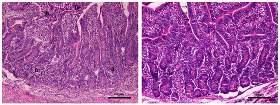
Phytogenic Effects on Layer Production Performance and Cytoprotective Response in the Duodenum
by Evangelos C. Anagnostopoulos, Ioannis P. Brouklogiannis, Eirini Griela, Vasileios V. Paraskeuas and Konstantinos C. Mountzouris
Animals 2023, 13(2), 294; https://doi.org/10.3390/ani13020294 - 14 Jan 2023
Cited by 11 | Viewed by 3071
Abstract
The aim of this study was to evaluate the effects of a phytogenic premix (PP) on the production performance and critical genes relevant to the detoxification (i.e., aryl hydrocarbon receptor pathway) and antioxidant (i.e., nuclear factor erythroid 2-related factor 2 pathway) response in [...] Read more.
The aim of this study was to evaluate the effects of a phytogenic premix (PP) on the production performance and critical genes relevant to the detoxification (i.e., aryl hydrocarbon receptor pathway) and antioxidant (i.e., nuclear factor erythroid 2-related factor 2 pathway) response in the duodenum of laying hens. The PP was based on bioactive substances derived from ginger, lemon balm, oregano, and thyme (Anco FIT-Poultry). A total of 385 20 week old Hy-Line Brown layers were assigned to five dietary treatments with seven replicates of 11 hens each for a 12-week feeding trial. The experimental treatments included a corn–soybean meal basal diet with no PP (CON) or supplemented with PP at 500 (P500), 750 (P750), 1000 (P1000), and 1500 mg/kg diet (P1500). The overall (1–12 weeks) laying rate (p < 0.001) and egg mass (p = 0.008) were significantly increased in the P1000 group compared with the CON. At the duodenum, increasing dietary PP inclusion levels beneficially affected (p ≤ 0.05) the expression of the majority of the AhR and Nrf2 pathway genes studied. In conclusion, according to the gene expression analysis, PP inclusion resulted in a reduced requirement for detoxification and an increased antioxidant capacity, with most of the effects seen at the PP inclusion range of 750 to 1000 mg/kg diet. Full article
(This article belongs to the Collection Poultry Nutrition and Metabolism)
29 pages, 2262 KB  
Review
Anti-Inflammatory and Antioxidative Phytogenic Substances against Secret Killers in Poultry: Current Status and Prospects
by Shereen Basiouni, Guillermo Tellez-Isaias, Juan D. Latorre, Brittany D. Graham, Victor M. Petrone-Garcia, Hesham R. El-Seedi, Sakine Yalçın, Amr Abd El-Wahab, Christian Visscher, Helen L. May-Simera, Claudia Huber, Wolfgang Eisenreich and Awad A. Shehata
Vet. Sci. 2023, 10(1), 55; https://doi.org/10.3390/vetsci10010055 - 14 Jan 2023
Cited by 74 | Viewed by 11237
Abstract
Chronic stress is recognized as a secret killer in poultry. It is associated with systemic inflammation due to cytokine release, dysbiosis, and the so-called leaky gut syndrome, which mainly results from oxidative stress reactions that damage the barrier function of the cells lining [...] Read more.
Chronic stress is recognized as a secret killer in poultry. It is associated with systemic inflammation due to cytokine release, dysbiosis, and the so-called leaky gut syndrome, which mainly results from oxidative stress reactions that damage the barrier function of the cells lining the gut wall. Poultry, especially the genetically selected broiler breeds, frequently suffer from these chronic stress symptoms when exposed to multiple stressors in their growing environments. Since oxidative stress reactions and inflammatory damages are multi-stage and long-term processes, overshooting immune reactions and their down-stream effects also negatively affect the animal’s microbiota, and finally impair its performance and commercial value. Means to counteract oxidative stress in poultry and other animals are, therefore, highly welcome. Many phytogenic substances, including flavonoids and phenolic compounds, are known to exert anti-inflammatory and antioxidant effects. In this review, firstly, the main stressors in poultry, such as heat stress, mycotoxins, dysbiosis and diets that contain oxidized lipids that trigger oxidative stress and inflammation, are discussed, along with the key transcription factors involved in the related signal transduction pathways. Secondly, the most promising phytogenic substances and their current applications to ameliorate oxidative stress and inflammation in poultry are highlighted. Full article
(This article belongs to the Special Issue Nutraceuticals to Mitigate the Secret Killers in Animals)
Show Figures

Figure 1

17 pages, 380 KB  
Review
Antioxidant and Antimicrobial Properties of Selected Phytogenics for Sustainable Poultry Production
by Caven M. Mnisi, Victor Mlambo, Akho Gila, Allen N. Matabane, Doctor M. N. Mthiyane, Cebisa Kumanda, Freddy Manyeula and Christian S. Gajana
Appl. Sci. 2023, 13(1), 99; https://doi.org/10.3390/app13010099 - 21 Dec 2022
Cited by 32 | Viewed by 7427
Abstract
The use of antibiotic growth promoters (AGP) in poultry production not only promotes the emergence of pathogenic multi-drug resistant bacteria, but it also compromises product quality, threatens animal and human health, and pollutes the environment. However, the complete withdrawal of AGP without alternatives [...] Read more.
The use of antibiotic growth promoters (AGP) in poultry production not only promotes the emergence of pathogenic multi-drug resistant bacteria, but it also compromises product quality, threatens animal and human health, and pollutes the environment. However, the complete withdrawal of AGP without alternatives could result in uncontrollable disease outbreaks that would jeopardize large-scale poultry intensification. Thus, the use of phytogenic products as potential alternatives to in-feed AGP has attracted worldwide research interest. These phytogenic products contain numerous biologically active substances with antioxidant and antimicrobial activities that can enhance poultry health, growth performance, and meat quality characteristics. In addition, the incorporation of phytogenic products as feed additives in poultry diets could result in the production of high-quality, drug-free, and organic poultry products that are safe for human consumption. Thus, this review examines the current evidence on the antioxidant and antimicrobial properties of a selection of phytogenic products, their effects on nutrient utilization, and physiological and meat quality parameters in poultry. The paper also reviews the factors that could limit the utilization of phytogenic products in poultry nutrition and proposes solutions that can deliver efficient and sustainable poultry production systems for global food and nutrition security. Full article
22 pages, 1555 KB  
Review
Essential Oils and Melatonin as Functional Ingredients in Dogs
by Domingo Ruiz-Cano, Ginés Sánchez-Carrasco, Amina El-Mihyaoui and Marino B. Arnao
Animals 2022, 12(16), 2089; https://doi.org/10.3390/ani12162089 - 16 Aug 2022
Cited by 9 | Viewed by 11122
Abstract
The use of nutraceuticals or functional ingredients is increasingly widespread in human food; their use is also widespread in animal feed. These natural compounds generally come from plant materials and comprise a wide range of substances of a very diverse chemical nature. In [...] Read more.
The use of nutraceuticals or functional ingredients is increasingly widespread in human food; their use is also widespread in animal feed. These natural compounds generally come from plant materials and comprise a wide range of substances of a very diverse chemical nature. In animals, these compounds, so-called phytogenics, are used to obtain improvements in feed production/stability and also as functional components with repercussions on animal health. Along with polyphenols, isoprenoid compounds represent a family of substances with wide applications in therapy and pet nutrition. Essential oils (EOs) are a group of complex substances with fat-soluble nature that are widely used. Melatonin is an indolic amine present in all living with amphiphilic nature. In this work, we present a review of the most relevant phytogenics (polyphenol, isoprenoid, and alkaloid compounds), their characteristics, and possible uses as nutraceuticals in dogs, with special emphasis on EOs and their regulatory aspects, applied in foods and topically. Additionally, a presentation of the importance of the use of melatonin in dogs is developed, giving physiological and practical aspects about its use in dog feeding and also in topical application, with examples and future projections. This review points to the combination of EOs and melatonin in food supplements and in the topical application as an innovative product and shows excellent perspectives aimed at addressing dysfunctions in pets, such as the treatment of stress and anxiety, sleep disorders, alopecia, and hair growth problems, among others. Full article
Show Figures

Figure 1

21 pages, 4388 KB  
Article
Antimicrobial Screening and Fungicidal Properties of Eucalýptus globulus Ultrasonic Extracts
by Stanislav Sukhikh, Svetlana Ivanova, Olga Babich, Viktoria Larina, Olesia Krol, Alexander Prosekov, Alexander Popov and Olga Kriger
Plants 2022, 11(11), 1441; https://doi.org/10.3390/plants11111441 - 28 May 2022
Cited by 13 | Viewed by 3403
Abstract
The prohibition of antibiotics has led to extensive research and use of phytogenic feed additives. James Barrie Kirkpatrick described four subspecies of eucalyptus (family Myrtaceae), including Eucalýptus globulus, in 1974. The maximum concentrations of quercetin-3D-glycoside (1703.30 g/mL), astragalin (1737.82 g/mL), chlorogenic acid [...] Read more.
The prohibition of antibiotics has led to extensive research and use of phytogenic feed additives. James Barrie Kirkpatrick described four subspecies of eucalyptus (family Myrtaceae), including Eucalýptus globulus, in 1974. The maximum concentrations of quercetin-3D-glycoside (1703.30 g/mL), astragalin (1737.82 g/mL), chlorogenic acid (342.14 g/mL), catechin (282.54 g/mL), rosmarinic acid (36.39 g/mL), and 3,4-dihydroxybenzoic acid (27.55 g/mL) were found in samples of ultrasonic extraction with ethyl alcohol (extraction module 1:5, temperature of 32 °C, an ultrasonic exposure time of 25 min). Antimicrobial activity was observed in all studied samples after 12 h of incubation (against gram-positive (Bacillus subtilis) and gram-negative (Pseudomonas aeruginosa) bacteria, as well as representatives of yeast fungi (Candida albicans)); a more pronounced antimicrobial effect (lysis zone) was observed after ultrasonic processing of extracts for 20 and 25 min. Bacillus subtilis, Pseudomonas aeruginosa, and Candida albicans had lysis areas of 10.0 mm (20 min extraction with ultrasonic treatment), 13.0 mm (20 min extraction without ultrasonic treatment), and 15.5 mm (25 min extraction with ultrasonic treatment), respectively. E. globulus was demonstrated to be a source of biologically active phenolic compounds with antibacterial and fungicidal activity. More research on the use of E. globulus in feed additives is required. Full article
(This article belongs to the Special Issue Medicinal Plant Extracts)
Show Figures

Figure 1

12 pages, 881 KB  
Review
Green Tea (Camellia sinensis) Products as Alternatives to Antibiotics in Poultry Nutrition: A Review
by Steve Kgotlelelo Mahlake, Caven Mguvane Mnisi, Cebisa Kumanda, Doctor Mziwenkosi Nhlanhla Mthiyane and Peter Kotsoana Montso
Antibiotics 2022, 11(5), 565; https://doi.org/10.3390/antibiotics11050565 - 23 Apr 2022
Cited by 19 | Viewed by 5381
Abstract
The overuse and misuse of antibiotics in poultry feeds increase the total cost of production and compromise the quality of poultry products, which poses a serious threat to human health. Globally, health-conscious poultry consumers have long called for the alternate use of natural [...] Read more.
The overuse and misuse of antibiotics in poultry feeds increase the total cost of production and compromise the quality of poultry products, which poses a serious threat to human health. Globally, health-conscious poultry consumers have long called for the alternate use of natural additives to mitigate the development and spread of multidrug resistant pathogens. Phytogenic plants, such as green tea (Camellia sinensis) products, contain putative nutraceuticals with antibiotic properties that can be used as alternatives to therapeutic, metaphylactic, prophylactic, and growth-promoting antibiotics. However, there are limited studies in the literature that have evaluated the potential of green tea (GT) products when used as replacements to in-feed antibiotics, with most studies focusing on their potential as sources of dietary nutrients in poultry feeds. Thus, this review paper discusses the potential of GT products to replace various antibiotics in poultry diets while presenting GT bioactive substances that can improve the growth performance, carcass and meat quality traits, and health status of the birds. We postulate that the utilisation of GT products in place of antibiotics could deliver sustainable, organic poultry production systems that would contribute significantly to global food and nutrition security. Full article
(This article belongs to the Special Issue Antibiotics and Alternative Treatments in Zoonosis Therapy)
Show Figures

Figure 1

Back to TopTop